Prof. Noris Arcaya
Micosis Superficiales y
cutáneas
UNIVERSIDAD NACIONAL EXPERIMENTAL
FRANCISCO DE MIRANDA
• Es una infección superficial crónica, no
irritativa del estrato corneo producidas por
levaduras lipofílicas del género Malassezia .
• La levadura forma parte de la flora
endógena de la piel humana, en especial de
la zonas ricas en ácidos grasos.
Pitiriasis versicolor
Micosis Superficial
Agente etiológico: Género Malassezia spp.
La Pitiriasis versicolor es causada por una de las
siguientes especies:
Malassezia furfur
M. pachydermatis
M. sympodialis
M. globosa
M. obtusa
M.restricta
M.sloffia
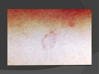
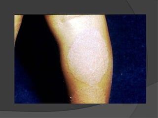
Cómo se manifiesta?
• Alteración de la pigmentación de la piel.
• Aparición de máculas descamativas de bordes bien definidos
que pueden presentar diferentes tamaños y colores (rosadas,
blanquecinas y marrón), localizadas principalmente en cara,
cuello, torax, espalda y miembros superiores.
Pitiriasis versicolor
• Agente etiológico: Malassezia furfur
Diagnóstico
Examen Directo:
Cinta adhesiva y una gota de Azul de metileno entre
lámina y laminilla. Se observa al microscopio óptico
con objetivo de 40X.
Se observan hifas cortas y células de levaduras de forma y
tamaño variable.
Cultivo: Medio de Sabouraud dextrosa agar
con aceite de oliva
Se observan colonias cremosas de bordes irregulares de
color crema.
Lampara de Wood
• Fluorescencia color oro o verdosa, de las máculas
descamativas presentes en la piel.
• Piedra Blanca
• Las piedras son infecciones fúngicas de la
porción extrafolicular del pelo, caracterizadas por
la presencia de nódulos duros e irregulares
compuestos por agregados fúngicos.
• En la piedra blanca la parasitación del pelo es
ectrotrix (se encuentra afuera), el pelo no está
afectado hasta la corteza.
• Cuando los nódulos se unen se forma una masa
en el cabello. Los nódulos en la Piedra Blanca
son hialinos y blandos
• Piedra Blanca
• Agente etiológico: Trichosporon beigelii.
• Piedra Negra
• El agente etiológico de la Piedra Negra es
la Piedraia hortai. A diferencia de la
Piedra blanca, los nódulos producidos por
esta enfermedad son nódulos duros al
tacto, presentan pigmento melánico, por
lo que son oscuros.
• Piedra Negra
• Agente etiológico: Piedraia hortae
Micosis cutáneas
Dermatofitosis
• Dermatofitosis o tiñas son micosis
superficiales que afectan piel y anexos
(piel, pelo y uñas)
• Ocasionadas por dermatofitos del género:
Trichophyton, Microsporum y
Epidermophyton
Tiñas:
• Por su localización se conoce la Tiña de la
cabeza(capitis), Tiña de la piel(corporis),
Tiña de las ingles(inguinal o cruris), Tiña
de pies(pedis) y Tiña de las manos y
dedos (manus). Tiña de las uñas (unguium
• Los hongos productores pertenecen a tres
géneros:
Microsporum
Epidermophyton y
Trichophyton
 GÉNERO
PELOS PIEL UÑAS
MICROSPORUM + + -
TRICHOPHYTON + + +
EPIDERMOPHYTON - + +
Según la localización anatómica de los Géneros
Desde el punto de vista ecológico
• Antropofílicos: habitat-hombre.
• Se transmite de hombre a hombre.
• (T. rubrum, T. mentagrophytes var.
Interdigitales, T.tonsurans y E. flocossum.).
• Zoofílicos: habitat-animales. De los animales
se transmite al hombre.
• Zoofílicos: T.mentagrophytes var.
Mentagrophytes y Microsporum canis.
• Geofílicos: habitat-suelo. De él se transmite
al hombre. M. gypseum.
Desde el punto de vista ecológico
Géneros
Trichophyton
Microsporum
Epidermophyton
M. Canis
M.gypseum
T. Tonasurans
T. Rubrum
T. Mentagrophytes
E. Floccosum
GÉNEROS Y ESPECIES
Micosis cutáneas por Dermatofitos:
Macroconidias M. canis Macroconidias E. floccosum
Macroconidias y microconidias T. rubrum
Tiña capitis
• Epidemiología
• Distribución mundial 98% en niños y
ocasionalemente en mujeres adultas
predomina en preescolares y escolares
Tiña capitis
• Morfología: Placas pseudoalopecicas con
escama y pelos cortos
• Agentes etiológicos : Microsporum canis y
Trichophyton tonsurans
Tiña tricofítica
• Etiología: T. Tonsurans
• Morfología . Placas pequeñas
• Pseudoalopecicas
• Pelo parasitado por dentro: Endotrix
Tiña microspórica
• Etiología: Microsporum canis
• Pelos regularmente afectados y rotos
placas circulantes grandes
• Pelo parasitado por dentro y fuera:
Ectoendotrix
Tiña de la cabeza inflamatoria
Querion de Celso
• Placas pseudoalopecicas con eritema,
inflamación, pustulas y exudado
purulento
• Dolor y adenomegalia regional.
• Secuela: alopecia permanente
• Agentes etiológicos: Microsporum canis y
Microsporum gypseum
Tiña de la cabeza inflamatoria
Querion de Celso
Tiña de la cabeza inflamatoria
Querion de Celso
Tiña de la cabeza inflamatoria
Querion de Celso
Dermatofitosis
Diagnóstico
• Examen directo KOH al 10%
• Cultivo
Lampara de wood
Fluorescencia del
Pelo parasitado
Ataque Endotrix
Ataque Ectotrix
ECTÓTRIX ENDÓTRIX
• Microsporum
canis
• Microsporum
audouinii
+
+
• Trichophyton
tonsurans
• T.violaceum
• T. shoenleini
- +
Tiña Capitis
Ectótrix: crece fuera del pelo, afecta tronco piloso sin afectar folículo.
Tiña capitis
Diagnóstico diferencial
• Alopecia areata
• Tricotilomania
• Dermatitis seborréica
Tiña corporis
• Etiología: T. Tonsurans M. Canis
• T. Rubrum T. Mentagrophytes
• E. Floccosum
• Puede ser producida por cualquier
dermatofito.
Tiña del cuerpo
• Placas eritematoescamosas con borde
activo prúrito
Tiña del cuerpo
Cuadro clínico:
• Placas de borde activo, redondas, con
liquenificación y escamas
Onicomicosis (tiña de las uñas)
Manos o pies:
Se manifiesta con engrosamiento,
fragilidad, estrias
cambios de coloración
Tiña de las uñas-onicomicosis
• Uñas engrosadas (distróficas) opacas
• Afección del borde libre hacia la cutícula
• Etiología. T.rubrum, T. mentagrophytes
Tiña pedis
Morfología
• Interdigital. Escamas maceración, fisuras
vesiculosa. Vesículas y/u escamas
• Hiperqueratósica. Escamas e
hiperqueratosis
Micosis superficiales (tiña)
Laboratorio:
• En todas es necesario:
• El exámen directo
• El cultivo
• Luz de Wood
Tiña de las uñas
Tratamiento
Ciclopiroxolamina en laca
Onicomicosis
Tratamiento sistémico
• Itraconazol
• Terbinafina
• Fluconazol
Tiña de las uñas
Tratamiento
• Tópico. Afección parcial distal y de 3-4
uñas
• Sistémico. Afección total de la uña y
parcial proximal o afección de más de 3
uñas
Tiña de los pies
“ pies de atleta”
• Etiología: T. Rubrum, E. Flocosum
T. Mentagrophytes
• Maceración, descamación en espacios
Interdigitales y plantas muy pruriginosa
Tiña pedis
• Etiología:
• T. rubrum
• T. mentagrophytes
• E. floccosum
Tiña de los pies
• Formas morfológicas
Intertriginosa (pliegues)
Vesiculosa
Hiperqueratosica
Tiña de los pies
• Complicaciones
Dermatitis por contacto
Adenopatía inguinal
Fiebre
Dermatofitides
Tiña inguinal (Tiña cruris)
• En regiones inguinales, perine, escroto
• Eritema y escamas; Borde activo y
vesículas
• Placas eritematoescamosas con borde
activo uni o bilateral prúrito
• Etiología: T. rubrum, T. mentagrophytes
E. floccosum
Tiña del cuerpo y de la ingle
Diagnóstico diferencial
• Psoriasis
• Dermatitis seborreíca
• Pitiriasis rosada
Antifúngicos
Tratamiento: Vía oral
• Griseofulvina ( Tiña capitis, unguium)
• Terbinafina
• Itraconazol
• Fluconazol
Vía tópica:
Imidazol: Clotrimazol. Azoles: , Ketaconazol,
Miconazol,
A ESTUDIAR

micosis_superficiales

  • 1.
    Prof. Noris Arcaya MicosisSuperficiales y cutáneas UNIVERSIDAD NACIONAL EXPERIMENTAL FRANCISCO DE MIRANDA
  • 2.
    • Es unainfección superficial crónica, no irritativa del estrato corneo producidas por levaduras lipofílicas del género Malassezia . • La levadura forma parte de la flora endógena de la piel humana, en especial de la zonas ricas en ácidos grasos. Pitiriasis versicolor Micosis Superficial
  • 3.
    Agente etiológico: GéneroMalassezia spp. La Pitiriasis versicolor es causada por una de las siguientes especies: Malassezia furfur M. pachydermatis M. sympodialis M. globosa M. obtusa M.restricta M.sloffia
  • 4.
    Cómo se manifiesta? •Alteración de la pigmentación de la piel. • Aparición de máculas descamativas de bordes bien definidos que pueden presentar diferentes tamaños y colores (rosadas, blanquecinas y marrón), localizadas principalmente en cara, cuello, torax, espalda y miembros superiores.
  • 5.
    Pitiriasis versicolor • Agenteetiológico: Malassezia furfur
  • 6.
    Diagnóstico Examen Directo: Cinta adhesivay una gota de Azul de metileno entre lámina y laminilla. Se observa al microscopio óptico con objetivo de 40X. Se observan hifas cortas y células de levaduras de forma y tamaño variable.
  • 7.
    Cultivo: Medio deSabouraud dextrosa agar con aceite de oliva Se observan colonias cremosas de bordes irregulares de color crema.
  • 8.
    Lampara de Wood •Fluorescencia color oro o verdosa, de las máculas descamativas presentes en la piel.
  • 9.
    • Piedra Blanca •Las piedras son infecciones fúngicas de la porción extrafolicular del pelo, caracterizadas por la presencia de nódulos duros e irregulares compuestos por agregados fúngicos. • En la piedra blanca la parasitación del pelo es ectrotrix (se encuentra afuera), el pelo no está afectado hasta la corteza. • Cuando los nódulos se unen se forma una masa en el cabello. Los nódulos en la Piedra Blanca son hialinos y blandos
  • 10.
    • Piedra Blanca •Agente etiológico: Trichosporon beigelii.
  • 11.
    • Piedra Negra •El agente etiológico de la Piedra Negra es la Piedraia hortai. A diferencia de la Piedra blanca, los nódulos producidos por esta enfermedad son nódulos duros al tacto, presentan pigmento melánico, por lo que son oscuros.
  • 12.
    • Piedra Negra •Agente etiológico: Piedraia hortae
  • 13.
    Micosis cutáneas Dermatofitosis • Dermatofitosiso tiñas son micosis superficiales que afectan piel y anexos (piel, pelo y uñas) • Ocasionadas por dermatofitos del género: Trichophyton, Microsporum y Epidermophyton
  • 14.
    Tiñas: • Por sulocalización se conoce la Tiña de la cabeza(capitis), Tiña de la piel(corporis), Tiña de las ingles(inguinal o cruris), Tiña de pies(pedis) y Tiña de las manos y dedos (manus). Tiña de las uñas (unguium • Los hongos productores pertenecen a tres géneros: Microsporum Epidermophyton y Trichophyton
  • 15.
     GÉNERO PELOS PIELUÑAS MICROSPORUM + + - TRICHOPHYTON + + + EPIDERMOPHYTON - + + Según la localización anatómica de los Géneros
  • 16.
    Desde el puntode vista ecológico • Antropofílicos: habitat-hombre. • Se transmite de hombre a hombre. • (T. rubrum, T. mentagrophytes var. Interdigitales, T.tonsurans y E. flocossum.). • Zoofílicos: habitat-animales. De los animales se transmite al hombre.
  • 17.
    • Zoofílicos: T.mentagrophytesvar. Mentagrophytes y Microsporum canis. • Geofílicos: habitat-suelo. De él se transmite al hombre. M. gypseum. Desde el punto de vista ecológico
  • 18.
    Géneros Trichophyton Microsporum Epidermophyton M. Canis M.gypseum T. Tonasurans T.Rubrum T. Mentagrophytes E. Floccosum GÉNEROS Y ESPECIES
  • 19.
    Micosis cutáneas porDermatofitos: Macroconidias M. canis Macroconidias E. floccosum Macroconidias y microconidias T. rubrum
  • 20.
    Tiña capitis • Epidemiología •Distribución mundial 98% en niños y ocasionalemente en mujeres adultas predomina en preescolares y escolares
  • 21.
    Tiña capitis • Morfología:Placas pseudoalopecicas con escama y pelos cortos • Agentes etiológicos : Microsporum canis y Trichophyton tonsurans
  • 22.
    Tiña tricofítica • Etiología:T. Tonsurans • Morfología . Placas pequeñas • Pseudoalopecicas • Pelo parasitado por dentro: Endotrix
  • 28.
    Tiña microspórica • Etiología:Microsporum canis • Pelos regularmente afectados y rotos placas circulantes grandes • Pelo parasitado por dentro y fuera: Ectoendotrix
  • 29.
    Tiña de lacabeza inflamatoria Querion de Celso • Placas pseudoalopecicas con eritema, inflamación, pustulas y exudado purulento • Dolor y adenomegalia regional. • Secuela: alopecia permanente • Agentes etiológicos: Microsporum canis y Microsporum gypseum
  • 30.
    Tiña de lacabeza inflamatoria Querion de Celso
  • 31.
    Tiña de lacabeza inflamatoria Querion de Celso
  • 32.
    Tiña de lacabeza inflamatoria Querion de Celso
  • 33.
    Dermatofitosis Diagnóstico • Examen directoKOH al 10% • Cultivo Lampara de wood Fluorescencia del Pelo parasitado
  • 34.
  • 35.
  • 36.
    ECTÓTRIX ENDÓTRIX • Microsporum canis •Microsporum audouinii + + • Trichophyton tonsurans • T.violaceum • T. shoenleini - + Tiña Capitis Ectótrix: crece fuera del pelo, afecta tronco piloso sin afectar folículo.
  • 37.
    Tiña capitis Diagnóstico diferencial •Alopecia areata • Tricotilomania • Dermatitis seborréica
  • 38.
    Tiña corporis • Etiología:T. Tonsurans M. Canis • T. Rubrum T. Mentagrophytes • E. Floccosum • Puede ser producida por cualquier dermatofito.
  • 39.
    Tiña del cuerpo •Placas eritematoescamosas con borde activo prúrito
  • 40.
    Tiña del cuerpo Cuadroclínico: • Placas de borde activo, redondas, con liquenificación y escamas
  • 53.
    Onicomicosis (tiña delas uñas) Manos o pies: Se manifiesta con engrosamiento, fragilidad, estrias cambios de coloración
  • 54.
    Tiña de lasuñas-onicomicosis • Uñas engrosadas (distróficas) opacas • Afección del borde libre hacia la cutícula • Etiología. T.rubrum, T. mentagrophytes
  • 56.
    Tiña pedis Morfología • Interdigital.Escamas maceración, fisuras vesiculosa. Vesículas y/u escamas • Hiperqueratósica. Escamas e hiperqueratosis
  • 62.
    Micosis superficiales (tiña) Laboratorio: •En todas es necesario: • El exámen directo • El cultivo • Luz de Wood
  • 63.
    Tiña de lasuñas Tratamiento Ciclopiroxolamina en laca
  • 64.
  • 65.
    Tiña de lasuñas Tratamiento • Tópico. Afección parcial distal y de 3-4 uñas • Sistémico. Afección total de la uña y parcial proximal o afección de más de 3 uñas
  • 66.
    Tiña de lospies “ pies de atleta” • Etiología: T. Rubrum, E. Flocosum T. Mentagrophytes • Maceración, descamación en espacios Interdigitales y plantas muy pruriginosa
  • 67.
    Tiña pedis • Etiología: •T. rubrum • T. mentagrophytes • E. floccosum
  • 68.
    Tiña de lospies • Formas morfológicas Intertriginosa (pliegues) Vesiculosa Hiperqueratosica
  • 73.
    Tiña de lospies • Complicaciones Dermatitis por contacto Adenopatía inguinal Fiebre Dermatofitides
  • 77.
    Tiña inguinal (Tiñacruris) • En regiones inguinales, perine, escroto • Eritema y escamas; Borde activo y vesículas • Placas eritematoescamosas con borde activo uni o bilateral prúrito • Etiología: T. rubrum, T. mentagrophytes E. floccosum
  • 82.
    Tiña del cuerpoy de la ingle Diagnóstico diferencial • Psoriasis • Dermatitis seborreíca • Pitiriasis rosada
  • 83.
    Antifúngicos Tratamiento: Vía oral •Griseofulvina ( Tiña capitis, unguium) • Terbinafina • Itraconazol • Fluconazol Vía tópica: Imidazol: Clotrimazol. Azoles: , Ketaconazol, Miconazol,
  • 84.