DOS
CAUSAS
POCO
FRECUENTES
DE
CEFALEA
FRANCISCA
RIVERA
&
SEBASTIAN
GARCIA
DE
LEON
17/11/2014
1er caso: Varón de 50 años1er caso: Varón de 50 años
Procedente de Ecuador
1ª consulta en SIA: feb-2007
1ª consulta en Fuensanta: abr-2011
Antecedentes:
 Cervicalgia, lumbalgia
 SII
 Ansiedad
25/6/2013
Cefalea diaria hemicránea izq opresiva, no náuseas, mareo ocasional
Toma ibuprofeno, cede parcialmente y recidiva
TA 124/72, FC 72
Tto.: naproxeno
IC Oftalmo (por cefalea)  Astigmatismo, PIO normal, FO SHP
Evolución
IC realizadas: Oftalmo, Digestivo, ORL
Pruebas diagnósticas realizadas:
 Enema opaco (dolor abdominal, rectorragia): Dolicolon – Gran bucle en ángulo
esplénico. Restos fecales en marco cólico
 Laringoscopia (disfagia): SHP
 TEGD (disfagia): pequeña hernia deslizante de hiato, no visualizando RGE; resto SHP
 Ecografía renal (dolor lumbar): SHP
25/9/2013: 2ª consulta por cefalea
Pido TAC cerebral
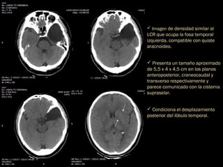
 Imagen de densidad similar al
LCR que ocupa la fosa temporal
izquierda, compatible con quiste
aracnoideo.
 Presenta un tamaño aproximado
de 5,5 x 4 x 4,5 cm en los planos
anteroposterior, craneocaudal y
transverso respectivamente y
parece comunicado con la cisterna
supraselar.
 Condiciona el desplazamiento
posterior del lóbulo temporal.
Remitido a NUC (14/1/2014)
No localizado por UDCA
Última consulta MAP: 14/1/2014
??
QUISTE ARACNOIDEO - Definición
 Colecciones de LCR dentro de las membranas aracnoideas.
 Mec. de aumento:
 Difusión pasiva de CSF en el quiste o
 Atrapamiento progresivo: efecto válvula.
 ≈ 1% de masas intracraneales.
 Incidencia (asintomáticos) en aumento: ↑ uso de neuroimagen
 De los sintomáticos, 75% en niños.
 Por lo general, LCR claro con recuento normal de las células y
proteínas.
 Hemorragia en el quiste puede causar xantocromía.
 Un aumento de proteínas o una pleocitosis sugiere la posibilidad de
neoplasia quística
QUISTE ARACNOIDEO - Clínica
 Aprox. la mitad surgen en la cisura de Silvio.
 Suelen ser asintomáticas, pero pueden presentarse con cefalea,
convulsiones y menos comúnmente, déficits neurológicos focales
 Otros datos:
 En un estudio se encontró que entre aquellos con convulsiones, 91% tenía
quistes localizados en la región temporal izquierda.
 Quistes supraselares suelen causar hidrocefalia obstructiva; ocasionalmente
disfunción visual y/o endocrina.
 Quistes fosa cuadrigémina y posterior pueden causar síntomas del tronco
cerebral, así como hidrocefalia.
QUISTE ARACNOIDEO – Diagnóstico y Tto
 RX: Adelgazamiento del hueso adyacente
(lesiones larga duración)
 TC: masa de densidad LCR con efecto de
masa suave.
 RM: características similares a LCR.
 Diagnóstico diferencial: higromas
crónicos subdurales, infartos, gliomas
de bajo grado, gangliogliomas, quistes
epidermoides y hemangioblastomas
cerebelosos.
Tratamiento:Tratamiento: si los quistes son sintomáticos
 Cirugía: si síntomas de aumento PIC, convulsiones,
déficits neurológicos focales o deterioro cognitivo.
 Aspiración con aguja: beneficio temporal. No buena
opción a largo plazo.
2º caso: Mujer de 71 años2º caso: Mujer de 71 años
Hipotiroidismo: levotiroxina-100 desde 2005
ERC diagnostico en 2011: FG 2012 – 52
HTA: diltiazem, enalapril-HCT
Cardiopatía hipertensiva
Anticoagulada por FA crónica
Poliartrosis ...
Sd postlaminectomia lumbar de años de evolución
 Dolor crónico: fentanilo, pregabalina
7/10/2013
 Mareo sin componente rotatorio, al caminar por la calle con
desviación de la marcha
IC ORL: Paciente que refiere inestabilidad a la marcha y dolor en zona
periauricular izda. Parestesias y perdida de fuerza en brazo izdo
 IC Neuro
16/11/2013: acude a PU
Dolor parieto-occipital izq de 3m. de evolución, sin trauma previo
• Valorada por ORL, quien remite a Neuro (pendiente de cita)
• Refiere desde el inicio de la clínica adormecimiento en mano del
mismo lado. No fiebre.
Exploración:
 Dolor a la palpación en zona parieto-occipital izquierda, sin signos
inflamatorios actualmente.
 Movimiento de MSI conservado, con sensibilidad disminuida
Acudir a consulta de Neuro
18/11/2013
 Aporta informe de PU
 Tiene consulta con Neuro para el 11/12/13
 Ahora no cefalea, no mareo
 Expl.: Dolor a la palpación de musculatura cervical con contractura leve,
equimosis infraorbitaria derecha por caída
 Se pide RX c.cervical
IC Neuro
 Paciente que acude por dolor en zona de Arnold izquierda intenso.
Punto de Arnold +
 Diagnóstico: Neuralgia de Arnold
 Además : cervicalgia y mareo secundario a problema cervical
 La remito a U.Dolor “de aquí” para infiltracion del arnold.
7/1/2014 - Un. Dolor
J.Llorens:
 Dolor desde hace 16 meses retroauricular
izquierdo tipo pinchazo, diario, nocturno, como
descargas eléctricas. Sensación de
adormecimiento a nivel de mano izquierda, con
perdida de fuerza. Sensación de mareo con
perdida de estabilidad. Intervenida de hernia
discal lumbar.
 Cambia pregabalina por carbamacepina 100 x3
9/1/2014:
 3 caídas desde hace 2d, que se ha cambiado
Lyrica por Tegretol
 Consultar con Un.Dolor
11/1/2014: PU Htal. La Ribera
TAC craneal:
Lesión focal calcificada de 33x25mm en foramen magno y canal medular hasta C2, que
desplaza hacia el lado derecho y comprime troncoencéfalo y médula cervical.
La base de la lesión está ubicada en el lado izquierdo del foramen magno, donde presenta
mayor contacto dural.
También desplaza hacia la derecha y presenta amplio contacto en su vertiente craneal con la
arteria basilar, y en vertiente anterior con la arteria vertebral izquierda.
Calibre ventricular normal para la edad.
Dado que se trata de una lesión intradural extramedular calcificada, plantea como
primera opción el meningioma.
Hemiparesia izquierda de predominio en MSI de 3 días de evolución con disartria
y discreta disfagia para agua. Dolor hemicraneal izquierdo.
RM CEREBRAL-MEDULA CERVICAL
Lesión en topografía del agujero magno de 28x18x31mm, parcialmente calcificada, que
comprime la transición bulbo-médula cervical proximal, hacia la derecha y posterior en el
canal medular. También condiciona un desplazamiento de la arteria basilar. No existe una
mielomalacia significativa asociada en el tramo comprometido medular.
La semiología radiológica de la lesión plantea como primera posibilidad diagnóstica un
meningioma del agujero magno
ANGIOTAC TRONCOS SUPRAAÓRTICOS Y POLÍGONO DE
WILLIS
Meningioma del agujero magno ya conocido.
Existe una dominancia de la arteria vertebral derecha, la cual es la única que forma la
arteria basilar.
En relación con el meningioma la arteria vertebral derecha-basilar se sitúan en contacto
con la vertiente superolateral derecha del mismo.
La arteria vertebral izquierda es de menor calibre y da origen a ramas que irrigan al
tumor. Se observa hipoplasia del segmento P1 izquierdo, la arteria cerebral posterior
izquierda se contrasta fundamentalmente a través de la arteria comunicante posterior.
Elongación de la arteria carótida interna izquierda que llega a situarse retrofaringea.
EMBOLIZACION TUMORAL PREQUIRURGICA
Cateterizo la arteria vertebral, posiciono el micro catéter a
la altura de las vertebras C2-C3 y deposito 7 coils de striker
El control final muestra una oclusión completa de la
vertebral izquierda
Cirugía 21/01/14:
RESECCION DE MENINGIOMA A. MAGNO
En UCI presentó shock séptico (probable origen
neurologico) con fracaso multiórganico.
Derivación lumbopertironeal para tto de lóculo a nivel
de herida quirúrgica.
Alta con buen nivel de conciencia y orientacion,
deambula con andador y precisa ayuda leve-moderada:
mejoría significativa de su déficit previo.
RM POSTTO.
 Cambios postquirúrgicos tras resección de meningioma con acceso
suboccipital izquierdo.
 Resección del meningioma del agujero magno, se observa un resto
tumoral de 14x10x23mm en la vertiente anterolateral izquierda del
agujero magno, que engloba a una arteria que parece corresponder a la
PICA izquierda
 Importante disminución del efecto masa y la compresión bulbar, con una
pequeña área de edema en la transición bulbo-medular.
MENINGIOMA - Epidemiología
1/3 de todos los tumores
cerebrales y del SNC
 La incidencia se incrementa con la edad,
ocurriendo la mayoría en individuos
mayores.
 Más frecuentes en mujeres (relación 2-
3:1)
MENINGIOMA – Factores de Riesgo
No hay ningún factor de riesgo establecido, se sugiere:
Radiación ionizante: Sobre todo radioterapia para
neoplasias malignas del SNC o de cabeza y cuello.
Factores genéticos: En pacientes con
Neurofibromatosis tipo 2, aprox la mitad
de estos pacientes suele tenerlos
Factores hormonales:
Mayor incidencia en mujeres
post-puberales
La relación mujer/hombre es
mayor durante el pico
reproductivo
Neoplasia de mama: Incremento moderado.
Traumas de cráneo:
Se sugirió en 1922
Uso de teléfonos móviles: no estudios
concluyentes
MENINGIOMA - Clasificación
WHO grado I: Meningiomas benignos.
WHO grado II: Incluye atipicos, de células claras y meningiomas
coroideos.
WHO grado III: Malignos. Incluyen anaplásicos, papilares o rabdoides.
 La clasificación tiene una buena correlación
con el resultado y por tanto tiene un
impacto importante en la planificación del
tratamiento.
MENINGIOMA - Síntomas
Determinados por la localización de la masa y el transcurso de
tiempo durante el cual se desarrolla.
MENINGIOMA - Diagnóstico
Requiere confirmación histológica, sin embargo los
estudios de neuroimagen proporcionan un
diagnóstico provisional y puede ser suficiente
para el tratamiento
Neuroimagen: El diagnóstico de un tumor
intracraneal puede ser sugerido por la
presentación clínica y se confirma con la
resonancia magnética (RM) o tomografía
computarizada (TC).
RM (preferida): puede mostrar el origen dural
del tumor en la mayoría.
Diagnóstico diferencial:Diagnóstico diferencial: Otros procesos de la
enfermedad puede implicar la duramadre o el
espacio subdural.
Linfoma, carcinoma metastásico, lesiones
inflamatorias como la sarcoidosis y granulomatosis
de Wegener, y las infecciones como la tuberculosis
MENINGIOMA - Tratamiento
Aunque la mayoría son benignos (grado I de la OMS), su ubicación en el
SNC puede causar morbilidad y/o mortalidad grave.
Manejo: equilibrio entre el tratamiento definitivo y la evitación de daño
neurológico del tratamiento.
Factores específicos de pacientes: síntomas, edad, comorbilidad,
ubicación y características histopatológicas.
El manejo inicial (grado I de la OMS) puede consistir en cirugía, cirugía
más radioterapia, o radioterapia sola.
Para algunos pacientes con lesiones pequeñas, asintomáticos o
mínimamente sintomáticos puede controlarse la evidencia del
crecimiento del tumor, diferiendo el tratamiento inicial.
INDICACIONES DE TC Y RM EN CEFALEAS
Cefalea no migrañosa – Indicaciones de TC Cefalea no migrañosa – Indicaciones de RM
Cefalea intensa de inicio agudo Hidrocefalia en la TC
Evolución subaguda con empeoramiento progresivo Sospecha de lesiones de fosa posterior, silla turca o
seno cavernoso
Síntomas, signos de focalidad neurológica Cefalea tusígena
Cefalea asociada a papiledema o rigidez de nuca Hipertensión endocraneal con TAC normal
Cefalea asociada a fiebre, nausea o vómitos no
explicables por enfermedad sistémica
Cefalea por hipotensión licuoral
Mala respuesta al tratamiento Sospecha de infarto migrañoso
Cefaleas no clasificables por historia clínica.
Pacientes que dudan del diagnostico y/o del
tratamiento ofrecido
Cefalea migrañosa – Indicaciones de Neuroimagen
Primer episodio de migraña con aura
Cambios no explicados en la frecuencia e intensidad
Crisis de migraña con aura con man. focales no cambiantes en lateralidad ni en expresividad clínica
Migraña con aura prolongada
Migraña asociada a sincope
Ansiedad o Hipocondriasis del paciente
CRITERIOS DE DERIVACIÓN
CRITERIOS DE DERIVACIÓN
Neurología
ALGORITMO
Dos causas poco frecuentes de cefaleas

Dos causas poco frecuentes de cefaleas

  • 1.
  • 2.
    1er caso: Varónde 50 años1er caso: Varón de 50 años Procedente de Ecuador 1ª consulta en SIA: feb-2007 1ª consulta en Fuensanta: abr-2011 Antecedentes:  Cervicalgia, lumbalgia  SII  Ansiedad
  • 3.
    25/6/2013 Cefalea diaria hemicráneaizq opresiva, no náuseas, mareo ocasional Toma ibuprofeno, cede parcialmente y recidiva TA 124/72, FC 72 Tto.: naproxeno IC Oftalmo (por cefalea)  Astigmatismo, PIO normal, FO SHP
  • 4.
    Evolución IC realizadas: Oftalmo,Digestivo, ORL Pruebas diagnósticas realizadas:  Enema opaco (dolor abdominal, rectorragia): Dolicolon – Gran bucle en ángulo esplénico. Restos fecales en marco cólico  Laringoscopia (disfagia): SHP  TEGD (disfagia): pequeña hernia deslizante de hiato, no visualizando RGE; resto SHP  Ecografía renal (dolor lumbar): SHP 25/9/2013: 2ª consulta por cefalea Pido TAC cerebral
  • 5.
     Imagen dedensidad similar al LCR que ocupa la fosa temporal izquierda, compatible con quiste aracnoideo.  Presenta un tamaño aproximado de 5,5 x 4 x 4,5 cm en los planos anteroposterior, craneocaudal y transverso respectivamente y parece comunicado con la cisterna supraselar.  Condiciona el desplazamiento posterior del lóbulo temporal.
  • 6.
    Remitido a NUC(14/1/2014) No localizado por UDCA Última consulta MAP: 14/1/2014 ??
  • 7.
    QUISTE ARACNOIDEO -Definición  Colecciones de LCR dentro de las membranas aracnoideas.  Mec. de aumento:  Difusión pasiva de CSF en el quiste o  Atrapamiento progresivo: efecto válvula.  ≈ 1% de masas intracraneales.  Incidencia (asintomáticos) en aumento: ↑ uso de neuroimagen  De los sintomáticos, 75% en niños.  Por lo general, LCR claro con recuento normal de las células y proteínas.  Hemorragia en el quiste puede causar xantocromía.  Un aumento de proteínas o una pleocitosis sugiere la posibilidad de neoplasia quística
  • 8.
    QUISTE ARACNOIDEO -Clínica  Aprox. la mitad surgen en la cisura de Silvio.  Suelen ser asintomáticas, pero pueden presentarse con cefalea, convulsiones y menos comúnmente, déficits neurológicos focales  Otros datos:  En un estudio se encontró que entre aquellos con convulsiones, 91% tenía quistes localizados en la región temporal izquierda.  Quistes supraselares suelen causar hidrocefalia obstructiva; ocasionalmente disfunción visual y/o endocrina.  Quistes fosa cuadrigémina y posterior pueden causar síntomas del tronco cerebral, así como hidrocefalia.
  • 9.
    QUISTE ARACNOIDEO –Diagnóstico y Tto  RX: Adelgazamiento del hueso adyacente (lesiones larga duración)  TC: masa de densidad LCR con efecto de masa suave.  RM: características similares a LCR.  Diagnóstico diferencial: higromas crónicos subdurales, infartos, gliomas de bajo grado, gangliogliomas, quistes epidermoides y hemangioblastomas cerebelosos. Tratamiento:Tratamiento: si los quistes son sintomáticos  Cirugía: si síntomas de aumento PIC, convulsiones, déficits neurológicos focales o deterioro cognitivo.  Aspiración con aguja: beneficio temporal. No buena opción a largo plazo.
  • 10.
    2º caso: Mujerde 71 años2º caso: Mujer de 71 años Hipotiroidismo: levotiroxina-100 desde 2005 ERC diagnostico en 2011: FG 2012 – 52 HTA: diltiazem, enalapril-HCT Cardiopatía hipertensiva Anticoagulada por FA crónica Poliartrosis ... Sd postlaminectomia lumbar de años de evolución  Dolor crónico: fentanilo, pregabalina
  • 11.
    7/10/2013  Mareo sincomponente rotatorio, al caminar por la calle con desviación de la marcha IC ORL: Paciente que refiere inestabilidad a la marcha y dolor en zona periauricular izda. Parestesias y perdida de fuerza en brazo izdo  IC Neuro
  • 12.
    16/11/2013: acude aPU Dolor parieto-occipital izq de 3m. de evolución, sin trauma previo • Valorada por ORL, quien remite a Neuro (pendiente de cita) • Refiere desde el inicio de la clínica adormecimiento en mano del mismo lado. No fiebre. Exploración:  Dolor a la palpación en zona parieto-occipital izquierda, sin signos inflamatorios actualmente.  Movimiento de MSI conservado, con sensibilidad disminuida Acudir a consulta de Neuro
  • 13.
    18/11/2013  Aporta informede PU  Tiene consulta con Neuro para el 11/12/13  Ahora no cefalea, no mareo  Expl.: Dolor a la palpación de musculatura cervical con contractura leve, equimosis infraorbitaria derecha por caída  Se pide RX c.cervical
  • 14.
    IC Neuro  Pacienteque acude por dolor en zona de Arnold izquierda intenso. Punto de Arnold +  Diagnóstico: Neuralgia de Arnold  Además : cervicalgia y mareo secundario a problema cervical  La remito a U.Dolor “de aquí” para infiltracion del arnold.
  • 15.
    7/1/2014 - Un.Dolor J.Llorens:  Dolor desde hace 16 meses retroauricular izquierdo tipo pinchazo, diario, nocturno, como descargas eléctricas. Sensación de adormecimiento a nivel de mano izquierda, con perdida de fuerza. Sensación de mareo con perdida de estabilidad. Intervenida de hernia discal lumbar.  Cambia pregabalina por carbamacepina 100 x3 9/1/2014:  3 caídas desde hace 2d, que se ha cambiado Lyrica por Tegretol  Consultar con Un.Dolor
  • 16.
    11/1/2014: PU Htal.La Ribera TAC craneal: Lesión focal calcificada de 33x25mm en foramen magno y canal medular hasta C2, que desplaza hacia el lado derecho y comprime troncoencéfalo y médula cervical. La base de la lesión está ubicada en el lado izquierdo del foramen magno, donde presenta mayor contacto dural. También desplaza hacia la derecha y presenta amplio contacto en su vertiente craneal con la arteria basilar, y en vertiente anterior con la arteria vertebral izquierda. Calibre ventricular normal para la edad. Dado que se trata de una lesión intradural extramedular calcificada, plantea como primera opción el meningioma. Hemiparesia izquierda de predominio en MSI de 3 días de evolución con disartria y discreta disfagia para agua. Dolor hemicraneal izquierdo.
  • 17.
    RM CEREBRAL-MEDULA CERVICAL Lesiónen topografía del agujero magno de 28x18x31mm, parcialmente calcificada, que comprime la transición bulbo-médula cervical proximal, hacia la derecha y posterior en el canal medular. También condiciona un desplazamiento de la arteria basilar. No existe una mielomalacia significativa asociada en el tramo comprometido medular. La semiología radiológica de la lesión plantea como primera posibilidad diagnóstica un meningioma del agujero magno
  • 18.
    ANGIOTAC TRONCOS SUPRAAÓRTICOSY POLÍGONO DE WILLIS Meningioma del agujero magno ya conocido. Existe una dominancia de la arteria vertebral derecha, la cual es la única que forma la arteria basilar. En relación con el meningioma la arteria vertebral derecha-basilar se sitúan en contacto con la vertiente superolateral derecha del mismo. La arteria vertebral izquierda es de menor calibre y da origen a ramas que irrigan al tumor. Se observa hipoplasia del segmento P1 izquierdo, la arteria cerebral posterior izquierda se contrasta fundamentalmente a través de la arteria comunicante posterior. Elongación de la arteria carótida interna izquierda que llega a situarse retrofaringea.
  • 19.
    EMBOLIZACION TUMORAL PREQUIRURGICA Cateterizola arteria vertebral, posiciono el micro catéter a la altura de las vertebras C2-C3 y deposito 7 coils de striker El control final muestra una oclusión completa de la vertebral izquierda
  • 20.
    Cirugía 21/01/14: RESECCION DEMENINGIOMA A. MAGNO En UCI presentó shock séptico (probable origen neurologico) con fracaso multiórganico. Derivación lumbopertironeal para tto de lóculo a nivel de herida quirúrgica. Alta con buen nivel de conciencia y orientacion, deambula con andador y precisa ayuda leve-moderada: mejoría significativa de su déficit previo.
  • 21.
    RM POSTTO.  Cambiospostquirúrgicos tras resección de meningioma con acceso suboccipital izquierdo.  Resección del meningioma del agujero magno, se observa un resto tumoral de 14x10x23mm en la vertiente anterolateral izquierda del agujero magno, que engloba a una arteria que parece corresponder a la PICA izquierda  Importante disminución del efecto masa y la compresión bulbar, con una pequeña área de edema en la transición bulbo-medular.
  • 22.
    MENINGIOMA - Epidemiología 1/3de todos los tumores cerebrales y del SNC  La incidencia se incrementa con la edad, ocurriendo la mayoría en individuos mayores.  Más frecuentes en mujeres (relación 2- 3:1)
  • 23.
    MENINGIOMA – Factoresde Riesgo No hay ningún factor de riesgo establecido, se sugiere: Radiación ionizante: Sobre todo radioterapia para neoplasias malignas del SNC o de cabeza y cuello. Factores genéticos: En pacientes con Neurofibromatosis tipo 2, aprox la mitad de estos pacientes suele tenerlos Factores hormonales: Mayor incidencia en mujeres post-puberales La relación mujer/hombre es mayor durante el pico reproductivo Neoplasia de mama: Incremento moderado. Traumas de cráneo: Se sugirió en 1922 Uso de teléfonos móviles: no estudios concluyentes
  • 24.
    MENINGIOMA - Clasificación WHOgrado I: Meningiomas benignos. WHO grado II: Incluye atipicos, de células claras y meningiomas coroideos. WHO grado III: Malignos. Incluyen anaplásicos, papilares o rabdoides.  La clasificación tiene una buena correlación con el resultado y por tanto tiene un impacto importante en la planificación del tratamiento.
  • 25.
    MENINGIOMA - Síntomas Determinadospor la localización de la masa y el transcurso de tiempo durante el cual se desarrolla.
  • 26.
    MENINGIOMA - Diagnóstico Requiereconfirmación histológica, sin embargo los estudios de neuroimagen proporcionan un diagnóstico provisional y puede ser suficiente para el tratamiento Neuroimagen: El diagnóstico de un tumor intracraneal puede ser sugerido por la presentación clínica y se confirma con la resonancia magnética (RM) o tomografía computarizada (TC). RM (preferida): puede mostrar el origen dural del tumor en la mayoría. Diagnóstico diferencial:Diagnóstico diferencial: Otros procesos de la enfermedad puede implicar la duramadre o el espacio subdural. Linfoma, carcinoma metastásico, lesiones inflamatorias como la sarcoidosis y granulomatosis de Wegener, y las infecciones como la tuberculosis
  • 27.
    MENINGIOMA - Tratamiento Aunquela mayoría son benignos (grado I de la OMS), su ubicación en el SNC puede causar morbilidad y/o mortalidad grave. Manejo: equilibrio entre el tratamiento definitivo y la evitación de daño neurológico del tratamiento. Factores específicos de pacientes: síntomas, edad, comorbilidad, ubicación y características histopatológicas. El manejo inicial (grado I de la OMS) puede consistir en cirugía, cirugía más radioterapia, o radioterapia sola. Para algunos pacientes con lesiones pequeñas, asintomáticos o mínimamente sintomáticos puede controlarse la evidencia del crecimiento del tumor, diferiendo el tratamiento inicial.
  • 28.
    INDICACIONES DE TCY RM EN CEFALEAS Cefalea no migrañosa – Indicaciones de TC Cefalea no migrañosa – Indicaciones de RM Cefalea intensa de inicio agudo Hidrocefalia en la TC Evolución subaguda con empeoramiento progresivo Sospecha de lesiones de fosa posterior, silla turca o seno cavernoso Síntomas, signos de focalidad neurológica Cefalea tusígena Cefalea asociada a papiledema o rigidez de nuca Hipertensión endocraneal con TAC normal Cefalea asociada a fiebre, nausea o vómitos no explicables por enfermedad sistémica Cefalea por hipotensión licuoral Mala respuesta al tratamiento Sospecha de infarto migrañoso Cefaleas no clasificables por historia clínica. Pacientes que dudan del diagnostico y/o del tratamiento ofrecido Cefalea migrañosa – Indicaciones de Neuroimagen Primer episodio de migraña con aura Cambios no explicados en la frecuencia e intensidad Crisis de migraña con aura con man. focales no cambiantes en lateralidad ni en expresividad clínica Migraña con aura prolongada Migraña asociada a sincope Ansiedad o Hipocondriasis del paciente
  • 29.
  • 30.
  • 31.