Antilíngula
Obtenido de casos de internet
Mi casuística
Antes (arriba) Después (derecha)
Morbimortalidad en Cirugía
Ortognática
Morbimortalidad en Cirugía
Ortognática
Postoperatorio
Inmediato
Radiografía
Lateral
De Cara
Radiografía
Lateral
De Cara
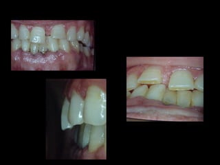
La paciente fue manejada iatrogénicamente por 5 años
Utilizando diferentes implementos ortodóncicos
La regla es clara: Laterognatias de más de 2º son quirúrgicas
24 horas de postoperatorio
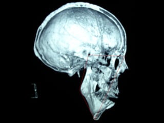
Cóndilo
Apófisis estiloides
Apófisis pterigoides
Vómer
Apófisis basilar
Foramen magnum
Un porcentaje muy alto e las disgnatias se deben a traumas recibidos directa o indirectamente
En la articulación, de la misma manera sucede con los casos de crecimiento asimétrico de los
Cóndilos.
Cóndilo fracturado
Músculo pterigoideo externo contracturado
Apófisis ptrigoides
El desplazamiento condilar y su proceso inflamatorio,
Pueden hacer compresión sobre los elementos que atraviesan
Los agujeros redondo mayor, menor y rasgado.
Intrusión dentaria a las 72 horas del trauma
Fractura
Impacción de muñón
En cavida glenoidea
Pseudoclase II
Contractura traumática de
Músculo masetero y
Pterigoideos
Area decontactos prematuros en las
Primeras 72 horas y de intrusión dentarias
En el tiempo subsiguiente.
Falta de contacto
dentario inicial.
Posteriormente
Supraerupción.
Inicio de laterognatia y posteriormente hipoplasia mandibular izquierda
Al desplazarse el cóndilo hacia
La parte madia de la cara
Externa de la base del cráneo,
También comprimirá a las ramas
Del trigémino y la arteria maxilar
Interna. Esto producirá dolor y
Más contractura muscular.
Secundario a este evento,
existirá isquémia en el area
Mencionada y si el individuo
está en etapa de crecimiento,
Esto mismo determinará la
Atrofia de la anatomía que deba
Irrigar.
El trauma mentoniano es un signo de alerta para pediatras
Odontopediatras, dentistas y sobre todo para los padres de
Familia, pues la sintomatología inicial es casi nula.
Penetración al compartimiento condilar, aquí se
Observa el muñón del cuello del cóndilo
Condilectomía
Prótesis total de cóndilo, debe cuidarse la relación oclusal.
Técnica actual
Articulaciones craneomandibulares totalmente afuncionales
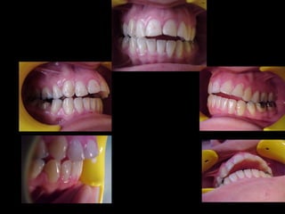
Valoración Clínica de la Paciente
En términos generales podemos decir que la
paciente tiene una cara armónica y aceptable,
sin embargo observaciones métricas delatan:
En términos generales podemos decir que la
paciente tiene una cara armónica y aceptable,
sin embargo observaciones métricas delatan:
Laterognatia, manifestada por 3 grados de desviación del
Mentón con respecto a la línea media real.
Laterognatia, manifestada por 3 grados de desviación del
Mentón con respecto a la línea media real.
Hipoplasia moderada del maxilar del lado derechoHipoplasia moderada del maxilar del lado derecho
Perfil cóncavoPerfil cóncavo
Ligera incompatibilidad labialLigera incompatibilidad labial
Depresión malarDepresión malar
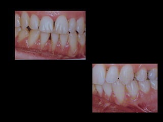
La paciente muestra una franca disgnatia, clínicamente
observamos malposición dentaria secundaria a la falta de
armonía máxilomandibular.
La paciente muestra una franca disgnatia, clínicamente
observamos malposición dentaria secundaria a la falta de
armonía máxilomandibular.
Marcada Clase III
Hábito Lingual
Marcada Clase III
Hábito Lingual
Sobremordida horizontal: –1.5 mm
Sobremordida vertical: + 1 mm.
Sobremordida horizontal: –1.5 mm
Sobremordida vertical: + 1 mm.
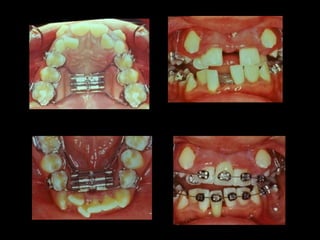
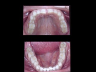
Modelos PreoperatoriosModelos Preoperatorios
Arcada Superior:
Forma oval
Paladar profundo
Totalidad de órganos dentarios a excepción de tercer molar izq.
Restauraciones deficientes
Arcada Superior:
Forma oval
Paladar profundo
Totalidad de órganos dentarios a excepción de tercer molar izq.
Restauraciones deficientes
Frente:
Línea media desviada
Mordida cruzada anterior
Frente:
Línea media desviada
Mordida cruzada anterior
Arcada Inferior:
Forma ovalada
Colapso posterior
Ligero apiñamiento de anteriores
Rotación de premolares
Arcada Inferior:
Forma ovalada
Colapso posterior
Ligero apiñamiento de anteriores
Rotación de premolares
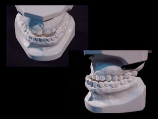
Modelos vista lateral
prequirúrgica
Modelos vista lateral
prequirúrgica
6
6
3
3
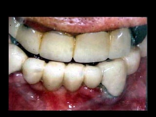
Clase III molar y caninaClase III molar y canina
Línea Perfilográfica del Dr. González UlloaLínea Perfilográfica del Dr. González Ulloa
Cifras promedio:
Línea de Frankfurt a glabela-mentón 90 grados
Angulo de punto N a línea nasal promedio 30 grados
Angulo Labio-Nasal 90 a 110 grados promedio
Cifras promedio:
Línea de Frankfurt a glabela-mentón 90 grados
Angulo de punto N a línea nasal promedio 30 grados
Angulo Labio-Nasal 90 a 110 grados promedio
Disgnatia
Asimetría facial
Malformación Nasal
Biprotrusión Máxilomandibular
Insuficiencia mentoniana
Resultado de observación clínica
Cefalometría elementalCefalometría elemental
Se observa el número total de órganos dentarios incluyendo
terceros molares.
No hay tratamiento de conductos radiculares
Buen trabeculado óseo de tipo I
Se observa el número total de órganos dentarios incluyendo
terceros molares.
No hay tratamiento de conductos radiculares
Buen trabeculado óseo de tipo I
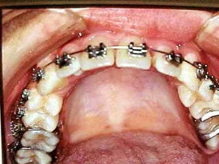
Eliminación de rotaciones.
Corrección de las discrepancias de longitud de arco.
Posición de los incisivos y molares por medio del
torque adecuado.
Llevar cualquier otra alineación en el arco.
Eliminación de rotaciones.
Corrección de las discrepancias de longitud de arco.
Posición de los incisivos y molares por medio del
torque adecuado.
Llevar cualquier otra alineación en el arco.
Evita el potencial de recidiva
Aumenta la velocidad y eficacia del tratamiento
Deflección craneal 26º
Longitud craneal anterior 59 mm.
Altura posterior facial 59 mm.
Posición de rama mandibular 78º
Localización de Porión 38 mm.
Arco mandibular 30º
Longitud de cuerpo mandibular 81 mm.
Deflección craneal 26º
Longitud craneal anterior 59 mm.
Altura posterior facial 59 mm.
Posición de rama mandibular 78º
Localización de Porión 38 mm.
Arco mandibular 30º
Longitud de cuerpo mandibular 81 mm.
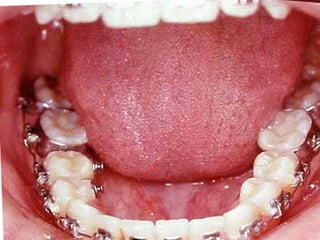
Maxilar:
Retenedor de Howley, sin interferencias oclusales.
Mandíbula:
Retenedor fijo de canino a canino
Maxilar:
Retenedor de Howley, sin interferencias oclusales.
Mandíbula:
Retenedor fijo de canino a canino
(Por lo menos en cirugía . . . . . . . . . . )
Vigilar sangrado
Signos vitales
Vigilar vías aereas
Líquidos parenterales
Posición
Hielo en area quirúrgica
Analgésicos
Antibióticos
Anti-inflamatorios
Ora todos los días a Dios para que no seas un ciego con los ojos abiertos: Obwegesser
Gracias por acompañarme en el camino por mi sala de operaciones
Cirugia Ortognatica 2
Cirugia Ortognatica 2
Cirugia Ortognatica 2
Cirugia Ortognatica 2
Cirugia Ortognatica 2
Cirugia Ortognatica 2

Cirugia Ortognatica 2

  • 9.
  • 28.
    Obtenido de casosde internet
  • 42.
  • 51.
  • 70.
  • 80.
  • 116.
  • 125.
    La paciente fuemanejada iatrogénicamente por 5 años Utilizando diferentes implementos ortodóncicos La regla es clara: Laterognatias de más de 2º son quirúrgicas
  • 143.
    24 horas depostoperatorio
  • 152.
  • 155.
    Un porcentaje muyalto e las disgnatias se deben a traumas recibidos directa o indirectamente En la articulación, de la misma manera sucede con los casos de crecimiento asimétrico de los Cóndilos.
  • 156.
    Cóndilo fracturado Músculo pterigoideoexterno contracturado Apófisis ptrigoides El desplazamiento condilar y su proceso inflamatorio, Pueden hacer compresión sobre los elementos que atraviesan Los agujeros redondo mayor, menor y rasgado. Intrusión dentaria a las 72 horas del trauma
  • 157.
    Fractura Impacción de muñón Encavida glenoidea Pseudoclase II Contractura traumática de Músculo masetero y Pterigoideos
  • 158.
    Area decontactos prematurosen las Primeras 72 horas y de intrusión dentarias En el tiempo subsiguiente. Falta de contacto dentario inicial. Posteriormente Supraerupción. Inicio de laterognatia y posteriormente hipoplasia mandibular izquierda
  • 159.
    Al desplazarse elcóndilo hacia La parte madia de la cara Externa de la base del cráneo, También comprimirá a las ramas Del trigémino y la arteria maxilar Interna. Esto producirá dolor y Más contractura muscular. Secundario a este evento, existirá isquémia en el area Mencionada y si el individuo está en etapa de crecimiento, Esto mismo determinará la Atrofia de la anatomía que deba Irrigar.
  • 162.
    El trauma mentonianoes un signo de alerta para pediatras Odontopediatras, dentistas y sobre todo para los padres de Familia, pues la sintomatología inicial es casi nula.
  • 166.
    Penetración al compartimientocondilar, aquí se Observa el muñón del cuello del cóndilo
  • 167.
  • 168.
    Prótesis total decóndilo, debe cuidarse la relación oclusal.
  • 189.
  • 220.
  • 250.
    Valoración Clínica dela Paciente En términos generales podemos decir que la paciente tiene una cara armónica y aceptable, sin embargo observaciones métricas delatan: En términos generales podemos decir que la paciente tiene una cara armónica y aceptable, sin embargo observaciones métricas delatan: Laterognatia, manifestada por 3 grados de desviación del Mentón con respecto a la línea media real. Laterognatia, manifestada por 3 grados de desviación del Mentón con respecto a la línea media real. Hipoplasia moderada del maxilar del lado derechoHipoplasia moderada del maxilar del lado derecho Perfil cóncavoPerfil cóncavo Ligera incompatibilidad labialLigera incompatibilidad labial Depresión malarDepresión malar
  • 252.
    La paciente muestrauna franca disgnatia, clínicamente observamos malposición dentaria secundaria a la falta de armonía máxilomandibular. La paciente muestra una franca disgnatia, clínicamente observamos malposición dentaria secundaria a la falta de armonía máxilomandibular.
  • 253.
    Marcada Clase III HábitoLingual Marcada Clase III Hábito Lingual Sobremordida horizontal: –1.5 mm Sobremordida vertical: + 1 mm. Sobremordida horizontal: –1.5 mm Sobremordida vertical: + 1 mm.
  • 254.
  • 255.
    Arcada Superior: Forma oval Paladarprofundo Totalidad de órganos dentarios a excepción de tercer molar izq. Restauraciones deficientes Arcada Superior: Forma oval Paladar profundo Totalidad de órganos dentarios a excepción de tercer molar izq. Restauraciones deficientes Frente: Línea media desviada Mordida cruzada anterior Frente: Línea media desviada Mordida cruzada anterior Arcada Inferior: Forma ovalada Colapso posterior Ligero apiñamiento de anteriores Rotación de premolares Arcada Inferior: Forma ovalada Colapso posterior Ligero apiñamiento de anteriores Rotación de premolares
  • 256.
    Modelos vista lateral prequirúrgica Modelosvista lateral prequirúrgica 6 6 3 3 Clase III molar y caninaClase III molar y canina
  • 258.
    Línea Perfilográfica delDr. González UlloaLínea Perfilográfica del Dr. González Ulloa Cifras promedio: Línea de Frankfurt a glabela-mentón 90 grados Angulo de punto N a línea nasal promedio 30 grados Angulo Labio-Nasal 90 a 110 grados promedio Cifras promedio: Línea de Frankfurt a glabela-mentón 90 grados Angulo de punto N a línea nasal promedio 30 grados Angulo Labio-Nasal 90 a 110 grados promedio
  • 259.
    Disgnatia Asimetría facial Malformación Nasal BiprotrusiónMáxilomandibular Insuficiencia mentoniana Resultado de observación clínica
  • 261.
  • 262.
    Se observa elnúmero total de órganos dentarios incluyendo terceros molares. No hay tratamiento de conductos radiculares Buen trabeculado óseo de tipo I Se observa el número total de órganos dentarios incluyendo terceros molares. No hay tratamiento de conductos radiculares Buen trabeculado óseo de tipo I
  • 268.
    Eliminación de rotaciones. Correcciónde las discrepancias de longitud de arco. Posición de los incisivos y molares por medio del torque adecuado. Llevar cualquier otra alineación en el arco. Eliminación de rotaciones. Corrección de las discrepancias de longitud de arco. Posición de los incisivos y molares por medio del torque adecuado. Llevar cualquier otra alineación en el arco.
  • 269.
    Evita el potencialde recidiva Aumenta la velocidad y eficacia del tratamiento
  • 270.
    Deflección craneal 26º Longitudcraneal anterior 59 mm. Altura posterior facial 59 mm. Posición de rama mandibular 78º Localización de Porión 38 mm. Arco mandibular 30º Longitud de cuerpo mandibular 81 mm. Deflección craneal 26º Longitud craneal anterior 59 mm. Altura posterior facial 59 mm. Posición de rama mandibular 78º Localización de Porión 38 mm. Arco mandibular 30º Longitud de cuerpo mandibular 81 mm.
  • 271.
    Maxilar: Retenedor de Howley,sin interferencias oclusales. Mandíbula: Retenedor fijo de canino a canino Maxilar: Retenedor de Howley, sin interferencias oclusales. Mandíbula: Retenedor fijo de canino a canino
  • 299.
    (Por lo menosen cirugía . . . . . . . . . . )
  • 323.
    Vigilar sangrado Signos vitales Vigilarvías aereas Líquidos parenterales Posición Hielo en area quirúrgica Analgésicos Antibióticos Anti-inflamatorios
  • 334.
    Ora todos losdías a Dios para que no seas un ciego con los ojos abiertos: Obwegesser
  • 336.
    Gracias por acompañarmeen el camino por mi sala de operaciones