GLOMERULOPATIAS
Introducción
 La causa fundamental de la mayoría de enfermedades
glomerulares, continúa siendo un enigma.
 Agentes infecciosos, autoinmunidad, drogas,
desordenes hereditarios y agentes medioambientales
han sido implicados como causantes de ciertas
enfermedades glomerulares.
Brenner & Rector´s The kidney, 7th. Ed, 2004
Introducción
 Las enfermedades glomerulares pueden ser
categorizadas en aquellas que afectan
primariamente al riñón (Primarias), y en aquellas
en que el involucramiento renal es parte de un
desorden sistémico (secundarias)
L. Hernando, P. Aljamas, M. Arias, C. Caramel. Nefrología Clínica, 2003. Madrid.
Glomerulopatías primarias
 Enfermedades glomerulares que causan Síndrome Nefrótico
 Enfermedad de cambios mínimos
 Glomeruloesclerosis focal y segmentaria
 Glomerulopatía membranosa
 Glomerulonefritis membranoproliferativa
 Nefropatia diabetica
 Amiloidosis
Brenner & Rector´s The kidney, 7th. Ed, 2004
Secundario
 a) Púrpura de Henoch-Schonlein
 b) Lupus eritematoso sistémico
 c) Infecciones sistémicas
Hepatitis B
Sífilis secundaria y congénita
Síndrome de inmunodeficiencia adquirida
Endocarditis bacteriana aguda
 d) Diabetes mellitus
 e) Medicamentos
Analgésicos antiinflamatorios no esteroideos
Heroína
D-penicilamina
f) Neoplasias
Enfermedad de Hodgkin y otros linfomas
 g) Enfermedades inflamatorias crónicas
Amiloidosis
Fiebre del Mediterráneo
 h) Enfermedades hereditarias
Síndrome Nefrótico
 El síndrome nefrótico es la consecuencia clínica del aumento de la permeabilidad de
la pared capilar glomerular, que se traduce en proteinuria masiva e hipoalbuminemia
y se acompaña de grados variables de edema, hiperlipemia y lipiduria.
 Definición:
 Proteinuria >3.5g/d
 Edema
 Hiperlipidemia
 Hipoproteinemia
 Lipiduria
 Consecuencias funcionales de la pérdida urinaria de proteínas
plasmáticas
The Nephrotic Syndrome Haas M., Barzilay Z., Paret G. N. Engl. J.M. Vol. 338 April 2000
Fisiopatología
 Incremento de la permeabilidad a las
Proteínas.
 Factores circulantes que potencian la
permeabilidad de la MBG.
 Factores plasmáticos presumiblemente
derivados de los Linfocitos T.
Circulating Permeability Factors in the Nephrotic Syndrome: A Fresh Look at an Old Problem Journal of the American Society of
Nephrology Volume 14 • Number 2 • February 2003
The Nephrotic Syndrome Haas M., Barzilay Z., Paret G. N. Engl. J.M. Vol. 338 April 2000
Etiología del síndrome nefrótico
Glomerulonefritis primarias*
Niños (%) Adultos
(%)
- Nefropatía de cambios mínimos 52.2 14.8
- Glomerulonefritis esclerosante y focal 33.3 15.1
- Glomerulonefritis membranosa 5.8 22.2
- Glomerulonefritis mesangiocapilar 4.3 7
- Nefropatía IgA - 4.9
- Otras lesiones glomerulares primarias - 10.3
* Prevalencia de las diferentes alteraciones histológicas del síndrome nefrótico debido a glomerulonefritis primarias en aquellos casos biopsiados
según el Registro español de Glomerulonefritis, años 1996-1997. El % corresponde al total de biopsias registradas, independientemente de que
correspondan a lesiones primarias o secundarias.
Brenner & Rector´s The kidney, 7th. Ed, 2004
Glomerulonefritis Adultos (%)
- Glomerulonefritis membranosa 22.2
- Glomerulonefritis esclerosante y focal 15.1
- Nefropatía de cambios mínimos 14.8
- Glomerulonefritis mesangiocapilar 7
- Nefropatía IgA 4.9
- Otras lesiones glomerulares primarias 10.3
Brenner & Rector´s The kidney, 7th. Ed, 2004
SINDROME NEFROTICO
Patogenia de la formación del edema en el síndrome nefrótico. A) Teoría de la hipervolemia o expansión de volumen, según la cual el edema sería resultado de la retención de agua y
sodio por el propio riñón enfermo, que produciría una expansión del volumen plasmático y un aumento en la presión hidrostática capilar que, junto a la hipoalbuminemia, favorecería la
trasudación de líquido al espacio intersticial. B) Teoría clásica o de la hipovolemia, según la cual el descenso en la presión oncótica secundario a la hipoalbuminemia favorecería una
situación de hipovolemia y la retención de agua y sodio a través de la activación del sistema renina-angiotensina-aldosterona. Esta situación sólo tiene trascendencia clínica en
circunstancias de hipoalbuminemia grave (albúmina < 2 g/dl).
L. Hernando, P. Aljamas, M. Arias, C. Caramel. Nefrología Clínica, 2003. Madrid.
Terminología utilizada para describir la respuesta a la terapéutica con
corticoides en los pacientes con síndrome nefrótico
 Sensibles: Cuando desaparecen los signos clínicos y las alteraciones
de laboratorio que caracterizan al Síndrome Nefrótico.
Dependientes: Los pacientes muestran respuesta positiva a la
administración de corticosteroides, pero los síntomas reaparecen al
suspender el tratamiento.
Resistentes: No hay respuesta y el paciente continúan con los
síntomas.
Recaída frecuente: Es la reactivación de los síntomas con frecuencia
mayor de 3 veces en un lapso de 6 meses.
Grafica que evidencia las diferentes formas de enfermedad glomerular, identificadas a través de biopsia con proteinuira
>3gr/d Evaluados en el Laboratorio de Nefropatología de la Universidad de North Carolina.
Brenner & Rector´s The kidney, 7th. Ed, 2004
Glomerulopatías primarias
 Enfermedades glomerulares que causan Síndrome
Nefrótico
 Enfermedad de cambios mínimos
 Glomeruloesclerosis focal y segmentaria
 Glomerulopatía membranosa
 Glomerulonefritis membranoproliferativa
Brenner & Rector´s The kidney, 6th. Ed, 2000
Glomerulonefritis Membranosa
 Es la causa más frecuente de Snd. Nefrótico en adultos (25%).
 El pico de incidencia máximo es en la 4a. Y 5a. Décadas de la vida.
 10 – 20% de pacientes con proteinuria no nefrótica.
 Engrosamiento difuso de la MBG.
 30-40% desarrollan enfermedad renal avanzada
 Etiología:
 Habitualmente es idiopática (80%)
Diseases of the Kidney & Urinary Tract, 8th Edition
Nefropatia Membranosa
Secundaria
 75% de casos de MN, no se puede
determinar el agente etiologico.
 Sin embargo ciertas condiciones
subyacentes estan asociadas con el
desarrollo de MN en alrededor del 25% de
casos.
Diseases of the Kidney & Urinary Tract, 8th Edition
 Autoimmune diseases associated with
membranous nephropathy
1. Systemic lupus erythematosus
2. Rheumatoid arthritis
3. Mixed connective tissue disease
4. Dermatomyositis
5. Ankylosing spondylitis
6. Systemic sclerosis
7. Myasthenia gravis
8. Bullous pemphigoid
9. Autoimmune thyroid disease
10. Sjogren's syndrome
11. Temporal arteritis
12. Crohn's disease
(Adapted from: Short C, Mallick NP. Membranous nephropathy. In: Schrier RW, ed. Diseases
of the kidney. 7th ed. Philadelphia: Lippincott Williams and Wilkins; 2001:1743.)
Infectious diseases associated with membranous
nephropathy
 Hepatitis B
 Hepatitis C
 Human immunodeficiency virus
 Malaria
 Schistosomiasis
 Filariasis
 Syphilis
 Enterococcal endocarditis
(Adapted from: Short C, Mallick NP. Membranous nephropathy. In: Schrier
RW, ed. Diseases of the kidney. 7th ed. Philadelphia: Lippincott Williams and
Wilkins; 2001:1743.)
Drugs/toxins associated with membranous
nephropathy
 Gold
 Penicillamine
 Bucillamine
 Mercury compounds
 Captopril
 Probenicid
 Trimethadione
 Non-steroidal anti-inflammatory drugs
 Cyclooxygenase-2 inhibitors
 Clopidogrel
 Lithium
 Formaldehyde
 Hydrocarbons
(Adapted from: Short C, Mallick NP. Membranous nephropathy. In: Schrier RW, ed.
Diseases of the kidney, 7th ed. Philadelphia: Lippincott Williams & Wilkins;
2001:1743.)
Miscellaneous conditions associated
with membranous nephropathy
 Diabetes mellitus
 Sarcoidosis
 Polycystic kidney disease
 Alpha1-antitrypsin deficiency
 Weber-Christian disease
 Primary biliary cirrhosis
 Systemic mastocytosis
 Guillain-Barre syndrome
 Urticarial vasculitis
 Hemolytic-uremic syndrome
 Dermatitis herpetiformis
 Myelodysplasia
(Adapted from: Short C, Mallick NP. Membranous nephropathy. In: Schrier RW, ed. Diseases
of the kidney, 7th ed. Philadelphia: Lippincott Williams & Wilkins; 2001:1743.)
Malignancies associated with membranous nephropathy
Carcinomas Noncarcinomas
Lung Hodgkin's lymphoma
Esophageal Non-Hodgkin's lymphoma
Colon Leukemia
Breast Mesothelioma
Stomach Melanoma
Renal Wilm's tumor
Ovary Hepatic adenoma
Prostate Angiolymphatic hyperplasia
Oropharynx Schwannoma
Neuroblastoma
Adrenal ganglioneuroma
Associated with graft- versus-host disease after
stem cell transplant
(Adapted from: Short C, Mallick NP. Membranous nephropathy. In: Schrier RW, ed. Diseases of the
kidney, 7th ed. Philadelphia: Lippincott Williams & Wilkins; 2001:1743.)
Figure 28-7 Diagram depicting the four ultrastructural stages of membranous glomerulopathy. Stage I has subepithelial dense deposits (arrow)
without adjacent basement membrane reaction. Stage II has projections of basement membrane adjacent to deposits. Stage III has deposits
surrounded by basement membrane. Stage IV has thickened basement membrane with irregular lucent zones. (Reproduced with permission of J. C.
Jennette.)
Patología
PATOGENESIS
 Varios niveles de evidencia apoyan la idea que
MN representa un desorden autoinmune.
 Existe una asociación con otras enfermedades
autoinmunes y una fuerte asociación con HLA-
DR3.
 Existen depósitos de complejos inmunes
característicos en la membrana basal del
glomérulo.
Diseases of the Kidney & Urinary Tract, 8th Edition
PRESENTACION CLINICA
 Inicio insidioso
 70% a 80% edema periferico y sindrome
nefrotico.
 20% de casos proteinuria en rango no
nefrotico.
 Proteinuria no selectiva (5 a 10 g/dia).
 Hematuria microscopica 50%.
 Hipertension 30% de pacientes.
 Funcion renal conservada al inicio.
Diseases of the Kidney & Urinary Tract, 8th Edition
FACTORES DE PRONOSTICO
MAL PRONOSTICO:
 Sexo masculino
 Edad avanzada
 Alteración de la función renal
 Hiperlipidemia persistente
 Proteinuria en rango nefrótico
 Excreción urinaria de C5b-C9 aumentada
 Lesión en estadio III-IV por Biopsia
Oxford Textbook of Clinical Nephrology, 3rd Edition
Alternativas terapéuticas en la glomerulopatía membranosa
Terapia no específica:
Control presión arterial (125/75 mm Hg): dieta hiposódica. Drogas: IECA, ARAII
Control hiperlipidemia: estatinas meta: LDL<100mg/dL
Control proteinuria: restricción proteínas dieta; uso de IECA y/o ARAII; alternativa AINE
Prevención de TEV
Terapia específica: grupo seleccionado de pacientes
Esteroides (0,5 mg/día) y drogas citotóxicas
Ciclofosfamida oral (1,5-2,0 mg/kg/día) durante 6-12 meses
Alternativamente esquema Ponticelli: ciclos mensuales de clorambucilo (0,1-0,2 mg/kg)
alternando con pulsos de esteroide: metilprednisolona 1g/dia en 3 dosis IV, seguido de
prednisona oral 0.4-0.5 g/Kg/dia durante un mes.
Micofenolato mofetil 1,0 g/cada 12 horas
Micofenolato Mofetil (CellCept): 250 y 500mg
Potente inhibidor selectivo irreversible de la
Deshidrogenasa monofosfato de inosina.
Inhibe la síntesis de novo de guanosina. Necesaria
para la síntesis de linfocitos T y B.
Efecto adversos: GI e Insuficiencia hepática
Nefropatía diabética
 La nefropatía diabética es la causa
predominante de enfermedad renal terminal
(ESRD) en las países desarrollados.
 Representa 30 a 35% de los casos de
tratamiento sustitutivo renal en Estados Unidos.
 La nefropatía complica 30% de los casos de DM
tipo 1 y alrededor de 20% de los de tipo 2
Harrison. Principios de Medicina Interna 16a. Edicion. Trastornos del riñón yHarrison. Principios de Medicina Interna 16a. Edicion. Trastornos del riñón y
las vías urinarias Capítulo 264. Enfermedades glomerulareslas vías urinarias Capítulo 264. Enfermedades glomerulares
Factores de riesgo:
 Hiperglucemia
 Hipertensión arterial
 Hipertensión e hiperfiltración glomerulares
 Proteinuria
 Tabaquismo
 Hiperlipidemia
 Polimorfismos génicos
Harrison. Principios de Medicina Interna 16a. Edicion. Trastornos del riñón yHarrison. Principios de Medicina Interna 16a. Edicion. Trastornos del riñón y
las vías urinarias Capítulo 264. Enfermedades glomerulareslas vías urinarias Capítulo 264. Enfermedades glomerulares
Nefropatía diabética
Fisiopatología
 Hipertensión y la hiperfiltración glomerulares
 Oligoalbuminuria (30 a 300 mg en 24 h),
aparece unos cinco años después de
hipertensión e hiperfiltración glomerulares
 Rasgos de enfermedad tubulointersticial:
hiperpotasiemia o acidosis tubular renal de tipo
IV.
 ESRD se desarrolla generalmente a los cinco a
10 años
Harrison. Principios de Medicina Interna 16a. Edicion. Trastornos del riñón yHarrison. Principios de Medicina Interna 16a. Edicion. Trastornos del riñón y
las vías urinarias Capítulo 264. Enfermedades glomerulareslas vías urinarias Capítulo 264. Enfermedades glomerulares
CAMBIOS PATOLOGICOCS
 Engrosamiento de la membrana basal del
glomérulo (GBM) y expansión del
mesangio.
 Glomérulos y los riñones son casi siempre
normales o tienen tamaño aumentado.
 Depósito lineal de IgG a lo largo de la
GBM
Harrison. Principios de Medicina Interna 16a. Edicion. Trastornos del riñón yHarrison. Principios de Medicina Interna 16a. Edicion. Trastornos del riñón y
las vías urinarias Capítulo 264. Enfermedades glomerulareslas vías urinarias Capítulo 264. Enfermedades glomerulares
DIAGNOSTICO
 CLAVES DIAGNOSTICAS:
1. Tamaño normal o aumentado de los
riñones
2. Signos de retinopatía diabética
proliferativa
3. Sedimento urinario benigno.
Harrison. Principios de Medicina Interna 16a. Edicion. Trastornos del riñón yHarrison. Principios de Medicina Interna 16a. Edicion. Trastornos del riñón y
las vías urinarias Capítulo 264. Enfermedades glomerulareslas vías urinarias Capítulo 264. Enfermedades glomerulares
ESTADIOS DE NEFROPATIA
DIABETICA
 Estadio 1: Estadio de microalbuminuria
(Nefropatia incipiente)
 Estadio 2: Nefropatia Clinica: Proteinuria y
descenso de la Tasa de Filtrado Glomerular
 Estadio 3: Enfermedad Renal Terminal
Clinical Aspects of Diabetic Nephropathy. Diseases of the Kidney & Urinary Tract, 8th Edition
TRATAMIENTO
 Control de la glicemia: HGO, Insulina
 IECA, ARB
 Diálisis Peritoneal, Hemodiálisis
Harrison. Principios de Medicina Interna 16a. Edicion. Trastornos del riñón yHarrison. Principios de Medicina Interna 16a. Edicion. Trastornos del riñón y
las vías urinarias Capítulo 264. Enfermedades glomerulareslas vías urinarias Capítulo 264. Enfermedades glomerulares
Para fines de practica clínica
 GNRP glomerulonefritis
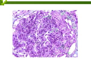
con semilunas
Harrison. Principios de Medicina Interna 16a. Edicion. Trastornos del riñón yHarrison. Principios de Medicina Interna 16a. Edicion. Trastornos del riñón y
las vías urinarias Capítulo 264. Enfermedades glomerulareslas vías urinarias Capítulo 264. Enfermedades glomerulares
Glomerulonefritis rápidamente
progresiva GNRP
El correlato anatomopatológico de la
inflamación glomerular subaguda
Glomerulonefritis con semilunas
Harrison. Principios de Medicina Interna 16a. Edicion. Trastornos del riñón yHarrison. Principios de Medicina Interna 16a. Edicion. Trastornos del riñón y
las vías urinarias Capítulo 264. Enfermedades glomerulareslas vías urinarias Capítulo 264. Enfermedades glomerulares
GNRP
Clínicamente se caracteriza por:
 Insuficiencia renal en semanas a
meses
 Sedimento urinario nefrítico
 Proteinuria
 Oliguria
 Hipervolemia
 Edema
 Hipertensión en grados variablesHarrison. Principios de Medicina Interna 16a. Edicion. Trastornos del riñón yHarrison. Principios de Medicina Interna 16a. Edicion. Trastornos del riñón y
las vías urinarias Capítulo 264. Enfermedades glomerulareslas vías urinarias Capítulo 264. Enfermedades glomerulares
Histológicamente se caracteriza
por
 Lesiones situadas en el espacio de
Bowman ( semilunas )
 Células epiteliales parietales y
proliferadas ( luz capilar )
 Células proliferadas que pueden
predominar en los hallazgos
histológicos o presentarse junto con
otras anomalías.
Harrison. Principios de Medicina Interna 16a. Edicion. Trastornos del riñón yHarrison. Principios de Medicina Interna 16a. Edicion. Trastornos del riñón y
las vías urinarias Capítulo 264. Enfermedades glomerulareslas vías urinarias Capítulo 264. Enfermedades glomerulares
Etiología y diagnostico
 El síndrome nefrítico de la GNRP puede
deberse a glomerulopatias primarias (limitada
al riñón ) o secundarias a procesos generales
 Como norma el diagnostico rápido y el
tratamiento oportuno evita la insuficiencia
renal irreversible
Harrison. Principios de Medicina Interna 16a. Edicion. Trastornos del riñón yHarrison. Principios de Medicina Interna 16a. Edicion. Trastornos del riñón y
las vías urinarias Capítulo 264. Enfermedades glomerulareslas vías urinarias Capítulo 264. Enfermedades glomerulares
Diagnostico
 Biopsia ( metodo de elección )
 Microscopia de inmunofluorescencia:
1 Deposito granulosos (GN por inmunocomplejos)
>70%
2 Deposito en la membrana basal MBG
< 1%
3 Escasez de inmunoglobulinas
(Pauci-inmunitaria)
<30%
Harrison. Principios de Medicina Interna 16a. Edicion. Trastornos del riñón yHarrison. Principios de Medicina Interna 16a. Edicion. Trastornos del riñón y
las vías urinarias Capítulo 264. Enfermedades glomerulareslas vías urinarias Capítulo 264. Enfermedades glomerulares
Diagnostico
 Marcadores serológicos que predicen los hallazgos
de la microscopia de inmunofluorescencia
1 Nivel serico de C3
2 ANCA
3 Anticuerpos anti-MBG
Harrison. Principios de Medicina Interna 16a. Edicion. Trastornos del riñón yHarrison. Principios de Medicina Interna 16a. Edicion. Trastornos del riñón y
las vías urinarias Capítulo 264. Enfermedades glomerulareslas vías urinarias Capítulo 264. Enfermedades glomerulares
Types of glomerulonephritis that can be associated with rapidTypes of glomerulonephritis that can be associated with rapid
deterioration in renal function and glomerular crescent formationdeterioration in renal function and glomerular crescent formation
Primary Renal Diseases
anti-GBM without lung involvement
RPGN without immune deposits (>80% ANCA positive)
Membranoproliferative glomerulonephritis
Membranous nephropathy
Immunoglobulin A disease
Hereditary nephritis
Systemic Diseases
Goodpasture's syndrome
Poststreptococcal
Endocarditis
Abscess
Henoch-Schonlein disease
Lupus nephritis
Polyarteritis
Wegener's granulomatosis
Cryoglobulinemia
Scleroderma
Relapsing polychondritis
Malignancy
Malignant hypertension
ANCA, antineutrophil cytoplasmic antibody; anti-GBM, antiglomerular basement membrane disease; RPGN, rapidly
progressive glomerulonephritis
Chapter 60 - Rapidly Progressive Glomerulonephritis. Diseases of the Kidney & Urinary Tract, 8th Edition
PRESENTACION CLINICA
 Letargia
 Debilidad
 Anorexia
 Nauseas
 Edema
 Hipertension
 Antecedente de
infeccion viral previa
 Inicio agudo
 Fiebre, rash, artralgia
(vasculitis)
 Hemoptisis (Sdm
Goodpasture)
 Sintomas de falla
renal
Chapter 60 - Rapidly Progressive Glomerulonephritis. Diseases of the Kidney & Urinary Tract, 8th Edition
TRATAMIENTO
 Minimizar la progresion de la enfermedad renal
 Control de la HTA: IECA, dieta
 Manejo de la falla renal: dialisis
 Esteroides: metilprednisolona IV
 Agentes citotoxicos: azatioprina, ciclofosfamida
y ocasionalmente cloranbucilo
 Anticoagulantes, agentes antiplaquetarios
Chapter 60 - Rapidly Progressive Glomerulonephritis. Diseases of the Kidney & Urinary Tract, 8th Edition
GLOMERULONEFRITIS
POSTESTREPTOCOCICA
 El prototipo de glomerulonefritis postinfecciosa y de
una de las principales causas.
 Aparece, a los 10 días de una faringitis o a las 2
semanas de una infección cutánea (impétigo)
causada por una cepa nefritogena del estreptococo
B-hemolítico del grupo A. Las cepas nefríticas
conocidas con los tipos M 1, 2, 4, 12, 18, 25, 49, 55,
57 y 60.
Harrison. Principios de Medicina Interna 16a. Edicion. Trastornos del riñón yHarrison. Principios de Medicina Interna 16a. Edicion. Trastornos del riñón y
las vías urinarias Capítulo 264. Enfermedades glomerulareslas vías urinarias Capítulo 264. Enfermedades glomerulares
La presentación clínica clásica de la
glomerulonefritis postestreptococica
 Es el síndrome nefrítico florido con
insuficiencia renal aguda oligurica
 Los pacientes con una lesión manifiesta
padecen macrohematuria (orina roja o
“humeante”), cefalea y síntomas generales
como anorexia, nauseas, y malestar general.
Harrison. Principios de Medicina Interna 16a. Edicion. Trastornos del riñón yHarrison. Principios de Medicina Interna 16a. Edicion. Trastornos del riñón y
las vías urinarias Capítulo 264. Enfermedades glomerulareslas vías urinarias Capítulo 264. Enfermedades glomerulares
 En la exploración física se aprecia
hipovolemia, edema, hipertensión.
 El sedimiento urinario es nefrítico
 La creatinina serica suele estar
ligeramente aumentada.
 Niveles sericos de C3 y CH50
disminuidos
Harrison. Principios de Medicina Interna 16a. Edicion. Trastornos del riñón yHarrison. Principios de Medicina Interna 16a. Edicion. Trastornos del riñón y
las vías urinarias Capítulo 264. Enfermedades glomerulareslas vías urinarias Capítulo 264. Enfermedades glomerulares
 La mayoría de los enfermos (>90%) tienen
anticuerpos circulantes dirigidos contra las
exoenzimas estreptocócicas como :
1- Antiestreptolisina O (ASLO)
2- Los anticuerpos anti-desoxirribonucleasa B (anti-
ADN ac B.
3- Anti-estreptocinasa (ASKasa),
4- Antidinucleotidasa de nicotina y adenina, anti-
ADNsa, antihialuronidasa (AHasa),
Harrison. Principios de Medicina Interna 16a. Edicion. Trastornos del riñón yHarrison. Principios de Medicina Interna 16a. Edicion. Trastornos del riñón y
las vías urinarias Capítulo 264. Enfermedades glomerulareslas vías urinarias Capítulo 264. Enfermedades glomerulares
ASLO, anti-ADN,ac B: infección faringea
Anti-ADN y Ahasa: infección
estreptocócica de la piel.
Harrison. Principios de Medicina Interna 16a. Edicion. Trastornos del riñón yHarrison. Principios de Medicina Interna 16a. Edicion. Trastornos del riñón y
las vías urinarias Capítulo 264. Enfermedades glomerulareslas vías urinarias Capítulo 264. Enfermedades glomerulares
Diagnostico
 Cuadro clínico y la serologia, sin necesidad de la
biopsia renal, sobre todo en los niños con una
historia previa típica.
 Las semilunas resultan infrecuentes y la afectación
extraglomerular suele ser leve.
 Inmunofluoresencia: depósitos granulosos difusos de
IgG y C3 “cielo estrellado”.
Harrison. Principios de Medicina Interna 16a. Edicion. Trastornos del riñón yHarrison. Principios de Medicina Interna 16a. Edicion. Trastornos del riñón y
las vías urinarias Capítulo 264. Enfermedades glomerulareslas vías urinarias Capítulo 264. Enfermedades glomerulares
Tratamiento
 Erradicar la infección estreptocócica con
antibióticos
 Suministrar tratamiento de sostén hasta que
desaparezca la inflamación glomerular
 Conlleva un excelente pronóstico y rara vez
produce falla renal crónica, la microhematuria
puede persistir hasta un año después del
episodio agudo.
Harrison. Principios de Medicina Interna 16a. Edicion. Trastornos del riñón yHarrison. Principios de Medicina Interna 16a. Edicion. Trastornos del riñón y
las vías urinarias Capítulo 264. Enfermedades glomerulareslas vías urinarias Capítulo 264. Enfermedades glomerulares

Glomerulopatias

  • 1.
  • 2.
    Introducción  La causafundamental de la mayoría de enfermedades glomerulares, continúa siendo un enigma.  Agentes infecciosos, autoinmunidad, drogas, desordenes hereditarios y agentes medioambientales han sido implicados como causantes de ciertas enfermedades glomerulares. Brenner & Rector´s The kidney, 7th. Ed, 2004
  • 3.
    Introducción  Las enfermedadesglomerulares pueden ser categorizadas en aquellas que afectan primariamente al riñón (Primarias), y en aquellas en que el involucramiento renal es parte de un desorden sistémico (secundarias) L. Hernando, P. Aljamas, M. Arias, C. Caramel. Nefrología Clínica, 2003. Madrid.
  • 5.
    Glomerulopatías primarias  Enfermedadesglomerulares que causan Síndrome Nefrótico  Enfermedad de cambios mínimos  Glomeruloesclerosis focal y segmentaria  Glomerulopatía membranosa  Glomerulonefritis membranoproliferativa  Nefropatia diabetica  Amiloidosis Brenner & Rector´s The kidney, 7th. Ed, 2004
  • 6.
    Secundario  a) Púrpurade Henoch-Schonlein  b) Lupus eritematoso sistémico  c) Infecciones sistémicas Hepatitis B Sífilis secundaria y congénita Síndrome de inmunodeficiencia adquirida Endocarditis bacteriana aguda  d) Diabetes mellitus  e) Medicamentos Analgésicos antiinflamatorios no esteroideos Heroína D-penicilamina f) Neoplasias Enfermedad de Hodgkin y otros linfomas  g) Enfermedades inflamatorias crónicas Amiloidosis Fiebre del Mediterráneo  h) Enfermedades hereditarias
  • 7.
    Síndrome Nefrótico  Elsíndrome nefrótico es la consecuencia clínica del aumento de la permeabilidad de la pared capilar glomerular, que se traduce en proteinuria masiva e hipoalbuminemia y se acompaña de grados variables de edema, hiperlipemia y lipiduria.  Definición:  Proteinuria >3.5g/d  Edema  Hiperlipidemia  Hipoproteinemia  Lipiduria  Consecuencias funcionales de la pérdida urinaria de proteínas plasmáticas The Nephrotic Syndrome Haas M., Barzilay Z., Paret G. N. Engl. J.M. Vol. 338 April 2000
  • 8.
    Fisiopatología  Incremento dela permeabilidad a las Proteínas.  Factores circulantes que potencian la permeabilidad de la MBG.  Factores plasmáticos presumiblemente derivados de los Linfocitos T. Circulating Permeability Factors in the Nephrotic Syndrome: A Fresh Look at an Old Problem Journal of the American Society of Nephrology Volume 14 • Number 2 • February 2003 The Nephrotic Syndrome Haas M., Barzilay Z., Paret G. N. Engl. J.M. Vol. 338 April 2000
  • 9.
    Etiología del síndromenefrótico Glomerulonefritis primarias* Niños (%) Adultos (%) - Nefropatía de cambios mínimos 52.2 14.8 - Glomerulonefritis esclerosante y focal 33.3 15.1 - Glomerulonefritis membranosa 5.8 22.2 - Glomerulonefritis mesangiocapilar 4.3 7 - Nefropatía IgA - 4.9 - Otras lesiones glomerulares primarias - 10.3 * Prevalencia de las diferentes alteraciones histológicas del síndrome nefrótico debido a glomerulonefritis primarias en aquellos casos biopsiados según el Registro español de Glomerulonefritis, años 1996-1997. El % corresponde al total de biopsias registradas, independientemente de que correspondan a lesiones primarias o secundarias. Brenner & Rector´s The kidney, 7th. Ed, 2004
  • 10.
    Glomerulonefritis Adultos (%) -Glomerulonefritis membranosa 22.2 - Glomerulonefritis esclerosante y focal 15.1 - Nefropatía de cambios mínimos 14.8 - Glomerulonefritis mesangiocapilar 7 - Nefropatía IgA 4.9 - Otras lesiones glomerulares primarias 10.3 Brenner & Rector´s The kidney, 7th. Ed, 2004 SINDROME NEFROTICO
  • 11.
    Patogenia de laformación del edema en el síndrome nefrótico. A) Teoría de la hipervolemia o expansión de volumen, según la cual el edema sería resultado de la retención de agua y sodio por el propio riñón enfermo, que produciría una expansión del volumen plasmático y un aumento en la presión hidrostática capilar que, junto a la hipoalbuminemia, favorecería la trasudación de líquido al espacio intersticial. B) Teoría clásica o de la hipovolemia, según la cual el descenso en la presión oncótica secundario a la hipoalbuminemia favorecería una situación de hipovolemia y la retención de agua y sodio a través de la activación del sistema renina-angiotensina-aldosterona. Esta situación sólo tiene trascendencia clínica en circunstancias de hipoalbuminemia grave (albúmina < 2 g/dl). L. Hernando, P. Aljamas, M. Arias, C. Caramel. Nefrología Clínica, 2003. Madrid.
  • 12.
    Terminología utilizada paradescribir la respuesta a la terapéutica con corticoides en los pacientes con síndrome nefrótico  Sensibles: Cuando desaparecen los signos clínicos y las alteraciones de laboratorio que caracterizan al Síndrome Nefrótico. Dependientes: Los pacientes muestran respuesta positiva a la administración de corticosteroides, pero los síntomas reaparecen al suspender el tratamiento. Resistentes: No hay respuesta y el paciente continúan con los síntomas. Recaída frecuente: Es la reactivación de los síntomas con frecuencia mayor de 3 veces en un lapso de 6 meses.
  • 13.
    Grafica que evidencialas diferentes formas de enfermedad glomerular, identificadas a través de biopsia con proteinuira >3gr/d Evaluados en el Laboratorio de Nefropatología de la Universidad de North Carolina. Brenner & Rector´s The kidney, 7th. Ed, 2004
  • 14.
    Glomerulopatías primarias  Enfermedadesglomerulares que causan Síndrome Nefrótico  Enfermedad de cambios mínimos  Glomeruloesclerosis focal y segmentaria  Glomerulopatía membranosa  Glomerulonefritis membranoproliferativa Brenner & Rector´s The kidney, 6th. Ed, 2000
  • 15.
    Glomerulonefritis Membranosa  Esla causa más frecuente de Snd. Nefrótico en adultos (25%).  El pico de incidencia máximo es en la 4a. Y 5a. Décadas de la vida.  10 – 20% de pacientes con proteinuria no nefrótica.  Engrosamiento difuso de la MBG.  30-40% desarrollan enfermedad renal avanzada  Etiología:  Habitualmente es idiopática (80%) Diseases of the Kidney & Urinary Tract, 8th Edition
  • 16.
    Nefropatia Membranosa Secundaria  75%de casos de MN, no se puede determinar el agente etiologico.  Sin embargo ciertas condiciones subyacentes estan asociadas con el desarrollo de MN en alrededor del 25% de casos. Diseases of the Kidney & Urinary Tract, 8th Edition
  • 17.
     Autoimmune diseasesassociated with membranous nephropathy 1. Systemic lupus erythematosus 2. Rheumatoid arthritis 3. Mixed connective tissue disease 4. Dermatomyositis 5. Ankylosing spondylitis 6. Systemic sclerosis 7. Myasthenia gravis 8. Bullous pemphigoid 9. Autoimmune thyroid disease 10. Sjogren's syndrome 11. Temporal arteritis 12. Crohn's disease (Adapted from: Short C, Mallick NP. Membranous nephropathy. In: Schrier RW, ed. Diseases of the kidney. 7th ed. Philadelphia: Lippincott Williams and Wilkins; 2001:1743.)
  • 18.
    Infectious diseases associatedwith membranous nephropathy  Hepatitis B  Hepatitis C  Human immunodeficiency virus  Malaria  Schistosomiasis  Filariasis  Syphilis  Enterococcal endocarditis (Adapted from: Short C, Mallick NP. Membranous nephropathy. In: Schrier RW, ed. Diseases of the kidney. 7th ed. Philadelphia: Lippincott Williams and Wilkins; 2001:1743.)
  • 19.
    Drugs/toxins associated withmembranous nephropathy  Gold  Penicillamine  Bucillamine  Mercury compounds  Captopril  Probenicid  Trimethadione  Non-steroidal anti-inflammatory drugs  Cyclooxygenase-2 inhibitors  Clopidogrel  Lithium  Formaldehyde  Hydrocarbons (Adapted from: Short C, Mallick NP. Membranous nephropathy. In: Schrier RW, ed. Diseases of the kidney, 7th ed. Philadelphia: Lippincott Williams & Wilkins; 2001:1743.)
  • 20.
    Miscellaneous conditions associated withmembranous nephropathy  Diabetes mellitus  Sarcoidosis  Polycystic kidney disease  Alpha1-antitrypsin deficiency  Weber-Christian disease  Primary biliary cirrhosis  Systemic mastocytosis  Guillain-Barre syndrome  Urticarial vasculitis  Hemolytic-uremic syndrome  Dermatitis herpetiformis  Myelodysplasia (Adapted from: Short C, Mallick NP. Membranous nephropathy. In: Schrier RW, ed. Diseases of the kidney, 7th ed. Philadelphia: Lippincott Williams & Wilkins; 2001:1743.)
  • 21.
    Malignancies associated withmembranous nephropathy Carcinomas Noncarcinomas Lung Hodgkin's lymphoma Esophageal Non-Hodgkin's lymphoma Colon Leukemia Breast Mesothelioma Stomach Melanoma Renal Wilm's tumor Ovary Hepatic adenoma Prostate Angiolymphatic hyperplasia Oropharynx Schwannoma Neuroblastoma Adrenal ganglioneuroma Associated with graft- versus-host disease after stem cell transplant (Adapted from: Short C, Mallick NP. Membranous nephropathy. In: Schrier RW, ed. Diseases of the kidney, 7th ed. Philadelphia: Lippincott Williams & Wilkins; 2001:1743.)
  • 22.
    Figure 28-7 Diagramdepicting the four ultrastructural stages of membranous glomerulopathy. Stage I has subepithelial dense deposits (arrow) without adjacent basement membrane reaction. Stage II has projections of basement membrane adjacent to deposits. Stage III has deposits surrounded by basement membrane. Stage IV has thickened basement membrane with irregular lucent zones. (Reproduced with permission of J. C. Jennette.) Patología
  • 23.
    PATOGENESIS  Varios nivelesde evidencia apoyan la idea que MN representa un desorden autoinmune.  Existe una asociación con otras enfermedades autoinmunes y una fuerte asociación con HLA- DR3.  Existen depósitos de complejos inmunes característicos en la membrana basal del glomérulo. Diseases of the Kidney & Urinary Tract, 8th Edition
  • 24.
    PRESENTACION CLINICA  Inicioinsidioso  70% a 80% edema periferico y sindrome nefrotico.  20% de casos proteinuria en rango no nefrotico.  Proteinuria no selectiva (5 a 10 g/dia).  Hematuria microscopica 50%.  Hipertension 30% de pacientes.  Funcion renal conservada al inicio. Diseases of the Kidney & Urinary Tract, 8th Edition
  • 25.
    FACTORES DE PRONOSTICO MALPRONOSTICO:  Sexo masculino  Edad avanzada  Alteración de la función renal  Hiperlipidemia persistente  Proteinuria en rango nefrótico  Excreción urinaria de C5b-C9 aumentada  Lesión en estadio III-IV por Biopsia Oxford Textbook of Clinical Nephrology, 3rd Edition
  • 26.
    Alternativas terapéuticas enla glomerulopatía membranosa Terapia no específica: Control presión arterial (125/75 mm Hg): dieta hiposódica. Drogas: IECA, ARAII Control hiperlipidemia: estatinas meta: LDL<100mg/dL Control proteinuria: restricción proteínas dieta; uso de IECA y/o ARAII; alternativa AINE Prevención de TEV Terapia específica: grupo seleccionado de pacientes Esteroides (0,5 mg/día) y drogas citotóxicas Ciclofosfamida oral (1,5-2,0 mg/kg/día) durante 6-12 meses Alternativamente esquema Ponticelli: ciclos mensuales de clorambucilo (0,1-0,2 mg/kg) alternando con pulsos de esteroide: metilprednisolona 1g/dia en 3 dosis IV, seguido de prednisona oral 0.4-0.5 g/Kg/dia durante un mes. Micofenolato mofetil 1,0 g/cada 12 horas Micofenolato Mofetil (CellCept): 250 y 500mg Potente inhibidor selectivo irreversible de la Deshidrogenasa monofosfato de inosina. Inhibe la síntesis de novo de guanosina. Necesaria para la síntesis de linfocitos T y B. Efecto adversos: GI e Insuficiencia hepática
  • 27.
    Nefropatía diabética  Lanefropatía diabética es la causa predominante de enfermedad renal terminal (ESRD) en las países desarrollados.  Representa 30 a 35% de los casos de tratamiento sustitutivo renal en Estados Unidos.  La nefropatía complica 30% de los casos de DM tipo 1 y alrededor de 20% de los de tipo 2 Harrison. Principios de Medicina Interna 16a. Edicion. Trastornos del riñón yHarrison. Principios de Medicina Interna 16a. Edicion. Trastornos del riñón y las vías urinarias Capítulo 264. Enfermedades glomerulareslas vías urinarias Capítulo 264. Enfermedades glomerulares
  • 28.
    Factores de riesgo: Hiperglucemia  Hipertensión arterial  Hipertensión e hiperfiltración glomerulares  Proteinuria  Tabaquismo  Hiperlipidemia  Polimorfismos génicos Harrison. Principios de Medicina Interna 16a. Edicion. Trastornos del riñón yHarrison. Principios de Medicina Interna 16a. Edicion. Trastornos del riñón y las vías urinarias Capítulo 264. Enfermedades glomerulareslas vías urinarias Capítulo 264. Enfermedades glomerulares Nefropatía diabética
  • 29.
    Fisiopatología  Hipertensión yla hiperfiltración glomerulares  Oligoalbuminuria (30 a 300 mg en 24 h), aparece unos cinco años después de hipertensión e hiperfiltración glomerulares  Rasgos de enfermedad tubulointersticial: hiperpotasiemia o acidosis tubular renal de tipo IV.  ESRD se desarrolla generalmente a los cinco a 10 años Harrison. Principios de Medicina Interna 16a. Edicion. Trastornos del riñón yHarrison. Principios de Medicina Interna 16a. Edicion. Trastornos del riñón y las vías urinarias Capítulo 264. Enfermedades glomerulareslas vías urinarias Capítulo 264. Enfermedades glomerulares
  • 30.
    CAMBIOS PATOLOGICOCS  Engrosamientode la membrana basal del glomérulo (GBM) y expansión del mesangio.  Glomérulos y los riñones son casi siempre normales o tienen tamaño aumentado.  Depósito lineal de IgG a lo largo de la GBM Harrison. Principios de Medicina Interna 16a. Edicion. Trastornos del riñón yHarrison. Principios de Medicina Interna 16a. Edicion. Trastornos del riñón y las vías urinarias Capítulo 264. Enfermedades glomerulareslas vías urinarias Capítulo 264. Enfermedades glomerulares
  • 31.
    DIAGNOSTICO  CLAVES DIAGNOSTICAS: 1.Tamaño normal o aumentado de los riñones 2. Signos de retinopatía diabética proliferativa 3. Sedimento urinario benigno. Harrison. Principios de Medicina Interna 16a. Edicion. Trastornos del riñón yHarrison. Principios de Medicina Interna 16a. Edicion. Trastornos del riñón y las vías urinarias Capítulo 264. Enfermedades glomerulareslas vías urinarias Capítulo 264. Enfermedades glomerulares
  • 32.
    ESTADIOS DE NEFROPATIA DIABETICA Estadio 1: Estadio de microalbuminuria (Nefropatia incipiente)  Estadio 2: Nefropatia Clinica: Proteinuria y descenso de la Tasa de Filtrado Glomerular  Estadio 3: Enfermedad Renal Terminal Clinical Aspects of Diabetic Nephropathy. Diseases of the Kidney & Urinary Tract, 8th Edition
  • 33.
    TRATAMIENTO  Control dela glicemia: HGO, Insulina  IECA, ARB  Diálisis Peritoneal, Hemodiálisis Harrison. Principios de Medicina Interna 16a. Edicion. Trastornos del riñón yHarrison. Principios de Medicina Interna 16a. Edicion. Trastornos del riñón y las vías urinarias Capítulo 264. Enfermedades glomerulareslas vías urinarias Capítulo 264. Enfermedades glomerulares
  • 35.
    Para fines depractica clínica  GNRP glomerulonefritis con semilunas Harrison. Principios de Medicina Interna 16a. Edicion. Trastornos del riñón yHarrison. Principios de Medicina Interna 16a. Edicion. Trastornos del riñón y las vías urinarias Capítulo 264. Enfermedades glomerulareslas vías urinarias Capítulo 264. Enfermedades glomerulares
  • 36.
    Glomerulonefritis rápidamente progresiva GNRP Elcorrelato anatomopatológico de la inflamación glomerular subaguda Glomerulonefritis con semilunas Harrison. Principios de Medicina Interna 16a. Edicion. Trastornos del riñón yHarrison. Principios de Medicina Interna 16a. Edicion. Trastornos del riñón y las vías urinarias Capítulo 264. Enfermedades glomerulareslas vías urinarias Capítulo 264. Enfermedades glomerulares
  • 38.
    GNRP Clínicamente se caracterizapor:  Insuficiencia renal en semanas a meses  Sedimento urinario nefrítico  Proteinuria  Oliguria  Hipervolemia  Edema  Hipertensión en grados variablesHarrison. Principios de Medicina Interna 16a. Edicion. Trastornos del riñón yHarrison. Principios de Medicina Interna 16a. Edicion. Trastornos del riñón y las vías urinarias Capítulo 264. Enfermedades glomerulareslas vías urinarias Capítulo 264. Enfermedades glomerulares
  • 39.
    Histológicamente se caracteriza por Lesiones situadas en el espacio de Bowman ( semilunas )  Células epiteliales parietales y proliferadas ( luz capilar )  Células proliferadas que pueden predominar en los hallazgos histológicos o presentarse junto con otras anomalías. Harrison. Principios de Medicina Interna 16a. Edicion. Trastornos del riñón yHarrison. Principios de Medicina Interna 16a. Edicion. Trastornos del riñón y las vías urinarias Capítulo 264. Enfermedades glomerulareslas vías urinarias Capítulo 264. Enfermedades glomerulares
  • 40.
    Etiología y diagnostico El síndrome nefrítico de la GNRP puede deberse a glomerulopatias primarias (limitada al riñón ) o secundarias a procesos generales  Como norma el diagnostico rápido y el tratamiento oportuno evita la insuficiencia renal irreversible Harrison. Principios de Medicina Interna 16a. Edicion. Trastornos del riñón yHarrison. Principios de Medicina Interna 16a. Edicion. Trastornos del riñón y las vías urinarias Capítulo 264. Enfermedades glomerulareslas vías urinarias Capítulo 264. Enfermedades glomerulares
  • 41.
    Diagnostico  Biopsia (metodo de elección )  Microscopia de inmunofluorescencia: 1 Deposito granulosos (GN por inmunocomplejos) >70% 2 Deposito en la membrana basal MBG < 1% 3 Escasez de inmunoglobulinas (Pauci-inmunitaria) <30% Harrison. Principios de Medicina Interna 16a. Edicion. Trastornos del riñón yHarrison. Principios de Medicina Interna 16a. Edicion. Trastornos del riñón y las vías urinarias Capítulo 264. Enfermedades glomerulareslas vías urinarias Capítulo 264. Enfermedades glomerulares
  • 42.
    Diagnostico  Marcadores serológicosque predicen los hallazgos de la microscopia de inmunofluorescencia 1 Nivel serico de C3 2 ANCA 3 Anticuerpos anti-MBG Harrison. Principios de Medicina Interna 16a. Edicion. Trastornos del riñón yHarrison. Principios de Medicina Interna 16a. Edicion. Trastornos del riñón y las vías urinarias Capítulo 264. Enfermedades glomerulareslas vías urinarias Capítulo 264. Enfermedades glomerulares
  • 43.
    Types of glomerulonephritisthat can be associated with rapidTypes of glomerulonephritis that can be associated with rapid deterioration in renal function and glomerular crescent formationdeterioration in renal function and glomerular crescent formation Primary Renal Diseases anti-GBM without lung involvement RPGN without immune deposits (>80% ANCA positive) Membranoproliferative glomerulonephritis Membranous nephropathy Immunoglobulin A disease Hereditary nephritis Systemic Diseases Goodpasture's syndrome Poststreptococcal Endocarditis Abscess Henoch-Schonlein disease Lupus nephritis Polyarteritis Wegener's granulomatosis Cryoglobulinemia Scleroderma Relapsing polychondritis Malignancy Malignant hypertension ANCA, antineutrophil cytoplasmic antibody; anti-GBM, antiglomerular basement membrane disease; RPGN, rapidly progressive glomerulonephritis Chapter 60 - Rapidly Progressive Glomerulonephritis. Diseases of the Kidney & Urinary Tract, 8th Edition
  • 44.
    PRESENTACION CLINICA  Letargia Debilidad  Anorexia  Nauseas  Edema  Hipertension  Antecedente de infeccion viral previa  Inicio agudo  Fiebre, rash, artralgia (vasculitis)  Hemoptisis (Sdm Goodpasture)  Sintomas de falla renal Chapter 60 - Rapidly Progressive Glomerulonephritis. Diseases of the Kidney & Urinary Tract, 8th Edition
  • 45.
    TRATAMIENTO  Minimizar laprogresion de la enfermedad renal  Control de la HTA: IECA, dieta  Manejo de la falla renal: dialisis  Esteroides: metilprednisolona IV  Agentes citotoxicos: azatioprina, ciclofosfamida y ocasionalmente cloranbucilo  Anticoagulantes, agentes antiplaquetarios Chapter 60 - Rapidly Progressive Glomerulonephritis. Diseases of the Kidney & Urinary Tract, 8th Edition
  • 46.
    GLOMERULONEFRITIS POSTESTREPTOCOCICA  El prototipode glomerulonefritis postinfecciosa y de una de las principales causas.  Aparece, a los 10 días de una faringitis o a las 2 semanas de una infección cutánea (impétigo) causada por una cepa nefritogena del estreptococo B-hemolítico del grupo A. Las cepas nefríticas conocidas con los tipos M 1, 2, 4, 12, 18, 25, 49, 55, 57 y 60. Harrison. Principios de Medicina Interna 16a. Edicion. Trastornos del riñón yHarrison. Principios de Medicina Interna 16a. Edicion. Trastornos del riñón y las vías urinarias Capítulo 264. Enfermedades glomerulareslas vías urinarias Capítulo 264. Enfermedades glomerulares
  • 47.
    La presentación clínicaclásica de la glomerulonefritis postestreptococica  Es el síndrome nefrítico florido con insuficiencia renal aguda oligurica  Los pacientes con una lesión manifiesta padecen macrohematuria (orina roja o “humeante”), cefalea y síntomas generales como anorexia, nauseas, y malestar general. Harrison. Principios de Medicina Interna 16a. Edicion. Trastornos del riñón yHarrison. Principios de Medicina Interna 16a. Edicion. Trastornos del riñón y las vías urinarias Capítulo 264. Enfermedades glomerulareslas vías urinarias Capítulo 264. Enfermedades glomerulares
  • 48.
     En laexploración física se aprecia hipovolemia, edema, hipertensión.  El sedimiento urinario es nefrítico  La creatinina serica suele estar ligeramente aumentada.  Niveles sericos de C3 y CH50 disminuidos Harrison. Principios de Medicina Interna 16a. Edicion. Trastornos del riñón yHarrison. Principios de Medicina Interna 16a. Edicion. Trastornos del riñón y las vías urinarias Capítulo 264. Enfermedades glomerulareslas vías urinarias Capítulo 264. Enfermedades glomerulares
  • 49.
     La mayoríade los enfermos (>90%) tienen anticuerpos circulantes dirigidos contra las exoenzimas estreptocócicas como : 1- Antiestreptolisina O (ASLO) 2- Los anticuerpos anti-desoxirribonucleasa B (anti- ADN ac B. 3- Anti-estreptocinasa (ASKasa), 4- Antidinucleotidasa de nicotina y adenina, anti- ADNsa, antihialuronidasa (AHasa), Harrison. Principios de Medicina Interna 16a. Edicion. Trastornos del riñón yHarrison. Principios de Medicina Interna 16a. Edicion. Trastornos del riñón y las vías urinarias Capítulo 264. Enfermedades glomerulareslas vías urinarias Capítulo 264. Enfermedades glomerulares
  • 50.
    ASLO, anti-ADN,ac B:infección faringea Anti-ADN y Ahasa: infección estreptocócica de la piel. Harrison. Principios de Medicina Interna 16a. Edicion. Trastornos del riñón yHarrison. Principios de Medicina Interna 16a. Edicion. Trastornos del riñón y las vías urinarias Capítulo 264. Enfermedades glomerulareslas vías urinarias Capítulo 264. Enfermedades glomerulares
  • 51.
    Diagnostico  Cuadro clínicoy la serologia, sin necesidad de la biopsia renal, sobre todo en los niños con una historia previa típica.  Las semilunas resultan infrecuentes y la afectación extraglomerular suele ser leve.  Inmunofluoresencia: depósitos granulosos difusos de IgG y C3 “cielo estrellado”. Harrison. Principios de Medicina Interna 16a. Edicion. Trastornos del riñón yHarrison. Principios de Medicina Interna 16a. Edicion. Trastornos del riñón y las vías urinarias Capítulo 264. Enfermedades glomerulareslas vías urinarias Capítulo 264. Enfermedades glomerulares
  • 53.
    Tratamiento  Erradicar lainfección estreptocócica con antibióticos  Suministrar tratamiento de sostén hasta que desaparezca la inflamación glomerular  Conlleva un excelente pronóstico y rara vez produce falla renal crónica, la microhematuria puede persistir hasta un año después del episodio agudo. Harrison. Principios de Medicina Interna 16a. Edicion. Trastornos del riñón yHarrison. Principios de Medicina Interna 16a. Edicion. Trastornos del riñón y las vías urinarias Capítulo 264. Enfermedades glomerulareslas vías urinarias Capítulo 264. Enfermedades glomerulares