Estudio del Tinitus
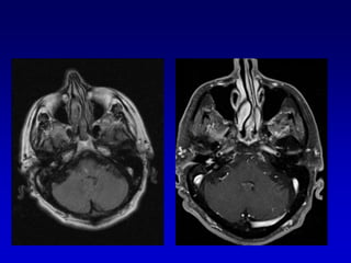
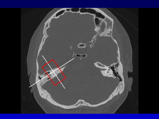
MASA VASCULAR RETROTIMPANICAHipoacusia de conducción asociado a Tinitus pulsátil.CAUSASBulbo yugular dehiscenteCurso atípico de la carótidaGlomus timpánico (paraganglioma)
GLOMUS YUGULAR(paraganglioma)Erosion de la espina yugularInvasion hacia la caja timpánica
Caso 2TAC-RM
Caso 3TAC RM ANGIO
Caso 3
postembolizacion
Glomus timpánico
Carótida aberrante
Bulbo yugular dehiscente
Vertigo
Síndromes vestibulares
Síndromes vestibularesPeriféricoCentralDel Angulo pontocerebelosoParálisis cocleovestibularCerebeloso Dismetría AtaxiaDe la línea mediaSd cerebeloso Compromiso de vías largas
Caso ClínicoHombre , de edad 46 añosConsulta por cuadro vertiginoso que lo asocia  a sonidos intensos
Cómo se llama este fenómeno?
Fenómeno  de TullioVértigo inducido por sonidos fuertes Dehiscencia del Canal Semicircular Superior
Signos Clínicos de SDCSSHennebert (1911)  publicó que en pacientes con sífilis congénita, al aplicar presión sobre el CAE y movilizar mínimamente la membrana timpánica,  se producían síntomas y signos vestibulares (signo de Hennebert)Tullio (1929) experimentó con palomas, al provocar una fístula del canal semicircular  y exponerlas a ruidos fuertes, presentaban un rápido movimiento horizontal ocular y de la cabeza en la dirección opuesta al canal afectado (fenómeno de Tullio)
Se explica porque la dehiscencia ósea del CSS crea una “tercera ventana móvil” dentro del oído interno, lo que va a interferir con el normal funcionamiento del laberinto y sus dos ventanas: oval y redonda
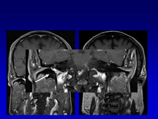
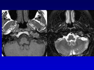
PöschlPlano en 45° oblicuo al plano coronal y sagitalSecciona el peñasco en el plano perpendicular a su ejeEl CSS aparece como un anillo con un arco entero de su pared superiorSe traza paralelo al curso del CSS
PÖSCHL
PÖSCHL
Proyección de StenverPerpendicular al plano de PöschlTambién es en 45° oblicuo al plano coronal y sagital, pero rotado en 90° Muestra las vueltas de la cóclea y  en  sección de corte la cortical superior del CSS
STENVERSTENVER
Volviendo a nuestro caso
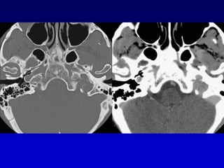
Pöschl Derecho
Stenver Derecho
Pöschl Izquierdo
Stenver Izquierdo
DCSSNORMAL
Discusión El TCMC no tiene falsos negativosSi está el hueso se excluye la enfermedadPudieran existir falsos positivosDados por efecto de volumen parcialLa cápsula ótica pudiera ser menor de 0,5mm y formaría la barrera protectoraUn voxel ocupado parcialmente (1/5) da una atenuación mayor Dehiscencia sin síntomas por dura gruesa
Otras causas del fenómeno de TullioFístula perilinfáticaColestatoma (erosión de canales semicirculares)Sífilis (osteítis de la capsula ótica)Otosclerosis con fenestración quirúrgica Fibrosis de estribo y laberinto membranoso
 Enfermedad de Meniere
Visualización conducto endolinfáticoDist CSSP y espacio subaracnoideos
Síndrome del Angulo pontocerebeloso
Característica principalParálisis cocleo-vestibular
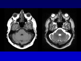
Estudio imagenologicoLa RM es el método de elección en las masas del Angulo pontocerebelosoLas IRM permiten caracterizar la localización y composición de las lesionesLa ARM permite demostrar la presencia de flujo y la relación con las estructuras vasculares
Lesiones del Angulo pontocerebelosoSchwannomasMeningiomasQuiste aracnoideo Quiste Epidermoide
1 SCHWANNOMA
Formas de presentación del neurinoma del acústicoLesión extracanalicular (etapa neurológica)Lesión intracanalicular (etapa otológica)
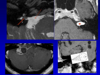
Signos imagenologicosneurinoma extracanalicularLesión extraxialEpicentro en el CAI con extensión a la cisterna del ángulo pontocerebelosoErosion del CAI (*)Componente quísticoRealce importanteSin realce dural
*
Masa intra con extensión extracanalicularSigue el trayecto del nervioForma de cono de helado
2 Meningiomas
Lesiones extraaxialesAumento de tamaño de la cisterna del APCTronco cerebral rotadoDeformación del 4 ventrículoZona de contacto de sustancia gris-blanca alrededor de la lesiónHendidura de LCR entre la masa y el parénquima
MeningiomaPuede invadir el CAI pero no es habitualmente su epicentroRealce dural
Meningioma quistico
Meningioma en placa
3 QUISTE EPIDERMOIDE
Epidermoide
3 QUISTE ARACNOIDAL
Quiste Aracnoideo
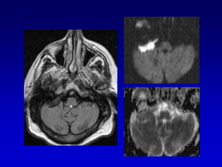
DWIFLAIR
Lesión intracanalicular
AUMENTO DE VOLUMEN NODULAR EN EL CAIPlantea el diagnostico diferencial de Schwannoma conNeuronitisSchwannoma del nervio facial HemangiomaMeningiomasMetástasisLesiones menos frecuentes lipoma, quiste aracnoideo, linfoma, ependimoma y melanoma.
Lesión intracanalicularScreening con  T2 DRIVEExclusión con secuencias T1 Gd que son las secuencias mas sensibles para el Schwannoma intracanalicular, pero no siempre especificas, a veces es difícil la diferenciación con neuritis
Secuencias T2 (DRIVE)Secuencias T2 muy finas permiten información esencial y por lo tanto,  se usan de rutina . Ellas permiten la evaluación de  Tamaño del tumorErosión osea del CAI Neuritis vs ( nervio normal)  Schwannoma
Secuencias T2 (DRIVE)Con el T2 puede verse el LCR en el fondo de saco del CAI
*
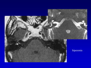
El realce lineal fusiforme con Gd al interior del CAI puede ser ocasionado por:Pequeño Schwannoma (T2  muestran un nódulo sobre el nervio)Neuritis (T2  grosor del nervio normal)AICA normal (T2  pueden confirmar)Invasión  meníngea o hiperemia (T1 con matriz de 512 x 512  Gd pueden distinguir realce a lo largo de las paredes del CAI en vez del centro del CAI)
Vestibulitis+neuritis
carcinomatosis
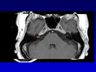
hiperemia
Clinica e imagenes del Tinitus y sindromes vestibulares

Clinica e imagenes del Tinitus y sindromes vestibulares