Reparación Tisular
Juliana Zapata
MV, MSc
Qué pasa después de
que un tejido se
lesiona, inflama, se
necrosa, se pierde?
Las lesiones de las células y tejidos activan una
serie de procesos que contienen el daño e
inician el proceso de cicatrización. Estos
procesos pueden ser separados en:
Permite la recuperación
completa del tejido
dañado o lesionado
Puede recuperar algunas
de las estructuras
originales pero puede
producir alteraciones
estructurales
Regeneración Cicatrización
La Respuesta de un tejido después de
una lesión tiene tres Componentes:
Células
Matriz
Extracelular
Señales
Moleculares
Células
• Cascada de la coagulación
• Formación trombo – Fibrina
• Factores: PDGF, TGF-􏰁β, EGF, platelet-derived
angiogenesis factor, histamine, serotonin, bradykinin,
prostaglandins, prostacyclin, and thromboxane.
Responden al VEGF por
proliferación y formación
de capilares, sintetizan
Oxido Nítrico, expresan
proteínas de adhesión
para facilitar la diapedesis
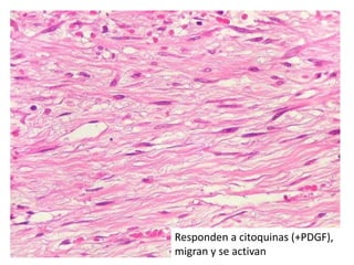
Responden a citoquinas (+PDGF),
migran y se activan
Fase aguda
Corta vida media
Prostaglandinas y citoquinas
MMPS
Fagocitosis
Eliminación de bacterias
Culminan la fase inflamatoria,
eliminan detritos y neutrófilos
Secretan citoquinas y factores de
crecimiento… Es el lider de la
orquesta
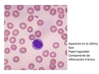
Aparecen en la última
fase
Papel regulador
Componente de
inflamación Crónica
Migran en respuesta a citoquinas y factores de
crecimiento secretados por fibroblastos y
macrófagos
Secretan IL, NO, VEGF
Control de la proliferación celular
En un tejido normal hay un equilibrio ente la
proliferación y la apoptosis.
La proliferación celular se controla mediante señales
del microentorno.
Células que se dividen en forma contínua (tej. Lábiles)
Células quiescentes (Tej. Estables)
Células que no se dividen (Tej. Permanentes)
Se multiplican toda la vida. Los tejidos compuestos por
estas células tienen alto potencial de regeneración,
ej: cél de epitelios de revestimiento, cél sanguíneas
Tej. Lábiles
No se multiplican en estado adulto del animal,
conservan latencia, hacen mitosis en casos
especiales o de emergencia, ej: células glandulares
endo y exocrinas, células mesenquimatosas
(fibroblastos, condroblastos, osteoblastos, miocitos
lisos y cél endoteliales)
No es posible la regeneración, los tejidos conformados
por éstas; son reparados por tejido fibroso , ejemplo
células altamente diferenciadas (neuronas,
sarcómeras)
Tej. Estables
Tej.
Permanentes
Matriz
Extracelular
Matriz extracelular
La matriz extracelular está compuesta de tres
grupos de macromoléculas:
• Proteínas estructurales fibrosas: Colágeno y
elastina que aportan tensión y contractictilidad
• Glucoproteínas adhesivas que conectan los
elementos
• Proteoglicanos y hialuronano que lubrican
Matriz Extracelular
Matriz extracelular
Funciones
Soporte mecánico para anclaje de células
Control del crecimiento celular - Señales
Mantenimiento de la diferenciación celular
Andamiaje para la renovación tisular
Colágeno Normal
Tejido de Granulación
Señales Moleculares
Señalización
Mediadores
• Eicosanoides
• Citoquinas
• Factores de Crecimiento
• Oxido Nítrico
Factor de
Crecimiento
Símbolo Fuente Funciones
Crecimiento
epidérmico α
EGF
Plaquetas, macrófagos,
fibroblastos, saliva,
orina, leche, plasma
Mitogénico para los queratinocitos
y fibroblastos. Estimula la
formación de tejidos de granulación
Factor de
crecimiento
transformante α
TFG - α
Macrófagos, linfocitos
T, y muchos tejidos
Parecido EGF; estimula la
replicación de los hepatocitos y de
la mayor parte de los tejidos
epiteliales
Factor de
crecimiento de
hepatocitos
HGF
Células
mesenquimatosas
Proliferación de los hepatocitos, las
células epiteliales y las células
endoteliales; aumenta la motilidad
celular.
Factor de
crecimiento
endotelial
vascular
VEGF
Muchos tipos celulares Aumento de permeabilidad
vascular; mitógeno para las células
endoteliales, angiogenia
Factor de
crecimiento
derivado de las
plaquetas
PDGF
Plaquetas, macrófagos,
células endoteliales,
queratinocitos, células
musculares lisas
Quimiotáctico para los PMN,
macrófagos, fibroblastos y células
musculares lisas. Estimula la
angiogenia y la contracción de la
herida
Factor de
Crecimiento Símbolo Fuente Funciones
Factor de
Crecimiento de
fibroblastos
FGF
Macrófagos,
mastocitos, linf T,
células endoteliales,
fibroblastos,
queratinocitos
Quimiotáctico y mitogénico para
los fibroblastos; angiogenia,
contracción de la herida y
depósito de matriz, reepitelización
Factor de
crecimiento
transformante - β
TGF -β
Plaquetas, inf T,
macrófagos, Células
endoteliales,
fibroblastos
Quimitotactico para los PMN,
macrófagos, linfocitos,
fibroblastos, estimula la
angiogenia, la fibroplasia
Factor de
crecimiento de los
queratinocitos
KGF
Fibroblastos Estimula la emigración de
queratinocitos, la proliferación y la
diferenciación
Factor de necrosis
tumoral
TNF
Macrófagos, mastocitos
y linf T
Activa los macrófagos, regula otras
citocinas
CITOQUINAS Fuente Funciones
IL-1
Linfocitos, macrófagos,
Mastocitos y
keratinocitos
Activa granulocitos, células
endoteliales, potencia el TNF e IFN,
Fiebre
IL-2
Linfocitos, macrófagos,
Mastocitos y
keratinocitos
Activa macrófagos, linfocitos T, NK,
estímula la proliferació de células B
activadas
IL-6
Linfocitos, macrófagos,
Mastocitos y
keratinocitos
Potencia liberación de proteínas de
fase aguda por el hígado, regulación
negativa de la proliferación de la
matriz
IL-8
Linfocitos, macrófagos,
Mastocitos y
keratinocitos
Estimula la adherencia de
neutrófilos, quimiotaxis y liberación
de gránulos, potencia la
reepitelización
IL-4
Mastocitos Tempranamente: Estimula la
proliferación de fibroblastos
Tardía: Regula negativamente la
expresión de citoquinas
CITOQUINAS Fuente Funciones
Oxido nítrico
Células endoteliales,
macrófagos y en todos los
tejidos bajo las
condiciones apropiadas
(citoquinas, microbios,
productos microbianos e
hipoxia)
Vasodilatación, actividad
antimicrobiana, aumento de la
permeabilidad vascular, se
encarga de la transición de la fase
inflamatoria a la proliferativa por
regulación de citoquinas
Regula la proliferación de
fibroblastos, angiogenesis y
queratinocitos*.
* La función del Oxido nítrico está relacionada con la concentración, altos niveles son
miccrobicidas, proinflamatorios e inhibidores de la repuesta proliferativa, los niveles
bajos en cambio estimulan la angiogeneses y el depósito de matriz
REPARACIÓN
Reparación
Consiste en una combinación de la regeneración y la
formación de cicatrices por la deposición de colágeno.
La relación entre regeneración y cicatrización en la
reparación del tejido, depende de la capacidad del tejido
para regenerar y la extensión de la lesión.
La formación de cicatriz es el proceso de reparación
predominante cuando hay daño de la matriz extracelular
Reparación
Los componentes de MEC son esenciales para la
cicatrización de heridas, ya que proporcionan el
marco para la migración celular, mantienen la
polaridad celular correcta para el re-montaje de
estructuras y participan en la formación de
nuevos vasos sanguíneos (angiogénesis).
LESIÓN
Respuesta celular y
vascular
Eliminación del
estimulo
Cualquier tipo de Tejido
persistentemente
lesionado
Células Lábiles o
estables + Matriz
extracelular intacta
Células Lábiles o
estables + daño Matriz
Extracelular
Células Permanentes
Restitución de la
estructura normal
Formación de cicatriz,
organización del
exudado
Tejido Cicatrizal
Inflamación aguda
Inflamación Crónica
REGENERACIÓN CICATRIZACIÓN
FIBROSIS
Fases de la Cicatrización
• Hemostasia e Inflamación
• Proliferación
• Remodelación
Hemostasia e Inflamación (4 a 6 días)
• Injuria - Lesión vascular
• Activación plaquetas – Cascada de la
coagulación
• Liberación de factores de crecimiento,
citocinas y proteínas
• Vasodilatación e incremento permeabilidad
• Quimiotaxis y activación
Inflamación
• Neutrófilos inician actividad proteolítica
(degradación del colágeno y matriz lesionada),
• Fagocitosis (Detritos y bacterias)
• Corta vida media.
• Liberación de citoquinas
• Reemplazados por macrófagos (48 horas)-
liberación de más citocinas
Fase Proliferativa (4 a 14 días)
En respuesta a factores de crecimiento y
citoquinas:
• Epitelización
• Angiogénesis
• Formación de matriz provisional – Tejido de
granulación
Remodelación
• Tarda entre semanas y meses
• Miofibroblastos
• Organización y reemplazo del colágeno:
Tejido de granulación – contracción de la herida
y deposición de colágeno maduro
Factores locales y sistémicos que
condicionan la cicatrización de las heridas
Sistémicos
Nutrición: Def de proteínas, vit C, zinc, inhiben síntesis de
colágeno
Estado metabólico: Diabetes mellitus (microangiopatia)
Estado circulatorio: Def irrigación - HIPOXIA
Hormonas: Glucocorticoides – Alteran rta Inflamatoria- Sexo
Locales
Infección: Persistente daño tisular e inflamación crónica
Factores mecánicos: Compresión, movilidad
Cuerpos extraños: Suturas, vidrio, metal, hueso
Tamaño, vascularización y tipo de herida: Cara, patas
Aspectos Patológicos de la Reparación
Formación deficiente de la cicatriz – Deshiscencia de la herida
y ulceración. Fte en cirugía abdominal por presión, vómito, tos
Formación excesiva de los componentes del proceso de
reparación que puede dar lugar a cicatrices hipertróficas o
queloides
Tejido de granulación exuberante, protruye e inhibe la
reepitelización
Contracturas: Pueden limitar la movilidad.
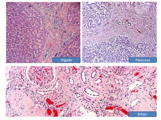
Fibrosis
• Reemplazo de componentes estructurales
normales con excesiva acumulación de cicatirz
y perdida de capacidad funcional del órgano
Hígado Páncreas
Riñón
Reparación en algunos
tejidos Partículares
Hueso
Proliferación de Astrocitos en Sistema
nervioso Central
Muchas Gracias

Reparación Tisular

  • 1.
  • 2.
    Qué pasa despuésde que un tejido se lesiona, inflama, se necrosa, se pierde?
  • 3.
    Las lesiones delas células y tejidos activan una serie de procesos que contienen el daño e inician el proceso de cicatrización. Estos procesos pueden ser separados en: Permite la recuperación completa del tejido dañado o lesionado Puede recuperar algunas de las estructuras originales pero puede producir alteraciones estructurales Regeneración Cicatrización
  • 4.
    La Respuesta deun tejido después de una lesión tiene tres Componentes: Células Matriz Extracelular Señales Moleculares
  • 5.
  • 6.
    • Cascada dela coagulación • Formación trombo – Fibrina • Factores: PDGF, TGF-􏰁β, EGF, platelet-derived angiogenesis factor, histamine, serotonin, bradykinin, prostaglandins, prostacyclin, and thromboxane.
  • 7.
    Responden al VEGFpor proliferación y formación de capilares, sintetizan Oxido Nítrico, expresan proteínas de adhesión para facilitar la diapedesis
  • 8.
    Responden a citoquinas(+PDGF), migran y se activan
  • 9.
    Fase aguda Corta vidamedia Prostaglandinas y citoquinas MMPS Fagocitosis Eliminación de bacterias Culminan la fase inflamatoria, eliminan detritos y neutrófilos Secretan citoquinas y factores de crecimiento… Es el lider de la orquesta
  • 11.
    Aparecen en laúltima fase Papel regulador Componente de inflamación Crónica
  • 12.
    Migran en respuestaa citoquinas y factores de crecimiento secretados por fibroblastos y macrófagos Secretan IL, NO, VEGF
  • 13.
    Control de laproliferación celular En un tejido normal hay un equilibrio ente la proliferación y la apoptosis. La proliferación celular se controla mediante señales del microentorno. Células que se dividen en forma contínua (tej. Lábiles) Células quiescentes (Tej. Estables) Células que no se dividen (Tej. Permanentes)
  • 14.
    Se multiplican todala vida. Los tejidos compuestos por estas células tienen alto potencial de regeneración, ej: cél de epitelios de revestimiento, cél sanguíneas Tej. Lábiles No se multiplican en estado adulto del animal, conservan latencia, hacen mitosis en casos especiales o de emergencia, ej: células glandulares endo y exocrinas, células mesenquimatosas (fibroblastos, condroblastos, osteoblastos, miocitos lisos y cél endoteliales) No es posible la regeneración, los tejidos conformados por éstas; son reparados por tejido fibroso , ejemplo células altamente diferenciadas (neuronas, sarcómeras) Tej. Estables Tej. Permanentes
  • 16.
  • 18.
    Matriz extracelular La matrizextracelular está compuesta de tres grupos de macromoléculas: • Proteínas estructurales fibrosas: Colágeno y elastina que aportan tensión y contractictilidad • Glucoproteínas adhesivas que conectan los elementos • Proteoglicanos y hialuronano que lubrican
  • 19.
  • 23.
    Matriz extracelular Funciones Soporte mecánicopara anclaje de células Control del crecimiento celular - Señales Mantenimiento de la diferenciación celular Andamiaje para la renovación tisular
  • 24.
  • 25.
  • 26.
  • 27.
  • 28.
    Mediadores • Eicosanoides • Citoquinas •Factores de Crecimiento • Oxido Nítrico
  • 29.
    Factor de Crecimiento Símbolo FuenteFunciones Crecimiento epidérmico α EGF Plaquetas, macrófagos, fibroblastos, saliva, orina, leche, plasma Mitogénico para los queratinocitos y fibroblastos. Estimula la formación de tejidos de granulación Factor de crecimiento transformante α TFG - α Macrófagos, linfocitos T, y muchos tejidos Parecido EGF; estimula la replicación de los hepatocitos y de la mayor parte de los tejidos epiteliales Factor de crecimiento de hepatocitos HGF Células mesenquimatosas Proliferación de los hepatocitos, las células epiteliales y las células endoteliales; aumenta la motilidad celular. Factor de crecimiento endotelial vascular VEGF Muchos tipos celulares Aumento de permeabilidad vascular; mitógeno para las células endoteliales, angiogenia Factor de crecimiento derivado de las plaquetas PDGF Plaquetas, macrófagos, células endoteliales, queratinocitos, células musculares lisas Quimiotáctico para los PMN, macrófagos, fibroblastos y células musculares lisas. Estimula la angiogenia y la contracción de la herida
  • 30.
    Factor de Crecimiento SímboloFuente Funciones Factor de Crecimiento de fibroblastos FGF Macrófagos, mastocitos, linf T, células endoteliales, fibroblastos, queratinocitos Quimiotáctico y mitogénico para los fibroblastos; angiogenia, contracción de la herida y depósito de matriz, reepitelización Factor de crecimiento transformante - β TGF -β Plaquetas, inf T, macrófagos, Células endoteliales, fibroblastos Quimitotactico para los PMN, macrófagos, linfocitos, fibroblastos, estimula la angiogenia, la fibroplasia Factor de crecimiento de los queratinocitos KGF Fibroblastos Estimula la emigración de queratinocitos, la proliferación y la diferenciación Factor de necrosis tumoral TNF Macrófagos, mastocitos y linf T Activa los macrófagos, regula otras citocinas
  • 31.
    CITOQUINAS Fuente Funciones IL-1 Linfocitos,macrófagos, Mastocitos y keratinocitos Activa granulocitos, células endoteliales, potencia el TNF e IFN, Fiebre IL-2 Linfocitos, macrófagos, Mastocitos y keratinocitos Activa macrófagos, linfocitos T, NK, estímula la proliferació de células B activadas IL-6 Linfocitos, macrófagos, Mastocitos y keratinocitos Potencia liberación de proteínas de fase aguda por el hígado, regulación negativa de la proliferación de la matriz IL-8 Linfocitos, macrófagos, Mastocitos y keratinocitos Estimula la adherencia de neutrófilos, quimiotaxis y liberación de gránulos, potencia la reepitelización IL-4 Mastocitos Tempranamente: Estimula la proliferación de fibroblastos Tardía: Regula negativamente la expresión de citoquinas
  • 32.
    CITOQUINAS Fuente Funciones Oxidonítrico Células endoteliales, macrófagos y en todos los tejidos bajo las condiciones apropiadas (citoquinas, microbios, productos microbianos e hipoxia) Vasodilatación, actividad antimicrobiana, aumento de la permeabilidad vascular, se encarga de la transición de la fase inflamatoria a la proliferativa por regulación de citoquinas Regula la proliferación de fibroblastos, angiogenesis y queratinocitos*. * La función del Oxido nítrico está relacionada con la concentración, altos niveles son miccrobicidas, proinflamatorios e inhibidores de la repuesta proliferativa, los niveles bajos en cambio estimulan la angiogeneses y el depósito de matriz
  • 33.
  • 34.
    Reparación Consiste en unacombinación de la regeneración y la formación de cicatrices por la deposición de colágeno. La relación entre regeneración y cicatrización en la reparación del tejido, depende de la capacidad del tejido para regenerar y la extensión de la lesión. La formación de cicatriz es el proceso de reparación predominante cuando hay daño de la matriz extracelular
  • 37.
    Reparación Los componentes deMEC son esenciales para la cicatrización de heridas, ya que proporcionan el marco para la migración celular, mantienen la polaridad celular correcta para el re-montaje de estructuras y participan en la formación de nuevos vasos sanguíneos (angiogénesis).
  • 39.
    LESIÓN Respuesta celular y vascular Eliminacióndel estimulo Cualquier tipo de Tejido persistentemente lesionado Células Lábiles o estables + Matriz extracelular intacta Células Lábiles o estables + daño Matriz Extracelular Células Permanentes Restitución de la estructura normal Formación de cicatriz, organización del exudado Tejido Cicatrizal Inflamación aguda Inflamación Crónica REGENERACIÓN CICATRIZACIÓN FIBROSIS
  • 44.
    Fases de laCicatrización • Hemostasia e Inflamación • Proliferación • Remodelación
  • 45.
    Hemostasia e Inflamación(4 a 6 días) • Injuria - Lesión vascular • Activación plaquetas – Cascada de la coagulación • Liberación de factores de crecimiento, citocinas y proteínas • Vasodilatación e incremento permeabilidad • Quimiotaxis y activación
  • 47.
    Inflamación • Neutrófilos inicianactividad proteolítica (degradación del colágeno y matriz lesionada), • Fagocitosis (Detritos y bacterias) • Corta vida media. • Liberación de citoquinas • Reemplazados por macrófagos (48 horas)- liberación de más citocinas
  • 48.
    Fase Proliferativa (4a 14 días) En respuesta a factores de crecimiento y citoquinas: • Epitelización • Angiogénesis • Formación de matriz provisional – Tejido de granulación
  • 52.
    Remodelación • Tarda entresemanas y meses • Miofibroblastos • Organización y reemplazo del colágeno: Tejido de granulación – contracción de la herida y deposición de colágeno maduro
  • 56.
    Factores locales ysistémicos que condicionan la cicatrización de las heridas Sistémicos Nutrición: Def de proteínas, vit C, zinc, inhiben síntesis de colágeno Estado metabólico: Diabetes mellitus (microangiopatia) Estado circulatorio: Def irrigación - HIPOXIA Hormonas: Glucocorticoides – Alteran rta Inflamatoria- Sexo Locales Infección: Persistente daño tisular e inflamación crónica Factores mecánicos: Compresión, movilidad Cuerpos extraños: Suturas, vidrio, metal, hueso Tamaño, vascularización y tipo de herida: Cara, patas
  • 57.
    Aspectos Patológicos dela Reparación Formación deficiente de la cicatriz – Deshiscencia de la herida y ulceración. Fte en cirugía abdominal por presión, vómito, tos Formación excesiva de los componentes del proceso de reparación que puede dar lugar a cicatrices hipertróficas o queloides Tejido de granulación exuberante, protruye e inhibe la reepitelización Contracturas: Pueden limitar la movilidad.
  • 60.
    Fibrosis • Reemplazo decomponentes estructurales normales con excesiva acumulación de cicatirz y perdida de capacidad funcional del órgano
  • 61.
  • 62.
  • 63.
  • 66.
    Proliferación de Astrocitosen Sistema nervioso Central
  • 67.