CANCER DE PULMON
HOSPITAL REGIONAL RIO GALLEGOS SERVICIO DE CIRUGIA GENERAL
CONCEPTOS BASICOS
 
 
 
 
 
CONCEPTOS BASICOS Las células son las unidades de vida más pequeñas del cuerpo humano. Una de sus funciones es reproducirse y morirse cuando ya no son útiles. Este proceso es muy ordenado, en el tiempo y en el espacio, de tal forma que permite que exista siempre el número adecuado de células para cada etapa de la vida. Cuando esta multiplicación de células se produce de manera descontrolada, se forman masas anormales. A estas masas se les denomina tumores.
Qué es cáncer? Es un grupo de enfermedades provocadas por causas físicas, químicas o biológicas, no todas bien conocidas, que tienen como expresión común un  crecimiento incontrolado de células anormales , las cuales libradas a su propio desarrollo, conducen a la formación de un tumor que se extiende y propaga por el organismo hasta provocar su muerte. Por eso el tratamiento oportuno evita esta consecuencia.
Cuál es la diferencia entre el crecimiento normal y el canceroso?
Todos los tumores son cancerosos?
Cómo se puede saber si un tumor es canceroso?
Cuál es la diferencia entre un tumor benigno y uno maligno?
Qué es metástasis?
TUMORES BENIGNOS Y MALIGNOS Puede haber tumores  benignos y malignos . Los tumores benignos son aquellos que no se propagan a otras zonas y que no comprometen la vida de la persona. Las células malignas pueden moverse a través de la linfa o de la sangre y  llegar a cualquier parte del cuerpo  provocando un segundo tumor, que se denomina metastásico, porque no es el que se originó primero. Los tumores malignos suelen extenderse a otras partes del cuerpo y causan daño a los tejidos y a los órganos corporales pudiendo incluso provocar la muerte de la persona.
EL CÁNCER DE PULMÓN El cáncer de pulmón consiste en un crecimiento anormal de las células del pulmón.  La enfermedad se produce habitualmente en las paredes internas de los bronquios, y al crecer puede obstruir el paso del aire y alterar la respiración.  Por este motivo, produce generalmente falta de aire, ahogo y fatiga.
 
La principal causa del cáncer del pulmón es fumar. Más del 87 por ciento de los casos de cáncer de pulmón están relacionados con el fumar. El humo del cigarrillo contiene más de 4,000 agentes químicos, muchos de los cuales son carcinógenos demostrados; otros cientos de esos agentes aumentan el poder de causar cáncer de los agentes carcinógenos. Se estima que los hombres que fuman tienen 22 veces más probabilidades de contraer cáncer de pulmón, y que las mujeres que fuman tienen 12 veces más probabilidades.
CAMBIOS HISTOLOGICOS Célula Normal Metaplasia Displasia Neoplasia FACTORES: Genéticos Ambientales Inmunológicos Infecciosos TABACO activo/pasivo NIQUEL URANIO CROMO ASBESTOS
 
 
 
 
 
 
 
 
 
 
EN LA ARGENTINA Los tumores de pulmón fueron  la primer causa de muerte por Cáncer  en los Varones con una tasa anual de 40.3/100,000. Para las mujeres la mortalidad fue de 7.7/100,000. No se tiene proyectada la  detección precoz  de portadores. La mayoría de los pacientes se presentan con  estadíos avanzados  de la enfermedad.
 
 
 
 
 
Women & Lung Cancer : A Deadly Combination  In 1950, lung cancer accounted for only 3% of all cancer deaths among women; however, by 2000, it accounted for an estimated 25% of cancer deaths--an estimated 1 of every 4 cancer deaths and nearly 1 of every 8 newly diagnosed cancers among women. Research shows that women are approximately  1.5 times more likely  to develop lung cancer than men.
 
 
 
 
Mujeres fumadoras tienen doble riesgo de padecer cáncer de pulmón Las mujeres que fuman tienen casi el doble de posibilidades que los hombres de desarrollar cáncer de pulmón, según un estudio que se lleva a cabo en 40 centros sanitarios de todo el mundo. el estudio forma parte del programa I-ELCAP de detección precoz de cáncer de pulmón, que realiza el seguimiento de unos 30.000 pacientes en todo el mundo.
 
PATOLOGIA CELULAS NO PEQUEÑAS: ¾ DE TODOS LOS TUMORES CELULAS ADENOCARCINOMATOSAS CELULAS ESCAMOSAS CELULAS PEQUEÑAS 20% DE TODOS LOS CASOS DE CA. PULMON SE ORIGINA EN CEL. NEUROENDOCRINAS: KULTCHITSKY CONDUCTA BIOLOGICA MAS AGRESIVA
PATOLOGIA Existen  dos tipos principales  de cáncer de pulmón:  el  cáncer de células pequeñas   el  cáncer de células no pequeñas .  También existe otro tipo que tiene características de los dos, y que se denomina  carcinoma mixto  de células grandes y pequeñas.
Tipos de cáncer del pulmón Hay dos tipos principales de cáncer del pulmón:  Cáncer pulmonar de células pequeñas (SCLC, por sus siglas en inglés) Cáncer pulmonar de células no pequeñas (NSCLC, por sus siglas en inglés).  Si el cáncer tiene características de ambos tipos, se le denomina  cáncer mixto de células pequeñas y grandes .
 
Cáncer pulmonar de células no pequeñas Es el tipo más común de cáncer del pulmón y representa casi el 80% de los casos. En este grupo hay tres subtipos. El carcinoma de células escamosas , que está relacionado con el fumar. Tiende a aparecer centralmente, cerca de un bronquio.  El adenocarcinoma  generalmente  se encuentra en la región más periférica del pulmón.  El carcinoma indiferenciado  de células grandes puede aparecer en cualquier parte del pulmón y tiende a crecer y propagarse rápidamente, lo cual tiene como consecuencia que el pronóstico del paciente sea malo.
Cáncer de pulmón de células no pequeñas Este tipo de cáncer representa casi el 80% del total de los cánceres de pulmón. Se extiende más lentamente que el de células pequeñas. Existen tres subtipos: -  Carcinoma de células escamosas o epidermoide : es el más frecuente de todos y se relaciona directamente con el tabaco. Alrededor del 30% de todos los cánceres son de este tipo. Suele iniciarse en los tubos bronquiales. Se desarrolla por etapas que suelen evolucionar en varios años. -  Adenocarcinoma : se presenta en un 40% de todos los casos de cáncer de pulmón. Suele comenzar en los tubos bronquiales más pequeños. Se encuentra en la región externa del pulmón. Aunque con frecuencia aparece en más de un sitio del pulmón, tiene mejores perspectivas que otros tipos de cáncer. -  Carcinoma indiferenciado de células grandes : representa el 10% de los casos de cáncer de pulmón. Puede aparecer en cualquier parte del pulmón y tiende a crecer y a extenderse con rapidez por lo que el pronóstico es malo.
NON-SMALL CELL LUNG CANCER  (NSCLC)  Non-small cell lung cancer is the  most common lung neoplasm.  the  mortality rate for this disease is very high , in direct proportion to its incidence,  approximately  half of all patients present with disseminated disease . and another 20% present with disease that is too advanced locally to allow surgical resection.
The recent improvements in chemotherapy and multimodality treatments for NSCLC  have not been substantial enough to produce a significant effect on the overall mortality of this disease.  Surgical resection  remains the only curative form of treatment, and unfortunately, few patients are candidates for this approach   NON-SMALL CELL LUNG CANCER  (NSCLC)
Cáncer de pulmón de células pequeñas Recibe este nombre por el tamaño de las células vistas a microscopio.  Se relaciona con el hábito de fumar y se estima que alrededor del 20% de todos los cánceres son de células pequeñas. Éstas se multiplican rápidamente y se pueden formar grandes tumores; además su capacidad de extenderse a otros órganos es mayor.
CAUSAS El hábito de fumar  tabaco  es la causa principal en el 90% de los casos de cáncer de pulmón entre los varones y en el 70% de las mujeres. Sustancias inhaladas y que se encuentran en el lugar del trabajo. Esto es responsable del 10% al 15% de cáncer de pulmón en los varones y el 5% en las mujeres: -amianto, arsénico, cromo, níquel, éter clorometílico, gas de mostaza y emisiones de coque de los hornos.
Factores de riesgo familiares o personales  a la enfermedad. Ciertos  cambios genéticos , pueden dar lugar a una activación de oncogenes (que forman tumores) o a la inhibición de supresores de tumores. Se ha visto que estas alteraciones se producen durante la vida del individuo y no son heredados. Las mutaciones adquiridas  en las células pulmonares se producen por la exposición a sustancias químicas causantes de cáncer que se encuentran en el humo de tabaco. Investigaciones sobre ciertos genes como el gen p53, supresor de tumores, y el Ras, oncogén, han comprobado que alteraciones en ellos son las responsables de la génesis del cáncer de pulmón. CAUSAS
Factores de riesgo La  nicotina  potencia el efecto cancerígeno de las otras sustancias procedentes del humo del tabaco y los efectos de los carcinógenos en el medio ambiente. La nicotina  actúa sobre el mecanismo de apoptosis , o muerte celular, impidiendo que las células se suiciden. Cuando se trata de células cancerígenas hace lo mismo con lo cual provoca o estimula la formación de cáncer. Asbesto : las personas que trabajan con asbesto tienen siete posibilidades más de sufrir cáncer que las que no mantienen contacto con esta sustancia. Estas personas sufren un tipo de cáncer denominado  mesotelioma , que se da en la pleura. En los últimos años, los gobiernos han prohibido que se emplee este material para los productos comerciales e industriales. Si se combina la exposición a asbesto con el hábito de fumar, se aumentan las probabilidades de sufrir cáncer de 50 a 90 veces.
Agentes causantes de cáncer en el trabajo : los mineros. minerales radiactivos como el uranio, y los trabajadores expuestos a productos químicos tales como el arsénico, el cloruro de vinilo, los cromatos de níquel, los productos derivados del carbón, el gas de mostaza y los éteres clorometílicos.  Otro tipo  de factores serían aquellos que han producido algún daño en el pulmón y que predisponen a padecer un cáncer, como haber sufrido  tuberculosis, silicosis o berilosis  (enfermedades, estas dos últimas, causadas por inhalación de ciertos minerales). Factores de riesgo
 
Passive smoking and lung cancer   Hackshaw et al estimate a  26% excess risk of lung cancer   in non-smokers who live with a smoker. This estimate may be too high.  The epidemiological and biochemical evidence on exposure to environmental tobacco smoke, with the supporting evidence of tobacco specific carcinogens in the blood and urine of non-smokers exposed to environmental tobacco smoke, provides compelling confirmation that  breathing other people’s tobacco smoke is a cause of lung cancer .  Hackshaw AK, Law MR, Wald NJ. The accumulated evidence on  lung   cancer  and environmental tobacco smoke.  BMJ  1997; 315: 980-988
 
 
¿CÓMO SE DETECTA EL CÁNCER DE PULMÓN? Generalmente silencioso.  Cuando ocurren los síntomas, el cáncer a menudo está en una etapa avanzada.  Tos crónica  Toser sangre  Sibilancias  Dolor en el pecho
Entre los síntomas más frecuentes están: Tos insistente. Dolor en el pecho que aumenta al respirar. Pérdida de peso y apetito. Falta de aliento. Respiración jadeante o con silbido. Esputos con sangre o coloración rojiza. Bronquitis y neumonía frecuentes.
Tos que no desaparece  Dolor en el pecho que a menudo empeora al respirar profundamente  Ronquera  Bajar de peso y perder el apetito  Esputo (saliva o flema) con sangre o de color rojizo  Dificultad al respirar  Infecciones recurrentes, como bronquitis y neumonía  Empezar a respirar con silbido o jadeo
 
Cuando el cáncer del pulmón se propaga a órganos distantes, puede causar lo siguiente: Dolor en los huesos  Debilidad o adormecimiento de los brazos o las piernas  Mareo  Color amarillento en la piel y los ojos (ictericia)  Masas, o bultos, justo debajo de la piel. Esto se debe a la propagación del cáncer a la piel o a los ganglios linfáticos ubicados en el cuello o por encima de la clavícula
- Dolor en los huesos. - Coloración amarillenta de la piel y de  los ojos  (ictericia). - Inflamaciones en zonas ganglionares,  como en el cuello o axilas. - Mareos, debilidad o adormecimiento  de algún miembro debido a una  afectación neuronal. Otros síntomas
 
NODULO O MASA -ASINTOMATICO -INCIDENTAL
Diagnostico Sólo un 15% de este tipo de cáncer se diagnostica en estadios iniciales. Los síntomas no aparecen hasta que la enfermedad está avanzada.
Diagnostico ANAMNESIS Y EXAMEN FISICO. IMAGENOLOGIA. Radiografia de torax Tomofrafia Axial Computada Resonancia magnetica nuclear tomografía por emisión de positrones  BRONCOSCOPIA CITOLOGIA CEPILLADO LAVADO BRONQUIAL BIOPSIA Citología del esputo  Biopsia del tejido:  percutaneous needle aspiration   Mediastinoscopia y mediastinostomía  Pleuroscopia ;  Videoscopically assisted thoracic surgery (VATS)  Toracotomía.
Smooth, well-circumscribed nodule of the left mid-lung field  (arrow)  that did not change on serial chest radiographs during a 2-year period. This is most likely a  benign pulmonary nodule , perhaps a hamartoma.  Radiografía de tórax
 
Nódulo pulmonar Indeterminado
 
 
Chest radiograph of a patient with bilateral  pulmonary metastases from endometrial cancer . The mass in the right upper lobe is well circumscribed and has the radiographic appearance typical of a metastasis.
Posteroanterior chest radiograph shows an elevated left hemidiaphragm, suggestive of phrenic nerve involvement by the mass.  Lateral chest radiograph shows extension of the mass to the anterior chest wall  (arrow) .  Computed tomography suggests both pericardial and chest wall involvement  (arrows) . At thoracotomy, the chest wall, phrenic nerve, and pericardium was found to be involved. All were resected  en bloc  with the tumor.
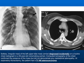
Solitary, irregular mass of the left upper lobe mass  (arrow)   diagnosed incidentally  on a routine chest radiograph in a 50-year-old nonsmoking woman. Computed tomography of the chest confirmed the presence of the mass but did not demonstrate any mediastinal adenopathy. At exploratory thoracotomy, the patient had a  T1 N0 adenocarcinoma .
 
 
 
 
FIBROBRONCOSPIA Y VIDEOBRONCOSCOPIA
 
 
 
Anatomía normal   Epiglotis Cuerdas vocales
Anatomía normal tráquea y carina principal Tráquea Carina
Anatomía normal árbol derecho
Anatomía normal árbol izquierdo
Cepillado citológico
Biopsia endobronquial y transbronquial
Punción mediastínica Transtraqueal
Copyright © 2002 American Thoracic Society   Figure 2.    A case of carcinoma  in situ.  ( A ) Bronchoscopic view shows an irregular thickness at the spur between superior and lingual bronchi of the left upper lobe ( arrow ). ( B ) The lesion is invisible on HR-CT scan. ( C  ) EBUS shows a normal layered structure of the bronchial wall and the tumor is not observed.  Endosonografía bronquial HOME HELP FEEDBACK SUBSCRIPTIONS ARCHIVE SEARCH TABLE OF CONTENTS Am. J. Respir. Crit. Care Med. Am. J. Respir. Cell Mol. Biol.
Copyright © 2002 American Thoracic Society   Figure 4.    A case of squamous cell carcinoma at the orifice of the right B6. ( A ) The bronchoscopic view showed a reddish superficial tumor at the orifice of B6 ( arrow ). The tumor appeared superficial and was 0.5 to 1.0 cm in diameter. ( B  ) HR-CT showed an obscure lesion at the site. Because there was little contrast between it and surrounding mediastinal connective tissue, we diagnosed it as invisible. ( C  ) EBUS can delineate the tumor ( arrow ) and shows that the cartilage layer is involved and interrupted around the tumor. Accordingly, it was diagnosed as extracartilaginous.  Endosonografía bronquial HOME HELP FEEDBACK SUBSCRIPTIONS ARCHIVE SEARCH TABLE OF CONTENTS Am. J. Respir. Crit. Care Med. Am. J. Respir. Cell Mol. Biol.
ADENOCARCINOMA INFILTRANTE DE LA MUCOSA BRONQUIO INTERMEDIO
CARCINOMA ESCAMOSO OCLUYENDO LUMEN LID
TUMOR ULCERADO DE LA SUPERFICIE TRAQUEAL
VIDEOTORACOSCOPIA
ETAPAS DEL CANCER PULOMONAR T =  tamaño y localización del tumor N =  ganglios linfáticos M =  metástasis distantes Definir la etapa clínica del tumor desde el principio para definir la estrategia terapéutica y el pronostico.
T 1  < 3 cm. T 2  > 3 cm. T 3  Invaden estructuras vecinas no vitales. T 4  Invaden estructuras vecinas no vitales. N 1  Ganglios linfáticos intrapulmonares e hiliares. N 2  Ganglios mediastínicos del mismo lado. N 3  Ganglios mediastínicos contra laterales y supraclaviculares. M 0  Sin evidencia de metástasis. M 1  Metástasis a distancia, única o múltiple.
 
N 1  Ganglios linfáticos intrapulmonares e  hiliares. N 2  Ganglios mediastínicos del mismo lado. N 3  Ganglios mediastínicos contra laterales y  supraclaviculares.
 
 
 
 
TRATAMIENTO QUIRURGICO
ETAPAS DE EXTENSIÓN : Etapa oculta:  Solo en esputo.  Etapa 0:  Solo en un área y en algunas capas de células (carcinoma in situ).  Etapa I:  Solo en el pulmón.  Etapa II:  Aparecen células en los ganglios linfáticos cercanos.  Etapa III:  Aparecen células en otros órganos del tórax, cuello o mediastino  La  etapa IIIA:  generalmente puede operarse y la  etapa IIIB  no.  Etapa IV:   Aparecen células en otras partes del cuerpo.  Recurrente:  Cuando vuelven a parecer células una vez recibido tratamiento
TRATAMIENTO Combinación de varias técnicas que son la  cirugía , la  radioterapia  y la  quimioterapia .  El tratamiento depende de cuatro circunstancias:  del tipo  el grado de diseminación del tumor,  del estado de salud del paciente  del estado funcional de los diversos sistemas del organismo (corazón, hígado, riñón, neurológico etc.).
 
 
PRONOSTICO Estimated 5-year survival rates are as follows: Stage IA - 75% Stage IB - 55% Stage IIA - 50% Stage IIB - 40% Stage IIIA - 10-35% Stage IIIB - Less than 5% Stage IV - Less than 5%
 
 
EL MEJOR TRATAMIENTO… LA PREVENCION
¿CÓMO SE PUEDE PREVENIR EL CÁNCER DE PULMÓN? Si usted fuma, DEJE DE FUMAR.  Si no fuma, haga cumplir su derecho a estar en un medio libre de humo de tabaco. Haga todo lo que esté a su alcance para contar con un medio libre de humo tanto en su hogar como en su trabajo.  Si vive en una zona con altos niveles de radón, determine el nivel de radón en su hogar. Si está expuesto a polvos y emanaciones en el trabajo, indague al respecto. El cáncer de pulmón es el cáncer que causa más muertes en EE UU y, hasta que haya una cura, la única manera de vencer el cáncer de pulmón es prevenir que ocurra.
 
 
CUIDADOS DE ENFERMERIA PREVENCION DIAGNOSTICO TRATAMIENTO PRE-QUIRUGICO POS-QUIRURGICO SEGUIMIENTO AMBULATORIO
a) La eficacia de las guías y  protocolos realizados por el equipo de Enfermería para mejorar la información, el apoyo y la educación al enfermo con cáncer de pulmón tratado con  quimioterapia. b) Con la intervención se ha demostrado que la adaptación del enfermo oncológico a su nuevo estado personal y social es mas positiva y la calidad y confort del enfermo mejora. c) Se observa un mejor control de los síntomas clínicos como consecuencia de los cuidados individualizados que les proporcionan las enfermeras. Held, Jeanne L.: Cuidar al paciente con cáncer de pulmón.. Rev. Nursing. 1996 abr; 14(4):8-17.
d) Se constata el importante papel que ejerce la Enfermera en el cuidado global del enfermo con cáncer de pulmón e) Las intervenciones de Enfermería favorecen la relación entre el enfermo y el equipo interdisciplinar  porque va a ser ella quien derive al enfermo al profesional correspondiente. f) Como consecuencia de las intervenciones propias de la Enfermería, se establece una relación más estrecha de confianza entre la Enfermera responsable, el enfermo y la familia. Se detecta la necesidad de introducir la  Consulta de Enfermería  de forma sistematizada
PRE-OPERATORIO FUNCION RESPIRATORIA PREVENCION TVP (EJERCICIO/HAPARINA). EVALUACION CARDIOVASCULAR. ATB PROFILAXIX / TERAPEUTICO. STATUS NUTRICIONAL. STATUS CLINICO. INDICE DE KARNOFSKY. CONTENCION DEL PACIENTE Y FAMILIAR. TRICOTOMIA AXILAR (TAVA)
INTRA OPERATORIO CONTROL DE LA INTUBACION ENDOTRAQUEAL. MONITORIZACIONB DE PVC, CATETER CENTRAL. MONITORIZACION DE DIURESIS. SELLO IMPERMEABLE DE LA HERIDA QUIRURGICA. ADECUADA ANALGESIA. EVENTUAL INFILTACION INTERCOSTAL. CONTROL Y POSICIONAMIENTO DE TUBOS DE TORAX, BAJO AGUA.
POS OPERATORIO ASEGURAR UNA BUENA DINAMICA VENTILATORIA. CONTROL DEL DOLOR. CONTROL DE DRENAJES TORACICOS (CALIDAD, CANTIDAD. NO DEBITAR) PREVENCION DE TVP (MASAJES, VENDAJE, HEPARINICOS, DEAMBULACION PRECOZ) OXIGENACION, GASOMETRIA, SATURACION. MONITORIZACION DE PVC MONITORIZACION DE DIURESIS, SONDA VESICAL. CONTROL DE HERIDA QUIRURGICA. CONTENSION DEL PACIENTE Y FAMILIAR.
Cuidados paliativos en pacientes oncológicos. Para optimizar el tratamiento en pacientes con enfermedad neoplásica avanzada, es absolutamente necesaria la participación del paciente.  Para atender los requerimientos de estos pacientes en fase irreversible se precisa un equipo de soporte interdisciplinario con formación específica integrado por diversos profesionales (médicos, enfermería, trabajadores sociales y psicólogos).
 
 
Asignatura:  Enfermería en la Atención del Adulto y el Anciano  Lic. Sara Ojeda  Ciclo Académico 2010 CANCER DE PULMON
Diagnósticos de enfermeria  Los Dx de enfermería potenciales para el cáncer de pulmón incluyen: Vía aérea no permeable en relación con la obstrucción bronquial  Patrones de respiración ineficaces en relación con la obstrucción bronquial Alteración (déficit) en el volumen de liquido en relación con nauseas y vómitos secundarios a la quimio y radioterapia  Disfunción sexual en relación con la cortedad del aliento y la fatiga Alteración de la integridad cutánea en relación con la radioterapia
Alteración en el bienestar (dolor)  en relación con el pinzamiento de nervios  Ansiedad en relación con lo desconocido y secundaria al cáncer de pulmón Alteración en la nutrición (por defecto)  en relación con los efectos secundarios de la quimio y la radioterapia Alteraciones en la percepción de sí mismo en relación con cambios en la imagen corporal (por ejemplo alopecia ) Alteración en la dinámica familiar en relación con el cambio el tipo de vida
ACTUACIÓN RESECCIÓN QUIRÚRGICA: Selección del procedimiento depende del tamaño del tumor y la reserva pulmonar del pte.: Neumectomía. Lobectomía. Segmentectomía. Resección en cuña Se realizan test pulmonares funcionales, gasometría arterial, evaluación cardíaca   No indicado en Ca de cel pequeñas, ya que metastatiza precozmente Pre quirúrgico: Importancia de la tos y los ejercicios de respiración profunda. Uso de un espirómetro  incentivante. Enseñe respiración diafragmática y ejercicios de extremidades superiores que facilitan la expansión pulmonar. Explique que le insertarán un tubo de para drenar el espacio pleural
Post Quirúrgico:  Vigile los signos vitales Administre oxígeno si la gasometría revela hipoxemia Coloque al pte en posición semi fowler Valore la herida torácica y sellado del drenaje pleural Vigile el catéter torácico y el sistema de drenado Valore la presencia de coágulos que puedan obstruirlo Valore el volumen de liquido drenado Monitorice el estatus hemodinámico: Incluye PVC, presión arterial pulmonar  y la capilar pulmonar
Promueva ejercicios de  resp profunda, tos y espirometría para favorecer la expansión pulmonar y evitar la atelectasia Administración de analgesia según indicación  Promueva la deambulación precoz RADIOTERAPIA: Tiene efectos secundarios potenciales: esofagitis, traqueítis, neumonitis por irradiación, reacciones cutáneas e inhibición de la médula ósea Informe al pte. Respecto al tto. Que no se acompaña de dolor, que podrá comunicarse cdo se encuentre en la sesión Retire todos los objetos metálicos y joyas, que e mantenga quieto durante la terapia
Baño con jabón suave. Uso de lociones lubricantes Evite los desodorantes y use polvos de talco Que no se afeite las áreas irradiadas Evite la ropa apretada Evite las temperaturas extremas (compresas frias o calientes) Y la exposición al sol. Uso de protectores durante un para de años post a la radioterapi Radioterapia local : alopecia y calvicie. Crecimiento del cabello en 6 u 8 meses. Si el tto excede los 4500 rads se destruyen las raice del cabello y la perdida es definitiva Respecto a la fatiga: que permanezca sentado la mayor parte del tiempo para realizar sus actividades. Minimice los esfuerzos
QUIMIOTERAPIA : Paliar los síntomas en fases avanzadas de la enfermedad Reducir el tamaño del tumor y aliviar los sintomas Combinada aumenta la supervivencia media de 2 meses a 2 años  Ciclofosfamida, doxorubicina, vincristina, metotrexato, procarbazina, nitrosoureas Familiarices con las acciones y los efectos adversos de los fármacos que recibe el pte Asegurese  que se cuenta con un examen completo de sangre  Use guantes y bata  Prepare el fármaco bajo una  lamina  de protección. Si toma contacto con su piel lave.
Vigile la permeabilidad de la via EV. Evite la extravasación del fármaco, que provoca necrosis tisular Valore efectos adversos como fiebre, sobrecarga  liquida Los efectos secundarios mas fctes: leucopenia, anemia, trombocitopenia, nauseas, vómitos, anorexia, alopecia,letargia Vigile signos de infección y hemorragia Prevea acciones de aislamiento protector Administración de antiemético .Administración de Nutrición parenteral
Guía básica de enfermería para los ptes que reciben quimioterapia: Mantenga o restaure el equilibrio liquido del pte para prevenir una toxicidad del farmaco Prepare al pte para posibles efectos secundarios  Administre farmacos para controlar o minimizar los efectos secundarios según indicacion Asegure una nutricion adecuada Enseñe al pte y flia  a disminuir el riesgo de infecc y hemorragias Familiarícese con las sig contraindicaciones a la quimioterap: Infección o alteración  hepática o renal , radioterapia o cirugía reciente, gestación, depresión de la medula ósea,
INMUNOTERAPIA: Es util como tto coadyuvante Estimulan las defensas del huesped, para rechazar o prevenir la difusion de las cel cancerosas. La inmunoterapia especifica activa produce una rta. Especifica antitumoral por medio de una vacunacion con cel tumorales (antigenos ). El interferon puede producir remision en ciertos ptes.  OTRAS ACTUACIONES:  Administración de narcóticos y otros analgesicos. De broncodilatadores
TRABAJO PRÁCTICO  Lea el articulo “Complicaciones de la quimioterapia”. Revista Nursing. Nov 98. Pág 11 a 15.  Realice un mapa conceptual con Las reacciones adversas mas frecuentes a los citostáticos Sus intervenciones de enfermería
Prueba detecta cáncer de pulmón  BBC Mundo / Londres Inglaterra - 27 de febrero de 2007. El ADN podría predecir la eficacia del tratamiento del cáncer de pulmón  HealthDay / Washington Estados Unidos - 23 de febrero de 2007. El cáncer de mayor mortalidad en hombres es el de pulmón y en mujeres el de mama, según un informe Canal Salud / Madrid España - 22 de febrero de 2007. El cáncer de pulmón en no fumadores es más frecuente en las mujeres Canal Salud / Madrid España - 14 de febrero de 2007. Ambiente con humo de tabaco aumenta riesgo de cáncer, advierte OMS Centro de noticias ONU / Nueva York Estados Unidos - 01 de febrero de 2007. Científicos desarrollan una prueba de respiración para detectar el cáncer de pulmón healthfinder / Washington Estados Unidos - 14 de noviembre de 2006.

Ca de pulmon clase 2011

  • 1.
  • 2.
    HOSPITAL REGIONAL RIOGALLEGOS SERVICIO DE CIRUGIA GENERAL
  • 3.
  • 4.
  • 5.
  • 6.
  • 7.
  • 8.
  • 9.
    CONCEPTOS BASICOS Lascélulas son las unidades de vida más pequeñas del cuerpo humano. Una de sus funciones es reproducirse y morirse cuando ya no son útiles. Este proceso es muy ordenado, en el tiempo y en el espacio, de tal forma que permite que exista siempre el número adecuado de células para cada etapa de la vida. Cuando esta multiplicación de células se produce de manera descontrolada, se forman masas anormales. A estas masas se les denomina tumores.
  • 10.
    Qué es cáncer?Es un grupo de enfermedades provocadas por causas físicas, químicas o biológicas, no todas bien conocidas, que tienen como expresión común un crecimiento incontrolado de células anormales , las cuales libradas a su propio desarrollo, conducen a la formación de un tumor que se extiende y propaga por el organismo hasta provocar su muerte. Por eso el tratamiento oportuno evita esta consecuencia.
  • 11.
    Cuál es ladiferencia entre el crecimiento normal y el canceroso?
  • 12.
    Todos los tumoresson cancerosos?
  • 13.
    Cómo se puedesaber si un tumor es canceroso?
  • 14.
    Cuál es ladiferencia entre un tumor benigno y uno maligno?
  • 15.
  • 16.
    TUMORES BENIGNOS YMALIGNOS Puede haber tumores benignos y malignos . Los tumores benignos son aquellos que no se propagan a otras zonas y que no comprometen la vida de la persona. Las células malignas pueden moverse a través de la linfa o de la sangre y llegar a cualquier parte del cuerpo provocando un segundo tumor, que se denomina metastásico, porque no es el que se originó primero. Los tumores malignos suelen extenderse a otras partes del cuerpo y causan daño a los tejidos y a los órganos corporales pudiendo incluso provocar la muerte de la persona.
  • 17.
    EL CÁNCER DEPULMÓN El cáncer de pulmón consiste en un crecimiento anormal de las células del pulmón. La enfermedad se produce habitualmente en las paredes internas de los bronquios, y al crecer puede obstruir el paso del aire y alterar la respiración. Por este motivo, produce generalmente falta de aire, ahogo y fatiga.
  • 18.
  • 19.
    La principal causadel cáncer del pulmón es fumar. Más del 87 por ciento de los casos de cáncer de pulmón están relacionados con el fumar. El humo del cigarrillo contiene más de 4,000 agentes químicos, muchos de los cuales son carcinógenos demostrados; otros cientos de esos agentes aumentan el poder de causar cáncer de los agentes carcinógenos. Se estima que los hombres que fuman tienen 22 veces más probabilidades de contraer cáncer de pulmón, y que las mujeres que fuman tienen 12 veces más probabilidades.
  • 20.
    CAMBIOS HISTOLOGICOS CélulaNormal Metaplasia Displasia Neoplasia FACTORES: Genéticos Ambientales Inmunológicos Infecciosos TABACO activo/pasivo NIQUEL URANIO CROMO ASBESTOS
  • 21.
  • 22.
  • 23.
  • 24.
  • 25.
  • 26.
  • 27.
  • 28.
  • 29.
  • 30.
  • 31.
    EN LA ARGENTINALos tumores de pulmón fueron la primer causa de muerte por Cáncer en los Varones con una tasa anual de 40.3/100,000. Para las mujeres la mortalidad fue de 7.7/100,000. No se tiene proyectada la detección precoz de portadores. La mayoría de los pacientes se presentan con estadíos avanzados de la enfermedad.
  • 32.
  • 33.
  • 34.
  • 35.
  • 36.
  • 37.
    Women & LungCancer : A Deadly Combination In 1950, lung cancer accounted for only 3% of all cancer deaths among women; however, by 2000, it accounted for an estimated 25% of cancer deaths--an estimated 1 of every 4 cancer deaths and nearly 1 of every 8 newly diagnosed cancers among women. Research shows that women are approximately 1.5 times more likely to develop lung cancer than men.
  • 38.
  • 39.
  • 40.
  • 41.
  • 42.
    Mujeres fumadoras tienendoble riesgo de padecer cáncer de pulmón Las mujeres que fuman tienen casi el doble de posibilidades que los hombres de desarrollar cáncer de pulmón, según un estudio que se lleva a cabo en 40 centros sanitarios de todo el mundo. el estudio forma parte del programa I-ELCAP de detección precoz de cáncer de pulmón, que realiza el seguimiento de unos 30.000 pacientes en todo el mundo.
  • 43.
  • 44.
    PATOLOGIA CELULAS NOPEQUEÑAS: ¾ DE TODOS LOS TUMORES CELULAS ADENOCARCINOMATOSAS CELULAS ESCAMOSAS CELULAS PEQUEÑAS 20% DE TODOS LOS CASOS DE CA. PULMON SE ORIGINA EN CEL. NEUROENDOCRINAS: KULTCHITSKY CONDUCTA BIOLOGICA MAS AGRESIVA
  • 45.
    PATOLOGIA Existen dos tipos principales de cáncer de pulmón: el cáncer de células pequeñas el cáncer de células no pequeñas . También existe otro tipo que tiene características de los dos, y que se denomina carcinoma mixto de células grandes y pequeñas.
  • 46.
    Tipos de cáncerdel pulmón Hay dos tipos principales de cáncer del pulmón: Cáncer pulmonar de células pequeñas (SCLC, por sus siglas en inglés) Cáncer pulmonar de células no pequeñas (NSCLC, por sus siglas en inglés). Si el cáncer tiene características de ambos tipos, se le denomina cáncer mixto de células pequeñas y grandes .
  • 47.
  • 48.
    Cáncer pulmonar decélulas no pequeñas Es el tipo más común de cáncer del pulmón y representa casi el 80% de los casos. En este grupo hay tres subtipos. El carcinoma de células escamosas , que está relacionado con el fumar. Tiende a aparecer centralmente, cerca de un bronquio. El adenocarcinoma generalmente se encuentra en la región más periférica del pulmón. El carcinoma indiferenciado de células grandes puede aparecer en cualquier parte del pulmón y tiende a crecer y propagarse rápidamente, lo cual tiene como consecuencia que el pronóstico del paciente sea malo.
  • 49.
    Cáncer de pulmónde células no pequeñas Este tipo de cáncer representa casi el 80% del total de los cánceres de pulmón. Se extiende más lentamente que el de células pequeñas. Existen tres subtipos: - Carcinoma de células escamosas o epidermoide : es el más frecuente de todos y se relaciona directamente con el tabaco. Alrededor del 30% de todos los cánceres son de este tipo. Suele iniciarse en los tubos bronquiales. Se desarrolla por etapas que suelen evolucionar en varios años. - Adenocarcinoma : se presenta en un 40% de todos los casos de cáncer de pulmón. Suele comenzar en los tubos bronquiales más pequeños. Se encuentra en la región externa del pulmón. Aunque con frecuencia aparece en más de un sitio del pulmón, tiene mejores perspectivas que otros tipos de cáncer. - Carcinoma indiferenciado de células grandes : representa el 10% de los casos de cáncer de pulmón. Puede aparecer en cualquier parte del pulmón y tiende a crecer y a extenderse con rapidez por lo que el pronóstico es malo.
  • 50.
    NON-SMALL CELL LUNGCANCER (NSCLC) Non-small cell lung cancer is the most common lung neoplasm. the mortality rate for this disease is very high , in direct proportion to its incidence, approximately half of all patients present with disseminated disease . and another 20% present with disease that is too advanced locally to allow surgical resection.
  • 51.
    The recent improvementsin chemotherapy and multimodality treatments for NSCLC have not been substantial enough to produce a significant effect on the overall mortality of this disease. Surgical resection remains the only curative form of treatment, and unfortunately, few patients are candidates for this approach NON-SMALL CELL LUNG CANCER (NSCLC)
  • 52.
    Cáncer de pulmónde células pequeñas Recibe este nombre por el tamaño de las células vistas a microscopio. Se relaciona con el hábito de fumar y se estima que alrededor del 20% de todos los cánceres son de células pequeñas. Éstas se multiplican rápidamente y se pueden formar grandes tumores; además su capacidad de extenderse a otros órganos es mayor.
  • 53.
    CAUSAS El hábitode fumar tabaco es la causa principal en el 90% de los casos de cáncer de pulmón entre los varones y en el 70% de las mujeres. Sustancias inhaladas y que se encuentran en el lugar del trabajo. Esto es responsable del 10% al 15% de cáncer de pulmón en los varones y el 5% en las mujeres: -amianto, arsénico, cromo, níquel, éter clorometílico, gas de mostaza y emisiones de coque de los hornos.
  • 54.
    Factores de riesgofamiliares o personales a la enfermedad. Ciertos cambios genéticos , pueden dar lugar a una activación de oncogenes (que forman tumores) o a la inhibición de supresores de tumores. Se ha visto que estas alteraciones se producen durante la vida del individuo y no son heredados. Las mutaciones adquiridas en las células pulmonares se producen por la exposición a sustancias químicas causantes de cáncer que se encuentran en el humo de tabaco. Investigaciones sobre ciertos genes como el gen p53, supresor de tumores, y el Ras, oncogén, han comprobado que alteraciones en ellos son las responsables de la génesis del cáncer de pulmón. CAUSAS
  • 55.
    Factores de riesgoLa nicotina potencia el efecto cancerígeno de las otras sustancias procedentes del humo del tabaco y los efectos de los carcinógenos en el medio ambiente. La nicotina actúa sobre el mecanismo de apoptosis , o muerte celular, impidiendo que las células se suiciden. Cuando se trata de células cancerígenas hace lo mismo con lo cual provoca o estimula la formación de cáncer. Asbesto : las personas que trabajan con asbesto tienen siete posibilidades más de sufrir cáncer que las que no mantienen contacto con esta sustancia. Estas personas sufren un tipo de cáncer denominado mesotelioma , que se da en la pleura. En los últimos años, los gobiernos han prohibido que se emplee este material para los productos comerciales e industriales. Si se combina la exposición a asbesto con el hábito de fumar, se aumentan las probabilidades de sufrir cáncer de 50 a 90 veces.
  • 56.
    Agentes causantes decáncer en el trabajo : los mineros. minerales radiactivos como el uranio, y los trabajadores expuestos a productos químicos tales como el arsénico, el cloruro de vinilo, los cromatos de níquel, los productos derivados del carbón, el gas de mostaza y los éteres clorometílicos. Otro tipo de factores serían aquellos que han producido algún daño en el pulmón y que predisponen a padecer un cáncer, como haber sufrido tuberculosis, silicosis o berilosis (enfermedades, estas dos últimas, causadas por inhalación de ciertos minerales). Factores de riesgo
  • 57.
  • 58.
    Passive smoking andlung cancer Hackshaw et al estimate a 26% excess risk of lung cancer in non-smokers who live with a smoker. This estimate may be too high. The epidemiological and biochemical evidence on exposure to environmental tobacco smoke, with the supporting evidence of tobacco specific carcinogens in the blood and urine of non-smokers exposed to environmental tobacco smoke, provides compelling confirmation that breathing other people’s tobacco smoke is a cause of lung cancer . Hackshaw AK, Law MR, Wald NJ. The accumulated evidence on lung cancer and environmental tobacco smoke. BMJ 1997; 315: 980-988
  • 59.
  • 60.
  • 61.
    ¿CÓMO SE DETECTAEL CÁNCER DE PULMÓN? Generalmente silencioso. Cuando ocurren los síntomas, el cáncer a menudo está en una etapa avanzada. Tos crónica Toser sangre Sibilancias Dolor en el pecho
  • 62.
    Entre los síntomasmás frecuentes están: Tos insistente. Dolor en el pecho que aumenta al respirar. Pérdida de peso y apetito. Falta de aliento. Respiración jadeante o con silbido. Esputos con sangre o coloración rojiza. Bronquitis y neumonía frecuentes.
  • 63.
    Tos que nodesaparece Dolor en el pecho que a menudo empeora al respirar profundamente Ronquera Bajar de peso y perder el apetito Esputo (saliva o flema) con sangre o de color rojizo Dificultad al respirar Infecciones recurrentes, como bronquitis y neumonía Empezar a respirar con silbido o jadeo
  • 64.
  • 65.
    Cuando el cáncerdel pulmón se propaga a órganos distantes, puede causar lo siguiente: Dolor en los huesos Debilidad o adormecimiento de los brazos o las piernas Mareo Color amarillento en la piel y los ojos (ictericia) Masas, o bultos, justo debajo de la piel. Esto se debe a la propagación del cáncer a la piel o a los ganglios linfáticos ubicados en el cuello o por encima de la clavícula
  • 66.
    - Dolor enlos huesos. - Coloración amarillenta de la piel y de los ojos (ictericia). - Inflamaciones en zonas ganglionares, como en el cuello o axilas. - Mareos, debilidad o adormecimiento de algún miembro debido a una afectación neuronal. Otros síntomas
  • 67.
  • 68.
    NODULO O MASA-ASINTOMATICO -INCIDENTAL
  • 69.
    Diagnostico Sólo un15% de este tipo de cáncer se diagnostica en estadios iniciales. Los síntomas no aparecen hasta que la enfermedad está avanzada.
  • 70.
    Diagnostico ANAMNESIS YEXAMEN FISICO. IMAGENOLOGIA. Radiografia de torax Tomofrafia Axial Computada Resonancia magnetica nuclear tomografía por emisión de positrones BRONCOSCOPIA CITOLOGIA CEPILLADO LAVADO BRONQUIAL BIOPSIA Citología del esputo Biopsia del tejido: percutaneous needle aspiration Mediastinoscopia y mediastinostomía Pleuroscopia ; Videoscopically assisted thoracic surgery (VATS) Toracotomía.
  • 71.
    Smooth, well-circumscribed noduleof the left mid-lung field (arrow) that did not change on serial chest radiographs during a 2-year period. This is most likely a benign pulmonary nodule , perhaps a hamartoma. Radiografía de tórax
  • 72.
  • 73.
  • 74.
  • 75.
  • 76.
    Chest radiograph ofa patient with bilateral pulmonary metastases from endometrial cancer . The mass in the right upper lobe is well circumscribed and has the radiographic appearance typical of a metastasis.
  • 77.
    Posteroanterior chest radiographshows an elevated left hemidiaphragm, suggestive of phrenic nerve involvement by the mass. Lateral chest radiograph shows extension of the mass to the anterior chest wall (arrow) . Computed tomography suggests both pericardial and chest wall involvement (arrows) . At thoracotomy, the chest wall, phrenic nerve, and pericardium was found to be involved. All were resected en bloc with the tumor.
  • 78.
    Solitary, irregular massof the left upper lobe mass (arrow) diagnosed incidentally on a routine chest radiograph in a 50-year-old nonsmoking woman. Computed tomography of the chest confirmed the presence of the mass but did not demonstrate any mediastinal adenopathy. At exploratory thoracotomy, the patient had a T1 N0 adenocarcinoma .
  • 79.
  • 80.
  • 81.
  • 82.
  • 83.
  • 84.
  • 85.
  • 86.
  • 87.
    Anatomía normal Epiglotis Cuerdas vocales
  • 88.
    Anatomía normal tráqueay carina principal Tráquea Carina
  • 89.
  • 90.
  • 91.
  • 92.
  • 93.
  • 94.
    Copyright © 2002American Thoracic Society Figure 2.   A case of carcinoma in situ. ( A ) Bronchoscopic view shows an irregular thickness at the spur between superior and lingual bronchi of the left upper lobe ( arrow ). ( B ) The lesion is invisible on HR-CT scan. ( C  ) EBUS shows a normal layered structure of the bronchial wall and the tumor is not observed. Endosonografía bronquial HOME HELP FEEDBACK SUBSCRIPTIONS ARCHIVE SEARCH TABLE OF CONTENTS Am. J. Respir. Crit. Care Med. Am. J. Respir. Cell Mol. Biol.
  • 95.
    Copyright © 2002American Thoracic Society Figure 4.   A case of squamous cell carcinoma at the orifice of the right B6. ( A ) The bronchoscopic view showed a reddish superficial tumor at the orifice of B6 ( arrow ). The tumor appeared superficial and was 0.5 to 1.0 cm in diameter. ( B  ) HR-CT showed an obscure lesion at the site. Because there was little contrast between it and surrounding mediastinal connective tissue, we diagnosed it as invisible. ( C  ) EBUS can delineate the tumor ( arrow ) and shows that the cartilage layer is involved and interrupted around the tumor. Accordingly, it was diagnosed as extracartilaginous. Endosonografía bronquial HOME HELP FEEDBACK SUBSCRIPTIONS ARCHIVE SEARCH TABLE OF CONTENTS Am. J. Respir. Crit. Care Med. Am. J. Respir. Cell Mol. Biol.
  • 96.
    ADENOCARCINOMA INFILTRANTE DELA MUCOSA BRONQUIO INTERMEDIO
  • 97.
  • 98.
    TUMOR ULCERADO DELA SUPERFICIE TRAQUEAL
  • 99.
  • 100.
    ETAPAS DEL CANCERPULOMONAR T = tamaño y localización del tumor N = ganglios linfáticos M = metástasis distantes Definir la etapa clínica del tumor desde el principio para definir la estrategia terapéutica y el pronostico.
  • 101.
    T 1 < 3 cm. T 2 > 3 cm. T 3 Invaden estructuras vecinas no vitales. T 4 Invaden estructuras vecinas no vitales. N 1 Ganglios linfáticos intrapulmonares e hiliares. N 2 Ganglios mediastínicos del mismo lado. N 3 Ganglios mediastínicos contra laterales y supraclaviculares. M 0 Sin evidencia de metástasis. M 1 Metástasis a distancia, única o múltiple.
  • 102.
  • 103.
    N 1 Ganglios linfáticos intrapulmonares e hiliares. N 2 Ganglios mediastínicos del mismo lado. N 3 Ganglios mediastínicos contra laterales y supraclaviculares.
  • 104.
  • 105.
  • 106.
  • 107.
  • 108.
  • 109.
    ETAPAS DE EXTENSIÓN: Etapa oculta: Solo en esputo. Etapa 0: Solo en un área y en algunas capas de células (carcinoma in situ). Etapa I: Solo en el pulmón. Etapa II: Aparecen células en los ganglios linfáticos cercanos. Etapa III: Aparecen células en otros órganos del tórax, cuello o mediastino La etapa IIIA: generalmente puede operarse y la etapa IIIB no. Etapa IV: Aparecen células en otras partes del cuerpo. Recurrente: Cuando vuelven a parecer células una vez recibido tratamiento
  • 110.
    TRATAMIENTO Combinación devarias técnicas que son la cirugía , la radioterapia y la quimioterapia . El tratamiento depende de cuatro circunstancias: del tipo el grado de diseminación del tumor, del estado de salud del paciente del estado funcional de los diversos sistemas del organismo (corazón, hígado, riñón, neurológico etc.).
  • 111.
  • 112.
  • 113.
    PRONOSTICO Estimated 5-yearsurvival rates are as follows: Stage IA - 75% Stage IB - 55% Stage IIA - 50% Stage IIB - 40% Stage IIIA - 10-35% Stage IIIB - Less than 5% Stage IV - Less than 5%
  • 114.
  • 115.
  • 116.
  • 117.
    ¿CÓMO SE PUEDEPREVENIR EL CÁNCER DE PULMÓN? Si usted fuma, DEJE DE FUMAR. Si no fuma, haga cumplir su derecho a estar en un medio libre de humo de tabaco. Haga todo lo que esté a su alcance para contar con un medio libre de humo tanto en su hogar como en su trabajo. Si vive en una zona con altos niveles de radón, determine el nivel de radón en su hogar. Si está expuesto a polvos y emanaciones en el trabajo, indague al respecto. El cáncer de pulmón es el cáncer que causa más muertes en EE UU y, hasta que haya una cura, la única manera de vencer el cáncer de pulmón es prevenir que ocurra.
  • 118.
  • 119.
  • 120.
    CUIDADOS DE ENFERMERIAPREVENCION DIAGNOSTICO TRATAMIENTO PRE-QUIRUGICO POS-QUIRURGICO SEGUIMIENTO AMBULATORIO
  • 121.
    a) La eficaciade las guías y protocolos realizados por el equipo de Enfermería para mejorar la información, el apoyo y la educación al enfermo con cáncer de pulmón tratado con quimioterapia. b) Con la intervención se ha demostrado que la adaptación del enfermo oncológico a su nuevo estado personal y social es mas positiva y la calidad y confort del enfermo mejora. c) Se observa un mejor control de los síntomas clínicos como consecuencia de los cuidados individualizados que les proporcionan las enfermeras. Held, Jeanne L.: Cuidar al paciente con cáncer de pulmón.. Rev. Nursing. 1996 abr; 14(4):8-17.
  • 122.
    d) Se constatael importante papel que ejerce la Enfermera en el cuidado global del enfermo con cáncer de pulmón e) Las intervenciones de Enfermería favorecen la relación entre el enfermo y el equipo interdisciplinar porque va a ser ella quien derive al enfermo al profesional correspondiente. f) Como consecuencia de las intervenciones propias de la Enfermería, se establece una relación más estrecha de confianza entre la Enfermera responsable, el enfermo y la familia. Se detecta la necesidad de introducir la Consulta de Enfermería de forma sistematizada
  • 123.
    PRE-OPERATORIO FUNCION RESPIRATORIAPREVENCION TVP (EJERCICIO/HAPARINA). EVALUACION CARDIOVASCULAR. ATB PROFILAXIX / TERAPEUTICO. STATUS NUTRICIONAL. STATUS CLINICO. INDICE DE KARNOFSKY. CONTENCION DEL PACIENTE Y FAMILIAR. TRICOTOMIA AXILAR (TAVA)
  • 124.
    INTRA OPERATORIO CONTROLDE LA INTUBACION ENDOTRAQUEAL. MONITORIZACIONB DE PVC, CATETER CENTRAL. MONITORIZACION DE DIURESIS. SELLO IMPERMEABLE DE LA HERIDA QUIRURGICA. ADECUADA ANALGESIA. EVENTUAL INFILTACION INTERCOSTAL. CONTROL Y POSICIONAMIENTO DE TUBOS DE TORAX, BAJO AGUA.
  • 125.
    POS OPERATORIO ASEGURARUNA BUENA DINAMICA VENTILATORIA. CONTROL DEL DOLOR. CONTROL DE DRENAJES TORACICOS (CALIDAD, CANTIDAD. NO DEBITAR) PREVENCION DE TVP (MASAJES, VENDAJE, HEPARINICOS, DEAMBULACION PRECOZ) OXIGENACION, GASOMETRIA, SATURACION. MONITORIZACION DE PVC MONITORIZACION DE DIURESIS, SONDA VESICAL. CONTROL DE HERIDA QUIRURGICA. CONTENSION DEL PACIENTE Y FAMILIAR.
  • 126.
    Cuidados paliativos enpacientes oncológicos. Para optimizar el tratamiento en pacientes con enfermedad neoplásica avanzada, es absolutamente necesaria la participación del paciente. Para atender los requerimientos de estos pacientes en fase irreversible se precisa un equipo de soporte interdisciplinario con formación específica integrado por diversos profesionales (médicos, enfermería, trabajadores sociales y psicólogos).
  • 127.
  • 128.
  • 129.
    Asignatura: Enfermeríaen la Atención del Adulto y el Anciano Lic. Sara Ojeda Ciclo Académico 2010 CANCER DE PULMON
  • 130.
    Diagnósticos de enfermeria Los Dx de enfermería potenciales para el cáncer de pulmón incluyen: Vía aérea no permeable en relación con la obstrucción bronquial Patrones de respiración ineficaces en relación con la obstrucción bronquial Alteración (déficit) en el volumen de liquido en relación con nauseas y vómitos secundarios a la quimio y radioterapia Disfunción sexual en relación con la cortedad del aliento y la fatiga Alteración de la integridad cutánea en relación con la radioterapia
  • 131.
    Alteración en elbienestar (dolor) en relación con el pinzamiento de nervios Ansiedad en relación con lo desconocido y secundaria al cáncer de pulmón Alteración en la nutrición (por defecto) en relación con los efectos secundarios de la quimio y la radioterapia Alteraciones en la percepción de sí mismo en relación con cambios en la imagen corporal (por ejemplo alopecia ) Alteración en la dinámica familiar en relación con el cambio el tipo de vida
  • 132.
    ACTUACIÓN RESECCIÓN QUIRÚRGICA:Selección del procedimiento depende del tamaño del tumor y la reserva pulmonar del pte.: Neumectomía. Lobectomía. Segmentectomía. Resección en cuña Se realizan test pulmonares funcionales, gasometría arterial, evaluación cardíaca No indicado en Ca de cel pequeñas, ya que metastatiza precozmente Pre quirúrgico: Importancia de la tos y los ejercicios de respiración profunda. Uso de un espirómetro incentivante. Enseñe respiración diafragmática y ejercicios de extremidades superiores que facilitan la expansión pulmonar. Explique que le insertarán un tubo de para drenar el espacio pleural
  • 133.
    Post Quirúrgico: Vigile los signos vitales Administre oxígeno si la gasometría revela hipoxemia Coloque al pte en posición semi fowler Valore la herida torácica y sellado del drenaje pleural Vigile el catéter torácico y el sistema de drenado Valore la presencia de coágulos que puedan obstruirlo Valore el volumen de liquido drenado Monitorice el estatus hemodinámico: Incluye PVC, presión arterial pulmonar y la capilar pulmonar
  • 134.
    Promueva ejercicios de resp profunda, tos y espirometría para favorecer la expansión pulmonar y evitar la atelectasia Administración de analgesia según indicación Promueva la deambulación precoz RADIOTERAPIA: Tiene efectos secundarios potenciales: esofagitis, traqueítis, neumonitis por irradiación, reacciones cutáneas e inhibición de la médula ósea Informe al pte. Respecto al tto. Que no se acompaña de dolor, que podrá comunicarse cdo se encuentre en la sesión Retire todos los objetos metálicos y joyas, que e mantenga quieto durante la terapia
  • 135.
    Baño con jabónsuave. Uso de lociones lubricantes Evite los desodorantes y use polvos de talco Que no se afeite las áreas irradiadas Evite la ropa apretada Evite las temperaturas extremas (compresas frias o calientes) Y la exposición al sol. Uso de protectores durante un para de años post a la radioterapi Radioterapia local : alopecia y calvicie. Crecimiento del cabello en 6 u 8 meses. Si el tto excede los 4500 rads se destruyen las raice del cabello y la perdida es definitiva Respecto a la fatiga: que permanezca sentado la mayor parte del tiempo para realizar sus actividades. Minimice los esfuerzos
  • 136.
    QUIMIOTERAPIA : Paliarlos síntomas en fases avanzadas de la enfermedad Reducir el tamaño del tumor y aliviar los sintomas Combinada aumenta la supervivencia media de 2 meses a 2 años Ciclofosfamida, doxorubicina, vincristina, metotrexato, procarbazina, nitrosoureas Familiarices con las acciones y los efectos adversos de los fármacos que recibe el pte Asegurese que se cuenta con un examen completo de sangre Use guantes y bata Prepare el fármaco bajo una lamina de protección. Si toma contacto con su piel lave.
  • 137.
    Vigile la permeabilidadde la via EV. Evite la extravasación del fármaco, que provoca necrosis tisular Valore efectos adversos como fiebre, sobrecarga liquida Los efectos secundarios mas fctes: leucopenia, anemia, trombocitopenia, nauseas, vómitos, anorexia, alopecia,letargia Vigile signos de infección y hemorragia Prevea acciones de aislamiento protector Administración de antiemético .Administración de Nutrición parenteral
  • 138.
    Guía básica deenfermería para los ptes que reciben quimioterapia: Mantenga o restaure el equilibrio liquido del pte para prevenir una toxicidad del farmaco Prepare al pte para posibles efectos secundarios Administre farmacos para controlar o minimizar los efectos secundarios según indicacion Asegure una nutricion adecuada Enseñe al pte y flia a disminuir el riesgo de infecc y hemorragias Familiarícese con las sig contraindicaciones a la quimioterap: Infección o alteración hepática o renal , radioterapia o cirugía reciente, gestación, depresión de la medula ósea,
  • 139.
    INMUNOTERAPIA: Es utilcomo tto coadyuvante Estimulan las defensas del huesped, para rechazar o prevenir la difusion de las cel cancerosas. La inmunoterapia especifica activa produce una rta. Especifica antitumoral por medio de una vacunacion con cel tumorales (antigenos ). El interferon puede producir remision en ciertos ptes. OTRAS ACTUACIONES: Administración de narcóticos y otros analgesicos. De broncodilatadores
  • 140.
    TRABAJO PRÁCTICO Lea el articulo “Complicaciones de la quimioterapia”. Revista Nursing. Nov 98. Pág 11 a 15. Realice un mapa conceptual con Las reacciones adversas mas frecuentes a los citostáticos Sus intervenciones de enfermería
  • 141.
    Prueba detecta cáncerde pulmón BBC Mundo / Londres Inglaterra - 27 de febrero de 2007. El ADN podría predecir la eficacia del tratamiento del cáncer de pulmón HealthDay / Washington Estados Unidos - 23 de febrero de 2007. El cáncer de mayor mortalidad en hombres es el de pulmón y en mujeres el de mama, según un informe Canal Salud / Madrid España - 22 de febrero de 2007. El cáncer de pulmón en no fumadores es más frecuente en las mujeres Canal Salud / Madrid España - 14 de febrero de 2007. Ambiente con humo de tabaco aumenta riesgo de cáncer, advierte OMS Centro de noticias ONU / Nueva York Estados Unidos - 01 de febrero de 2007. Científicos desarrollan una prueba de respiración para detectar el cáncer de pulmón healthfinder / Washington Estados Unidos - 14 de noviembre de 2006.