EVC


Equipo 4
LORENA QUETZ ESCALE RA
CARLOS ACOSTA ESCOBEDO
JENNIF ER FRANCO
LUIS AGUILAR CUSTODIO
KAREN ROJAS
CASO CLINICO

 Paciente de 53 años, sin antecedentes mórbidos conocidos ni
  control hace muchos años. Mientras realiza compras sufre
  cefalea y cae al suelo. Es llevada al hospital y al ingreso está
  en sopor mediano y presión arterial 200/110, también
  desviación conjugada a la derecha ojos y cabeza, hemiplejia
  facial braquiocrural (FBC) izquierda, directa, armónica,
  hemianestesia hasta línea media e izquierda.
DEFINICION



La Organización Mundial de la Salud define la ECV como el
desarrollo de signos clínicos de alteración focal o global de la
función cerebral, con síntomas que tienen una duración de 24
horas o más, o que progresan hacia la muerte y no tienen otra
causa aparente que un origen vascular.
EPIDEMIOLOGIA



 2da causa de muerte en el mundo
 3ra causa de muerte en centros hopsitalarios
 El 12% de muertes en paises industrializados
 88% personas mayores de 65 años
 La incidencia aumenta conforme aumenta la edad del
  paciente
 Mayor riesgo en hombres que en mujeres
FACTORES DE RIESGO

      MODIFICABLES                   NO MODIFICABLES
 Hipertension                     Edad: 65 años
 Colesterol serico                Sexo Masculino
 Cigarro                          Raza negra o asiatica
 Sobrepeso                        Antecedentes
 Fibrinogeno                       herodfamiliares
 Diabetes y alteracion en la
  tolerancia de la glucosa
 Anticonceptivos orales
 Dieta y alcohol
 Funcion cardiaca
CLASIFICACIÓN

                       IC por trombosis
          Isquémica
             80%
                        IC por embolo

ECV
                         Hemorragia
                       intracerebral y
                       subaracnoidea
         Hemorrágica
            20%
                         Epidural y
                       subaracnoidea
ECV ISQUÉMICO

 La Isquemia Cerebral Transitoria (ICT) se define como
  episodios de déficit
 neurológico focal, que tienen una duración inferior a 24 horas
  y que son
 consecuencia de la isquemia cerebral .
 Es el mas importante predictor de un infarto isquemico
 Se plantea que el 50% dura menos de 5 minutos, 25% duran
  hasta una hora, y el 25% restante desaparecen en el término
  de 24 horas.
CLASIFICACIÓN

Trombotico
 Aterosclerosis
                           Embolico
 Diseccion arterial       Cardiogenico
 Vasoespasmo en la HS
                           Arteriogenico
 Estados procoagulantes
 Uso de cocaina           Embolismo de causa
 Asoc. A la migraña        indeterminada
 Hipertension sistemica
 Trombosis de senos
  cavernosos
ECV HEMORRÁGICO

 Constituye del 10-20% de de todos los casos de ECV.
 Mayores de 50 años
 Inicio abrupto o gradual
 Con pérdida de la conciencia, letargia, estupor, cefalea,
  náuseas, vómito, y déficits neurológicos de acuerdo a la
  presentación de la hemorragia en el SNC.
 FACTOR MAS IMPORTANTE: Hipertensión arterial
“LA HIPERTENSIÓN ARTERIAL PREPARA
Y EJECUTA LA HEMORRAGIA CEREBRAL”
ECV HEMORRÁGICO
                 FACTORES ETIOLÓGICOS:
   -   Hipertensión arterial.
   -   Aneurismas.
   -   Malformaciones vasculares.
   -   Angiopatía amiloide.
   -   Alteraciones de la coagulación.
   -   Drogas simpáticomiméticas.
   -   Arteritis.
   -   Infartos hemorrágicos por oclusión venosa.
UBICACIÓN ANATÓMICA


   En los ganglios basales (35 -45%),
   Sustancia blanca subcortical (25%),
   Tálamo (20%),
   Cerebelo (15%),
   Puente (5%).
SE CLASIFICA EN:



   Intraparenquimatoso
   Aneurisma
   Epidural
   Subdural
Los mejores resultados se obtienen cuando el paciente es
manejado en forma multidisciplinaria y oportunamente.

   Los objetivos fundamentales son
   1 . Salvar la vida
   2. Atenuar la magnitud del daño encefálico
   3. Evitar nuevas hemorragias
   4. Prevenir secuelas
FISIOPATOLOGÍA DE LA HEMORRAGIA
              CEREBRAL

La hemorragia
 cerebral primaria
 resulta del sangrado
 de vasos arteriales
 con daño de la
 intima por
 lipohialinosis y
 degeneración
 fibrinoide de las
 capas intima y
 media.
ENFERMEDAD VASCULAR HIPERTENSIVA

                 La enfermedad
                  vascular hipertensiva
                  compromete
                  preferentemente las
                  arteriolas penetrantes
                  lenticuloestriadas,
                  talamoperforantes y
                  los vasos perforantes
                  paramedianos ramas
                  de la arteria basilar.
 Las paredes debilitadas de las arteriolas desarrollan
  múltiples microanerisma Charcot y Bouchard su roptura
  origina la hemorragia cerebral.
 Se origina de un vaso arterial único, por la ruptura del mismo
  debilitado por cambios degenerativos y lipohilinosis.
Puede haber
 relación entre el
 diámetro de la
 arteria y la magnitud
 de la hemorragia.
Por el contrario no
 hay relación entre la
 severidad de la
 hipertensión y la
 magnitud de la
 hemorragia.
 Resultado otro tipo de lesiones. Alteración de la lámina
  elástica en diferentes localizaciones, preferentemente en la
  bifurcación de las pequeñas arterias.
 Alteraciones en la pared por deposito amiloide.
hipertensión endocraneal
                               y alteración de los
      hemorragia                mecanismos de           isquemia local y edema
                              autorregulación e la
                                   circulación




Severidad y síntomas del   diseca entre las fibras de   ocupa espacio y desplaza
     cuadro clínico.          la sustancia blanca            al tejido sano
 Efecto de masa: desplazamiento de tejido cerebral y hernias
 Edema cerebral e isquemia
 Extensión a los ventrículos y la hidrocefalia.
 El sangrado se detiene prontamente al formarse un coágulo.
 El edema vasogénico puede aumentar en el curso de 48 hrs :
  incremento de la masa y la hipertensión endocraneal.
 El volumen de la hemorragia se reduce a partir de la segunda
  semana. Con formación de macrófagos de hemosiderina en el
  borde del hematoma. La fagocitosis remueve la sangra y
  disminuye el tamaño de la lesión.
 Restando una cavidad ocupada por astrocitos que proliferan
  marginalmente al hematoma en reabsorción.
Masc ebrio de 18 a. asaltado, con pérdida
de 5 minutos de la conciencia. 2 hrs
después de la lesión, se presentó a un
departamento local de emergencias con
dolor de cabeza severo, náuseas y
vómitos. En la EF, su puntuación en la
Escala de Coma de Glasgow fue de 15,
tenía pupilas isocoricas con
normoreflexia, y había una pequeña
contusión en el cuero cabelludo en la
región temporoparietal izquierda
. La TC reveló un hematoma epidural de 2.5 cm en la región
parietal izquierda, subyace a una fractura lineal, no
desplazada del cráneo, Presento efecto de masa,
ensanchamiento del sistema ventricular izquierda, y 6 mm de
desplazamiento de línea media de izquierda a
derecha,Después de 30 minutos, su puntuación en la Escala
de Coma de Glasgow se redujo a 13, y fue intubado y
trasladado en helicóptero al hospital Johns Hopkins , donde
al llegar 30 minutos más tarde, se dilató la pupila izquierda.
Fue llevado directamente a la sala de operaciones, donde se
le practicó una craneotomía para la evacuación del
hematoma epidural. Varios sitios de sangrado de la arteria
meníngea media se identificaron y se coagula. Volvió a
trabajar como constructor de 3 meses después de la lesión.
En su último examen de seguimiento, 14 meses después de
la lesión, no tenía deficiencias físicas o cognitivas.
Hemorragia arterial que se situa entre el
cráneo y la duramadre, complicación que
puede ocurrir después de TCE,
aparentemente banales. Su identificación y
evacuación quirúrgica precoz es muy
importante ya que puede dar lugar de forma
brusca, tras un intervalo lúcido variable, a
una compresión cerebral y herniación y
muerte
Ocurre en aproximadamente el 1% de todos los TCE que ingresan y en el 22% de
los casos con fractura de cráneo. Es cuatro veces más frecuente en el sexo
masculino.
Ocurre generalmente en adultos jóvenes, y es raro antes de la edad de 2 años o
después de los 60 (quizás porque la dura es más adherente a la tabla interna en
estos grupos).


La localización más frecuente es a nivel temporal 60% con epicentro sobre
pterion.
La localización frontal , parietal, occipital y fosa posterior se produce en 5-10%
de los casos cada uno de ellos.

El hematoma epidural agudo espontáneo no-traumático es raro y es posible en
la presencia de enfermedad infecciosa. Puede también ocurrir en la presencia
de las malformaciones vasculasres durales, coagulopatías, tumores
hemorrágicos. También se han descrito en el lupus sistémico, la cirugía abierta
del corazón y hemodialisis.
desgarro de la arteria meníngea media o una de sus ramas (85% ), esto
es por causa, en su mayoría, a una fractura del hueso temporal,
aceleración angular de la cabeza, disminución o aumento súbito de
cualquiera de los diámetros craneales. La hemorragia despega la
duramadre de la superficie interna del hueso y produce un hematoma
que puede aumentar de tamaño y comprimir el cerebro subyacente.

El hematoma epidural también puede
deberse a conductos venosos óseos rotos
en el punto de fractura o laceración de los
senos venosos mayores de la duramadre.
La pérdida breve de conciencia seguida de un intervalo lúcido,con posterior
pérdida de conciencia , hemiparesia y dilatación de la pupila ipsilateral se
presenta con una frecuencia de < 10 a 27 %.
Otros síntomas y signos serían los siguientes:
Midriasis del lado del hematoma (60 % de los casos) por compresión del
tercer par.
Tumefacción en piel cabelluda de región temporo-parietal.
Otorrea homolateral al sitio del hematoma
Cefalea unilateral de las lesiones
Inquietud y vómitos, principalmente en niños
Alteraciones sensitivas, hemihipoestesia, afasia hemianopsia homónima.
Ataque de convulsiones generalizadas
Signos de parálisis del tercer par craneal,
 ptosis palpebral, midriasis y estrabismo divergente.
En la RX de cráneo no se muestra la fractura
 en el 40 % de los casos. La mayoría son
 menores de 30 años.
TAC cerebral y craneal
La lesión es biconvexa de alta densidad entre el cráneo y la
masa encefálica, en el 84% de casos. En el 11% convexo y
luego de distribución recta y en el 5 % se asemeja al
hematoma subdural.
Es generalmente uniforme en su densidad, bordes definidos,
contiguo con la tabla interna.
Craniotomía con evacuación de hemorragia y control del vaso sangrante y anclaje
dural.
Indicación quirúrgica.-
1. Paciente con síntomas focales o de presión intracraneal elevada
2. Asintomáticos mayores de 1cm. de anchura.
3. En edad pediátrica mayor agresividad en la indicación quirúrgica
4. Todos los de fosa posterior
Tratamiento conservador.-
En los casos de hematomas subagudos o crónicos sin efecto masa y que el estado
neurológico sea bueno.
Pueden administrarse corticoides.
.
Mortalidad entre 20-55% en serie antiguas.
Con la rápidez en el diagnóstico y tratamiento se ha llegado a reducir hasta un 5-10%.
La falta de intervalo lúcido empeora el pronóstico.
El 20% de pacientes también tienen un hematoma subdural agudo en la autopsia o la
intervención, con una mortalidad entre el 25-90%.
Masc ebrio de 18 a., fue asaltado con una botella de vidrio en la región parietal izquierda de la
cabeza con pérdida de 5 minutos de la conciencia. El paciente volvió a su casa, pero 2 hrs
después de la lesión, se presentó a un departamento local de emergencias con dolor de cabeza
severo, náuseas y vómitos. En la EF, su puntuación en la Escala de Coma de Glasgow fue de 15
(puntuaciones van desde 3 a 15, con un 15 indica un nivel normal de conciencia), tenía pupilas
iguales y reactivas bilateralmente, y había una pequeña contusión en el cuero cabelludo en la
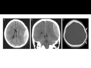
región temporoparietal izquierda. La TC reveló un hematoma epidural de 2.5 cm en la región
parietal izquierda (grupos A y B) que subyace a una fractura lineal, no desplazada del cráneo
(Grupo C, flechas). Presento efecto de masa, ensanchamiento del sistema ventricular izquierda, y
6 mm de desplazamiento de línea media de izquierda a derecha (panel A, flecha). Después de 30
minutos, su puntuación en la Escala de Coma de Glasgow se redujo a 13, y fue intubado y
trasladado en helicóptero al hospital Johns Hopkins , donde al llegar 30 minutos más tarde, se
dilató la pupila izquierda. Fue llevado directamente a la sala de operaciones, donde se le practicó
una craneotomía para la evacuación del hematoma epidural. Varios sitios de sangrado de la
arteria meníngea media se identificaron y se coagula. Volvió a trabajar como constructor de 3
meses después de la lesión. En su último examen de seguimiento, 14 meses después de la lesión,
no tenía deficiencias físicas o cognitivas.
Paciente de 26 años, sufre accidente de
moto sin pérdida de conciencia.Desde
entonces cefalea de predominio frontal.
Exploración neurológica:Consciente ,
orientado y sin focalidad neurológica
Exámenes complementarios:TAC
cerebral pequeño hematoma epidural
laminar occipital izquierdo.
Tx: Actitud conservadora.
Neonato que tras parto mediante fórceps
presentaba en días siguientes hipotonía.
Para descartar afectación cerebral se solicitó una
RM cerebral que mostraba un hematoma epidural
subyacente al cefalohematoma parietal derecho.
Indicación quirúrgica:
 Craneotomía - Evacuación.
 Paciente de 53 años, sin antecedentes mórbidos
  conocidos ni control hace muchos años.
  Mientras
 realiza compras sufre cefalea y cae al suelo. Es
  llevada al hospital y al ingreso está en sopor
  mediano y
 presión arterial 200/110, también desviación
  conjugada a la derecha ojos y cabeza, hemiplejia
  facial braquiocrural
 (FBC) izquierda, directa, armónica,
  hemianestesia hasta línea media e izquierda.
colección hemática dentro del parénquima cerebral
(intraparenquimatoso), debido a una rotura de un vaso
encefálico. Puede tener comunicación con el sistema ventricular y
en la TC se distingue bien como una zona hiperdensa en fases
precoces. Se presenta con doble frecuencia que la hemorragia
subaracnoidea.

 A partir de los 55 años de edad la frecuencia se dobla por cada
década que pasa.La incidencia de la hemorragia intracerebral
aumenta con ciertos factores de riesgo y enfermedades como son
la hipertensión arterial y los accidentes isquémicos cerebrales.
La gran mayoría atribuibles a la hipertensión arterial.
microaneurismas de Charcot y Bouchard, que se romperían en un
determinado momento originado la hemorragia. No obstante, un
porcentaje variable según las series, es generado por otras
causas:Anomalías vasculares como:

 Malformaciones arteriovenosas, aneurisma, micro aneurisma de
Charcot-Bouchard, tumores cerebrales, discrasias sanguíneas,
infecciones, trombosis de seno, cocaína anfetamina,
endarterectomía carotídea, angiopatía congofílica, traumatismo
craneoencefálico previo-Infecciones del SNC(micóticos, herpes...),
Eclampsia, Trombosis venosa, etc
El 80% de las hemorragias intraparenquimatosas ocurren en
los hemisferios cerebrales y el 20% en el tronco y el cerebelo.
Los de causa primaria afectan sobre todo a los ganglios de la
base, el tálamo, la protuberancia y el cerebelo, mientras que
las causas secundarias son responsables sobre todo de
hemorragias lobulares (sustancia blanca subcortical).

Las hemorragias cerebrales como efecto
adverso de los anticoagulantes tienen
predilección por el cerebelo, los
hemisferios cerebrales (lobulares)
y el espacio subdural.
. Síntomas y signos.La clínica va a depender de la localización, del
edema acompañante y la presencia de hidrocefalia entre otros. No
es posible diferenciar clínicamente el ictus isquémico del
hemorrágico. No obstante, es característica la presencia de cefalea
(50%), vómitos (30%), y alteración del nivel de conciencia (estupor y
coma, este último es raro en el ictus isquémico hemisférico) desde el
inicio del cuadro. Otros hallazgos frecuentes en este tipo de ictus
son la ausencia de antecedentes de A.I.T. y rigidez de la nuca en la
exploración.

La hemorragia cerebelosa puede presentarse con el inicio repentino
de nauseas y vómitos, desequilibrio, cefalea y pérdida de
conocimiento que quizá termine en la muerte en 48 horas.
. El T.A.C. es importante no solo para confirmar que ha ocurrido una hemorragia,
sino también para determinar el tamaño y el sitio del hematoma. Nos muestra
la información necesaria para tomar la decisión de realizar una evacuación
quirúrgica urgente del hematoma.

La resonancia nuclear magnética nos sirve para valorar la edad del hematoma, y
la presencia de una angiopatía congofílica. El agudo aparece hipointenso, el
subagudo muy hiperintenso y el crónico isointenso.
Se realizará angiografía cerebral en todas las hemorragias lobares o en
pacientes jóvenes. En las hemorragias de putamen, tálamo y mesencéfalo la
indicación se realizará de forma individualizada.
Se debe solicitar un hemograma completo más un perfil
de coagulación, más los datos de química básica. Para
algunos autores está contraindicada la P.L. porque podría
precipitar una herniación en pacientes con gran
hematoma. Otros la aconsejan, con los cuidados
necesarios y sin que existan datos clínicos de
hipertensión endocraneana.
La P.L. conlleva un riesgo notable tras la hemorragia
intracerebral, por lo que habitualmente no se debe
realizar a no ser que no se pueda efectuar una T.A.C.
. Conservador y de apoyo, sin importar si el paciente tiene un
déficit intenso con compresión concurrente es ominoso, o un
déficit más localizado que no aumenta la presión intracraneal ni
afecta el tallo encefálico. Sin embargo en pacientes con
hemorragia cerebelosa, es apropiado evacuar de inmediato el
hematoma, porque de otra forma el deterioro espontáneo e
impredecible puede originar un resultado final mortal y el
tratamiento quirúrgico quizá permita la resolución completa del
déficit
En definitiva, el tratamiento a seguir es: resolución de la
hipertensión arterial si la hubiere. Corregir la discrasia sanguínea
y antiepilépticos.
. La intervención quirúrgica en la mayoría de los casos
consiste en evacuar la mayor cantidad posible de
hemorragia para evitar o paliar el daño que sufre el
cerebro por irritación y comprensión. Suele hacerse
mediante una "craneotomía" (apertura del cráneo y
evacuación del hematoma) que requiere una serie de
estudios preoperatorios y anestesia general. Las
secuelas, temporales o permanentes, pueden ser muy
diversas y varían en gran medida con el tipo de
hemorragia y las características de cada paciente.
HEMATOMA SUBDURAL
CASO CLINICO

 Paciente masculino de 10 años de edad, que atiende a
  consulta de Atención primaria por que en el colegio los
  profesores le notaron ausente, presentando de forma brusca
  un episodio de perdida de fuerza en la mano derecha de unos
  segundos de duración que provoco la caída del bolígrafo con
  el que escribía. Se trato de un episodio aislado, no repetido
  con posterioridad. Existían antecedentes de caída desde la
  bicicleta en días previos por el que se golpeo la cabeza,
  perdiendo la conciencia durante unos segundos. No acudió a
  ningún servicio de urgencias. Refería migrañas habituales en
  los dos últimos años
HEMATOMA

 acumulación de sangre entre la duramadre que es la
  membrana que cubre el cerebro y la aracnoides, una de las
  capas meníngea.
FISIOPATOLOGIA

 Típicamente se produce un sangrado venoso (entre la corteza
  y senos venosos) que diseca la aracnoides de la duramadre
  produciendo una lesión cerebral por presión directa,
  aumentando la presión intracraneal (ICP), generalmente
  asociado a lesiones intraparenquimatosas.
INCIDENCIA

 Con mayor frecuencia es mas común en hombres que en
  mujeres.
 La edad promedio es a los 60 años
 Se presenta mas los hematomas en área frontoparietal
  bilateral
CLASIFICACION

 agudos son los que se presentan en las primeras 72 horas,
  los subagudos entre los 4 días y las 3 semanas, y los crónicos
  generalmente después de las 3 semanas hasta tres o cuatro
  meses.
SUBDURAL AGUDO

 Alrededor de 33% tienen un intervalo lucido con duracion de
  minutos a horas antes de caer a coma. Pero la mayoria
  manifiesta somnolencia.
 Se acompanan de cefalea unilateral, miosis pupilar
  ipsolateral.
 Estupor, coma, hemiparesia y miosis unilateral son signos de
  hematomas grandes
 En estudios de imagen los hematomas tienen aspecto de
  acumulaciones semilunares sobre la convexidad de uno o
  ambos hemisferios. Preferencia regiones temporales.
SUBDURAL CRONICO

 No siempre existe un antecedente traumático.
 20-30% no recuerdan haberse golpeado la cabeza
  especialmente ancianos o con trastornos de coagulación.
 Tienen pensamiento lento, cambios vagos de personalidad,
  convulsiones o hemiparesia leve
 Las radiografías suelen ser normales con excepción del
  desplazamiento de la glándula pineal.
TRATAMIENTO

 casi siempre es quirúrgico, excepto en aquellos menores de 5
  mm. siempre y cuando no produzcan efecto de masa, no den
  síntomas ni signos focales ni de hipertensión intracraneal.
 El tratamiento quirúrgico en los hematomas subdurales
  agudos consiste en una craneotomía
 En los hematomas subdurales crónicos el drenaje se hace por
  medio de trépanos
 Diuréticos: reducir edema
 Anticonvulsivantes: fenitoina, para prevenir o controlar
  convulsiones.
 Esteroides: Estos medicamentos pueden ser administrados
  para disminuir la inflamación que se caracteriza por
  enrojecimiento, dolor e hinchazón.
ANEURISMA CEREBRAL
 Paciente DRP femenino de 55 años, llega a nuestro ser vicio de
  Imagenología del hospital LA CARLOTA . Con síntomas iniciados de
  forma súbita de sensación de estallido en la cabeza, acompañada de
  mareos, convulsiones y finalmente perdida del conocimiento.
 Antecedentes: Hiper tensión ar terial.
 Examen físico:
 Tensión ar terial (TA): 1 82/134 mmHg, pulso 97 latidos por minuto,
 temperatura: 36ºC. Paciente inconsciente.
 Ojos, oídos, nariz y orofaringe normales.
 Cuello: sin alteraciones.
 Tórax: auscultación sin alteraciones.
 Abdomen: sigue los movimientos respiratorios, ruidos hidroaéreos
 (RHA) presentes, no visceromegalias .
 Examen neurológico: inconsciente, signo de Babinski positivo y
 bilateral, hemiplejia y afasia.
 Fondo ojo: presencia de hemorragias retinianas o subhialoideas .
QUE ES UN ANEURISMA?
Una dilatacion anormal y daño a la pared
Normalmente es por una arteria
La ubicación por lo general en las zonas de
 emergencia de las ramas de arterias
 principales y especialmente durante su
 recorrido por el espacio subaracnoideo
 cisternal .
INCIDENCIA

 Autopsias prevalencia promedio de 5%
 Estudios angiograficos 6,5% de personas tienen aneurisma.
 La presencia de aneurisma y la ruptura incrementa con la
  edad especialmente entre los 40 y 70 años.
 Raros los casos que se presentan en la niñez.
 Entre las personas que presentan un aneurisma, 15 a 20%
  tendrán o desarrollarán varios aneurismas, denominándose a
  estos casos “aneurismas múltiples”.
CAUSAS

 Estrés hemodinámico


       Infección


Enfermedades asociadas


    Traumatismos


         otros
PATOGENIA

 Teoría congénita: considera que la causa es la discontinuidad
  de la capa muscular de la túnica media de la arteria.
  Especialmente en la zona de la bifurcación.
     Se presenta en familiares, gemelos idénticos y pacientes
con enfermedades genéticas (síndrome de         marfan)
 Otra teoría propone que el aneurisma son:Cambios
  degenerativos, que se adquieren con la edad, hipertensión
  arterial. Así puede verse proliferación de la intima,
  degeneración de la elástica y cambios ateroscleróticos.
TIPOS DE ANEURISMAS
  Saculares:
que constituyen el 80 a 90%, y se ubican principalmente en
las bifurcaciones de los vasos principales cuando discurren por
el espacio cisternal. Tienen un sector que es el cuello del
aneurisma y otro que es el fondo
 Aneurisma fusiformes o ateroscleroticos
 No ocurren en la salida de ramas, sino solo un segmento de la
  pared de una arteria principal
 Es frecuente en personas con aterosclerosis e hipertension.
 Aneurismas infecciosos o micóticos
 Lesiones causadas por émbolos bacterianos o muy raro por
  hongos. Frecuencia de 4%. Se asocia endocarditis bacteriana,
  inmunocomprometidos, consumen drogas. Circulación distal.
 Aneurismas disecantes
 Se produce por el desgarro en la capa interna de la pared
  arterial que permite el paso de la sangre a los vasos, esta se
  distiende a un lado de la pared de la arteria y bloquear el
  flujo.
CLASIFICACIÓN POR TAMAÑO


   Los aneurismas son también clasificados por tamaño
   Aneurisma muy pequeño: menor a 3 milímetros
   Aneurisma pequeño: menor de 11 milímetros
   Aneurisma grande: 11 a 25 milímetros
   Aneurisma gigante: mayor de 25 milímetros
CLASIFICACION POR LOCALIZACION

 Mas frecuente, polígono de Willis
 85% porción anterior del polígono, afectan la arteria carótida
  interna y ramas.
 Comunicante anterior 39 -35%
 Origen arteria comunicante posterior a partir de la arteria
  carótida interna 39-35%
 Bifurcación arteria cerebral media 20%
 Bifurcación arteria basilar 5%
 Solitarios 70-75%
 Lesiones múltiples 20 -25%
 La causa más frecuente para el desarrollo de un aneurisma
  son lesiones vasculares inducidas hemodinámicamente,
  ateroesclerosis, vasculopatia subyacente y estados de alto
  flujo. Causas menos comunes son trauma, infección, abuso de
  drogas y neoplasias.
 La mayoría de los aneurismas no ocasionan síntomas hasta
  que se rompen; cuando se rompen, se asocian con morbilidad
  y mortalidad significativa. Los aneurismas pequeños cuando
  mantienen su tamaño generalmente no ocasionan
  sintomatología. Sin embargo, los aneurismas grandes y
  gigantes que continúan creciendo pueden ocasionar
  compresión del tejido nervioso o pares craneales.
DIAGNOSTICO

 ANGIOGRAFIA
 ANGIOGRAFIA RESONANCIA MAGNETICA
CRANEOTOMÍA ABIERTA



 Expone la arteria con el
  aneurisma y coloca una
  grapa de metal a través
  del cuello del
  aneurisma para evitar
  que la sangre pase por
  el saco del aneurisma
ESPIRAL ENDOVASCULAR O
        EMBOLIZACIÓN CON ESPIRAL



 Es una técnica
  mínimamente invasiva,
  que no requiere una
  incisión.
 Se avanza un catéter
  desde un vaso
  sanguíneo en la ingle
  hacia los vasos
  sanguíneos del
  encéfalo.
 Se utiliza la fluoroscopia
  (un tipo especial de rayos
  X, similar a una
  "película" de rayos X)
  como guía para el avance
  del catéter a la cabeza y
  hacia el aneurisma.
 Una vez que el catéter
  está en su lugar, se
  avanzan espirales de
  platino muy pequeños a
  través de éste hacia el
  aneurisma.
El aneurisma con el
 espiral se coagula
 (embolización), y se
 evita así la ruptura.
Este procedimiento
 se puede realizar
 con anestesia
 general o local.
PREVENCION

 Evitar el consumo de
  alcohol
 Disminuir consumo de
  tabaco
 No consumir drogas
  ilícitas como cocaína o
  anfetamina.
 Control de Hipertensión
 Dieta baja en grasas
.




                                            BIBLIOGRAFIA
HTTP://WWW.MED.UFRO.CL/RECURSOS/NEUROANATOMIA/ARCHIVOS
                              /CASOS_CLINICOS/1-2004.PDF
 HTTP://WWW.CFNAVARRA.ES/SALUD/ANALES/TEXTOS/VOL23/SUPL
                                        E3/SUPLE16.HTML
   http://www.centroendovascular.com.ar/pdf/aneurisma.pdf
   http://www.noticiassalud.com/salud -vascular
   http://es.wikipedia.org/wiki/Aneurisma_cerebral
   http://sisbib.unmsm.edu.pe/bibvirtual/libros/medicina/neuro
    cirugia/volumen1/aneu_intrac_1.htm
 http://www.portalesmedicos.com/publicaciones/articles/389
  5/1/Presentacion-de-un-caso-clinico- Aneurisma-cerebral-roto-
  en-paciente-con-enfermedad-renal-poliquistica.html
 http://www.nonnoscere.com/07 -CASOS%20ANEURISMAS.html
 http://espanol.ninds.nih.gov/trastornos/Aneurismas_Cerebral
  es.htm

Aneurisma cerebral

  • 1.
    EVC Equipo 4 LORENA QUETZESCALE RA CARLOS ACOSTA ESCOBEDO JENNIF ER FRANCO LUIS AGUILAR CUSTODIO KAREN ROJAS
  • 2.
    CASO CLINICO  Pacientede 53 años, sin antecedentes mórbidos conocidos ni control hace muchos años. Mientras realiza compras sufre cefalea y cae al suelo. Es llevada al hospital y al ingreso está en sopor mediano y presión arterial 200/110, también desviación conjugada a la derecha ojos y cabeza, hemiplejia facial braquiocrural (FBC) izquierda, directa, armónica, hemianestesia hasta línea media e izquierda.
  • 3.
    DEFINICION La Organización Mundialde la Salud define la ECV como el desarrollo de signos clínicos de alteración focal o global de la función cerebral, con síntomas que tienen una duración de 24 horas o más, o que progresan hacia la muerte y no tienen otra causa aparente que un origen vascular.
  • 4.
    EPIDEMIOLOGIA  2da causade muerte en el mundo  3ra causa de muerte en centros hopsitalarios  El 12% de muertes en paises industrializados  88% personas mayores de 65 años  La incidencia aumenta conforme aumenta la edad del paciente  Mayor riesgo en hombres que en mujeres
  • 5.
    FACTORES DE RIESGO MODIFICABLES NO MODIFICABLES  Hipertension  Edad: 65 años  Colesterol serico  Sexo Masculino  Cigarro  Raza negra o asiatica  Sobrepeso  Antecedentes  Fibrinogeno herodfamiliares  Diabetes y alteracion en la tolerancia de la glucosa  Anticonceptivos orales  Dieta y alcohol  Funcion cardiaca
  • 7.
    CLASIFICACIÓN IC por trombosis Isquémica 80% IC por embolo ECV Hemorragia intracerebral y subaracnoidea Hemorrágica 20% Epidural y subaracnoidea
  • 8.
    ECV ISQUÉMICO  LaIsquemia Cerebral Transitoria (ICT) se define como episodios de déficit  neurológico focal, que tienen una duración inferior a 24 horas y que son  consecuencia de la isquemia cerebral .  Es el mas importante predictor de un infarto isquemico  Se plantea que el 50% dura menos de 5 minutos, 25% duran hasta una hora, y el 25% restante desaparecen en el término de 24 horas.
  • 9.
    CLASIFICACIÓN Trombotico  Aterosclerosis Embolico  Diseccion arterial Cardiogenico  Vasoespasmo en la HS Arteriogenico  Estados procoagulantes  Uso de cocaina Embolismo de causa  Asoc. A la migraña indeterminada  Hipertension sistemica  Trombosis de senos cavernosos
  • 11.
    ECV HEMORRÁGICO  Constituyedel 10-20% de de todos los casos de ECV.  Mayores de 50 años  Inicio abrupto o gradual  Con pérdida de la conciencia, letargia, estupor, cefalea, náuseas, vómito, y déficits neurológicos de acuerdo a la presentación de la hemorragia en el SNC.  FACTOR MAS IMPORTANTE: Hipertensión arterial
  • 12.
    “LA HIPERTENSIÓN ARTERIALPREPARA Y EJECUTA LA HEMORRAGIA CEREBRAL”
  • 13.
    ECV HEMORRÁGICO FACTORES ETIOLÓGICOS:  - Hipertensión arterial.  - Aneurismas.  - Malformaciones vasculares.  - Angiopatía amiloide.  - Alteraciones de la coagulación.  - Drogas simpáticomiméticas.  - Arteritis.  - Infartos hemorrágicos por oclusión venosa.
  • 14.
    UBICACIÓN ANATÓMICA  En los ganglios basales (35 -45%),  Sustancia blanca subcortical (25%),  Tálamo (20%),  Cerebelo (15%),  Puente (5%).
  • 15.
    SE CLASIFICA EN:  Intraparenquimatoso  Aneurisma  Epidural  Subdural
  • 16.
    Los mejores resultadosse obtienen cuando el paciente es manejado en forma multidisciplinaria y oportunamente.  Los objetivos fundamentales son  1 . Salvar la vida  2. Atenuar la magnitud del daño encefálico  3. Evitar nuevas hemorragias  4. Prevenir secuelas
  • 17.
    FISIOPATOLOGÍA DE LAHEMORRAGIA CEREBRAL La hemorragia cerebral primaria resulta del sangrado de vasos arteriales con daño de la intima por lipohialinosis y degeneración fibrinoide de las capas intima y media.
  • 18.
    ENFERMEDAD VASCULAR HIPERTENSIVA  La enfermedad vascular hipertensiva compromete preferentemente las arteriolas penetrantes lenticuloestriadas, talamoperforantes y los vasos perforantes paramedianos ramas de la arteria basilar.
  • 19.
     Las paredesdebilitadas de las arteriolas desarrollan múltiples microanerisma Charcot y Bouchard su roptura origina la hemorragia cerebral.  Se origina de un vaso arterial único, por la ruptura del mismo debilitado por cambios degenerativos y lipohilinosis.
  • 20.
    Puede haber relaciónentre el diámetro de la arteria y la magnitud de la hemorragia. Por el contrario no hay relación entre la severidad de la hipertensión y la magnitud de la hemorragia.
  • 21.
     Resultado otrotipo de lesiones. Alteración de la lámina elástica en diferentes localizaciones, preferentemente en la bifurcación de las pequeñas arterias.  Alteraciones en la pared por deposito amiloide.
  • 22.
    hipertensión endocraneal y alteración de los hemorragia mecanismos de isquemia local y edema autorregulación e la circulación Severidad y síntomas del diseca entre las fibras de ocupa espacio y desplaza cuadro clínico. la sustancia blanca al tejido sano
  • 23.
     Efecto demasa: desplazamiento de tejido cerebral y hernias  Edema cerebral e isquemia  Extensión a los ventrículos y la hidrocefalia.
  • 24.
     El sangradose detiene prontamente al formarse un coágulo.  El edema vasogénico puede aumentar en el curso de 48 hrs : incremento de la masa y la hipertensión endocraneal.  El volumen de la hemorragia se reduce a partir de la segunda semana. Con formación de macrófagos de hemosiderina en el borde del hematoma. La fagocitosis remueve la sangra y disminuye el tamaño de la lesión.  Restando una cavidad ocupada por astrocitos que proliferan marginalmente al hematoma en reabsorción.
  • 25.
    Masc ebrio de18 a. asaltado, con pérdida de 5 minutos de la conciencia. 2 hrs después de la lesión, se presentó a un departamento local de emergencias con dolor de cabeza severo, náuseas y vómitos. En la EF, su puntuación en la Escala de Coma de Glasgow fue de 15, tenía pupilas isocoricas con normoreflexia, y había una pequeña contusión en el cuero cabelludo en la región temporoparietal izquierda
  • 26.
    . La TCreveló un hematoma epidural de 2.5 cm en la región parietal izquierda, subyace a una fractura lineal, no desplazada del cráneo, Presento efecto de masa, ensanchamiento del sistema ventricular izquierda, y 6 mm de desplazamiento de línea media de izquierda a derecha,Después de 30 minutos, su puntuación en la Escala de Coma de Glasgow se redujo a 13, y fue intubado y trasladado en helicóptero al hospital Johns Hopkins , donde al llegar 30 minutos más tarde, se dilató la pupila izquierda. Fue llevado directamente a la sala de operaciones, donde se le practicó una craneotomía para la evacuación del hematoma epidural. Varios sitios de sangrado de la arteria meníngea media se identificaron y se coagula. Volvió a trabajar como constructor de 3 meses después de la lesión. En su último examen de seguimiento, 14 meses después de la lesión, no tenía deficiencias físicas o cognitivas.
  • 27.
    Hemorragia arterial quese situa entre el cráneo y la duramadre, complicación que puede ocurrir después de TCE, aparentemente banales. Su identificación y evacuación quirúrgica precoz es muy importante ya que puede dar lugar de forma brusca, tras un intervalo lúcido variable, a una compresión cerebral y herniación y muerte
  • 28.
    Ocurre en aproximadamenteel 1% de todos los TCE que ingresan y en el 22% de los casos con fractura de cráneo. Es cuatro veces más frecuente en el sexo masculino. Ocurre generalmente en adultos jóvenes, y es raro antes de la edad de 2 años o después de los 60 (quizás porque la dura es más adherente a la tabla interna en estos grupos). La localización más frecuente es a nivel temporal 60% con epicentro sobre pterion. La localización frontal , parietal, occipital y fosa posterior se produce en 5-10% de los casos cada uno de ellos. El hematoma epidural agudo espontáneo no-traumático es raro y es posible en la presencia de enfermedad infecciosa. Puede también ocurrir en la presencia de las malformaciones vasculasres durales, coagulopatías, tumores hemorrágicos. También se han descrito en el lupus sistémico, la cirugía abierta del corazón y hemodialisis.
  • 29.
    desgarro de laarteria meníngea media o una de sus ramas (85% ), esto es por causa, en su mayoría, a una fractura del hueso temporal, aceleración angular de la cabeza, disminución o aumento súbito de cualquiera de los diámetros craneales. La hemorragia despega la duramadre de la superficie interna del hueso y produce un hematoma que puede aumentar de tamaño y comprimir el cerebro subyacente. El hematoma epidural también puede deberse a conductos venosos óseos rotos en el punto de fractura o laceración de los senos venosos mayores de la duramadre.
  • 30.
    La pérdida brevede conciencia seguida de un intervalo lúcido,con posterior pérdida de conciencia , hemiparesia y dilatación de la pupila ipsilateral se presenta con una frecuencia de < 10 a 27 %. Otros síntomas y signos serían los siguientes: Midriasis del lado del hematoma (60 % de los casos) por compresión del tercer par. Tumefacción en piel cabelluda de región temporo-parietal. Otorrea homolateral al sitio del hematoma Cefalea unilateral de las lesiones Inquietud y vómitos, principalmente en niños Alteraciones sensitivas, hemihipoestesia, afasia hemianopsia homónima. Ataque de convulsiones generalizadas Signos de parálisis del tercer par craneal, ptosis palpebral, midriasis y estrabismo divergente.
  • 31.
    En la RXde cráneo no se muestra la fractura en el 40 % de los casos. La mayoría son menores de 30 años. TAC cerebral y craneal La lesión es biconvexa de alta densidad entre el cráneo y la masa encefálica, en el 84% de casos. En el 11% convexo y luego de distribución recta y en el 5 % se asemeja al hematoma subdural. Es generalmente uniforme en su densidad, bordes definidos, contiguo con la tabla interna.
  • 32.
    Craniotomía con evacuaciónde hemorragia y control del vaso sangrante y anclaje dural. Indicación quirúrgica.- 1. Paciente con síntomas focales o de presión intracraneal elevada 2. Asintomáticos mayores de 1cm. de anchura. 3. En edad pediátrica mayor agresividad en la indicación quirúrgica 4. Todos los de fosa posterior Tratamiento conservador.- En los casos de hematomas subagudos o crónicos sin efecto masa y que el estado neurológico sea bueno. Pueden administrarse corticoides. .
  • 33.
    Mortalidad entre 20-55%en serie antiguas. Con la rápidez en el diagnóstico y tratamiento se ha llegado a reducir hasta un 5-10%. La falta de intervalo lúcido empeora el pronóstico. El 20% de pacientes también tienen un hematoma subdural agudo en la autopsia o la intervención, con una mortalidad entre el 25-90%.
  • 34.
    Masc ebrio de18 a., fue asaltado con una botella de vidrio en la región parietal izquierda de la cabeza con pérdida de 5 minutos de la conciencia. El paciente volvió a su casa, pero 2 hrs después de la lesión, se presentó a un departamento local de emergencias con dolor de cabeza severo, náuseas y vómitos. En la EF, su puntuación en la Escala de Coma de Glasgow fue de 15 (puntuaciones van desde 3 a 15, con un 15 indica un nivel normal de conciencia), tenía pupilas iguales y reactivas bilateralmente, y había una pequeña contusión en el cuero cabelludo en la región temporoparietal izquierda. La TC reveló un hematoma epidural de 2.5 cm en la región parietal izquierda (grupos A y B) que subyace a una fractura lineal, no desplazada del cráneo (Grupo C, flechas). Presento efecto de masa, ensanchamiento del sistema ventricular izquierda, y 6 mm de desplazamiento de línea media de izquierda a derecha (panel A, flecha). Después de 30 minutos, su puntuación en la Escala de Coma de Glasgow se redujo a 13, y fue intubado y trasladado en helicóptero al hospital Johns Hopkins , donde al llegar 30 minutos más tarde, se dilató la pupila izquierda. Fue llevado directamente a la sala de operaciones, donde se le practicó una craneotomía para la evacuación del hematoma epidural. Varios sitios de sangrado de la arteria meníngea media se identificaron y se coagula. Volvió a trabajar como constructor de 3 meses después de la lesión. En su último examen de seguimiento, 14 meses después de la lesión, no tenía deficiencias físicas o cognitivas.
  • 36.
    Paciente de 26años, sufre accidente de moto sin pérdida de conciencia.Desde entonces cefalea de predominio frontal. Exploración neurológica:Consciente , orientado y sin focalidad neurológica Exámenes complementarios:TAC cerebral pequeño hematoma epidural laminar occipital izquierdo. Tx: Actitud conservadora.
  • 38.
    Neonato que trasparto mediante fórceps presentaba en días siguientes hipotonía. Para descartar afectación cerebral se solicitó una RM cerebral que mostraba un hematoma epidural subyacente al cefalohematoma parietal derecho. Indicación quirúrgica: Craneotomía - Evacuación.
  • 39.
     Paciente de53 años, sin antecedentes mórbidos conocidos ni control hace muchos años. Mientras  realiza compras sufre cefalea y cae al suelo. Es llevada al hospital y al ingreso está en sopor mediano y  presión arterial 200/110, también desviación conjugada a la derecha ojos y cabeza, hemiplejia facial braquiocrural  (FBC) izquierda, directa, armónica, hemianestesia hasta línea media e izquierda.
  • 40.
    colección hemática dentrodel parénquima cerebral (intraparenquimatoso), debido a una rotura de un vaso encefálico. Puede tener comunicación con el sistema ventricular y en la TC se distingue bien como una zona hiperdensa en fases precoces. Se presenta con doble frecuencia que la hemorragia subaracnoidea. A partir de los 55 años de edad la frecuencia se dobla por cada década que pasa.La incidencia de la hemorragia intracerebral aumenta con ciertos factores de riesgo y enfermedades como son la hipertensión arterial y los accidentes isquémicos cerebrales.
  • 41.
    La gran mayoríaatribuibles a la hipertensión arterial. microaneurismas de Charcot y Bouchard, que se romperían en un determinado momento originado la hemorragia. No obstante, un porcentaje variable según las series, es generado por otras causas:Anomalías vasculares como: Malformaciones arteriovenosas, aneurisma, micro aneurisma de Charcot-Bouchard, tumores cerebrales, discrasias sanguíneas, infecciones, trombosis de seno, cocaína anfetamina, endarterectomía carotídea, angiopatía congofílica, traumatismo craneoencefálico previo-Infecciones del SNC(micóticos, herpes...), Eclampsia, Trombosis venosa, etc
  • 42.
    El 80% delas hemorragias intraparenquimatosas ocurren en los hemisferios cerebrales y el 20% en el tronco y el cerebelo. Los de causa primaria afectan sobre todo a los ganglios de la base, el tálamo, la protuberancia y el cerebelo, mientras que las causas secundarias son responsables sobre todo de hemorragias lobulares (sustancia blanca subcortical). Las hemorragias cerebrales como efecto adverso de los anticoagulantes tienen predilección por el cerebelo, los hemisferios cerebrales (lobulares) y el espacio subdural.
  • 43.
    . Síntomas ysignos.La clínica va a depender de la localización, del edema acompañante y la presencia de hidrocefalia entre otros. No es posible diferenciar clínicamente el ictus isquémico del hemorrágico. No obstante, es característica la presencia de cefalea (50%), vómitos (30%), y alteración del nivel de conciencia (estupor y coma, este último es raro en el ictus isquémico hemisférico) desde el inicio del cuadro. Otros hallazgos frecuentes en este tipo de ictus son la ausencia de antecedentes de A.I.T. y rigidez de la nuca en la exploración. La hemorragia cerebelosa puede presentarse con el inicio repentino de nauseas y vómitos, desequilibrio, cefalea y pérdida de conocimiento que quizá termine en la muerte en 48 horas.
  • 44.
    . El T.A.C.es importante no solo para confirmar que ha ocurrido una hemorragia, sino también para determinar el tamaño y el sitio del hematoma. Nos muestra la información necesaria para tomar la decisión de realizar una evacuación quirúrgica urgente del hematoma. La resonancia nuclear magnética nos sirve para valorar la edad del hematoma, y la presencia de una angiopatía congofílica. El agudo aparece hipointenso, el subagudo muy hiperintenso y el crónico isointenso. Se realizará angiografía cerebral en todas las hemorragias lobares o en pacientes jóvenes. En las hemorragias de putamen, tálamo y mesencéfalo la indicación se realizará de forma individualizada.
  • 45.
    Se debe solicitarun hemograma completo más un perfil de coagulación, más los datos de química básica. Para algunos autores está contraindicada la P.L. porque podría precipitar una herniación en pacientes con gran hematoma. Otros la aconsejan, con los cuidados necesarios y sin que existan datos clínicos de hipertensión endocraneana. La P.L. conlleva un riesgo notable tras la hemorragia intracerebral, por lo que habitualmente no se debe realizar a no ser que no se pueda efectuar una T.A.C.
  • 46.
    . Conservador yde apoyo, sin importar si el paciente tiene un déficit intenso con compresión concurrente es ominoso, o un déficit más localizado que no aumenta la presión intracraneal ni afecta el tallo encefálico. Sin embargo en pacientes con hemorragia cerebelosa, es apropiado evacuar de inmediato el hematoma, porque de otra forma el deterioro espontáneo e impredecible puede originar un resultado final mortal y el tratamiento quirúrgico quizá permita la resolución completa del déficit En definitiva, el tratamiento a seguir es: resolución de la hipertensión arterial si la hubiere. Corregir la discrasia sanguínea y antiepilépticos.
  • 47.
    . La intervenciónquirúrgica en la mayoría de los casos consiste en evacuar la mayor cantidad posible de hemorragia para evitar o paliar el daño que sufre el cerebro por irritación y comprensión. Suele hacerse mediante una "craneotomía" (apertura del cráneo y evacuación del hematoma) que requiere una serie de estudios preoperatorios y anestesia general. Las secuelas, temporales o permanentes, pueden ser muy diversas y varían en gran medida con el tipo de hemorragia y las características de cada paciente.
  • 48.
  • 49.
    CASO CLINICO  Pacientemasculino de 10 años de edad, que atiende a consulta de Atención primaria por que en el colegio los profesores le notaron ausente, presentando de forma brusca un episodio de perdida de fuerza en la mano derecha de unos segundos de duración que provoco la caída del bolígrafo con el que escribía. Se trato de un episodio aislado, no repetido con posterioridad. Existían antecedentes de caída desde la bicicleta en días previos por el que se golpeo la cabeza, perdiendo la conciencia durante unos segundos. No acudió a ningún servicio de urgencias. Refería migrañas habituales en los dos últimos años
  • 50.
    HEMATOMA  acumulación desangre entre la duramadre que es la membrana que cubre el cerebro y la aracnoides, una de las capas meníngea.
  • 51.
    FISIOPATOLOGIA  Típicamente seproduce un sangrado venoso (entre la corteza y senos venosos) que diseca la aracnoides de la duramadre produciendo una lesión cerebral por presión directa, aumentando la presión intracraneal (ICP), generalmente asociado a lesiones intraparenquimatosas.
  • 52.
    INCIDENCIA  Con mayorfrecuencia es mas común en hombres que en mujeres.  La edad promedio es a los 60 años  Se presenta mas los hematomas en área frontoparietal bilateral
  • 53.
    CLASIFICACION  agudos sonlos que se presentan en las primeras 72 horas, los subagudos entre los 4 días y las 3 semanas, y los crónicos generalmente después de las 3 semanas hasta tres o cuatro meses.
  • 54.
    SUBDURAL AGUDO  Alrededorde 33% tienen un intervalo lucido con duracion de minutos a horas antes de caer a coma. Pero la mayoria manifiesta somnolencia.  Se acompanan de cefalea unilateral, miosis pupilar ipsolateral.  Estupor, coma, hemiparesia y miosis unilateral son signos de hematomas grandes
  • 55.
     En estudiosde imagen los hematomas tienen aspecto de acumulaciones semilunares sobre la convexidad de uno o ambos hemisferios. Preferencia regiones temporales.
  • 56.
    SUBDURAL CRONICO  Nosiempre existe un antecedente traumático.  20-30% no recuerdan haberse golpeado la cabeza especialmente ancianos o con trastornos de coagulación.  Tienen pensamiento lento, cambios vagos de personalidad, convulsiones o hemiparesia leve  Las radiografías suelen ser normales con excepción del desplazamiento de la glándula pineal.
  • 58.
    TRATAMIENTO  casi siemprees quirúrgico, excepto en aquellos menores de 5 mm. siempre y cuando no produzcan efecto de masa, no den síntomas ni signos focales ni de hipertensión intracraneal.
  • 59.
     El tratamientoquirúrgico en los hematomas subdurales agudos consiste en una craneotomía  En los hematomas subdurales crónicos el drenaje se hace por medio de trépanos
  • 60.
     Diuréticos: reduciredema  Anticonvulsivantes: fenitoina, para prevenir o controlar convulsiones.  Esteroides: Estos medicamentos pueden ser administrados para disminuir la inflamación que se caracteriza por enrojecimiento, dolor e hinchazón.
  • 61.
  • 62.
     Paciente DRPfemenino de 55 años, llega a nuestro ser vicio de Imagenología del hospital LA CARLOTA . Con síntomas iniciados de forma súbita de sensación de estallido en la cabeza, acompañada de mareos, convulsiones y finalmente perdida del conocimiento. Antecedentes: Hiper tensión ar terial. Examen físico: Tensión ar terial (TA): 1 82/134 mmHg, pulso 97 latidos por minuto, temperatura: 36ºC. Paciente inconsciente. Ojos, oídos, nariz y orofaringe normales. Cuello: sin alteraciones. Tórax: auscultación sin alteraciones. Abdomen: sigue los movimientos respiratorios, ruidos hidroaéreos (RHA) presentes, no visceromegalias . Examen neurológico: inconsciente, signo de Babinski positivo y bilateral, hemiplejia y afasia. Fondo ojo: presencia de hemorragias retinianas o subhialoideas .
  • 63.
    QUE ES UNANEURISMA? Una dilatacion anormal y daño a la pared Normalmente es por una arteria La ubicación por lo general en las zonas de emergencia de las ramas de arterias principales y especialmente durante su recorrido por el espacio subaracnoideo cisternal .
  • 64.
    INCIDENCIA  Autopsias prevalenciapromedio de 5%  Estudios angiograficos 6,5% de personas tienen aneurisma.  La presencia de aneurisma y la ruptura incrementa con la edad especialmente entre los 40 y 70 años.  Raros los casos que se presentan en la niñez.  Entre las personas que presentan un aneurisma, 15 a 20% tendrán o desarrollarán varios aneurismas, denominándose a estos casos “aneurismas múltiples”.
  • 65.
    CAUSAS Estrés hemodinámico Infección Enfermedades asociadas Traumatismos otros
  • 66.
    PATOGENIA  Teoría congénita:considera que la causa es la discontinuidad de la capa muscular de la túnica media de la arteria. Especialmente en la zona de la bifurcación. Se presenta en familiares, gemelos idénticos y pacientes con enfermedades genéticas (síndrome de marfan)  Otra teoría propone que el aneurisma son:Cambios degenerativos, que se adquieren con la edad, hipertensión arterial. Así puede verse proliferación de la intima, degeneración de la elástica y cambios ateroscleróticos.
  • 67.
    TIPOS DE ANEURISMAS  Saculares: que constituyen el 80 a 90%, y se ubican principalmente en las bifurcaciones de los vasos principales cuando discurren por el espacio cisternal. Tienen un sector que es el cuello del aneurisma y otro que es el fondo
  • 68.
     Aneurisma fusiformeso ateroscleroticos  No ocurren en la salida de ramas, sino solo un segmento de la pared de una arteria principal  Es frecuente en personas con aterosclerosis e hipertension.
  • 69.
     Aneurismas infecciososo micóticos  Lesiones causadas por émbolos bacterianos o muy raro por hongos. Frecuencia de 4%. Se asocia endocarditis bacteriana, inmunocomprometidos, consumen drogas. Circulación distal.
  • 70.
     Aneurismas disecantes Se produce por el desgarro en la capa interna de la pared arterial que permite el paso de la sangre a los vasos, esta se distiende a un lado de la pared de la arteria y bloquear el flujo.
  • 71.
    CLASIFICACIÓN POR TAMAÑO  Los aneurismas son también clasificados por tamaño  Aneurisma muy pequeño: menor a 3 milímetros  Aneurisma pequeño: menor de 11 milímetros  Aneurisma grande: 11 a 25 milímetros  Aneurisma gigante: mayor de 25 milímetros
  • 72.
    CLASIFICACION POR LOCALIZACION Mas frecuente, polígono de Willis  85% porción anterior del polígono, afectan la arteria carótida interna y ramas.  Comunicante anterior 39 -35%  Origen arteria comunicante posterior a partir de la arteria carótida interna 39-35%  Bifurcación arteria cerebral media 20%  Bifurcación arteria basilar 5%  Solitarios 70-75%  Lesiones múltiples 20 -25%
  • 73.
     La causamás frecuente para el desarrollo de un aneurisma son lesiones vasculares inducidas hemodinámicamente, ateroesclerosis, vasculopatia subyacente y estados de alto flujo. Causas menos comunes son trauma, infección, abuso de drogas y neoplasias.
  • 74.
     La mayoríade los aneurismas no ocasionan síntomas hasta que se rompen; cuando se rompen, se asocian con morbilidad y mortalidad significativa. Los aneurismas pequeños cuando mantienen su tamaño generalmente no ocasionan sintomatología. Sin embargo, los aneurismas grandes y gigantes que continúan creciendo pueden ocasionar compresión del tejido nervioso o pares craneales.
  • 75.
  • 76.
    CRANEOTOMÍA ABIERTA  Exponela arteria con el aneurisma y coloca una grapa de metal a través del cuello del aneurisma para evitar que la sangre pase por el saco del aneurisma
  • 77.
    ESPIRAL ENDOVASCULAR O EMBOLIZACIÓN CON ESPIRAL  Es una técnica mínimamente invasiva, que no requiere una incisión.  Se avanza un catéter desde un vaso sanguíneo en la ingle hacia los vasos sanguíneos del encéfalo.
  • 78.
     Se utilizala fluoroscopia (un tipo especial de rayos X, similar a una "película" de rayos X) como guía para el avance del catéter a la cabeza y hacia el aneurisma.  Una vez que el catéter está en su lugar, se avanzan espirales de platino muy pequeños a través de éste hacia el aneurisma.
  • 79.
    El aneurisma conel espiral se coagula (embolización), y se evita así la ruptura. Este procedimiento se puede realizar con anestesia general o local.
  • 80.
    PREVENCION  Evitar elconsumo de alcohol  Disminuir consumo de tabaco  No consumir drogas ilícitas como cocaína o anfetamina.  Control de Hipertensión  Dieta baja en grasas
  • 81.
    . BIBLIOGRAFIA HTTP://WWW.MED.UFRO.CL/RECURSOS/NEUROANATOMIA/ARCHIVOS /CASOS_CLINICOS/1-2004.PDF HTTP://WWW.CFNAVARRA.ES/SALUD/ANALES/TEXTOS/VOL23/SUPL E3/SUPLE16.HTML
  • 82.
    http://www.centroendovascular.com.ar/pdf/aneurisma.pdf  http://www.noticiassalud.com/salud -vascular  http://es.wikipedia.org/wiki/Aneurisma_cerebral  http://sisbib.unmsm.edu.pe/bibvirtual/libros/medicina/neuro cirugia/volumen1/aneu_intrac_1.htm
  • 83.
     http://www.portalesmedicos.com/publicaciones/articles/389 5/1/Presentacion-de-un-caso-clinico- Aneurisma-cerebral-roto- en-paciente-con-enfermedad-renal-poliquistica.html  http://www.nonnoscere.com/07 -CASOS%20ANEURISMAS.html  http://espanol.ninds.nih.gov/trastornos/Aneurismas_Cerebral es.htm

Notas del editor

  • #30 Como la presión venosa es baja, los hematomas epidurales venosos sólo suelen formarse cuando unafractura deprimida del cráneo ha despegado la duramadre del hueso y dejado un espacio en el que se puede formar un hematoma
  • #31 craneal (signo de compresión de la región superior del meséncefalo, que pueden consistir en hemiparesia o rigidez descerebración y por último datos de afección del tallo encefálico y muerte). Al final se desarrolla una hernia transtentorial
  • #38 Craneotomia con evacuacion de hemorragia y control del vasosangrante y anclajedural
  • #39 Craneotomia con evacuacion de hemorragia y control del vasosangrante y anclajedural
  • #42 La hipertensión arterial crónica produciría en las arterias finas cerebrales unas dilataciones minúsculas, conocidas como
  • #43 emorragiaintraparenquimatosaparieto-temporal derecha con apertura al sistema ventricular. Importante hemorragia intraventricular. Gran efecto masa del hematoma, que condiciona la desviación de la línea media (TC).
  • #45 Izq. Hemorragia intraparenquimatosa de ganglios de la base izquierda voluminosa, que colapsa los ventrículos laterales y desplaza la línea media (TC).