Es toda perdida de sangreEs toda perdida de sangre
intraluminal que tiene comointraluminal que tiene como
origen el tubo digestivo.origen el tubo digestivo.
 El tratamiento tiene como finalidad estabilizar
los parámetros hemodinámicos, detener la
hemorragia activa y prevenir la recurrente.
 La pérdida de sangre se manifiesta de cinco
maneras:
 HEMATEMESIS
 MELENA
 HETOQUEZIA
 OCULTA
 SIMTOMAS DE PERDIDA DE SANGRE
 100 hospitalizaciones por 100,000 adultos
por añ o
 Mortalidad:
› 0.6% en menores de 60 añ os
› 14% general
Topográfica:
>Hem. Digestiva Alta:Hem. Digestiva Alta:
HHemorragia intraluminal delemorragia intraluminal del
T.D. cuyo origen se encuentraT.D. cuyo origen se encuentra
entre el EES y el ángulo deentre el EES y el ángulo de
Treitz.Treitz.
>Hem. Digestiva Baja:Hem. Digestiva Baja:
Hemorragia intraintestinalHemorragia intraintestinal
cuyo origen se encuentra porcuyo origen se encuentra por
debajo del ángulo de Treitzdebajo del ángulo de Treitz
>De origen oscuroDe origen oscuro
Evolutiva:Evolutiva:
> Aguda:Aguda:
Hemorragia de gran cantidadHemorragia de gran cantidad
e importante velocidad dee importante velocidad de
sangrado.sangrado.
> Crónica:Crónica:
Hemorragia sostenida por un
tiempo prolongado, de menor
cantidad y velocidad, capaz
de permitir compensación
hemodinámica.
ALTA
RELACIONADA NO RELACIONADA
A HTP A HTP
HEMATEMESIS
MELENA
HEMATOQUEZIA
BAJA
HEMATOQUEZIA
MELENA
RECTORRAGIA
Con o sin COMPROMISO HEMODINAMICO
 EVALUACION DELPACIENTE
¿La hemorragia es aguda o crónica?
¿Se encuentra hemodinámicamente estable o
inestable?.
 CUADRO DE PRESENTACION
 HEMATEMESIS Y MELENA.
 HEMATOCRITO
 PRESION ARTERIAL Y FRECUNCIA CARDIACA.
 REPOSICION DE VOLUMEN
 CUANDO TRANSFUNDIR
 Hematemesis: vómito de sangre
 Melena: evacuación negra, mal oliente
 Hematoquecia: salida de sangre color vino por el
recto: mezclada con heces o sola.
 Sangrado oculto: no hay signo físico de
sangrado pero hay anemia sintomática
 Evaluación diagnóstica de pacientes con
hemorragia gastrointestinal alta.
 Interrogatorio y examen físico:
¿Se produjeron otros episodios hemorrágicos previos?
¿Existe una historia familiar de enfermedades?
¿Padece enfermedades que puedan inducir hemorragia?
¿Existen antecedentes de operaciones por Enf Acido pep?
¿Existen antecedentes de ingesta de alcohol, AINES u otros
medicamentos?
• Endoscopia y estudios radiológicos con bario
• Angiografía.
Hipovolemia. Clínica. Volumen perdido.
1 Nula: Ninguna. 10-15% (500-750ml)
2 Leve: Taquicardia leve. 15-25% (750-1250 ml)
Hipotensión ortostática.
Piel fría.
3 Moderada: Taquicardia (100-120/m). 25-35% (1250-1750 ml)
Hipotensión (inf. 100 mm)
Palidez, sudación, oliguria, inquietud
4 Grave. Taquicardia (>120/m), estupor, 35 % o más
Hipotensión (< 60 mm), anuria. (mayor 1.750)
 Signos vitales estable, riesgo
bajo de hemorragia
persistente o nueva
hemorragia
 Sala de hospitalización,
endoscopia electiva
 Sin hemorragia por 24 a 48 hrs
 Sala de hospitalización
 Evidencia de hipovolemia, riesgo
alto de hemorragia persistente o
nueva hemorragia.
 UTI, HB, recuento de plaquetas, TP,
TPT, grupo y Rh, reacciones
cruzadas, corregir anormalidades
Endoscopia
 HB seriado, recuento de
plaquetas, Tx médico basado en
endoscopia
Nuevo sangrado
 Repetir endoscopia
Hemorragia persistente
• Probable angiografia
• Cirugia
HEMORRAGIA GI
 Rasgos de diferencian las hemorragias
gastrointestinales altas y bajas:
Signo o síntoma de hematemesis, melena hematoquezia
Presentación o ambas
Material de aspiración sanguinolento límpio
Nasogastrica
Cociente BUN/creastinina elevado normal
Ruidos cardiacos hiperactivos normal
 La hemorragia gastrointestinal de la parte
alta del tubo digestivo es un trastorno que
se origina por arriba del ángulo de Treitz.
 Dividiendose en dos grupos:
Variceal.
No variceal
 Causas de hemorragía GI masiva:
 Originada en la parte alta del tubo digestivo
› Enf ulcerosa páptica 50% (duodenal, gástrica, de los estomas)
› Gastritis (inducida por AINES, estrés o quimioterapia)
› Varices (esofágicas, gástricas, duodenales)
› Gastropatía portal
› Desgarro de Mallory-Weiss
› Esofagitis y úlceras esofágicas (RGE, infecciones, inducida por
comprimidos, escleoterapia, inducida por radiaciones)
› Neoplasias
› Ectasis vasculares y aangiodisplasias
› Estómago en sandia
› Fístula aortointestinal
› Hematobilia
› Jugo pancreático sanguinolento
› Erosión de Dieulafoy
Valoración inicial:
 Presentación clínica: melena predictiva de
sangrado masivo: 5%
 Manifestaciones clínicas; hipotensión postural
 Hematocrito: disminución de 24 a 72 horas
 Medidas iniciales:
› Colocar dos vías de acceso
› Vía central (?)
› Solución salina o Ringer
› Oxígeno suplementario
 Transfusión
› Choque hipovolémico
› Hematocrito < 20%
› Sintomas severos: angina
 Evaluación diagnóstica
 Evaluación clínica
 Endoscopía
› Diagnóstica y terapéutica
› Pronóstico
 Angiografía mesentérica
 Gamagrama con eritoricitos marcados
Hemorragia de tubo digestivo alto
no secundaria a Hipertensión Portal
 Esofagitis: 2%
 Síndrome de Mallory-Weis: ulceraciones de la
unión gastroesofágica 5-15%
› Cesa espontáneamente 90%
› Electrocoagulación bipolar
Ulceras pépticas
 50% causa de sangrado
Factores de predisposición
 Ácido
 H pylori: 71% a 90% úlceras duodenales
 Ingesta de AINES:
› Mayores de 65 años
› Historia de úlcera péptica
Pronóstico: Clasificación de Forrest
 I a: hemorragia en chorro 90%
 I b: hemorragia por escurrimiento 10%
 II: estigmas de sangrado reciente:
 II a: vaso visible 50%
 II b: coagulo adherente 33%
 II c: base necrótica 7%
 III: Úlcera limpia 3%
Pronóstico (sangrado no variceal)
Clasificación de Forrest (riesgo de resangrado)
Forrest Ia Forrest Ib Forrest IIa
Forrest IIb Forrest IIc Forrest III
Laine L New England Journal of Medicine 1994
67 a 95 % 25 a 55 %
15 a 30 % 4 a 7 % 0 a 5 %
67 a 95 %
 Tratamiento médico
 Tratamiento endoscópico
 Láser
 Electrocoagulación bipolar
 Terapia de inyección
› Epinefrina
› Alcohol absoluto
› Pôlidocanol
Terapéutica Endoscópica
Indicada en las lesiones de alto riesgo de resangrado
Forrest Ia Forrest Ib Forrest IIa Forrest IIb
Consensus Recomendations for Managing Patients with Nonvariceal
Upper Gastrointestinal Bleeding Ann Int Med nov 2003
Consensus Recomendations for Managing Patients with Nonvariceal
Upper Gastrointestinal Bleeding Ann Int Med nov 2003
Terapéutica Endoscópica
No indicada en las lesiones de bajo riesgo de resangrado
Forrest IIc Forrest III
Cómo logramos hemostasia en endoscopía ?
Métodos de inyección
Métodos térmicos
Métodos mecánicos
I. Métodos de inyección
El primer mecanismo de hemostasis es meramente compresivo y
posteriormente, según la sustancia empleada, tendrá un efecto
vasoconstrictor, esclerosante, o favorecedor de la trombosis del vaso.
Solución fisiológica
Adrenalina 1 : 10.000
Adrenalina 1 : 20.000
Alcohol
Polidocanol
Cianoacrilato
Trombina
Fibrina
Taponamiento
Vasoconstricción
Necrosis - trombosis
“ trombosis química ”
“ trombosis fisiológica ”
II. Métodos térmicos
Se basan en la aplicación de calor para el logro de la hemostasia.
De contacto
Electrocoagulación monopolar
Electrocoagulación bipolar
BI-CAP
Heater probe
Gold probe
No contacto
Laser
Argón plasma
Dieulafoy
Argón
Angiodisplasia
Heater probe
III. Métodos mecánicos
Hemoclips
Bandas elásticas
Endoloops
Suturas mecánicas
Hemocl
ips
Colocación de Hemoclips
Hemorragia digestiva alta no varicosa
Terapéutica Endoscópica
 En caso de resangrado se recomienda una
segunda endoscopia y tratamiento endoscópico.
 La cirugía se reserva para el fracaso del
segundo tratamiento endoscópico.
Lau JYW . Endoscopic retreatment compared with surgery in patients
with recurrent bleeding after initial endoscopic control of bleeding ulcers.
New England Journal of Medicine 1999
 Gastritis Erosiva o Hemorrágica
› 16% a 23%
› Erosiones y hemorragia subepitelial:
 Etanol
 AINES
 Estrés
 Doudenitis: 6%
 Neoplasias: 5%
 Hemobilia
 Fístulas Aorto-entéricas
 Telangiectasias - hereditaria
Hipertension Portal
Aumento de la presión portal libre > 5 a 10 mmHg
Desarrollo de várices esofágicas: gradiente de
presión portal 11 a 12 mmHg
Várices esofágicas 24% a 81%
8% año
Clasificación de várices esofágicas
Grado I Grado II Grado III
Sociedad Japonesa para el estudio de la hipertensión portal.
 Grado 1: cordones que desaparecn con la
insuflación.
 Grado 2: cordones que se aplanan parcialmente
con la insuflación.
 Grado 3: ocupan menos del 50% de la luz.
 Grado 4: ocupan más de 50% de la luz.
Manejo:
Prevención de sangrado:
› betabloqueo
› ligadura
Tratamiento de sangrado:
› Escleroterapia
› ligadura
› farmacológico
Prevención de resangrado:
› Endoscópico
› farmacológico
Esclerosis
Ligadura endoscópica de varices esofágicas.
Ligadura
A- Várices gástricas en continuidad con las
esofágicas (esofagogástricas)
› Tipo I (GEV 1): se extienden hacia la curvatura
menor.
› Tipo II (GEV II): se extienden por la curvatura
mayor hacia el fundus.
B- Várices gástricas aisladas
- Tipo I (IGV 1): localizadas en el fundus
- Tipo II (IGV II): en cualquier otra localización
Sarin et al. Hepatology 95: 434, 1992
Sangrado variceal Inyección Post-Inyección
Esclerosis con
Cianoacrilato
Hemostasia 80 - 100 %
Complicaciones 5 - 15 %
Mortalidad* 25 %
Resultados del tratamiento endoscópico en los pacientes
con HDA varicosa
* En relación con la edad, las enfermedades asociadas y el score de Child.
 Sangrado activo por várices.
 Presencia de estigmas de sangrado reciente.
(tapón de fibrina ó coágulo adherido)
 Presencia de sangre fresca en el estómago en un
paciente con várices y sin otra lesión
potencialmente sangrante.
¿Cuándo realizamos tratamiento endoscópico en
pacientes con várices esofagogástricas ?
 Médicas:Médicas:
* Infusión (iv) de fármacos.Infusión (iv) de fármacos.
* Sonda Balón de Sengstaken.Sonda Balón de Sengstaken.
 TIPSTIPS (Tunel Intrahepático Portosistémico)(Tunel Intrahepático Portosistémico)
 Quirúrgicas.Quirúrgicas.
 Vasopresina: 0,4 Uds/min (goteo continuo) +
nitroglicerina (Parches de 10 mg)
 Terlipresina: Bolus IV de 2 mg a las 0; 4 y 8
hs. con o sin Nitroglicerina.
 Somatostatina: 250 ug en bolo y 250 ug/h
goteo continuo
 Octreotide: 100 ug en bolo y 25 ug/h goteo
continuo.
 Mejora control inicial
del sangrado
 Mejora hemostasia al
5to
día
 No mejora mortalidad
R.Bañares et al. Hepatology 2002;35:609
Mejor tratamiento
combinado
Mejor tratamiento
endoscopico
RR combinado
RIESGO RELATIVO
Sonda Balón de Sengtaken Blakemore
 Muy efectivo
 Alto índice de resangrado
 Puente para otros tratamientos
 Conecta una
rama portal con
una de las
venas
suprahepáticas
Funcionalmente es un shunt portocava latero-lateral con la
peculiaridad de ser intrahepático
A.D.
INDICACIONES:
 Control de sangrado cuando falla tratamiento
endoscópico-farmacológico.
 Várices ectópicas.
 Várices gástricas difíciles de ligar o esclerosar.
CARACTERISTICAS:
 Controla el sangrado y evita resangrado mejor
que endoscopía.
 Mayor encefalopatía.
 50% se ocluyen en 6 meses
¿ Cuándo Taponamiento esofágico ?
Solamente si no se puede realizar un
tratamiento endoscópico.
¿ Cuándo se utiliza el “TIPS” ?
Si fracasa
el tratamiento endoscópico ó el farmacológico.
Shunt:
 Porto Cava (termino lateral, latero lateral,
calibrados)
 Meso Cava
 Espleno Renal (Warren)
Devascularización:
 Transección esofágica
 Sugiura
Causas de hemorragía GI masiva.
Originada en la parte bajo del tubo digestivo
Diverticulosis
Angiodisplasia
Hemorroides
Fisuras anales
Neoplasias
Enfermedad intestinal inflamatoria
Colitis isquémica
Colitis infecciosa
Colitis inducida por radiaciones
Divertículo de Meckel
Invaginación
Fistula aortointestinal
Ulceras rectales solitarias
Ulceras fecales inducidas por AINES
 Sangrado bajo
› Diverticulos: 30%
› Angiodisplasias: 7% a 20%
› Tumores: 25%
› Colitis: 10% radiación, isquemica, ulcerativa
 Rectorragia
› Hemorroides
› Fisura anal
Angiodisplasias
Colitis isquemica
HEMORRAGIA GI
HEMORRAGIA GI
HEMORRAGIA GI
HEMORRAGIA GI
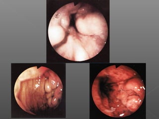
ANGIODISPLASIA CECAL
HEMORRAGIA GI
HEMORRAGIA GI
HEMORRAGIA GI
POLIPO SANGRANTE
HEMORRAGIA GI
CANCER DE COLON
HEMORRAGIA GI
COLITIS ULCEROSA CRONICA INESPECIFICA
HEMORRAGIA GI
SARCOMA DE KAPOSI
HEMORRAGIA GI
DIVERTICULOS SANGRANTES
HEMORRAGIA GI
PROCTITIS POSTRADIACION
HEMORRAGIA GI
ANGIODIPLASIA COLONICA
HEMORRAGIA GI

hemorragia gastrointestinal

  • 2.
    Es toda perdidade sangreEs toda perdida de sangre intraluminal que tiene comointraluminal que tiene como origen el tubo digestivo.origen el tubo digestivo.
  • 3.
     El tratamientotiene como finalidad estabilizar los parámetros hemodinámicos, detener la hemorragia activa y prevenir la recurrente.  La pérdida de sangre se manifiesta de cinco maneras:  HEMATEMESIS  MELENA  HETOQUEZIA  OCULTA  SIMTOMAS DE PERDIDA DE SANGRE
  • 4.
     100 hospitalizacionespor 100,000 adultos por añ o  Mortalidad: › 0.6% en menores de 60 añ os › 14% general
  • 5.
    Topográfica: >Hem. Digestiva Alta:Hem.Digestiva Alta: HHemorragia intraluminal delemorragia intraluminal del T.D. cuyo origen se encuentraT.D. cuyo origen se encuentra entre el EES y el ángulo deentre el EES y el ángulo de Treitz.Treitz. >Hem. Digestiva Baja:Hem. Digestiva Baja: Hemorragia intraintestinalHemorragia intraintestinal cuyo origen se encuentra porcuyo origen se encuentra por debajo del ángulo de Treitzdebajo del ángulo de Treitz >De origen oscuroDe origen oscuro Evolutiva:Evolutiva: > Aguda:Aguda: Hemorragia de gran cantidadHemorragia de gran cantidad e importante velocidad dee importante velocidad de sangrado.sangrado. > Crónica:Crónica: Hemorragia sostenida por un tiempo prolongado, de menor cantidad y velocidad, capaz de permitir compensación hemodinámica.
  • 7.
    ALTA RELACIONADA NO RELACIONADA AHTP A HTP HEMATEMESIS MELENA HEMATOQUEZIA BAJA HEMATOQUEZIA MELENA RECTORRAGIA Con o sin COMPROMISO HEMODINAMICO
  • 8.
     EVALUACION DELPACIENTE ¿Lahemorragia es aguda o crónica? ¿Se encuentra hemodinámicamente estable o inestable?.  CUADRO DE PRESENTACION  HEMATEMESIS Y MELENA.  HEMATOCRITO  PRESION ARTERIAL Y FRECUNCIA CARDIACA.  REPOSICION DE VOLUMEN  CUANDO TRANSFUNDIR
  • 9.
     Hematemesis: vómitode sangre  Melena: evacuación negra, mal oliente  Hematoquecia: salida de sangre color vino por el recto: mezclada con heces o sola.  Sangrado oculto: no hay signo físico de sangrado pero hay anemia sintomática
  • 10.
     Evaluación diagnósticade pacientes con hemorragia gastrointestinal alta.  Interrogatorio y examen físico: ¿Se produjeron otros episodios hemorrágicos previos? ¿Existe una historia familiar de enfermedades? ¿Padece enfermedades que puedan inducir hemorragia? ¿Existen antecedentes de operaciones por Enf Acido pep? ¿Existen antecedentes de ingesta de alcohol, AINES u otros medicamentos? • Endoscopia y estudios radiológicos con bario • Angiografía.
  • 11.
    Hipovolemia. Clínica. Volumenperdido. 1 Nula: Ninguna. 10-15% (500-750ml) 2 Leve: Taquicardia leve. 15-25% (750-1250 ml) Hipotensión ortostática. Piel fría. 3 Moderada: Taquicardia (100-120/m). 25-35% (1250-1750 ml) Hipotensión (inf. 100 mm) Palidez, sudación, oliguria, inquietud 4 Grave. Taquicardia (>120/m), estupor, 35 % o más Hipotensión (< 60 mm), anuria. (mayor 1.750)
  • 13.
     Signos vitalesestable, riesgo bajo de hemorragia persistente o nueva hemorragia  Sala de hospitalización, endoscopia electiva  Sin hemorragia por 24 a 48 hrs  Sala de hospitalización  Evidencia de hipovolemia, riesgo alto de hemorragia persistente o nueva hemorragia.  UTI, HB, recuento de plaquetas, TP, TPT, grupo y Rh, reacciones cruzadas, corregir anormalidades Endoscopia  HB seriado, recuento de plaquetas, Tx médico basado en endoscopia Nuevo sangrado  Repetir endoscopia Hemorragia persistente • Probable angiografia • Cirugia HEMORRAGIA GI
  • 15.
     Rasgos dediferencian las hemorragias gastrointestinales altas y bajas: Signo o síntoma de hematemesis, melena hematoquezia Presentación o ambas Material de aspiración sanguinolento límpio Nasogastrica Cociente BUN/creastinina elevado normal Ruidos cardiacos hiperactivos normal
  • 16.
     La hemorragiagastrointestinal de la parte alta del tubo digestivo es un trastorno que se origina por arriba del ángulo de Treitz.  Dividiendose en dos grupos: Variceal. No variceal
  • 17.
     Causas dehemorragía GI masiva:  Originada en la parte alta del tubo digestivo › Enf ulcerosa páptica 50% (duodenal, gástrica, de los estomas) › Gastritis (inducida por AINES, estrés o quimioterapia) › Varices (esofágicas, gástricas, duodenales) › Gastropatía portal › Desgarro de Mallory-Weiss › Esofagitis y úlceras esofágicas (RGE, infecciones, inducida por comprimidos, escleoterapia, inducida por radiaciones) › Neoplasias › Ectasis vasculares y aangiodisplasias › Estómago en sandia › Fístula aortointestinal › Hematobilia › Jugo pancreático sanguinolento › Erosión de Dieulafoy
  • 18.
    Valoración inicial:  Presentaciónclínica: melena predictiva de sangrado masivo: 5%  Manifestaciones clínicas; hipotensión postural  Hematocrito: disminución de 24 a 72 horas
  • 19.
     Medidas iniciales: ›Colocar dos vías de acceso › Vía central (?) › Solución salina o Ringer › Oxígeno suplementario  Transfusión › Choque hipovolémico › Hematocrito < 20% › Sintomas severos: angina
  • 20.
     Evaluación diagnóstica Evaluación clínica  Endoscopía › Diagnóstica y terapéutica › Pronóstico  Angiografía mesentérica  Gamagrama con eritoricitos marcados
  • 21.
    Hemorragia de tubodigestivo alto no secundaria a Hipertensión Portal  Esofagitis: 2%  Síndrome de Mallory-Weis: ulceraciones de la unión gastroesofágica 5-15% › Cesa espontáneamente 90% › Electrocoagulación bipolar
  • 23.
    Ulceras pépticas  50%causa de sangrado Factores de predisposición  Ácido  H pylori: 71% a 90% úlceras duodenales  Ingesta de AINES: › Mayores de 65 años › Historia de úlcera péptica
  • 24.
    Pronóstico: Clasificación deForrest  I a: hemorragia en chorro 90%  I b: hemorragia por escurrimiento 10%  II: estigmas de sangrado reciente:  II a: vaso visible 50%  II b: coagulo adherente 33%  II c: base necrótica 7%  III: Úlcera limpia 3%
  • 25.
    Pronóstico (sangrado novariceal) Clasificación de Forrest (riesgo de resangrado) Forrest Ia Forrest Ib Forrest IIa Forrest IIb Forrest IIc Forrest III Laine L New England Journal of Medicine 1994 67 a 95 % 25 a 55 % 15 a 30 % 4 a 7 % 0 a 5 % 67 a 95 %
  • 27.
     Tratamiento médico Tratamiento endoscópico  Láser  Electrocoagulación bipolar  Terapia de inyección › Epinefrina › Alcohol absoluto › Pôlidocanol
  • 28.
    Terapéutica Endoscópica Indicada enlas lesiones de alto riesgo de resangrado Forrest Ia Forrest Ib Forrest IIa Forrest IIb Consensus Recomendations for Managing Patients with Nonvariceal Upper Gastrointestinal Bleeding Ann Int Med nov 2003
  • 29.
    Consensus Recomendations forManaging Patients with Nonvariceal Upper Gastrointestinal Bleeding Ann Int Med nov 2003 Terapéutica Endoscópica No indicada en las lesiones de bajo riesgo de resangrado Forrest IIc Forrest III
  • 30.
    Cómo logramos hemostasiaen endoscopía ? Métodos de inyección Métodos térmicos Métodos mecánicos
  • 31.
    I. Métodos deinyección El primer mecanismo de hemostasis es meramente compresivo y posteriormente, según la sustancia empleada, tendrá un efecto vasoconstrictor, esclerosante, o favorecedor de la trombosis del vaso. Solución fisiológica Adrenalina 1 : 10.000 Adrenalina 1 : 20.000 Alcohol Polidocanol Cianoacrilato Trombina Fibrina Taponamiento Vasoconstricción Necrosis - trombosis “ trombosis química ” “ trombosis fisiológica ”
  • 34.
    II. Métodos térmicos Sebasan en la aplicación de calor para el logro de la hemostasia. De contacto Electrocoagulación monopolar Electrocoagulación bipolar BI-CAP Heater probe Gold probe No contacto Laser Argón plasma
  • 35.
  • 36.
  • 37.
  • 38.
  • 39.
    III. Métodos mecánicos Hemoclips Bandaselásticas Endoloops Suturas mecánicas
  • 40.
  • 41.
  • 43.
    Hemorragia digestiva altano varicosa Terapéutica Endoscópica  En caso de resangrado se recomienda una segunda endoscopia y tratamiento endoscópico.  La cirugía se reserva para el fracaso del segundo tratamiento endoscópico. Lau JYW . Endoscopic retreatment compared with surgery in patients with recurrent bleeding after initial endoscopic control of bleeding ulcers. New England Journal of Medicine 1999
  • 44.
     Gastritis Erosivao Hemorrágica › 16% a 23% › Erosiones y hemorragia subepitelial:  Etanol  AINES  Estrés
  • 47.
     Doudenitis: 6% Neoplasias: 5%  Hemobilia  Fístulas Aorto-entéricas  Telangiectasias - hereditaria
  • 48.
    Hipertension Portal Aumento dela presión portal libre > 5 a 10 mmHg Desarrollo de várices esofágicas: gradiente de presión portal 11 a 12 mmHg Várices esofágicas 24% a 81% 8% año
  • 52.
    Clasificación de váricesesofágicas Grado I Grado II Grado III Sociedad Japonesa para el estudio de la hipertensión portal.
  • 53.
     Grado 1:cordones que desaparecn con la insuflación.  Grado 2: cordones que se aplanan parcialmente con la insuflación.  Grado 3: ocupan menos del 50% de la luz.  Grado 4: ocupan más de 50% de la luz.
  • 54.
    Manejo: Prevención de sangrado: ›betabloqueo › ligadura Tratamiento de sangrado: › Escleroterapia › ligadura › farmacológico Prevención de resangrado: › Endoscópico › farmacológico
  • 55.
  • 56.
    Ligadura endoscópica devarices esofágicas.
  • 57.
  • 63.
    A- Várices gástricasen continuidad con las esofágicas (esofagogástricas) › Tipo I (GEV 1): se extienden hacia la curvatura menor. › Tipo II (GEV II): se extienden por la curvatura mayor hacia el fundus. B- Várices gástricas aisladas - Tipo I (IGV 1): localizadas en el fundus - Tipo II (IGV II): en cualquier otra localización Sarin et al. Hepatology 95: 434, 1992
  • 67.
    Sangrado variceal InyecciónPost-Inyección Esclerosis con Cianoacrilato
  • 68.
    Hemostasia 80 -100 % Complicaciones 5 - 15 % Mortalidad* 25 % Resultados del tratamiento endoscópico en los pacientes con HDA varicosa * En relación con la edad, las enfermedades asociadas y el score de Child.
  • 69.
     Sangrado activopor várices.  Presencia de estigmas de sangrado reciente. (tapón de fibrina ó coágulo adherido)  Presencia de sangre fresca en el estómago en un paciente con várices y sin otra lesión potencialmente sangrante. ¿Cuándo realizamos tratamiento endoscópico en pacientes con várices esofagogástricas ?
  • 70.
     Médicas:Médicas: * Infusión(iv) de fármacos.Infusión (iv) de fármacos. * Sonda Balón de Sengstaken.Sonda Balón de Sengstaken.  TIPSTIPS (Tunel Intrahepático Portosistémico)(Tunel Intrahepático Portosistémico)  Quirúrgicas.Quirúrgicas.
  • 71.
     Vasopresina: 0,4Uds/min (goteo continuo) + nitroglicerina (Parches de 10 mg)  Terlipresina: Bolus IV de 2 mg a las 0; 4 y 8 hs. con o sin Nitroglicerina.  Somatostatina: 250 ug en bolo y 250 ug/h goteo continuo  Octreotide: 100 ug en bolo y 25 ug/h goteo continuo.
  • 72.
     Mejora controlinicial del sangrado  Mejora hemostasia al 5to día  No mejora mortalidad R.Bañares et al. Hepatology 2002;35:609 Mejor tratamiento combinado Mejor tratamiento endoscopico RR combinado RIESGO RELATIVO
  • 73.
    Sonda Balón deSengtaken Blakemore
  • 75.
     Muy efectivo Alto índice de resangrado  Puente para otros tratamientos
  • 76.
     Conecta una ramaportal con una de las venas suprahepáticas Funcionalmente es un shunt portocava latero-lateral con la peculiaridad de ser intrahepático A.D.
  • 77.
    INDICACIONES:  Control desangrado cuando falla tratamiento endoscópico-farmacológico.  Várices ectópicas.  Várices gástricas difíciles de ligar o esclerosar. CARACTERISTICAS:  Controla el sangrado y evita resangrado mejor que endoscopía.  Mayor encefalopatía.  50% se ocluyen en 6 meses
  • 78.
    ¿ Cuándo Taponamientoesofágico ? Solamente si no se puede realizar un tratamiento endoscópico. ¿ Cuándo se utiliza el “TIPS” ? Si fracasa el tratamiento endoscópico ó el farmacológico.
  • 79.
    Shunt:  Porto Cava(termino lateral, latero lateral, calibrados)  Meso Cava  Espleno Renal (Warren) Devascularización:  Transección esofágica  Sugiura
  • 80.
    Causas de hemorragíaGI masiva. Originada en la parte bajo del tubo digestivo Diverticulosis Angiodisplasia Hemorroides Fisuras anales Neoplasias Enfermedad intestinal inflamatoria Colitis isquémica Colitis infecciosa Colitis inducida por radiaciones Divertículo de Meckel Invaginación Fistula aortointestinal Ulceras rectales solitarias Ulceras fecales inducidas por AINES
  • 81.
     Sangrado bajo ›Diverticulos: 30% › Angiodisplasias: 7% a 20% › Tumores: 25% › Colitis: 10% radiación, isquemica, ulcerativa  Rectorragia › Hemorroides › Fisura anal
  • 82.
  • 83.
  • 85.
  • 86.
  • 87.
  • 88.
  • 89.
  • 90.
  • 91.
  • 92.
  • 93.
    HEMORRAGIA GI COLITIS ULCEROSACRONICA INESPECIFICA
  • 94.
  • 95.
  • 96.
  • 97.
  • 98.