La célula
Tema 5 (2º parte)
Teoría celular (resumen)
• La célula es la unidad estructural y funcional de
todos los seres vivos.
– Unidad estructural (= Todos los seres vivos están
formados por células).
– Unidad funcional (= La célula es la unidad mínima
capaz de realizar las funciones vitales).
• Toda célula procede de otra célula preexistente.
La teoría celular fue enunciada por Schleiden (1838) y
Schwann (1839) y ampliada por Virchow (1855).
Tipos de células
PROCARIOTAS
• Sin núcleo
EUCARIOTAS
• Con núcleo
• TIPOS
– ANIMALES
– VEGETALES
Componentes de todas las células: Membrana plasmática + citoplasma + material genético
Células eucariotas
Animales
• Centrosoma
Vegetales
• Pared celular
• Cloroplastos
• Vacuola
Célula animal vs vegetal
Orgánulos celulares
Célula animal
Célula vegetal
LA MEMBRANA PLASMÁTICA
• Está formada por:
– Una bicapa de fosfolípidos.
– Proteínas
• Integrales  Están embebidas en la bicapa.
• Periféricas  Se apoyan en alguna de las 2 capas de
fosfolípidos.
– Cadena de polisacáridos proyectados hacia el
exterior celular.  Glucocálix (Los polisacáridos se
pueden unir a los fosfolípidos o a las proteínas).
– Colesterol (regula su fluidez) (En células animales)
Membrana plasmática (vista a microscopía
electrónica)
Componentes de la membrana plasmática
Las proteínas integrales pueden regular el paso de
sustancias a través de la membrana plasmática.
RETÍCULO ENDOPLASMÁTICO
RUGOSO (RER)
• Son sacos de membrana
interconectados entre sí y
tapizados por ribosomas.
• Función: síntesis de
proteínas.
LISO (REL)
• Son tubos membranosos
que carecen de ribosomas.
• Su función principal es la
síntesis de lípidos.
REL
RER y REL
3: RER
4: REL
RE (visto con M.E.)
Aparato de Golgi (o Complejo de
Golgi)
Aparato de Golgi
• Constituído por un conjunto de sacos situados
de forma paralela y vesículas que se
desprenden de ellos.
• Funciones:
– Acumular y madurar los productos
(empaquetamiento) que fabrica la célula y
secretará al exterior.
– Fabricar glúcidos.
LISOSOMAS
• Son vesículas que contienen enzimas que
funcionan a pH ácido.
• Función: Digestión intracelular de partículas
propias o que la célula ha captado del exterior.
(Las células del sistema de defensa (ej: macrófagos) poseen
abundantes lisosomas).
Lisosomas
Video de actuación del lisosoma:
http://recursostic.educacion.es/ciencias/biosfera/web
/alumno/2bachillerato/La_celula/contenidos11.htm
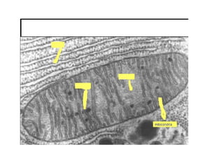
MITOCONDRIAS
• Son orgánulos de doble membrana.
• Función: Síntesis de ATP  molécula energética.
– Entre la membrana externa e interna, hay un espacio
intermembranoso.
– La membrana mitocondrial interna, presenta unos
pliegues hacia el interior (crestas mitocondriales), para
aumentar la superficie (sin incrementar el volumen).
– En las crestas mitocondriales se encuentra el complejo
enzimático encargado de sintetizar ATP.
– El interior de la mitocondria (relleno por matriz
mitocondrial) contiene: ribosomas, enzimas, gránulos de
Ca++ y su propio ADN circular.
Descripciónanatómica
Curiosidad: El ADN mitocondrial sólo se hereda
por vía materna.
Mitocondrias
PLASTOS
• Son exclusivos de las células vegetales.
• Tipos (según contenido):
– CROMOPASTOS: Almacenan pigmentos.
• Cloroplastos: Orgánulos donde se lleva a cabo la fotosíntesis.
– AMILOPLASTOS: Almacenan almidón.
H2O + CO2 + E lumínica  H12C6O12 (Glucosa) + O2
Cloroplastos
CLOROPASTOS:
- Son orgánulos donde se lleva a cabo la fotosíntesis.
- Poseen una doble membrana.
- Tiene unas láminas membranosas internas llamadas lamelas.
- Sobre las lamelas se apoyan los tilacoides (discos apilados
formando grana).
- En los tilacoides están la clorofila y las proteínas necesarias
para realizar la fotosíntesis.
El contenido interno
del cloroplasto se
llama estroma.
Contiene:
- ADN del cloroplasto.
- Enzimas metabólicas.
- Ribosomas
Cloroplastos a microscopía electrónica
CLOROPLASTO
CITOESQUELETO
• Microfilamentos de actina – miosina. Ej: Participan en la contracción
muscular, movimientos celulares, fagocitosis…
• Filamentos intermedios. Presentes en células sometidas a esfuerzos
mecánicos.
• Microtúbulos. Son lábiles (= se organizan – desorganizan
constantemente). Desempeñan un papel fundamental en el movimiento
de cromosomas durante la mitosis. (Transporte intracelular).
• Centriolos. Estructuras cilíndricas formadas por microtúbulos. En los
animales se ubican por parejas en el centrosoma.
Su función es organizar microtúbulos.
Citoesqueleto
centriolos
CILIOS Y FLAGELOS
• Son estructuras que se proyectan hacia el
exterior y están rodeadas por membranas
plasmáticas.
• Función: Desplazamiento de la célula o de
sustancias que fluyen por la superficie.
• Cilios: Cortos y numerosos.
• Flagelos: Largos y suelen ser únicos.
Centriolo (base) + microtúbulo
• Cilios • Algunos organismos pueden
presentar cilios y flagelos
simultáneamente. Ej: Bacterias
Flagelos
NÚCLEO
• Almacena la información genética y controla la
replicación del ADN.
• La membrana nuclear es doble. (Existe un espacio
intermembranoso).
• La membrana nuclear presenta poros nucleares, que
regulan el intercambio de moléculas entre el núcleo y el
citoplasma.
• La membrana nuclear externa se continúa con la del
RER.
Núcleo
Núcleo
CROMATINA
• CROMATINA = ADN + Histonas
• Histonas: Son proteínas que contribuyen al
empaquetamiento del ADN.
• Eucromatina: Poco empaquetada  ADN está
activo y transcribe genes.
• Heterocromatina: Muy empaquetada e
inactiva.
NUCLEOLO
• Región del núcleo que contiene el ADN a
partir del cual se va a transcribir el ARNr y
proteínas.
• Su función es la de construir ribosomas.
• CROMOSOMA = Esqueleto proteico + lazos de
cromatina que se compactan a su alrededor.
CROMOSOMA (regiones)
• Cromátidas: Cada uno de las divisiones
longitudinales iguales del cromosoma. Contienen la
misma información genética.
• Centrómero: Punto de contacto entre las dos
cromátidas.
• Brazos: Unidades morfológicas que se encuentran a
ambos lados del centrómero.
• Telómeros: Extremos de los cromosomas.
Los cromosomas son estructuras que se forman cuando la célula se está dividiendo.
Empaquetamiento de la
cromatina
Cromosoma
División celular: Mitosis y citocinesis
• Mitosis: División del núcleo.
• Citocinesis: División del citoplasma.
– Por estrangulamiento (células animales)
– Mediante la formación de pared celular que
separa a las 2 células hijas (células vegetales).
MITOSIS (Fases)
• Profase:
– La cromatina se condensa y se forman los cromosomas.
– Se forma el huso acromático (microtúbulos) y los centriolos se desplazan a los
polos celulares. (Los microtúbulos que terminan en los centrómeros de los cromosomas, se
denominan cinetocoro).
– La membrana nuclear se desintegra.
– Los cromosomas se van situando en la línea ecuatorial de la célula.
• Metafase
– Los cromosomas ( empaquetados) se sitúan en el ecuador y dejan una
cromátida hacia cada polo.
• Anafase
– Los cromosomas se dividen y cada cromátida se desplaza hacia un polo
celular. (Cada célula hija recibe la misma cantidad de material genético).
• Telofase
– Las cromátidas llegan a su destino.
– Los cromosomas pierden condensación  cromatina. (Nucleolo visible)
– Se forma la membrana nuclear a partir del RER.
Citocinesis
• En células animales
Se produce por estrangulación del citoplasma en la región ecuatorial
(gracias a proteínas contráctiles).
Surco de división
Citocinesis vegetal
Fabricación de una pared celular que separa las 2 células hijas (gracias
a vesículas que contienen celulosa, hemicelulosa, proteínas …)
Videos mitosis
• http://www.youtube.com/watch?v=w4hey-7-sTg
• http://www.youtube.com/watch?v=VlN7K1-9QB0
Fase G0
Fase G0
Fase G1
Fase G1
Fase permanente en células que
no entran nunca en mitosis.
Estado de quiescencia.
Fase permanente en células que
no entran nunca en mitosis.
Estado de quiescencia.
Síntesis de proteínas y
aumento del tamaño celular.
Síntesis de proteínas y
aumento del tamaño celular.
Replicación del ADN y síntesis
de histonas.
Replicación del ADN y síntesis
de histonas.
Transcripción y traducción de genes que
codifican proteínas necesarias para la
división. Duplicación de los centriolos
Transcripción y traducción de genes que
codifican proteínas necesarias para la
división. Duplicación de los centriolos
División del
núcleo
División del
núcleo
Fase de
mitosis
Fase de
mitosis
División del
citoplasma
División del
citoplasma
CitocinesisCitocinesis
Fase SFase S
Interfase
Fase G2
Fase G2
Zona celular
CICLO CELULAR
-INTERFASE
- período G1 – G0
- período S
- período G2
-DIVISIÓN CELULAR O FASE M
- cariocinesis (Mitosis)
- citocinesis
División celular
Mitosis (en
movimiento)
METABOLISMO CELULAR
• Metabolismo: Conjunto de reacciones físico-
químicas que tienen lugar en la célula.
– CATABOLISMO: Su finalidad es la obtención de
energía.
Sust complejas  Sustancias simples + ENERGÍA
– ANABOLISMO: Permiten a la célula fabricar
moléculas propias.
Ej: duplicación de ADN, síntesis de glucosa…
Sust simples + E  Sustancias complejas
ENZIMAS
• Son moléculas (la mayoría proteicas) cuya función es
acelerar y posibilitar las reacciones metabólicas.
• Son específicas (cada enzima sólo lleva a cabo una reacción química
determinada).
• El sustrato interacciona con el enzima en su centro
activo y se transforma en producto.
SUSTRATO  PRODUCTO
Enzima
Las enzimas facilitan las reacciones químicas, ya
que reducen la energía de activación (necesaria
para que se produzca la reacción).
Velocidad de las reacciones
químicas
• La velocidad de una reacción química depende de la cantidad
de sustrato inicial.
• Cuando se alcanza la velocidad máxima, se dice que la enzima
está saturada por el sustrato.
• Causas que disminuyen la
velocidad:
– Desnaturalización del enzima
(pH o ↑ Tra).
– Presencia de sustancias inhibidoras
(se unen a los enzimas y compiten con
el sustrato).
RUTAS METABÓLICAS
• Son un conjunto de reacciones químicas
encadenadas que producen 1 o más
productos a partir de una molécula inicial.
• Pueden ser:
– Lineales: Reacciones sucesivas. (El producto de
una 1º reacción es el sustrato de la 2º,...)
– Circulares: El sustrato inicial se recupera tras
varias reacciones.

By g tema 5 (2ª parte) la célula

  • 1.
    La célula Tema 5(2º parte)
  • 2.
    Teoría celular (resumen) •La célula es la unidad estructural y funcional de todos los seres vivos. – Unidad estructural (= Todos los seres vivos están formados por células). – Unidad funcional (= La célula es la unidad mínima capaz de realizar las funciones vitales). • Toda célula procede de otra célula preexistente. La teoría celular fue enunciada por Schleiden (1838) y Schwann (1839) y ampliada por Virchow (1855).
  • 3.
    Tipos de células PROCARIOTAS •Sin núcleo EUCARIOTAS • Con núcleo • TIPOS – ANIMALES – VEGETALES Componentes de todas las células: Membrana plasmática + citoplasma + material genético
  • 4.
    Células eucariotas Animales • Centrosoma Vegetales •Pared celular • Cloroplastos • Vacuola
  • 5.
  • 8.
  • 9.
  • 10.
  • 11.
    LA MEMBRANA PLASMÁTICA •Está formada por: – Una bicapa de fosfolípidos. – Proteínas • Integrales  Están embebidas en la bicapa. • Periféricas  Se apoyan en alguna de las 2 capas de fosfolípidos. – Cadena de polisacáridos proyectados hacia el exterior celular.  Glucocálix (Los polisacáridos se pueden unir a los fosfolípidos o a las proteínas). – Colesterol (regula su fluidez) (En células animales)
  • 12.
    Membrana plasmática (vistaa microscopía electrónica)
  • 14.
    Componentes de lamembrana plasmática Las proteínas integrales pueden regular el paso de sustancias a través de la membrana plasmática.
  • 16.
    RETÍCULO ENDOPLASMÁTICO RUGOSO (RER) •Son sacos de membrana interconectados entre sí y tapizados por ribosomas. • Función: síntesis de proteínas. LISO (REL) • Son tubos membranosos que carecen de ribosomas. • Su función principal es la síntesis de lípidos.
  • 17.
  • 18.
    RER y REL 3:RER 4: REL
  • 19.
  • 20.
    Aparato de Golgi(o Complejo de Golgi)
  • 21.
    Aparato de Golgi •Constituído por un conjunto de sacos situados de forma paralela y vesículas que se desprenden de ellos. • Funciones: – Acumular y madurar los productos (empaquetamiento) que fabrica la célula y secretará al exterior. – Fabricar glúcidos.
  • 24.
    LISOSOMAS • Son vesículasque contienen enzimas que funcionan a pH ácido. • Función: Digestión intracelular de partículas propias o que la célula ha captado del exterior. (Las células del sistema de defensa (ej: macrófagos) poseen abundantes lisosomas).
  • 25.
    Lisosomas Video de actuacióndel lisosoma: http://recursostic.educacion.es/ciencias/biosfera/web /alumno/2bachillerato/La_celula/contenidos11.htm
  • 27.
    MITOCONDRIAS • Son orgánulosde doble membrana. • Función: Síntesis de ATP  molécula energética. – Entre la membrana externa e interna, hay un espacio intermembranoso. – La membrana mitocondrial interna, presenta unos pliegues hacia el interior (crestas mitocondriales), para aumentar la superficie (sin incrementar el volumen). – En las crestas mitocondriales se encuentra el complejo enzimático encargado de sintetizar ATP. – El interior de la mitocondria (relleno por matriz mitocondrial) contiene: ribosomas, enzimas, gránulos de Ca++ y su propio ADN circular. Descripciónanatómica Curiosidad: El ADN mitocondrial sólo se hereda por vía materna.
  • 28.
  • 31.
    PLASTOS • Son exclusivosde las células vegetales. • Tipos (según contenido): – CROMOPASTOS: Almacenan pigmentos. • Cloroplastos: Orgánulos donde se lleva a cabo la fotosíntesis. – AMILOPLASTOS: Almacenan almidón. H2O + CO2 + E lumínica  H12C6O12 (Glucosa) + O2
  • 32.
  • 33.
    CLOROPASTOS: - Son orgánulosdonde se lleva a cabo la fotosíntesis. - Poseen una doble membrana. - Tiene unas láminas membranosas internas llamadas lamelas. - Sobre las lamelas se apoyan los tilacoides (discos apilados formando grana). - En los tilacoides están la clorofila y las proteínas necesarias para realizar la fotosíntesis. El contenido interno del cloroplasto se llama estroma. Contiene: - ADN del cloroplasto. - Enzimas metabólicas. - Ribosomas
  • 34.
  • 38.
  • 39.
    CITOESQUELETO • Microfilamentos deactina – miosina. Ej: Participan en la contracción muscular, movimientos celulares, fagocitosis… • Filamentos intermedios. Presentes en células sometidas a esfuerzos mecánicos. • Microtúbulos. Son lábiles (= se organizan – desorganizan constantemente). Desempeñan un papel fundamental en el movimiento de cromosomas durante la mitosis. (Transporte intracelular). • Centriolos. Estructuras cilíndricas formadas por microtúbulos. En los animales se ubican por parejas en el centrosoma. Su función es organizar microtúbulos.
  • 40.
  • 44.
    CILIOS Y FLAGELOS •Son estructuras que se proyectan hacia el exterior y están rodeadas por membranas plasmáticas. • Función: Desplazamiento de la célula o de sustancias que fluyen por la superficie. • Cilios: Cortos y numerosos. • Flagelos: Largos y suelen ser únicos. Centriolo (base) + microtúbulo
  • 45.
    • Cilios •Algunos organismos pueden presentar cilios y flagelos simultáneamente. Ej: Bacterias Flagelos
  • 46.
    NÚCLEO • Almacena lainformación genética y controla la replicación del ADN. • La membrana nuclear es doble. (Existe un espacio intermembranoso). • La membrana nuclear presenta poros nucleares, que regulan el intercambio de moléculas entre el núcleo y el citoplasma. • La membrana nuclear externa se continúa con la del RER.
  • 47.
  • 48.
  • 49.
    CROMATINA • CROMATINA =ADN + Histonas • Histonas: Son proteínas que contribuyen al empaquetamiento del ADN. • Eucromatina: Poco empaquetada  ADN está activo y transcribe genes. • Heterocromatina: Muy empaquetada e inactiva.
  • 51.
    NUCLEOLO • Región delnúcleo que contiene el ADN a partir del cual se va a transcribir el ARNr y proteínas. • Su función es la de construir ribosomas. • CROMOSOMA = Esqueleto proteico + lazos de cromatina que se compactan a su alrededor.
  • 52.
    CROMOSOMA (regiones) • Cromátidas:Cada uno de las divisiones longitudinales iguales del cromosoma. Contienen la misma información genética. • Centrómero: Punto de contacto entre las dos cromátidas. • Brazos: Unidades morfológicas que se encuentran a ambos lados del centrómero. • Telómeros: Extremos de los cromosomas. Los cromosomas son estructuras que se forman cuando la célula se está dividiendo.
  • 53.
  • 54.
  • 55.
    División celular: Mitosisy citocinesis • Mitosis: División del núcleo. • Citocinesis: División del citoplasma. – Por estrangulamiento (células animales) – Mediante la formación de pared celular que separa a las 2 células hijas (células vegetales).
  • 56.
    MITOSIS (Fases) • Profase: –La cromatina se condensa y se forman los cromosomas. – Se forma el huso acromático (microtúbulos) y los centriolos se desplazan a los polos celulares. (Los microtúbulos que terminan en los centrómeros de los cromosomas, se denominan cinetocoro). – La membrana nuclear se desintegra. – Los cromosomas se van situando en la línea ecuatorial de la célula. • Metafase – Los cromosomas ( empaquetados) se sitúan en el ecuador y dejan una cromátida hacia cada polo. • Anafase – Los cromosomas se dividen y cada cromátida se desplaza hacia un polo celular. (Cada célula hija recibe la misma cantidad de material genético). • Telofase – Las cromátidas llegan a su destino. – Los cromosomas pierden condensación  cromatina. (Nucleolo visible) – Se forma la membrana nuclear a partir del RER.
  • 62.
    Citocinesis • En célulasanimales Se produce por estrangulación del citoplasma en la región ecuatorial (gracias a proteínas contráctiles). Surco de división
  • 63.
    Citocinesis vegetal Fabricación deuna pared celular que separa las 2 células hijas (gracias a vesículas que contienen celulosa, hemicelulosa, proteínas …)
  • 64.
  • 89.
    Fase G0 Fase G0 FaseG1 Fase G1 Fase permanente en células que no entran nunca en mitosis. Estado de quiescencia. Fase permanente en células que no entran nunca en mitosis. Estado de quiescencia. Síntesis de proteínas y aumento del tamaño celular. Síntesis de proteínas y aumento del tamaño celular. Replicación del ADN y síntesis de histonas. Replicación del ADN y síntesis de histonas. Transcripción y traducción de genes que codifican proteínas necesarias para la división. Duplicación de los centriolos Transcripción y traducción de genes que codifican proteínas necesarias para la división. Duplicación de los centriolos División del núcleo División del núcleo Fase de mitosis Fase de mitosis División del citoplasma División del citoplasma CitocinesisCitocinesis Fase SFase S Interfase Fase G2 Fase G2
  • 90.
  • 91.
    CICLO CELULAR -INTERFASE - períodoG1 – G0 - período S - período G2 -DIVISIÓN CELULAR O FASE M - cariocinesis (Mitosis) - citocinesis
  • 92.
  • 93.
  • 94.
    METABOLISMO CELULAR • Metabolismo:Conjunto de reacciones físico- químicas que tienen lugar en la célula. – CATABOLISMO: Su finalidad es la obtención de energía. Sust complejas  Sustancias simples + ENERGÍA – ANABOLISMO: Permiten a la célula fabricar moléculas propias. Ej: duplicación de ADN, síntesis de glucosa… Sust simples + E  Sustancias complejas
  • 95.
    ENZIMAS • Son moléculas(la mayoría proteicas) cuya función es acelerar y posibilitar las reacciones metabólicas. • Son específicas (cada enzima sólo lleva a cabo una reacción química determinada). • El sustrato interacciona con el enzima en su centro activo y se transforma en producto. SUSTRATO  PRODUCTO Enzima
  • 97.
    Las enzimas facilitanlas reacciones químicas, ya que reducen la energía de activación (necesaria para que se produzca la reacción).
  • 98.
    Velocidad de lasreacciones químicas • La velocidad de una reacción química depende de la cantidad de sustrato inicial. • Cuando se alcanza la velocidad máxima, se dice que la enzima está saturada por el sustrato. • Causas que disminuyen la velocidad: – Desnaturalización del enzima (pH o ↑ Tra). – Presencia de sustancias inhibidoras (se unen a los enzimas y compiten con el sustrato).
  • 99.
    RUTAS METABÓLICAS • Sonun conjunto de reacciones químicas encadenadas que producen 1 o más productos a partir de una molécula inicial. • Pueden ser: – Lineales: Reacciones sucesivas. (El producto de una 1º reacción es el sustrato de la 2º,...) – Circulares: El sustrato inicial se recupera tras varias reacciones.