Incrustar presentación
Descargado 57 veces




































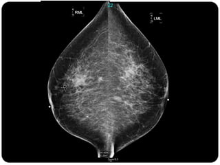
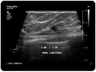
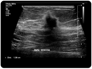
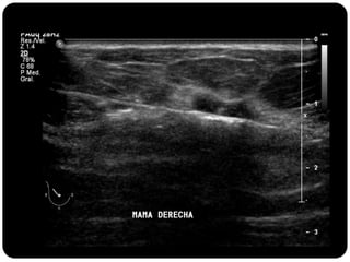
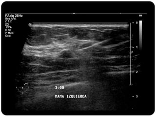
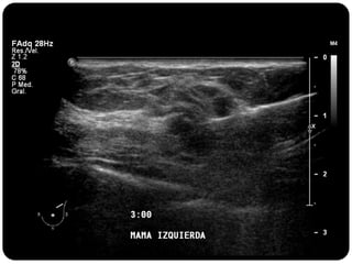
Paciente femenina de 66 años con historia clínica de 1er gesta antes de los 30 años y antecedentes de lactancia positiva, presenta una lesión palpable en la mama derecha. Los estudios radiológicos indican un diagnóstico de bi-rads 5, con biopsias revelando adenocarcinoma lobulillar infiltrante en la glándula mamaria derecha y adenocarcinoma ductal in situ en la izquierda. El caso fue evaluado por las doctoras Jacqueline Preciado Vargas y Beatriz E. González Ulloa.



































