Micosis pulmonares endémicas:
histoplasmosis, coccidioidomicosis y
blastomicosis
Agente etiológico
histoplasmosis
• Histoplasma capsulatum:
– Hongo dimórfico:
• Mohos (forma de hifas) en el medio o en medio de
Saboraud
• Levaduras en los tejidos.
Agente etiológico
coccidioidomicosis
• Coccidioides spp:
– C. immitis
– C. posadasii
– Hongo dimórfico:
• Mohos (forma de hifas) en el medio o en medio de
Saboraud
• Levaduras en los tejidos.
Agente etiológico blastomicosis
• Blastomyces dermatitidis:
– Hongo dimórfico:
• Mohos (forma de hifas) en el medio o en medio de
Saboraud
• Levaduras en los tejidos.
Epidemiología histoplasmosis
• En todas las entidades federativas se han reportado
casos.
• Zonas urbanas (último brote en Acapulco)
• Sitios con condiciones apropiadas para el
crecimiento del hongo:
– Suelo húmedo con deyecciones de aves o murciélagos
– Cavernas
– Minas
– Edificios viejos
– Gallineros
– Campos de cultivo donde se usa el guano de quirópteros como
fertilizante.
Epidemiología
coccidioidomicosis
• Estados del noreste de México:
– Baja California
– Sonora
– Chihuahua
– Coahuila
– Durango.
• Sitios con condiciones apropiadas para el
crecimiento del hongo:
– Clima árido o semiárido
– Alto contenido en sales
– pH alcalino
– Vegetación escasa de tipo espinoso.
Epidemiología blastomicosis
• La más rara de las micosis endémicas
• Su distribución geográfica se
superpone a la de H. capsulatum
• En México se han diagnosticado muy
pocos casos, pero se espera aumenten
con el aumento del SIDA.
Histoplasmosis: factores que
influyen en el cuadro clínico
• Tamaño del inóculo
– Tiempo de exposición
• Inmunocompetencia del hospedero
• Grado de patogenicidad de las cepas
– Posiblemente en México haya cepas
particularmente virulentas.
Coccidioidomicosis: factores
que influyen en el cuadro clínico
• Tamaño del inóculo
– Tiempo de exposición
• Inmunocompetencia del hospedero
Blastomicosis: factores que
influyen en el cuadro clínico
• Inmunocompetencia del hospedero
Histoplasmosis: formas de
presentación clínica
• Con inóculos pequeños:
– Benigna
• Histoplasmosis endémica asintomática (histoplasmina +)
• Histoplasmosis sintomática leve (cuadros gripales)
• Histoplasmosis cutánea primaria
– Moderadamente graves y graves
• Histoplasmosis pulmonar aguda
– Histoplasmosis primaria (9 a 15 días de incubación)
– Histoplasmosis primaria fulminante (2 a 7 días de incubación)
– Histoplasmosis de reinfección (3 a 10 días de incubación)
• Histoplasmosis pulmonar crónica (semeja Tb)
• Histoplasmosis aguda diseminada
Histoplasmosis pulmonar
primaria aguda
• Forma clínica de presentación más frecuente en
México
• Síntomas y signos:
– Síntomas generales muy intensos
– Cefalea intensa
– Dolor torácico
– Tos seca o productiva
– Hemoptisis ocasional
– Diarrea
– Fiebre a veces muy elevada
– Disnea de esfuerzos
– Cianosis
– Hepatoesplenomegalia
– Pérdida de peso importante.
Coccidioidomicosis: formas de
presentación clínica
• 60% de los pacientes infectados cursan
asintomáticos
• Formas clínicas:
– Coccidioidomicosis pulmonar primaria
• Buena respuesta al tratamiento
– Coccidioidomicosis pulmonar crónica
• Mal pronóstico y mala respuesta al tratamiento
– Coccidioidomicosis diseminada
• 70% de mortalidad
Coccidioidomicosis Pulmonar
• Síntomas y signos (pocas semanas
después de la exposición)
– Malestar general
– Fiebre
– Dolor torácico o pleurítico
– Tos seca o productiva
Blastomicosis: formas de
presentación clínica
• Blastomicosis diseminada (piel, huesos, SNC).
• Blastomicosis pulmonar:
– Asintomática
– Neumonitis aguda < de 3 semanas:
• fiebre, tos productiva purulenta, hemoptisis
• Frecuente resolución espontánea
• Eritema nodoso en la resolución.
– Neumonitis crónica > de 3 semanas a 6 meses:
• Fiebre, tos productiva, dolor torácico, pérdida de peso.
• Habitualmente se confunde con neumonía
bacteriana
– La presencia de lesiones cutáneas debe hacer sospechar de
esta patología.
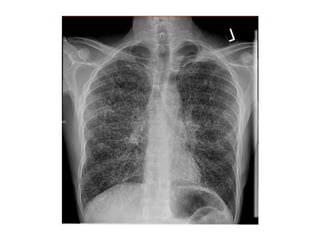
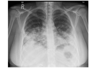
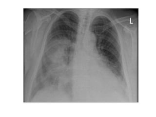
Histoplasmosis: Rx de tórax
• Linfadenopatía en mediastino
(calcificación en formas crónicas)
• Infiltrados en placas
• Con menos frecuencia:
– Cavitación
– Atelectasias por obstrucción debido al
agrandamiento de los ganglios
• En histoplasmosis diseminada patron
micronodular (semeja Tb miliar).
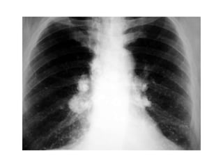
Coccidioidomicosis: Rx de tórax
• Linfadenopatía en mediastino
• Infiltrados en placas
• Con menos frecuencia (5%):
– Cavitación de paredes delgadas
– Lesiones nodulares numulares
– Derrame pleural
• En coccidioidomicosis diseminada
patron micronodular (semeja Tb miliar).
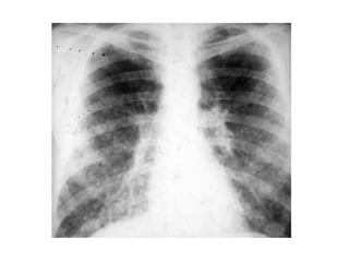
Blastomicosis: Rx de tórax
• Infiltrados focales alveolares en
lóbulos superiores, a menudo de
aspecto nodular
• Cavitaciones frecuentes (1/3 de los
casos)
• El 15 % masa que se confunde con Ca
• Patron micronodular < del 1%.
• Adenopatías y calcificaciones raras.
Histoplasmosis: diagnóstico
• La elección de la prueba dependerá de la gravedad del caso:
• Casos leves: pruebas serológicas (detección de anticuerpos),
pero:
– Ab contra histoplasma positivos 4 a 8 semanas después del inicio de la
infección
– Cruzan con otros hongos
– Falso negativos en inmunocomprometidos
• Casos mas graves:
– Detección de antígenos en líquidos corporales (sangre, orina y líquido
de LBA).
– Tinciones para hongos, poco sensible pero rápidos y se requiere mucha
experiencia por parte del anatomopatólogo.
– Cultivo (médula ósea y sangre)
• Histoplasmina sin importancia para el diagnóstico.
Coccidioidomicosis: diagnóstico
• Tinción de esputo para hongos
– Broncoscopía
• Pruebas serológicas
– Positivas en mas del 80% de los casos
• Prueba cutánea (coccidioidina)
– Útil para el diagnóstico
– Precede a la aparición de anticuerpos
• Cultivo de secreciones o biopsias
pulmonares
– Casos graves
Blastomicosis: diagnóstico
• Tinción y cultivo de esputo para
hongos o de lavado broncoalveolar por
broncoscopía
• Pruebas serológicas y cutáneas
irrelevantes
Histoplasmosis: pronóstico
• Dependerá de la gravedad del cuadro e
inmunocompetencia
• Cuadros leves, habitualmente
autolimitada
• En estudio de Velasco-Castrejon, en
pacientes moderadamente graves y
graves, letalidad del 23%
Coccidioidomicosis: pronóstico
• Es la más grave de las micosis
endémicas.
• Dependerá de la gravedad del cuadro e
inmunocompetencia
• Cuadros leves, habitualmente
autolimitada
• En formas diseminadas, la mortalidad
es hasta del 70% a pesar del
tratamiento.
Blastomicosis: pronóstico
• Es la micosis que mejor responde a
tratamiento
• Mortalidad con Tx adecuado menor del
15%
Histoplasmosis: tratamiento
• Esquema para formas graves
– Anfotericina B liposomal: 3 mg/kg/día, cuando
se observa mejoría clínica evidente, cambio a
itraconazol 200 mg una o dos veces por día
por 6 a 12 meses.
• Esquema para formas moderadas:
– Itraconazol 200 mg 1 o dos veces por día por
6 a 12 meses.
Coccidioidomicosis: tratamiento
• Esquema para formas graves
– Anfotericina B liposomal: 3 mg/kg/día, cuando se
observa mejoría clínica evidente, cambio a
itraconazol 200 mg una o dos veces por día por 12 a
24 meses.
– También se puede dar anfotericina B 0.7 mg/kg/día
(más barata)
• Esquema para formas moderadas (pacientes
sintomáticos que después de 3-4 semanas
no presentan signos de mejoría:
– Itraconazol 200 mg dos veces por día por 3 a 6
meses.
– Fluconazol: 400 mg por el mismo tiempo
Blastomicosis: tratamiento
• Esquema para formas graves
– Anfotericina B liposomal: 3 mg/kg/día, cuando se
observa mejoría clínica evidente, cambio a
itraconazol 200 mg una o dos veces por día hasta
mejoría clínica (la mayoría más de 6 meses).
– También se puede dar anfotericina B 0.7 mg/kg/día
(más barata)
• El ketoconazol (400 a 800 mg diarios por 6
meses) es más barato que el itraconazol y es
efectivo en más del 80% de los casos

Micosis pulmonares

  • 1.
    Micosis pulmonares endémicas: histoplasmosis,coccidioidomicosis y blastomicosis
  • 3.
    Agente etiológico histoplasmosis • Histoplasmacapsulatum: – Hongo dimórfico: • Mohos (forma de hifas) en el medio o en medio de Saboraud • Levaduras en los tejidos.
  • 4.
    Agente etiológico coccidioidomicosis • Coccidioidesspp: – C. immitis – C. posadasii – Hongo dimórfico: • Mohos (forma de hifas) en el medio o en medio de Saboraud • Levaduras en los tejidos.
  • 5.
    Agente etiológico blastomicosis •Blastomyces dermatitidis: – Hongo dimórfico: • Mohos (forma de hifas) en el medio o en medio de Saboraud • Levaduras en los tejidos.
  • 6.
    Epidemiología histoplasmosis • Entodas las entidades federativas se han reportado casos. • Zonas urbanas (último brote en Acapulco) • Sitios con condiciones apropiadas para el crecimiento del hongo: – Suelo húmedo con deyecciones de aves o murciélagos – Cavernas – Minas – Edificios viejos – Gallineros – Campos de cultivo donde se usa el guano de quirópteros como fertilizante.
  • 7.
    Epidemiología coccidioidomicosis • Estados delnoreste de México: – Baja California – Sonora – Chihuahua – Coahuila – Durango. • Sitios con condiciones apropiadas para el crecimiento del hongo: – Clima árido o semiárido – Alto contenido en sales – pH alcalino – Vegetación escasa de tipo espinoso.
  • 8.
    Epidemiología blastomicosis • Lamás rara de las micosis endémicas • Su distribución geográfica se superpone a la de H. capsulatum • En México se han diagnosticado muy pocos casos, pero se espera aumenten con el aumento del SIDA.
  • 9.
    Histoplasmosis: factores que influyenen el cuadro clínico • Tamaño del inóculo – Tiempo de exposición • Inmunocompetencia del hospedero • Grado de patogenicidad de las cepas – Posiblemente en México haya cepas particularmente virulentas.
  • 10.
    Coccidioidomicosis: factores que influyenen el cuadro clínico • Tamaño del inóculo – Tiempo de exposición • Inmunocompetencia del hospedero
  • 11.
    Blastomicosis: factores que influyenen el cuadro clínico • Inmunocompetencia del hospedero
  • 12.
    Histoplasmosis: formas de presentaciónclínica • Con inóculos pequeños: – Benigna • Histoplasmosis endémica asintomática (histoplasmina +) • Histoplasmosis sintomática leve (cuadros gripales) • Histoplasmosis cutánea primaria – Moderadamente graves y graves • Histoplasmosis pulmonar aguda – Histoplasmosis primaria (9 a 15 días de incubación) – Histoplasmosis primaria fulminante (2 a 7 días de incubación) – Histoplasmosis de reinfección (3 a 10 días de incubación) • Histoplasmosis pulmonar crónica (semeja Tb) • Histoplasmosis aguda diseminada
  • 13.
    Histoplasmosis pulmonar primaria aguda •Forma clínica de presentación más frecuente en México • Síntomas y signos: – Síntomas generales muy intensos – Cefalea intensa – Dolor torácico – Tos seca o productiva – Hemoptisis ocasional – Diarrea – Fiebre a veces muy elevada – Disnea de esfuerzos – Cianosis – Hepatoesplenomegalia – Pérdida de peso importante.
  • 14.
    Coccidioidomicosis: formas de presentaciónclínica • 60% de los pacientes infectados cursan asintomáticos • Formas clínicas: – Coccidioidomicosis pulmonar primaria • Buena respuesta al tratamiento – Coccidioidomicosis pulmonar crónica • Mal pronóstico y mala respuesta al tratamiento – Coccidioidomicosis diseminada • 70% de mortalidad
  • 15.
    Coccidioidomicosis Pulmonar • Síntomasy signos (pocas semanas después de la exposición) – Malestar general – Fiebre – Dolor torácico o pleurítico – Tos seca o productiva
  • 16.
    Blastomicosis: formas de presentaciónclínica • Blastomicosis diseminada (piel, huesos, SNC). • Blastomicosis pulmonar: – Asintomática – Neumonitis aguda < de 3 semanas: • fiebre, tos productiva purulenta, hemoptisis • Frecuente resolución espontánea • Eritema nodoso en la resolución. – Neumonitis crónica > de 3 semanas a 6 meses: • Fiebre, tos productiva, dolor torácico, pérdida de peso. • Habitualmente se confunde con neumonía bacteriana – La presencia de lesiones cutáneas debe hacer sospechar de esta patología.
  • 18.
    Histoplasmosis: Rx detórax • Linfadenopatía en mediastino (calcificación en formas crónicas) • Infiltrados en placas • Con menos frecuencia: – Cavitación – Atelectasias por obstrucción debido al agrandamiento de los ganglios • En histoplasmosis diseminada patron micronodular (semeja Tb miliar).
  • 21.
    Coccidioidomicosis: Rx detórax • Linfadenopatía en mediastino • Infiltrados en placas • Con menos frecuencia (5%): – Cavitación de paredes delgadas – Lesiones nodulares numulares – Derrame pleural • En coccidioidomicosis diseminada patron micronodular (semeja Tb miliar).
  • 22.
    Blastomicosis: Rx detórax • Infiltrados focales alveolares en lóbulos superiores, a menudo de aspecto nodular • Cavitaciones frecuentes (1/3 de los casos) • El 15 % masa que se confunde con Ca • Patron micronodular < del 1%. • Adenopatías y calcificaciones raras.
  • 25.
    Histoplasmosis: diagnóstico • Laelección de la prueba dependerá de la gravedad del caso: • Casos leves: pruebas serológicas (detección de anticuerpos), pero: – Ab contra histoplasma positivos 4 a 8 semanas después del inicio de la infección – Cruzan con otros hongos – Falso negativos en inmunocomprometidos • Casos mas graves: – Detección de antígenos en líquidos corporales (sangre, orina y líquido de LBA). – Tinciones para hongos, poco sensible pero rápidos y se requiere mucha experiencia por parte del anatomopatólogo. – Cultivo (médula ósea y sangre) • Histoplasmina sin importancia para el diagnóstico.
  • 26.
    Coccidioidomicosis: diagnóstico • Tinciónde esputo para hongos – Broncoscopía • Pruebas serológicas – Positivas en mas del 80% de los casos • Prueba cutánea (coccidioidina) – Útil para el diagnóstico – Precede a la aparición de anticuerpos • Cultivo de secreciones o biopsias pulmonares – Casos graves
  • 27.
    Blastomicosis: diagnóstico • Tincióny cultivo de esputo para hongos o de lavado broncoalveolar por broncoscopía • Pruebas serológicas y cutáneas irrelevantes
  • 28.
    Histoplasmosis: pronóstico • Dependeráde la gravedad del cuadro e inmunocompetencia • Cuadros leves, habitualmente autolimitada • En estudio de Velasco-Castrejon, en pacientes moderadamente graves y graves, letalidad del 23%
  • 29.
    Coccidioidomicosis: pronóstico • Esla más grave de las micosis endémicas. • Dependerá de la gravedad del cuadro e inmunocompetencia • Cuadros leves, habitualmente autolimitada • En formas diseminadas, la mortalidad es hasta del 70% a pesar del tratamiento.
  • 30.
    Blastomicosis: pronóstico • Esla micosis que mejor responde a tratamiento • Mortalidad con Tx adecuado menor del 15%
  • 31.
    Histoplasmosis: tratamiento • Esquemapara formas graves – Anfotericina B liposomal: 3 mg/kg/día, cuando se observa mejoría clínica evidente, cambio a itraconazol 200 mg una o dos veces por día por 6 a 12 meses. • Esquema para formas moderadas: – Itraconazol 200 mg 1 o dos veces por día por 6 a 12 meses.
  • 32.
    Coccidioidomicosis: tratamiento • Esquemapara formas graves – Anfotericina B liposomal: 3 mg/kg/día, cuando se observa mejoría clínica evidente, cambio a itraconazol 200 mg una o dos veces por día por 12 a 24 meses. – También se puede dar anfotericina B 0.7 mg/kg/día (más barata) • Esquema para formas moderadas (pacientes sintomáticos que después de 3-4 semanas no presentan signos de mejoría: – Itraconazol 200 mg dos veces por día por 3 a 6 meses. – Fluconazol: 400 mg por el mismo tiempo
  • 33.
    Blastomicosis: tratamiento • Esquemapara formas graves – Anfotericina B liposomal: 3 mg/kg/día, cuando se observa mejoría clínica evidente, cambio a itraconazol 200 mg una o dos veces por día hasta mejoría clínica (la mayoría más de 6 meses). – También se puede dar anfotericina B 0.7 mg/kg/día (más barata) • El ketoconazol (400 a 800 mg diarios por 6 meses) es más barato que el itraconazol y es efectivo en más del 80% de los casos