CASO CLINICO
RADIOLÒGICO
Universidad Centroocidental Lisandro Alvarado
Hospital Central Universitario Dr. Antonio María Pineda
Postgrado de Medicina Interna
Dr. Endher Castillo
Dra. Rubenna Giménez Mayo 2019
Motivo de consulta: Fiebre, astenia,
agitación psicomotriz
Nombre y Apellidos: NCGR
Edad: 38 años Género: Femenino
Fecha y lugar de nacimiento: 16/02/1.981 Humocaro bajo. Edo. Lara
Procedencia: Humocaro bajo. Municipio Moran. Parroquia Humocaro
bajo
Fecha de ingreso: 12/09/2018
Feche de Egreso: 26/10/18
03/08/18 fiebre no
cuantificada 39ª,
atenuada con el
acetaminofén 500 mgr,
concomitante cefalea
TIPO hemicraneana
derecha, intensa (8/10
según EVA), opresiva,
irradiado a orbita
derecha
15/08/18 cuando
en horas
matutina asocia
desorientación
temporo-
espacial
ceftriaxone 1gr EV cada 12 horas), ORL indican
Amoxacilina/Ac clavulánico 875/125 mg cada 12
horas, sulfato de kanamicina 3 gotas en cada fosa
nasal OD, Budesonida 2 gotas en cada fosa nasal
12 horas
Es egresada el
día 24/08/18
26/08/18 fiebre precedida de
escalofríos, además se asocia
astenia
09/09/18 presentó
agitacion psicomotriz
11/09/18
otorrinolaringólogo
Refiere al internista
ANTECEDENTES
PERSONALES PATOLÒGICOS
▹ Asma diagnosticada en la infancia con fecha de última crisis a
los 5 años de edad
▹ Rinosinusitis crónica diagnosticada en la adolescencia
actualmente sin tratamiento
▹ Hipotiroidismo diagnosticada en 2010 en tratamiento con
Levotiroxina de 50 mcgr abandonado 1 mes previo a su
ingreso
▹ Intervención quirúrgica: cesárea segmentarias 2010 y 2011 sin
complicaciones. Esterilización quirúrgica 2011
▹ Discopatía no precisa a que nivel diagnosticada en el 2011
▹ Amigdalitis pultácea a repetición desde la infancia.
▹ Litiasis renal diagnosticada en 2018
▹ Niega fracturas, transfusiones, alergia a medicamentos.
4
HABITOS PSICOBILÒGICOS
▹ Hábito Alcohólico: eventual desde hace 7 años hasta la actualidad sin
llegar a la embriaguez
▹ Hábito Tabáquico, chimoico y drogas ilícitas : niega.
▹ Hábito cafeico: menos de 250 gr al día desde la infancia
▹ Hábito Onírico: 8 horas nocturnas, reparador, espontáneo, sin siestas
▹ Miccional: 1 vez al día orinas. 2 veces en la noche con las mismas
características
▹ Evacuatorio: heces marrón formadas fétidas, sin moco, ni sangre 3
veces al día
▹ Ocupación: Docente
▹ Grado de Instrucción: Universitario
5
ANTECEDENTES
GINOCOLÒGICOS
▹ Menarquia: 10 años, Primera relación sexual:
16 años # pareja sexuales: 3, ciclo menstrual
regular 5/21 eumenorreica, última citología
diciembre 2017 no documentada, uso de
anticonceptivos orales durante 4 años hasta
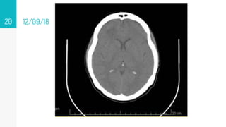
2006 (no precisa cuales) FUR: 10/09/18. Gesta:
III. Para: I. Aborto: 0. Cesárea: II, Refiere
embarazo controlado sin complicaciones
6
ANTECEDENTES
FAMILIARES
▹ Abuela materna: fallecida, desconoce causa.
▹ Abuelo materno: fallecido, desconoce causa
▹ Abuela paterna: fallecida a los 83 años accidente de
carro
▹ Abuelo paterno fallecido a los 70 años Evento
cerebrovascular
▹ Madre: viva, aparentemente sana
▹ Padre: fallecido a los 52 años por Cardiopatía
isquémica.
▹ Hermanos: 4, vivos y aparentemente sanos.
▹ Hijos: 3, vivos, aparentemente sanos.
7
DATOS EPIDEMILOGICOS
▹ Habita en vivienda urbana paredes de bloque,
piso cemento pulido, techo acerolic, 3
habitaciones, viven 4 personas, cuenta con
baño intradomiciliario, servicios básicos agua,
luz, aseo, disposición de excretas aguas negras
y aguas blancas por tuberías, no tiene animales
domésticos, refiere roedores tipo ratones,
insectos cucarachas.
▹ Negó contacto con enfermedades
infectocontagiosa
▹ Negó inmunizaciones del adulto
8
EXAMEN FUNCIONAL POR
APARATOS Y SISTEMAS
▹ General: refiere, pérdida de peso 5 kg en 2 meses
asociada a hiporexia desde hace 2 meses, refiere
diaforesis profusa desde hace 1 mes.
▹ Piel y Faneras: refiere palidez cutáneo-mucosa desde
hace 1 mes sin desencadenantes
▹ Cabeza: cefalea descrita en enfermedad actual
▹ Ojos: refirió fotofobia, visión borrosa, niega
enrojecimiento secreciones, hemorragia conjuntival.
▹ Oídos: refirió otalgia derecha eventual desde 1 mes
previo a su ingreso, niega tinnitus, otorrea, otorragia.
9
EXAMEN FUNCIONAL POR
APARATOS Y SISTEMAS
▹ Boca y Garganta: refirió odinofagia, disfagia 2
meses previo a su ingreso, refirió halitosis en 1
oportunidad el día del ingreso, niega gingivorragia
lesión en lengua, disfonía
▹ Respiratorio: tos seca no productiva, sin
predominio horario, 2 meses previos a su ingreso,
niega hemoptisis, cianosis, dolor torácico
▹ Cardiovascular: refirió Palpitación el día del ingreso
y disnea a leves esfuerzos atenuada con el reposo 2
semana previa al ingreso, negó dolor precordial,
sincope y edema
▹ Gastrointestinal: refirió hiporexia desde hace 2
10
Examen fisico
▹ PA: 100/60 mmHg (decúbito dorsal, brazo derecho), 100/62
mmHg (sedente) FC: 113 lpm LPM: 113 lpm FR: 19 lpm. Sat
O2: 98% TEMP: 37 °C
▹ Somatometría: Peso: 48 kg Talla 1,50 mts. IMC: 21,3
kg/mts2.
11
12
Electrocardiograma
RS/107X´/0,16”/0,06”/+30°/0,32/0
,42 TRAZO: taquicardia sinusal
13
14
15
UROANALISIS
(13/10/2018)
▹ Asp: turbia. Color: amarilla.
Reacción: acida. Ph: 6. Densidad:
1025. Albumina: NEG. Gluc NEG.
Pig Biliares: NEG. Hemogl; NEG.
Acetona: NEG. Sales Biliares:
NEG. Urob: NEG. Nitritos: NEG.
Células Epiteliales planas: 1-3
xc. Bacterias: escasa. Leucocitos
de 4-6 XC. Uratos amorfos
abundantes
(17/10/2018)
▹ Asp: turbia. Color: amarilla.
Reacción: acida. Ph: 6. Densidad:
1015. Albumina: trazas. Gluc NEG.
Pig Biliares: NEG. Hemogl; NEG.
Acetona: NEG. Sales Biliares: NEG.
Urob: NEG. Nitritos: NEG. Células
Epiteliales planas: escasas.
Bacterias: moderada. Leucocitos
de 5-10 XC. Oxalato de calcio
moderada cantidad.
16
FROTIS DE SANGRE
PERIFERICA
(20/09/18):
▹ SERIE BLANCA: maduración
normal. leucocitosi.
Neutrofilia. Se observa
linfocitos activados
▹ SERIE ROJA: hipocromía(+),
microcitos (+)
Policromatofilia (+)
▹ PLAQUETAS: morfología y
cuantitativamente normal
(25/10/18):
▹ SERIE BLANCA: maduración
normal. Neutrofília. Se
observa linfocitos activados
▹ SERIE ROJA: hipocromía(+),
microcitos (+)
Poiquilocitosis (+) células en
lagrima
▹ PLAQUETAS: morfología y
cuantitativamente normal
17
HEMOCULTIVO 26/09/18
▹ SIN CRECIMIENTO
BACTERIANO
18
Liquido
cefalorraquídeo
(17/10/18)
Citoquimico
Vol: 3,5cc Color: Incoloro Aspecto: Limpio Coágulos: ausentes Glucosa:55 Proteínas: 26,22 Pandy: negativo
Nonne Apelt: negativo Contaje celular: 5 cel/mm3 Hematíes: 10 cel/mm3. Gram: No se observaron
bacterias KOH Y TINTA CHINA: negativo
Citomorfológico
Acelular, fondo limpio
19
12/09/18
20
12/09/18
21
11/10/18
22
25/09/2018
23
MASA INTRACARDIACA
OSCILANTES, 2 IMÁGENES
PEDICULADAS HIPERCOICA
UNA ALARGADA DE 9X 7 EN
PUNTO DE UNION ENTRE EL
ANILLO Y LA VALVA
POSTEROLATERAL Y OTRA
REDONDEADA ADHERRIDA A
LA VALVA 7X7 MM AMBAS
CON MOVIMIENTOS
AUTONOMICOS
Discusiòn
24
Paciente 38 años
Clínicamente:
▹Fiebre
▹Astenia
▹Cefalea
▹Desorientación
▹Escalofríos
▹Agitación
psicomotriz
Semiológicamente
▹Piel
▹Fondo de ojo
▹Esfera
cardiovascular
▹Esfera neurológica
25
26
Paraclinicamente
Imágenes
Fiebre
1 mes de evolución
27
28
Abcesos piógenos, algunas
infecciones bacterianas por bacilos
Gram negativos, infecciones urinarias
y la tuberculosis diseminada,
endocarditis infecciosa.
Fiebre intermitente o
cotidiana: Llamada antiguamente
hectica: (de tísico o consumido),
caracterizada por fiebre elevada interrumpida
por descenso de la temperatura a cifras
normales, con variaciones mayores de 1
grado, llegando a ciertas horas del día a
valores normales o aún subnormales
Parodl, Mario D, LOS GRANDES SINDROMES, Editorial DISINLIMED. C.A. Caracas 1989
29
Infecciones virales agudas del tracto
respiratorio, en la bronquitis aguda,
endocarditis bacteriana y paludismo,
producido por Plasmodium
falciparum.
Fiebre remitente Son
oscilaciones diarias de la
temperatura mayor de 1 grado,
pero siempre por arriba de lo
norma
Parodl, Mario D, LOS GRANDES SINDROMES, Editorial DISINLIMED. C.A. Caracas 1989
30
Neumonía, fiebre tifoidea,
infecciones faríngeas por
streptococos del grupo A, celulitis,
rickettsiosis, meningitis y brucelosis
Fiebre continua Se
caracteriza por elevación de la
temperatura con oscilaciones
menores de un grado
Parodl, Mario D, LOS GRANDES SINDROMES, Editorial DISINLIMED. C.A. Caracas 1989
31
Se observa en los linfomas, sobre
todo en el Hodgkin, leucemias
encefalitis y en la meningitis
Fiebre recurrente: La fiebre
recurrente o recidivante está
caracterizada por períodos de
fiebre prolongada, ya sea del tipo
remitente, intermitente o
sostenida, alternando con
períodos de apirexia
Parodl, Mario D, LOS GRANDES SINDROMES, Editorial DISINLIMED. C.A. Caracas 1989
1.
Sindrome febril
polongado
1.Fiebre >38.3°C (101°F) al menos en dos ocasiones.
2. Duración ≥3 semanas de la enfermedad.
3. Sin compromiso inmunitario conocido.
4. Diagnostico que permanece incierto después de la anamnesis
minuciosa, exploracion física y las siguientes pruebas obligadas
32 Medicina Interna Harrison 19a Ed. Vol. 1
CLASIFICACIÒN
▹ Infecciones (30-40%)
▹ Neoplasias (15-20%)
▹ Colagenopatías o cuadros
autoinmunes (10-20%)
▹ Misceláneas (10%)
33
Las infecciones más
comunes son la
tuberculosis, endocarditis
infecciosa, abscesos,
salmonelosis, brucelosis,
parasitosis, micosis
profundas, entre otras
SINDROME FEBRIL
PROLONGADO
34
Medicina Interna Harrison 19a Ed. Vol. 1
SINDROME FEBRIL
PROLONGADO
35
Medicina Interna Harrison 19a Ed. Vol. 1
SINDROME FEBRIL
PROLENGADO
36
Medicina Interna Harrison 19a Ed. Vol. 1
SINDROME FEBRIL
RPOLONGADO
37
Medicina Interna Harrison 19a Ed. Vol. 1
SINDROME FEBRIL
PROLONGADO
38
Medicina Interna Harrison 19a Ed. Vol. 1
39
Medicina Interna Harrison 19a Ed. Vol. 1
40
Medicina Interna Harrison 19a Ed. Vol. 1
41
Medicina Interna Harrison 19a Ed. Vol. 1
42
Real, Raúl. Fridman, Valeria. CLINICAL MANAGEMENT OF ADULTS WITH PROLONGED FEVER. Rev Med La Paz, 22(2);
Julio - Diciembre 2016
43
Real, Raúl. Fridman, Valeria. CLINICAL MANAGEMENT OF ADULTS WITH PROLONGED FEVER. Rev Med La Paz, 22(2);
Julio - Diciembre 2016
2.
Esfera
Cardiovascular
Al examen fisico: ápex no visible, palpable en 4to espacio intercostal en línea
medioclavicular, carácter normal, área 2cm, ruidos cardiacos rítmicos, taquicárdicos, R1
único disminuido en intensidad, con soplo Holosistólico mitral grado II/IV irradiado a foco
aórtico, tricuspideo, pulmonar y región axilar, R2 único, diástole silente, no se ausculta R3 ni
R4
44
Al examen funcional: refirió palpitaciones el día del ingreso y disnea a leves esfuerzos
atenuada con el reposo 2 semanas previa al ingreso
Ecocardiograma
Endocarditis
Infecciosa
La endocarditis infecciosa (EI) es una infección del
endocardio predominantemente valvular,
secundaria a la colonización por vía hematógena de
microorganismos como bacterias, clamidias,
rikettsias, micoplasmas, hongos o virus
45
Guía ESC 2015 sobre el tratamiento de la endocarditis infecciosa. Rev Esp Cardiol. 2016;69(1):69.e1-e49
Epidemiologìa
Son estos los factores
predisponentes que han tomado
relevancia en la actualidad: válvulas
protésicas, esclerosis degenerativa,
uso de drogas IV, mayor uso de
procedimientos invasivos
46 Se observa en 3-10 casos cada 100.000
personas/ año y asciende a 14,5
episodios cada 100.000 personas/año
en mayores de 70.
En todas las series, la
proporción varones: mujeres
es 2:1
La mortalidad en los distintos
países varía entre 15 y 35%, y
la descripta en nuestro país
por el estudio EIRA fue del
23,5%
Guía ESC 2015 sobre el tratamiento de la endocarditis infecciosa. Rev Esp Cardiol. 2016;69(1):69.e1-e49
Epidemiologia
47
• Corazones sin lesiones endocárdicas previas (20 a 25%)
•Con lesión cardíaca subyacente previa e históricamente en un 30% de los
casos corresponde a valvulopatía reumática.
•El prolapso de la válvula mitral, sobre todo cuando se asocia a
insuficiencia mitral más significativa, ocupa el 20 a 29%.
•Cardiopatías congénitas, las enfermedades valvulares degenerativas, la
presencia de prótesis valvulares (biológicas o mecánicas) y la
miocardiopatía hipertrófica obstructiva.
•Asimismo puede desarrollarse EI en válvulas estructuralmente
normales
Lalani T, Cabell CH, and Col. Analysis of the impact of early surgery on in-hospital mortality of native valve endocarditis:
use of propensity score and instrumental variable methods to adjust for treatment-selection bias. CIRCULATION AHA.
109.864488. Epub 2010 Feb 16.
48
49
CLASIFICACIÒN
50
Consenso de endocarditis infecciosa REVISTA ARGENTINA DE CARDIOLOGÍA / VOL 84 SUPLEMENTO / OCTUBRE 2016
CLASIFICACIÒN
51
Consenso de endocarditis infecciosa REVISTA ARGENTINA DE CARDIOLOGÍA / VOL 84 SUPLEMENTO / OCTUBRE 2016
CLASIFICACIÒN
52
Consenso de endocarditis infecciosa REVISTA ARGENTINA DE CARDIOLOGÍA / VOL 84 SUPLEMENTO / OCTUBRE 2016
CLASIFICACIÒN
53
Consenso de endocarditis infecciosa REVISTA ARGENTINA DE CARDIOLOGÍA / VOL 84 SUPLEMENTO / OCTUBRE 2016
DIAGNOSTICO CLINICO
54
Consenso de endocarditis infecciosa REVISTA ARGENTINA DE CARDIOLOGÍA / VOL 84 SUPLEMENTO / OCTUBRE 2016
DIAGNOSTICOS
IMAGENOLOGICOS
ECOCARDIOGRAFIA
55
La sensibilidad de la ETT para el diagnostico de
vegetaciones en valvulas nativas y protesicas es
del 70 y el 50% respectivamente, y la de la ETE,
del 96 y el 92%. La especificidad descrita tanto
de la ETT como de la ETE se encuentra en torno
al 90%.
Guía ESC 2015 sobre el tratamiento de la
endocarditis infecciosa. Rev Esp Cardiol.
2016;69(1):69.e1-e49
DIAGNOSTICO
MICROBIOLOGICO
56
Hemocultivo
positivo
Hemocultivo
negativo
Se debe tomar al menos tres
muestras de sangre a intervalos
de 30 min, cada una de 10 ml de
volumen, que hay que incubar
en atmosferas
aerobicas y anaerobicas
La EI con hemocultivo
negativon puede ocurrir en
hasta un 31% de todos los
casos de EI y a menudo
plantea un numero
considerable de dilemas
diagnosticos y terapeuticos
Guía ESC 2015 sobre el tratamiento de la endocarditis infecciosa. Rev Esp Cardiol. 2016;69(1):69.e1-e49
57
Guía ESC 2015 sobre el
tratamiento de la endocarditis
infecciosa. Rev Esp Cardiol.
2016;69(1):69.e1-e49
58
Guía ESC 2015 sobre el tratamiento de la endocarditis infecciosa. Rev Esp Cardiol. 2016;69(1):69.e1-e49
59
Guía ESC 2015 sobre el tratamiento de
la endocarditis infecciosa. Rev Esp
Cardiol. 2016;69(1):69.e1-e49
60
Guía ESC 2015 sobre el tratamiento de la endocarditis infecciosa. Rev Esp Cardiol. 2016;69(1):69.e1-e49
61
Guía ESC 2015 sobre el tratamiento de la endocarditis infecciosa. Rev Esp Cardiol. 2016;69(1):69.e1-e49
62
Guía ESC 2015 sobre el tratamiento de la endocarditis infecciosa. Rev Esp Cardiol. 2016;69(1):69.e1-e49
63
Guía ESC 2015 sobre el tratamiento de la
endocarditis infecciosa. Rev Esp Cardiol.
2016;69(1):69.e1-e49
64
Guía ESC 2015 sobre el tratamiento de la endocarditis infecciosa. Rev Esp Cardiol. 2016;69(1):69.e1-e49
Endocarditis
infecciosa
COMPLICACIONES DE LA
ENDOCARDITIS INFECCIOSA
Cardiacas
▹ Insuficiencia valvular
▹ Abscesos miocárdicos
▹ Trastorno de la
conducción
▹ Fistulas
▹ Pericarditis y Miocarditis
▹ Oclusión coronaria
▹ SCA
Extracardiacas
No embolicas
▹ Osteomusculares
▹ Insuficiencia renal
▹ Complicaciones
neurológicas infecciosas
Embólicas
▹ Complicaciones
esplénicas
▹ Embolismo cerebrales
66
COMPLICACIONES DE LA
ENDOCARDITIS INFECCIOSA
Cardacas
Consecuencia de la extensión local de la
infección, suelen estar aisladas aunque
es común que se asocien.
67
Guía ESC 2015 sobre el tratamiento de la endocarditis infecciosa. Rev Esp Cardiol. 2016;69(1):69.e1-e49
68
Guía ESC 2015 sobre el tratamiento de la endocarditis infecciosa. Rev Esp Cardiol. 2016;69(1):69.e1-e49
69
Guía ESC 2015 sobre el tratamiento de la endocarditis infecciosa. Rev Esp Cardiol. 2016;69(1):69.e1-e49
COMPLICACIONES DE LA
ENDOCARDITIS INFECCIOSA
Cardíacas: Miocarditis o Pericarditis
 Abscesos o reacción inmunitaria.
 Resp inflamatoria, IC, complicaciones perianulares o la
propia infección.
 Rotura de seudoaneurismas o fistulas puede comunicarse
con el pericardio
70
Guía ESC 2015 sobre el tratamiento de la endocarditis infecciosa. Rev Esp Cardiol. 2016;69(1):69.e1-e49
COMPLICACIONES DE LA
ENDOCARDITIS INFECCIOSA
Cardíacas: Trastornos de la conducción
 1 y el 15%.
 Propagación de la infección mas allá de endocardio.
▹ Bloqueos AV de 1ro, 2do y 3er grado y bloqueos de
rama (raramente).
▹ FA en ancianos (riesgo embólico)
71
Guía ESC 2015 sobre el tratamiento de la endocarditis infecciosa. Rev Esp Cardiol. 2016;69(1):69.e1-e49
COMPLICACIONES DE LA
ENDOCARDITIS INFECCIOSA
Cardiacas: Oclusión Coronaria
 Embolismo procedente de vegetación
 Oclusión del ostium
 Compresión de arteria coronaria
 SCA
72
Habid G, Badano L. European Asociation of Echocardiography. Recommendations for the practice of
echocardiography in infective endocarditis. Eur J Echocardiogr. 2010
COMPLICACIONES DE LA
ENDOCARDITIS INFECCIOSA
Cardiacas
▹ Insuficiencia valvular
▹ Abscesos miocárdicos
▹ Trastorno de la
conducción
▹ Fistulas
▹ Pericarditis y Miocarditis
▹ Oclusión coronaria
▹ SCA
Extracardiacas
No Embólicas
▹ Osteomusculares
▹ Insuficiencia renal
▹ Complicaciones
neurológicas infecciosas
Embólicas
▹ Complicaciones
esplénicas
▹ Embolismo cerebrales
73
COMPLICACIONES DE LA
ENDOCARDITIS INFECCIOSA
Extracardíacas Embólicas:
▹ Tamaño > 10, 15, 30mm (Embolismo cerebral) y movilidad.
▹ 1ros días de iniciar el tratamiento antibiótico, reduce a las 2
semanas.
▹ Microorganismo causal S.aureus, S. bovis y Candida spp
▹ Embolismos previos
▹ Troponina I, BNP y PCR
▹ Daño de la válvula mitral
74
Guía ESC 2015 sobre el tratamiento de la endocarditis infecciosa. Rev Esp Cardiol. 2016;69(1):69.e1-e49
Novy E, Sonneville R, et al. Neurological complications of infective endocarditis: New breakthroughs in diagnosis and
management. Med Mal Infect 2016;43;443-450.
COMPLICACIONES DE LA
ENDOCARDITIS INFECCIOSA
Extracardíacas No Embólicas: Insuficiencia renal
▹ 6-30%
▹ Hemodiálisis
▸ Glomerulonefrítis vasculítica y por inmunocomplejos
▸ Infarto renal
▸ Hemodinámico
▸ Toxicidad antibiótica
▸ Contraste
75
Guía ESC 2015 sobre el tratamiento de la endocarditis infecciosa. Rev Esp Cardiol. 2016;69(1):69.e1-e49
COMPLICACIONES DE LA
ENDOCARDITIS INFECCIOSA
Extracardíacas Embólicas:
 20-50 %
 6-21 % tras el inicio del tratamiento
76
Domínguez-Borgúa A, Jiménez-Sánchez JA, Izaguirre VF, Palacios-Campos VA y col. Evento vascular
isquémico secundario a endocarditis infecciosa. Med Int Méx 2015;31:203-209.
COMPLICACIONES DE LA
ENDOCARDITIS INFECCIOSA
Extracardíacas Embólicas: Esplénicas
▹ Infartos esplénicos frecuentes y asintomáticos.
(émbolos esplénicos son comunes)
▹ La fiebre persistente o recurrente, dolor abdominal y la
bacteriemia indican abscesos esplénicos(raros) o rotura
77
Guía ESC 2015 sobre el tratamiento de la endocarditis infecciosa. Rev Esp Cardiol. 2016;69(1):69.e1-e49
COMPLICACIONES DE LA
ENDOCARDITIS INFECCIOSA
Extracardíacas No Embolicas: Osteomusculares
▹ Artralgia 10%
▹ Mialgia 12-15%
▹ Dolor de espalda 13%
▹ Espondilodiscitis
▹ Osteomielitis vertebral piógena ocurre en un 4,6-19%
▹ Sacroileítis 1%
78
Guía ESC 2015 sobre el tratamiento de la endocarditis infecciosa. Rev Esp Cardiol. 2016;69(1):69.e1-e49
Complicaciones
neurologicas
79
Al examen físico
Hallazgos imagenológicos
Complicaciones
neurologicas
Las complicaciones neurológicas de la endocarditis infecciosa (EI) son
frecuentes habiéndose descrito su aparición hasta en el 20-40% de
casos. Con frecuencia son la manifestación inicial de la enfermedad
80
Novy E, Sonneville R, et al. Neurological complications of infective endocarditis: New breakthroughs in
diagnosis and management. Med Mal Infect 2016;43;443-450.
Complicaciones
neurologicas
Somnolencia, confusión, cefalea, convulsion, focalización (hemparesia,
afasia, diplopía, alteración de campos visuales)
81
Maisterra Olga. Complicaciones nuerologicas de la endocaritis infecciones al inicio del nuevo siglo:
Importancia del neurólogo en si atejcion integral. Tesis docoral. Uviversiada de Barcelona. España 2016
Imagenes
82
12/09/18
▹ 12/09/18
11/10/18
CLASIFICACIÒN
 Complicaciones embolicas cerebrales o ictus isquémicos (40-
50%)
 Complicaciones vasculares o hemorragicas o hemorragias
cerebrales (3-5%)
 Complicaciones no embolicas y no vasculares o infecciosa (1-
4%)
S. Aureus 43%
83
Maisterra Olga. Complicaciones neurológicas de la endocarditis infecciones al inicio del nuevo siglo: Importancia del
neurólogo en su atención integral. Tesis doctoral. Universidad de Barcelona. España 2016
Complicaciones embolicas
cerebrales o ictus isquémico
▹ 2-40 %
▹ ACM
▹ Focalización neurológica: hemiparesia, afasia,
diplopía, alteración de campos visuales, afectación de
nervios craneales, convulsión
▹ 30-40% asintomáticos
▹ Peor pronostico y mayor mortalidad
84
Maisterra Olga. Complicaciones neurológicas de la endocarditis infecciones al inicio del nuevo siglo: Importancia del
neurólogo en su atención integral. Tesis doctoral. Universidad de Barcelona. España 2016
Complicaciones embolicas
cerebrales o ictus isquémico
▹ Presentación
▸ Ictus establecido
▸ AIT
▸ Infartos cerebrales
múltiples
▹ Riesgo de embolización de la EI
▹ Estudios de elección RM sobre
TC
85
Maisterra Olga. Complicaciones neurológicas de la endocarditis infecciones al inicio del nuevo siglo: Importancia del
neurólogo en su atención integral. Tesis doctoral. Universidad de Barcelona. España 2016
Complicaciones embolicas
cerebrales o ictus isquémico
▹ Antibioticoterapia vs Antiagregación
86
Guía ESC 2015 sobre el tratamiento de la endocarditis infecciosa. Rev Esp Cardiol. 2016;69(1):69.e1-e49
Maisterra Olga. Complicaciones neurológicas de la endocarditis infecciones al inicio del nuevo siglo: Importancia del
neurólogo en su atención integral. Tesis doctoral. Universidad de Barcelona. España 2016
CLASIFICACIÒN
 Complicaciones embolicas cerebrales o ictus isquémicos
 Complicaciones vasculares o hemorrágicas o hemorragias
cerebrales
 Complicaciones no embolicas y no vasculares o infecciosa
87
Maisterra Olga. Complicaciones neurológicas de la endocarditis infecciones al inicio del nuevo siglo: Importancia del
neurólogo en su atención integral. Tesis doctoral. Universidad de Barcelona. España 2016
Complicaciones vasculares o hemorrágicas
o hemorragias cerebrales
▹ 4,5 a 31,5 %
▹ Múltiples de localización cortical
▹ Mayor tamaño en HTA
▹ Etiologías
▸ H. primarias: arteritis necrótica o erosión (S. aureus, HACEK)
▸ Transformación hemorrágica: 1/3, anticoagulación
▸ Rotura aneurisma micótico; mortalidad 60 %
▹ Presentación clínica similar a ictus pero con mayor cefalea y
sonmolencia
88
Maisterra Olga. Complicaciones neurológicas de la endocarditis infecciones al inicio del nuevo siglo: Importancia del
neurólogo en su atención integral. Tesis doctoral. Universidad de Barcelona. España 2016
Complicaciones vasculares o hemorrágicas
o hemorragias cerebrales
89
Maisterra Olga. Complicaciones neurológicas de la endocarditis infecciones al inicio del nuevo siglo: Importancia del
neurólogo en su atención integral. Tesis doctoral. Universidad de Barcelona. España 2016
90
Guía ESC 2015 sobre el tratamiento de la endocarditis infecciosa. Rev Esp Cardiol. 2016;69(1):69.e1-e49
CLASIFICACIÒN
 Complicaciones embolicas cerebrales o ictus isquémicos
 Complicaciones vasculares o hemorragicas o hemorragias
cerebrales
 Complicaciones no embolicas y no vasculares o infecciosa
91
Maisterra Olga. Complicaciones neurológicas de la endocarditis infecciones al inicio del nuevo siglo: Importancia del
neurólogo en su atención integral. Tesis doctoral. Universidad de Barcelona. España 2016
Complicaciones no embolicas y no
vasculares o infecciosa
▹ Encefalopatía y encefalitis (6%)
▹ Meningitis(7%)
▹ Absceso espinal epidural(2%)
▹ Absceso cerebral (2%)
92
Novy E, Sonneville R, et al. Neurological complications of infective endocarditis: New breakthroughs in diagnosis and
management. Med Mal Infect 2016;43;443-450.
Complicaciones no embolicas y no
vasculares o infecciosa
Encefalopatía y encefalitis
 La clínica es de síndrome confusional, somnolencia,
fluctuaciones del nivel de conciencia y delirios
 Sepsis, alteraciones hidroelectrolíticas
 Relacionado con meningoencefalitis (sin hallazgos
significativos en TC o RM) o lesiones isquémicas en caso
embolismos sépticos
93
Novy E, Sonneville R, et al. Neurological complications of infective endocarditis: New breakthroughs in diagnosis and
management. Med Mal Infect 2016;43;443-450.
Complicaciones no embolicas y no
vasculares o infecciosa
Meningitis y meningoencefalitis
▹ (2-20%)
▹ S. aureuss o enterococos
▹ Reaccion inflamarotia LCR
▹ Cursa como Sx meníngeo
▹ Triada de Osler: meningitis, neumonía y endocarditis
(meningitis neumocócica)
94
Novy E, Sonneville R, et al. Neurological complications of infective endocarditis: New breakthroughs in diagnosis and
management. Med Mal Infect 2016;43;443-450.
Sonneville R, Mirabel, et al. Neurologic complications and outcomes of infective endocarditis in critically III patients: the
endocardite en eanimation prospective multicenter study. Crit Care Med. 2011
Complicaciones no embolicas y no
vasculares o infecciosa
Absceso espinal epidural
 2%
 Consecuencia espondilodiscitis
 Dolor e impotencia funcional y/o
paresia de extremidades inferiores,
alteración de la sensibilidad
 RM columna
95
Maisterra Olga. Complicaciones neurológicas de la endocarditis infecciones al inicio del nuevo siglo: Importancia del
neurólogo en su atención integral. Tesis doctoral. Universidad de Barcelona. España 2016
Complicaciones no embolicas y no
vasculares o infecciosa
Absceso Cerebral
 2-13%
 Pacientes graves
 S. aureus
 Cefalea 75%
 Fiebre aparece en 50%
 Focalización 60%
96
Maisterra Olga. Complicaciones neurológicas de la endocarditis infecciones al inicio del nuevo siglo: Importancia del
neurólogo en su atención integral. Tesis doctoral. Universidad de Barcelona. España 2016
Complicaciones no embolicas y no
vasculares o infecciosa
Absceso Cerebral
 Fronto-temporal, Fronto-parietal, Cerebelar, Occipital
 LCR y TC poca utlidad
 RM con gadolinio o la RM con angiografía
 Lesiones redondeadas con un anillo que capta contraste
entre la unión se sustancia gris y blanca
 Únicos o múltiples genera edema perilesional y efecto de
masa
97
Maisterra Olga. Complicaciones neurológicas de la endocarditis infecciones al inicio del nuevo siglo: Importancia del
neurólogo en su atención integral. Tesis doctoral. Universidad de Barcelona. España 2016
98
Molina de Dios Guillermo Antonio. Absceso cerebral Rev Mex Neuroci 2015; 11(1): 63-70
Maisterra Olga. Complicaciones neurológicas de la endocarditis infecciones al inicio del nuevo siglo: Importancia del neurólogo en su
atención integral. Tesis doctoral. Universidad de Barcelona. España 2016
99
FISIOPATOLOGIA
Molina de Dios Guillermo Antonio. Absceso cerebral Rev Mex Neuroci 2015; 11(1): 63-70
100
Pegar tc
La TC tiene sensibilidad de 95 a 99%, pero con una especificidad sólo de 80 a 85%, la cual disminuye a
65% en fases tempranas del absceso
Molina de Dios Guillermo Antonio. Absceso cerebral Rev Mex Neuroci 2015; 11(1): 63-70
101
Vargas R, Ledmar J. Absceso cerebral: diagnóstico, manejo, complicaciones y pronósticoRev. Chil. Neurocirugía 44: 60-68, 2018
102
Molina de Dios Guillermo Antonio. Absceso cerebral Rev Mex Neuroci 2015; 11(1): 63-70
103
Vargas R, Ledmar J. Absceso cerebral: diagnóstico, manejo, complicaciones y pronósticoRev. Chil. Neurocirugía 44: 60-68, 2018
”
1.Endocarditis infecciosa subaguda de
valvula nativa mitral (CIE10: I33)
complicada con:
1.1 Insuficiencia mitral severa secundaria a
1.1.1 Perforacion de valva posterolateral
(CIE10: I33.0)
1.2 Infección del SNC: Abscesos cerebrales
múltiples (CIE10: G06.0 )
104
”
Quotations are commonly printed as
a means of inspiration and to invoke
philosophical thoughts from the
reader.
105

Caso clínico Endocarditis

  • 1.
    CASO CLINICO RADIOLÒGICO Universidad CentroocidentalLisandro Alvarado Hospital Central Universitario Dr. Antonio María Pineda Postgrado de Medicina Interna Dr. Endher Castillo Dra. Rubenna Giménez Mayo 2019
  • 2.
    Motivo de consulta:Fiebre, astenia, agitación psicomotriz Nombre y Apellidos: NCGR Edad: 38 años Género: Femenino Fecha y lugar de nacimiento: 16/02/1.981 Humocaro bajo. Edo. Lara Procedencia: Humocaro bajo. Municipio Moran. Parroquia Humocaro bajo Fecha de ingreso: 12/09/2018 Feche de Egreso: 26/10/18
  • 3.
    03/08/18 fiebre no cuantificada39ª, atenuada con el acetaminofén 500 mgr, concomitante cefalea TIPO hemicraneana derecha, intensa (8/10 según EVA), opresiva, irradiado a orbita derecha 15/08/18 cuando en horas matutina asocia desorientación temporo- espacial ceftriaxone 1gr EV cada 12 horas), ORL indican Amoxacilina/Ac clavulánico 875/125 mg cada 12 horas, sulfato de kanamicina 3 gotas en cada fosa nasal OD, Budesonida 2 gotas en cada fosa nasal 12 horas Es egresada el día 24/08/18 26/08/18 fiebre precedida de escalofríos, además se asocia astenia 09/09/18 presentó agitacion psicomotriz 11/09/18 otorrinolaringólogo Refiere al internista
  • 4.
    ANTECEDENTES PERSONALES PATOLÒGICOS ▹ Asmadiagnosticada en la infancia con fecha de última crisis a los 5 años de edad ▹ Rinosinusitis crónica diagnosticada en la adolescencia actualmente sin tratamiento ▹ Hipotiroidismo diagnosticada en 2010 en tratamiento con Levotiroxina de 50 mcgr abandonado 1 mes previo a su ingreso ▹ Intervención quirúrgica: cesárea segmentarias 2010 y 2011 sin complicaciones. Esterilización quirúrgica 2011 ▹ Discopatía no precisa a que nivel diagnosticada en el 2011 ▹ Amigdalitis pultácea a repetición desde la infancia. ▹ Litiasis renal diagnosticada en 2018 ▹ Niega fracturas, transfusiones, alergia a medicamentos. 4
  • 5.
    HABITOS PSICOBILÒGICOS ▹ HábitoAlcohólico: eventual desde hace 7 años hasta la actualidad sin llegar a la embriaguez ▹ Hábito Tabáquico, chimoico y drogas ilícitas : niega. ▹ Hábito cafeico: menos de 250 gr al día desde la infancia ▹ Hábito Onírico: 8 horas nocturnas, reparador, espontáneo, sin siestas ▹ Miccional: 1 vez al día orinas. 2 veces en la noche con las mismas características ▹ Evacuatorio: heces marrón formadas fétidas, sin moco, ni sangre 3 veces al día ▹ Ocupación: Docente ▹ Grado de Instrucción: Universitario 5
  • 6.
    ANTECEDENTES GINOCOLÒGICOS ▹ Menarquia: 10años, Primera relación sexual: 16 años # pareja sexuales: 3, ciclo menstrual regular 5/21 eumenorreica, última citología diciembre 2017 no documentada, uso de anticonceptivos orales durante 4 años hasta 2006 (no precisa cuales) FUR: 10/09/18. Gesta: III. Para: I. Aborto: 0. Cesárea: II, Refiere embarazo controlado sin complicaciones 6
  • 7.
    ANTECEDENTES FAMILIARES ▹ Abuela materna:fallecida, desconoce causa. ▹ Abuelo materno: fallecido, desconoce causa ▹ Abuela paterna: fallecida a los 83 años accidente de carro ▹ Abuelo paterno fallecido a los 70 años Evento cerebrovascular ▹ Madre: viva, aparentemente sana ▹ Padre: fallecido a los 52 años por Cardiopatía isquémica. ▹ Hermanos: 4, vivos y aparentemente sanos. ▹ Hijos: 3, vivos, aparentemente sanos. 7
  • 8.
    DATOS EPIDEMILOGICOS ▹ Habitaen vivienda urbana paredes de bloque, piso cemento pulido, techo acerolic, 3 habitaciones, viven 4 personas, cuenta con baño intradomiciliario, servicios básicos agua, luz, aseo, disposición de excretas aguas negras y aguas blancas por tuberías, no tiene animales domésticos, refiere roedores tipo ratones, insectos cucarachas. ▹ Negó contacto con enfermedades infectocontagiosa ▹ Negó inmunizaciones del adulto 8
  • 9.
    EXAMEN FUNCIONAL POR APARATOSY SISTEMAS ▹ General: refiere, pérdida de peso 5 kg en 2 meses asociada a hiporexia desde hace 2 meses, refiere diaforesis profusa desde hace 1 mes. ▹ Piel y Faneras: refiere palidez cutáneo-mucosa desde hace 1 mes sin desencadenantes ▹ Cabeza: cefalea descrita en enfermedad actual ▹ Ojos: refirió fotofobia, visión borrosa, niega enrojecimiento secreciones, hemorragia conjuntival. ▹ Oídos: refirió otalgia derecha eventual desde 1 mes previo a su ingreso, niega tinnitus, otorrea, otorragia. 9
  • 10.
    EXAMEN FUNCIONAL POR APARATOSY SISTEMAS ▹ Boca y Garganta: refirió odinofagia, disfagia 2 meses previo a su ingreso, refirió halitosis en 1 oportunidad el día del ingreso, niega gingivorragia lesión en lengua, disfonía ▹ Respiratorio: tos seca no productiva, sin predominio horario, 2 meses previos a su ingreso, niega hemoptisis, cianosis, dolor torácico ▹ Cardiovascular: refirió Palpitación el día del ingreso y disnea a leves esfuerzos atenuada con el reposo 2 semana previa al ingreso, negó dolor precordial, sincope y edema ▹ Gastrointestinal: refirió hiporexia desde hace 2 10
  • 11.
    Examen fisico ▹ PA:100/60 mmHg (decúbito dorsal, brazo derecho), 100/62 mmHg (sedente) FC: 113 lpm LPM: 113 lpm FR: 19 lpm. Sat O2: 98% TEMP: 37 °C ▹ Somatometría: Peso: 48 kg Talla 1,50 mts. IMC: 21,3 kg/mts2. 11
  • 12.
  • 13.
  • 14.
  • 15.
  • 16.
    UROANALISIS (13/10/2018) ▹ Asp: turbia.Color: amarilla. Reacción: acida. Ph: 6. Densidad: 1025. Albumina: NEG. Gluc NEG. Pig Biliares: NEG. Hemogl; NEG. Acetona: NEG. Sales Biliares: NEG. Urob: NEG. Nitritos: NEG. Células Epiteliales planas: 1-3 xc. Bacterias: escasa. Leucocitos de 4-6 XC. Uratos amorfos abundantes (17/10/2018) ▹ Asp: turbia. Color: amarilla. Reacción: acida. Ph: 6. Densidad: 1015. Albumina: trazas. Gluc NEG. Pig Biliares: NEG. Hemogl; NEG. Acetona: NEG. Sales Biliares: NEG. Urob: NEG. Nitritos: NEG. Células Epiteliales planas: escasas. Bacterias: moderada. Leucocitos de 5-10 XC. Oxalato de calcio moderada cantidad. 16
  • 17.
    FROTIS DE SANGRE PERIFERICA (20/09/18): ▹SERIE BLANCA: maduración normal. leucocitosi. Neutrofilia. Se observa linfocitos activados ▹ SERIE ROJA: hipocromía(+), microcitos (+) Policromatofilia (+) ▹ PLAQUETAS: morfología y cuantitativamente normal (25/10/18): ▹ SERIE BLANCA: maduración normal. Neutrofília. Se observa linfocitos activados ▹ SERIE ROJA: hipocromía(+), microcitos (+) Poiquilocitosis (+) células en lagrima ▹ PLAQUETAS: morfología y cuantitativamente normal 17
  • 18.
    HEMOCULTIVO 26/09/18 ▹ SINCRECIMIENTO BACTERIANO 18
  • 19.
    Liquido cefalorraquídeo (17/10/18) Citoquimico Vol: 3,5cc Color:Incoloro Aspecto: Limpio Coágulos: ausentes Glucosa:55 Proteínas: 26,22 Pandy: negativo Nonne Apelt: negativo Contaje celular: 5 cel/mm3 Hematíes: 10 cel/mm3. Gram: No se observaron bacterias KOH Y TINTA CHINA: negativo Citomorfológico Acelular, fondo limpio 19
  • 20.
  • 21.
  • 22.
  • 23.
    25/09/2018 23 MASA INTRACARDIACA OSCILANTES, 2IMÁGENES PEDICULADAS HIPERCOICA UNA ALARGADA DE 9X 7 EN PUNTO DE UNION ENTRE EL ANILLO Y LA VALVA POSTEROLATERAL Y OTRA REDONDEADA ADHERRIDA A LA VALVA 7X7 MM AMBAS CON MOVIMIENTOS AUTONOMICOS
  • 24.
  • 25.
  • 26.
  • 27.
    Fiebre 1 mes deevolución 27
  • 28.
    28 Abcesos piógenos, algunas infeccionesbacterianas por bacilos Gram negativos, infecciones urinarias y la tuberculosis diseminada, endocarditis infecciosa. Fiebre intermitente o cotidiana: Llamada antiguamente hectica: (de tísico o consumido), caracterizada por fiebre elevada interrumpida por descenso de la temperatura a cifras normales, con variaciones mayores de 1 grado, llegando a ciertas horas del día a valores normales o aún subnormales Parodl, Mario D, LOS GRANDES SINDROMES, Editorial DISINLIMED. C.A. Caracas 1989
  • 29.
    29 Infecciones virales agudasdel tracto respiratorio, en la bronquitis aguda, endocarditis bacteriana y paludismo, producido por Plasmodium falciparum. Fiebre remitente Son oscilaciones diarias de la temperatura mayor de 1 grado, pero siempre por arriba de lo norma Parodl, Mario D, LOS GRANDES SINDROMES, Editorial DISINLIMED. C.A. Caracas 1989
  • 30.
    30 Neumonía, fiebre tifoidea, infeccionesfaríngeas por streptococos del grupo A, celulitis, rickettsiosis, meningitis y brucelosis Fiebre continua Se caracteriza por elevación de la temperatura con oscilaciones menores de un grado Parodl, Mario D, LOS GRANDES SINDROMES, Editorial DISINLIMED. C.A. Caracas 1989
  • 31.
    31 Se observa enlos linfomas, sobre todo en el Hodgkin, leucemias encefalitis y en la meningitis Fiebre recurrente: La fiebre recurrente o recidivante está caracterizada por períodos de fiebre prolongada, ya sea del tipo remitente, intermitente o sostenida, alternando con períodos de apirexia Parodl, Mario D, LOS GRANDES SINDROMES, Editorial DISINLIMED. C.A. Caracas 1989
  • 32.
    1. Sindrome febril polongado 1.Fiebre >38.3°C(101°F) al menos en dos ocasiones. 2. Duración ≥3 semanas de la enfermedad. 3. Sin compromiso inmunitario conocido. 4. Diagnostico que permanece incierto después de la anamnesis minuciosa, exploracion física y las siguientes pruebas obligadas 32 Medicina Interna Harrison 19a Ed. Vol. 1
  • 33.
    CLASIFICACIÒN ▹ Infecciones (30-40%) ▹Neoplasias (15-20%) ▹ Colagenopatías o cuadros autoinmunes (10-20%) ▹ Misceláneas (10%) 33 Las infecciones más comunes son la tuberculosis, endocarditis infecciosa, abscesos, salmonelosis, brucelosis, parasitosis, micosis profundas, entre otras
  • 34.
  • 35.
  • 36.
  • 37.
  • 38.
  • 39.
  • 40.
  • 41.
  • 42.
    42 Real, Raúl. Fridman,Valeria. CLINICAL MANAGEMENT OF ADULTS WITH PROLONGED FEVER. Rev Med La Paz, 22(2); Julio - Diciembre 2016
  • 43.
    43 Real, Raúl. Fridman,Valeria. CLINICAL MANAGEMENT OF ADULTS WITH PROLONGED FEVER. Rev Med La Paz, 22(2); Julio - Diciembre 2016
  • 44.
    2. Esfera Cardiovascular Al examen fisico:ápex no visible, palpable en 4to espacio intercostal en línea medioclavicular, carácter normal, área 2cm, ruidos cardiacos rítmicos, taquicárdicos, R1 único disminuido en intensidad, con soplo Holosistólico mitral grado II/IV irradiado a foco aórtico, tricuspideo, pulmonar y región axilar, R2 único, diástole silente, no se ausculta R3 ni R4 44 Al examen funcional: refirió palpitaciones el día del ingreso y disnea a leves esfuerzos atenuada con el reposo 2 semanas previa al ingreso Ecocardiograma
  • 45.
    Endocarditis Infecciosa La endocarditis infecciosa(EI) es una infección del endocardio predominantemente valvular, secundaria a la colonización por vía hematógena de microorganismos como bacterias, clamidias, rikettsias, micoplasmas, hongos o virus 45 Guía ESC 2015 sobre el tratamiento de la endocarditis infecciosa. Rev Esp Cardiol. 2016;69(1):69.e1-e49
  • 46.
    Epidemiologìa Son estos losfactores predisponentes que han tomado relevancia en la actualidad: válvulas protésicas, esclerosis degenerativa, uso de drogas IV, mayor uso de procedimientos invasivos 46 Se observa en 3-10 casos cada 100.000 personas/ año y asciende a 14,5 episodios cada 100.000 personas/año en mayores de 70. En todas las series, la proporción varones: mujeres es 2:1 La mortalidad en los distintos países varía entre 15 y 35%, y la descripta en nuestro país por el estudio EIRA fue del 23,5% Guía ESC 2015 sobre el tratamiento de la endocarditis infecciosa. Rev Esp Cardiol. 2016;69(1):69.e1-e49
  • 47.
    Epidemiologia 47 • Corazones sinlesiones endocárdicas previas (20 a 25%) •Con lesión cardíaca subyacente previa e históricamente en un 30% de los casos corresponde a valvulopatía reumática. •El prolapso de la válvula mitral, sobre todo cuando se asocia a insuficiencia mitral más significativa, ocupa el 20 a 29%. •Cardiopatías congénitas, las enfermedades valvulares degenerativas, la presencia de prótesis valvulares (biológicas o mecánicas) y la miocardiopatía hipertrófica obstructiva. •Asimismo puede desarrollarse EI en válvulas estructuralmente normales Lalani T, Cabell CH, and Col. Analysis of the impact of early surgery on in-hospital mortality of native valve endocarditis: use of propensity score and instrumental variable methods to adjust for treatment-selection bias. CIRCULATION AHA. 109.864488. Epub 2010 Feb 16.
  • 48.
  • 49.
  • 50.
    CLASIFICACIÒN 50 Consenso de endocarditisinfecciosa REVISTA ARGENTINA DE CARDIOLOGÍA / VOL 84 SUPLEMENTO / OCTUBRE 2016
  • 51.
    CLASIFICACIÒN 51 Consenso de endocarditisinfecciosa REVISTA ARGENTINA DE CARDIOLOGÍA / VOL 84 SUPLEMENTO / OCTUBRE 2016
  • 52.
    CLASIFICACIÒN 52 Consenso de endocarditisinfecciosa REVISTA ARGENTINA DE CARDIOLOGÍA / VOL 84 SUPLEMENTO / OCTUBRE 2016
  • 53.
    CLASIFICACIÒN 53 Consenso de endocarditisinfecciosa REVISTA ARGENTINA DE CARDIOLOGÍA / VOL 84 SUPLEMENTO / OCTUBRE 2016
  • 54.
    DIAGNOSTICO CLINICO 54 Consenso deendocarditis infecciosa REVISTA ARGENTINA DE CARDIOLOGÍA / VOL 84 SUPLEMENTO / OCTUBRE 2016
  • 55.
    DIAGNOSTICOS IMAGENOLOGICOS ECOCARDIOGRAFIA 55 La sensibilidad dela ETT para el diagnostico de vegetaciones en valvulas nativas y protesicas es del 70 y el 50% respectivamente, y la de la ETE, del 96 y el 92%. La especificidad descrita tanto de la ETT como de la ETE se encuentra en torno al 90%. Guía ESC 2015 sobre el tratamiento de la endocarditis infecciosa. Rev Esp Cardiol. 2016;69(1):69.e1-e49
  • 56.
    DIAGNOSTICO MICROBIOLOGICO 56 Hemocultivo positivo Hemocultivo negativo Se debe tomaral menos tres muestras de sangre a intervalos de 30 min, cada una de 10 ml de volumen, que hay que incubar en atmosferas aerobicas y anaerobicas La EI con hemocultivo negativon puede ocurrir en hasta un 31% de todos los casos de EI y a menudo plantea un numero considerable de dilemas diagnosticos y terapeuticos Guía ESC 2015 sobre el tratamiento de la endocarditis infecciosa. Rev Esp Cardiol. 2016;69(1):69.e1-e49
  • 57.
    57 Guía ESC 2015sobre el tratamiento de la endocarditis infecciosa. Rev Esp Cardiol. 2016;69(1):69.e1-e49
  • 58.
    58 Guía ESC 2015sobre el tratamiento de la endocarditis infecciosa. Rev Esp Cardiol. 2016;69(1):69.e1-e49
  • 59.
    59 Guía ESC 2015sobre el tratamiento de la endocarditis infecciosa. Rev Esp Cardiol. 2016;69(1):69.e1-e49
  • 60.
    60 Guía ESC 2015sobre el tratamiento de la endocarditis infecciosa. Rev Esp Cardiol. 2016;69(1):69.e1-e49
  • 61.
    61 Guía ESC 2015sobre el tratamiento de la endocarditis infecciosa. Rev Esp Cardiol. 2016;69(1):69.e1-e49
  • 62.
    62 Guía ESC 2015sobre el tratamiento de la endocarditis infecciosa. Rev Esp Cardiol. 2016;69(1):69.e1-e49
  • 63.
    63 Guía ESC 2015sobre el tratamiento de la endocarditis infecciosa. Rev Esp Cardiol. 2016;69(1):69.e1-e49
  • 64.
    64 Guía ESC 2015sobre el tratamiento de la endocarditis infecciosa. Rev Esp Cardiol. 2016;69(1):69.e1-e49
  • 65.
  • 66.
    COMPLICACIONES DE LA ENDOCARDITISINFECCIOSA Cardiacas ▹ Insuficiencia valvular ▹ Abscesos miocárdicos ▹ Trastorno de la conducción ▹ Fistulas ▹ Pericarditis y Miocarditis ▹ Oclusión coronaria ▹ SCA Extracardiacas No embolicas ▹ Osteomusculares ▹ Insuficiencia renal ▹ Complicaciones neurológicas infecciosas Embólicas ▹ Complicaciones esplénicas ▹ Embolismo cerebrales 66
  • 67.
    COMPLICACIONES DE LA ENDOCARDITISINFECCIOSA Cardacas Consecuencia de la extensión local de la infección, suelen estar aisladas aunque es común que se asocien. 67 Guía ESC 2015 sobre el tratamiento de la endocarditis infecciosa. Rev Esp Cardiol. 2016;69(1):69.e1-e49
  • 68.
    68 Guía ESC 2015sobre el tratamiento de la endocarditis infecciosa. Rev Esp Cardiol. 2016;69(1):69.e1-e49
  • 69.
    69 Guía ESC 2015sobre el tratamiento de la endocarditis infecciosa. Rev Esp Cardiol. 2016;69(1):69.e1-e49
  • 70.
    COMPLICACIONES DE LA ENDOCARDITISINFECCIOSA Cardíacas: Miocarditis o Pericarditis  Abscesos o reacción inmunitaria.  Resp inflamatoria, IC, complicaciones perianulares o la propia infección.  Rotura de seudoaneurismas o fistulas puede comunicarse con el pericardio 70 Guía ESC 2015 sobre el tratamiento de la endocarditis infecciosa. Rev Esp Cardiol. 2016;69(1):69.e1-e49
  • 71.
    COMPLICACIONES DE LA ENDOCARDITISINFECCIOSA Cardíacas: Trastornos de la conducción  1 y el 15%.  Propagación de la infección mas allá de endocardio. ▹ Bloqueos AV de 1ro, 2do y 3er grado y bloqueos de rama (raramente). ▹ FA en ancianos (riesgo embólico) 71 Guía ESC 2015 sobre el tratamiento de la endocarditis infecciosa. Rev Esp Cardiol. 2016;69(1):69.e1-e49
  • 72.
    COMPLICACIONES DE LA ENDOCARDITISINFECCIOSA Cardiacas: Oclusión Coronaria  Embolismo procedente de vegetación  Oclusión del ostium  Compresión de arteria coronaria  SCA 72 Habid G, Badano L. European Asociation of Echocardiography. Recommendations for the practice of echocardiography in infective endocarditis. Eur J Echocardiogr. 2010
  • 73.
    COMPLICACIONES DE LA ENDOCARDITISINFECCIOSA Cardiacas ▹ Insuficiencia valvular ▹ Abscesos miocárdicos ▹ Trastorno de la conducción ▹ Fistulas ▹ Pericarditis y Miocarditis ▹ Oclusión coronaria ▹ SCA Extracardiacas No Embólicas ▹ Osteomusculares ▹ Insuficiencia renal ▹ Complicaciones neurológicas infecciosas Embólicas ▹ Complicaciones esplénicas ▹ Embolismo cerebrales 73
  • 74.
    COMPLICACIONES DE LA ENDOCARDITISINFECCIOSA Extracardíacas Embólicas: ▹ Tamaño > 10, 15, 30mm (Embolismo cerebral) y movilidad. ▹ 1ros días de iniciar el tratamiento antibiótico, reduce a las 2 semanas. ▹ Microorganismo causal S.aureus, S. bovis y Candida spp ▹ Embolismos previos ▹ Troponina I, BNP y PCR ▹ Daño de la válvula mitral 74 Guía ESC 2015 sobre el tratamiento de la endocarditis infecciosa. Rev Esp Cardiol. 2016;69(1):69.e1-e49 Novy E, Sonneville R, et al. Neurological complications of infective endocarditis: New breakthroughs in diagnosis and management. Med Mal Infect 2016;43;443-450.
  • 75.
    COMPLICACIONES DE LA ENDOCARDITISINFECCIOSA Extracardíacas No Embólicas: Insuficiencia renal ▹ 6-30% ▹ Hemodiálisis ▸ Glomerulonefrítis vasculítica y por inmunocomplejos ▸ Infarto renal ▸ Hemodinámico ▸ Toxicidad antibiótica ▸ Contraste 75 Guía ESC 2015 sobre el tratamiento de la endocarditis infecciosa. Rev Esp Cardiol. 2016;69(1):69.e1-e49
  • 76.
    COMPLICACIONES DE LA ENDOCARDITISINFECCIOSA Extracardíacas Embólicas:  20-50 %  6-21 % tras el inicio del tratamiento 76 Domínguez-Borgúa A, Jiménez-Sánchez JA, Izaguirre VF, Palacios-Campos VA y col. Evento vascular isquémico secundario a endocarditis infecciosa. Med Int Méx 2015;31:203-209.
  • 77.
    COMPLICACIONES DE LA ENDOCARDITISINFECCIOSA Extracardíacas Embólicas: Esplénicas ▹ Infartos esplénicos frecuentes y asintomáticos. (émbolos esplénicos son comunes) ▹ La fiebre persistente o recurrente, dolor abdominal y la bacteriemia indican abscesos esplénicos(raros) o rotura 77 Guía ESC 2015 sobre el tratamiento de la endocarditis infecciosa. Rev Esp Cardiol. 2016;69(1):69.e1-e49
  • 78.
    COMPLICACIONES DE LA ENDOCARDITISINFECCIOSA Extracardíacas No Embolicas: Osteomusculares ▹ Artralgia 10% ▹ Mialgia 12-15% ▹ Dolor de espalda 13% ▹ Espondilodiscitis ▹ Osteomielitis vertebral piógena ocurre en un 4,6-19% ▹ Sacroileítis 1% 78 Guía ESC 2015 sobre el tratamiento de la endocarditis infecciosa. Rev Esp Cardiol. 2016;69(1):69.e1-e49
  • 79.
  • 80.
    Complicaciones neurologicas Las complicaciones neurológicasde la endocarditis infecciosa (EI) son frecuentes habiéndose descrito su aparición hasta en el 20-40% de casos. Con frecuencia son la manifestación inicial de la enfermedad 80 Novy E, Sonneville R, et al. Neurological complications of infective endocarditis: New breakthroughs in diagnosis and management. Med Mal Infect 2016;43;443-450.
  • 81.
    Complicaciones neurologicas Somnolencia, confusión, cefalea,convulsion, focalización (hemparesia, afasia, diplopía, alteración de campos visuales) 81 Maisterra Olga. Complicaciones nuerologicas de la endocaritis infecciones al inicio del nuevo siglo: Importancia del neurólogo en si atejcion integral. Tesis docoral. Uviversiada de Barcelona. España 2016
  • 82.
  • 83.
    CLASIFICACIÒN  Complicaciones embolicascerebrales o ictus isquémicos (40- 50%)  Complicaciones vasculares o hemorragicas o hemorragias cerebrales (3-5%)  Complicaciones no embolicas y no vasculares o infecciosa (1- 4%) S. Aureus 43% 83 Maisterra Olga. Complicaciones neurológicas de la endocarditis infecciones al inicio del nuevo siglo: Importancia del neurólogo en su atención integral. Tesis doctoral. Universidad de Barcelona. España 2016
  • 84.
    Complicaciones embolicas cerebrales oictus isquémico ▹ 2-40 % ▹ ACM ▹ Focalización neurológica: hemiparesia, afasia, diplopía, alteración de campos visuales, afectación de nervios craneales, convulsión ▹ 30-40% asintomáticos ▹ Peor pronostico y mayor mortalidad 84 Maisterra Olga. Complicaciones neurológicas de la endocarditis infecciones al inicio del nuevo siglo: Importancia del neurólogo en su atención integral. Tesis doctoral. Universidad de Barcelona. España 2016
  • 85.
    Complicaciones embolicas cerebrales oictus isquémico ▹ Presentación ▸ Ictus establecido ▸ AIT ▸ Infartos cerebrales múltiples ▹ Riesgo de embolización de la EI ▹ Estudios de elección RM sobre TC 85 Maisterra Olga. Complicaciones neurológicas de la endocarditis infecciones al inicio del nuevo siglo: Importancia del neurólogo en su atención integral. Tesis doctoral. Universidad de Barcelona. España 2016
  • 86.
    Complicaciones embolicas cerebrales oictus isquémico ▹ Antibioticoterapia vs Antiagregación 86 Guía ESC 2015 sobre el tratamiento de la endocarditis infecciosa. Rev Esp Cardiol. 2016;69(1):69.e1-e49 Maisterra Olga. Complicaciones neurológicas de la endocarditis infecciones al inicio del nuevo siglo: Importancia del neurólogo en su atención integral. Tesis doctoral. Universidad de Barcelona. España 2016
  • 87.
    CLASIFICACIÒN  Complicaciones embolicascerebrales o ictus isquémicos  Complicaciones vasculares o hemorrágicas o hemorragias cerebrales  Complicaciones no embolicas y no vasculares o infecciosa 87 Maisterra Olga. Complicaciones neurológicas de la endocarditis infecciones al inicio del nuevo siglo: Importancia del neurólogo en su atención integral. Tesis doctoral. Universidad de Barcelona. España 2016
  • 88.
    Complicaciones vasculares ohemorrágicas o hemorragias cerebrales ▹ 4,5 a 31,5 % ▹ Múltiples de localización cortical ▹ Mayor tamaño en HTA ▹ Etiologías ▸ H. primarias: arteritis necrótica o erosión (S. aureus, HACEK) ▸ Transformación hemorrágica: 1/3, anticoagulación ▸ Rotura aneurisma micótico; mortalidad 60 % ▹ Presentación clínica similar a ictus pero con mayor cefalea y sonmolencia 88 Maisterra Olga. Complicaciones neurológicas de la endocarditis infecciones al inicio del nuevo siglo: Importancia del neurólogo en su atención integral. Tesis doctoral. Universidad de Barcelona. España 2016
  • 89.
    Complicaciones vasculares ohemorrágicas o hemorragias cerebrales 89 Maisterra Olga. Complicaciones neurológicas de la endocarditis infecciones al inicio del nuevo siglo: Importancia del neurólogo en su atención integral. Tesis doctoral. Universidad de Barcelona. España 2016
  • 90.
    90 Guía ESC 2015sobre el tratamiento de la endocarditis infecciosa. Rev Esp Cardiol. 2016;69(1):69.e1-e49
  • 91.
    CLASIFICACIÒN  Complicaciones embolicascerebrales o ictus isquémicos  Complicaciones vasculares o hemorragicas o hemorragias cerebrales  Complicaciones no embolicas y no vasculares o infecciosa 91 Maisterra Olga. Complicaciones neurológicas de la endocarditis infecciones al inicio del nuevo siglo: Importancia del neurólogo en su atención integral. Tesis doctoral. Universidad de Barcelona. España 2016
  • 92.
    Complicaciones no embolicasy no vasculares o infecciosa ▹ Encefalopatía y encefalitis (6%) ▹ Meningitis(7%) ▹ Absceso espinal epidural(2%) ▹ Absceso cerebral (2%) 92 Novy E, Sonneville R, et al. Neurological complications of infective endocarditis: New breakthroughs in diagnosis and management. Med Mal Infect 2016;43;443-450.
  • 93.
    Complicaciones no embolicasy no vasculares o infecciosa Encefalopatía y encefalitis  La clínica es de síndrome confusional, somnolencia, fluctuaciones del nivel de conciencia y delirios  Sepsis, alteraciones hidroelectrolíticas  Relacionado con meningoencefalitis (sin hallazgos significativos en TC o RM) o lesiones isquémicas en caso embolismos sépticos 93 Novy E, Sonneville R, et al. Neurological complications of infective endocarditis: New breakthroughs in diagnosis and management. Med Mal Infect 2016;43;443-450.
  • 94.
    Complicaciones no embolicasy no vasculares o infecciosa Meningitis y meningoencefalitis ▹ (2-20%) ▹ S. aureuss o enterococos ▹ Reaccion inflamarotia LCR ▹ Cursa como Sx meníngeo ▹ Triada de Osler: meningitis, neumonía y endocarditis (meningitis neumocócica) 94 Novy E, Sonneville R, et al. Neurological complications of infective endocarditis: New breakthroughs in diagnosis and management. Med Mal Infect 2016;43;443-450. Sonneville R, Mirabel, et al. Neurologic complications and outcomes of infective endocarditis in critically III patients: the endocardite en eanimation prospective multicenter study. Crit Care Med. 2011
  • 95.
    Complicaciones no embolicasy no vasculares o infecciosa Absceso espinal epidural  2%  Consecuencia espondilodiscitis  Dolor e impotencia funcional y/o paresia de extremidades inferiores, alteración de la sensibilidad  RM columna 95 Maisterra Olga. Complicaciones neurológicas de la endocarditis infecciones al inicio del nuevo siglo: Importancia del neurólogo en su atención integral. Tesis doctoral. Universidad de Barcelona. España 2016
  • 96.
    Complicaciones no embolicasy no vasculares o infecciosa Absceso Cerebral  2-13%  Pacientes graves  S. aureus  Cefalea 75%  Fiebre aparece en 50%  Focalización 60% 96 Maisterra Olga. Complicaciones neurológicas de la endocarditis infecciones al inicio del nuevo siglo: Importancia del neurólogo en su atención integral. Tesis doctoral. Universidad de Barcelona. España 2016
  • 97.
    Complicaciones no embolicasy no vasculares o infecciosa Absceso Cerebral  Fronto-temporal, Fronto-parietal, Cerebelar, Occipital  LCR y TC poca utlidad  RM con gadolinio o la RM con angiografía  Lesiones redondeadas con un anillo que capta contraste entre la unión se sustancia gris y blanca  Únicos o múltiples genera edema perilesional y efecto de masa 97 Maisterra Olga. Complicaciones neurológicas de la endocarditis infecciones al inicio del nuevo siglo: Importancia del neurólogo en su atención integral. Tesis doctoral. Universidad de Barcelona. España 2016
  • 98.
    98 Molina de DiosGuillermo Antonio. Absceso cerebral Rev Mex Neuroci 2015; 11(1): 63-70 Maisterra Olga. Complicaciones neurológicas de la endocarditis infecciones al inicio del nuevo siglo: Importancia del neurólogo en su atención integral. Tesis doctoral. Universidad de Barcelona. España 2016
  • 99.
    99 FISIOPATOLOGIA Molina de DiosGuillermo Antonio. Absceso cerebral Rev Mex Neuroci 2015; 11(1): 63-70
  • 100.
    100 Pegar tc La TCtiene sensibilidad de 95 a 99%, pero con una especificidad sólo de 80 a 85%, la cual disminuye a 65% en fases tempranas del absceso Molina de Dios Guillermo Antonio. Absceso cerebral Rev Mex Neuroci 2015; 11(1): 63-70
  • 101.
    101 Vargas R, LedmarJ. Absceso cerebral: diagnóstico, manejo, complicaciones y pronósticoRev. Chil. Neurocirugía 44: 60-68, 2018
  • 102.
    102 Molina de DiosGuillermo Antonio. Absceso cerebral Rev Mex Neuroci 2015; 11(1): 63-70
  • 103.
    103 Vargas R, LedmarJ. Absceso cerebral: diagnóstico, manejo, complicaciones y pronósticoRev. Chil. Neurocirugía 44: 60-68, 2018
  • 104.
    ” 1.Endocarditis infecciosa subagudade valvula nativa mitral (CIE10: I33) complicada con: 1.1 Insuficiencia mitral severa secundaria a 1.1.1 Perforacion de valva posterolateral (CIE10: I33.0) 1.2 Infección del SNC: Abscesos cerebrales múltiples (CIE10: G06.0 ) 104
  • 105.
    ” Quotations are commonlyprinted as a means of inspiration and to invoke philosophical thoughts from the reader. 105

Notas del editor

  • #12 Fondo de ojo: Ojo Derecho; disco óptico de bordes borrados mal definido no se aprecia excavación, emergencia central de los vasos dilatación venosa y hemorragias múltiples periretinianas puntillares perivasculares e intravasculares en los cuatro cuadrantes, ausencia de pulso vensoso Ojo Izquierdo; disco óptico de bordes borrados mal definidos no se aprecia excavación, emergencia central de los vasos dilatación hemorragia en anillo, difusa en macula y lesiones periretinianas puntillares perivasculares e intravasculares en los cuatro cuadrantes, ausencia de pulso vensoso Cardiovascular: ápex no visible, palpable en 4to espacio intercostal en línea medioclavicular, carácter normal, área 2cm, ruidos cardiacos rítmicos, taquicárdicos, R1 único disminuido en intensidad, con soplo Holosistólico mitral grado II/IV irradiado a foco aórtico, tricuspideo, pulmonar y región axilar, R2 único, diástole silente, no se ausculta R3 ni R4,
  • #24 MASA INTRACARDIACA OSCILANTES, 2 IMÁGENES PEDICULADAS HIPERCOICA UNA ALARGADA DE 9X 7 EN PUNTO DE UNION ENTRE EL ANILLO Y LA VALVA POSTEROLATERAL Y OTRA REDONDEADA ADHERRIDA A LA VALVA 7X7 MM AMBAS CON MOVIMIENTOS AUTONOMICOS
  • #33 harrinsonFiebre >38.3°C (101°F) al menos en dos ocasiones. 2. Duracion ≥3 semanas de la enfermedad. 3. Sin compromiso inmunitario conocido. 4. Diagnostico que permanece incierto despues de la anamnesis minuciosa, exploracion fisica y las siguientes pruebas obligadas
  • #42 Valoración estructurada de pacientes con FUO. ALT, alanina aminotransferasa; AST, aspartato aminotransferasa; CRP, proteina C reactiva; ESR, velocidad de eritrosedimentacion; FDG-PET/CT, tomografia por emision de positrones de 18F-fluorodesoxiglucosa combinada con tomografia computarizada de dosis baja; LDH, deshidrogenasa lactica; PDC, indicios con potencial diagnostico (todos los signos, sintomas y anormalidades localizados que pueden senalar a un diagnostico); NSAID, antinflamatorio no esteroideo
  • #49 Pero además del daño endotelial se requiere una bacteriemia, como ocurre en infecciones diversas; en la drogadicción IV; en los procedimientos invasivos odontológicos, genitourinarios, endovasculares, etc. En ocasiones, el simple hecho del cepillado de dientes provoca bacteriemia, aunque de bajo grado y de corta duración, pero con su elevada incidencia explica que muchos de los casos se relacionen con este origen
  • #69 Fistulas
  • #75 a) glomerulonefritis vasculitica y por inmunocomplejos; b) infarto renal, fundamentalmente debido a embolos septicos que pueden ocurrir en cualquier momento de la enfermedad; c) deterioro hemodinamico en casos de IC o sepsis grave o despues de cirugia cardiaca; d) toxicidad antibiotica (nefritis intersticial aguda), sobre todo relacionada con aminoglucosidos, vancomicina (toxicida sinérgica con aminoglucosidos) e incluso dosis altas de penicilina, y e) nefrotoxicidad de los agentes de contraste usados en las pruebas de imagen
  • #76 a) glomerulonefritis vasculitica y por inmunocomplejos; b) infarto renal, fundamentalmente debido a embolos septicos que pueden ocurrir en cualquier momento de la enfermedad; c) deterioro hemodinamico en casos de IC o sepsis grave o despues de cirugia cardiaca; d) toxicidad antibiotica (nefritis intersticial aguda), sobre todo relacionada con aminoglucosidos, vancomicina (toxicida sinérgica con aminoglucosidos) e incluso dosis altas de penicilina, y e) nefrotoxicidad de los agentes de contraste usados en las pruebas de imagen
  • #77 a) glomerulonefritis vasculitica y por inmunocomplejos; b) infarto renal, fundamentalmente debido a embolos septicos que pueden ocurrir en cualquier momento de la enfermedad; c) deterioro hemodinamico en casos de IC o sepsis grave o despues de cirugia cardiaca; d) toxicidad antibiotica (nefritis intersticial aguda), sobre todo relacionada con aminoglucosidos, vancomicina (toxicida sinérgica con aminoglucosidos) e incluso dosis altas de penicilina, y e) nefrotoxicidad de los agentes de contraste usados en las pruebas de imagen
  • #78 a) glomerulonefritis vasculitica y por inmunocomplejos; b) infarto renal, fundamentalmente debido a embolos septicos que pueden ocurrir en cualquier momento de la enfermedad; c) deterioro hemodinamico en casos de IC o sepsis grave o despues de cirugia cardiaca; d) toxicidad antibiotica (nefritis intersticial aguda), sobre todo relacionada con aminoglucosidos, vancomicina (toxicida sinérgica con aminoglucosidos) e incluso dosis altas de penicilina, y e) nefrotoxicidad de los agentes de contraste usados en las pruebas de imagen
  • #79  osteomielitis vertebral es mas alta288,289 en presencia de EI por Streptococcus viridans polimialgia reumática con dolor y rigidez matinal de hombros y caderas, la debilidad muscular proximal (el 0,9% de los casos) y la vasculitis leucocitoclastica cutanea (lesion cutanea purpurea) en un 3,6% de los casos
  • #83 12 09 18 Area hipodensa en sustancia blaca subcotical en región frontal 20x17 mm 23-32 ud Onfl con dedema perilesional 11 10 18 imagen hipodensa digitiforme en rango 42- 47 Unid Onfil cortico-subcortical en lóbulo frontal derecho, 17.25 und Onfil lóbulo parietan e imagen en región occipital sin aumento de la amplitud de los ventrículos RM 30 10 18 se observan imágenes algunas hipodensas en secuencias T1, otras de señal intermedia muy heterogéneas, hipointensas en secuencias Flair y T2 con realce importante algunas en forma nodular, otras en forma periférica posterior a la administración de gadolinio, las de la región temporal derecha y occipital ipsilateral, con edema perilesional, mucho más importante en la de la región occipital, que debe correlacionarse con antecedente clínico reciente. En el Centro semioval en el lado izquierdo se observan pequeñas imágenes puntiformes hiperintensas en secuencias Flair y T2 pueden corresponder a lesiones vasculares isquémicas de pequeños vasos
  • #84 La HIC puede producirse por varios mecanismos: ruptura de un aneurisma micótico, destrucción séptica de la pared arterial (arteritis necrotizante) sin formación de aneurisma, y transformación hemorrágica de un infarto isquémico, fundamentalmente en pacientes anticoagulados. Se ha estimado que cada mecanismo explicaría aproximadamente un tercio de los casos de HIC. Sin embargo, los estudios patológicos en pacientes con HIC demuestran que la transformación hemorrágica de un infarto isquémico es el mecanismo más frecuente de hemorragia intracraneal (56%). La ruptura de una arteritis piógena puede ser la causa de esas hemorragias en muchos casos (Kanter y Hart; 1991). Un aneurisma sólo se demostró en el 20% de los casos (Hart et al; 1987). La ruptura de arteritis piógena puede causar también hemorragia subaracnoidea cuando afecta a ramas distales localizadas en los surcos corticales (Masuda et al;1992) (ver figura Hemorragia subaracnoidea por arteritis piógena en un paciente con endocarditis por estafilococo aureus. jpg). La mayor parte de las HIC por arteritis ocurren en precozmente en el curso de la enfermedad. El episodio hemorrágico puede precederse de AIT en el mismo territorio arterial. En algunos estudios la presencia de HIC precoz o tardía se correlaciona mejor con arteritis piógena e infección por S aureus no controlada (Hart et al; 1987). También puede ocurrir con S epdermidis, estreptococos, otras bacterias y hongos.
  • #88 La HIC puede producirse por varios mecanismos: ruptura de un aneurisma micótico, destrucción séptica de la pared arterial (arteritis necrotizante) sin formación de aneurisma, y transformación hemorrágica de un infarto isquémico, fundamentalmente en pacientes anticoagulados. Se ha estimado que cada mecanismo explicaría aproximadamente un tercio de los casos de HIC. Sin embargo, los estudios patológicos en pacientes con HIC demuestran que la transformación hemorrágica de un infarto isquémico es el mecanismo más frecuente de hemorragia intracraneal (56%). La ruptura de una arteritis piógena puede ser la causa de esas hemorragias en muchos casos (Kanter y Hart; 1991). Un aneurisma sólo se demostró en el 20% de los casos (Hart et al; 1987). La ruptura de arteritis piógena puede causar también hemorragia subaracnoidea cuando afecta a ramas distales localizadas en los surcos corticales (Masuda et al;1992) (ver figura Hemorragia subaracnoidea por arteritis piógena en un paciente con endocarditis por estafilococo aureus. jpg). La mayor parte de las HIC por arteritis ocurren en precozmente en el curso de la enfermedad. El episodio hemorrágico puede precederse de AIT en el mismo territorio arterial. En algunos estudios la presencia de HIC precoz o tardía se correlaciona mejor con arteritis piógena e infección por S aureus no controlada (Hart et al; 1987). También puede ocurrir con S epdermidis, estreptococos, otras bacterias y hongos.
  • #90 A TC: hemorragia parenqumatosa parasagital derecha B RM: transformación hemorrágica de sendos infartos frontales C TC HSA afecta a ambos valles silvianos y cistern perimesencefálica (Flecha blanca con dilatación secundaria de astas ventriculares (flecha verde)
  • #92 La HIC puede producirse por varios mecanismos: ruptura de un aneurisma micótico, destrucción séptica de la pared arterial (arteritis necrotizante) sin formación de aneurisma, y transformación hemorrágica de un infarto isquémico, fundamentalmente en pacientes anticoagulados. Se ha estimado que cada mecanismo explicaría aproximadamente un tercio de los casos de HIC. Sin embargo, los estudios patológicos en pacientes con HIC demuestran que la transformación hemorrágica de un infarto isquémico es el mecanismo más frecuente de hemorragia intracraneal (56%). La ruptura de una arteritis piógena puede ser la causa de esas hemorragias en muchos casos (Kanter y Hart; 1991). Un aneurisma sólo se demostró en el 20% de los casos (Hart et al; 1987). La ruptura de arteritis piógena puede causar también hemorragia subaracnoidea cuando afecta a ramas distales localizadas en los surcos corticales (Masuda et al;1992) (ver figura Hemorragia subaracnoidea por arteritis piógena en un paciente con endocarditis por estafilococo aureus. jpg). La mayor parte de las HIC por arteritis ocurren en precozmente en el curso de la enfermedad. El episodio hemorrágico puede precederse de AIT en el mismo territorio arterial. En algunos estudios la presencia de HIC precoz o tardía se correlaciona mejor con arteritis piógena e infección por S aureus no controlada (Hart et al; 1987). También puede ocurrir con S epdermidis, estreptococos, otras bacterias y hongos.
  • #96 espondilodiscitis es una infección del cuerpo vertebral y los discos adyacentes, cuya forma de diseminación más frecuente es la vía hematógena. Imagen Espondilodiscitis multisegmentaria lumbar y multiples colecciones abscedificadas de D3 a S1 en region epidural anterior con compromiso medular y de la cola de caballo
  • #97 El absceso cerebral se describe como una colección de pus dentro del parénquima cerebral que se encuentra focalizada y encapsulada, en su fase más tardía, en estadios previos a la encapsulación se encuentra un estado de inflamación del parénquima cerebral conocido como cerebritis
  • #98 El absceso cerebral se describe como una colección de pus dentro del parénquima cerebral que se encuentra focalizada y encapsulada, en su fase más tardía, en estadios previos a la encapsulación se encuentra un estado de inflamación del parénquima cerebral conocido como cerebritis
  • #99  citotóxico y que en la TC se traducirá por una disminución de la atenuación con afectación córtico-subcortical mientras en los procesos inflamatorios o tumorales se produce un edema vasogénico con afectación principalmente de sustancia blanca y la clásica apariencia de imagen “en dedos de guantes”.
  • #101 Evolución fisiopatológica y radiológica del absceso cerebral. A. Absceso cerebral en fase de cerebritis tardía, en la cual se ven los vasos sanguíneos sin dilatación, un área central necrótica, rodeada de un área inflamatoria, y un edema perilesional leve, a lado se encuentra una imagen de IRM ponderada en T2, observándose el área central necrótica (cabeza de flecha), la fase temprana de la formación de la cápsula (flecha) y el edema perilesional (flecha sin relleno). B. Imagen y tomografía de un absceso cerebral en fase capsular tardía, aún con un centro necrótico (cabeza de flecha), ensanchamiento de los vasos sanguíneos, con una cápsula de fibrosis y colágena de tamaño variable (flecha), alrededor de esta última se encuentra el área inflamatoria perivascular con edema perilesional (flecha gruesa), el cual suele ser extenso en las formas tardías.