¿Qué es la Fijación?
• Laboratorio de histología y citología
• Células del tejido se fijan en un estado
químico y físico
• Resistir cualquier cambio morfológico,
distorsión o descomposición
FIJADOR IDEAL
Prevención de la autólisis
y descomposición
Mantener el volumen
y la forma de la célula
Acción rápida
Tinciones de alta
calidad
Barato No Tóxico
CAMBIOS DEL TEJIDO DURANTE LA FIJACIÓN
Endurecimiento del
tejido
Cambios de densidad
óptica por fijación
Cambia la consistencia
del tejido.
Núcleos pueden parecer
condensados e
hipercromáticos.
Cambios de volumen Interferencia de la
tinción
Tetróxido de Osmio
provoca la hinchazón de
las células.
Tetróxido de Osmio
inhibe la tinción H&E
1
2
3
4
Tipos
de
Fijación
NATURALEZA DE LA FIJACIÓN
Fijación por
inmersión:
Toda la muestra es
sumergida.
Fijación por
recubrimiento:
Fijación por
vapor:
Habitual en muestras
de citología.
Vapor de una sustancia
química para fijar un
frotis.
NATURALEZA DE LA FIJACIÓN
Fijación por perfusión
Liofilización
El fijador se infunde en el
sistema arterial del animal.
El tejido se corta y se congela a
temperaturas muy bajas.
Precauciones para la fijación
• Libre de exceso de sangre.
• Cortes finos entre 3-5 mm de espesor.
• Líquido fijador debe ser 20 veces superior
al volumen del tejido.
• Frasco con cierre de tapa rosca.
MECANISMO
DE
ACCIÓN
Factores pueden afectar a la fijación
Concentración de
iones de hidrógeno
(pH):
• pH neutro
• pH entre 6 y 8
• Ninguna distorsión
morfológica
• La alta acidez o
alcalinidad interfiere en
la fijación
• Se añade una solución
tampón para mantener
el pH del fijador.
• Fosfato, bicarbonato,
Tris y acetato.
Temperatura:
• Ambiente - 0 y 45 °C.
• Tiempo de fijación
puede reducirse a
temperaturas más
altas (60- 65 °C).
• Las enzimas se
conservan mejor a una
temperatura más baja
• Histoquímica de las
enzimas son
adecuados 0-4 °C.
Duración de la fijación:
• La velocidad de
penetración es de 1
mm/h.
• Fija el tejido en 24
horas.
• Fijación prolongada
puede causar pérdida
de lípidos, proteínas y
reducción de la
actividad enzimática
• Provocar el
endurecimiento del
tejido.
Factores pueden afectar a la fijación
Osmolaridad de la
solución fijadora:
• Hipertónica=
contracción celular
• Hipotónica=
hinchazóncelular
• Se pueden añadir
electrolitos, sacarosa
para mantener la
osmolaridad.
• Ligeramente
hipertónico uso
rutinario
Concentración:
• Muy baja = prolonga
el tiempo de fijación
• Más alta provoca una
fijación rápida.
• Mayor
concentración=
endurecimiento del
tejido, su contracción
y cambios
artefactuales.
• La concentración
óptima es del 10%.
Agitación:
• Aumenta la velocidad
de penetración y,
• Lenta= no tener
efecto en la fijación,
• Rápida= efecto
perjudicial.
Fijadores utilizados en el laboratorio
Formaldehído
-Concentración del 37-40%.
-Formalina.
-Se utiliza un 10%
-Penetra 1 mm/h
- 24 horas para la fijación de
un tejido de 1 cm3.
- Volumen de formol: 20
veces el volumen del tejido.
Sumergido
-No debe estar en contacto
con el recipiente
.
Eliminación del formol del
tejido: La reticulación de
los aminoácidos y las
proteínas es lento, lavar el
tejido durante 24 horas, se
elimina el 50% del formol.
Precaución: Irritante para
los ojos y la piel y tóxico
por inhalación.
Elemento cancerígeno.
Ventajas
El índice de penetración de la formalina es alto.
Morfología celular bien conservada en formol.
Barato.
Estable.
Fácil de hacer la solución.
La formalina es una fijación eficaz para la tinción
Desventajas
Fijación lenta. La reacción de la
formalina con
el tejido es
reversible
El tejido muy
vascular puede
tener gránulos
de color
marrón oscuro
La exposición
a la piel
puede
provocar
dermatitis.
Falla para preservar los
mucopolisacáridos
ácidos.
La inhalación
crónica puede
provocar
bronquitis
Preparación de diferentes
soluciones de formol
A. Formalina neutra al 10%:
• Formaldehído, 40%: 100,0 ml
• Agua destilada: 900,0 ml
• Dihidrógeno fosfato de sodio: 4,0 g
• Hidrogenofosfato disódico: 6,5 g
B. Preparación de la solución salina al 10%:
• Formaldehído, 40%: 100,0 ml
• :Cloruro de sodio 9 g
• Agua destilada: 900,0 ml
C. Fijador formal de etanol:
• 95% de alcohol etílico: 20 ml
• Formaldehído, 40%: 10 ml
Glutaraldehído
• Fijador para la microscopía electrónica-preserva la ultraestructura.
• La fijación se produce debido a la extensa reticulación de las proteínas.
• El poder de penetración es escaso
• No reacciona con lípidos o hidratos de carbono
• Debe utilizarse en combinación con el otro fijador.
Ventajas:
- Menos contracción celular
-Mejpr conservación de las proteínas
-Buena reticulación con el colágeno.
-Menos irritante.
Desventajas
-La penetración es escasa y el tejido menos
de 0,5 mm de grosor.
-Menos estable.
-No hay fijación de lípidos.
-Costoso
Tetróxido
de
osmio
Fijación en microscopía electrónica.
Reacciona las moléculas lipídicas
La penetración es escasa, con cantidad proteínas y carbohidratos
Ventajas:
-Conserva los orgánulos citoplasmáticos, cuerpos de Golgi y
mitocondrias
-No endurece el tejido.
Desventajas:
- Debe utilizarse en combinación con otro fijador.
-Puede reaccionar con el grupo de la ribosa y provocar la aglutinación
del ADN.
-Inflamación de los tejidos.
-Es tóxico y se volatiliza a temperatura ambiente.
-Caro.
-Debe almacenarse en un vial de vidrio, alejado de la luz solar.
Metil y alcohol etílico Acetona
Deshidratantes,
Se emplean
principalmente como
fijadores de frotis
citológico
Mercurio y Fijadores
que contienen sal
Líquido de Zenker
Estudio de las enzimas y la
inmuno-citoquímica. Es un
La acetona fría se utiliza a 4 °C
para la fijación.
Fijador de acción rápida, una sustancia.
Los fijadores que contienen mercurio
pueden corroer el metal, por lo que el
fijador debe guardarse en un recipiente de
cristal.
Es un buen fijador para la
cromatina nuclear y el
colágeno.
• Contiene ácido pícrico.
• Es un excelente fijador del glucógeno y tejido conectivo.
• La penetración tisular es alta, y fija las biopsias de tejidos
pequeños en 3-4 horas.
• No es adecuado para el estudio cuantitativo del ADN, provoca
la hidrólisis del ácido nucleico.
Desventajas:
Produce una mancha amarilla en el tejido.
Eliminación del color amarillo: Sumergiendo el tejido en carbonato
de litio en alcohol al 70%
Líquido de Bouin
Artefactos en la Fijación
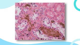
A. PIGMENTO DE FORMALINA
• Pigmento color marrón-
negro por la reacción de
la formalina con los
derivados de la
hemoglobina.
B. PIGMENTOS DE MERCURIO:
• Depósito
irrecuperable de
color marrón
oscuro.
C. MANCHAS DIFUSAS
• Detalles nucleares
y citoplasmáticos
están oscurecidos
D. FIJACIÓN PROLONGADA
• Separación de los
tejidos y espacios
vacíos.
Bibliografia
Dey, P. (2018). Basic and advanced
laboratory techniques in
histopathology and cytology. Springer
Singapore.

FIJACION.pptx

  • 1.
    ¿Qué es laFijación? • Laboratorio de histología y citología • Células del tejido se fijan en un estado químico y físico • Resistir cualquier cambio morfológico, distorsión o descomposición
  • 2.
    FIJADOR IDEAL Prevención dela autólisis y descomposición Mantener el volumen y la forma de la célula Acción rápida Tinciones de alta calidad Barato No Tóxico
  • 3.
    CAMBIOS DEL TEJIDODURANTE LA FIJACIÓN Endurecimiento del tejido Cambios de densidad óptica por fijación Cambia la consistencia del tejido. Núcleos pueden parecer condensados e hipercromáticos. Cambios de volumen Interferencia de la tinción Tetróxido de Osmio provoca la hinchazón de las células. Tetróxido de Osmio inhibe la tinción H&E 1 2 3 4
  • 4.
  • 5.
    NATURALEZA DE LAFIJACIÓN Fijación por inmersión: Toda la muestra es sumergida. Fijación por recubrimiento: Fijación por vapor: Habitual en muestras de citología. Vapor de una sustancia química para fijar un frotis.
  • 6.
    NATURALEZA DE LAFIJACIÓN Fijación por perfusión Liofilización El fijador se infunde en el sistema arterial del animal. El tejido se corta y se congela a temperaturas muy bajas.
  • 7.
    Precauciones para lafijación • Libre de exceso de sangre. • Cortes finos entre 3-5 mm de espesor. • Líquido fijador debe ser 20 veces superior al volumen del tejido. • Frasco con cierre de tapa rosca.
  • 8.
  • 9.
    Factores pueden afectara la fijación Concentración de iones de hidrógeno (pH): • pH neutro • pH entre 6 y 8 • Ninguna distorsión morfológica • La alta acidez o alcalinidad interfiere en la fijación • Se añade una solución tampón para mantener el pH del fijador. • Fosfato, bicarbonato, Tris y acetato. Temperatura: • Ambiente - 0 y 45 °C. • Tiempo de fijación puede reducirse a temperaturas más altas (60- 65 °C). • Las enzimas se conservan mejor a una temperatura más baja • Histoquímica de las enzimas son adecuados 0-4 °C. Duración de la fijación: • La velocidad de penetración es de 1 mm/h. • Fija el tejido en 24 horas. • Fijación prolongada puede causar pérdida de lípidos, proteínas y reducción de la actividad enzimática • Provocar el endurecimiento del tejido.
  • 10.
    Factores pueden afectara la fijación Osmolaridad de la solución fijadora: • Hipertónica= contracción celular • Hipotónica= hinchazóncelular • Se pueden añadir electrolitos, sacarosa para mantener la osmolaridad. • Ligeramente hipertónico uso rutinario Concentración: • Muy baja = prolonga el tiempo de fijación • Más alta provoca una fijación rápida. • Mayor concentración= endurecimiento del tejido, su contracción y cambios artefactuales. • La concentración óptima es del 10%. Agitación: • Aumenta la velocidad de penetración y, • Lenta= no tener efecto en la fijación, • Rápida= efecto perjudicial.
  • 11.
    Fijadores utilizados enel laboratorio Formaldehído -Concentración del 37-40%. -Formalina. -Se utiliza un 10% -Penetra 1 mm/h - 24 horas para la fijación de un tejido de 1 cm3. - Volumen de formol: 20 veces el volumen del tejido. Sumergido -No debe estar en contacto con el recipiente . Eliminación del formol del tejido: La reticulación de los aminoácidos y las proteínas es lento, lavar el tejido durante 24 horas, se elimina el 50% del formol. Precaución: Irritante para los ojos y la piel y tóxico por inhalación. Elemento cancerígeno.
  • 12.
    Ventajas El índice depenetración de la formalina es alto. Morfología celular bien conservada en formol. Barato. Estable. Fácil de hacer la solución. La formalina es una fijación eficaz para la tinción
  • 13.
    Desventajas Fijación lenta. Lareacción de la formalina con el tejido es reversible El tejido muy vascular puede tener gránulos de color marrón oscuro La exposición a la piel puede provocar dermatitis. Falla para preservar los mucopolisacáridos ácidos. La inhalación crónica puede provocar bronquitis
  • 14.
    Preparación de diferentes solucionesde formol A. Formalina neutra al 10%: • Formaldehído, 40%: 100,0 ml • Agua destilada: 900,0 ml • Dihidrógeno fosfato de sodio: 4,0 g • Hidrogenofosfato disódico: 6,5 g B. Preparación de la solución salina al 10%: • Formaldehído, 40%: 100,0 ml • :Cloruro de sodio 9 g • Agua destilada: 900,0 ml C. Fijador formal de etanol: • 95% de alcohol etílico: 20 ml • Formaldehído, 40%: 10 ml
  • 15.
    Glutaraldehído • Fijador parala microscopía electrónica-preserva la ultraestructura. • La fijación se produce debido a la extensa reticulación de las proteínas. • El poder de penetración es escaso • No reacciona con lípidos o hidratos de carbono • Debe utilizarse en combinación con el otro fijador. Ventajas: - Menos contracción celular -Mejpr conservación de las proteínas -Buena reticulación con el colágeno. -Menos irritante. Desventajas -La penetración es escasa y el tejido menos de 0,5 mm de grosor. -Menos estable. -No hay fijación de lípidos. -Costoso
  • 16.
    Tetróxido de osmio Fijación en microscopíaelectrónica. Reacciona las moléculas lipídicas La penetración es escasa, con cantidad proteínas y carbohidratos Ventajas: -Conserva los orgánulos citoplasmáticos, cuerpos de Golgi y mitocondrias -No endurece el tejido. Desventajas: - Debe utilizarse en combinación con otro fijador. -Puede reaccionar con el grupo de la ribosa y provocar la aglutinación del ADN. -Inflamación de los tejidos. -Es tóxico y se volatiliza a temperatura ambiente. -Caro. -Debe almacenarse en un vial de vidrio, alejado de la luz solar.
  • 17.
    Metil y alcoholetílico Acetona Deshidratantes, Se emplean principalmente como fijadores de frotis citológico Mercurio y Fijadores que contienen sal Líquido de Zenker Estudio de las enzimas y la inmuno-citoquímica. Es un La acetona fría se utiliza a 4 °C para la fijación. Fijador de acción rápida, una sustancia. Los fijadores que contienen mercurio pueden corroer el metal, por lo que el fijador debe guardarse en un recipiente de cristal. Es un buen fijador para la cromatina nuclear y el colágeno.
  • 18.
    • Contiene ácidopícrico. • Es un excelente fijador del glucógeno y tejido conectivo. • La penetración tisular es alta, y fija las biopsias de tejidos pequeños en 3-4 horas. • No es adecuado para el estudio cuantitativo del ADN, provoca la hidrólisis del ácido nucleico. Desventajas: Produce una mancha amarilla en el tejido. Eliminación del color amarillo: Sumergiendo el tejido en carbonato de litio en alcohol al 70% Líquido de Bouin
  • 20.
    Artefactos en laFijación A. PIGMENTO DE FORMALINA • Pigmento color marrón- negro por la reacción de la formalina con los derivados de la hemoglobina.
  • 22.
    B. PIGMENTOS DEMERCURIO: • Depósito irrecuperable de color marrón oscuro.
  • 23.
    C. MANCHAS DIFUSAS •Detalles nucleares y citoplasmáticos están oscurecidos
  • 24.
    D. FIJACIÓN PROLONGADA •Separación de los tejidos y espacios vacíos.
  • 26.
    Bibliografia Dey, P. (2018).Basic and advanced laboratory techniques in histopathology and cytology. Springer Singapore.