LUXACIÓN DE CODO
ANATOMÍA
FISIOPATOLOGÍA
Caída
Brazo
extensión
Abducción Supinación Valgus
Ruptura de
ligamento
45 °
45 °
Olecranon prominente
Olecrano
n
prominent
e
Edema y
deformació
n
REVISAR NERVIOS Y PULSOS PERIFÉRICOS
EXTENSIÓN Y SUPINACIÓN
Muy dolorosa. Moverlo en difícil o casi
imposible.
Tiende a confundirse con fractura
supracondilar.
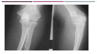
IMAGENOLOGÍA
RADIOGRAFÍA
Obtenida antes de la
reducción
Obtenida después de la
reducción
A. Asociados con fractura de la cabeza radial. B. Asociado con fractura de apófisis coronoides.
“TRIADA TERRIBLE”
12% a 60%
LESIONES ASOCIADAS
8 – 21 %
Muy raro
“TERRIBLE TRIADA”
12 – 60%
La muñeca y el hombro deben ser
examinados a fondo, como se producen las
lesiones de las extremidades superiores
adicionales en 10 % a 15 % de los casos . Inestabilidad recurrente en un sencillo luxación
del codo se ve en sólo el 1% a 2 % de los casos
TRATAMIENTO
Reducción Temprana
Retraso puede
Dañar el cartílago articular
Hinchazón excesiva
Compromiso circulatorio
Si el codo permanece no reducida durante más de 7 días, la
utilidad de la reducción cerrada es mínima
La reducción se realiza después de
administrar la sedación procesal con
anestesia local intraarticular
Paciente en decúbito prono
Extremidad colgando libremente
Se aplica tracción manual suave
o con peso en la muñeca
15-20 minutos
Antebrazo en supinación
El codo en ligera flexión(aprox.
30°)
El médico estabiliza el húmero
distal con la mano no dominante
y distrae el antebrazo con la mano
dominante
Una tracción lenta, continua,
suave, con flexión longitudinal
gradual reducirá el codo
Reducción también puede ser
presionando el olécranon
HIPEREXTENSIÓN ESTA
CONTRAINDICADO
DURANTE LA REDUCCIÓN,
YA QUE PUEDE CONDUCIR
A LESIONES
NEUROVASCULARES,
AUMENTAR EL RIESGO DE
DESARROLLO DE MIOSITIS
OSIFICANTE O LESIONAR
SUPERFICIES ARTICULARES
Paciente en decúbito supino
El codo del paciente se flexiona,
el antebrazo en supinación y el
hombro abducido
El médico coloca su codo sobre
biceps distal del paciente
Y usa su mano para entrelazar los
ddos del paciente o agarrar la
muñeca
El codo del paciente se flexiona
gradualmente mientras que el
codo del médico proporciona
contratracción
POSICIÓN: Prona
codo dislocado colgando perpendicular a la mesa
codo flexionado aproximadamente 30 grados
aproximadamente 5 libras de peso
la miositis
osificante
retirada suave de la apófisis coronoides hiperextensión
conducir a daño de los tejidos
blandos
olécranon incide en el húmero inferior.
lado contralateral del codo lesionado
Tracción suave se aplica mientras el codo
del paciente se flexiona gradualmente para
desacoplar el proceso coronoides de los
húmero inferiores.
olécranon es empujado en su posición con
el pulgar
5 minutos para completar y tiene una
tasa de éxito del 95%.
"clunking" sonido como las superficies
articulares vuelven a su posición
normal
REDUCCIÓN
EXITOSA
COMPROBACIÓN amplitud de movimiento
Si el codo permanece reducido, es estable y se inmoviliza en 90
grados en una férula posterior de brazo largo : 5 a 7 días
¿HINCHAZÓN? Menos de 90°
EJERCICIOS de movimiento debe comenzar con el uso de
intervalos de una férula o un cabestrillo para mayor
comodidad y apoyo.
INMOVILIZACIÓN DE MÁS
DE 3 SEMANAS
Disminución en
rango de
movimiento.
REDUCCIÓN CERRADA FRACASADA
COMPLICACIONES
 Lesiones nerviosas en hasta un 20%.
Nervios cubital y mediano, pero la radial y anterior nervios interóseos
también pueden verse afectados.
 Por lo general, se resuelven con tratamiento conservador.
 Rigidez articular postraumática: La pérdida de las terminales 15 grados
de extensión del codo después de la dislocación es común.
 La osificación heterotópica. En luxación del codo posterior (> 75% de
los pacientes), pero limita el movimiento en <5%.
 La inestabilidad crónica
Luxación de codo

Luxación de codo

  • 1.
  • 2.
  • 10.
  • 12.
  • 13.
    45 ° 45 ° Olecranonprominente Olecrano n prominent e Edema y deformació n REVISAR NERVIOS Y PULSOS PERIFÉRICOS
  • 14.
  • 15.
    Muy dolorosa. Moverloen difícil o casi imposible. Tiende a confundirse con fractura supracondilar.
  • 17.
  • 18.
    RADIOGRAFÍA Obtenida antes dela reducción Obtenida después de la reducción
  • 19.
    A. Asociados confractura de la cabeza radial. B. Asociado con fractura de apófisis coronoides. “TRIADA TERRIBLE” 12% a 60%
  • 21.
  • 22.
    8 – 21% Muy raro “TERRIBLE TRIADA” 12 – 60% La muñeca y el hombro deben ser examinados a fondo, como se producen las lesiones de las extremidades superiores adicionales en 10 % a 15 % de los casos . Inestabilidad recurrente en un sencillo luxación del codo se ve en sólo el 1% a 2 % de los casos
  • 24.
  • 25.
    Reducción Temprana Retraso puede Dañarel cartílago articular Hinchazón excesiva Compromiso circulatorio Si el codo permanece no reducida durante más de 7 días, la utilidad de la reducción cerrada es mínima La reducción se realiza después de administrar la sedación procesal con anestesia local intraarticular
  • 26.
    Paciente en decúbitoprono Extremidad colgando libremente Se aplica tracción manual suave o con peso en la muñeca 15-20 minutos
  • 27.
    Antebrazo en supinación Elcodo en ligera flexión(aprox. 30°) El médico estabiliza el húmero distal con la mano no dominante y distrae el antebrazo con la mano dominante Una tracción lenta, continua, suave, con flexión longitudinal gradual reducirá el codo Reducción también puede ser presionando el olécranon HIPEREXTENSIÓN ESTA CONTRAINDICADO DURANTE LA REDUCCIÓN, YA QUE PUEDE CONDUCIR A LESIONES NEUROVASCULARES, AUMENTAR EL RIESGO DE DESARROLLO DE MIOSITIS OSIFICANTE O LESIONAR SUPERFICIES ARTICULARES
  • 28.
    Paciente en decúbitosupino El codo del paciente se flexiona, el antebrazo en supinación y el hombro abducido El médico coloca su codo sobre biceps distal del paciente Y usa su mano para entrelazar los ddos del paciente o agarrar la muñeca El codo del paciente se flexiona gradualmente mientras que el codo del médico proporciona contratracción
  • 29.
    POSICIÓN: Prona codo dislocadocolgando perpendicular a la mesa codo flexionado aproximadamente 30 grados aproximadamente 5 libras de peso la miositis osificante
  • 31.
    retirada suave dela apófisis coronoides hiperextensión conducir a daño de los tejidos blandos olécranon incide en el húmero inferior. lado contralateral del codo lesionado Tracción suave se aplica mientras el codo del paciente se flexiona gradualmente para desacoplar el proceso coronoides de los húmero inferiores. olécranon es empujado en su posición con el pulgar
  • 32.
    5 minutos paracompletar y tiene una tasa de éxito del 95%. "clunking" sonido como las superficies articulares vuelven a su posición normal REDUCCIÓN EXITOSA COMPROBACIÓN amplitud de movimiento Si el codo permanece reducido, es estable y se inmoviliza en 90 grados en una férula posterior de brazo largo : 5 a 7 días ¿HINCHAZÓN? Menos de 90°
  • 34.
    EJERCICIOS de movimientodebe comenzar con el uso de intervalos de una férula o un cabestrillo para mayor comodidad y apoyo. INMOVILIZACIÓN DE MÁS DE 3 SEMANAS Disminución en rango de movimiento. REDUCCIÓN CERRADA FRACASADA
  • 35.
  • 36.
     Lesiones nerviosasen hasta un 20%. Nervios cubital y mediano, pero la radial y anterior nervios interóseos también pueden verse afectados.  Por lo general, se resuelven con tratamiento conservador.  Rigidez articular postraumática: La pérdida de las terminales 15 grados de extensión del codo después de la dislocación es común.  La osificación heterotópica. En luxación del codo posterior (> 75% de los pacientes), pero limita el movimiento en <5%.  La inestabilidad crónica