UNIVERSIDAD AUTONOMA DE SINALOA
FACULTAD DE MEDICINA EXTENSIÓN MAZATLÁN
ATEROESCLEROSIS
DAGOBERTO ARMENTA PÉREZ 5-19
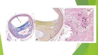
Ateroesclerosis
Caracterizada por lesiones de la intima denominadas ateromas (tambien, placas
ateromatosas o ateroscleroticas).
La aterosclerosis es la causa mas frecuente de morbilidad y mortalidad (casi la mitad
de todas las muertes) en el mundo occidental.
Factores de riesgo
 EDAD
 SEXO
 GENES
 DM (GLICOSILACION AVANZADA)
 HAS (ESTRÉS HEMODINAMICO)
 DISLIPIDEMIA (TOXICO)
 TABAQUISMO (TOXICO)
 Hipertension, la diabetes, el consumo de tabaco y la hiperlipemia mayores
factores de riesgo, hasta el 20% de los accidentes cardiovasculares se
producen en ausencia de todos ellos.
 Incluso aunque la hiperlipemia es un claro predisponente, mas del 75% de los
accidentes cardiovasculares en mujeres previamente sanas se producen con
unos valores de colesterol LDL superiores a 160 mg/dl
 PCR: predice de forma potente e independiente el riesgo de infarto de miocardio, ictus,
enfermedad arterial periférica, y muerte cardíaca súbita, incluso en personas aparentemente
sanas
 Homocistinemia: Cifras mayores de 14 micromoles/litro representan mayor riesgo de
arteriosclerosis. El 10% del riesgo de enfermedad coronaria en la población general es atribuible a
la homocisteína
 Concentración de homocisteína aumentada, favorece la formación de una forma muy reactiva, la
homocisteína tiolactona, que produce en el hígado agregados con las LDL.
 Agregados que presentan una mayor afinidad por la fibrina que las LDL y van a la sangre donde
son captados por los macrófagos de la pared arterial que los degradan, liberando lípidos y
colesterol que se depositan en las placas de ateroma. La homocisteína tiolactona también altera
el metabolismo de las células endoteliales, favoreciendo la formación de más radicales libres y
produciendo más daño endotelial
Endotelina
I
las placas tienden a producirse en los orificios de los
vasos existentes, los puntos de ramificacion, y a lo
largo de la pared posterior de la aorta abdominal,
donde existen patrones alterados de flujo.
CML
PLACAS DE
ATEROMA
 Aterosclerosis afecta fundamentalmente a las arterias elásticas (p. ej., aorta,
carótida y arterias ilíacas) y a las arterias musculares de tamaño mediano y
grande (p. ej., coronarias y poplíteas).
 La enfermedad aterosclerótica sintomática afecta con mas frecuencia a las
arterias que irrigan el corazón, el cerebro, los riñones y las extremidades
inferiores.
Prevención
Prevención primaria
 implica la identificación de los factores de riesgo que son susceptibles de
intervención: dejar de fumar, controlar la hipertensión, perder peso, hacer
ejercicio, y disminuir el colesterol total y los niveles de colesterol LDL
mientras se aumentan en los HDL.
Prevención secundaria
 Prevenir la recurrencia de hechos como infartos de miocardio o ictus en
pacientes sintomáticos.
Mortalidad por CI
*Sintetizan
colageno de la
MEC
*Elastina
*Proteoglucanos
*Factores de
crecimiento
*Citocinas.
Bibliografía
 MATSSON PORTH, C. (2015). DIABETES MELLITUS Y SINDROME METABOLICO. En C.
MATSSON PORTH, FUNDAMENTOS FISIOPATOLOGIA (págs. 793-819). WOLTER KLUWER
HEALTH.
 VILLEGAS CRESPO, M. E., CASTRO DIAZ, D. N., & MEDA OROPEZA, A. (2016). LO QUE HACE
MI COMEDERA! En G. 2-19, EL MARAVILLOSO MUNDO DE LA INMUNOLOGIA (págs. 181-
194). MAZATLAN: UNIVERSIDAD AUTONOMA DE SINALOA.
I. Suárez García, J. G. (2001). La homocisteína. ¿El factor de riesgo cardiovascular del
próximo milenio? Anales de Medicina Interna.
Méndez, J. D. (2002). Productos finales de glicasion avanzada y complicaciones
crónicas de la diabetes mellitus. Gaceta Médica de México, 49-55.
Vinay Kumar, A. K. (2008). Vasos sanguineos. En A. K. Vinay Kumar, Robbins Patología
humana (págs. 351-365). S.A. ELSEVIER ESPAÑA.

Ateroesclerosis

  • 1.
    UNIVERSIDAD AUTONOMA DESINALOA FACULTAD DE MEDICINA EXTENSIÓN MAZATLÁN ATEROESCLEROSIS DAGOBERTO ARMENTA PÉREZ 5-19
  • 2.
    Ateroesclerosis Caracterizada por lesionesde la intima denominadas ateromas (tambien, placas ateromatosas o ateroscleroticas). La aterosclerosis es la causa mas frecuente de morbilidad y mortalidad (casi la mitad de todas las muertes) en el mundo occidental.
  • 3.
    Factores de riesgo EDAD  SEXO  GENES  DM (GLICOSILACION AVANZADA)  HAS (ESTRÉS HEMODINAMICO)  DISLIPIDEMIA (TOXICO)  TABAQUISMO (TOXICO)
  • 4.
     Hipertension, ladiabetes, el consumo de tabaco y la hiperlipemia mayores factores de riesgo, hasta el 20% de los accidentes cardiovasculares se producen en ausencia de todos ellos.  Incluso aunque la hiperlipemia es un claro predisponente, mas del 75% de los accidentes cardiovasculares en mujeres previamente sanas se producen con unos valores de colesterol LDL superiores a 160 mg/dl
  • 5.
     PCR: predicede forma potente e independiente el riesgo de infarto de miocardio, ictus, enfermedad arterial periférica, y muerte cardíaca súbita, incluso en personas aparentemente sanas  Homocistinemia: Cifras mayores de 14 micromoles/litro representan mayor riesgo de arteriosclerosis. El 10% del riesgo de enfermedad coronaria en la población general es atribuible a la homocisteína  Concentración de homocisteína aumentada, favorece la formación de una forma muy reactiva, la homocisteína tiolactona, que produce en el hígado agregados con las LDL.  Agregados que presentan una mayor afinidad por la fibrina que las LDL y van a la sangre donde son captados por los macrófagos de la pared arterial que los degradan, liberando lípidos y colesterol que se depositan en las placas de ateroma. La homocisteína tiolactona también altera el metabolismo de las células endoteliales, favoreciendo la formación de más radicales libres y produciendo más daño endotelial
  • 7.
  • 8.
    las placas tiendena producirse en los orificios de los vasos existentes, los puntos de ramificacion, y a lo largo de la pared posterior de la aorta abdominal, donde existen patrones alterados de flujo.
  • 12.
  • 16.
     Aterosclerosis afectafundamentalmente a las arterias elásticas (p. ej., aorta, carótida y arterias ilíacas) y a las arterias musculares de tamaño mediano y grande (p. ej., coronarias y poplíteas).  La enfermedad aterosclerótica sintomática afecta con mas frecuencia a las arterias que irrigan el corazón, el cerebro, los riñones y las extremidades inferiores.
  • 18.
    Prevención Prevención primaria  implicala identificación de los factores de riesgo que son susceptibles de intervención: dejar de fumar, controlar la hipertensión, perder peso, hacer ejercicio, y disminuir el colesterol total y los niveles de colesterol LDL mientras se aumentan en los HDL. Prevención secundaria  Prevenir la recurrencia de hechos como infartos de miocardio o ictus en pacientes sintomáticos. Mortalidad por CI
  • 19.
  • 20.
    Bibliografía  MATSSON PORTH,C. (2015). DIABETES MELLITUS Y SINDROME METABOLICO. En C. MATSSON PORTH, FUNDAMENTOS FISIOPATOLOGIA (págs. 793-819). WOLTER KLUWER HEALTH.  VILLEGAS CRESPO, M. E., CASTRO DIAZ, D. N., & MEDA OROPEZA, A. (2016). LO QUE HACE MI COMEDERA! En G. 2-19, EL MARAVILLOSO MUNDO DE LA INMUNOLOGIA (págs. 181- 194). MAZATLAN: UNIVERSIDAD AUTONOMA DE SINALOA. I. Suárez García, J. G. (2001). La homocisteína. ¿El factor de riesgo cardiovascular del próximo milenio? Anales de Medicina Interna. Méndez, J. D. (2002). Productos finales de glicasion avanzada y complicaciones crónicas de la diabetes mellitus. Gaceta Médica de México, 49-55. Vinay Kumar, A. K. (2008). Vasos sanguineos. En A. K. Vinay Kumar, Robbins Patología humana (págs. 351-365). S.A. ELSEVIER ESPAÑA.