Incrustar presentación































































































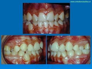
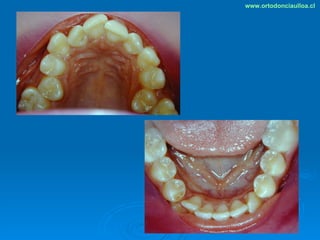
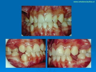
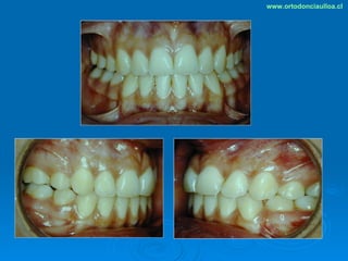
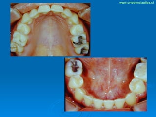
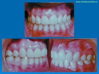
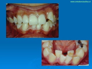
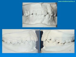
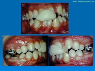
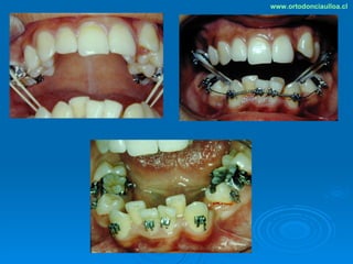
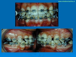
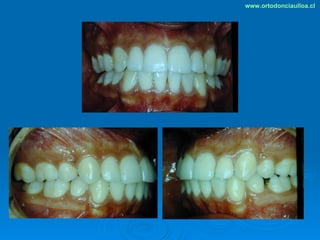
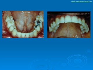
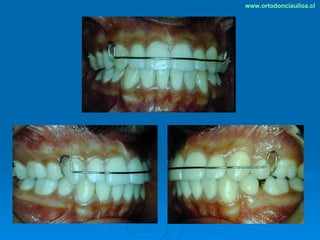
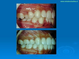
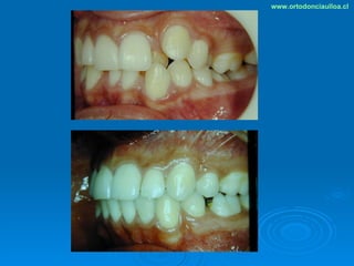
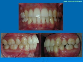
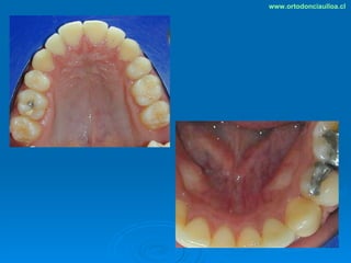
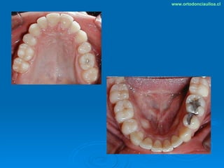
Este documento presenta dos casos clínicos de pacientes que recibieron tratamiento de ortodoncia. El primer caso fue de una paciente femenina de 14 años con apiñamiento dental y mordida cruzada que fue tratada mediante extracción de premolares y alineamiento dental. El segundo caso fue de un paciente masculino de 14 años con clase II esqueletal y desarmonía dentomaxilar que fue tratado con extracción de premolares y corrección de mordida. Ambos casos mostraron mejoría después de 3 años de tratamiento.





























































































