Micosis Profundas
Efraín Holguín Romero

Universidad Latina de México
• Existen mas de 100,000 especies de hongos de
  los cuales menos de 100 son patógenos para el
  hombre.
• Se reproducen sexual y asexualmente.
• Su forma de crecimiento es diferente por lo que
  se diferencian en micosis superficiales,
  mucocutaneas y profundas.
Las micosis profundas o sistémicas son comunes
 en países en vías de desarrollo en áreas en las
 que las circunstancias permiten el desarrollo de
 hongos que las producen.
Histoplasmosis
• Histoplasma Capsulatum
• Crece especialmente en suelos húmedos, donde
  abundan madera podrida, excretas de algunas
  aves (palomas, gallinas) y murcielagos.
• No se transmite de persona – persona.
• Periodo de incubación de 1 – 3 semanas.
Patogenia
• Las esporas llegan hasta los alveolos al ser
  inhaladas y ahí se convierten en formas con
  capacidad de gemación.
• Se produce una fuerte reaccion de granulación
  que puede ir seguida de una calcificación como
  en la tuberculosis.
• En los niños suele desaparecer la infección y
  dejar calcificaciones punteadas en los ganglios
  del hilio o en pulmón.
• En el adulto puede quedar una masa redondeada
  de tejido cicatrizal con o sin calcificación
  central, conocida como Histoplasmona.
• Puede convertirse en una infección progresiva y
  potencialmente mortal.
• La enfermedad se manifiesta como una
  neumonia fibroso-cavitaria crónica o bien una
  infección diseminada.
• En ambos casos no hay historia de
  histoplasmosis pulmonar primaria aguda.
Cuadro Clínico
•   Sintomático o Asintomático
•   Puede cursar como cuadro de gripe banal.
•   Existen 3 formas de histoplasmosis:
•   A) Infección pulmonar aguda
•   B) Histoplasmosis pulmonar crónica
•   C) Histoplasmosis diseminada progresiva.
• La mayoria de las infecciones agudas
  permanecen asintomáticas o leves y permanecen
  sin diagnosticar.
•   Manifestaciones típicas:
•   Fiebre
•   Cefalea
•   Tos
•   Dolor torácico
•   Disnea
•   Malestar general
•   En algunos casos: eritema nodoso, eritema
    multiforme y artritis.
• En niños y adultos jóvenes la adenopatías
  hiliares pueden producir compresión del
  bronquio del lóbulo medio derecho.
• Puede aparecer una mediastinitis fibrosa y
  por consecuencia una pericarditis subaguda.
• Las estructuras mediastinicas quedan
  comprimidas y con el paso del tiempo puede
  provocar compresión de las venas
  pulmonares, arterias pulmonares, esófago y
  VCS.
• La forma pulmonar crónica es una infección
  oportunista muy parecida a la TB.
• Se caracteriza por un inicio de tos con
  expectoración hemoptoica cada vez mas
  abundante, pérdida de peso, fiebre y diaforesis
  nocturna.
• La radiografia de torax muestra infiltrados
  apicales fibrosonodulares uni o bilaterales.
• 1/3 permanece estable o mejora el resto empeora
  apareciendo retracciones o cavitaciones en los
  lóbulos superiores.
• La aparición de enfisema o bullas compromete la
  función respiratoria.
• La muerte sobreviene al cabo de meses o años
  debido a cor pulmonale, neumonía bacteriana o
  por la misma histoplasmosis.
• La forma diseminada puede ser aguda,
  subaguda o crónica y puede confundirse con TB
  miliar.
• Afecta principalmente a lactantes e
  inmunodeprimidos.
• Habitualmente cursa con fiebre, diarrea,
  adelgazamiento, hepatoesplenomegalia,
  adenopatías, ictericia, anemia, leucopenia y
  trombocitopenia.
• En un cuarto de los Px. Se han descrito úlceras
  induradas en boca, lengua, nariz y laringe.
Diagnóstico
•   Cultivo del agente etiológico.
•   Cultivo esputo.
•   Hemocultivo, cultivos de médula osea.
•   Ag histoplasma en sangre y orina.
•   Liq. De Lavado broncoalveolar.
•   Frotis de sangre y liq. Broncoalveolar teñidos
    con Giemsa.
Dx Diferencial
•   Linfomas
•   Leucemia
•   TB
•   Sarcoidosis
Tratamiento
• Histoplasmosis pulmonar aguda = No precisa tx.
  Expecifico (sintomático).
• Px. Con fibrosis mediastínica = Qx. (tiene mal
  Pronóstico).
• Histoplasmosis fibrosonodular = Quimioterapia.
• Px con enfermedad grave = Anfotericina B, IV
  0.6mg/kg x dia
• Mejora = Itraconazol 200mg c/12hrs x 10
  semanas y reducirse a la mitad (????) en Px.
  Con SIDA el tx de por vida.
• Ketoconazol a dosis de 400 a 800mg una vez al
  dia en Px. Inmunocompetentes sin afección del
  SNC.
Coccidioidomicosis
• La coccidioidomicosis es una micosis profunda
  causada por dos hongos dimórficos
  denominados Coccidioides immitis y
  Coccidioides posadasii, puede presentar
  diversas manifestaciones clínicas, tales como
  coccidioidomicosis primaria pulmonar y
  coccidioidomicosis progresiva o
• diseminada (piel, tejido celular subcutáneo,
  linfáticos, huesos, articulaciones, vísceras, e
  incluso sistema nervioso central).
• Principalmente se encuentra en climas secos,
  arenosos. (en méxico en el norte del país
  principalmente).
• Vectores de la enfermedad (flora y fauna del
  lugar).
• La principal via de entrada es la respiratoria
  (98%) rara vez es cutanea.
• Se puede presentar a cualquier edad aunque el
  predominio es en hombres adultos.
Patogenia
• El primocontacto pulmonar genera un
  exudado rico en polimorfonucleares, que
  destruye las esporas, sin embargo también
  puede ocurrir que se origine un cuadro similar a
  la tuberculosis.
• Asintomática en la mayoría de los casos (60 a
  75%) o bien parecer un cuadro gripal (25 a 40%),
  los casos con sintomatología grave son escasos.
• Se puede diseminar por via hematogena o
  linfática (mal pronóstico).
• La penetración por via cutánea genera una placa
  verrugosa similar a la TB verrugosa.
Aspectos Clínicos
• Las formas clínicas de la coccidioidomicosis son las
  siguientes:
• • Coccidioidomicosis primaria
• Pulmonar (98%)
• Cutánea (2 %)
• • Coccidioidomicosis residual
• • Coccidioidomicosis secundaria o progresiva
• Pulmonar
• Meníngea
• Cutánea
• • Generalizada o diseminada
Coccidioidomicosis primaria
pulmonar
• a) Asintomático (60-75%) primo-contacto sin
  signos ni síntomas, pero con positividad a la
  intradermorreacción (coccidioidina), la imagen
  radiológica no muestra signos de importancia.
• b) Sintomático (25-40%), con manifestaciones
  clínicas 15 a 20 días posteriores a la inhalación del
  hongo; aparenta un cuadro leve de vías
• respiratorias, se confunde con una gripe banal, con
  fiebre moderada, cefalea, escalofríos, diaforesis
  nocturna y tos seca.
IMPORTANTE!!!!!
• En pulmón existe formación de nódulos
  (neumonía coccidioidal), rara vez existen
  lesiones cavitarias, incluso coccidioidomas, de
  manera crónica, similares a los producidos por
  la tuberculosis e histoplasmosis.
• En algunos casos los sintomas pueden ser mas
  severos, presentando fiebre constante, tos con
  expectoración mucopurulenta y franca
  hemoptisis, adenomegalias cervicales, axilares e
  inguinales, artralgias y ataque al estado general.
Coccidioidomicosis primaria cutanea
• Principalmente es por la penetración por
  heridas. Es poco frecuente y se presenta
  principalmente en brazos, piernas y cara.
  Iniciando 15 a 20 días posteriores a la
  inoculación con la aparición de un chancro con
  adenitis y linfangitis, generando una lesión
  nódulo-gomosa que progresa hasta formar una
  úlcera convirtiéndose en una placa verrugosa
  vegetante cubierta de costras sanguíneas y
  melicéricas.
Coccidioidomicosis residual
• Se caracteriza por ser precedida de un cuadro
  pulmonar primario, y durante esta etapa el
  paciente es asintomático o presenta pocos datos
  clínicos, en los análisis radiológicos es posible
  observar cavitaciones pulmonares o lesiones
  tumorales capsuladas, la intradermorreacción es
  positiva y la serología suele resultar negativa o
  débilmente positiva.
Coccidioidomicosis secundaria o
progresiva

• Esta variedad clínica progresa diseminándose a
  partir de un foco primario, siendo poco
  frecuente (1-2%), pero altamente mortal en
  corto plazo, depende más que de exposición
  repetida al agente etiológico, es el estado
  inmune del paciente lo que puede llevar a
  una diseminación.
Coccidioidomicosis Cutnea
Secundaria
• Los lugares de diseminación mas frecuentes son
  a piel, hueso y linfáticos. Sus lesiones se
  caracterizan por la formación de abscesos fríos o
  lesiones gomosas pudiendo evolucionar hacia la
  formación de úlceras, indoloras con
  propensión a la formación de fístulas con
  drenado de abundante exudado
  seropurulento en el cual es posible encontrar
  las esférulas como estructuras parasitarias del
  hongo.
• En hueso puede generar lesiones liticas por lo
  que hay que hacer diagnóstico diferencial con
  osteomielitis bacteriana y micetoma.
Diganóstico
• Las muestras (lavados bronquioalveolares,
  esputo, exudados, etc) son tratados con
  hidróxido de potasio al 10% (p/v) en solución
  acuosa, y observados en el microscopio, la
  evidencia de esférulas (de 20 a 70mm de
  diámetro con endosporas en su interior), en
  éstas muestras confirma el diagnóstico.
• Cultivos (solo lab. Con instalaciones adecuadas).
  (fase filamentosa)
Esférula presente en muestra de
lavado broncoalveolar.
Otras técnicas
•   Biopsia
•   Radioinmunoanálisis.
•   ELISA
•   Inmunofluorescencia
Tratamiento
• Anfotericina B 0.25 a 0.75mg/kg y en algunos
  casos se puede aumentar hasta 1mg/kg/dia.
• Se debe aplicar IH, IV y disuelta en sol.
  Glucosada al 5% por goteo lento.
• Ketoconazol 200 – 400 mg/dia
• Itraconazol 300 – 400mg/dia VO (mejor) en
  caso de evolución satisfactoria 100mg/dia.
• Caspofungina (nuevo) antimicótico que actua
  contra la pared del hongo IV 50 – 70mg/dia
Profilaxis
• Casi nula
• Se puede usar un fungicida llamado 1 cloro-2-
  nitropropano. Hace que pierda capacidad
  infectante el hongo en un tiempo promedio de
  24 hrs.
Caso Clínico
    Femenino de 12 años de edad con antecedente
 de atopia. Inició 15 días previos con mal estado
 general, hiporexia, astenia, adinamia e ictericia;
 se manejó como hepatitis en una clínica
 periférica. Cinco días después se agregó fiebre,
 tos en accesos y dificultad respiratoria
 progresiva con cianosis distal; se ingresó a
 terapia intensiva pediátrica con intubación
 nasotraqueal y ventilación mecánica.
 Radiografía de tórax con infiltrado
 macronodular basal y medio, múltiple.
Laboratorios
• Biometría hemática con hemoglobina de 10.3
  g/dL, leucocitos de 27 600/ mm3, neutrófilos en
  banda 6% y 36 000 plaquetas/ mm3; química
  sanguínea con transaminasa glutámica
  oxalacética de 1 148 U/L, transaminasa
  glutámica pirúvica 618 U/L, gasometría con
  acidosis metabólica y potasio sérico de 5.8
  mEq/L;
• Se manejó como neumonía de focos múltiples con dicloxacilina más
  amikacinay aminas vasopresoras. Las baciloscopias, reacción
  cutánea a PPD (derivado proteico purificado) y cultivo de lavado
  bronquial se reportaron negativas para M. tuberculosis.Presentó
  mala evolución hemodinámica e infectológica, con hemocultivo
  positivo para Staphylococcus aureus; se cambió el esquema de
  antibióticos a cefuroxima, clindamicina y amikacina. Mala evolución
  ventilatoria con síndrome de insuficiencia respiratoria aguda
  progresiva, requiriendo parámetros ventilatorios altos, ameritó
  colocación de sello pleural por neumotorax. Posteriormente la
  radiografía de tórax mostró imágenes de bulas (Fig. 2). Perfil de
  hepatitis viral A y B negativos; por mala evolución clínica, al cuarto
  día de estancia se amplió esquema con anfotericina B para
  cobertura empírica de hongos. Al quinto día de estancia hospitalaria
  falleció
• . Posterior a la defunción se reportó cultivo de
  lavado bronquioalveolar positivo para H.
  capsulatum.
Bibliografia
Artículos de Revisión:
http://www.nietoeditores.com.mx/download/med%2
  0interna/marzo-abril%202008/MedintMex2008-
  24(2)-125-41.pdf

http://cmapspublic2.ihmc.us/rid=1HW29DSHB-
  197GPQL-GR/Micosis%20profundas.pdf

http://antoniorondonlugo.com/blog/wp-
  content/uploads/2010/05/83Coccidioidomicosis.pd
  f

Micosis profundas

  • 1.
    Micosis Profundas Efraín HolguínRomero Universidad Latina de México
  • 2.
    • Existen masde 100,000 especies de hongos de los cuales menos de 100 son patógenos para el hombre. • Se reproducen sexual y asexualmente. • Su forma de crecimiento es diferente por lo que se diferencian en micosis superficiales, mucocutaneas y profundas.
  • 3.
    Las micosis profundaso sistémicas son comunes en países en vías de desarrollo en áreas en las que las circunstancias permiten el desarrollo de hongos que las producen.
  • 4.
    Histoplasmosis • Histoplasma Capsulatum •Crece especialmente en suelos húmedos, donde abundan madera podrida, excretas de algunas aves (palomas, gallinas) y murcielagos. • No se transmite de persona – persona. • Periodo de incubación de 1 – 3 semanas.
  • 5.
    Patogenia • Las esporasllegan hasta los alveolos al ser inhaladas y ahí se convierten en formas con capacidad de gemación. • Se produce una fuerte reaccion de granulación que puede ir seguida de una calcificación como en la tuberculosis. • En los niños suele desaparecer la infección y dejar calcificaciones punteadas en los ganglios del hilio o en pulmón.
  • 6.
    • En eladulto puede quedar una masa redondeada de tejido cicatrizal con o sin calcificación central, conocida como Histoplasmona. • Puede convertirse en una infección progresiva y potencialmente mortal.
  • 7.
    • La enfermedadse manifiesta como una neumonia fibroso-cavitaria crónica o bien una infección diseminada. • En ambos casos no hay historia de histoplasmosis pulmonar primaria aguda.
  • 8.
    Cuadro Clínico • Sintomático o Asintomático • Puede cursar como cuadro de gripe banal. • Existen 3 formas de histoplasmosis: • A) Infección pulmonar aguda • B) Histoplasmosis pulmonar crónica • C) Histoplasmosis diseminada progresiva.
  • 9.
    • La mayoriade las infecciones agudas permanecen asintomáticas o leves y permanecen sin diagnosticar.
  • 10.
    Manifestaciones típicas: • Fiebre • Cefalea • Tos • Dolor torácico • Disnea • Malestar general • En algunos casos: eritema nodoso, eritema multiforme y artritis.
  • 11.
    • En niñosy adultos jóvenes la adenopatías hiliares pueden producir compresión del bronquio del lóbulo medio derecho. • Puede aparecer una mediastinitis fibrosa y por consecuencia una pericarditis subaguda.
  • 12.
    • Las estructurasmediastinicas quedan comprimidas y con el paso del tiempo puede provocar compresión de las venas pulmonares, arterias pulmonares, esófago y VCS.
  • 13.
    • La formapulmonar crónica es una infección oportunista muy parecida a la TB. • Se caracteriza por un inicio de tos con expectoración hemoptoica cada vez mas abundante, pérdida de peso, fiebre y diaforesis nocturna.
  • 14.
    • La radiografiade torax muestra infiltrados apicales fibrosonodulares uni o bilaterales. • 1/3 permanece estable o mejora el resto empeora apareciendo retracciones o cavitaciones en los lóbulos superiores. • La aparición de enfisema o bullas compromete la función respiratoria.
  • 18.
    • La muertesobreviene al cabo de meses o años debido a cor pulmonale, neumonía bacteriana o por la misma histoplasmosis.
  • 19.
    • La formadiseminada puede ser aguda, subaguda o crónica y puede confundirse con TB miliar. • Afecta principalmente a lactantes e inmunodeprimidos. • Habitualmente cursa con fiebre, diarrea, adelgazamiento, hepatoesplenomegalia, adenopatías, ictericia, anemia, leucopenia y trombocitopenia.
  • 20.
    • En uncuarto de los Px. Se han descrito úlceras induradas en boca, lengua, nariz y laringe.
  • 21.
    Diagnóstico • Cultivo del agente etiológico. • Cultivo esputo. • Hemocultivo, cultivos de médula osea. • Ag histoplasma en sangre y orina. • Liq. De Lavado broncoalveolar. • Frotis de sangre y liq. Broncoalveolar teñidos con Giemsa.
  • 22.
    Dx Diferencial • Linfomas • Leucemia • TB • Sarcoidosis
  • 23.
    Tratamiento • Histoplasmosis pulmonaraguda = No precisa tx. Expecifico (sintomático). • Px. Con fibrosis mediastínica = Qx. (tiene mal Pronóstico). • Histoplasmosis fibrosonodular = Quimioterapia.
  • 24.
    • Px conenfermedad grave = Anfotericina B, IV 0.6mg/kg x dia • Mejora = Itraconazol 200mg c/12hrs x 10 semanas y reducirse a la mitad (????) en Px. Con SIDA el tx de por vida. • Ketoconazol a dosis de 400 a 800mg una vez al dia en Px. Inmunocompetentes sin afección del SNC.
  • 25.
    Coccidioidomicosis • La coccidioidomicosises una micosis profunda causada por dos hongos dimórficos denominados Coccidioides immitis y Coccidioides posadasii, puede presentar diversas manifestaciones clínicas, tales como coccidioidomicosis primaria pulmonar y coccidioidomicosis progresiva o • diseminada (piel, tejido celular subcutáneo, linfáticos, huesos, articulaciones, vísceras, e incluso sistema nervioso central).
  • 26.
    • Principalmente seencuentra en climas secos, arenosos. (en méxico en el norte del país principalmente). • Vectores de la enfermedad (flora y fauna del lugar).
  • 27.
    • La principalvia de entrada es la respiratoria (98%) rara vez es cutanea. • Se puede presentar a cualquier edad aunque el predominio es en hombres adultos.
  • 28.
    Patogenia • El primocontactopulmonar genera un exudado rico en polimorfonucleares, que destruye las esporas, sin embargo también puede ocurrir que se origine un cuadro similar a la tuberculosis. • Asintomática en la mayoría de los casos (60 a 75%) o bien parecer un cuadro gripal (25 a 40%), los casos con sintomatología grave son escasos.
  • 29.
    • Se puedediseminar por via hematogena o linfática (mal pronóstico). • La penetración por via cutánea genera una placa verrugosa similar a la TB verrugosa.
  • 30.
    Aspectos Clínicos • Lasformas clínicas de la coccidioidomicosis son las siguientes: • • Coccidioidomicosis primaria • Pulmonar (98%) • Cutánea (2 %) • • Coccidioidomicosis residual • • Coccidioidomicosis secundaria o progresiva • Pulmonar • Meníngea • Cutánea • • Generalizada o diseminada
  • 31.
    Coccidioidomicosis primaria pulmonar • a)Asintomático (60-75%) primo-contacto sin signos ni síntomas, pero con positividad a la intradermorreacción (coccidioidina), la imagen radiológica no muestra signos de importancia. • b) Sintomático (25-40%), con manifestaciones clínicas 15 a 20 días posteriores a la inhalación del hongo; aparenta un cuadro leve de vías • respiratorias, se confunde con una gripe banal, con fiebre moderada, cefalea, escalofríos, diaforesis nocturna y tos seca.
  • 32.
    IMPORTANTE!!!!! • En pulmónexiste formación de nódulos (neumonía coccidioidal), rara vez existen lesiones cavitarias, incluso coccidioidomas, de manera crónica, similares a los producidos por la tuberculosis e histoplasmosis.
  • 33.
    • En algunoscasos los sintomas pueden ser mas severos, presentando fiebre constante, tos con expectoración mucopurulenta y franca hemoptisis, adenomegalias cervicales, axilares e inguinales, artralgias y ataque al estado general.
  • 34.
    Coccidioidomicosis primaria cutanea •Principalmente es por la penetración por heridas. Es poco frecuente y se presenta principalmente en brazos, piernas y cara. Iniciando 15 a 20 días posteriores a la inoculación con la aparición de un chancro con adenitis y linfangitis, generando una lesión nódulo-gomosa que progresa hasta formar una úlcera convirtiéndose en una placa verrugosa vegetante cubierta de costras sanguíneas y melicéricas.
  • 36.
    Coccidioidomicosis residual • Secaracteriza por ser precedida de un cuadro pulmonar primario, y durante esta etapa el paciente es asintomático o presenta pocos datos clínicos, en los análisis radiológicos es posible observar cavitaciones pulmonares o lesiones tumorales capsuladas, la intradermorreacción es positiva y la serología suele resultar negativa o débilmente positiva.
  • 37.
    Coccidioidomicosis secundaria o progresiva •Esta variedad clínica progresa diseminándose a partir de un foco primario, siendo poco frecuente (1-2%), pero altamente mortal en corto plazo, depende más que de exposición repetida al agente etiológico, es el estado inmune del paciente lo que puede llevar a una diseminación.
  • 38.
    Coccidioidomicosis Cutnea Secundaria • Loslugares de diseminación mas frecuentes son a piel, hueso y linfáticos. Sus lesiones se caracterizan por la formación de abscesos fríos o lesiones gomosas pudiendo evolucionar hacia la formación de úlceras, indoloras con propensión a la formación de fístulas con drenado de abundante exudado seropurulento en el cual es posible encontrar las esférulas como estructuras parasitarias del hongo.
  • 39.
    • En huesopuede generar lesiones liticas por lo que hay que hacer diagnóstico diferencial con osteomielitis bacteriana y micetoma.
  • 41.
    Diganóstico • Las muestras(lavados bronquioalveolares, esputo, exudados, etc) son tratados con hidróxido de potasio al 10% (p/v) en solución acuosa, y observados en el microscopio, la evidencia de esférulas (de 20 a 70mm de diámetro con endosporas en su interior), en éstas muestras confirma el diagnóstico. • Cultivos (solo lab. Con instalaciones adecuadas). (fase filamentosa)
  • 42.
    Esférula presente enmuestra de lavado broncoalveolar.
  • 43.
    Otras técnicas • Biopsia • Radioinmunoanálisis. • ELISA • Inmunofluorescencia
  • 44.
    Tratamiento • Anfotericina B0.25 a 0.75mg/kg y en algunos casos se puede aumentar hasta 1mg/kg/dia. • Se debe aplicar IH, IV y disuelta en sol. Glucosada al 5% por goteo lento. • Ketoconazol 200 – 400 mg/dia • Itraconazol 300 – 400mg/dia VO (mejor) en caso de evolución satisfactoria 100mg/dia. • Caspofungina (nuevo) antimicótico que actua contra la pared del hongo IV 50 – 70mg/dia
  • 45.
    Profilaxis • Casi nula •Se puede usar un fungicida llamado 1 cloro-2- nitropropano. Hace que pierda capacidad infectante el hongo en un tiempo promedio de 24 hrs.
  • 46.
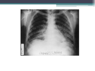
    Caso Clínico Femenino de 12 años de edad con antecedente de atopia. Inició 15 días previos con mal estado general, hiporexia, astenia, adinamia e ictericia; se manejó como hepatitis en una clínica periférica. Cinco días después se agregó fiebre, tos en accesos y dificultad respiratoria progresiva con cianosis distal; se ingresó a terapia intensiva pediátrica con intubación nasotraqueal y ventilación mecánica. Radiografía de tórax con infiltrado macronodular basal y medio, múltiple.
  • 47.
    Laboratorios • Biometría hemáticacon hemoglobina de 10.3 g/dL, leucocitos de 27 600/ mm3, neutrófilos en banda 6% y 36 000 plaquetas/ mm3; química sanguínea con transaminasa glutámica oxalacética de 1 148 U/L, transaminasa glutámica pirúvica 618 U/L, gasometría con acidosis metabólica y potasio sérico de 5.8 mEq/L;
  • 48.
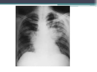
    • Se manejócomo neumonía de focos múltiples con dicloxacilina más amikacinay aminas vasopresoras. Las baciloscopias, reacción cutánea a PPD (derivado proteico purificado) y cultivo de lavado bronquial se reportaron negativas para M. tuberculosis.Presentó mala evolución hemodinámica e infectológica, con hemocultivo positivo para Staphylococcus aureus; se cambió el esquema de antibióticos a cefuroxima, clindamicina y amikacina. Mala evolución ventilatoria con síndrome de insuficiencia respiratoria aguda progresiva, requiriendo parámetros ventilatorios altos, ameritó colocación de sello pleural por neumotorax. Posteriormente la radiografía de tórax mostró imágenes de bulas (Fig. 2). Perfil de hepatitis viral A y B negativos; por mala evolución clínica, al cuarto día de estancia se amplió esquema con anfotericina B para cobertura empírica de hongos. Al quinto día de estancia hospitalaria falleció
  • 50.
    • . Posteriora la defunción se reportó cultivo de lavado bronquioalveolar positivo para H. capsulatum.
  • 51.
    Bibliografia Artículos de Revisión: http://www.nietoeditores.com.mx/download/med%2 0interna/marzo-abril%202008/MedintMex2008- 24(2)-125-41.pdf http://cmapspublic2.ihmc.us/rid=1HW29DSHB- 197GPQL-GR/Micosis%20profundas.pdf http://antoniorondonlugo.com/blog/wp- content/uploads/2010/05/83Coccidioidomicosis.pd f