TEMA
TRAUMATISMOS TEMPORALES
UNIVERSIDAD AUTONOMA DE SINALOA
HOSPITAL CIVIL DECULIACAN
CENTRO DE INVESTIGACIÓN Y DOCENCIA EN CIENCIAS DE LA SALUD
OTORRINOLARINGOLOGIA Y CIRUGIA DE CABEZA Y CUELLO
DR. ANGEL CASTRO URQUIZO
R1 ORL
CULIACAN SINALOA ABRIL 2016
Introducción y Anatomía
 Nervio facial
 Nervio vestibulococlear
 Laberinto y cóclea
 Lóbulo temporal, meninges
 Nervio Abducens
Anatomía
ESCAMOSA
• M. temporal
• Ramas Art. Meníngea
media
• Art. Temporales
• Apófisis cigomática
MASTOIDEA
• Inserción de
músculos
• Apófisis mastoides
• Agujero mastoideo:
V.emisaria
• Cerebelo
PETROSA
• Oido
• Fosa oval:
Ganglio Gasser
• Canal Falopio
• Tegmen timpani
• Eminencia
arcuata
Epidemiologia
 70% entre los 20 y 40 años
 Hombres 4:1
 8-20% son bilaterales
 60% son abiertas 
 Otorragia
 Herniacion cerebral
 Fuga de LCR por CAE o TE
Clasificación
CLASIFICACION TRADICIONAL
 Longitudinales  70-90%
 Transversas  10-30%
CLASIFICACION NUEVA
 Disrupción del laberinto óseo  2,5-5,8%
 Sin disrupción
Fracturas con disrupción del laberinto óseo
Mayor incidencia en….
 Paralasis facial (30-60% vs 6-13%)
 Fistula de LCR y lesiones intracraneales (2 a 10 veces )
 Hipoacusia neurosensorial vs conductiva
Longitudinales vs Transversas
Longitudinales
• 70-90%
• < riesgo de secuela
• Clínica: hipoacusia
transmisión, otorragia, Battle,
Otolicuorrea,
Transversas
• 10-30%
• > Riesgo de secuelas
• Clínica: hipoacusia NS,
vértigo, acufenos,
Evaluación clínica
Evaluación clínica
 Pabellón auricular
Evaluación Clinica
 Signo de battle  fractura de base craneal
 CAE  Otorrea, hemotimpano, perforación MT, fx de scutum
NO IRRIGAR, NO OTOSCOPIA NEUMATICA
Hemotimpano Observación resolución espontanea en 6 semanas
Perforación MT  no requiere intervención inmediata
Evaluación clínica
 Audiometría  solo indicada en complicaciones  PF y fuga de LCR
 Nistagmus  post-TCE  VPPB
 ENG  No de manera inicial
 Gran Mayoría resuelven espontáneamente
 > de 1 semana  fistula perilinfatica
Evaluación Imagenologica
Evaluación Imagenologica
Manejo
-En relación a las estructuras afectadas
-Complicaciones
Lesión nervio facial
Fistula LCR
Hipoacusia neurosensorial y de conducción
Colesteatoma
Estenosis de canal auditivo
Menos frecuente
• Lesion V,VI
• Síndrome de Horner
• Lesión carotidea
• Trombosis de seno sigmoide
Lesión nervio facial
 6-7 % de las fracturas temporales
 Latencia de 1- 16 dias
 27% inmediatamente
 73% ocurren posteriormente
 Pronostico pobre
 1.- Inmediato, 2.-penetrante, 3.- Infección
Parálisis
completa +
Aparición
inmediata
Exploración
quirúrgica
66%
• Ganglio geniculado…66%
• 2da rodilla ……………20%
• Segmento timpánico…8%
• Segmento mastoideo…6%
Lesión nervio facial
Lesión nervio facial
Fistula LCR
 17% de las fracturas temporales
 OCS tegmen timpany  rinorraquia , otorraquia
 OCV Fosa craneal posterior
 80% cierran espontáneamente
 Meningitis  2-88%
 > 7 días aumenta la incidencia
Dx- LCR
• B2 transferrina
• Glucosa > 30mg/dl
• Baja en proteínas
-Neumococo
-HiB
Hipoacusia
 Conductiva  26-57% -- longitudinal – lesión osicular, MT, Hemotimpano
 Sensorial  14-23% -- transversa -- OCV
 Mixta  20-55%
 Dislocacion incudoestapedial  57-80%
 Dislocacion incudomaleolar 51%
 Fractura estapedio  30%
 Fractura martillo  8%
Hipoacusia
 Hemotimpano  3-4 semanas
 Perforación MT  68% en 1 mes y 94% en 3 meses
 Miringoplastia
 Timplanoplastia
Colesteatoma
 Años después
 Epitimpano, antrum
Teorías
 Atrapamiento epitelial en la línea de fractura
 Implantación traumática de MT hacia oído medio
 Captación de epitelio del CAE
 Hipoacusia, vértigo, parálisis facial
Trauma temporal

Trauma temporal

  • 1.
    TEMA TRAUMATISMOS TEMPORALES UNIVERSIDAD AUTONOMADE SINALOA HOSPITAL CIVIL DECULIACAN CENTRO DE INVESTIGACIÓN Y DOCENCIA EN CIENCIAS DE LA SALUD OTORRINOLARINGOLOGIA Y CIRUGIA DE CABEZA Y CUELLO DR. ANGEL CASTRO URQUIZO R1 ORL CULIACAN SINALOA ABRIL 2016
  • 2.
    Introducción y Anatomía Nervio facial  Nervio vestibulococlear  Laberinto y cóclea  Lóbulo temporal, meninges  Nervio Abducens
  • 3.
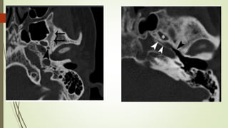
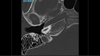
    Anatomía ESCAMOSA • M. temporal •Ramas Art. Meníngea media • Art. Temporales • Apófisis cigomática MASTOIDEA • Inserción de músculos • Apófisis mastoides • Agujero mastoideo: V.emisaria • Cerebelo PETROSA • Oido • Fosa oval: Ganglio Gasser • Canal Falopio • Tegmen timpani • Eminencia arcuata
  • 34.
    Epidemiologia  70% entrelos 20 y 40 años  Hombres 4:1  8-20% son bilaterales
  • 35.
     60% sonabiertas   Otorragia  Herniacion cerebral  Fuga de LCR por CAE o TE
  • 36.
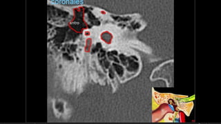
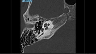
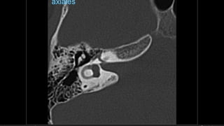
    Clasificación CLASIFICACION TRADICIONAL  Longitudinales 70-90%  Transversas  10-30% CLASIFICACION NUEVA  Disrupción del laberinto óseo  2,5-5,8%  Sin disrupción
  • 38.
    Fracturas con disrupcióndel laberinto óseo Mayor incidencia en….  Paralasis facial (30-60% vs 6-13%)  Fistula de LCR y lesiones intracraneales (2 a 10 veces )  Hipoacusia neurosensorial vs conductiva
  • 40.
    Longitudinales vs Transversas Longitudinales •70-90% • < riesgo de secuela • Clínica: hipoacusia transmisión, otorragia, Battle, Otolicuorrea, Transversas • 10-30% • > Riesgo de secuelas • Clínica: hipoacusia NS, vértigo, acufenos,
  • 42.
  • 43.
  • 44.
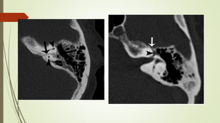
    Evaluación Clinica  Signode battle  fractura de base craneal  CAE  Otorrea, hemotimpano, perforación MT, fx de scutum NO IRRIGAR, NO OTOSCOPIA NEUMATICA Hemotimpano Observación resolución espontanea en 6 semanas Perforación MT  no requiere intervención inmediata
  • 46.
    Evaluación clínica  Audiometría solo indicada en complicaciones  PF y fuga de LCR  Nistagmus  post-TCE  VPPB  ENG  No de manera inicial  Gran Mayoría resuelven espontáneamente  > de 1 semana  fistula perilinfatica
  • 47.
  • 51.
  • 52.
    Manejo -En relación alas estructuras afectadas -Complicaciones Lesión nervio facial Fistula LCR Hipoacusia neurosensorial y de conducción Colesteatoma Estenosis de canal auditivo Menos frecuente • Lesion V,VI • Síndrome de Horner • Lesión carotidea • Trombosis de seno sigmoide
  • 53.
    Lesión nervio facial 6-7 % de las fracturas temporales  Latencia de 1- 16 dias  27% inmediatamente  73% ocurren posteriormente  Pronostico pobre  1.- Inmediato, 2.-penetrante, 3.- Infección Parálisis completa + Aparición inmediata Exploración quirúrgica 66% • Ganglio geniculado…66% • 2da rodilla ……………20% • Segmento timpánico…8% • Segmento mastoideo…6%
  • 54.
  • 55.
  • 56.
    Fistula LCR  17%de las fracturas temporales  OCS tegmen timpany  rinorraquia , otorraquia  OCV Fosa craneal posterior  80% cierran espontáneamente  Meningitis  2-88%  > 7 días aumenta la incidencia Dx- LCR • B2 transferrina • Glucosa > 30mg/dl • Baja en proteínas -Neumococo -HiB
  • 59.
    Hipoacusia  Conductiva 26-57% -- longitudinal – lesión osicular, MT, Hemotimpano  Sensorial  14-23% -- transversa -- OCV  Mixta  20-55%  Dislocacion incudoestapedial  57-80%  Dislocacion incudomaleolar 51%  Fractura estapedio  30%  Fractura martillo  8%
  • 60.
    Hipoacusia  Hemotimpano 3-4 semanas  Perforación MT  68% en 1 mes y 94% en 3 meses  Miringoplastia  Timplanoplastia
  • 61.
    Colesteatoma  Años después Epitimpano, antrum Teorías  Atrapamiento epitelial en la línea de fractura  Implantación traumática de MT hacia oído medio  Captación de epitelio del CAE  Hipoacusia, vértigo, parálisis facial

Notas del editor

  • #3 Estructuras en riesgo de lesión---- Puede resultar en serias secuelas Griego TEMNION  para herir en la batalla Latin Tempus Empiezan las canas  el tiempo que nos queda
  • #4 5 porciones MASTOIEDA ecm, esplenio, PARTE TIMPANICA se refiere al CAE Triangulo de macewens:-_ espina de Henle, arco cigomático, borde del cae,
  • #6 Cavun de meckel
  • #35 En niños es autos 30% y caídas 30%
  • #36 Abiertas.. Riesgo de inefcciones
  • #37 En relación ala punta del peñasco La nuieva clasificación esta en realacion a las secuelas potenciales, se demostró k hay mas secuelas
  • #38 Izqu. AXIAL-- fxLongitudinal perdonan la capsula otica (laberinto oseo) Centro AXIAL fx trnasversa lascuales tperdonan el lab erinto oseo Dere: MIXTA – tmp perdona
  • #39 6-13% las que no hay disrupción Transversas mas neurosensorial que en longitudinales PRONOSTICO
  • #40 OCS- perdonando capsula otica OCV– violando capsula otica
  • #41 Long.. Golpes temporoparietales, Parlisis facial en 20% y ocurre por edema por eso mejor pronosrico Trans… golpes occipitales, Paralisis facial 50% de peor pronostico porque hay sección neural
  • #44 Antes de suturar, desbridar y drenar toda colección Si no se trata acaban en oreja en colifrlor
  • #45 Venas emisarias
  • #46 Fx techo del CAE y scutum
  • #47 Vppb el mas comun
  • #48 cochlear aqueduct, vestibular aqueduct Gs Sulcum glosofaríngeo Jf foramen yugular
  • #49 Izq: Sutura timpanoescamosa, hace mímica de frafctura Centro y derr. Sutura occipitomastoidea
  • #50 IZQ: Sutura esfenoescamoosa,, lateral al foarmen espinoso(punta de flecha) DDER: sutura esfenopetrosa: foramen oval(astericos), trompa eustaqui (punat negra)
  • #51 IZQ: Canal arqueado(petromastoideo) . Canal SC superior DER: Hiato del facial(blanca), ganglio geniculado (negra)
  • #52 AXIAL Frctua canal carotideo
  • #54 Las que ocurren inmediatamente son de pro pronostico Inmediato, 40 no se recuperan del todo Tardio el 5 no se recupera del todo PORCION LABERINTICA Y HORIZONTAL> mas afectada
  • #55 Hilger estimulación test nerviosa En 1 semana hay que explkorar
  • #56 Facial cortado??– injerto Severed- cortado
  • #58 Laxante– prevenir esfuerzos, acetazolamida Para mas del 90%
  • #60 Ns– hemorragia intralaebrintica, fintula perilinfatica. Lesion acústica, lesión colear