DEMENCIA
Jorge Ernesto de la Mata Flores
ALGUNAS ABREVIACIONES
USADAS EN LAS DIAPOS
• AD: Alzheimer’s disease = enfermedad de Alzheimer
• DV: Demencia vascular
• FTD: Demencia frontotemporal
• HD: Enfermedad de Huntington
• PD: Enfermedad de Parkinson
• DLB: Demencia con cuerpos de Lewy
Jorge Ernesto de la Mata Flores
¿QUÉ ES?
• Deterioro de los procesos cognitivos que impide la realización
de actividades de la vida cotidiana de manera satisfactoria:
• Memoria, aprendizaje, juicios de valor y resolución de
problemas.
• Depresión, apatía,alucinaciones, delirios, agitación e insomnio.
• Alteración de circuitos neuronales (NTs)
Jorge Ernesto de la Mata Flores
ANATOMÍA FUNCIONAL
• Vías de neurotransmisores
• NA, SRT y DOPA  comportamiento y ánimo
• ACH  atención y memoria
• AD: Corteza entorrinal  hipocampo  neocorteza temporal y
parietal (memoria  afasia  m. espacial)
• DV: daño focalizado  diseminación
• FTD: corteza
Jorge Ernesto de la Mata Flores
ANATOMÍA FUNCIONAL
• Vías corticoestriatales: conducta
• Vías orbitofrontocingulares: agresividad, euforia,
concentración
• Vías materia blanca: desorganización, falta de planificación,
flexibilidad cognitiva, daño de la memoria de trabajo
• Corteza anterior – cíngulo: apatía, alteración de comunicación
verbal y el habla.
Jorge Ernesto de la Mata Flores
CAUSAS DE DEMENCIA
• Gran factor de riesgo: ENVEJECIMIENTO
• Reconocer la deficiencia cognitiva leve
Jorge Ernesto de la Mata Flores
Trastornos
degenerativos
• AD, PD, DLB,
FTD, HD, CJD,
PSP, ALS, EM,
Complejo de
Guam, GSSD
Ttno
reversibles
• Depresión
• Alcoholismo
• Intoxicación
drugs/meds
• Hidrocefalia
Ttnos crónicos
• Infecciones
crónicas
• Neoplasias
• Insuf.
Endocrina u
otras
• Cuadros
psiquiátricos
• Enf.
Autoinmunes
Cuadros CV y
epilepsia
• DV
• CARASIL y
CADASIL
• Epilepsia no
convulsiva
recurrente
ANAMNESIS
• INICIO: agudo/crónico
• Síntomas iniciales
• Memoria, fx superiores  AD
• Personalidad, comportamiento FTD
• Alucinaciones visuales, parkinsonismo, delirio, RBD  DLB
• Antecedentes de apoplejía  DV
• Rigidez motora y mioclonías  CJD
• Locomoción  DV, PD, DLB, HCNT
• Amnesia intensa, psicosis  enc. Límbica PN
• Antecedente familiar  HD, AD/FTD/DLB, priones, enf.
autoinmune
Jorge Ernesto de la Mata Flores
EX. FÍSICO Y NEUROLÓGICO
• ALTERACIÓN MOTORA:
• AD: etapas ulteriores
• FTD: rigidez axial,PSP, enf. de motoneurona
• DLB: parkinsonismo (+alucinaciones visuales)
• Sd. Corticobasal: amnesia asimétrica, rigidez, distonía,
movimientos mioclónicos, alien limb
• PSP: Rigidez axial, disfagia
• CJD: rigidez difusa, mutismo acinético
• D + mielo/neuropatía periférica
Jorge Ernesto de la Mata Flores
EX. COGNITIVO Y
NEUROPSIQUIÁTRICO
• Minimental TEST
• N > 27 ; L > 24 ; M > 10 < G o S
• AD: memoria episódica
• FTD: fx. Ejecutiva, lenguaje
• DLB: fx visuoespacial
• DV: fx ejecutiva, psicomotricidad
Jorge Ernesto de la Mata Flores
LABORATORIO Y EX. COMP.
• Hormonas tiroideas, B12, Hgma completo, BHE
• TAC/RM
• PL
• EEG
• PET/SPECT
• Bx
• Perfiles: renal, hepático, paratiroides, suprarrenal
• Angiograma,VSG, metales, HIV, toxinas
Jorge Ernesto de la Mata Flores
ENFERMEDAD DE ALZHEIMER
Demencia de mayor frecuencia.
Más común en occidente.
Jorge Ernesto de la Mata Flores
GENÉTICA
• Gen APP (Cr. 21)
• Presenilinas
• PS-1 (Cr. 14)  S182  AD temprana
• PS-2 (Cr. 1)  STM2
• Apo (Cr.19) 2, 3, 4
• Otros
• CLU  recambio sináptico
• PICALM  endocitosis mediada por clatrina
• CR1  eliminación de A
Jorge Ernesto de la Mata Flores
A42
PATOLOGÍA
• >Degeneración en lób.Temporal medial y lateral y núcleo basal
de Meynert.
• Microscopía: placas neuríticas y ovillos neurofibrilares
(amiloide)
• Placas: A, PGs, Apo4, antiquimiotripsina-
• APP  amiloide
• Prot.  hiperfosforilada
• Neuroquímica
• neuronas en núcleo basal de Meynert  Ach
• Sistemas Glu, 5-HT y neuropéptidos.
• Receptores colinérgicos en corteza e hipocampo.
Jorge Ernesto de la Mata Flores
Jorge Ernesto de la Mata Flores
CLÍNICA
• 8 – 10 (1 – 25) ā
Jorge Ernesto de la Mata Flores
Memoria
Cognición
Desorientación
Lenguaje Apraxia
Visuoespacial
Juicio de valor
y razón
Delirio. Sd.
Capgras
Alteración de la
conducta
Ttno.
Sueño/vigilia
Marcha
festinante
Parkinsonismo-
like
Incontinencia,
inmovilidad,
act. Cotidiana
ROT,
mioclonías,
convulsiones g.

Desnutrició
n,
infecciones,
broncoasp.,
TEP,
cardiopatía
s
EXÁMENES AUXILIARES
• TAC/RM: Atrofia cortical posterior, temportal medial e
hipocampo.
• SPECT/PET: hipoperfusión/hipometabolismo corteza T-P
posterior, NAA, mioinositol
• LCR: A42;  hiperfosforilada (anciano normal)
Jorge Ernesto de la Mata Flores
N AD
Jorge Ernesto de la Mata Flores
TRATAMIENTO
• Antiacetilcolinesterásicos
Jorge Ernesto de la Mata Flores
FÁRMACO DOSIS MX ACCIÓN AD METABOL.
DONEPEZILO 10 mg/día Anti-AChE no comp. L  I hepático
RIVASTIGMINA
6mg 2v/día
9.5 mg/d
(P)
Anti-AChE; anti-
BuChE no comp.
L  M
(PDD)
esterasas
GALANTAMINA
24 mg/d
bid
Anti-AChE comp L  M hepático
TACRINA 20mg 4v/d
Anti-AChE; anti-
BuChE no comp.
No
usado
hepatotóxico
TRATAMIENTO
• Anti-NMDA glutamatérgicos
• MEMANTINA 10mg 2v/d AD (MI)
• Tratar síntomas y cuadros acompañantes
• Depresión
• Convulsiones
• Sx. Psiquiátricos
• Evitar: anticolinérgicos somníferos o incontinencia
Jorge Ernesto de la Mata Flores
META-ANALYSIS OF MODIFIABLE RISK
FACTOR FOR ALZHEIMER’S DISEASE
9 Factores de riesgo
modificables:
• Obesidad
• Estrechez de arteria
carótida
• Bajo nivel de instrucción
• Hiperhomocisteinemia
• Depresión
• Hipertensión
• Consunsión
• Fumar
• Diabetes tipo 2 (Asia)
Jorge Ernesto de la Mata Flores
Xu W, et al. J Neurol Neurosurg Psychiatry 2015;0:1–8. doi:10.1136/jnnp-2015-310548
2/3 de
población con
AD
META-ANALYSIS OF MODIFIABLE RISK
FACTOR FOR ALZHEIMER’S DISEASE
Efecto protector
• Exposicion médica
• Estrógenos
• Estatinas
• Antihipertensivos
• AINES
• Dieta
• Folato
• Vitaminas C y E
• Café
Jorge Ernesto de la Mata Flores
Xu W, et al. J Neurol Neurosurg Psychiatry 2015;0:1–8. doi:10.1136/jnnp-2015-310548
Incremento de riesgo
• Químico: Hiperhomocisteína
• Condición psicológica:
depresión
• Condiciones pre-existentes
• Debilidad o consunción
• Ateroesclerosis carotídea
• HTA
• PAD baja
• Diabetes tipo 2 en asiáticos
• Bajo nivel instructivo
• IMC alto o bajo en adultez
• Trastornos del sueño*
Jorge Ernesto de la Mata Flores
META-ANALYSIS OF MODIFIABLE
RISK FACTOR FOR ALZHEIMER’S
DISEASE
Xu W, et al. J Neurol Neurosurg Psychiatry 2015;0:1–8. doi:10.1136/jnnp-2015-310548
*Alzheimer’s Association - Baumgarta, Carrillo et al: Alzheimer’s &
Dementia – (2015) 1-9
Condiciones pre-
existentes que
disminuyen riesgo
• Artritis
• Cardiopatía
• Síndrome metabólico
• Cáncer
• IMC alta en adultez mayor
• Actividad cognitiva
• Fumar (Occidente)
• Bebedor OH leve a moderado
• Estrés
• Actividad física*
• Entrenamiento cogintivo*
Jorge Ernesto de la Mata Flores
META-ANALYSIS OF MODIFIABLE RISK
FACTOR FOR ALZHEIMER’S DISEASE
Xu W, et al. J Neurol Neurosurg Psychiatry 2015;0:1–8. doi:10.1136/jnnp-2015-310548
*Alzheimer’s Association - Baumgarta, Carrillo et al: Alzheimer’s &
Dementia – (2015) 1-9
• “La enfermedad de Alzheimer es una manifestación de atrofia
cerebral debido a muchos factores diferentes, y no solo a la
acumulación de placas y ovillos fibrilares.”
• “Teoría del polígono dinámico”
-Dr. Majid Fotuhi
Jorge Ernesto de la Mata Flores
META-ANALYSIS OF MODIFIABLE RISK
FACTOR FOR ALZHEIMER’S DISEASE
Xu W, et al. J Neurol Neurosurg Psychiatry 2015;0:1–8. doi:10.1136/jnnp-2015-310548
DEMENCIA VASCULAR
Causa más común de demencia en Asia
Surge con ECV
Tratamiento: Evitar nuevas lesiones isquémicas.Tratar F.R.
Jorge Ernesto de la Mata Flores
DEMENCIA POR MÚLTIPLES
INFARTOS
• Múltiples ictus  Déficits cognitivos
• Dependiente de volumen cortical comprometido.
• Es posible el déficit repentino
• Factores de riesgo:
HTA, DM, coronariopatías,ateroesclerosis
• Ex. Físico: signos de focalización
• *Angiopatía cerebral amiloide: riesgo DV, AD o ambos
Jorge Ernesto de la Mata Flores
ENF. DIFUSA DE LA SUSTANCIA
BLANCA (BINSWANGER)
• Dx: RM + demencia
• RM: Anormalidades bilaterales de sust. Blanca subcortical
• Dx. Diferencial:
• Leucodistrofia metacromática del adulto (arilsulfatasa A)
• LEMP
• Inicio puede ser gradual y de evolución lenta.
Jorge Ernesto de la Mata Flores
ENF. DIFUSA DE LA SUSTANCIA
BLANCA (BINSWANGER)
NEURO
Confusión, apatía,ansiedad,
memoria,psicosis
Juicio de valor,orientación,
actividades cotidianas
Alteraciones conductuales
MOTOR
Sx piramidales y/o
cerebelosos
Incontinencia urinaria c/s
sx. Seudobulbares
Convulsiones y espasmos
mioclónicosJorge Ernesto de la Mata Flores
ENF. DIFUSA DE LA SUSTANCIA
BLANCA (BINSWANGER)
• *CADASIL (gen Notch 3)
• Demencia progresiva, 5ª - 7ª década
• Varios miembros de familia.Antecedentes de migraña y ACV
lagunares a repetición (sin HTA)
• Bx. Cutánea:gránulos arteriolares
• Mitocondriopatías
Jorge Ernesto de la Mata Flores
DEMENCIA
FRONTOTEMPORAL
Suele comenzar > 50ā
Inicio con trastornos conductuales
Tto: sintomático
Jorge Ernesto de la Mata Flores
PATOLÓGÍA
• Atrofia focal de la corteza frontal, insular y temporal.
• Puede comenzar unilateral y luego extenderse.
• Gliosis, microvacuolización y pérdida neuronal con inclusiones
• 90% TDP-43 y 
• 10% FUS
• Inervación SRT cortical; relativo ACh
Jorge Ernesto de la Mata Flores
PATOLÓGÍA
ENFERMEDAD DE PICK
• Ttno degenerativo progresivo neocorteza frontal anterior y
temporal.
• Inclusiones intraneuronales citoplasmáticas argirófilas y afines
a 
• Con clínica  FTD
• Patología 1ª  Degeneración lobular frontotemporal
• FTLD – tau
• FTLD – TDP-43
• FTLD – FUS
Jorge Ernesto de la Mata Flores
GENÉTICA
• Autosómica dominante (Cr. 17)
• MAPT  patía
• GRN  progranulina
• Prot. Con valosina (Cr. 9)
• CHAMP2b (Cr. 3)
• TDP-43 (Cr. 9) y FUS (Cr. 16)
• ELA familiar
• ELA + FTD
• FTD
Jorge Ernesto de la Mata Flores
Acompañadas de
características Parkinsonianas
FTD familiar
CLÍNICA
CONDUC
TA
• Apatía,euforia, ttno alimentación,compulsiones,
anhedonia. Anosognosia.
LENGUAJ
EY
MOTOR
• Disartria,afasia,oftalmoplejía,distonía,disfagia,
fasciculaciones
PLANIFI
CACIÓN
Y JUICIO
DE
VALOR
• Memoria generalmente intacta según pruebas
cognitivas.Anosognosia.
DEMENC
IA
SEMÁNT
ICA
• Pérdida del significado,agnosia asociativa multimodal
DEMENC
IA
• Deficiencia en la capacidad visuoconstructiva,cálculo
y memoria espacial.Traslapes:FTD, PSP, CBD,ELAJorge Ernesto de la Mata Flores
IZQ DER
Afasiaprogresiva
primariaconvariantes
nofluidaysemántica
Alteraconductasocial.
empatía,euforia,
antisocial
PARÁLISIS SUPRANUCLEAR
PROGRESIVA
Enf. Degenerativa que afecta tronco cerebral, ganglios
basales, estructuras límbicas y algunas zonas de corteza
Sin tratamiento. Escasa rpta. a L-DOPA
Jorge Ernesto de la Mata Flores
PATOLOGÍA
•  hiperfosforilada  ovillos neurofibrilares en estructuras
subcorticales y neocorticales
• Morfopatologías gliales + astrocitos
• Cambios neuropatológicos corticales vinculados con AD
Jorge Ernesto de la Mata Flores
CLÍNICA
SD. OCULOMOTOR

OFTALMOPARESIA
SP
CAMBIOS DE
PERSONALIDAD
SUTIL O DE TIPO
EJECUTIVO
CAÍDAS
Jorge Ernesto de la Mata Flores
CLÍNICA
• Disartria, disfagia, rigidez axial simétrica
• Conservación de reflejos oculocefálicos
• Traslape con FTD que suele anteceder al sd. Motor
• Conducta/emoción
• Juicio
• Aprendizaje, memoria, fluidez verbal
• Dificultad ejecutiva, acciones seriadas y cambios de tarea.
Jorge Ernesto de la Mata Flores
DEGENERACIÓN
CORTICOBASAL
Evolución lenta
Sin tratamiento
Jorge Ernesto de la Mata Flores
PATOLOGÍA
• Gliosis y pérdida neuronal intensas en corteza y núcleos
basales (sust. Negra y estriatopálida)
• Neuronas globosas acromáticas + con placas astrocíticas 
sobreexpresión  en sust. Blanca subcortical (fibrillas y
cuerpos oligodendroglobales)
Jorge Ernesto de la Mata Flores
• Neuroimagen funcional sistema post sináptico (SPECT con 123I-
banzamida, PET con 11C-racloprida)
Jorge Ernesto de la Mata Flores
CLÍNICA
• Comienzo unilateral  rigidez, distonía y apraxia de MMSS
• Sd. Progresivo
• conducta, ejecutivo
• Lenguaje, parkinsonismo simétrico
• Bilateralidad  disartria, marcha lenta, temblor intencional,
demencia
Jorge Ernesto de la Mata Flores
DEMENCIA EN PARKINSON
Jorge Ernesto de la Mata Flores
PATOLOGÍA
• Cuerpos de Lewy: PAS+ y ubiquitina+; Ac. Contra sinucleína 
• Cuerpos de Lewy en
• núcleos específicos de tronco cerebral
• sust. Negra
• Amígdalas
• circunvolució del cíngulo
• Neocorteza
• Colinérgico  fluctuaciones, atención, alucinaciones visuales
• + placas A y ovillos NF  AD con LB (uso de
antiacetilcolinesterásicos)
Jorge Ernesto de la Mata Flores
CLÍNICA
ENF.
PARKINSON
DEMENCIA
Y SD.
NEUROPSIQ
UIÁTRICO
Jorge Ernesto de la Mata Flores
PDD
DLB
PDD y DLB son
antecedidos o
acompañados por sx.
De tronco y sustancia
negra
Cuerpos de Lewy en
tronco  sust. Negra
sist. límbico
corteza.
CLÍNICA
• Sensibilidad a perturbaciones metabólicas  delirio y
alucinaciones visuales  infección, fármacos, L-DOPA
• Delirio fluctuante
• Conservación relativa de la memoria, déficit visuoepacial y
ejecutivos
Jorge Ernesto de la Mata Flores
OTRAS CAUSAS DE DEMENCIA
Jorge Ernesto de la Mata Flores
Jorge Ernesto de la Mata Flores
INFECCIOSA
SY PRIONES
HEREDITARIAS,
DEGENERATIVAS
Y/O
ALMACENAMIEN
TO
ENF.
EXTRANEUROL
ÓGICA (Metab.,
sistém., psiqu.)
SUSTANCIASY
DIETA
EFECTO MASA
•HIV,LMP y
otras
encefalitis
virales
•Neurosífilis
•Enf. De
Creutzfeld-
Jakob
•Enf. Huntington
•TEC repetitivo
•Amnesia global
transitoria
•Complejo de Guam
•Leucodistrofia
metacromática
•Adrenoleucodistrofi
a (ALD)
•CADASIL
•Lipofuscinosis
neuronal ceroidea
(NCLS)
METABÓLICAS
•Hipotiroidismo
•Hepatopatía
•Insuf. Renal
•Insuf.
Respiratoria
SISTÉMICA
•Vasculitis
•Vasculitis aislada
de SNC (Angitis
granulomatosa)
PARANEO
•Encefalitis
límbica PN
•Encefalitis PN
anti-R(NMDA)
PSIQUIÁTRICA
•Amnesia
psicógena
•Estado de fuga
CONSUMO
•Alcoholismo
crónico
(+desnutrición
existente; enf. De
Marchiafava-
Bignami)
•Exposición
crónica a
metales (Pb, Hg,
As, Al)
DEFICIENCIA
•B1: Encefalopatía
de Wernicke; Sd.
Korsakoff
•B3 y B6
•B12:
Degeneración
combinada
subaguda
•Neoplasias
•Hidrocefalia
normotensa
•Hidrocefalia ex
vacua
TIPS CLÍNICOS
• ENF. CREUTZFELD-JAKOB
• ENF. HUNTINGTON
• ENF. MARCHIAFAVA-BIGNAMI
Jorge Ernesto de la Mata Flores
DEMENCIA + FOCALIZACIÓN CORTICAL +
RIGIDEZ + ESPASMOS MIOCLÓNICOS
COREA + PERTURB. CONDUCTA + DÉFICIT
EJECUTIVO
SD. IDIOPÁTICO DEMENCIAL + CONVULSIONES +
DEGENERACIÓN CINGULAR
TIPS CLÍNICOS
• HIDROCEFALIA NORMOTENSA (Tri “Hakim-Adams”)
• ENF. HUNTINGTON
• ENCEF.WERNICKE SD. KORSAKOFF
Jorge Ernesto de la Mata Flores
MARCHA ANORMAL + DEMENCIA +
INCONTINENCIA URINARIA
COREA + PERTURB. CONDUCTA + DÉFICIT
EJECUTIVO
CONFUSIÓN + ATAXIA
+ AMNESIA
ANTERÓGRADA
GRACIAS
Jorge Ernesto de la Mata Flores

Demencia

  • 1.
  • 2.
    ALGUNAS ABREVIACIONES USADAS ENLAS DIAPOS • AD: Alzheimer’s disease = enfermedad de Alzheimer • DV: Demencia vascular • FTD: Demencia frontotemporal • HD: Enfermedad de Huntington • PD: Enfermedad de Parkinson • DLB: Demencia con cuerpos de Lewy Jorge Ernesto de la Mata Flores
  • 3.
    ¿QUÉ ES? • Deteriorode los procesos cognitivos que impide la realización de actividades de la vida cotidiana de manera satisfactoria: • Memoria, aprendizaje, juicios de valor y resolución de problemas. • Depresión, apatía,alucinaciones, delirios, agitación e insomnio. • Alteración de circuitos neuronales (NTs) Jorge Ernesto de la Mata Flores
  • 4.
    ANATOMÍA FUNCIONAL • Víasde neurotransmisores • NA, SRT y DOPA  comportamiento y ánimo • ACH  atención y memoria • AD: Corteza entorrinal  hipocampo  neocorteza temporal y parietal (memoria  afasia  m. espacial) • DV: daño focalizado  diseminación • FTD: corteza Jorge Ernesto de la Mata Flores
  • 5.
    ANATOMÍA FUNCIONAL • Víascorticoestriatales: conducta • Vías orbitofrontocingulares: agresividad, euforia, concentración • Vías materia blanca: desorganización, falta de planificación, flexibilidad cognitiva, daño de la memoria de trabajo • Corteza anterior – cíngulo: apatía, alteración de comunicación verbal y el habla. Jorge Ernesto de la Mata Flores
  • 6.
    CAUSAS DE DEMENCIA •Gran factor de riesgo: ENVEJECIMIENTO • Reconocer la deficiencia cognitiva leve Jorge Ernesto de la Mata Flores Trastornos degenerativos • AD, PD, DLB, FTD, HD, CJD, PSP, ALS, EM, Complejo de Guam, GSSD Ttno reversibles • Depresión • Alcoholismo • Intoxicación drugs/meds • Hidrocefalia Ttnos crónicos • Infecciones crónicas • Neoplasias • Insuf. Endocrina u otras • Cuadros psiquiátricos • Enf. Autoinmunes Cuadros CV y epilepsia • DV • CARASIL y CADASIL • Epilepsia no convulsiva recurrente
  • 7.
    ANAMNESIS • INICIO: agudo/crónico •Síntomas iniciales • Memoria, fx superiores  AD • Personalidad, comportamiento FTD • Alucinaciones visuales, parkinsonismo, delirio, RBD  DLB • Antecedentes de apoplejía  DV • Rigidez motora y mioclonías  CJD • Locomoción  DV, PD, DLB, HCNT • Amnesia intensa, psicosis  enc. Límbica PN • Antecedente familiar  HD, AD/FTD/DLB, priones, enf. autoinmune Jorge Ernesto de la Mata Flores
  • 8.
    EX. FÍSICO YNEUROLÓGICO • ALTERACIÓN MOTORA: • AD: etapas ulteriores • FTD: rigidez axial,PSP, enf. de motoneurona • DLB: parkinsonismo (+alucinaciones visuales) • Sd. Corticobasal: amnesia asimétrica, rigidez, distonía, movimientos mioclónicos, alien limb • PSP: Rigidez axial, disfagia • CJD: rigidez difusa, mutismo acinético • D + mielo/neuropatía periférica Jorge Ernesto de la Mata Flores
  • 9.
    EX. COGNITIVO Y NEUROPSIQUIÁTRICO •Minimental TEST • N > 27 ; L > 24 ; M > 10 < G o S • AD: memoria episódica • FTD: fx. Ejecutiva, lenguaje • DLB: fx visuoespacial • DV: fx ejecutiva, psicomotricidad Jorge Ernesto de la Mata Flores
  • 10.
    LABORATORIO Y EX.COMP. • Hormonas tiroideas, B12, Hgma completo, BHE • TAC/RM • PL • EEG • PET/SPECT • Bx • Perfiles: renal, hepático, paratiroides, suprarrenal • Angiograma,VSG, metales, HIV, toxinas Jorge Ernesto de la Mata Flores
  • 11.
    ENFERMEDAD DE ALZHEIMER Demenciade mayor frecuencia. Más común en occidente. Jorge Ernesto de la Mata Flores
  • 12.
    GENÉTICA • Gen APP(Cr. 21) • Presenilinas • PS-1 (Cr. 14)  S182  AD temprana • PS-2 (Cr. 1)  STM2 • Apo (Cr.19) 2, 3, 4 • Otros • CLU  recambio sináptico • PICALM  endocitosis mediada por clatrina • CR1  eliminación de A Jorge Ernesto de la Mata Flores A42
  • 13.
    PATOLOGÍA • >Degeneración enlób.Temporal medial y lateral y núcleo basal de Meynert. • Microscopía: placas neuríticas y ovillos neurofibrilares (amiloide) • Placas: A, PGs, Apo4, antiquimiotripsina- • APP  amiloide • Prot.  hiperfosforilada • Neuroquímica • neuronas en núcleo basal de Meynert  Ach • Sistemas Glu, 5-HT y neuropéptidos. • Receptores colinérgicos en corteza e hipocampo. Jorge Ernesto de la Mata Flores
  • 15.
    Jorge Ernesto dela Mata Flores
  • 16.
    CLÍNICA • 8 –10 (1 – 25) ā Jorge Ernesto de la Mata Flores Memoria Cognición Desorientación Lenguaje Apraxia Visuoespacial Juicio de valor y razón Delirio. Sd. Capgras Alteración de la conducta Ttno. Sueño/vigilia Marcha festinante Parkinsonismo- like Incontinencia, inmovilidad, act. Cotidiana ROT, mioclonías, convulsiones g.  Desnutrició n, infecciones, broncoasp., TEP, cardiopatía s
  • 17.
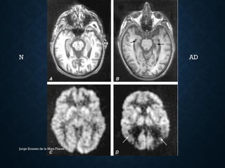
    EXÁMENES AUXILIARES • TAC/RM:Atrofia cortical posterior, temportal medial e hipocampo. • SPECT/PET: hipoperfusión/hipometabolismo corteza T-P posterior, NAA, mioinositol • LCR: A42;  hiperfosforilada (anciano normal) Jorge Ernesto de la Mata Flores
  • 18.
    N AD Jorge Ernestode la Mata Flores
  • 19.
    TRATAMIENTO • Antiacetilcolinesterásicos Jorge Ernestode la Mata Flores FÁRMACO DOSIS MX ACCIÓN AD METABOL. DONEPEZILO 10 mg/día Anti-AChE no comp. L  I hepático RIVASTIGMINA 6mg 2v/día 9.5 mg/d (P) Anti-AChE; anti- BuChE no comp. L  M (PDD) esterasas GALANTAMINA 24 mg/d bid Anti-AChE comp L  M hepático TACRINA 20mg 4v/d Anti-AChE; anti- BuChE no comp. No usado hepatotóxico
  • 20.
    TRATAMIENTO • Anti-NMDA glutamatérgicos •MEMANTINA 10mg 2v/d AD (MI) • Tratar síntomas y cuadros acompañantes • Depresión • Convulsiones • Sx. Psiquiátricos • Evitar: anticolinérgicos somníferos o incontinencia Jorge Ernesto de la Mata Flores
  • 21.
    META-ANALYSIS OF MODIFIABLERISK FACTOR FOR ALZHEIMER’S DISEASE 9 Factores de riesgo modificables: • Obesidad • Estrechez de arteria carótida • Bajo nivel de instrucción • Hiperhomocisteinemia • Depresión • Hipertensión • Consunsión • Fumar • Diabetes tipo 2 (Asia) Jorge Ernesto de la Mata Flores Xu W, et al. J Neurol Neurosurg Psychiatry 2015;0:1–8. doi:10.1136/jnnp-2015-310548 2/3 de población con AD
  • 22.
    META-ANALYSIS OF MODIFIABLERISK FACTOR FOR ALZHEIMER’S DISEASE Efecto protector • Exposicion médica • Estrógenos • Estatinas • Antihipertensivos • AINES • Dieta • Folato • Vitaminas C y E • Café Jorge Ernesto de la Mata Flores Xu W, et al. J Neurol Neurosurg Psychiatry 2015;0:1–8. doi:10.1136/jnnp-2015-310548
  • 23.
    Incremento de riesgo •Químico: Hiperhomocisteína • Condición psicológica: depresión • Condiciones pre-existentes • Debilidad o consunción • Ateroesclerosis carotídea • HTA • PAD baja • Diabetes tipo 2 en asiáticos • Bajo nivel instructivo • IMC alto o bajo en adultez • Trastornos del sueño* Jorge Ernesto de la Mata Flores META-ANALYSIS OF MODIFIABLE RISK FACTOR FOR ALZHEIMER’S DISEASE Xu W, et al. J Neurol Neurosurg Psychiatry 2015;0:1–8. doi:10.1136/jnnp-2015-310548 *Alzheimer’s Association - Baumgarta, Carrillo et al: Alzheimer’s & Dementia – (2015) 1-9
  • 24.
    Condiciones pre- existentes que disminuyenriesgo • Artritis • Cardiopatía • Síndrome metabólico • Cáncer • IMC alta en adultez mayor • Actividad cognitiva • Fumar (Occidente) • Bebedor OH leve a moderado • Estrés • Actividad física* • Entrenamiento cogintivo* Jorge Ernesto de la Mata Flores META-ANALYSIS OF MODIFIABLE RISK FACTOR FOR ALZHEIMER’S DISEASE Xu W, et al. J Neurol Neurosurg Psychiatry 2015;0:1–8. doi:10.1136/jnnp-2015-310548 *Alzheimer’s Association - Baumgarta, Carrillo et al: Alzheimer’s & Dementia – (2015) 1-9
  • 25.
    • “La enfermedadde Alzheimer es una manifestación de atrofia cerebral debido a muchos factores diferentes, y no solo a la acumulación de placas y ovillos fibrilares.” • “Teoría del polígono dinámico” -Dr. Majid Fotuhi Jorge Ernesto de la Mata Flores META-ANALYSIS OF MODIFIABLE RISK FACTOR FOR ALZHEIMER’S DISEASE Xu W, et al. J Neurol Neurosurg Psychiatry 2015;0:1–8. doi:10.1136/jnnp-2015-310548
  • 26.
    DEMENCIA VASCULAR Causa máscomún de demencia en Asia Surge con ECV Tratamiento: Evitar nuevas lesiones isquémicas.Tratar F.R. Jorge Ernesto de la Mata Flores
  • 27.
    DEMENCIA POR MÚLTIPLES INFARTOS •Múltiples ictus  Déficits cognitivos • Dependiente de volumen cortical comprometido. • Es posible el déficit repentino • Factores de riesgo: HTA, DM, coronariopatías,ateroesclerosis • Ex. Físico: signos de focalización • *Angiopatía cerebral amiloide: riesgo DV, AD o ambos Jorge Ernesto de la Mata Flores
  • 28.
    ENF. DIFUSA DELA SUSTANCIA BLANCA (BINSWANGER) • Dx: RM + demencia • RM: Anormalidades bilaterales de sust. Blanca subcortical • Dx. Diferencial: • Leucodistrofia metacromática del adulto (arilsulfatasa A) • LEMP • Inicio puede ser gradual y de evolución lenta. Jorge Ernesto de la Mata Flores
  • 29.
    ENF. DIFUSA DELA SUSTANCIA BLANCA (BINSWANGER) NEURO Confusión, apatía,ansiedad, memoria,psicosis Juicio de valor,orientación, actividades cotidianas Alteraciones conductuales MOTOR Sx piramidales y/o cerebelosos Incontinencia urinaria c/s sx. Seudobulbares Convulsiones y espasmos mioclónicosJorge Ernesto de la Mata Flores
  • 30.
    ENF. DIFUSA DELA SUSTANCIA BLANCA (BINSWANGER) • *CADASIL (gen Notch 3) • Demencia progresiva, 5ª - 7ª década • Varios miembros de familia.Antecedentes de migraña y ACV lagunares a repetición (sin HTA) • Bx. Cutánea:gránulos arteriolares • Mitocondriopatías Jorge Ernesto de la Mata Flores
  • 31.
    DEMENCIA FRONTOTEMPORAL Suele comenzar >50ā Inicio con trastornos conductuales Tto: sintomático Jorge Ernesto de la Mata Flores
  • 32.
    PATOLÓGÍA • Atrofia focalde la corteza frontal, insular y temporal. • Puede comenzar unilateral y luego extenderse. • Gliosis, microvacuolización y pérdida neuronal con inclusiones • 90% TDP-43 y  • 10% FUS • Inervación SRT cortical; relativo ACh Jorge Ernesto de la Mata Flores
  • 33.
    PATOLÓGÍA ENFERMEDAD DE PICK •Ttno degenerativo progresivo neocorteza frontal anterior y temporal. • Inclusiones intraneuronales citoplasmáticas argirófilas y afines a  • Con clínica  FTD • Patología 1ª  Degeneración lobular frontotemporal • FTLD – tau • FTLD – TDP-43 • FTLD – FUS Jorge Ernesto de la Mata Flores
  • 34.
    GENÉTICA • Autosómica dominante(Cr. 17) • MAPT  patía • GRN  progranulina • Prot. Con valosina (Cr. 9) • CHAMP2b (Cr. 3) • TDP-43 (Cr. 9) y FUS (Cr. 16) • ELA familiar • ELA + FTD • FTD Jorge Ernesto de la Mata Flores Acompañadas de características Parkinsonianas FTD familiar
  • 35.
    CLÍNICA CONDUC TA • Apatía,euforia, ttnoalimentación,compulsiones, anhedonia. Anosognosia. LENGUAJ EY MOTOR • Disartria,afasia,oftalmoplejía,distonía,disfagia, fasciculaciones PLANIFI CACIÓN Y JUICIO DE VALOR • Memoria generalmente intacta según pruebas cognitivas.Anosognosia. DEMENC IA SEMÁNT ICA • Pérdida del significado,agnosia asociativa multimodal DEMENC IA • Deficiencia en la capacidad visuoconstructiva,cálculo y memoria espacial.Traslapes:FTD, PSP, CBD,ELAJorge Ernesto de la Mata Flores IZQ DER Afasiaprogresiva primariaconvariantes nofluidaysemántica Alteraconductasocial. empatía,euforia, antisocial
  • 36.
    PARÁLISIS SUPRANUCLEAR PROGRESIVA Enf. Degenerativaque afecta tronco cerebral, ganglios basales, estructuras límbicas y algunas zonas de corteza Sin tratamiento. Escasa rpta. a L-DOPA Jorge Ernesto de la Mata Flores
  • 37.
    PATOLOGÍA •  hiperfosforilada ovillos neurofibrilares en estructuras subcorticales y neocorticales • Morfopatologías gliales + astrocitos • Cambios neuropatológicos corticales vinculados con AD Jorge Ernesto de la Mata Flores
  • 38.
    CLÍNICA SD. OCULOMOTOR  OFTALMOPARESIA SP CAMBIOS DE PERSONALIDAD SUTILO DE TIPO EJECUTIVO CAÍDAS Jorge Ernesto de la Mata Flores
  • 39.
    CLÍNICA • Disartria, disfagia,rigidez axial simétrica • Conservación de reflejos oculocefálicos • Traslape con FTD que suele anteceder al sd. Motor • Conducta/emoción • Juicio • Aprendizaje, memoria, fluidez verbal • Dificultad ejecutiva, acciones seriadas y cambios de tarea. Jorge Ernesto de la Mata Flores
  • 40.
  • 41.
    PATOLOGÍA • Gliosis ypérdida neuronal intensas en corteza y núcleos basales (sust. Negra y estriatopálida) • Neuronas globosas acromáticas + con placas astrocíticas  sobreexpresión  en sust. Blanca subcortical (fibrillas y cuerpos oligodendroglobales) Jorge Ernesto de la Mata Flores
  • 42.
    • Neuroimagen funcionalsistema post sináptico (SPECT con 123I- banzamida, PET con 11C-racloprida) Jorge Ernesto de la Mata Flores
  • 43.
    CLÍNICA • Comienzo unilateral rigidez, distonía y apraxia de MMSS • Sd. Progresivo • conducta, ejecutivo • Lenguaje, parkinsonismo simétrico • Bilateralidad  disartria, marcha lenta, temblor intencional, demencia Jorge Ernesto de la Mata Flores
  • 44.
    DEMENCIA EN PARKINSON JorgeErnesto de la Mata Flores
  • 45.
    PATOLOGÍA • Cuerpos deLewy: PAS+ y ubiquitina+; Ac. Contra sinucleína  • Cuerpos de Lewy en • núcleos específicos de tronco cerebral • sust. Negra • Amígdalas • circunvolució del cíngulo • Neocorteza • Colinérgico  fluctuaciones, atención, alucinaciones visuales • + placas A y ovillos NF  AD con LB (uso de antiacetilcolinesterásicos) Jorge Ernesto de la Mata Flores
  • 46.
    CLÍNICA ENF. PARKINSON DEMENCIA Y SD. NEUROPSIQ UIÁTRICO Jorge Ernestode la Mata Flores PDD DLB PDD y DLB son antecedidos o acompañados por sx. De tronco y sustancia negra Cuerpos de Lewy en tronco  sust. Negra sist. límbico corteza.
  • 47.
    CLÍNICA • Sensibilidad aperturbaciones metabólicas  delirio y alucinaciones visuales  infección, fármacos, L-DOPA • Delirio fluctuante • Conservación relativa de la memoria, déficit visuoepacial y ejecutivos Jorge Ernesto de la Mata Flores
  • 48.
    OTRAS CAUSAS DEDEMENCIA Jorge Ernesto de la Mata Flores
  • 49.
    Jorge Ernesto dela Mata Flores INFECCIOSA SY PRIONES HEREDITARIAS, DEGENERATIVAS Y/O ALMACENAMIEN TO ENF. EXTRANEUROL ÓGICA (Metab., sistém., psiqu.) SUSTANCIASY DIETA EFECTO MASA •HIV,LMP y otras encefalitis virales •Neurosífilis •Enf. De Creutzfeld- Jakob •Enf. Huntington •TEC repetitivo •Amnesia global transitoria •Complejo de Guam •Leucodistrofia metacromática •Adrenoleucodistrofi a (ALD) •CADASIL •Lipofuscinosis neuronal ceroidea (NCLS) METABÓLICAS •Hipotiroidismo •Hepatopatía •Insuf. Renal •Insuf. Respiratoria SISTÉMICA •Vasculitis •Vasculitis aislada de SNC (Angitis granulomatosa) PARANEO •Encefalitis límbica PN •Encefalitis PN anti-R(NMDA) PSIQUIÁTRICA •Amnesia psicógena •Estado de fuga CONSUMO •Alcoholismo crónico (+desnutrición existente; enf. De Marchiafava- Bignami) •Exposición crónica a metales (Pb, Hg, As, Al) DEFICIENCIA •B1: Encefalopatía de Wernicke; Sd. Korsakoff •B3 y B6 •B12: Degeneración combinada subaguda •Neoplasias •Hidrocefalia normotensa •Hidrocefalia ex vacua
  • 50.
    TIPS CLÍNICOS • ENF.CREUTZFELD-JAKOB • ENF. HUNTINGTON • ENF. MARCHIAFAVA-BIGNAMI Jorge Ernesto de la Mata Flores DEMENCIA + FOCALIZACIÓN CORTICAL + RIGIDEZ + ESPASMOS MIOCLÓNICOS COREA + PERTURB. CONDUCTA + DÉFICIT EJECUTIVO SD. IDIOPÁTICO DEMENCIAL + CONVULSIONES + DEGENERACIÓN CINGULAR
  • 51.
    TIPS CLÍNICOS • HIDROCEFALIANORMOTENSA (Tri “Hakim-Adams”) • ENF. HUNTINGTON • ENCEF.WERNICKE SD. KORSAKOFF Jorge Ernesto de la Mata Flores MARCHA ANORMAL + DEMENCIA + INCONTINENCIA URINARIA COREA + PERTURB. CONDUCTA + DÉFICIT EJECUTIVO CONFUSIÓN + ATAXIA + AMNESIA ANTERÓGRADA
  • 52.