Integrantes:
•Valeria Andana
•Diego Duran
•Isidora Pallares
•Daniel Rubio

Profesor:
•Dr. Nicolás Ramos
Generales




Específicos
 Irritabilidad
 Adaptación Celular
 Lesión Celular   Lesión Premalignizantes
 Metaplasia y Displasia
 Carcinoma In Situ
Capacidad que tiene el organismo para responder a los estímulos.
Hay distintos tipos de adaptación celular como es la hipertrofia, Metaplasia,
                              displasia, y otras.
Una simple picazón o un dolor de estomago, puede conllevar a grades
             enfermedades como canceres por ejemplo.
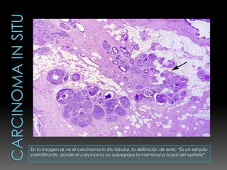
Se refleja en la imagen como va avanzando esta patología, o sea la evolución de la
                      enfermedad, a esto se le llama Patogenia.
 En el caso de la imagen vemos una patología gástrica como es el cáncer gástrico.
En la imagen se ve el carcinoma in situ lobular, la definición de este: “Es un estadio
preinfiltrante, donde el carcinoma no sobrepasa la membrana basal del epitelio”
Lesiones
Precancerosas




                •Leucoplasia
                •Liquen plano
                •Queilitis
                •Eritoplacia
“Placa blanca sobre la mucosa oral no queratinizada que no se desprende al
raspado y que no puede ser caracterizada ni clínica ni patológicamente como
     ninguna otra enfermedad”, dos tipos: Homogénea y No Homogénea.
“es una erupción cutánea crónica de carácter papular y pruriginoso que
habitualmente afecta a los adultos en edad madura”
“Estados inflamatorios de la Submucosa labial o comisuras labiales en forma de
                                  boqueras”
“placa aterciopelada de color rojo intenso que no puede ser caracterizada
clínica ni patológicamente como atribuible a ningún otro estado” Su etiología son
                  3 causas: Tabaquismo, Alcohol, Mascar tabaco.
•Conocimiento  sobre el tema
•Diagnostico Precoz
•Ser un buen odontólogo
como un buen humano
Nadie sabe cuantas vidas salvaremos con un solo día de chequeo
Video sobre la queilitis, hecho
por la Universidad de La Frontera
•Pesquisaje   de lesiones premalignas y malignas en la cavidad bucal. León Martínez E, Romero Sánchez MC,
Ferrer Herrera I, Fatjó Cruz M. Rev Cubana Med Gen Integr 1996
•http://odontoayuda.com/presentaciones/lesiones-premalignas/
•La leucoplasia oral. Su implicación como lesión precancerosa,Oral leukoplasia. A precancerous lesión,
Martínez-Sahuquillo Márquez A., Gallardo Castillo I., Cobos Fuentes M.J., Caballero Aguilar J., Bullón
Fernández P.
•Liquen plano oral: Naturaleza, aspectos clínicos y tratamiento. RCOE, BERMEJO-FENOLL, Ambrosio y LOPEZ-
JORNET, Pía. [online]. 2004, vol.9, n.4 pp. 395-408
•Aspectos clínicos e histológicos en la queilitis actínica crónica, su relación con el Virus del Papiloma
Humano; Prof. Dr. Francisco Octávio Teixeira Pacca, Prof. Dr. Gilberto Marcucci, Prof. Livre Docente Fabio
Daumas Nunes, Prof. Dr. Carlos Eduardo Xavier dos Santos Ribeiro da Silva, Prof. Dr. Artur Cerri; Revista
Odontoestomatologia / Vol XIII, Nr 17, Mayo 2011, Uruguay.
•Características histopatológicas de la leucoplasia bucal homogénea, Dra. Marioneya Izaguirre Bordelois y
Dra. C. Blanca Inés Soriano González, Facultad de Estomatología, Santiago de Cuba, Cuba, 2011.
•Patologia Genera, Alteraciones adquiridas de la diferenciación, Metaplasia,
http://escuela.med.puc.cl/publ/patologiageneral/patol_089.html
•Leucoplasia Oral, http://www.medicinaoral.com/cursoonline/010r.pdf
•Liquen plano, http://apps.who.int/medicinedocs/fr/d/Jh2920s/11.html
•Queilitis, http://queilitis.blogspot.com/
•Queilitis. Revisión bibliográfica, Dra. Garcia Lopez, Antonio Blanco Ruiz, Luis Rodriguez Garcia, Delis Reyes
Fundora y Jorge Sotres Vasquez, Facultad de Estomatología Instituto Superior de Ciencias Medicas de La
Habana, Revista Cubana Estomatología, 2003
•Eritoplasia, http://www.ecured.cu/index.php/Eritroplasia#.C2.A0Tratamiento
Lesiones potencialmente malignizantes
Lesiones potencialmente malignizantes

Lesiones potencialmente malignizantes

  • 1.
    Integrantes: •Valeria Andana •Diego Duran •IsidoraPallares •Daniel Rubio Profesor: •Dr. Nicolás Ramos
  • 2.
  • 3.
     Irritabilidad  AdaptaciónCelular  Lesión Celular Lesión Premalignizantes  Metaplasia y Displasia  Carcinoma In Situ
  • 4.
    Capacidad que tieneel organismo para responder a los estímulos.
  • 5.
    Hay distintos tiposde adaptación celular como es la hipertrofia, Metaplasia, displasia, y otras.
  • 6.
    Una simple picazóno un dolor de estomago, puede conllevar a grades enfermedades como canceres por ejemplo.
  • 7.
    Se refleja enla imagen como va avanzando esta patología, o sea la evolución de la enfermedad, a esto se le llama Patogenia. En el caso de la imagen vemos una patología gástrica como es el cáncer gástrico.
  • 8.
    En la imagense ve el carcinoma in situ lobular, la definición de este: “Es un estadio preinfiltrante, donde el carcinoma no sobrepasa la membrana basal del epitelio”
  • 9.
    Lesiones Precancerosas •Leucoplasia •Liquen plano •Queilitis •Eritoplacia
  • 10.
    “Placa blanca sobrela mucosa oral no queratinizada que no se desprende al raspado y que no puede ser caracterizada ni clínica ni patológicamente como ninguna otra enfermedad”, dos tipos: Homogénea y No Homogénea.
  • 11.
    “es una erupcióncutánea crónica de carácter papular y pruriginoso que habitualmente afecta a los adultos en edad madura”
  • 12.
    “Estados inflamatorios dela Submucosa labial o comisuras labiales en forma de boqueras”
  • 13.
    “placa aterciopelada decolor rojo intenso que no puede ser caracterizada clínica ni patológicamente como atribuible a ningún otro estado” Su etiología son 3 causas: Tabaquismo, Alcohol, Mascar tabaco.
  • 14.
    •Conocimiento sobreel tema •Diagnostico Precoz •Ser un buen odontólogo como un buen humano
  • 15.
    Nadie sabe cuantasvidas salvaremos con un solo día de chequeo
  • 16.
    Video sobre laqueilitis, hecho por la Universidad de La Frontera
  • 17.
    •Pesquisaje de lesiones premalignas y malignas en la cavidad bucal. León Martínez E, Romero Sánchez MC, Ferrer Herrera I, Fatjó Cruz M. Rev Cubana Med Gen Integr 1996 •http://odontoayuda.com/presentaciones/lesiones-premalignas/ •La leucoplasia oral. Su implicación como lesión precancerosa,Oral leukoplasia. A precancerous lesión, Martínez-Sahuquillo Márquez A., Gallardo Castillo I., Cobos Fuentes M.J., Caballero Aguilar J., Bullón Fernández P. •Liquen plano oral: Naturaleza, aspectos clínicos y tratamiento. RCOE, BERMEJO-FENOLL, Ambrosio y LOPEZ- JORNET, Pía. [online]. 2004, vol.9, n.4 pp. 395-408 •Aspectos clínicos e histológicos en la queilitis actínica crónica, su relación con el Virus del Papiloma Humano; Prof. Dr. Francisco Octávio Teixeira Pacca, Prof. Dr. Gilberto Marcucci, Prof. Livre Docente Fabio Daumas Nunes, Prof. Dr. Carlos Eduardo Xavier dos Santos Ribeiro da Silva, Prof. Dr. Artur Cerri; Revista Odontoestomatologia / Vol XIII, Nr 17, Mayo 2011, Uruguay. •Características histopatológicas de la leucoplasia bucal homogénea, Dra. Marioneya Izaguirre Bordelois y Dra. C. Blanca Inés Soriano González, Facultad de Estomatología, Santiago de Cuba, Cuba, 2011. •Patologia Genera, Alteraciones adquiridas de la diferenciación, Metaplasia, http://escuela.med.puc.cl/publ/patologiageneral/patol_089.html •Leucoplasia Oral, http://www.medicinaoral.com/cursoonline/010r.pdf •Liquen plano, http://apps.who.int/medicinedocs/fr/d/Jh2920s/11.html •Queilitis, http://queilitis.blogspot.com/ •Queilitis. Revisión bibliográfica, Dra. Garcia Lopez, Antonio Blanco Ruiz, Luis Rodriguez Garcia, Delis Reyes Fundora y Jorge Sotres Vasquez, Facultad de Estomatología Instituto Superior de Ciencias Medicas de La Habana, Revista Cubana Estomatología, 2003 •Eritoplasia, http://www.ecured.cu/index.php/Eritroplasia#.C2.A0Tratamiento