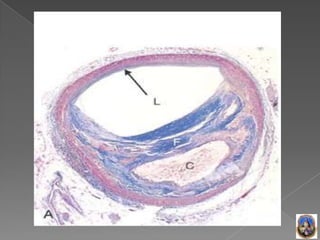
Se caracteriza por:
- Lesiones de la intima denominadas ATEROMAS
   que sobresale a la luz de los vasos
- ATEROMA: núcleo grumoso, amarillo y blando
- formado por colesterol y cubierta fibrosa
   blanca
- Obstrucción mecánica al flujo sanguíneo
- Complicaciones: I puede romperse y dar
   TROMBOSIS
                     II Debilitar Túnica ½, y dar
   ANEURISMA
PRINCIPALES FACTORES DE
               RIESGO
               - Dislipemia, Hiperlipidemia
               (Hipercolesterolemia)
MODIFICABLES   - Hipertensión
               - Diabetes
               - Consumo de cigarrillos
               - Proteína C Reactiva
               - Aumento de la Edad
               - Sexo
INMODIFICABL   - Antecedentes Familiares
               - Predisposiciones Genéticas
ES
   Hipótesis actual:
    Respuesta inflamatoria y cicatricial
    duradera de la pared arterial ante una
    lesión del endotelio. L a progresión de la
    lesión se debe a la interacción de las
    lipoproteínas modificadas, los
    macrófagos derivados de los monocitos
    y linfocitos T con los constituyentes
    celulares normales de la pared arterial.
    - Lesión endotelial que causa aumento de la
    permeabilidad, adhesión y transmigración leucocitaria
   - Acumulación de lipoproteínas en la pared vascular, en
    especial LDL y sus formas oxidadas
   - Adhesión de Monocitos al endotelio, posterior
    transmigración hacia la intima y transformación en
    Macrófagos y células Espumosas
   - Adhesión de Plaquetas
   - Liberación de factores desde la Plaquetas, Macrófagos
    y Endotelio que provoca captación de células de
    músculos liso desde la túnica media hacia la túnica
    intima
   - Proliferación de células de músculos liso y MEC en la
 - Si se conocen los principales factores de
  riesgo que llevan a la formación de
  ateromas
 - No se conocen con exactitud las vías y
  mecanismos de la disfunción
  endotelial, ¿Por qué y como comienza?
 - Si se conoce que comienza en un
  Endotelio Integro desde punto de vista
  estructural, lo que lleva a pensar que en la
  ATEROESCLEROSIS HUMANA hay una
  Disfunción Endotelial de trasfondo
 - Los ATEROMAS se suelen ubicar en los
  orificios de salida de los vasos, en puntos de
  ramificación y en la parte posterior de la
  aorta abdominal, lugares donde existen
  patrones de circulación alterados
 - Provocan flujos turbulentos lo que
  ayudaría al daño endotelial
   - Circulan ligados a Apolipoproteinas
   - Trastornos: > Aumento de colesterol LDL
                 > Disminución de colesterol HDL
                 > Hiperlipidemia Cronica
                 > Apolipoproteinas anómalas
                 > Dislipoproteinemias
                 > Absorción insuficiente de LDL
    por Hígado
                 > Síndrome Nefrótico
                 > Alcoholismo
                 > Diabetes mellitus
                 > Hipotiroidismo
  - Son las lesiones mas iniciales de la
  Ateroesclerosis
 - Compuestas por macrófagos
  espumosos llenos de lípidos
 - Son bandas alargadas amarillas
 - No poseen elevación apreciable
 - No generan trastornos en el flujo
  sanguíneo
 Estadio avanzado, invade la luz, y afecta al
  flujo
 Componentes Fundamentales:
  I Células de Musculo
  liso, Macrófagos, Células Espumosas y
  Linfocitos T

   II MEC con colágeno, fibras
    elásticas, proteoglicanos y cristales de calcio

   III Lípidos intracelulares y extracelulares
   La ATEROESCLEROSIS es Asintomática, es
    decir, al ser una enfermedad crónica y
    silenciosa hasta que la obstrucción de
    una arteria por la placa de ateroma no
    sea de gran importancia y no produzca
    una reducción del flujo considerable o
    ISQUEMIA y esta no produzca dolor o
    molestia por la falta de irrigación, NO
    PRESENTARA SINTOMAS!!!
 Al ser ASINTOMATICA, la única forma de
  diagnosticarla es por considerar sus
  factores de riesgo y si posee algunos de
  ellos realizar una serie de estudios:
 - Análisis de Sangre
 - Electrocardiogramas (ECG)
 - Tomografías Computarizadas (TM)
 - Angiografía Coronaria
 - Otros
 - Rotura, Ulceración o Erosión: de la
  placa, vuelca a la circulación sustancias
  trombogenicas, pudiendo obstruir parcial o
  totalmente la luz y dar una isquemia.
- Ateroembolia: puede generar
  microémbolos
- Hemorragia sobre placa: puede generarse
  un hematoma dentro del ateroma y
  expandir la placa
- Aneurisma: dilatar y debilitar la pared
   Se afectan frecuentemente las arterias que
    irrigan CORAZON, ENCEFALO, RIÑONES y
    MIEMBROS INFERIORES
 - INFARTO DE MIOCARDIO
- INFARTO CEREBRAL (ICTUS)
- ANEURISMAS AORTICOS
 - VASCULOPATIAS
 PERIFERICAS (GANGRENA DE
 LAS PIERNAS)
 Prevención: Estilo de Vida en general
 No Farmacológico : Lo mismo que la
  prevención
 Farmacológico:
 - Estatinas: inhiben la HMG-CoA reductasa, y por tanto la
  síntesis de colesterol endógeno
 - Ezetimibe: inhibe la absorción intestinal de colesterol
 - Orilistat: inhibe lipasas y absorción intestinal de
    grasas

   Quirúrgico: - Angioplastia para abrir las arterias
    obstruidas
                   - Cirugía de Revascularización
                   - By Pass
 - Principales Factores de Riesgo
 - Componentes fundamentales del
  ATEROMA
 - Evolución de la Patogenia desde la lesión
  endotelial hasta la formación de la placa
 - Cambios de Importancia Clínica
 - Donde se produce frecuentemente
 - Las consecuencias de la enfermedad no
  tratada
Ateroesclerosis

Ateroesclerosis

  • 3.
    Se caracteriza por: -Lesiones de la intima denominadas ATEROMAS que sobresale a la luz de los vasos - ATEROMA: núcleo grumoso, amarillo y blando - formado por colesterol y cubierta fibrosa blanca - Obstrucción mecánica al flujo sanguíneo - Complicaciones: I puede romperse y dar TROMBOSIS II Debilitar Túnica ½, y dar ANEURISMA
  • 5.
    PRINCIPALES FACTORES DE RIESGO - Dislipemia, Hiperlipidemia (Hipercolesterolemia) MODIFICABLES - Hipertensión - Diabetes - Consumo de cigarrillos - Proteína C Reactiva - Aumento de la Edad - Sexo INMODIFICABL - Antecedentes Familiares - Predisposiciones Genéticas ES
  • 6.
    Hipótesis actual:  Respuesta inflamatoria y cicatricial duradera de la pared arterial ante una lesión del endotelio. L a progresión de la lesión se debe a la interacción de las lipoproteínas modificadas, los macrófagos derivados de los monocitos y linfocitos T con los constituyentes celulares normales de la pared arterial.
  • 7.
    - Lesión endotelial que causa aumento de la permeabilidad, adhesión y transmigración leucocitaria  - Acumulación de lipoproteínas en la pared vascular, en especial LDL y sus formas oxidadas  - Adhesión de Monocitos al endotelio, posterior transmigración hacia la intima y transformación en Macrófagos y células Espumosas  - Adhesión de Plaquetas  - Liberación de factores desde la Plaquetas, Macrófagos y Endotelio que provoca captación de células de músculos liso desde la túnica media hacia la túnica intima  - Proliferación de células de músculos liso y MEC en la
  • 13.
     - Sise conocen los principales factores de riesgo que llevan a la formación de ateromas  - No se conocen con exactitud las vías y mecanismos de la disfunción endotelial, ¿Por qué y como comienza?  - Si se conoce que comienza en un Endotelio Integro desde punto de vista estructural, lo que lleva a pensar que en la ATEROESCLEROSIS HUMANA hay una Disfunción Endotelial de trasfondo
  • 14.
     - LosATEROMAS se suelen ubicar en los orificios de salida de los vasos, en puntos de ramificación y en la parte posterior de la aorta abdominal, lugares donde existen patrones de circulación alterados  - Provocan flujos turbulentos lo que ayudaría al daño endotelial
  • 15.
    - Circulan ligados a Apolipoproteinas  - Trastornos: > Aumento de colesterol LDL  > Disminución de colesterol HDL  > Hiperlipidemia Cronica  > Apolipoproteinas anómalas  > Dislipoproteinemias  > Absorción insuficiente de LDL por Hígado  > Síndrome Nefrótico  > Alcoholismo  > Diabetes mellitus  > Hipotiroidismo
  • 16.
     -Son las lesiones mas iniciales de la Ateroesclerosis  - Compuestas por macrófagos espumosos llenos de lípidos  - Son bandas alargadas amarillas  - No poseen elevación apreciable  - No generan trastornos en el flujo sanguíneo
  • 19.
     Estadio avanzado,invade la luz, y afecta al flujo  Componentes Fundamentales: I Células de Musculo liso, Macrófagos, Células Espumosas y Linfocitos T  II MEC con colágeno, fibras elásticas, proteoglicanos y cristales de calcio  III Lípidos intracelulares y extracelulares
  • 21.
    La ATEROESCLEROSIS es Asintomática, es decir, al ser una enfermedad crónica y silenciosa hasta que la obstrucción de una arteria por la placa de ateroma no sea de gran importancia y no produzca una reducción del flujo considerable o ISQUEMIA y esta no produzca dolor o molestia por la falta de irrigación, NO PRESENTARA SINTOMAS!!!
  • 22.
     Al serASINTOMATICA, la única forma de diagnosticarla es por considerar sus factores de riesgo y si posee algunos de ellos realizar una serie de estudios:  - Análisis de Sangre  - Electrocardiogramas (ECG)  - Tomografías Computarizadas (TM)  - Angiografía Coronaria  - Otros
  • 23.
     - Rotura,Ulceración o Erosión: de la placa, vuelca a la circulación sustancias trombogenicas, pudiendo obstruir parcial o totalmente la luz y dar una isquemia. - Ateroembolia: puede generar microémbolos - Hemorragia sobre placa: puede generarse un hematoma dentro del ateroma y expandir la placa - Aneurisma: dilatar y debilitar la pared
  • 24.
    Se afectan frecuentemente las arterias que irrigan CORAZON, ENCEFALO, RIÑONES y MIEMBROS INFERIORES  - INFARTO DE MIOCARDIO - INFARTO CEREBRAL (ICTUS) - ANEURISMAS AORTICOS  - VASCULOPATIAS PERIFERICAS (GANGRENA DE LAS PIERNAS)
  • 26.
     Prevención: Estilode Vida en general  No Farmacológico : Lo mismo que la prevención  Farmacológico:  - Estatinas: inhiben la HMG-CoA reductasa, y por tanto la síntesis de colesterol endógeno  - Ezetimibe: inhibe la absorción intestinal de colesterol  - Orilistat: inhibe lipasas y absorción intestinal de grasas  Quirúrgico: - Angioplastia para abrir las arterias obstruidas  - Cirugía de Revascularización  - By Pass
  • 27.
     - PrincipalesFactores de Riesgo  - Componentes fundamentales del ATEROMA  - Evolución de la Patogenia desde la lesión endotelial hasta la formación de la placa  - Cambios de Importancia Clínica  - Donde se produce frecuentemente  - Las consecuencias de la enfermedad no tratada