SISTEMA CARDIOVASCULAR Manuel Estrada Curso de Fisiología del Ejercicio
SISTEMA CARDIOVASCULAR Revisar Fisiología & Berne Levi (3 Ed.) Fisiología del Ejercicio López-Chicharro – Fernández Vaquero (3 Ed.) Essentials of Exercise Physiology McArdle, Katch and Katch (3 Ed.) Fisiopatología; Porth (7 Ed)
SISTEMA CARDIOVASCULAR Consta de una bomba (corazón) y una serie de tubos interconectados (los vasos sanguíneos) Representa dos circuitos en serie, ya que la sangre se bombea desde el lado derecho del corazón hacia los pulmones ( circulación pulmonar ) y en seguida desde el lado izquierdo del corazón hacia el organismo ( circulación sistémica )
SISTEMA CARDIOVASCULAR La actividad de bomba  del corazón aumenta la presión de la arteria aorta, la que es mayor que la presión en la venas (que se encuentran a presión atmosférica). Esta presión (presión arterial o sanguínea) es la responsable del flujo de sangre por el circuito sistémico. Del mismo modo, la sangre fluye a través de los pulmones porque la presión en las arterias pulmonares es mayor que en las venas pulmonares
SISTEMA CARDIOVASCULAR El Corazón Funciones del Corazón Generar presión sanguínea Dirigir la sangre Asegurar el flujo sanguíneo en una sola dirección Regular el aporte de sangre al organismo
Anatomía del Corazón SISTEMA CARDIOVASCULAR
Tamaño, Forma y Ubicación del Corazón Tamaño de una mano empuñada Posee una base plana y una punta (v értice o  apex)  Localizado en la cavidad torácica (mediastino)
Pericardio Es un saco fibroso que recubre al corazón: Impide que el corazón se expanda en exceso, debido al llenado de sangre Esta fijado al diafragma, de modo que el vértice o punta del corazón es relativamente fijo
Pericardio
Paredes del Corazón Tres capas de tejidos Epicardio:  Es una membrana serosa de la superficie externa del corazón Miocardio:  Es la capa media, compuesta por células musculares cardiacas y es la responsable de la contracción del corazón Endocardio:  Es la superficie interna lisa, en contacto con las cámaras del corazón
Paredes del Corazón
Cuatro Cámaras o cavidades musculares - 2 aurículas - 2 ventrículos Separados por una vaina muscular llamada tabique Principales Venas - Vena cava superior - Venas pulmonares Principales Arterias - Aorta - Arteria pulmonar Anatomía Macroscópica del Corazón
Anatomía Macroscópica del Corazón  Aurículas:  Cámaras de pared fina que reciben la sangre de las grandes venas y se la pasan a los ventrículos Ventrículos:  Cámaras de pared más gruesa que las aurículas (ventrículo izquierdo de mayor grosor) y proveen la fuerza necesaria para bombear la sangre a través del circuito pulmonar y sistémico Las aurículas están separadas de los ventrículos por un tabique fibroso que contiene 4 válvulas cardiacas....
Anatomía Macroscópica del Corazón
Válvulas Cardiacas Aurículo-Ventriculares a) Tricúspide b)  Bicúspide o Mitral Semilunar c) Aortica d) Pulmonar Previenen el flujo retrogrado de la sangre
Músculo Cardiaco Similar al músculo esquelético (estriado) El ATP es utilizado como fuente de energía Abundante en mitocondrias Posee una extensa red capilar que lo provee de oxígeno
Músculo Cardiaco Posee estructuras especializadas en la membrana plasmática llamadas  DESMOSOMAS  o  DISCOS INTERCALARES  que mantienen a las células como un conjunto (sincicio). Posee áreas de baja resistencia entre las células llamadas  GAP JUNTIONS  o  UNIONES COMUNICANTES  que permiten que los potenciales de acción se propaguen de una célula a la siguiente.
Excitación Cardiaca La contracción rítmica del corazón es mantenida por señales excitatorias generadas dentro del propio corazón (autorritmicidad) Para que el corazón sea una bomba eficaz, es necesario que estén coordinadas las contracciones de las células miocárdicas de las aurículas y de los ventrículos... Esto se logra por medio de un tejido de conducción especializado.
Sistema de Conducción Cardiaca Todas las células del miocardio pueden mostrar actividad eléctrica espontánea. Sin embargo, en forma normal sólo muestran esta propiedad las células que se ubican dentro de la pared  de la aurícula derecha en la abertura de la vena cava superior (nódulo sinoauricular o región marcapasos)
Sistema de Conducción Cardiaca 2 nódulos en el músculo cardiaco Localizados en la Aurícula Derecha -  Nódulo Sinoauricular (SA) -  Nódulo Auriculoventricular (AV) Nódulo SA es el marcapasos cardiaco y su actividad inicia el impulso eléctrico que posteriormente es  conducido por el miocardio
Sistema de Conducción Cardiaca
Sistema de Conducción Cardiaca El potencial de acción iniciado en el nódulo SA se propaga a través de ambas aurículas...
Sistema de Conducción Cardiaca Se alcanzan los ventrículos a través del nódulo VA, el cual forma un puente único entre las aurículas y los ventrículos AV consiste en un haz estrecho de fibras, en el cual la conducción es más lenta. El impulso se retrasa 0.1 s
Sistema de Conducción Cardiaca El retraso producido en el nódulo AV, garantiza que las aurículas tengan el tiempo suficiente para contraerse y relajarse antes que se excite el músculo ventricular.... Retraso en la conducción
Sistema de Conducción Cardiaca Pasando el nódulo AV, la conducción por el resto del sistema es rápida (1 m/s) y se produce a través del Haz de His, derecho e izquierdo (por ventrículo derecho e izquierdo) Conducción hacia los ventrículos
El Haz de His, como sistema de fibras de conducción especializada terminan en una extensa red de fibras gruesas (Fibras de Purkinje) en el subendocardio. Estas fibras propagan la excitación hasta los miocitos ventriculares Sistema de Conducción Cardiaca Conducción más rápida (3-5m/s) Esto implica que todas las partes de los ventrículos se excitan casi al mismo tiempo
 
Sistema de Conducción Cardiaca En reposo, le toma aprox. 0.04 segundos al potencial de acción viajar desde el nódulo SA hacia el nódulo AV Los potenciales de acción disminuyen considerablemente su velocidad en el nódulo AV A los potenciales de acción les toma 0.11 segundos viajar hacia el nódulo AV
Sistema de Conducción Cardiaca La velocidad de conducción de los potenciales de acción aumenta después de pasar por el nódulo AV
Sistema de Conducción Cardiaca
Componentes del Sistema Cardiovascular Sistema Circulatorio Sistema Pulmonar Propósito: Transporte de O 2  hacia los tejidos y remover impurezas Transporte de nutriente hacia los tejidos Regulación de la temperatura corporal
 
 
 
Circuito Sistémico Lado izquierdo del corazón Bombea sangre oxigenada hacia el cuerpo via arterias La sangre de-oxigenada regresa al corazón derecho a través de las venas Circuito pulmonar Lado derecho del corazón Bombea sangre de-oxigenada hacia los pulmones a través de las arterias   pulmonares Regresa sangre oxigenada al corazón izquierdo vía las venas pulmonares Circuito Sistémico y Pulmonar
Propiedades Eléctricas Las células musculares cardiacas tienen un potencial de membrana en reposo que depende de:  -  baja permeabilidad a Na +   y Ca 2+ -  alta permeabilidad a K + Cuando el músculo cardiaco es despolarizado hasta su umbral, resulta un potencial de acción.
Propiedades Eléctricas Los potenciales de acción de la célula cardiaca duran entre 150 – 300 ms, mayor que en músculo esquelético y neuronas (aprox. 1 ms) La mayor duración del potencial cardiaco tiene consecuencias funcionales... Los PA son distintos en los diferentes tipos de células cardiacas
Potenciales de Acción En el corazón se pueden registrar 2 tipos de potenciales de acción: Potenciales de acción de respuesta rápida:  producidos en las fibras miocardicas de la aurícula y el ventrículo, fibras de conducción (haz de His fibras de Purkinje) Potenciales de acción de respuesta lenta:  producidas en el nódulo SA (marcapaso) y nódulo AV (conduce el impulso de aurícula a ventrículo)
Potenciales de Acción Los potenciales de acción del músculo cardiaco tienen una: Fase de despolarización rápida  ( Fase 0 ) Parcial fase de repolarización rápida  ( Fase 1 ) Prolongado periodo de repolarización lenta (fase de plateu o meseta)  ( Fase 2 ) Fase final de repolarización rápida  ( Fase 3 ) Potencial de membrana en reposo ( Fase 4 )
Potenciales de Acción Músculo Esquelético Músculo Cardiaco
Potenciales de Acción Este será nuestro modelo, Berne & Levi cap 17
Periodo Refractario Periodo Refractario absoluto: La célula cardiaca es insensible a una futura estimulación. Periodo Refractario relativo: Muestra una reducida sensibilidad a un nuevo estimulo Debido a la fase de plateau y al mayor periodo de repolarización, el periodo refractario es más largo lo que previene contracciones tetánicas
Electrocardiograma El ECG es una herramienta diagn ó stica que puede ser usada para determinar: Velocidades o ritmos cardiacos anormales Vías de conducción anormales Hipertrofia / Atrofia de porciones del corazón
Electrocardiograma El ECG normal consiste de una  onda P , el  complejo QRS  y una  onda T El tiempo entre el comienzo de la onda P y el comienzo del complejo QRS es el  intervalo PR El tiempo transcurrido desde el complejo QRS y el fin de la onda T es el  intervalo QT
Electrocardiograma Onda P:  despolarización de la aurícula Complejo QRS: Despolarización del ventrículo Repolarización de la aurícula Onda T : Repolarización del ventrículo
Relación entre Potencial de Acción y ECG
Ciclo Cardiaco El Corazón corresponde a 2 bombas que trabajan en conjunto: Una mitad derecha y la otra mitad izquierda El ciclo cardiaco se refiere a proceso de bombeo repetitivo que comienza con una contracción y finaliza con el comienzo de la siguiente contracción Un ciclo cardiaco normal tiene una duración de 0.7 – 0.8 segundos.
Ciclo Cardiaco Sístole  = el corazón se contrae Diástole  = el corazón se dilata (se relaja) En estas repetitivas contracciones (sístole) y relajaciones (diástole), la sangre se mueve  desde el sistema venoso al  sistema  arterial,  desde áreas de mayor presión a  áreas de  menor presión
Ciclo Cardiaco El corazón realiza un bombeo en 2 pasos: La aurícula derecha e izquierda se contraen prácticamente al mismo tiempo (SISTOLE AURICULAR) 0.1 - 0.2 segundos después se contraen los ventrículos derecho e izquierdo (SISTOLE VENTRICULAR)
Ciclo Cardiaco En diástole, aurículas y ventrículos se llenan con sangre del retorno venoso La  sístole auricular  contribuye al 20% del llenado final de sangre de los ventrículos al t é rmino de la diástole ( Volumen telediastólico ) En la  sístole ventricular , los ventrículos se contraen y expulsan el 65% - 70% del la sangre presente en el corazón al término de la diástole. Este volumen se denomina como volumen sistólico (70 mL en el ser humano en reposo)
Ciclo Cardiaco El volumen de sangre restante presente en el ventrículo después de la sístole (50 – 60 mL) es el  volumen residual o telediastólico . La proporción de sangre expulsada durante la sístole se conoce como  fracción de eyección .
Válvulas  Cardiac as La capacidad de los ventrículos para llenarse bajo una presión reducida y expulsar sangre contra una presión arterial elevada depende de las válvulas AV y semilunares La válvula mitral o bicúspide (a la derecha) La válvula tricúspide (a la izquierda) Están formadas por hojas o cúspides membranosas flexibles de tejido conectivo que protuyen en el ventrículo
Válvulas  Cardiac as Los bordes están unidos a los músculos papilares de los ventrículos por las cuerdas tendinosas, que impiden que las válvulas se introduzcan en las aurículas durante la sístole
Válvulas  Cardiac as La apertura y cierre de la válvulas AV se producen como consecuencia de las diferencias de presión entre las aurículas y ventrículos durante el ciclo cardiaco. Cuando los ventrículos están relajados, la presión en la aurícula supera a la de los ventrículos, por la circulación venosa y las válvulas están abiertas
Válvulas  Cardiac as Cuando las aurículas se contraen, aumenta la presión auricular y la sangre es expulsada hacia los ventrículos, y la presión ventricular aumenta Cuando la presión ventricular supera la auricular las válvulas AV se cierran
Válvulas  Cardiac as
Ciclo Cardiaco Cinco frases claves en el ciclo cardiaco: 1.- Sístole: Contracción ventricular isovolumétrica 2.- Sístole: Eyección Ventricular 3.- Diástole: relajación ventricular isovolumétrica 4.- Diástole: Llenado ventricular pasivo 5.- Diástole: Llenado ventricular activo
Contracción Ventricular Isovolumétrica Los ventrículos se contraen La presión aumenta rápidamente Todas las válvulas permanecen cerradas – la sangre no ha sido eyectada El volumen ventricular permanece constante
Contracción Ventricular Isovolumétrica
Eyección Ventricular Los ventrículos continúan contrayéndose La presión continua aumentando La presión en el ventrículo >  la presión en la aorta y la arteria pulmonar (~ 80 mmHg) Se abren las válvulas aortica y pulmonar La presión alcanza un peak de ~ 120 mmHg Se produce eyección de la sangre
Eyección Ventricular
Relajación Ventricular Isovolumétrica Los ventrículos se relajan después de la contracción La presión disminuye rápidamente Se cierran las válvulas aortica y pulmonar El volumen permanece constante
Relajación Ventricular Isovolumétrica
Llenado  Ventricular  Pasivo La presión de la aurícula excede a la presión del ventrículo Se abren las válvulas AV Fluye sangre desde las aurículas a los ventrículos Este evento da cuenta de aprox. 70% del llenado ventricular El mayor llenado ocurre durante el primer 1/3 de la diástole
Llenado  Ventricular  Pasivo
Llenado  Ventricular  Activo La despolarización del nódulo SA genera potenciales de acción que se propagan a través de la aurícula La aurícula se contrae durante el último tercio de la diástole El volumen final de sangre desde la aurícula se llena durante la contracción auricular El volumen final en el ventrículo =  volumen de eyecci ón
Llenado  Ventricular  Activo
Relación Presión - Volumen
Relación Presión - Volumen A – C: corresponde al llenado diástolico A: llenado  ventricular pasivo A - B: presión disminuye por distensibilidad del ventrículo B – C: aumento de presión refleja el llenado ventricular, cierre válvula aortica y sístole auricular
Relación Presión - Volumen C – D: Contracción Isovolumétrica, la presión aumenta súbitamente y  el volumen ventricular permanece constante En D la válvula aórtica se abre
Relación Presión - Volumen D – E: Expulsión rápida, pérdida de volumen por aumento de la presión ventricular E – F: Expulsión lenta, pequeño descenso de la presión ventricular Cierre válvula aórtica
Relación Presión - Volumen F – A:  relajación isovolumétrica, cáida de la presión sin cambio de volumen A: se abre la válvula mitral Y se completa el ciclo cardiaco
Presión Arterial Media La PAM es el promedio de la presión sanguínea entre la presión en la aorta durante la sístole y la diástole PAM = Q x  RP  (Resistencia Periférica)  Donde Q es es gasto cardiaco RP = Resistencia total contra la cual la sangre debe ser bombeada Reserva Cardiaca = Es la diferencia entre el Gasto Cardiaco en reposo y el Gasto Cardiaco máximo
Factores que afectan la PAM
Gasto Cardiaco Corresponde al volumen de sangre bombeada por los ventrículos cada minuto Es el producto de la frecuencia cardiaca (ciclos por min) y el volumen sistólico Gasto cardiaco = Frecuencia Cardiaca x Volumen sistólico En un adulto en reposo es d 4-7 L/min
Gasto Cardiaco Varía de acuerdo a las necesidades de oxígeno del organismo Disminuye durante el sueño Aumenta después de una comida y más aún después de realizar una actividad física
Retorno Venoso Es el volumen de sangre que retorna al corazón desde los vasos cada minuto y esta muy relacionado con el gasto cardiaco Sistema circulatorio es un sistema cerrado, por lo que es necesario que el corazón pueda bombear un volumen de sangre equivalente al que recibe Es decir: Gasto cardiaco = Retorno venoso Esto es cierto e n un periodo significativo de tiempo
 
Presi ón  Venosa Venas acumulan sangre y son vasos de capacitancia La presión venas es menor que en las arterias En los pies mayor presión, por lo que se distienden y acumulan sangre
Control de la Frecuencia Cardiaca A pesar de la auto-ritmicidad del miocardio, éste esta inervado por nervios autónomos parasimpáticos y simpáticos que influyen en la frecuencia cardiaca. Los cambios de la frecuencia cardiaca se conocen como  Efectos Cronotrópicos La inervación parasimpática del corazón se produce por el nervio vago
Control de la Frecuencia Cardiaca La estimulación de los nervios vagos enlentece al corazón ( Efecto Cronotrópico Negativo ) Estimulación de los nervios simpáticos aumenta la frecuencia cardiaca ( Efecto Cronotrópico Positivo ) Que ocurre con el gasto cardiaco cuando aumenta la frecuencia cardiaca?
Control de la Frecuencia Cardiaca En reposo la frecuencia cardiaca esta determinada por la inervación vagal. Las fibras del nervio vago hacen sinapsis con neuronas post-ganglionares en el propio corazón Estas a su vez hacen sinapsis con células del nódulo SA y del nódulo AV Las neuronas post-ganglionares liberan  Acetilcolina , la cual disminuye la frecuencia cardiaca (Bradicardia) La e stimulación vagal además reduce la frecuencia de conducción desde aurículas a los ventrículos, disminuyendo la excitabilidad del haz AV
Recordar: Frecuencia cardiaca normal es de 70 lpm En un corazón no inervado es de 100 lpm El nervio vago produce una acción inhibitoria intrínseca
Control de la Frecuencia Cardiaca C ómo la estimulación vagal disminuye la frecuencia cardiaca? La acetilcolina liberada por los nervios vagos aumenta la permeabilidad de las células de los nódulos a potasio El potasio:  disminuye la pendiente del potencial de marcapasos hiperpolariza el potencial de membrana Por lo que aumenta el tiempo necesario para que el potencial marcapasos alcance su umbral (el intervalo entre potenciales de acción es más prolongado y la frecuencia cardiaca disminuye)
La estimulación vagal produce bradicardia
Control de la Frecuencia Cardiaca Los nervios preganglionares simpáticos hacen sinapsis con fibras post-ganglionares que se proyectan al corazón Estas secretan NORADRENALINA, por lo que la estimulación simpática aumenta la frecuencia cardiaca (taquicardia) La estimulación simpática puede triplicar la frecuencia cardiaca en reposo
Control de la Frecuencia Cardiaca El potencial mecanismo de acción de la  estimulación simpática  es un aumento de la permeabilidad a Na +  y Ca 2+ Aumenta la pendiente del potencial marcapasos y las células del nódulo SA alcanzan su umbral más rápido (el intervalo entre potenciales de acción sucesivos es menor) El tiempo de conducción en el nódulo AV también disminuye
Aumento de la frecuencia cardiaca Aumento de la pendiente del marcapasos Estimulación simpática
Regulación del Volumen Sistólico Regulación Intrínseca:  Fuerza de la contracción, determinada por el grado de estiramiento de las fibras miocárdicas al final de la diástole - Precarga - Ley de Frank-Starling - Post-carga Regulación Extrínseca: Determinada por actividad de los nervios autónomos y los niveles circulantes de hormonas
Regulación Intrínseca del Volumen Sistólico La sangre retorna al corazón durante la diástole, y el ventrículo comienza a llenarse Aumenta la presión y las fibras miocárdicas se distienden, llegando a un grado de tensión conocido como  PRE-CARGA El aumento de la presión de llenado, aumenta el volumen telediastólico y el volumen sistólico posterior Esto se explica porque a mayor estiramiento del músculo cardiaco mayor es la energía de la contracción
Regulación Intrínseca del Volumen Sistólico Mecanismo de Frank-Starling “ La energía de contracción del ventrículo depende de la longitud inicial de las fibras musculares que forman sus paredes” En la práctica significa que durante la sístole, el ventrículo expulsará el volumen de sangre que introdujo en esa cavidad durante la diástole El corazón ajusta automáticamente su gasto cardiaco para que corresponda con el retorno venoso
Mecanismo de Frank-Starling Coraz ón derecho e izquierdo actúan como bombas en serie Si el gasto cardiaco del ventrículo derecho supera al izquierdo, el volumen de sangre en la circulación pulmonar aumenta y aumenta la presión de las venas pulmonares Aumenta el retorno venoso a la cavidad izquierda, aumentando el volumen telediástolico del ventrículo izquierdo Lo que produce un aumento del volumen sistólico y restaura el equilibrio entre ambos ventrículos  Regulación Intrínseca del Volumen Sistólico
Regulación Intrínseca del Volumen Sistólico Post-carga  = presión que se opone a la eyección de la sangre (aorta) post-carga produce una    transitoria del volumen sistólico Como se reestablece el volumen sistólico? El retorno venoso no se modifica, el ventrículo izquierdo se distiende más (   precarga) y esto produce un aumento de la fuerza con que se contrae el músculo Por lo que se reestablece el volumen sistólico
Regulación Extrínseca del Volumen Sistólico    Adrenalina (Epinefrina) plasmática Actividad de nervios simpáticos en el corazón  Actividad de nervios parasimpáticos en el corazón Frecuencia cardiaca Nódulo SA
   Volumen diastólico final (ventrículo) Actividad de nervios simpáticos en el corazón Epinefrina plasmática Volumen Sistólico Músculo cardiaco Regulación Extrínseca del Volumen Sistólico
Regulación Extrínseca del Corazón
Control de la Presión Arterial Media
Din ámica de la Circulación Sanguínea Flujo Laminar y Turbulento Presión Sanguínea Flujo Sanguíneo Ley de Poiseuille’s Viscosidad 6.  Estrechabilidad (“compliance”)
1. Flujo Laminar y Turbulento El Flujo Laminar produce la mínima resistencia El Flujo turbulento ocurre cuando el flujo laminar es interrumpido
2 . Presión Sanguínea Mide la fuerza que la sangre ejerce contra las paredes de los vasos sanguíneos Medida en mmHg
3 .  Flujo  Sanguíneo Es la medida de l a velocidad del flujo sanguíneo a través de los vasos Medida en litros o mililitros por minuto
3 .  Flujo  Sanguíneo El  flujo sanguíneo  es directamente proporcional  a la diferencia de presión en los vasos El  flujo sanguíneo  es inversamente proporcional  a la resistencia en los vasos Flujo  = (P 1  – P 2 ) / R
4 .  Ley de Poiseuille’s Describe los factores que afectan la resistencia al flujo sanguíneo Relaciona cuantitativamente el flujo de un líquido a través de un tubo rígido con la presión dinámica Flujo =    (P 1  – P 2 ) / 8        L   r 4 Donde (P 1  – P 2 ) es la diferencia de presiones en el tubo R es el radio y L la longitud del tubo    Representa la viscosidad
4. Ley de Poiseuille’s Flujo = (P 1  – P 2 )  r 4   A mayor presión mayor es el flujo Al aumentar el radio al doble el flujo aumenta 16 veces Que ocurre con el flujo si aumenta la viscosidad? Si aumenta la longitud del tubo?
5. Viscosidad Corresponde a la medida de la resistencia de un líquido a fluir A mayores viscosidades, mayor es la fuerza de presión requerida para que un fluido fluya La viscosidad de la sangre es principalmente afectada por su hematocrito
6 .  Capacitancia   Capacitancia = “estrechabilidad” La capacitancia venosa es aprox. 24 veces mayor que la arterial Las venas actúan como un área de almacenaje (reservorio) de sangre 64% del volumen total de sangre (aprox. 3.5 L)
Control del Flujo Sanguíneo en los Tejidos  El flujo sanguíneo es proporcional a las necesidades metabólicas de los tejidos El flujo esta controlado por la dilatación de la metarteriolas y relajación de los esfínter precapilares El flujo puede aumentar de 7 – 8 veces
Control del Flujo Sanguíneo en los Tejidos  Las sustancias vasodilatador a s son producidas a medida que la velocidad del metabolismo aumenta CO 2   Acido láctico Iones hidrógeno Otros
Control del Flujo Sanguíneo en los Tejidos  Regulación Nerviosa y Hormonal del la circulación Local La regulación autonómica funciona rápidamente Las fibras motoras inervan todos los vasos sanguíneos excepto: capilares, precapilares, esfínteres y metaarteriolas Están controladas por el área vasomotora en la parte inferior del núcleo del tracto solitario (NTS) y la parte superior de la m é dula oblonga
Control del Flujo Sanguíneo en los Tejidos  Inervación simpática y parasimpática del sistema cardiovascular
Control del Flujo Sanguíneo en los Tejidos  Las áreas a través del NTS, bulbo raquídeo Y diencéfalo pueden  estimular  o  inhibir  el centro vasomotor Neurotransmisor =  Nor - epinefrina Se une a receptores   -adrenérgicos para producir vasoconstricción Tienen los mismos efectos para las hormonas epinefrina y nor-epinefrina provenientes de la médula adrenal Producen vasoconstricción, pero en músculo esquelético se unen a   -adrenér g icos y produce que los vasos se dilaten
Regulación de la Presión Arterial Media (PAM) Presión de Pulso (PP) = diferencia entre presión sistólica y diastólica PP = P sistólica – P diastólica PAM = diastólica + 1/3 (presión de pulso) PAM = Gasto Cardiaco x Resistencia Periférica
Regulación de la Presión Arterial Media (PAM) Volumen diastólico final Actividad de los nervios simpáticos del corazón Epinefrina plasmática Actividad de los nervios  parasimpáticos hacia el corazón Volumen sistólico Músculo cardiaco Frecuencia cardiaca Nódulo SA    Gasto cardiaco
Homeostasis Cardiovascular a)  Efecto de la presión sanguínea Baroreceptores  monitorean la presión sanguínea b)  Efecto de pH, CO 2 , oxígeno Determinados por  Quimioreceptores c)  Efecto de la concentración extracelular de iones Tanto el aumento como la disminución del potasio extracelular disminuye la frecuencia cardiaca.  Porque? d)  Efecto de la temperatura corporal La frecuencia aumenta cuando aumenta la T La frecuencia disminuye cuando disminuye la T
Regulación de la Presión Arterial Media (PAM)
Regulación de la Presión Arterial Media (PAM) Regulación a corto plazo Reflejo Baroreceptor Baroreceptores son receptores que son sensibles a los cambio de presión (stretch) Localizados en la arteria carótida y el cayado aórtico
Regulación de la Presión Arterial Media (PAM)
Reflejo Baroreceptor
Reflejo Baroreceptor
Regulación de la Presión Arterial Media (PAM) Regulación a corto plazo Reflejo  Quimio receptor Ubicados el el cuerpo carotídeo y aórticos Son estimulados por una disminución de la disponibilidad de oxígeno, aumento en la concentración de CO 2  y iones hidrógenos Su estimulación produce vasoconstricción
Regulación de la Presión Arterial Media (PAM)
Reflejo pH-Quimioreceptor
Regulación de la Presión Arterial Media (PAM) Regulación a largo plazo Sistema – Renina – Angiotensina - Aldosterona
RESPUESTA CARDIOVASCULAR  AL EJERCICIO
Objetivos de la respuesta cardiocirculatoria al ejercicio Adecuación irrigación músculo en contracción Regulación homeostasis Eliminación de calor
Respuesta cardiovascular al ejercicio ... la mayoría de las respuestas cardiovasculares que acontecen con el ejercicio físico de  resistencia están relacionadas con el  aporte de oxígeno y nutrientes  a los músculos activos....
Respuesta cardiovascular al ejercicio OBJETIVO PRINCIPAL APORTE DE OXÍGENO Y NUTRIENTES AL MÚSCULO ACTIVO VO 2   =  GC  x  dif (A-V)O 2 “ La  respuesta cardiaca  es clave, para alcanzar un adecuado rendimiento aeróbico”
Modificado de Wasserman, 1987 Esquema del acoplamiento entre la respiración pulmonar,  el transporte de gases y la respiración celular
Respuesta cardiocirculatoria al ejercicio estático y dinámico GC (l/min) 5.7 6.8 21.9 FC (lpm) 70 110 164 VS (ml) 85 62 131 PAS (mmHg) 120 190 160 PRT (dinas/s/cm) 1352 1466 461 VO 2  (ml/min) 324 556 2758 Reposo Isométrico Concéntrico
Circulación Pulmonar y Ejercicio Físico EJERCICIO    Gasto Cardiaco    Riego Sanguíneo Pulmonar Número de capilares Diámetro de los capilares = PRESION ARTERIAL PULMONAR Conserva energía corazón derecho Presión capilar pulmonar NO Edema Pulmonar
Mecanismos de control de la respuesta  cardiovascular durante el ejercicio dinámico RESPUESTA REGULADA POR MECANISMOS NERVIOSOS RESPUESTA REGULADA POR MECANISMOS HUMORALES RESPUESTA HIDRODINAMICA
 
SOBRE EL CORAZÓN SOBRE LOS VASOS SANGUÍNEOS FRECUENCIA CARDÍACA CRONOTRÓPICO + VELOCIDAD DE CONDUCCIÓN DROMOTRÓPICO + FUERZA DE CONTRACCIÓN INOTRÓPICO + VOLUMEN SISTÓLICO FRACCIÓN DE EYECCIÓN GASTO CARDÍACO TENSIÓN ARTERIAL SISTÓLICA VASOCONSTRICCIÓN TERRITORIOS INACTIVOS VASODILATACIÓN EN  MÚSCULOS ACTIVOS
Mecanismos de control de la respuesta  cardiovascular durante el ejercicio dinámico RESPUESTA REGULADA POR MECANISMOS NERVIOSOS RESPUESTA REGULADA POR MECANISMOS HUMORALES RESPUESTA HIDRODINÁMICA
 
Actividad simpático-adrenal y ejercicio físico
Mecanismos de control de la respuesta  cardiovascular durante el ejercicio dinámico RESPUESTA REGULADA POR MECANISMOS NERVIOSOS RESPUESTA REGULADA POR MECANISMOS HUMORALES RESPUESTA HIDRODINAMICA
Tono venoso mediado por el S.N.A. Bombeo activo muscular Bomba aspirativa torácica Resistencia vascular periférica por vasoconstricción en territorio esplácnico, riñón, piel y músculo inactivo Retorno venoso Reflejo de Bambridge Frecuencia cardiaca Ley de Frank-Starling Contractilidad Volumen sistólico
Respuesta cardiaca al ejercicio físico Aumento de la Frecuencia Cardiaca     Activación Simpático Adrenal    Activación Parasimpática
FCmax  teórica  = 220 - Edad  FCmax  teórica  = 208 – (0.7 x Edad)  (J Am Coll Cardiol 37:153-6,2001)
Tiempo (min) Frecuencia Cardiaca (lpm) 75 W 100 W RESPUESTA DE LA FRECUENCIA CARDIACA A CARGAS CONSTANTES DE EJERCICIO 50 W 250 W
 
Respuesta Cardiaca al Ejercicio físico Aumento del Volumen Sistólico   Volumen de sangre que retorna al corazón (retorno venoso) Distensibilidad ventricular ( compliance ) Contractilidad ventricular Presión arterial pulmonar ó aórtica (post-carga) El Volumen sistólico es determinado: No entrenados : 70 ml    110 ml Entrenados :  100 ml    180 ml
40-60% VO 2 max
 
   Llenado diastólico  (   Retorno venoso)    Contractilidad  (   catecolaminas)    Resistencias vasculares periféricas  (VD)
40-50% VO 2 max 40-50% VO 2 max
Respuesta Cardiaca al Ejercicio Físico Aumento del Gasto Cardiaco  5 l/min    20-40 l/min No entrenados : 5 L    20 L Entrenados :  5 L    40 L
 
 
ADAPTACIONES CARDIACAS AL EJERCICIO
Adaptaciones cardiacas al ejercicio Tamaño cardiaco Volumen sistólico Frecuencia cardiaca Gasto cardiaco
Tamaño cardiaco Adaptaciones cardiacas al ejercicio Ejercicio aeróbico    peso y volumen    espesor pared VI    cavidades (  ) “ hipertrofia cardiaca” El aumento de volumen del VI, incrementa la capacidad de llenado ventricular El mayor espesor de la pared del VI, aumenta la fuerza de contracción ventricular  (siempre en limites fisiológicos)
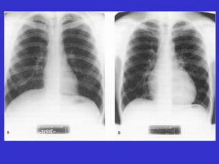
Adaptaciones cardiacas al ejercicio Hallazgos clínicos Aumento del volumen de todas las cavidades Ligero engrosamiento uniforme de las paredes Ligero aumento de la masa ventricular izq.    relación capilares/miofibrillas y circ.colateral Indice de contractilidad normal Mejora capacidad llenado ventricular ECOCARDIOGRAFÍA “ LOS DEPORTES AERÓBICOS SON LOS QUE PRODUCEN UN MAYOR AUMENTO DE LAS DIMENSIONES DEL V.I. Y DEL GROSOR DE LAS PAREDES”
 
 
Volumen Sistólico Adaptaciones cardiacas al ejercicio Causas de las adaptaciones Sujeto VS reposo (ml) VS max (ml) Inactivo   55-75   80-110 Activo   80-90   130-150 Entrenado  100-120   160- >200    volumen plasmático Mayor tiempo en diástole (  FC)   mayor llenado    espesor paredes       Fuerza contracción (contractilidad)
Volumen Sistólico Adaptaciones cardiacas al ejercicio Volumen diastólico final Volumen sistólico final Fracción de eyección (%) Adaptaciones después de 1 año de entrenamiento aeróbico
Frecuencia cardiaca Adaptaciones cardiacas al ejercicio Reposo    FC ( bradicardia: <60 lpm ) Actividad Parasimpática Actividad Simpática Actividad cardiaca intrínseca Ejercicio submáximo    FC para igual intensidad Adaptaciones cardiacas Adaptaciones metabólicas Ejercicio máximo = FCmax Entrenamiento de resistencia aeróbica       FCmax
Recuperación Frecuencia cardiaca Adaptaciones cardiacas al ejercicio Entrenamiento aeróbico    Tiempo de recuperación Buen indicador de la capacidad aeróbica en la misma persona
Gasto Cardiaco Adaptaciones cardiacas al ejercicio Reposo = Gasto cardiaco Ejercicio submáximo = /    GC (igual carga de trabajo) Ejercicio máximo    GCmax Por aumento del Volumen Sistólico max
Adaptaciones cardiacas al ejercicio OTRAS ADAPTACIONES 1. Aumento de la densidad capilar miocárdica 2. Mejora de la capacidad de dilatación 3. Disminuye VO 2  miocárdico en ejercicio submáximo
Regulación de la Circulación Periférica y de la Presión Arterial en el Ejercicio
Regulación de la Circulación Periférica Flujo de sangre :  Directamente proporcional a   P Inversamente proporcional a  Resistencia = (Viscosidad · longitud) / diámetro Flujo =   P · Diámetro  5 litros de sangre para 20 litros de capacidad del árbol vascular VC  -  VD
 
Flujo de sangre muscular: - Reposo:  4-7 ml / 100 gr ms - Ejercicio: 60-80 ml / 100 gr ms (x15-20) Ejercicio  Apertura de capilares musculares  (10% en reposo) Aumento del gasto cardiaco El flujo sanguíneo aumenta y disminuye en el músculo en cada contracción (> 60-70% Fuerza máxima, se detiene la circulación) Regulación de la Circulación Periférica
Factores que regulan la circulación periférica Factores locales 2.  Factores nerviosos 3.  Factores humorales Son los más importantes durante el ejercicio
Factores Locales >20% VD Ejerc.Submax Radegran y Calbet, 2001 Acta Physiol Scand 171: 177-185
Factores locales 2.  Factores nerviosos 3.  Factores humorales Son los más importantes durante el ejercicio Importantes al inicio del ejercicio Fibras nerviosas simpáticas VC  (NA) Fibras nerviosas simpáticas VD  (Ach)  (Corazón y   músculo esquelético) Factores que regulan la circulación periférica
Factores locales 2.  Factores nerviosos 3.  Factores humorales Son los más importantes durante el ejercicio Importantes al inicio del ejercicio Fibras nerviosas simpáticas VC  (NA) Fibras nerviosas simpáticas VD  (Ach)  (Corazón y   músculo esquelético) Catecolaminas (A y NA) Prostaglandinas, angiotensina (VC), histamina (VD) Factores que regulan la circulación periférica
REGULACIÓN DE LA PRESIÓN ARTERIAL Actividad de  n simpáticos a las venas Venas periféricas    Presión venosa    Retorno venoso    Presión en aurícula    Volumen diastólico final Músculo cardíaco    Volumen de eyección    V sanguíneo Acción bombeo ms esqueléticos Bomba aspirativa torácica TENSIÓN ARTERIAL    Volumen minuto Nodo SA Frecuencia Cardíaca Activ Simpatica Activ Parasimpatica NA Resistencia periférica total Radio de las arteriolas Viscosidad sanguínea Hormonas : A,ADH, Angiotensina Control Local O 2 , K + , CO 2 , H + Osmolaridad Adenosina Metabolitos... Prostaglandinas Bradikinina... Nervios Simpat VC Hto Velocidad Flujo sanguíneo Fricción hematíes-cel endoteliales  en puntos de estrechamiento
Ejercicio dinámico (    Gasto Cardiaco) ( VD ms       RVP )
 
Ejercicio estático Gasto Cardiaco Presión intraabdominal Presión intratorácica ( VD ms       RVP ) Diastólica
Presión Arterial y Ejercicio Físico Ejercicio físico dinámico    PAS = PAS Ejercicio físico estático    PAS    PAS Tipos de respuesta de la P.arterial Hipertensión sistólica  ( >  230 mmHg ?) Hipertensión diastólica  ( >  20-30 mmHg  ó > 100 mmHg) Hipotensión sistólica Hipotensión diastólica Inalterable
Adaptaciones al Entrenamiento MEJORA DEL FLUJO SANGUÍNEO Aumento de la capilaridad de los músculos entrenados Mayor apertura de los capilares Redistribución circulatoria más efectiva Aumento del volumen sanguíneo
PRESIÓN ARTERIAL La PA de reposo disminuye por el entrenamiento de resistencia en aquellas personas con PA en los límites normales o moderada HTA El entrenamiento de resistencia tiene poca influencia sobre la PA durante ejercicios estandarizados submáximos o máximos. Adaptaciones al Entrenamiento

Clase Sistema Cardiovascular

  • 1.
    SISTEMA CARDIOVASCULAR ManuelEstrada Curso de Fisiología del Ejercicio
  • 2.
    SISTEMA CARDIOVASCULAR RevisarFisiología & Berne Levi (3 Ed.) Fisiología del Ejercicio López-Chicharro – Fernández Vaquero (3 Ed.) Essentials of Exercise Physiology McArdle, Katch and Katch (3 Ed.) Fisiopatología; Porth (7 Ed)
  • 3.
    SISTEMA CARDIOVASCULAR Constade una bomba (corazón) y una serie de tubos interconectados (los vasos sanguíneos) Representa dos circuitos en serie, ya que la sangre se bombea desde el lado derecho del corazón hacia los pulmones ( circulación pulmonar ) y en seguida desde el lado izquierdo del corazón hacia el organismo ( circulación sistémica )
  • 4.
    SISTEMA CARDIOVASCULAR Laactividad de bomba del corazón aumenta la presión de la arteria aorta, la que es mayor que la presión en la venas (que se encuentran a presión atmosférica). Esta presión (presión arterial o sanguínea) es la responsable del flujo de sangre por el circuito sistémico. Del mismo modo, la sangre fluye a través de los pulmones porque la presión en las arterias pulmonares es mayor que en las venas pulmonares
  • 5.
    SISTEMA CARDIOVASCULAR ElCorazón Funciones del Corazón Generar presión sanguínea Dirigir la sangre Asegurar el flujo sanguíneo en una sola dirección Regular el aporte de sangre al organismo
  • 6.
    Anatomía del CorazónSISTEMA CARDIOVASCULAR
  • 7.
    Tamaño, Forma yUbicación del Corazón Tamaño de una mano empuñada Posee una base plana y una punta (v értice o apex) Localizado en la cavidad torácica (mediastino)
  • 8.
    Pericardio Es unsaco fibroso que recubre al corazón: Impide que el corazón se expanda en exceso, debido al llenado de sangre Esta fijado al diafragma, de modo que el vértice o punta del corazón es relativamente fijo
  • 9.
  • 10.
    Paredes del CorazónTres capas de tejidos Epicardio: Es una membrana serosa de la superficie externa del corazón Miocardio: Es la capa media, compuesta por células musculares cardiacas y es la responsable de la contracción del corazón Endocardio: Es la superficie interna lisa, en contacto con las cámaras del corazón
  • 11.
  • 12.
    Cuatro Cámaras ocavidades musculares - 2 aurículas - 2 ventrículos Separados por una vaina muscular llamada tabique Principales Venas - Vena cava superior - Venas pulmonares Principales Arterias - Aorta - Arteria pulmonar Anatomía Macroscópica del Corazón
  • 13.
    Anatomía Macroscópica delCorazón Aurículas: Cámaras de pared fina que reciben la sangre de las grandes venas y se la pasan a los ventrículos Ventrículos: Cámaras de pared más gruesa que las aurículas (ventrículo izquierdo de mayor grosor) y proveen la fuerza necesaria para bombear la sangre a través del circuito pulmonar y sistémico Las aurículas están separadas de los ventrículos por un tabique fibroso que contiene 4 válvulas cardiacas....
  • 14.
  • 15.
    Válvulas Cardiacas Aurículo-Ventricularesa) Tricúspide b) Bicúspide o Mitral Semilunar c) Aortica d) Pulmonar Previenen el flujo retrogrado de la sangre
  • 16.
    Músculo Cardiaco Similaral músculo esquelético (estriado) El ATP es utilizado como fuente de energía Abundante en mitocondrias Posee una extensa red capilar que lo provee de oxígeno
  • 17.
    Músculo Cardiaco Poseeestructuras especializadas en la membrana plasmática llamadas DESMOSOMAS o DISCOS INTERCALARES que mantienen a las células como un conjunto (sincicio). Posee áreas de baja resistencia entre las células llamadas GAP JUNTIONS o UNIONES COMUNICANTES que permiten que los potenciales de acción se propaguen de una célula a la siguiente.
  • 18.
    Excitación Cardiaca Lacontracción rítmica del corazón es mantenida por señales excitatorias generadas dentro del propio corazón (autorritmicidad) Para que el corazón sea una bomba eficaz, es necesario que estén coordinadas las contracciones de las células miocárdicas de las aurículas y de los ventrículos... Esto se logra por medio de un tejido de conducción especializado.
  • 19.
    Sistema de ConducciónCardiaca Todas las células del miocardio pueden mostrar actividad eléctrica espontánea. Sin embargo, en forma normal sólo muestran esta propiedad las células que se ubican dentro de la pared de la aurícula derecha en la abertura de la vena cava superior (nódulo sinoauricular o región marcapasos)
  • 20.
    Sistema de ConducciónCardiaca 2 nódulos en el músculo cardiaco Localizados en la Aurícula Derecha - Nódulo Sinoauricular (SA) - Nódulo Auriculoventricular (AV) Nódulo SA es el marcapasos cardiaco y su actividad inicia el impulso eléctrico que posteriormente es conducido por el miocardio
  • 21.
  • 22.
    Sistema de ConducciónCardiaca El potencial de acción iniciado en el nódulo SA se propaga a través de ambas aurículas...
  • 23.
    Sistema de ConducciónCardiaca Se alcanzan los ventrículos a través del nódulo VA, el cual forma un puente único entre las aurículas y los ventrículos AV consiste en un haz estrecho de fibras, en el cual la conducción es más lenta. El impulso se retrasa 0.1 s
  • 24.
    Sistema de ConducciónCardiaca El retraso producido en el nódulo AV, garantiza que las aurículas tengan el tiempo suficiente para contraerse y relajarse antes que se excite el músculo ventricular.... Retraso en la conducción
  • 25.
    Sistema de ConducciónCardiaca Pasando el nódulo AV, la conducción por el resto del sistema es rápida (1 m/s) y se produce a través del Haz de His, derecho e izquierdo (por ventrículo derecho e izquierdo) Conducción hacia los ventrículos
  • 26.
    El Haz deHis, como sistema de fibras de conducción especializada terminan en una extensa red de fibras gruesas (Fibras de Purkinje) en el subendocardio. Estas fibras propagan la excitación hasta los miocitos ventriculares Sistema de Conducción Cardiaca Conducción más rápida (3-5m/s) Esto implica que todas las partes de los ventrículos se excitan casi al mismo tiempo
  • 27.
  • 28.
    Sistema de ConducciónCardiaca En reposo, le toma aprox. 0.04 segundos al potencial de acción viajar desde el nódulo SA hacia el nódulo AV Los potenciales de acción disminuyen considerablemente su velocidad en el nódulo AV A los potenciales de acción les toma 0.11 segundos viajar hacia el nódulo AV
  • 29.
    Sistema de ConducciónCardiaca La velocidad de conducción de los potenciales de acción aumenta después de pasar por el nódulo AV
  • 30.
  • 31.
    Componentes del SistemaCardiovascular Sistema Circulatorio Sistema Pulmonar Propósito: Transporte de O 2 hacia los tejidos y remover impurezas Transporte de nutriente hacia los tejidos Regulación de la temperatura corporal
  • 32.
  • 33.
  • 34.
  • 35.
    Circuito Sistémico Ladoizquierdo del corazón Bombea sangre oxigenada hacia el cuerpo via arterias La sangre de-oxigenada regresa al corazón derecho a través de las venas Circuito pulmonar Lado derecho del corazón Bombea sangre de-oxigenada hacia los pulmones a través de las arterias pulmonares Regresa sangre oxigenada al corazón izquierdo vía las venas pulmonares Circuito Sistémico y Pulmonar
  • 36.
    Propiedades Eléctricas Lascélulas musculares cardiacas tienen un potencial de membrana en reposo que depende de: - baja permeabilidad a Na + y Ca 2+ - alta permeabilidad a K + Cuando el músculo cardiaco es despolarizado hasta su umbral, resulta un potencial de acción.
  • 37.
    Propiedades Eléctricas Lospotenciales de acción de la célula cardiaca duran entre 150 – 300 ms, mayor que en músculo esquelético y neuronas (aprox. 1 ms) La mayor duración del potencial cardiaco tiene consecuencias funcionales... Los PA son distintos en los diferentes tipos de células cardiacas
  • 38.
    Potenciales de AcciónEn el corazón se pueden registrar 2 tipos de potenciales de acción: Potenciales de acción de respuesta rápida: producidos en las fibras miocardicas de la aurícula y el ventrículo, fibras de conducción (haz de His fibras de Purkinje) Potenciales de acción de respuesta lenta: producidas en el nódulo SA (marcapaso) y nódulo AV (conduce el impulso de aurícula a ventrículo)
  • 39.
    Potenciales de AcciónLos potenciales de acción del músculo cardiaco tienen una: Fase de despolarización rápida ( Fase 0 ) Parcial fase de repolarización rápida ( Fase 1 ) Prolongado periodo de repolarización lenta (fase de plateu o meseta) ( Fase 2 ) Fase final de repolarización rápida ( Fase 3 ) Potencial de membrana en reposo ( Fase 4 )
  • 40.
    Potenciales de AcciónMúsculo Esquelético Músculo Cardiaco
  • 41.
    Potenciales de AcciónEste será nuestro modelo, Berne & Levi cap 17
  • 42.
    Periodo Refractario PeriodoRefractario absoluto: La célula cardiaca es insensible a una futura estimulación. Periodo Refractario relativo: Muestra una reducida sensibilidad a un nuevo estimulo Debido a la fase de plateau y al mayor periodo de repolarización, el periodo refractario es más largo lo que previene contracciones tetánicas
  • 43.
    Electrocardiograma El ECGes una herramienta diagn ó stica que puede ser usada para determinar: Velocidades o ritmos cardiacos anormales Vías de conducción anormales Hipertrofia / Atrofia de porciones del corazón
  • 44.
    Electrocardiograma El ECGnormal consiste de una onda P , el complejo QRS y una onda T El tiempo entre el comienzo de la onda P y el comienzo del complejo QRS es el intervalo PR El tiempo transcurrido desde el complejo QRS y el fin de la onda T es el intervalo QT
  • 45.
    Electrocardiograma Onda P: despolarización de la aurícula Complejo QRS: Despolarización del ventrículo Repolarización de la aurícula Onda T : Repolarización del ventrículo
  • 46.
    Relación entre Potencialde Acción y ECG
  • 47.
    Ciclo Cardiaco ElCorazón corresponde a 2 bombas que trabajan en conjunto: Una mitad derecha y la otra mitad izquierda El ciclo cardiaco se refiere a proceso de bombeo repetitivo que comienza con una contracción y finaliza con el comienzo de la siguiente contracción Un ciclo cardiaco normal tiene una duración de 0.7 – 0.8 segundos.
  • 48.
    Ciclo Cardiaco Sístole = el corazón se contrae Diástole = el corazón se dilata (se relaja) En estas repetitivas contracciones (sístole) y relajaciones (diástole), la sangre se mueve desde el sistema venoso al sistema arterial, desde áreas de mayor presión a áreas de menor presión
  • 49.
    Ciclo Cardiaco Elcorazón realiza un bombeo en 2 pasos: La aurícula derecha e izquierda se contraen prácticamente al mismo tiempo (SISTOLE AURICULAR) 0.1 - 0.2 segundos después se contraen los ventrículos derecho e izquierdo (SISTOLE VENTRICULAR)
  • 50.
    Ciclo Cardiaco Endiástole, aurículas y ventrículos se llenan con sangre del retorno venoso La sístole auricular contribuye al 20% del llenado final de sangre de los ventrículos al t é rmino de la diástole ( Volumen telediastólico ) En la sístole ventricular , los ventrículos se contraen y expulsan el 65% - 70% del la sangre presente en el corazón al término de la diástole. Este volumen se denomina como volumen sistólico (70 mL en el ser humano en reposo)
  • 51.
    Ciclo Cardiaco Elvolumen de sangre restante presente en el ventrículo después de la sístole (50 – 60 mL) es el volumen residual o telediastólico . La proporción de sangre expulsada durante la sístole se conoce como fracción de eyección .
  • 52.
    Válvulas Cardiacas La capacidad de los ventrículos para llenarse bajo una presión reducida y expulsar sangre contra una presión arterial elevada depende de las válvulas AV y semilunares La válvula mitral o bicúspide (a la derecha) La válvula tricúspide (a la izquierda) Están formadas por hojas o cúspides membranosas flexibles de tejido conectivo que protuyen en el ventrículo
  • 53.
    Válvulas Cardiacas Los bordes están unidos a los músculos papilares de los ventrículos por las cuerdas tendinosas, que impiden que las válvulas se introduzcan en las aurículas durante la sístole
  • 54.
    Válvulas Cardiacas La apertura y cierre de la válvulas AV se producen como consecuencia de las diferencias de presión entre las aurículas y ventrículos durante el ciclo cardiaco. Cuando los ventrículos están relajados, la presión en la aurícula supera a la de los ventrículos, por la circulación venosa y las válvulas están abiertas
  • 55.
    Válvulas Cardiacas Cuando las aurículas se contraen, aumenta la presión auricular y la sangre es expulsada hacia los ventrículos, y la presión ventricular aumenta Cuando la presión ventricular supera la auricular las válvulas AV se cierran
  • 56.
  • 57.
    Ciclo Cardiaco Cincofrases claves en el ciclo cardiaco: 1.- Sístole: Contracción ventricular isovolumétrica 2.- Sístole: Eyección Ventricular 3.- Diástole: relajación ventricular isovolumétrica 4.- Diástole: Llenado ventricular pasivo 5.- Diástole: Llenado ventricular activo
  • 58.
    Contracción Ventricular IsovolumétricaLos ventrículos se contraen La presión aumenta rápidamente Todas las válvulas permanecen cerradas – la sangre no ha sido eyectada El volumen ventricular permanece constante
  • 59.
  • 60.
    Eyección Ventricular Losventrículos continúan contrayéndose La presión continua aumentando La presión en el ventrículo > la presión en la aorta y la arteria pulmonar (~ 80 mmHg) Se abren las válvulas aortica y pulmonar La presión alcanza un peak de ~ 120 mmHg Se produce eyección de la sangre
  • 61.
  • 62.
    Relajación Ventricular IsovolumétricaLos ventrículos se relajan después de la contracción La presión disminuye rápidamente Se cierran las válvulas aortica y pulmonar El volumen permanece constante
  • 63.
  • 64.
    Llenado Ventricular Pasivo La presión de la aurícula excede a la presión del ventrículo Se abren las válvulas AV Fluye sangre desde las aurículas a los ventrículos Este evento da cuenta de aprox. 70% del llenado ventricular El mayor llenado ocurre durante el primer 1/3 de la diástole
  • 65.
  • 66.
    Llenado Ventricular Activo La despolarización del nódulo SA genera potenciales de acción que se propagan a través de la aurícula La aurícula se contrae durante el último tercio de la diástole El volumen final de sangre desde la aurícula se llena durante la contracción auricular El volumen final en el ventrículo = volumen de eyecci ón
  • 67.
  • 68.
  • 69.
    Relación Presión -Volumen A – C: corresponde al llenado diástolico A: llenado ventricular pasivo A - B: presión disminuye por distensibilidad del ventrículo B – C: aumento de presión refleja el llenado ventricular, cierre válvula aortica y sístole auricular
  • 70.
    Relación Presión -Volumen C – D: Contracción Isovolumétrica, la presión aumenta súbitamente y el volumen ventricular permanece constante En D la válvula aórtica se abre
  • 71.
    Relación Presión -Volumen D – E: Expulsión rápida, pérdida de volumen por aumento de la presión ventricular E – F: Expulsión lenta, pequeño descenso de la presión ventricular Cierre válvula aórtica
  • 72.
    Relación Presión -Volumen F – A: relajación isovolumétrica, cáida de la presión sin cambio de volumen A: se abre la válvula mitral Y se completa el ciclo cardiaco
  • 73.
    Presión Arterial MediaLa PAM es el promedio de la presión sanguínea entre la presión en la aorta durante la sístole y la diástole PAM = Q x RP (Resistencia Periférica) Donde Q es es gasto cardiaco RP = Resistencia total contra la cual la sangre debe ser bombeada Reserva Cardiaca = Es la diferencia entre el Gasto Cardiaco en reposo y el Gasto Cardiaco máximo
  • 74.
  • 75.
    Gasto Cardiaco Correspondeal volumen de sangre bombeada por los ventrículos cada minuto Es el producto de la frecuencia cardiaca (ciclos por min) y el volumen sistólico Gasto cardiaco = Frecuencia Cardiaca x Volumen sistólico En un adulto en reposo es d 4-7 L/min
  • 76.
    Gasto Cardiaco Varíade acuerdo a las necesidades de oxígeno del organismo Disminuye durante el sueño Aumenta después de una comida y más aún después de realizar una actividad física
  • 77.
    Retorno Venoso Esel volumen de sangre que retorna al corazón desde los vasos cada minuto y esta muy relacionado con el gasto cardiaco Sistema circulatorio es un sistema cerrado, por lo que es necesario que el corazón pueda bombear un volumen de sangre equivalente al que recibe Es decir: Gasto cardiaco = Retorno venoso Esto es cierto e n un periodo significativo de tiempo
  • 78.
  • 79.
    Presi ón Venosa Venas acumulan sangre y son vasos de capacitancia La presión venas es menor que en las arterias En los pies mayor presión, por lo que se distienden y acumulan sangre
  • 80.
    Control de laFrecuencia Cardiaca A pesar de la auto-ritmicidad del miocardio, éste esta inervado por nervios autónomos parasimpáticos y simpáticos que influyen en la frecuencia cardiaca. Los cambios de la frecuencia cardiaca se conocen como Efectos Cronotrópicos La inervación parasimpática del corazón se produce por el nervio vago
  • 81.
    Control de laFrecuencia Cardiaca La estimulación de los nervios vagos enlentece al corazón ( Efecto Cronotrópico Negativo ) Estimulación de los nervios simpáticos aumenta la frecuencia cardiaca ( Efecto Cronotrópico Positivo ) Que ocurre con el gasto cardiaco cuando aumenta la frecuencia cardiaca?
  • 82.
    Control de laFrecuencia Cardiaca En reposo la frecuencia cardiaca esta determinada por la inervación vagal. Las fibras del nervio vago hacen sinapsis con neuronas post-ganglionares en el propio corazón Estas a su vez hacen sinapsis con células del nódulo SA y del nódulo AV Las neuronas post-ganglionares liberan Acetilcolina , la cual disminuye la frecuencia cardiaca (Bradicardia) La e stimulación vagal además reduce la frecuencia de conducción desde aurículas a los ventrículos, disminuyendo la excitabilidad del haz AV
  • 83.
    Recordar: Frecuencia cardiacanormal es de 70 lpm En un corazón no inervado es de 100 lpm El nervio vago produce una acción inhibitoria intrínseca
  • 84.
    Control de laFrecuencia Cardiaca C ómo la estimulación vagal disminuye la frecuencia cardiaca? La acetilcolina liberada por los nervios vagos aumenta la permeabilidad de las células de los nódulos a potasio El potasio: disminuye la pendiente del potencial de marcapasos hiperpolariza el potencial de membrana Por lo que aumenta el tiempo necesario para que el potencial marcapasos alcance su umbral (el intervalo entre potenciales de acción es más prolongado y la frecuencia cardiaca disminuye)
  • 85.
    La estimulación vagalproduce bradicardia
  • 86.
    Control de laFrecuencia Cardiaca Los nervios preganglionares simpáticos hacen sinapsis con fibras post-ganglionares que se proyectan al corazón Estas secretan NORADRENALINA, por lo que la estimulación simpática aumenta la frecuencia cardiaca (taquicardia) La estimulación simpática puede triplicar la frecuencia cardiaca en reposo
  • 87.
    Control de laFrecuencia Cardiaca El potencial mecanismo de acción de la estimulación simpática es un aumento de la permeabilidad a Na + y Ca 2+ Aumenta la pendiente del potencial marcapasos y las células del nódulo SA alcanzan su umbral más rápido (el intervalo entre potenciales de acción sucesivos es menor) El tiempo de conducción en el nódulo AV también disminuye
  • 88.
    Aumento de lafrecuencia cardiaca Aumento de la pendiente del marcapasos Estimulación simpática
  • 89.
    Regulación del VolumenSistólico Regulación Intrínseca: Fuerza de la contracción, determinada por el grado de estiramiento de las fibras miocárdicas al final de la diástole - Precarga - Ley de Frank-Starling - Post-carga Regulación Extrínseca: Determinada por actividad de los nervios autónomos y los niveles circulantes de hormonas
  • 90.
    Regulación Intrínseca delVolumen Sistólico La sangre retorna al corazón durante la diástole, y el ventrículo comienza a llenarse Aumenta la presión y las fibras miocárdicas se distienden, llegando a un grado de tensión conocido como PRE-CARGA El aumento de la presión de llenado, aumenta el volumen telediastólico y el volumen sistólico posterior Esto se explica porque a mayor estiramiento del músculo cardiaco mayor es la energía de la contracción
  • 91.
    Regulación Intrínseca delVolumen Sistólico Mecanismo de Frank-Starling “ La energía de contracción del ventrículo depende de la longitud inicial de las fibras musculares que forman sus paredes” En la práctica significa que durante la sístole, el ventrículo expulsará el volumen de sangre que introdujo en esa cavidad durante la diástole El corazón ajusta automáticamente su gasto cardiaco para que corresponda con el retorno venoso
  • 92.
    Mecanismo de Frank-StarlingCoraz ón derecho e izquierdo actúan como bombas en serie Si el gasto cardiaco del ventrículo derecho supera al izquierdo, el volumen de sangre en la circulación pulmonar aumenta y aumenta la presión de las venas pulmonares Aumenta el retorno venoso a la cavidad izquierda, aumentando el volumen telediástolico del ventrículo izquierdo Lo que produce un aumento del volumen sistólico y restaura el equilibrio entre ambos ventrículos Regulación Intrínseca del Volumen Sistólico
  • 93.
    Regulación Intrínseca delVolumen Sistólico Post-carga = presión que se opone a la eyección de la sangre (aorta) post-carga produce una  transitoria del volumen sistólico Como se reestablece el volumen sistólico? El retorno venoso no se modifica, el ventrículo izquierdo se distiende más (  precarga) y esto produce un aumento de la fuerza con que se contrae el músculo Por lo que se reestablece el volumen sistólico
  • 94.
    Regulación Extrínseca delVolumen Sistólico  Adrenalina (Epinefrina) plasmática Actividad de nervios simpáticos en el corazón  Actividad de nervios parasimpáticos en el corazón Frecuencia cardiaca Nódulo SA
  • 95.
    Volumen diastólico final (ventrículo) Actividad de nervios simpáticos en el corazón Epinefrina plasmática Volumen Sistólico Músculo cardiaco Regulación Extrínseca del Volumen Sistólico
  • 96.
  • 97.
    Control de laPresión Arterial Media
  • 98.
    Din ámica dela Circulación Sanguínea Flujo Laminar y Turbulento Presión Sanguínea Flujo Sanguíneo Ley de Poiseuille’s Viscosidad 6. Estrechabilidad (“compliance”)
  • 99.
    1. Flujo Laminary Turbulento El Flujo Laminar produce la mínima resistencia El Flujo turbulento ocurre cuando el flujo laminar es interrumpido
  • 100.
    2 . PresiónSanguínea Mide la fuerza que la sangre ejerce contra las paredes de los vasos sanguíneos Medida en mmHg
  • 101.
    3 . Flujo Sanguíneo Es la medida de l a velocidad del flujo sanguíneo a través de los vasos Medida en litros o mililitros por minuto
  • 102.
    3 . Flujo Sanguíneo El flujo sanguíneo es directamente proporcional a la diferencia de presión en los vasos El flujo sanguíneo es inversamente proporcional a la resistencia en los vasos Flujo = (P 1 – P 2 ) / R
  • 103.
    4 . Ley de Poiseuille’s Describe los factores que afectan la resistencia al flujo sanguíneo Relaciona cuantitativamente el flujo de un líquido a través de un tubo rígido con la presión dinámica Flujo =  (P 1 – P 2 ) / 8   L r 4 Donde (P 1 – P 2 ) es la diferencia de presiones en el tubo R es el radio y L la longitud del tubo  Representa la viscosidad
  • 104.
    4. Ley dePoiseuille’s Flujo = (P 1 – P 2 ) r 4 A mayor presión mayor es el flujo Al aumentar el radio al doble el flujo aumenta 16 veces Que ocurre con el flujo si aumenta la viscosidad? Si aumenta la longitud del tubo?
  • 105.
    5. Viscosidad Correspondea la medida de la resistencia de un líquido a fluir A mayores viscosidades, mayor es la fuerza de presión requerida para que un fluido fluya La viscosidad de la sangre es principalmente afectada por su hematocrito
  • 106.
    6 . Capacitancia Capacitancia = “estrechabilidad” La capacitancia venosa es aprox. 24 veces mayor que la arterial Las venas actúan como un área de almacenaje (reservorio) de sangre 64% del volumen total de sangre (aprox. 3.5 L)
  • 107.
    Control del FlujoSanguíneo en los Tejidos El flujo sanguíneo es proporcional a las necesidades metabólicas de los tejidos El flujo esta controlado por la dilatación de la metarteriolas y relajación de los esfínter precapilares El flujo puede aumentar de 7 – 8 veces
  • 108.
    Control del FlujoSanguíneo en los Tejidos Las sustancias vasodilatador a s son producidas a medida que la velocidad del metabolismo aumenta CO 2 Acido láctico Iones hidrógeno Otros
  • 109.
    Control del FlujoSanguíneo en los Tejidos Regulación Nerviosa y Hormonal del la circulación Local La regulación autonómica funciona rápidamente Las fibras motoras inervan todos los vasos sanguíneos excepto: capilares, precapilares, esfínteres y metaarteriolas Están controladas por el área vasomotora en la parte inferior del núcleo del tracto solitario (NTS) y la parte superior de la m é dula oblonga
  • 110.
    Control del FlujoSanguíneo en los Tejidos Inervación simpática y parasimpática del sistema cardiovascular
  • 111.
    Control del FlujoSanguíneo en los Tejidos Las áreas a través del NTS, bulbo raquídeo Y diencéfalo pueden estimular o inhibir el centro vasomotor Neurotransmisor = Nor - epinefrina Se une a receptores  -adrenérgicos para producir vasoconstricción Tienen los mismos efectos para las hormonas epinefrina y nor-epinefrina provenientes de la médula adrenal Producen vasoconstricción, pero en músculo esquelético se unen a  -adrenér g icos y produce que los vasos se dilaten
  • 112.
    Regulación de laPresión Arterial Media (PAM) Presión de Pulso (PP) = diferencia entre presión sistólica y diastólica PP = P sistólica – P diastólica PAM = diastólica + 1/3 (presión de pulso) PAM = Gasto Cardiaco x Resistencia Periférica
  • 113.
    Regulación de laPresión Arterial Media (PAM) Volumen diastólico final Actividad de los nervios simpáticos del corazón Epinefrina plasmática Actividad de los nervios parasimpáticos hacia el corazón Volumen sistólico Músculo cardiaco Frecuencia cardiaca Nódulo SA  Gasto cardiaco
  • 114.
    Homeostasis Cardiovascular a) Efecto de la presión sanguínea Baroreceptores monitorean la presión sanguínea b) Efecto de pH, CO 2 , oxígeno Determinados por Quimioreceptores c) Efecto de la concentración extracelular de iones Tanto el aumento como la disminución del potasio extracelular disminuye la frecuencia cardiaca. Porque? d) Efecto de la temperatura corporal La frecuencia aumenta cuando aumenta la T La frecuencia disminuye cuando disminuye la T
  • 115.
    Regulación de laPresión Arterial Media (PAM)
  • 116.
    Regulación de laPresión Arterial Media (PAM) Regulación a corto plazo Reflejo Baroreceptor Baroreceptores son receptores que son sensibles a los cambio de presión (stretch) Localizados en la arteria carótida y el cayado aórtico
  • 117.
    Regulación de laPresión Arterial Media (PAM)
  • 118.
  • 119.
  • 120.
    Regulación de laPresión Arterial Media (PAM) Regulación a corto plazo Reflejo Quimio receptor Ubicados el el cuerpo carotídeo y aórticos Son estimulados por una disminución de la disponibilidad de oxígeno, aumento en la concentración de CO 2 y iones hidrógenos Su estimulación produce vasoconstricción
  • 121.
    Regulación de laPresión Arterial Media (PAM)
  • 122.
  • 123.
    Regulación de laPresión Arterial Media (PAM) Regulación a largo plazo Sistema – Renina – Angiotensina - Aldosterona
  • 124.
  • 125.
    Objetivos de larespuesta cardiocirculatoria al ejercicio Adecuación irrigación músculo en contracción Regulación homeostasis Eliminación de calor
  • 126.
    Respuesta cardiovascular alejercicio ... la mayoría de las respuestas cardiovasculares que acontecen con el ejercicio físico de resistencia están relacionadas con el aporte de oxígeno y nutrientes a los músculos activos....
  • 127.
    Respuesta cardiovascular alejercicio OBJETIVO PRINCIPAL APORTE DE OXÍGENO Y NUTRIENTES AL MÚSCULO ACTIVO VO 2 = GC x dif (A-V)O 2 “ La respuesta cardiaca es clave, para alcanzar un adecuado rendimiento aeróbico”
  • 128.
    Modificado de Wasserman,1987 Esquema del acoplamiento entre la respiración pulmonar, el transporte de gases y la respiración celular
  • 129.
    Respuesta cardiocirculatoria alejercicio estático y dinámico GC (l/min) 5.7 6.8 21.9 FC (lpm) 70 110 164 VS (ml) 85 62 131 PAS (mmHg) 120 190 160 PRT (dinas/s/cm) 1352 1466 461 VO 2 (ml/min) 324 556 2758 Reposo Isométrico Concéntrico
  • 130.
    Circulación Pulmonar yEjercicio Físico EJERCICIO  Gasto Cardiaco  Riego Sanguíneo Pulmonar Número de capilares Diámetro de los capilares = PRESION ARTERIAL PULMONAR Conserva energía corazón derecho Presión capilar pulmonar NO Edema Pulmonar
  • 131.
    Mecanismos de controlde la respuesta cardiovascular durante el ejercicio dinámico RESPUESTA REGULADA POR MECANISMOS NERVIOSOS RESPUESTA REGULADA POR MECANISMOS HUMORALES RESPUESTA HIDRODINAMICA
  • 132.
  • 133.
    SOBRE EL CORAZÓNSOBRE LOS VASOS SANGUÍNEOS FRECUENCIA CARDÍACA CRONOTRÓPICO + VELOCIDAD DE CONDUCCIÓN DROMOTRÓPICO + FUERZA DE CONTRACCIÓN INOTRÓPICO + VOLUMEN SISTÓLICO FRACCIÓN DE EYECCIÓN GASTO CARDÍACO TENSIÓN ARTERIAL SISTÓLICA VASOCONSTRICCIÓN TERRITORIOS INACTIVOS VASODILATACIÓN EN MÚSCULOS ACTIVOS
  • 134.
    Mecanismos de controlde la respuesta cardiovascular durante el ejercicio dinámico RESPUESTA REGULADA POR MECANISMOS NERVIOSOS RESPUESTA REGULADA POR MECANISMOS HUMORALES RESPUESTA HIDRODINÁMICA
  • 135.
  • 136.
  • 137.
    Mecanismos de controlde la respuesta cardiovascular durante el ejercicio dinámico RESPUESTA REGULADA POR MECANISMOS NERVIOSOS RESPUESTA REGULADA POR MECANISMOS HUMORALES RESPUESTA HIDRODINAMICA
  • 138.
    Tono venoso mediadopor el S.N.A. Bombeo activo muscular Bomba aspirativa torácica Resistencia vascular periférica por vasoconstricción en territorio esplácnico, riñón, piel y músculo inactivo Retorno venoso Reflejo de Bambridge Frecuencia cardiaca Ley de Frank-Starling Contractilidad Volumen sistólico
  • 139.
    Respuesta cardiaca alejercicio físico Aumento de la Frecuencia Cardiaca  Activación Simpático Adrenal  Activación Parasimpática
  • 140.
    FCmax teórica = 220 - Edad FCmax teórica = 208 – (0.7 x Edad) (J Am Coll Cardiol 37:153-6,2001)
  • 141.
    Tiempo (min) FrecuenciaCardiaca (lpm) 75 W 100 W RESPUESTA DE LA FRECUENCIA CARDIACA A CARGAS CONSTANTES DE EJERCICIO 50 W 250 W
  • 142.
  • 143.
    Respuesta Cardiaca alEjercicio físico Aumento del Volumen Sistólico Volumen de sangre que retorna al corazón (retorno venoso) Distensibilidad ventricular ( compliance ) Contractilidad ventricular Presión arterial pulmonar ó aórtica (post-carga) El Volumen sistólico es determinado: No entrenados : 70 ml  110 ml Entrenados : 100 ml  180 ml
  • 144.
  • 145.
  • 146.
    Llenado diastólico (  Retorno venoso)  Contractilidad (  catecolaminas)  Resistencias vasculares periféricas (VD)
  • 147.
    40-50% VO 2max 40-50% VO 2 max
  • 148.
    Respuesta Cardiaca alEjercicio Físico Aumento del Gasto Cardiaco 5 l/min  20-40 l/min No entrenados : 5 L  20 L Entrenados : 5 L  40 L
  • 149.
  • 150.
  • 151.
  • 152.
    Adaptaciones cardiacas alejercicio Tamaño cardiaco Volumen sistólico Frecuencia cardiaca Gasto cardiaco
  • 153.
    Tamaño cardiaco Adaptacionescardiacas al ejercicio Ejercicio aeróbico  peso y volumen  espesor pared VI  cavidades (  ) “ hipertrofia cardiaca” El aumento de volumen del VI, incrementa la capacidad de llenado ventricular El mayor espesor de la pared del VI, aumenta la fuerza de contracción ventricular (siempre en limites fisiológicos)
  • 154.
    Adaptaciones cardiacas alejercicio Hallazgos clínicos Aumento del volumen de todas las cavidades Ligero engrosamiento uniforme de las paredes Ligero aumento de la masa ventricular izq.  relación capilares/miofibrillas y circ.colateral Indice de contractilidad normal Mejora capacidad llenado ventricular ECOCARDIOGRAFÍA “ LOS DEPORTES AERÓBICOS SON LOS QUE PRODUCEN UN MAYOR AUMENTO DE LAS DIMENSIONES DEL V.I. Y DEL GROSOR DE LAS PAREDES”
  • 155.
  • 156.
  • 157.
    Volumen Sistólico Adaptacionescardiacas al ejercicio Causas de las adaptaciones Sujeto VS reposo (ml) VS max (ml) Inactivo 55-75 80-110 Activo 80-90 130-150 Entrenado 100-120 160- >200  volumen plasmático Mayor tiempo en diástole (  FC)  mayor llenado  espesor paredes   Fuerza contracción (contractilidad)
  • 158.
    Volumen Sistólico Adaptacionescardiacas al ejercicio Volumen diastólico final Volumen sistólico final Fracción de eyección (%) Adaptaciones después de 1 año de entrenamiento aeróbico
  • 159.
    Frecuencia cardiaca Adaptacionescardiacas al ejercicio Reposo  FC ( bradicardia: <60 lpm ) Actividad Parasimpática Actividad Simpática Actividad cardiaca intrínseca Ejercicio submáximo  FC para igual intensidad Adaptaciones cardiacas Adaptaciones metabólicas Ejercicio máximo = FCmax Entrenamiento de resistencia aeróbica   FCmax
  • 160.
    Recuperación Frecuencia cardiacaAdaptaciones cardiacas al ejercicio Entrenamiento aeróbico  Tiempo de recuperación Buen indicador de la capacidad aeróbica en la misma persona
  • 161.
    Gasto Cardiaco Adaptacionescardiacas al ejercicio Reposo = Gasto cardiaco Ejercicio submáximo = /  GC (igual carga de trabajo) Ejercicio máximo  GCmax Por aumento del Volumen Sistólico max
  • 162.
    Adaptaciones cardiacas alejercicio OTRAS ADAPTACIONES 1. Aumento de la densidad capilar miocárdica 2. Mejora de la capacidad de dilatación 3. Disminuye VO 2 miocárdico en ejercicio submáximo
  • 163.
    Regulación de laCirculación Periférica y de la Presión Arterial en el Ejercicio
  • 164.
    Regulación de laCirculación Periférica Flujo de sangre : Directamente proporcional a  P Inversamente proporcional a Resistencia = (Viscosidad · longitud) / diámetro Flujo =  P · Diámetro 5 litros de sangre para 20 litros de capacidad del árbol vascular VC - VD
  • 165.
  • 166.
    Flujo de sangremuscular: - Reposo: 4-7 ml / 100 gr ms - Ejercicio: 60-80 ml / 100 gr ms (x15-20) Ejercicio Apertura de capilares musculares (10% en reposo) Aumento del gasto cardiaco El flujo sanguíneo aumenta y disminuye en el músculo en cada contracción (> 60-70% Fuerza máxima, se detiene la circulación) Regulación de la Circulación Periférica
  • 167.
    Factores que regulanla circulación periférica Factores locales 2. Factores nerviosos 3. Factores humorales Son los más importantes durante el ejercicio
  • 168.
    Factores Locales >20%VD Ejerc.Submax Radegran y Calbet, 2001 Acta Physiol Scand 171: 177-185
  • 169.
    Factores locales 2. Factores nerviosos 3. Factores humorales Son los más importantes durante el ejercicio Importantes al inicio del ejercicio Fibras nerviosas simpáticas VC (NA) Fibras nerviosas simpáticas VD (Ach) (Corazón y músculo esquelético) Factores que regulan la circulación periférica
  • 170.
    Factores locales 2. Factores nerviosos 3. Factores humorales Son los más importantes durante el ejercicio Importantes al inicio del ejercicio Fibras nerviosas simpáticas VC (NA) Fibras nerviosas simpáticas VD (Ach) (Corazón y músculo esquelético) Catecolaminas (A y NA) Prostaglandinas, angiotensina (VC), histamina (VD) Factores que regulan la circulación periférica
  • 171.
    REGULACIÓN DE LAPRESIÓN ARTERIAL Actividad de n simpáticos a las venas Venas periféricas  Presión venosa  Retorno venoso  Presión en aurícula  Volumen diastólico final Músculo cardíaco  Volumen de eyección  V sanguíneo Acción bombeo ms esqueléticos Bomba aspirativa torácica TENSIÓN ARTERIAL  Volumen minuto Nodo SA Frecuencia Cardíaca Activ Simpatica Activ Parasimpatica NA Resistencia periférica total Radio de las arteriolas Viscosidad sanguínea Hormonas : A,ADH, Angiotensina Control Local O 2 , K + , CO 2 , H + Osmolaridad Adenosina Metabolitos... Prostaglandinas Bradikinina... Nervios Simpat VC Hto Velocidad Flujo sanguíneo Fricción hematíes-cel endoteliales en puntos de estrechamiento
  • 172.
    Ejercicio dinámico (  Gasto Cardiaco) ( VD ms   RVP )
  • 173.
  • 174.
    Ejercicio estático GastoCardiaco Presión intraabdominal Presión intratorácica ( VD ms   RVP ) Diastólica
  • 175.
    Presión Arterial yEjercicio Físico Ejercicio físico dinámico  PAS = PAS Ejercicio físico estático  PAS  PAS Tipos de respuesta de la P.arterial Hipertensión sistólica ( > 230 mmHg ?) Hipertensión diastólica ( > 20-30 mmHg ó > 100 mmHg) Hipotensión sistólica Hipotensión diastólica Inalterable
  • 176.
    Adaptaciones al EntrenamientoMEJORA DEL FLUJO SANGUÍNEO Aumento de la capilaridad de los músculos entrenados Mayor apertura de los capilares Redistribución circulatoria más efectiva Aumento del volumen sanguíneo
  • 177.
    PRESIÓN ARTERIAL LaPA de reposo disminuye por el entrenamiento de resistencia en aquellas personas con PA en los límites normales o moderada HTA El entrenamiento de resistencia tiene poca influencia sobre la PA durante ejercicios estandarizados submáximos o máximos. Adaptaciones al Entrenamiento

Notas del editor

  • #137 Fig 9-10 Brooks Niveles circulantes de catecolaminas en dependencia de la intensidad de ejercicio. La intensidad moderada casi no provoca modificaciones las concentraciones de catecolaminas plasmáticas. Más allá de un 50-70% VO 2 max, sin embargo, los niveles de catecolaminas aumentan desproporcionalmente.
  • #156 Figura 11.9 (Nuestro) Dos radiografías de torax, en las que se aprecia la diferencia de tamaño entre las siluetas cardiacas de un sujeto sedentario (A) y un ciclista (B)
  • #157 Figura 11.10 Nuestro Imagen bidimensional obtenida en la ecocardiografía realizada desde una proyección de 4 cámaras apical.