Formacion de la imagen

    El espacio K
Cada señal de cada eco se representa
           como un punto
2-Se codifica la señal


                             Información de
                              la frecuencia
                             CODIGO DE FASE




         Información de la fase
         CODIGO DE FASE
y
2-espacio=K se representa con
1-Se elabora un mapa en una matriz
               x




y
TIEMPO QUE TARDA EN RELAJARSE LA LONGITUDINAL
TIEMPO QUE DURA LA SEÑAL MAGNETICA
        HASTA DESAPARECER
            O RELAJARSE
FID   ECO
90º
Secuencias de pulsos
• Series de pulsos


     90º
                      90º




                            ECO
TR Y TE
•   TR: TIEMPO DE REPETICION DEL PULSO
•   TE: TIEMPO ENTRE EL PULSO Y FORMACION DEL ECO




        90º
                                    90º




                                             ECO
TR
• TIEMPO DE REPETICION DESDE UNA
  SECUENCIA DE PULSOS Y LA SIGUIENTE
• ENTRE PULSOS DE 90º
TE
• TIEMPO DE ECO,
• EL TIEMPO EN QUE SE ADQUIERE LA SEÑAL
TR
SECUENCIAS
• SERIES DE PULSOS DE RF Y GRADIENTES QUE
  SE APLICAN PARA DETERMINAR LA
  INCLINACION DEL VECTOR
• SE INCLINA ENTRE 90º 180º O MENOR A 90º
SECUENCIAS DE PULSO
• 1-SE
• 2-IR (INVERSION RECOVERY)
• 3-GRE (ECO GRADIENTE
SECUENCIA SE


       *PONDERACION T1
       *PONDERACION T2
       *DENSIDAD PROTONICA
PONDERACION T1(SE)
• TR: CORTO (HASTA 600MS)
• TE: CORTO (HASTA 40MS)

BRILLA HIPERINTENSO      NEGRO HIPOINTENSO

*LA GRASA,               *LIQUIDO
*MELANINA                *INFARTOS, EDEMAS
*FLUJO SANGUINEO LENTO   *CALCIO
*HEMORRAGIA SUBAGUDA     *HEMORRAGIA CRONICA
                         TUMORES
PONDERACION T2(SE)
 • TR: LARGO(2.000 MS)
 • TE: LARGO(100MS)

BRILLA HIPERINTENSO        NEGRO HIPOINTENSO

*LIQUIDO, LCR              *HIERRO, PROTEINAS,
*HEMORRAGIA HIPERAGUDA     *CA+
*EDEMA, TUMORES, INFRTOS   *HEMATOMA AGUDO,
*MELANINA                  *SUBAGUDO,CRONICO
PONDERACION DP (SE)
• TR: LARGO(2.000 MS)
• TE: CORTO(20MS)
SECUENCIAS GRE
GRE
• SE UTILIZA LOS GRADIENTES SE LE AÑADE UN
  CAMPO MAGNETICO
• SECUENCIAS RAPIDAS CON ANGULOS
  MENORES DE 80º
IR
•   INVERSION DE LA RECUPERACION
•   PULSOS DE 180 Y 90
•   LA IMAGEN TENDRA INFORMACION
•   DE AQUELLO QUE TARDE MUCHO EN
    RECUPERARSE
SECUENCIA IR (tiene TI)

TI TIEMPO DE INVERSION
ES EL TIEMPO ENTRE UN PULSO DE 180º Y 90º)
                                             *FLAIR
                                             *STIR
*FLAIR (fluid attenued inversion recovery)

• TI= LARGO PARA SATURAR EL AGUA,

• Para evaluar focos isquémicos
ENF DESMIELINIZANTES




    SE VE LA ISQUEMIA
    EN SUST. BLANCA




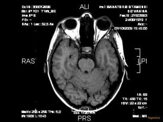
 ALEJANDRA GALVEZ
FLAIR




                    EL AGUA
                    DIO SEÑAL?

                  ¿COMO SE VE
                  LA SUST. GRIS?
                  COMPARADO
                  CON UN T1

                 ¿COMO SE VE
                 LA SUST. BLANCA?




        ALEJANDRA GALVEZ
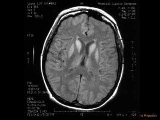
ENF DESMIELINIZANTES




      SE VE LA ISQUEMIA
      EN SUST. BLANCA




 ALEJANDRA GALVEZ
FLAIR




                    EL AGUA
                    DIO SEÑAL?

                  ¿COMO SE VE
                  LA SUST. GRIS?
                  COMPARADO
                  CON UN T1

                 ¿COMO SE VE
                 LA SUST. BLANCA?




        ALEJANDRA GALVEZ
*STIR (SHORT TIME INVERSION RECOVERY)

• TI= CORTO PARA SATURAR LA GRASA,

• Útil para evaluar y diferenciar un componente
  liquido de grasa
IR




     ALEJANDRA GALVEZ
¿COMO SE TRADUCE EN IMAGENES LAS
DISTINTAS VARIANTES Y SECUENCIAS EN
 LOS DISTINTOS TEJIDOS? VEAMOS SU
            IMPORTANCIA
ALEJANDRA GALVEZ
ALEJANDRA GALVEZ
GRACIAS

Espacio k

  • 1.
    Formacion de laimagen El espacio K
  • 12.
    Cada señal decada eco se representa como un punto
  • 13.
    2-Se codifica laseñal Información de la frecuencia CODIGO DE FASE Información de la fase CODIGO DE FASE
  • 14.
  • 15.
  • 16.
    1-Se elabora unmapa en una matriz x y
  • 21.
    TIEMPO QUE TARDAEN RELAJARSE LA LONGITUDINAL
  • 22.
    TIEMPO QUE DURALA SEÑAL MAGNETICA HASTA DESAPARECER O RELAJARSE
  • 23.
    FID ECO
  • 24.
  • 25.
    Secuencias de pulsos •Series de pulsos 90º 90º ECO
  • 26.
    TR Y TE • TR: TIEMPO DE REPETICION DEL PULSO • TE: TIEMPO ENTRE EL PULSO Y FORMACION DEL ECO 90º 90º ECO
  • 27.
    TR • TIEMPO DEREPETICION DESDE UNA SECUENCIA DE PULSOS Y LA SIGUIENTE • ENTRE PULSOS DE 90º
  • 28.
    TE • TIEMPO DEECO, • EL TIEMPO EN QUE SE ADQUIERE LA SEÑAL
  • 29.
  • 31.
    SECUENCIAS • SERIES DEPULSOS DE RF Y GRADIENTES QUE SE APLICAN PARA DETERMINAR LA INCLINACION DEL VECTOR • SE INCLINA ENTRE 90º 180º O MENOR A 90º
  • 32.
    SECUENCIAS DE PULSO •1-SE • 2-IR (INVERSION RECOVERY) • 3-GRE (ECO GRADIENTE
  • 33.
    SECUENCIA SE *PONDERACION T1 *PONDERACION T2 *DENSIDAD PROTONICA
  • 34.
    PONDERACION T1(SE) • TR:CORTO (HASTA 600MS) • TE: CORTO (HASTA 40MS) BRILLA HIPERINTENSO NEGRO HIPOINTENSO *LA GRASA, *LIQUIDO *MELANINA *INFARTOS, EDEMAS *FLUJO SANGUINEO LENTO *CALCIO *HEMORRAGIA SUBAGUDA *HEMORRAGIA CRONICA TUMORES
  • 40.
    PONDERACION T2(SE) •TR: LARGO(2.000 MS) • TE: LARGO(100MS) BRILLA HIPERINTENSO NEGRO HIPOINTENSO *LIQUIDO, LCR *HIERRO, PROTEINAS, *HEMORRAGIA HIPERAGUDA *CA+ *EDEMA, TUMORES, INFRTOS *HEMATOMA AGUDO, *MELANINA *SUBAGUDO,CRONICO
  • 47.
    PONDERACION DP (SE) •TR: LARGO(2.000 MS) • TE: CORTO(20MS)
  • 50.
  • 51.
    GRE • SE UTILIZALOS GRADIENTES SE LE AÑADE UN CAMPO MAGNETICO • SECUENCIAS RAPIDAS CON ANGULOS MENORES DE 80º
  • 65.
    IR • INVERSION DE LA RECUPERACION • PULSOS DE 180 Y 90 • LA IMAGEN TENDRA INFORMACION • DE AQUELLO QUE TARDE MUCHO EN RECUPERARSE
  • 66.
    SECUENCIA IR (tieneTI) TI TIEMPO DE INVERSION ES EL TIEMPO ENTRE UN PULSO DE 180º Y 90º) *FLAIR *STIR
  • 67.
    *FLAIR (fluid attenuedinversion recovery) • TI= LARGO PARA SATURAR EL AGUA, • Para evaluar focos isquémicos
  • 68.
    ENF DESMIELINIZANTES SE VE LA ISQUEMIA EN SUST. BLANCA ALEJANDRA GALVEZ
  • 69.
    FLAIR EL AGUA DIO SEÑAL? ¿COMO SE VE LA SUST. GRIS? COMPARADO CON UN T1 ¿COMO SE VE LA SUST. BLANCA? ALEJANDRA GALVEZ
  • 70.
    ENF DESMIELINIZANTES SE VE LA ISQUEMIA EN SUST. BLANCA ALEJANDRA GALVEZ
  • 71.
    FLAIR EL AGUA DIO SEÑAL? ¿COMO SE VE LA SUST. GRIS? COMPARADO CON UN T1 ¿COMO SE VE LA SUST. BLANCA? ALEJANDRA GALVEZ
  • 73.
    *STIR (SHORT TIMEINVERSION RECOVERY) • TI= CORTO PARA SATURAR LA GRASA, • Útil para evaluar y diferenciar un componente liquido de grasa
  • 74.
    IR ALEJANDRA GALVEZ
  • 77.
    ¿COMO SE TRADUCEEN IMAGENES LAS DISTINTAS VARIANTES Y SECUENCIAS EN LOS DISTINTOS TEJIDOS? VEAMOS SU IMPORTANCIA
  • 78.
  • 79.
  • 86.