Incrustar presentación


































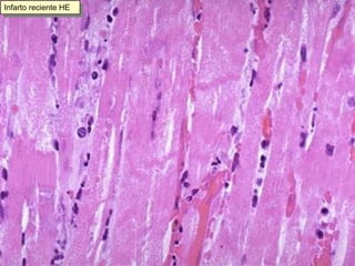
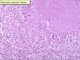
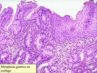
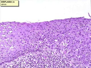
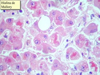
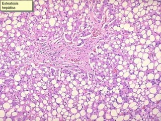
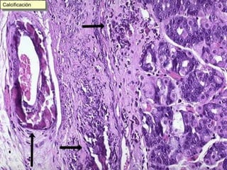
Este documento resume diferentes tipos de necrosis y otros procesos patológicos encontrados en anatomía patológica general. Describe necrosis coagulativa como infartos de miocardio y riñón, necrosis licuefactiva como infartos cerebrales, y otros tipos como necrosis grasa pancreática y necrosis caseosa en tuberculosis pulmonar. También cubre procesos como apoptosis, atrofia, hipertrofia, hiperplasia, metaplasia, displasia, y acumulaciones de sustancias como hemosiderina, amiloide y calcificaciones.
































