Carrera de Odontología
Histología y Embriología del
Sistema
SISTEMA
RESPIRATO
RIO
MSc. Marioneya
Izaguirre
Bordelois
Profesor
Asistente de
Histología
OBJETIVOS:
Describir las características morfofuncionales de
los órganos del sistema respiratorio, aplicando los
modelos celulares, tisulares y de órganos, en
láminas histológicas, microfotografías y esquemas
de libros de texto.
SUMARIO:
A. CORRELACIONES MORFOFUNCIONALES GENERALES
DEL APARATO RESPIRATORIO
B. CARACTERÍSTICAS HISTLÓGICAS DEL EPITELIO DE
REVESTIMIENTO DE LAS VIAS AÉREAS SUPERIORES.
C. CARACTERÍSTICAS MORFOFUNCIONALES DE LA
PORCIÓN CONDUCTORA DE LOS PULMONES:
BRONQUIOS INTRAPULMONARES Y BRONQUIOLOS
D. CARACTERÍSTICAS MORFOFUNCIONALES DE LA
PORCIÓN RESPIRATORIA DE LOS PULMONES.
ANATOMIA DEL APARATO
RESPIRATORIO
La respiración es un
proceso involuntario y
automático, mediante la
cual las células del
cuerpo toman oxígeno
(O2) y eliminan el
dióxido de carbono
(CO2).
Es un intercambio
gaseoso (O2 y CO2) entre
el aire de la atmósfera y
el organismo.
LA RESPIRACIÓN
ComponentesComponentes
VÍAS
RESPIRATORIAS
VÍAS
RESPIRATORIAS
ÓRGANOS
RESPIRATORIOS
ÓRGANOS
RESPIRATORIOS PULMONESPULMONES
ALTAS CAVIDAD NASAL
FARINGE
CAVIDAD NASAL
FARINGE
BAJAS
LARINGE
TRÁQUEA
BRONQUIOS
(Extrapulmonares e
Intrapulmonares)
LARINGE
TRÁQUEA
BRONQUIOS
(Extrapulmonares e
Intrapulmonares)
FARINGE
TRÁQUEA
PULMONES
CAVIDAD NASAL
LARINGE
BRONQUIOS
S
I
S
T
E
M
A
PORCIÓN
CONDUCTORA
PORCIÓN
RESPIRATORIA
Extra-
pulmonar
Intra-
pulmonar
Fosas nasales
Nasofaringe
Laringe Tráquea
Bronquios e-p
Bronquios i-p
Bronquiolos
Bronquiolo terminal
Bronquiolo respiratorio
Conducto alveolar
Sacos alveolares
Alvéolos pulmonares
R
E
S
P
I
R
A
T
O
R
I
O
FUNCIONES GENERALES DEL SISTEMA
RESPIRATORIO
• Así como en la fonación, el olfato y la defensa
inmunológica.
•Termorregulación y humectación del aire
inspirado.
•Su descontaminación de polvo y microorganismos.
•Participación en la coagulabilidad de la sangre
mediante la tromboplastina y su antagonista, la
heparina.
•Hematosis
•Participación en la regulación de la presión arterial
mediante la producción de "enzima convertidora"
•Participación en el metabolismo lipídico.
Esquema que muestra la
porción del divertículo
respiratorio que origina
la laringe.
ORIGEN EMBRIOLOGICO DEL
SISTEMA RESPIRATORIO
• En el embrión de 4 semanas aparece el
divertículo respiratorio, esbozo pulmonar, en
forma de evaginación de la pared ventral del
intestino anterior. Como consecuencia, el
epitelio de revestimiento interno de la tráquea,
los bronquios y los pulmones tienen origen
endodérmico. Los componentes cartilaginoso y
muscular de la tráquea y los pulmones derivan
del mesodermo asplácnico que rodea al
intestino anterior.
Situación de la cavidad nasal
Septo nasal
Son dos, situadas en la
cabeza ósea,
Medialmente a la órbitas
y por encima de la
Cavidad bucal.
Se comunica con el exterrior
a través de las nares y
con la faringe a traf{es de
las coanas.Están separadas
Por un septo o tabique
nasal.
F
O
S
A
S
N
A
S
A
L
E
S
VESTÍBULO
NASAL
ÁREA
RESPIRATORIA
ÁREA
OLFATORIA
(mucosa)
TEJIDO
ERÉCTIL
Epitelio estratificado plano querat.
Folículos pilosos (vibrisas)
Glándulas sebáceas
Epitelio seudoestratificado
cilíndrico ciliado
Lám. propia unida al periostio
Glándulas mixtas
Neuronas bipolares con cilios
Células sustentaculares microv.
Células basales
Glándulas serosas de Bowman
Plexos venosos en la lámina propia
de los cornetes medio e inferior
SENOS
PARANASALES
Frontal, maxilar, etmoidal,
esfenoidal
Epitelio respiratorio bajo
Pocas células caliciformes
Glándulas pequeñas
Lámina propia unida al
periostio
Epitelio Respiratorio
( cilíndrico ciliado
seudoestratificado con
células caliciformes)
Amígdalas faríngea y tubaria
Glándulas mucosas y mixtas
Infiltración linfática
NASOFARINGE
LARINGE
Situación: parte antero superior y media del cuello,
a nivel de IV, V y VI vértebras cervicales
Situación: parte antero superior y media del cuello,
a nivel de IV, V y VI vértebras cervicales
FUNCIONES:
CONDUCCIÓN DEL AIRE
VÁLVULA DE PROTECCIÓN DE VÍAS RESPIRATORIAS BAJAS
ÓRGANO ESENCIAL DE LA FONACIÓN
FUNCIONES:
CONDUCCIÓN DEL AIRE
VÁLVULA DE PROTECCIÓN DE VÍAS RESPIRATORIAS BAJAS
ÓRGANO ESENCIAL DE LA FONACIÓN
Cartílagos de la Laringe.Cartílagos de la Laringe.
VISTA POSTERIOR VISTA ANTERIOR
Aritenoides
Corniculados
Cuneiformes
Epiglotis
Tiroideo
Cricoideo
L
A
R
I
N
G
E
MUCOSA
MUSCULAR
INTRÍNSECA
CARTÍLAGOS
MÚSCULOS
EXTRÍNSECOS
Epitelio estratificado plano no querat.
cara ventral y parte de la dorsal de la
epiglotis y cuerdas vocales
Epitelio respiratorio en el resto
Lámina propia, ligamento vocal
Glándulas mixtas y mucosas
Músculo estriado esquelético
(músculo vocal)
Elásticos (epiglotis, cricoides y
parte de aritenoides
Hialinos (el resto)
Músculo estriado esquelético
TRÁQUEATRÁQUEATRÁQUEATRÁQUEA
xtiende de la VI vértebra cervical a la V toxtiende de la VI vértebra cervical a la V to
stituida por un esqueleto cartilaginoso destituida por un esqueleto cartilaginoso de
os incompletos, los cuales están unidos pos incompletos, los cuales están unidos p
igamentos anulares.igamentos anulares.
xtiende de la VI vértebra cervical a la V toxtiende de la VI vértebra cervical a la V to
tituida por un esqueleto cartilaginoso detituida por un esqueleto cartilaginoso de
os incompletos, los cuales están unidos pos incompletos, los cuales están unidos p
igamentos anulares.gamentos anulares.
Su función es la conducción delSu función es la conducción delSu función es la conducción delSu función es la conducción del
TRÁQUEA
MUCOSA
SUBMUCOSA
CARTÍLAGO-
FIBROSA-
MUSCULAR
ADVENTICIA
Epitelio respiratorio
Lámina propia
Fibras elásticas longitudinales
Tejido conectivo laxo
Vasos sanguíneos y linfáticos
Glándulas mucosas y mixtas
Cartílagos hialinos forma de C
Tejido conectivo fibroelástico
Músculo liso transversal
relacionado con el esófago
Tejido conectivo laxo
na cava superiorna cava superior Arco de la aortaArco de la aorta
Arteria pulmonArteria pulmon
EsófagoEsófago
Glándula tiroides
Arteria carótida común
Relaciones de tráquea y bronquios
Venas pulmonares
TIPOS
CELULARES
DEL EPITELIO
RESPIRATORIO
Cilíndricas ciliadas (300 cilios)
Caliciformes (secretoras de moco)
En cepillo tipo I (inmaduras)
En cepillo tipo II (neuroepiteliales)
Granulosas (endocrinas)
Basales (células madres)
B
R
O
N
Q
U
I
O
S
MUCOSA
SUBMUCOSA
CARTILAGO
FIBROSA
ADVENTICIA
Epitelio respiratorio hasta
epitelio simple cilíndrico cccc
Lámina propia tejido conectivo
Fibras musculares lisas
Tejido conectivo laxo
Glándulas mucosas
Vasos sanguíneos y
linfáticos
Placas irregulares de
cartílago hialino y
tejido fibroelástico
Tejido conectivo laxo
disminuye distalmente.
I
N
T
R
A
P
U
L
M
O
N
A
R
E
S
B
R
O
N
Q
U
I
O
L
O
S
MUCOSA
Epitelio de simple cilíndrico cccc
hasta cúbico con cilios sin
células caliciformes, con células
de Clara
Tejido conectivo laxo
Mas pliegues que en bronquios
Músculo liso, relativamente
más gruesa que en los
bronquios
Tejido conectivo laxo, muy
fina hasta casi desaparecer
en los bronquiolos
terminales
MUSCULAR
ADVENTICIA
T
A
B
I
Q
U
E
Epitelio simple plano alveolar y su lámina
basal
Tejido conectivo laxo: fibras reticulares y
elásticas finas y abundante red capilar
Epitelio simple plano alveolar y su lámina
basal
I
N
T
E
R
A
L
V
E
O
L
A
R
Neumocito tipo I (célula plana)
Neumocito tipo II (célula alveolar)
Células endoteliales
Macrófagos alveolares
Células sanguíneas (dentro de los capilares)
Fibroblastos
C
É
L
U
L
A
S
D
E
L
T
A
B
I
Q
U
E
I
N
T
E
R
A
L
V
E
O
L
A
R
BARRERA
SANGRE-AIRE
Endotelio continuo de los capilares
Membrana basal del capilar
Zona difusa
Membrana basal del neumocito tipo I
Citoplasma de la célula epitelial alveolar
Película del surfactante pulmonar
Con frecuencia falta la zona difusa y se fusionan
las membranas basales quedando reducida la
barrera a tres elementos:
Citoplasma adelgazado del endotelio capilar
Membrana basal fusionada
Citoplasma adelgazado de la célula epitelial
Conferencia respiratoria
Conferencia respiratoria

Conferencia respiratoria

  • 1.
    Carrera de Odontología Histologíay Embriología del Sistema
  • 2.
  • 3.
  • 4.
    OBJETIVOS: Describir las característicasmorfofuncionales de los órganos del sistema respiratorio, aplicando los modelos celulares, tisulares y de órganos, en láminas histológicas, microfotografías y esquemas de libros de texto.
  • 5.
    SUMARIO: A. CORRELACIONES MORFOFUNCIONALESGENERALES DEL APARATO RESPIRATORIO B. CARACTERÍSTICAS HISTLÓGICAS DEL EPITELIO DE REVESTIMIENTO DE LAS VIAS AÉREAS SUPERIORES. C. CARACTERÍSTICAS MORFOFUNCIONALES DE LA PORCIÓN CONDUCTORA DE LOS PULMONES: BRONQUIOS INTRAPULMONARES Y BRONQUIOLOS D. CARACTERÍSTICAS MORFOFUNCIONALES DE LA PORCIÓN RESPIRATORIA DE LOS PULMONES.
  • 6.
  • 7.
    La respiración esun proceso involuntario y automático, mediante la cual las células del cuerpo toman oxígeno (O2) y eliminan el dióxido de carbono (CO2). Es un intercambio gaseoso (O2 y CO2) entre el aire de la atmósfera y el organismo. LA RESPIRACIÓN
  • 8.
    ComponentesComponentes VÍAS RESPIRATORIAS VÍAS RESPIRATORIAS ÓRGANOS RESPIRATORIOS ÓRGANOS RESPIRATORIOS PULMONESPULMONES ALTAS CAVIDADNASAL FARINGE CAVIDAD NASAL FARINGE BAJAS LARINGE TRÁQUEA BRONQUIOS (Extrapulmonares e Intrapulmonares) LARINGE TRÁQUEA BRONQUIOS (Extrapulmonares e Intrapulmonares)
  • 9.
  • 10.
    S I S T E M A PORCIÓN CONDUCTORA PORCIÓN RESPIRATORIA Extra- pulmonar Intra- pulmonar Fosas nasales Nasofaringe Laringe Tráquea Bronquiose-p Bronquios i-p Bronquiolos Bronquiolo terminal Bronquiolo respiratorio Conducto alveolar Sacos alveolares Alvéolos pulmonares R E S P I R A T O R I O
  • 11.
    FUNCIONES GENERALES DELSISTEMA RESPIRATORIO • Así como en la fonación, el olfato y la defensa inmunológica. •Termorregulación y humectación del aire inspirado. •Su descontaminación de polvo y microorganismos. •Participación en la coagulabilidad de la sangre mediante la tromboplastina y su antagonista, la heparina. •Hematosis •Participación en la regulación de la presión arterial mediante la producción de "enzima convertidora" •Participación en el metabolismo lipídico.
  • 12.
    Esquema que muestrala porción del divertículo respiratorio que origina la laringe.
  • 13.
    ORIGEN EMBRIOLOGICO DEL SISTEMARESPIRATORIO • En el embrión de 4 semanas aparece el divertículo respiratorio, esbozo pulmonar, en forma de evaginación de la pared ventral del intestino anterior. Como consecuencia, el epitelio de revestimiento interno de la tráquea, los bronquios y los pulmones tienen origen endodérmico. Los componentes cartilaginoso y muscular de la tráquea y los pulmones derivan del mesodermo asplácnico que rodea al intestino anterior.
  • 14.
    Situación de lacavidad nasal Septo nasal Son dos, situadas en la cabeza ósea, Medialmente a la órbitas y por encima de la Cavidad bucal. Se comunica con el exterrior a través de las nares y con la faringe a traf{es de las coanas.Están separadas Por un septo o tabique nasal.
  • 15.
    F O S A S N A S A L E S VESTÍBULO NASAL ÁREA RESPIRATORIA ÁREA OLFATORIA (mucosa) TEJIDO ERÉCTIL Epitelio estratificado planoquerat. Folículos pilosos (vibrisas) Glándulas sebáceas Epitelio seudoestratificado cilíndrico ciliado Lám. propia unida al periostio Glándulas mixtas Neuronas bipolares con cilios Células sustentaculares microv. Células basales Glándulas serosas de Bowman Plexos venosos en la lámina propia de los cornetes medio e inferior
  • 17.
    SENOS PARANASALES Frontal, maxilar, etmoidal, esfenoidal Epiteliorespiratorio bajo Pocas células caliciformes Glándulas pequeñas Lámina propia unida al periostio
  • 19.
    Epitelio Respiratorio ( cilíndricociliado seudoestratificado con células caliciformes) Amígdalas faríngea y tubaria Glándulas mucosas y mixtas Infiltración linfática NASOFARINGE
  • 20.
    LARINGE Situación: parte anterosuperior y media del cuello, a nivel de IV, V y VI vértebras cervicales Situación: parte antero superior y media del cuello, a nivel de IV, V y VI vértebras cervicales FUNCIONES: CONDUCCIÓN DEL AIRE VÁLVULA DE PROTECCIÓN DE VÍAS RESPIRATORIAS BAJAS ÓRGANO ESENCIAL DE LA FONACIÓN FUNCIONES: CONDUCCIÓN DEL AIRE VÁLVULA DE PROTECCIÓN DE VÍAS RESPIRATORIAS BAJAS ÓRGANO ESENCIAL DE LA FONACIÓN
  • 21.
    Cartílagos de laLaringe.Cartílagos de la Laringe. VISTA POSTERIOR VISTA ANTERIOR Aritenoides Corniculados Cuneiformes Epiglotis Tiroideo Cricoideo
  • 22.
    L A R I N G E MUCOSA MUSCULAR INTRÍNSECA CARTÍLAGOS MÚSCULOS EXTRÍNSECOS Epitelio estratificado planono querat. cara ventral y parte de la dorsal de la epiglotis y cuerdas vocales Epitelio respiratorio en el resto Lámina propia, ligamento vocal Glándulas mixtas y mucosas Músculo estriado esquelético (músculo vocal) Elásticos (epiglotis, cricoides y parte de aritenoides Hialinos (el resto) Músculo estriado esquelético
  • 24.
    TRÁQUEATRÁQUEATRÁQUEATRÁQUEA xtiende de laVI vértebra cervical a la V toxtiende de la VI vértebra cervical a la V to stituida por un esqueleto cartilaginoso destituida por un esqueleto cartilaginoso de os incompletos, los cuales están unidos pos incompletos, los cuales están unidos p igamentos anulares.igamentos anulares. xtiende de la VI vértebra cervical a la V toxtiende de la VI vértebra cervical a la V to tituida por un esqueleto cartilaginoso detituida por un esqueleto cartilaginoso de os incompletos, los cuales están unidos pos incompletos, los cuales están unidos p igamentos anulares.gamentos anulares. Su función es la conducción delSu función es la conducción delSu función es la conducción delSu función es la conducción del
  • 25.
    TRÁQUEA MUCOSA SUBMUCOSA CARTÍLAGO- FIBROSA- MUSCULAR ADVENTICIA Epitelio respiratorio Lámina propia Fibraselásticas longitudinales Tejido conectivo laxo Vasos sanguíneos y linfáticos Glándulas mucosas y mixtas Cartílagos hialinos forma de C Tejido conectivo fibroelástico Músculo liso transversal relacionado con el esófago Tejido conectivo laxo
  • 26.
    na cava superiornacava superior Arco de la aortaArco de la aorta Arteria pulmonArteria pulmon EsófagoEsófago Glándula tiroides Arteria carótida común Relaciones de tráquea y bronquios Venas pulmonares
  • 27.
    TIPOS CELULARES DEL EPITELIO RESPIRATORIO Cilíndricas ciliadas(300 cilios) Caliciformes (secretoras de moco) En cepillo tipo I (inmaduras) En cepillo tipo II (neuroepiteliales) Granulosas (endocrinas) Basales (células madres)
  • 30.
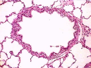
    B R O N Q U I O S MUCOSA SUBMUCOSA CARTILAGO FIBROSA ADVENTICIA Epitelio respiratorio hasta epiteliosimple cilíndrico cccc Lámina propia tejido conectivo Fibras musculares lisas Tejido conectivo laxo Glándulas mucosas Vasos sanguíneos y linfáticos Placas irregulares de cartílago hialino y tejido fibroelástico Tejido conectivo laxo disminuye distalmente. I N T R A P U L M O N A R E S
  • 34.
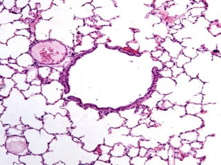
    B R O N Q U I O L O S MUCOSA Epitelio de simplecilíndrico cccc hasta cúbico con cilios sin células caliciformes, con células de Clara Tejido conectivo laxo Mas pliegues que en bronquios Músculo liso, relativamente más gruesa que en los bronquios Tejido conectivo laxo, muy fina hasta casi desaparecer en los bronquiolos terminales MUSCULAR ADVENTICIA
  • 42.
    T A B I Q U E Epitelio simple planoalveolar y su lámina basal Tejido conectivo laxo: fibras reticulares y elásticas finas y abundante red capilar Epitelio simple plano alveolar y su lámina basal I N T E R A L V E O L A R
  • 43.
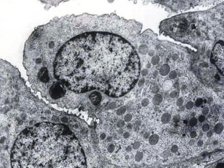
    Neumocito tipo I(célula plana) Neumocito tipo II (célula alveolar) Células endoteliales Macrófagos alveolares Células sanguíneas (dentro de los capilares) Fibroblastos C É L U L A S D E L T A B I Q U E I N T E R A L V E O L A R
  • 45.
    BARRERA SANGRE-AIRE Endotelio continuo delos capilares Membrana basal del capilar Zona difusa Membrana basal del neumocito tipo I Citoplasma de la célula epitelial alveolar Película del surfactante pulmonar Con frecuencia falta la zona difusa y se fusionan las membranas basales quedando reducida la barrera a tres elementos: Citoplasma adelgazado del endotelio capilar Membrana basal fusionada Citoplasma adelgazado de la célula epitelial