TRATAMIENTO QUIRÚRGICO
   DE LAS FRACTURAS

   DR. JOSE RAMON CENTENO LOPEZ
       CLAVO CENTROMEDULAR
Los clavos son largos tubos huecos
adaptados a la forma de cada hueso
                Hay diferentes tipos

       •   El fémur

       •   La tibia

       •   El húmero

               La ventaja de la técnica es de realizar el
               enclavado sin abrir el foco de fractura, en la
               mayor parte de los casos.




               Clavo femoral
La introducción de un clavo necesita un fresado previo de la cavidad endomedular, cuyo
                            tercio medio es mas estrecho
Instalación para colocación de clavo femoral




Mesa ortopédica, anestesia general, tracción trans-tibial, mientras el otro
miembro no debe interferir durante la radioscopía.
Alisado   Introduccion del clavo
El enclavado de las fracturas diafisiarias
 necesita un fresado del canal medular

                   • Introducción de una guía
                   metálica en los 2 fragmentos
                   • Introducción de fresas de
                   calibres crecientes
                   • Introducción del clavo
                   endomedular
                   • Es posible de fijar el clavo al
                   hueso por medio de tornillos
                   transversales
Clavos centromedulares de fémur
Clavo centromeduar: fijación




Los clavos tienen orificios en las 2
extremidades para la colocacion de
tornillos transversales u oblicuos
destinados a estabilizar los fragmentos
Clavo femoral bloqueado
Photo J. Chouteau
Photo J. Chouteau
Cuando las dos
extremidades están
bloqueadas, el montaje es
estático


Cuando bloqueamos una
sola extremidad el montaje
es« dinámico » y favorece el
apoyo y contacto entre los
fragmentos
El bloqueo del clavo está indicado en las fracturas conminutas,
     con el fin de preservar la longitud y evitar la rotación.
El bloqueo del clavo está indicado en las fracturas conminutas,
     con el fin de preservar la longitud y evitar la rotación.
El bloqueo del clavo está indicado en las fracturas conminutas, con
            el fin de preservar la longitud y evitar la rotación.




Formación de un gran callo gracias a la preservación del hematoma fracturario
Photo J. Chouteau
Enclavado Retrógrado
                     en las fracturas distales de fémur




Introducción del clavo en el espacio intercondíleo de la rodilla.
Enclavado Retrógrado
 en las fracturas distales de fémur
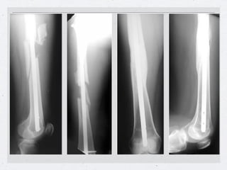
Callo vicioso en los tres planos.
Callo vicioso y artrosis en varo: doble osteotomía
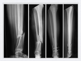
Clavo centromedular de tibia



                         • Tabla ortopédica

                         • Tracción longitudinal

                         • Tracción trans-
                           calcánea o estribo

                         • Rodilla flexionada
Instalación para
                         • Control radioscópico
enclavado tibial.
                           de la reducción
Instalación para enclavado de tibia




• El canal endomedular se aborda por delante de la espina tibial

• Introducción de la guía, del alisador y finalmente el clavo.
Clavo Centromedular de Tibia




Curvatura adaptada 
Clavo hueco
El enclavado endomedular en fracturas cerradas de diáfisis
permite la reducción de todos los desplazamientos, ¿excepto
      uno, cual?, ¿como solucionar este inconveniente?
El enclavado endomedular en fracturas cerradas de diáfisis
 permite la reducción de todos los desplazamientos, ¿excepto
       uno, cual?, ¿como solucionar este inconveniente?




- Un clavo centromedular no
 siempre bloquea la rotación ( solo
 cuando los dos fragmentos fueron
 fresados en una longitud
 suficiente).
El enclavado endomedular en fracturas cerradas de diáfisis
 permite la reducción de todos los desplazamientos, ¿excepto
       uno, cual?, ¿como solucionar este inconveniente?




- Un clavo centromedular no
 siempre bloquea la rotación ( solo
 cuando los dos fragmentos fueron
 fresados en una longitud
 suficiente).

- La solución es bloquear el clavo al
hueso, mediante tornillos
transversales.
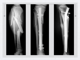
Enclavado de tibia en fractura cerrada




Clavo sin Bloqueo   Clavo con Bloqueo con aletas   Clavo con Bloqueo con Pernos
Indique cuales son las ventajas aportadas por el
               enclavado centromedular, para una
                fractura del tercio medio de fémur:


•   No hay desperiostizacion de los fragmentos

•   No hay evacuación del hematoma perifracturario

•   Riesgo de infección reducido

•   Movilización precoz de las articulaciones

•   Apoyo precoz

•   Buena calidad del callo óseo obtenido

•   No hay riesgo de fractura iterativa luego de la ablación del
    clavo ( 18 meses)
Callo óseo luego del enclavado
centromedular de tibia a foco cerrado.
            Ventajas del
            Clavo Centro
            medular a foco
            Cerrado
            •Preservación
            del Hematoma
            •No
            desperiostización
            •Callo óseo
            Luminoso
Clavo de tibia




bloqueo proximal      bloqueo distal
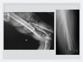
Clavo Centromedular de Húmero


Punto de entrada



• Proximal: por el troquíter

• Distal: por la fosita
  olecraniana

• Fijación posible
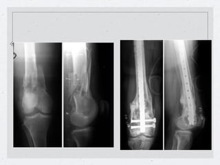
Corrección de un callo vicioso de fémur
Los retardos de consolidación y las pseudoartrosis son raras
      luego del enclavado endomedular a foco cerrado.




                              • En esas condiciones el
                                clavo puede romperse.

                              • Será necesario un injerto
                                óseo antes de que esto
                                ocurra.
Clavo Elástico




Clavos elásticos utilizados en los
adolescentes.
Prioridad: mantener las zonas fértiles de
las metáfisis.

Clavo centromedular

  • 1.
    TRATAMIENTO QUIRÚRGICO DE LAS FRACTURAS DR. JOSE RAMON CENTENO LOPEZ CLAVO CENTROMEDULAR
  • 2.
    Los clavos sonlargos tubos huecos adaptados a la forma de cada hueso Hay diferentes tipos • El fémur • La tibia • El húmero La ventaja de la técnica es de realizar el enclavado sin abrir el foco de fractura, en la mayor parte de los casos. Clavo femoral
  • 3.
    La introducción deun clavo necesita un fresado previo de la cavidad endomedular, cuyo tercio medio es mas estrecho
  • 4.
    Instalación para colocaciónde clavo femoral Mesa ortopédica, anestesia general, tracción trans-tibial, mientras el otro miembro no debe interferir durante la radioscopía.
  • 5.
    Alisado Introduccion del clavo
  • 6.
    El enclavado delas fracturas diafisiarias necesita un fresado del canal medular • Introducción de una guía metálica en los 2 fragmentos • Introducción de fresas de calibres crecientes • Introducción del clavo endomedular • Es posible de fijar el clavo al hueso por medio de tornillos transversales
  • 7.
  • 8.
    Clavo centromeduar: fijación Losclavos tienen orificios en las 2 extremidades para la colocacion de tornillos transversales u oblicuos destinados a estabilizar los fragmentos
  • 9.
  • 10.
  • 11.
  • 12.
    Cuando las dos extremidadesestán bloqueadas, el montaje es estático Cuando bloqueamos una sola extremidad el montaje es« dinámico » y favorece el apoyo y contacto entre los fragmentos
  • 13.
    El bloqueo delclavo está indicado en las fracturas conminutas, con el fin de preservar la longitud y evitar la rotación.
  • 14.
    El bloqueo delclavo está indicado en las fracturas conminutas, con el fin de preservar la longitud y evitar la rotación.
  • 15.
    El bloqueo delclavo está indicado en las fracturas conminutas, con el fin de preservar la longitud y evitar la rotación. Formación de un gran callo gracias a la preservación del hematoma fracturario
  • 17.
  • 18.
    Enclavado Retrógrado en las fracturas distales de fémur Introducción del clavo en el espacio intercondíleo de la rodilla.
  • 19.
    Enclavado Retrógrado enlas fracturas distales de fémur
  • 22.
    Callo vicioso enlos tres planos.
  • 23.
    Callo vicioso yartrosis en varo: doble osteotomía
  • 24.
    Clavo centromedular detibia • Tabla ortopédica • Tracción longitudinal • Tracción trans- calcánea o estribo • Rodilla flexionada Instalación para • Control radioscópico enclavado tibial. de la reducción
  • 25.
    Instalación para enclavadode tibia • El canal endomedular se aborda por delante de la espina tibial • Introducción de la guía, del alisador y finalmente el clavo.
  • 26.
    Clavo Centromedular deTibia Curvatura adaptada Clavo hueco
  • 27.
    El enclavado endomedularen fracturas cerradas de diáfisis permite la reducción de todos los desplazamientos, ¿excepto uno, cual?, ¿como solucionar este inconveniente?
  • 28.
    El enclavado endomedularen fracturas cerradas de diáfisis permite la reducción de todos los desplazamientos, ¿excepto uno, cual?, ¿como solucionar este inconveniente? - Un clavo centromedular no siempre bloquea la rotación ( solo cuando los dos fragmentos fueron fresados en una longitud suficiente).
  • 29.
    El enclavado endomedularen fracturas cerradas de diáfisis permite la reducción de todos los desplazamientos, ¿excepto uno, cual?, ¿como solucionar este inconveniente? - Un clavo centromedular no siempre bloquea la rotación ( solo cuando los dos fragmentos fueron fresados en una longitud suficiente). - La solución es bloquear el clavo al hueso, mediante tornillos transversales.
  • 30.
    Enclavado de tibiaen fractura cerrada Clavo sin Bloqueo Clavo con Bloqueo con aletas Clavo con Bloqueo con Pernos
  • 31.
    Indique cuales sonlas ventajas aportadas por el enclavado centromedular, para una fractura del tercio medio de fémur: • No hay desperiostizacion de los fragmentos • No hay evacuación del hematoma perifracturario • Riesgo de infección reducido • Movilización precoz de las articulaciones • Apoyo precoz • Buena calidad del callo óseo obtenido • No hay riesgo de fractura iterativa luego de la ablación del clavo ( 18 meses)
  • 32.
    Callo óseo luegodel enclavado centromedular de tibia a foco cerrado. Ventajas del Clavo Centro medular a foco Cerrado •Preservación del Hematoma •No desperiostización •Callo óseo Luminoso
  • 33.
    Clavo de tibia bloqueoproximal bloqueo distal
  • 38.
    Clavo Centromedular deHúmero Punto de entrada • Proximal: por el troquíter • Distal: por la fosita olecraniana • Fijación posible
  • 39.
    Corrección de uncallo vicioso de fémur
  • 40.
    Los retardos deconsolidación y las pseudoartrosis son raras luego del enclavado endomedular a foco cerrado. • En esas condiciones el clavo puede romperse. • Será necesario un injerto óseo antes de que esto ocurra.
  • 41.
    Clavo Elástico Clavos elásticosutilizados en los adolescentes. Prioridad: mantener las zonas fértiles de las metáfisis.