Luxación de Codo
 Dr. Humberto Maldonado R.
   ortopedia y Traumatología
Articulación del codo izquierdo


                Epitróclea
 Epicóndilo

               Olécranon
Codo:tres articulaciones:
1.- Articulación humerocubital
2.- Articulación humeroradial
3.- Articulación radiocubital.
ANATOMIA
Plano antero y Posterior
ANATOMIA
Plano Lateral
ANATOMIA
Capsula ligamentosa media y lateral
ANATOMIA
Ligamentos del codo
Músculos de la región
      anterior
Músculos de la región
 posterior del codo
Relaciones del nervio Cubital
mediano y Radial
Luxación de Codo
Epidemiologia:
  Las luxaciones representan un 11-28% de las lesiones de
  codo
   Segunda articulación mas frecuentemente luxada
   luxación posteroexterno es la mas frecuente(80-90%)
  En menores de 14 años:frecuente avulsión de epitróclea
  Mas frecuente en varones.
  La mayoría asociada a accidentes deportivos.
  Incidencia mayor: 14 – 20 años.
  Lado izquierdo es el más afectado.
  Lesión arteria braquial: 1-3%.
  Asociada con fracturas (30-40%)
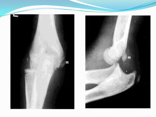
EVALUACION RADIOLOGICA
 Proyecciones AP y Lateral del codo.


 Deben evaluarse posibles fracturas asociadas a la
 articulacion del codo
CLASIFICACION
POSTERIOR

• POSTERIOR PURA
• POSTERO LATERAL
• POSTERO MEDIAL

ANTERIOR

• LATERAL
• MEDIAL

DIVERGENTE
LUXACIONES DEL CODO
Luxación postero-externa
 La mas frecuente
Luxación Lateral
Luxación divergente
Luxación Divergente

  1. Envuelve una luxación posterior de la
     ulna con el proceso coronoides dentro de
     la fosa olecraneana.
  2. La cabeza radial luxada dentro de la fosa
     coronoides.
  3. Producida por una fuerza de pronación
     del antebrazo después que el ligamento
     colateral medial ha sido cortado.
FACTORES PRONOSTICOS

 Edad del paciente

 Presencia de fracturas asociadas

 Evolución de la lesión

 Lesión neurológica

 Lesión Vascular

 Luxación irreductible
Luxación Posterior
de Codo
Luxación Posterior
 Mecanismo:
  Caída sobre la mano en
 hiperextensión y el brazo en
 extensión y abducción.
Luxación Posterior
            de Codo
 Hallazgos Clínicos
 - Codo en semiflexión (45°)
 - Acortamiento del antebrazo
 - Olecranon prominente
  posteriormente
 - Fosa antecubital ocupada por el
  húmero
  distal.
 -Codo voluminoso
 -Perdida del T. de Nelaton
LUXACION POSTERIOR
Puntos a Localizar
                         en el Codo
   Epicóndilo, Epitróclea y Olecranon




Alineamiento en extensión.              Triángulo isósceles en flexión.
Los 3 puntos del codo delimitan un   Ellos están en un plano frontal
triángulo isósceles de frente
   Rasgamiento de músculo braquioradial
   Lesión de ambos ligamentos colaterales
   Cápsula articular
   Despegamiento de periostio
   Mecanismo: arrancamiento tríceps
    braquial.
La rayos X AP y lateral es
imperativa para confirmar
el diagnóstico y descartar
fracturas asociadas
Fractura
                       del
                    proceso
                   coronoides


 Fractura                               Fractura
    del                                   de la
capitellum
             Fracturas                 epitróclea


             asociadas
        Fractura                 Fractura
          de la                     de
         cúpula                 epicóndilo
          radial                  lateral
Proceso Coronoides           Contracción braquial
                                anterior


Epitróclea       Contracción de los flexores de los
             dedos
Avulsión del Epicóndilo
Avulsión de la Epitróclea
Luxación posterior con arrancamiento óseo a nivel del epicóndilo y la
                            epitróclea
Tratamiento de la luxación del codo
 Reducción bajo sedación o anestesia general :
        Tracción del antebrazo
        en flexión de codo
       contra tracción del brazo
              ± presión sobre el olécranon




 Yeso braquipalmar en flexión durante 3 semanas
Reduction of a posterior elbow dislocation consists of longitudinal traction (A),
correction of lateral or medial displacement (B), and flexion of the elbow (C).
Reducción Cerrada
¿Cuándo está reducida?
 Disminuye o se ausenta por completo el dolor


 Recupera la movilidad


 Desaparece deformidad


 tomar radiografía control
Complicaciones
Inmediatas:

        1.- Lesión neurológica: Ulnar, Mediano, Radial
        2.- Lesión A. Braquial.
        3.-Sd. Compartamental
        4.-Irreductibilidad.

Mas frecuente lesión del N.Ulnar
Luxación Irreductible:
1.-interposición de cápsula articular.
2.- Interposición de Fracturas(Ej. Epitróclea )
3.- Interposición del bíceps braquial.
4.- Interposición de ligamento anular.
LUXACION IRREDUCTIBLE
LUXACION IRREDUCTIBLE
COMPLICACIONES
Tardías:

      1.-Rigidez Articular
      2.-Limitación de últimos grados de la flexo-extension
      3.-Formación heterotopica de hueso:
             1.-Calcificacion de ligamentos
             2.-Miositis Osificante
MIOSITIS OSIFICANTE
 Factores:
 Retardo en el tratamiento.
 Daño extenso a los tejidos blandos.
 Alargamiento pasivo para obtener movimiento.
 Periodo muy corto de inmovilización.
 Cirugía tardía.
PRONÓSTICO


Bueno o excelente =
     75 – 80%
Luxación Anterior de
          Codo


Mecanismo:
Trauma contuso sobre el olécranon, con
  fractura del mismo, que ocasiona la luxacion
  anterior.
Luxación Anterior
Luxación Anterior de Codo
  Clínica:

        -Dolor.
        -Deformidad.
        -Aumento de volumen.
        -Brazo Acortado.
        -Antebrazo alargado y supinado.
        -Codo usualmente en extensión total.
        -Fosa olecraneana y tróclea palpables post.
Luxación Anterior
Antebrazo
                          alargado y
                           supinado




                                                   Codo
 Pérdida del                                    usualmente
triángulo de                                        en
   Nelaton                                       extensión
                                                   total
                         Hallazgos
                          Clínicos


                                           Fosa
           Frecuente
                                       olecraneana
          fractura del
                                       posteriorme
           olécranon
                                            nte
Reducción cerrada de la luxación

  Inmovilización con férula de yeso

  Control radiológico en dos planos

Osteosíntesis de fractura del olécranon
Luxación Anterior de Codo
COMPLICACIONES
   Inmediatas:

      2.- Lesión neurológica: NERVIO MEDIANO
      2.-Lesion Arteria Braquial
      3.-Irreductibilidad

Luxacion de codo