ARTROPLASTIA - AVANCES
JULIO QUIROZ GUEVARA
ORTOPEDIA Y TRAUMATOLOGÍA
PROTESIS DE CADERA:
TIPOS - INDICACIONES
• Ampliamente usado
principalmente en
pacientes ancianos.
• Protesis «antiguas» a
modelos sofisticados.
• Técnica quirúrgica
bien descrita.
INTRODUCCIÓN
• 1940 : More y Bholman, primer uso de
implante metálico sobre un tumor de
células gigantes.
• 1950: Thompson, prótesis
cervicocefálica monopolar con vástago
femoral curvo. 1951 OA.
• 1952: Austin Moore, prótesis
cervicocefálica monopolar con vástago
femoral recto.
HISTORIA
• 1957: Wiltse, Hall y Stenehjem: Primer
trabajo de uso de cemento acrílico en
TyO. Compatibilidad en conejos y
monos.
• 1960: Charnley modifiico el
componente femoral, recubrió el
acetábulo de una superficie de teflón.
(posteriormente modificado a poletileno
de alta densidad).
HISTORIA
• Rápido>> Menor tiempo
operatorio, menor dolor PO.
• Pronta movilización y
deambulación. Buena
recuperación.
VENTAJAS
HEMIARTROPLASTIA UNIPOLAR (PARCIAL)
CEMENTADA vs NO CEMENTADA
HEMIARTROPLASTIA UNIPOLAR
PRÓTESIS DE THOMPSON
• El vástago más pequeño, liso, sin
fenestraciones, diseño de diamante
creciente>> evita rotación.
• Cromo- cobalto>> Titanio con apoyo en
calcar y ángulo cérvico-diafisario 135º.
• Los resultados obtenidos a lo largo de más
de 60 años de experiencia clínica avalan su
utilización.
HEMIARTROPLASTIA UNIPOLAR
PRÓTESIS DE AUSTIN MOORE
• Vástago cuadrado con angulación de 90º en
su cima.
• Fenestraciones que permiten estabilización
dentro del canal femoral.
• Usada sin cemento ya que se ha visto que
se produce osteointegración en el interior de
las fenestraciones.
• Complicación: Dificultad en una revisión
futura debido a lo trabajoso de la extracción
del componente.
DESVENTAJAS
Fricción
Desgaste
articular
Dolor
Incapacidad
REVISIÓN
5-10 AÑOS
HEMIARTROPLASTIA BIPOLAR
• Cabeza metálica + polietileno +
capuchón metálico.
• Permitir doble movimiento>>
Reducir desgaste acetabular.
• Cabeza grande>> Estabilidad.
• Modularidad: Cabeza
articulada.
ARTROPLASTÍA TOTAL DE CADERA
• Mejores resultados funcionales
que APC (unipolar y bipolar).
• Mayor tiempo operatorio y
costos.
• Indicaciones:
 No deterioro conginitivo
 Adulto mayores activos
 No comorbilidades mayores
 Adulto joven con riesgo de OP
• Primeros implantes metal en
metal. Prótesis totales: MoM –
MoP – CoP- CoC.
PROTESIS TOTAL NO CEMENTADA
• Principios: Estabilidad mecánica
inmediata. Contacto intimo entre la
superficie protésica y el hueso.
• Prótesis no cementadas son de
elección para pacientes jóvenes o
pacientes mayores con buena
calidad ósea.
• Cirugía de revisión: Prótesis
cementadas tiene menor tasa de
éxitos en este tipo de cirugía.
• Menor aflojamiento y revisión
VASTAGO (COMPONENTE) FEMORAL
COMPONENTE ACETABULAR
• Mayoría con revestimiento poroso en toda la circunferencia (ingrowth).
• 1 a 2 mm más grande que el rimado para una adecuada fijación.
• Tornillos transacetabulares: Aumentan el Ingrowth y fijación.
RECUBRIMIENTO DE POLIETILENO
• La interfaz polietileno metal puede ocasionar desgaste del mismo,
previene con una adecuada fijación del mismo.
• Uso de nuevos diversos tipos de fijación y diseño de polietileno
ABORDAJE
POSTERIOR
ABORDAJE POSTERIOR
ABORDAJE POSTERIOR
ABORDAJE POSTERIOR
PROTESIS DE RODILLA:
TIPOS - INDICACIONES
JULIO QUIROZ GUEVARA
ORTOPEDIA Y TRAUMATOLOGÍA
• Éxito ATR comienza
con un adecuado
planeamiento.
• Abordaje optimo en
controversia. Ninguno
ha probado
superioridad.
INTRODUCCIÓN
COMPONENTES:
• Descrito por Von
Langenbeck en
1878.
• Reconocido como el
abordaje clásico y
gold standart a partir
del cual los demás
abordajes son
comparados.
ABORDAJE PARAROTULIANO MEDIAL
PARAROTULIANO MEDIAL
COMPONENTE
FEMORAL
COMPONENTE
TIBIAL
TIPOS DE PROTESIS DE RODILLA
G
GRACIAS

AVANCES ESPECIALIDAD PROTESIS FINAL.pptx

  • 1.
    ARTROPLASTIA - AVANCES JULIOQUIROZ GUEVARA ORTOPEDIA Y TRAUMATOLOGÍA
  • 2.
  • 3.
    • Ampliamente usado principalmenteen pacientes ancianos. • Protesis «antiguas» a modelos sofisticados. • Técnica quirúrgica bien descrita. INTRODUCCIÓN
  • 4.
    • 1940 :More y Bholman, primer uso de implante metálico sobre un tumor de células gigantes. • 1950: Thompson, prótesis cervicocefálica monopolar con vástago femoral curvo. 1951 OA. • 1952: Austin Moore, prótesis cervicocefálica monopolar con vástago femoral recto. HISTORIA
  • 5.
    • 1957: Wiltse,Hall y Stenehjem: Primer trabajo de uso de cemento acrílico en TyO. Compatibilidad en conejos y monos. • 1960: Charnley modifiico el componente femoral, recubrió el acetábulo de una superficie de teflón. (posteriormente modificado a poletileno de alta densidad). HISTORIA
  • 6.
    • Rápido>> Menortiempo operatorio, menor dolor PO. • Pronta movilización y deambulación. Buena recuperación. VENTAJAS
  • 7.
  • 8.
    HEMIARTROPLASTIA UNIPOLAR PRÓTESIS DETHOMPSON • El vástago más pequeño, liso, sin fenestraciones, diseño de diamante creciente>> evita rotación. • Cromo- cobalto>> Titanio con apoyo en calcar y ángulo cérvico-diafisario 135º. • Los resultados obtenidos a lo largo de más de 60 años de experiencia clínica avalan su utilización.
  • 9.
    HEMIARTROPLASTIA UNIPOLAR PRÓTESIS DEAUSTIN MOORE • Vástago cuadrado con angulación de 90º en su cima. • Fenestraciones que permiten estabilización dentro del canal femoral. • Usada sin cemento ya que se ha visto que se produce osteointegración en el interior de las fenestraciones. • Complicación: Dificultad en una revisión futura debido a lo trabajoso de la extracción del componente.
  • 10.
  • 11.
    HEMIARTROPLASTIA BIPOLAR • Cabezametálica + polietileno + capuchón metálico. • Permitir doble movimiento>> Reducir desgaste acetabular. • Cabeza grande>> Estabilidad. • Modularidad: Cabeza articulada.
  • 12.
    ARTROPLASTÍA TOTAL DECADERA • Mejores resultados funcionales que APC (unipolar y bipolar). • Mayor tiempo operatorio y costos. • Indicaciones:  No deterioro conginitivo  Adulto mayores activos  No comorbilidades mayores  Adulto joven con riesgo de OP • Primeros implantes metal en metal. Prótesis totales: MoM – MoP – CoP- CoC.
  • 14.
    PROTESIS TOTAL NOCEMENTADA • Principios: Estabilidad mecánica inmediata. Contacto intimo entre la superficie protésica y el hueso. • Prótesis no cementadas son de elección para pacientes jóvenes o pacientes mayores con buena calidad ósea. • Cirugía de revisión: Prótesis cementadas tiene menor tasa de éxitos en este tipo de cirugía. • Menor aflojamiento y revisión
  • 15.
  • 18.
    COMPONENTE ACETABULAR • Mayoríacon revestimiento poroso en toda la circunferencia (ingrowth). • 1 a 2 mm más grande que el rimado para una adecuada fijación. • Tornillos transacetabulares: Aumentan el Ingrowth y fijación.
  • 20.
    RECUBRIMIENTO DE POLIETILENO •La interfaz polietileno metal puede ocasionar desgaste del mismo, previene con una adecuada fijación del mismo. • Uso de nuevos diversos tipos de fijación y diseño de polietileno
  • 21.
  • 22.
  • 23.
  • 24.
  • 26.
    PROTESIS DE RODILLA: TIPOS- INDICACIONES JULIO QUIROZ GUEVARA ORTOPEDIA Y TRAUMATOLOGÍA
  • 27.
    • Éxito ATRcomienza con un adecuado planeamiento. • Abordaje optimo en controversia. Ninguno ha probado superioridad. INTRODUCCIÓN
  • 29.
  • 30.
    • Descrito porVon Langenbeck en 1878. • Reconocido como el abordaje clásico y gold standart a partir del cual los demás abordajes son comparados. ABORDAJE PARAROTULIANO MEDIAL
  • 32.
  • 34.
  • 41.
  • 53.
  • 54.
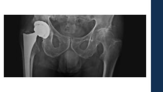
  • 55.

Notas del editor

  • #4 Primer vamos a hablar de la protesis de cadera, que fue considerado uno de los mayores logros en la especialidad en estados unidos se realizan 350mil de estos procedimientos al año. La técnica quirúrgica de colocación ha sido bien estudiada y esta bien descrita.
  • #5 Cabe rescatar que las dos thompson y morre fueron creada antes del cemento de polimetilmetacrilato, ambas eran press fit EN UN INICIO. Antes de la invención de implantes metalicos existían artroplastias en las cuales se interponía fragmento de tendón para remedar una superficie articula, obviamente no tenían buenos resultados como otras articulaciónes que no soportan carga como el codo. Entonces comenzaron a desarrollarse los primeros implantes metalicos con More en lesiones tumores, en 1950 thompson creo la primera protesis de vástago curvo con anclaje en el cuello monopolar o también llamada parcial que se sigue usando hasta la actualidad ; y 2 años mas adelante Austin more creo un impolante similar pero con vástago femoral recto.
  • #6 1957 se crea el cemento acrílico en TyO, para poder fijar este tipo de implantes, 1960: Charnley modifiico el componente femoral, recubrió el acetábulo de una superficie de teflón. (posteriormente modificado a poletileno de alta densidad), protesis total. En este tipo de implante hay que tener en considerancion las superficies de friccion, entre el componente femoral y el componente acetabula, porque se ve deacuerdo a que te tipo sea esta puede traer cierto tipo de complicaciones. Primeros implantes metal en metal
  • #7 Ventaja de esta evolución de implantes esta en que su colocación es mas rápida, de esta forma se reduce el tiempo operatorio y consecuentemente el dolor. Adicionalmente permite una recuperación rápida con movilidad y generalmente buena evolución. Disminuye el riesgo de complicaciones pulmonares.
  • #8 Acá se puede ver la izquierda protesis tipo Thomson y la derecha la Austin more como se describió la Thompson de vástago curvo y esta diseñada para colocarse con cemento, en cambio a la Austin moore tiene vástago recto y se coloca sin cemento.
  • #9 Thomson: con una vástago triangular en diamante para evitar rotaciones , hecha de cromo y cobalto, remeda la medica del angulo cervicodiafisiario del femur en 135 grados. Y como mencione en historia su utilización acaba de cumplir 70 años de uso.
  • #10 Austin more con similar angulación pero una cabeza cuadrada en 90°, las fenestraciones permiten mayor osteoingreacion y mayor estabilidad en el canal femoral. La desventaja de esta fenestraciónes es lo dificultoso para una cirugía de revisión, el retiro es muy laborioso.
  • #11 En síntesis todas las protesis parciales tiene la desventaja de una interfase de friccion metal-cartilago por ende esto conlleva a mayor desgaste articular y dolor. Lo cual hace necesaria una cirugía de revisión en un periodo de 5 a 10 años (el cual depende del tipo de movilidad o uso que se). Friccion entre pares no similares. Podriamos decir expectavida de vida no mayor a 5-10 años porque la erosión provoca dolor e incapacidad. Supuestamente la bipolar da menor desgaste y de revision facil porque se cambia el componente acetabular y se pone un cuello mas alto. MALA CALIDAD Y FALTA DE MODULARIDAD en parciales PARA COMPENSAR MAL HUESO (Apoyo calcar, vastagos anchos, etc).
  • #12 Para tratar de conseguir protesis de mayor duración se desarrollan las protesis totales bipolar la cuales cuenta con una cabeza metálica que contiene un capuchon metálico y una alma de polietileno. Esto para reducir la friccion entre el metal y el cartílago del acetábulo. Actualmente cuenta con algunas pocas indicaciones no dan mayor ventaja sobre una parcial tipo Thompson. IGUAL ES UNA PROTESIS PARCIAL PORQUE SOLO SE SIGUE TRABAJANDO SOBRE EL FEMUR. MENOR FRICCION, Al final funcionan como monopolares debido a que la cabeza pequeña se bloquea. VENTAJAS BIPOLARES: reducir riesgo de daño por friccion del componente acetabular . De preferencia se debe una una cabeza pequeña (22mm )para que alla mas juego intra protesico y no de la protesis con el acetabulo. Aparente menor riesgo de dislocacion por este juego. Ayuda a movilizacion precoz.
  • #13 El uso de protesis total de cadera esta descrito que da mejores resultados que las protesis parciales tanto unipolar como bipolar. La desventaja se da en el mayor costo y tiempo operatorio, pero esto se contrapone con la mejor funcionalidad . Su uso es para paciente sin deterioro cognitivo, adultos mayores activos sin comorbilidades mayores, o en jóvenes con riesgo de osteoporosis. Dentro de las superficies actuales de fracción se tiene MoM – MoP – CoP- CoC. Principalmente el metal provocaba relación tisular local; MoP provocaba gran osteólisis aunque se ha mejorado con implantes con polietileno entrecruzado de alto peso que tiene mejor resultado, y los implantes de cerámica tienen la desventaja de producir un casquido chirrido. Estos últimos 3 se siguen usando en la actualidad.
  • #14 En esta imagente se puede apreciar los componentes fundamentales: vástago femoral, cabeza femoral , el polietileno (que no se puede ver) y la copa acetabular en un cadera derecha. Para las protesis totales al igual que las parciales tenemos protesis cementadas y no cementadas.
  • #15 Las protesis totales tiene la ventaja de tener una menor tasa de aflojamiento y menor riesgo de revisión. Sin embargo se requiere que la calidad ósea se buena . La estabilidad es mejor al haber un contacto intimo entre el implante y el hueso. Como se puede ver esta son microfotografía de las superficie metálica rugosa de este tipo de protesis lo cual promueve la formación de hueso hacia la protesis y facilidad su integración.
  • #16 Existe una clasifaicion según el tipo de geometría del vástago de protesis con el cual se cuenta. Tipo uno de curva simple, tipo 2 de sobre curva con anclaje en la metafisis, 3 afiladas, 4 cilidricas totalmente recubrierta de rugosidad, 5 modulares con posibilidad de modificaciones, 6 anatomicas. Evolución de las prótesis no cementadas ha contribuido a la variedad de estas. La geometría del vástago femoral determina el resultado de la fijación más que el material del cual esta hecho. Khanuja desarrolla la clasificación para vástagos femorales no cementados. 1-5 (rectos), 6 (anatómico).
  • #17 Aca se observa la tipo uno de curva simple. Vástago metálico y cabeza de cerámica ( de mayor duración)
  • #18 Aca a la izquierda tipo 4 cilindrica tambin con cabeza de metal, y ala derecha un tipo 3 afilada con cabeza metálica.
  • #19 En cuenta al componente acetabular también poroso para estimar la adherencia al hueso, se coloca generalmente un componente 1 a 2 mm mas grande para coloco a press fit , se puede agregar uno o 2 tornillos en el acetábulo para asegurar mayor fijación. Aca se ve la superficie poroso con los orificios para poder adicionar tornillos.
  • #20 Adicionalmente a los tornillos en en caso de fracturas o defectos acetábuares existen diseños con pestañas como se ven para poder tener una mejor contension, también esto pestañas de refuerzo acetabular cuenta con orificos para tornillos.
  • #21 Dentro de esta copa acetabular se encuentra el polietileno que articula con la cabeza femoral, cuenta con diversos diseños y distinda configuración. Aca abajo se aprecio en una cirugía de revisión el desgaste que ocasiono el componente metálico sobre esta ceja del polietileno. Aca a la derecha se ve esta pestaña adicional que se coloca en la parte posterior del acetábulo con el objetivo de prevenir las luxacion de la cabeza protésica.
  • #22 Se toma como refencia en el trocánter mayor y se hace una incisión curva sobre la piel y a través del TCSC se llega al gluteo mayor . EL ABORDAJE MAS COMUN Y PRACTICO: Abordaje rapido seguro y facil. No se interfiere con el mecanismo abductor y se peude hacer con un solo ayudante Decubito lateral con la pierna libre para maniobrarInsion de 10 a 15 cm sobre borde posterior del trocanter mayor hacia l nalga siguiente las fibras del gluteo mayor. No ahí plano internervioso porque el gluteo tiene inervacion propia.
  • #23 Luego de divulsionarlo (este no tiene plano internerviso) se llega a los musculos rotadores externo de la cadera Disecciòn superficial de desinserta todo el gluteo hasta su facia posterior y se ve la cara posterior de la capsula articular cubierta de los rotadores externos cortos. NERVIO CIATICO : sale de la escotadura ciatica mayor y va por detrás por los rotadores externos ( entre los gemelos y el piriforme). SE APLICA ROTACION interna PARA SEPARAR MAS EL CIATICO Y SE DESINSERTAN LOS ROT EXTERNOS y estos queda para cubrir al nervio
  • #24 Luego se rota internamente la cadera para poder alejar al nervio ciático de estos musculos rotadores. ROTADORES EXTERNOS QUE ESTAN EN PROXIMIDAD CON EL CIATICO POR ESO SE ROTA EXTERNO. Y SE COMIENZA A DESINSERTARLOS CON DISECCION ROMA PARA LUEGO REINSERTARLOS
  • #25 Se rota en como estos desde su inserción en el trocánter mayor en la liena punteada , luego de esto ya se encuentra la capsular articular Disecciòn superficial de desinserta todo el gluteo hasta su facia posterior y se ve la cara posterior de la capsula articular cubierta de los rotadores externos cortos. NERVIO CIATICO : sale de la escotadura ciatica mayor y va por detrás por los rotadores externos ( entre los gemelos y el piriforme). SE APLICA ROTACION EXTERNA PARA SEPARAR MAS EL CIATICO Y SE DESINSERTAN LOS ROT EXTERNOS y estos queda para cubrir al nervio
  • #28 El éxito de la protesis de rodilla comienza por una adecuada preparación prequirugicas los cortes a realizar y el tipo de protesis a usar. No existe evidencia de que abordaje tenga mayores vendajas aunque el mas usado es el parapatelar medial .
  • #29 Aca se puede ver la preparacion desde la colocación del paciente en un soporte que permita una flexio-extension controlada de la rodilla a intervenir. La colocación de un campo esteril adhesivo para evitar la contaminación de la herida.
  • #30 Los componente generales de toda protesis de rodilla son el componente metálico femoral, componente tibial y el inserto o componente meniscal que es de polietileno.
  • #31 El abordaje para patelar medial que también tiene mas 100 años de descrito es el mas usado y a partir de cual deriva en resto de abordajes.
  • #32 Se toman uno 6-12cm sobre el polo superior de la rotula y 6 cm por debajo del polo inferior. Incision anteior la más usada. Recta 6-12 cm proximal polo superior y 6cm polo inferior o TAT. Con curva o sin curva. Blood suply de medial a lateral y viene de los vasos perforantes de la fasia muscular. Si es revision usar la cicatriz más lateral.
  • #33 Se incide a través del vasto medial dejando un margen de un 1cm para poder repararlo al terminar la cirugía. Como aca se puede ver en la imagen de la izquierda en elsitio operatorio } Y ahí que extenderse 3-4 hacia distal por el tendon patelar. Extenderse se peude mediante retiro del la almohadilla grasa infrarotuliana y diseccion subperiostica de la tibia proximal medial. Luego se luxa la rótula hacia lateral y se flexiona la rodilla.
  • #34 Luego de una adeucada incisión se luxa y evierte la hacia lateral la rotula para poder tener una buena exposion del femur distal y del platillo tibial.
  • #36 Para la adecuada prepracion del componente femoral se deben tener el consideración el alineamiento de la líneas intercondíleas. Para realizar una cortes adecuados
  • #37 Para esto el primer paso para colocar las guias es en la línea media intercondílea se hace un perforación para colocar una guía intramedular
  • #38 Luego esta se cambia por una guía de corte y se procede a la primera parte de los cortees femorales.
  • #39 Esta la imagen del primer corte realizado en el femur se puede ver ambos condilos
  • #40 Previo a este corte de insertan unas varilas para controlar el eje femoral con respecto al cadera.
  • #41 Estos cortes de igual forma son relizados con una cierra oscilante.
  • #42 PARA LA PREPARACION DEL COMPONENTE TIBIAL
  • #43 En primera instancia se deb ver la alineación con los maléolos del tobillo usando este dispositivo. Debe estar adecuadamente posicionado.
  • #44 Se ve el hundimiento y se busca la altura correcta para de esta forma comenzar con el único corte transversal en el platillo tibial.
  • #45 Tienen que ser simétricas tanto en flexion como en extensión.
  • #46 Luego de los cortes de procede a comprobar el aliamiento tanto con la cdera como con el plafónd tibial. con una varillas
  • #47 Aca se puede ver como se colocan estas guias para esto se insertan componente de prueba.
  • #48 Se colcoa esta guía y se hace la perforación
  • #49 esta es la vista final de todos los cortes del componente femoral y tibial.
  • #50 Se procede a la colocación de cemento oseo en ambos componentes para su colocación final.
  • #51 Y se coloca asegurando retirar el excedente de cemento
  • #52 Para concluir el procedimiento con la colocación del inserto de polietileno que remeda la función meniscal.
  • #53 Y esta es la vista final de la colocación de la protesis. 7
  • #54 Y para cirugas de revisión se usa este tipo de protesis con vastagos mas largos para poderse anclar sobre hueso ya trabajado previamente. Adicionalmente se puede agregar a este tipo de protesis un bisagra la cual se usa para inestabilidades ligamentarias francas eso permite mayor estabilidad pero solo deja el movimiento de flexo extensión, lmitando movimientos rotacionales.
  • #55 Aca se ve la imagen radiografia postoperatoria de una protesis convenciónal y la derecha una protesis de revion con vastagos mas largos y con el sistema de bisagra