ANOMALIAS DEL
DESARROLLO DEL
TRACTO UROGENITAL
Luis Rodolfo Godoy
Residente III
Objetivos
 Embriología
 Historia clínica
 Clasificación
 Examen físico
 Diagnóstico
 Tratamiento
Embriología
 Los órganos reproductores femeninos son los
genitales externos, las gónadas, y un sistema de
conductos internos que los unen.
 Se desarrollan a partir de:
 Conducto mesonéfrico
 Paramesonéfrico
 Seno urogenital
 Tubérculo genital.
 La porción cefálica persiste como el epoóforo
de el hilio ovárico.
 La porción caudal puede persistir en la forma
de conductos de Gartner.
Conductos de Wolff
Conductos de Müller
 Dos derivados mesodérmicos; crecen en sentido medial y
caudal.
 Originan:
 Trompas de Falopio
 Fondo uterino
 Cuerpo uterino
 Cuello del útero
 Dos tercios superiores de la vagina
Seno urogenital
 Tercio inferior de vagina
 Himen
Pliegues genitales (tubérculo genital)
 Labios mayores
 Labios menores
 Clítoris
 La gónada se desarrolla de la cresta genital y de las células
germinales primitivas
 2 semanas: se reconoce como un engrosamiento del epitelio
celómico y mesenquima subyacente en la cara interna del
mesonefros.
 3- 5 semana: Las células germinales aparecen en el saco
vitelino y migran por el mesenterio del intestino posterior a la
cresta genital.
 6-7 semanas: Diferenciación testicular y primeros signos de
especialización a las 10 semanas.
 Las porciones inferiores se fusionan
medialmente (fusión lateral) y a
continuación el septo central que separa
los conductos fusionados se reabsorbe
para dar lugar a una cavidad única.
 El tercio inferior de la vagina se forma a
partir del seno bulbovaginal y se fusiona
con los tercios superiores (fusión
vertical)
 Frecuencia entre 1-2 %.
 El desarrollo y la adecuada interpretación de
los procedimientos diagnósticos han permitido
reconocer que la frecuencia pueda ser mayor.
 Con frecuencia se asocian a malformaciones
renales y ureterales.
Malformaciones Mullerianas
Diagnóstico
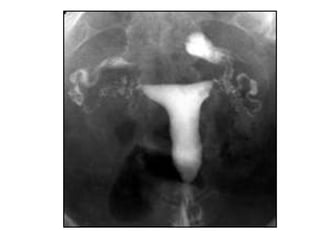
Histerosalpingografía
 Es la técnica clásica para el estudio
 Proporciona información acerca del canal
endometrial y cervical, así como de la
permeabilidad de las trompas
 Principales limitaciones: no permite valorar el
contorno uterino externo, e implica exposición
a radiación en pacientes jóvenes que están
siendo estudiadas por problemas de fertilidad
Ecografía
RMN
 Poseee una precisión cercana al 100% en el
estudio de las anomalías müllerianas
 Delimita con fiabilidad la anatomía uterina interna
y externa
 Permite un estudio multiplano
 Posibilita diagnósticos alternativos
 Es considerada la técnica de elección
Clasificación
American Fertility Society
CLASE I Agenesia o hipoplasia
CLASE II Útero unicorne
CLASE III Útero didelfo
CLASE IV Útero bicorne
CLASE V Útero septado
CLASE VI Útero arcuato
CLASE VII Asociadas a DES
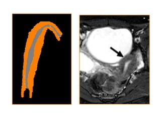
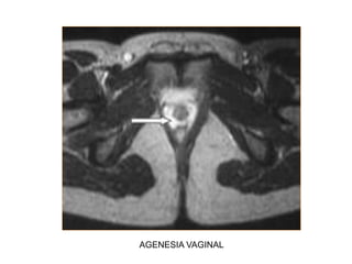
Agenesia e Hipoplasia
 5-10 %
 Fallo temprano en el desarrollo embrionario
 El Síndrome de Mayer-Rokitansky es la
malformación clase I más frecuente.
 Agenesia vaginal completa
 Agenesia uterina en el 90% de los casos
 Útero rudimentario en el 10% restante
 Se presenta con amenorrea en pacientes con
características sexuales secundarias
presentes, pues la función ovárica es normal
AGENESIA VAGINAL
ÚTERO RUDIMENTARIO
Útero unicorne
 Representa el 20%
 Se produce por un fallo en el crecimiento de uno
de los conductos de Müller
 Se presenta como útero unicorne aislado (35 %) o
asociado a un útero rudimentario
 Es frecuente la asociación con alguna
malformación renal (agenesia) ipsilateral al útero
rudimentario
 El útero rudimentario puede ser comunicante
o no y presentar o no endometrio funcional,
por lo que en ocasiones su resección está
indicada.
 El útero unicorne es curvo y elongado y se
encuentra lateralizado
 Su volumen está disminuido, siendo la
anatomía zonal normal
Útero didelfo
 Poco frecuente (5%).
 No existe fusión lateral de los conductos de
Müller.
 Cada conducto se desarrolla de forma
independiente, con lo cual hay dos cavidades
uterinas no comunicantes y dos cérvix.
 En el 75 % de los casos se asocia con un
septo longitudinal vaginal.
 Menos frecuente se asocia un defecto en la
fusión vertical que se traduce en un septo
vaginal transversal unilateral.
 Clínicamente se presenta como dismenorrea
(hematocolpos) y endometriosis
(menstruación retrógrada).
 El útero didelfo obstructivo requiere resección
del hemisepto vaginal.
Útero bicorne
 10%
 Existe fusión lateral parcial entre los dos conductos
de Müller, de manera que los dos cuerpos uterinos
están fusionados sólo caudalmente
 Dos variantes:
 Unicollis: los cuerpos uterinos se fusionan antes de alcanzar el
orificio cervical interno
 Bicollis: los cuerpos uterinos se fusionan más allá del orificio
cervical interno
 Los cuernos uterinos están ampliamente
separados
 La superficie externa del fundus uterino es
cóncava
 No está indicado el tratamiento quirúrgico
Útero septado
 Es la malformación más frecuente (50%).
 Existe fusión lateral completa de los dos conductos
de Müller y fallo en la reabsorción del septo central,
con el resultado de dos cavidades uterinas
separadas por un septo.
 El septo puede ser parcial o completo.
 Característicamente el contorno externo del fondo
uterino es normal (convexo, plano o ligeramente
cóncavo)
 El tamaño del útero es normal, aunque las dos
cavidades que lo forman son individualmente más
pequeñas.
 El septo está formado por tejido miometrial, salvo si es
completo, en el cual la porción inferior está formada por
tejido fibroso.
 A nivel del septo está alterada la vascularización, la
contractilidad miometrial y el endometrio, lo cual
conlleva un aumento en la incidencia de abortos de
repetición y de partos prematuros.
 Está indicada la resección del septo (histeroscopia)
Útero arcuato
 Indentación suave del miometrio en la cavidad
endometrial a nivel de fundus.
 El contorno externo es normal (convexo).
 Algunos autores consideran que más que una
malformación podría tratarse de una variante
de la normalidad.
Anomalías asociadas al DES
 El dietilestilbestrol fue introducido en la
década de 1940 indicado en abortos
espontáneos recurrentes y partos
prematuros.
 Fue retirado en la década de 1970 por
demostrarse una mayor incidencia de
tumores de vagina y malformaciones útero
vaginales en mujeres expuestas in utero.
 Configuración en T de la cavidad endometrial
 Útero hipoplásico
 Ensanchamiento uterino bajo
 Estrechamiento fúndico
 Márgenes endometriales irregulares
 Defectos de repleción intraluminales
Anomalías obstructivas
 Defecto de fusión vertical - septo vaginal
transversal
 Frecuente en el útero didelfo
 Puede existir en anomalías uterinas complejas
 Hay que hacer el diagnóstico diferencial con himen
imperforado
 Defecto fusión vertical - septo vaginal
longitudinal
 Frecuente en anomalías de duplicación
 Existen casos descritos de asociación a meningocele
sacro anterior
Septo vaginal
 Un septo vaginal es una partición congénita
dentro de la vagina y puede ser longitudinal o
transverso.
Septo vaginal longitudinal
 Se desarrolla durante la embriogénesis cuando existe
una fusión incompleta de las partes inferiores de
ambos ductos mullerianos.
 Se forma una vagina doble.
 Puede estar asociado a duplicaciones del cérvix,
septo uterino o útero didelfo.
 Puede ser asintomática.
 Dispareunia
Septo vaginal transverso
 Los ductos mullerianos se unen en el bulbo
sinovaginal en el punto llamado el tuberculo
mulleriano.
 La canalización del tuberculo mulleriano y del
bulbo sinovaginal es necesario para que se
forme un lumen vaginal normal.
 Si el área de la unión entre estas estructuras no
se canaliza completamente, se formará un
septo vaginal transverso.
Tratamiento
Técnica de Tompkins
 Indicaciones:
 Útero septado
 Útero subseptado
 Incisión en los dos tercios superiores de la cara
anterior y posterior del útero.
 Tabiques divididos por la mitad hasta alcanzar la
cavidad en el ápex del septo.
 Disección septal a 2 cm del origen la salpinge.
 Sutura de la pared uterina
 1ª capa: puntos simples extramucosos, sutura
reabsorbible 2-0
 Inicia caudal, suturas alternadas hasta
alcanzar el fondo
 2º capa: serosa del útero
 Sutura continua 2-0
 Para prevenir adherencias introducir de tubo de
silicona en el interior de la cavidad antes del cierre
Técnica de Strassmann
 Útero bicorne
 Incisión transversa a nivel del fundus, desde la
inserción de una salpinge a otra.

Se profundiza la incisión hasta alcanzar
ambas cavidades en el segmento uterino
inferior.
Técnica de Jones y Jones
 Septado o subseptado
 El septo es resecado en cuña, a través de 2 incisiones
desde el fundus.
 La incisión comienza a 1 cm dentro de la inserción de
la trompa, dirigiéndose medialmente hasta el ápex del
septo.
 Cuando se alcanza la cavidad del útero, la incisión se
prolonga a lo largo del septo.
 Cierre de cavidad con la técnica de Tompkins.
Recapitulando
Preguntas & Comentarios
Anomalias mullerianas

Anomalias mullerianas

  • 1.
    ANOMALIAS DEL DESARROLLO DEL TRACTOUROGENITAL Luis Rodolfo Godoy Residente III
  • 2.
    Objetivos  Embriología  Historiaclínica  Clasificación  Examen físico  Diagnóstico  Tratamiento
  • 3.
  • 4.
     Los órganosreproductores femeninos son los genitales externos, las gónadas, y un sistema de conductos internos que los unen.  Se desarrollan a partir de:  Conducto mesonéfrico  Paramesonéfrico  Seno urogenital  Tubérculo genital.
  • 6.
     La porcióncefálica persiste como el epoóforo de el hilio ovárico.  La porción caudal puede persistir en la forma de conductos de Gartner. Conductos de Wolff
  • 7.
    Conductos de Müller Dos derivados mesodérmicos; crecen en sentido medial y caudal.  Originan:  Trompas de Falopio  Fondo uterino  Cuerpo uterino  Cuello del útero  Dos tercios superiores de la vagina
  • 8.
    Seno urogenital  Tercioinferior de vagina  Himen
  • 9.
    Pliegues genitales (tubérculogenital)  Labios mayores  Labios menores  Clítoris
  • 10.
     La gónadase desarrolla de la cresta genital y de las células germinales primitivas  2 semanas: se reconoce como un engrosamiento del epitelio celómico y mesenquima subyacente en la cara interna del mesonefros.  3- 5 semana: Las células germinales aparecen en el saco vitelino y migran por el mesenterio del intestino posterior a la cresta genital.  6-7 semanas: Diferenciación testicular y primeros signos de especialización a las 10 semanas.
  • 11.
     Las porcionesinferiores se fusionan medialmente (fusión lateral) y a continuación el septo central que separa los conductos fusionados se reabsorbe para dar lugar a una cavidad única.  El tercio inferior de la vagina se forma a partir del seno bulbovaginal y se fusiona con los tercios superiores (fusión vertical)
  • 13.
     Frecuencia entre1-2 %.  El desarrollo y la adecuada interpretación de los procedimientos diagnósticos han permitido reconocer que la frecuencia pueda ser mayor.  Con frecuencia se asocian a malformaciones renales y ureterales. Malformaciones Mullerianas
  • 14.
  • 15.
    Histerosalpingografía  Es latécnica clásica para el estudio  Proporciona información acerca del canal endometrial y cervical, así como de la permeabilidad de las trompas  Principales limitaciones: no permite valorar el contorno uterino externo, e implica exposición a radiación en pacientes jóvenes que están siendo estudiadas por problemas de fertilidad
  • 17.
  • 18.
    RMN  Poseee unaprecisión cercana al 100% en el estudio de las anomalías müllerianas  Delimita con fiabilidad la anatomía uterina interna y externa  Permite un estudio multiplano  Posibilita diagnósticos alternativos  Es considerada la técnica de elección
  • 20.
  • 21.
    American Fertility Society CLASEI Agenesia o hipoplasia CLASE II Útero unicorne CLASE III Útero didelfo CLASE IV Útero bicorne CLASE V Útero septado CLASE VI Útero arcuato CLASE VII Asociadas a DES
  • 24.
    Agenesia e Hipoplasia 5-10 %  Fallo temprano en el desarrollo embrionario  El Síndrome de Mayer-Rokitansky es la malformación clase I más frecuente.  Agenesia vaginal completa  Agenesia uterina en el 90% de los casos  Útero rudimentario en el 10% restante
  • 25.
     Se presentacon amenorrea en pacientes con características sexuales secundarias presentes, pues la función ovárica es normal
  • 26.
  • 27.
  • 28.
    Útero unicorne  Representael 20%  Se produce por un fallo en el crecimiento de uno de los conductos de Müller  Se presenta como útero unicorne aislado (35 %) o asociado a un útero rudimentario  Es frecuente la asociación con alguna malformación renal (agenesia) ipsilateral al útero rudimentario
  • 29.
     El úterorudimentario puede ser comunicante o no y presentar o no endometrio funcional, por lo que en ocasiones su resección está indicada.  El útero unicorne es curvo y elongado y se encuentra lateralizado  Su volumen está disminuido, siendo la anatomía zonal normal
  • 31.
    Útero didelfo  Pocofrecuente (5%).  No existe fusión lateral de los conductos de Müller.  Cada conducto se desarrolla de forma independiente, con lo cual hay dos cavidades uterinas no comunicantes y dos cérvix.  En el 75 % de los casos se asocia con un septo longitudinal vaginal.
  • 32.
     Menos frecuentese asocia un defecto en la fusión vertical que se traduce en un septo vaginal transversal unilateral.  Clínicamente se presenta como dismenorrea (hematocolpos) y endometriosis (menstruación retrógrada).  El útero didelfo obstructivo requiere resección del hemisepto vaginal.
  • 35.
    Útero bicorne  10% Existe fusión lateral parcial entre los dos conductos de Müller, de manera que los dos cuerpos uterinos están fusionados sólo caudalmente  Dos variantes:  Unicollis: los cuerpos uterinos se fusionan antes de alcanzar el orificio cervical interno  Bicollis: los cuerpos uterinos se fusionan más allá del orificio cervical interno
  • 36.
     Los cuernosuterinos están ampliamente separados  La superficie externa del fundus uterino es cóncava  No está indicado el tratamiento quirúrgico
  • 39.
    Útero septado  Esla malformación más frecuente (50%).  Existe fusión lateral completa de los dos conductos de Müller y fallo en la reabsorción del septo central, con el resultado de dos cavidades uterinas separadas por un septo.  El septo puede ser parcial o completo.  Característicamente el contorno externo del fondo uterino es normal (convexo, plano o ligeramente cóncavo)
  • 40.
     El tamañodel útero es normal, aunque las dos cavidades que lo forman son individualmente más pequeñas.  El septo está formado por tejido miometrial, salvo si es completo, en el cual la porción inferior está formada por tejido fibroso.  A nivel del septo está alterada la vascularización, la contractilidad miometrial y el endometrio, lo cual conlleva un aumento en la incidencia de abortos de repetición y de partos prematuros.  Está indicada la resección del septo (histeroscopia)
  • 43.
    Útero arcuato  Indentaciónsuave del miometrio en la cavidad endometrial a nivel de fundus.  El contorno externo es normal (convexo).  Algunos autores consideran que más que una malformación podría tratarse de una variante de la normalidad.
  • 45.
    Anomalías asociadas alDES  El dietilestilbestrol fue introducido en la década de 1940 indicado en abortos espontáneos recurrentes y partos prematuros.  Fue retirado en la década de 1970 por demostrarse una mayor incidencia de tumores de vagina y malformaciones útero vaginales en mujeres expuestas in utero.
  • 46.
     Configuración enT de la cavidad endometrial  Útero hipoplásico  Ensanchamiento uterino bajo  Estrechamiento fúndico  Márgenes endometriales irregulares  Defectos de repleción intraluminales
  • 47.
    Anomalías obstructivas  Defectode fusión vertical - septo vaginal transversal  Frecuente en el útero didelfo  Puede existir en anomalías uterinas complejas  Hay que hacer el diagnóstico diferencial con himen imperforado  Defecto fusión vertical - septo vaginal longitudinal  Frecuente en anomalías de duplicación  Existen casos descritos de asociación a meningocele sacro anterior
  • 49.
    Septo vaginal  Unsepto vaginal es una partición congénita dentro de la vagina y puede ser longitudinal o transverso.
  • 50.
    Septo vaginal longitudinal Se desarrolla durante la embriogénesis cuando existe una fusión incompleta de las partes inferiores de ambos ductos mullerianos.  Se forma una vagina doble.  Puede estar asociado a duplicaciones del cérvix, septo uterino o útero didelfo.  Puede ser asintomática.  Dispareunia
  • 51.
    Septo vaginal transverso Los ductos mullerianos se unen en el bulbo sinovaginal en el punto llamado el tuberculo mulleriano.  La canalización del tuberculo mulleriano y del bulbo sinovaginal es necesario para que se forme un lumen vaginal normal.  Si el área de la unión entre estas estructuras no se canaliza completamente, se formará un septo vaginal transverso.
  • 54.
  • 55.
    Técnica de Tompkins Indicaciones:  Útero septado  Útero subseptado  Incisión en los dos tercios superiores de la cara anterior y posterior del útero.  Tabiques divididos por la mitad hasta alcanzar la cavidad en el ápex del septo.  Disección septal a 2 cm del origen la salpinge.
  • 56.
     Sutura dela pared uterina  1ª capa: puntos simples extramucosos, sutura reabsorbible 2-0  Inicia caudal, suturas alternadas hasta alcanzar el fondo  2º capa: serosa del útero  Sutura continua 2-0  Para prevenir adherencias introducir de tubo de silicona en el interior de la cavidad antes del cierre
  • 58.
    Técnica de Strassmann Útero bicorne  Incisión transversa a nivel del fundus, desde la inserción de una salpinge a otra.  Se profundiza la incisión hasta alcanzar ambas cavidades en el segmento uterino inferior.
  • 60.
    Técnica de Jonesy Jones  Septado o subseptado  El septo es resecado en cuña, a través de 2 incisiones desde el fundus.  La incisión comienza a 1 cm dentro de la inserción de la trompa, dirigiéndose medialmente hasta el ápex del septo.  Cuando se alcanza la cavidad del útero, la incisión se prolonga a lo largo del septo.  Cierre de cavidad con la técnica de Tompkins.
  • 62.
  • 63.