Ocasiona otorrea continua o intermitente, que evoluciona
durante toda la vida del paciente.
Frecuentemente deja secuelas tisulares irreversibles.
Se caracteriza por:
• Infiltrado en el que predominan monocitos, linfocitos.
• Extensa fibrosis
• Proliferación de la membrana mucosa
• Aumento en la formación de glándulas.
Otitis media sin secreción o perforación de la
membrana timpánica.
Con secreción, sin perforación de la membrana.
Con perforación de la membrana, con o sin
secreción.
1. Disfunción crónica de la trompa de Eustaquio.
2. Perforación persistente de la membrana
timpánica.
3. Afección del oído medio con metaplasia escamosa.
4. Obstrucción persistente de la aereación del
oído medio o la mastoides (Mucosa
engrosada).
5. Áreas de secuestro óseo en la mastoides.
6. Factores constitucionales que alteran los
mecanismos de defensa del huésped.
a) Predisposición de la mucosa para afecciones crónicas.
b) Afecciones rinofaríngeas: rinitis, sinusitis,
adenoamigdalitis, etc., que infectan directamente el
oído medio.
c) Antecedente de otitis en la infancia, que detiene la
neumatización de la mastoides, alteran la mucosa y la
hace más susceptible a la infección recurrente.
8 casos por cada 100 personas, de
predominio en niños.
 84% Aerobios.
 1.7% Anaerobios.
 14.29% Flora mixta
 Hongos: Aspergillus y Candida albicans.
Microorganismos más frecuentes:
Bacilos Gram (-):
Pseudomona aeruginosa 55%
Enterobacterias 15% (Proteus, Klebsiella, E. coli)
Staphylococo dorado 30%
Flora mixta 15% (Anaerobios: Peptococcus,
bacteroides melaninogenicus, etc)
1. Membrana timpánica con perforación central o
subtotal.
2. Crecimiento del epitelio escamoso hacia dentro
del OM a través de la perforación.
3. Durante la infección activa: mucosa engrosada
e hiperémica y producción de secreción
mucopurulenta.
4. Ático y mastoides sellados, ocasionando
retención de exudado y depósito de cristales de
colesterol.
5. Proceso irritativo = tejido de granulación.
6. Formación de pólipos que protruyen a través
de la perforación, favoreciendo la obstrucción
del drenaje de las secreciones.
OSTEÓLISIS DEL OÍDO MEDIO Y MASTOIDES.
COLESTEATOMA.
1. Valorar estado de la función tubaria.
2. Controlar proceso infeccioso crónico ó alergicas
de nariz y faringe.
3. Extraer adenoides residuales que produzcan
obstrucción mecánica.
4. Tratar quirúrgicamente desviaciones septales
de áreas posteriores.
a) Cultivos de secreción.
b) Aseo frecuente con aspiración de secreciones.
c) Aplicación de gotas óticas locales.
d) Antibióticos sistémicos de amplio espectro.
e) Cauterización de la mucosa con Ác.
Tricloroacético o Nitrato de plata.
f) En oídos con infección recurrente, con afección de la
mastoides, tratar de secar el OM con tratamiento
médico, seguido de mastoidectomía con
timpanoplastía.
g) En caso de colesteatoma: Eliminar totalmente el
epitelio escamoso del OM y mastoides
h) 15% persiste colesteatoma después de cirugía y
requerirá otras.
i) Control de casos mediante aplicación tópica de: 5 –
Fluorouracilo (Inhibe la síntesis de DNA).
• DEFINICIÓN:
Presencia de un saco de tejido escamoso epitelial
en OM.
Contiene:
Queratina
Lípidos
Bacterias
pH: 4.35 – 6.85
• VARIEDADES:
CONGÉNITO (CC)
ADQUIRIDO (CA)
COLESTEATOMA
CONGÉNITO (CC):
a) Quiste epitelial
b) Presentación en cualquiera de los huesos del
cráneo
c) CC del hueso TemporalTemporal en su porción escamosa
2% (más frecuente)
d) Más comunes durante la infancia
CONGÉNITO (CC):
T1: Migración del ectodermo del conducto auditivo
externo durante el desarrollo del OM.
Se originan durante la 5ª. Semana de gestación.
T2: Metaplasia escamosa de la mucosa del OM.
T3: Migración del epitelio de la MT por inflamación
persistente, sin perforación.
CONGÉNITO (CC):
T4 (Reciente):
1. La presencia de retracción de la MT, hace que
ésta se adhiera al cuello del martillo, al proceso
largo del yunque o al promontorio
2. Cuando la M se libera, se produce un desgarro
que deja un pequeño fragmento de epitelio con
queratina adherido al huesecillo o al hueso, con
una pequeña perforación de la M
3. Al cerrar, hace que la porción del epitelio
dejado se transforme en un colesteatoma de
inclusión.
CONGÉNITO (CC):
MANIFESTACIONES:
Hipoacusia conductiva, sin traumatismo o
infección ótica.
Otoscopia: Masa blanca detrás de la MT.
Tx : Remoción quirúrgica
Segundo tiempo: Reconstrucción osicular.
ADQUIRIDO (CA):
a) Surge de la parte fláccida de la MT.
b) Crecimiento de epitelio queratinizante a través
del margen de una perforación timpánica
c) Metaplasia escamosa de la mucosa del OM.
FISIOPATOGENIA:
1. Factor de destrucción ósea: Enzimas lisosómicas
del tejido de granulación subepitelial, causan la
ruptura de colágeno (componente estructural
fundamental del hueso).
2. La presión ejercida por el C sobre las paredes
óseas estimula síntesis de prostaglandinas E2 y
enzimas lisosómicas: Estimuladores
osteoclásticos de erosión ósea.
FISIOPATOGENIA:
3. Crecimiento: debido a descamación de
queratina dentro del saco del C, secundaria a
destrucción osteoclástica del hueso y por niveles
altos de factor de crec. Epidérmico en tejido de
granulación.
4. Relación aumentada de aerobios y anaerobios:
favorece rápida esclerosis de la mastoides y
aumento del proceso osteolítico.
5. 70 – 80% Destrucción de la cadena osicular
(rama larga del yunque).
FISIOPATOGENIA:
6. Evolución: Destrucción de mastoides, OM,
pared posterior del CA Externo, dando una
cavidad de automastoidectomía.
7. Colesteatomas adquiridos iatrogénicos:
Después de cirugía ótica (Timpanoplastías y
mastoidectomía).
DIAGNÓSTICO:
Otoscopía
Endoscopía transtimpánica:
Perforaciones o retracción en la parte fláccida de la
MT.
Valorar:
Estado de la mucosa del OM
Destrucción o erosión en la pared posterior
del CAE
DIAGNÓSTICO:
• Estudio audiológico:
Perforación timpánica produce hipoacusia
conductiva no mayor de 15 – 20 dB
Afección de la cadena osicular produce
hipoacusia conductiva de 30 – 50 dB
• Estudio radiológico:
Schüller, Stevens, Owens
TAC:
Valorar destrucción ósea.
Complicaciones de las otitis medias
crónicas.
Las causas que pueden originar una complicación a
partir de una otitis media crónica son múltiples, y es la
confluencia de varios factores ambientales, unidos a la
infección, la que las desencadena.
Complicaciones
Petromastoides Intracraneales
En el adulto, el colesteatoma es la principal causa de complicaciones.
En los niños, lo son las otitis medias agudas y subagudas.
CADROS CLINICOS.
COMPLICACIONES
PETROMASTOIDEAS
COMPLICACIONES
INTRACRANEALES
•Mastoiditis.
•Laberintitis.
•Laberintitis serosas.
•Laberintitis
supuradas.
•Petrositis.
•Parálisis Facial.
•Meningitis.
•Absceso extradural.
•Absceso subdural.
•Absceso cerebral y
cerebeloso.
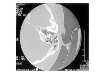
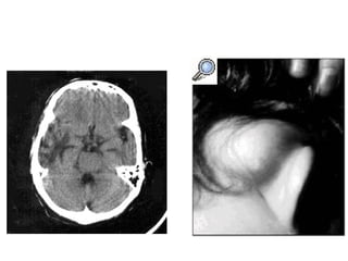
Mastoiditis.
Existe un absceso subperióstico, lateral, que puede afectar los espacios cervicales
(mastoiditis de Bezold).
Se encuentra como consecuencia de infección latente, puede aparecer pasadas dos
semanas del comienzo del cuadro de sobre infección de OMC.
•Otorrea
•Fiebre
•Dolor
•En 48% hay absceso retroauricular
•Son mas frecuentes en los niños que
en adultos.
•Necrosis parcial del conducto auditivo
externo.
•Dolor latente y una importante
exacerbación del mismo al presionar la
punta de la mastoides (signo de Caliceti)
•O el trago (signo de Vacher).
•Leucocitosis
Los exámenes radiológicos, será radiología simple (Shuller l) o TC, que permiten
apreciar la destrucción ósea.
Laberintitis.
Aparecen como consecuencia de una infección purulenta del oído medio, provocan
supuración del laberinto y una posible meningitis debido a las características anatómicas
del oído interno
Existen dos tipos:
Laberintitis serosas Laberintitis supuradas
LABERINTITIS
LABERINTITIS SEROSAS LABERINTITIS SUPURADAS
•Se le atribuye un origen
viral.
•No suelen producir
complicaciones
meningocraneales.
•Podrían surgir como
consecuencia de cuadros
supurados del oído medio.
•Prueba de Politzer (+).
•Son una complicación grave
de las OMC. en las que las vías
de comunicación son las
fistulas perilinfáticas.
Consiste en:
•Supuración.
•Vértigo agudo.
•Cofosis.
Petrositis.
La triada de Gradenigo consiste en:
•Otorrea.
•Dolor retroorbitario
homolateral.
•Parálisis del VI par.
Puede haber dolor sordo mastoideo.
La RM con contraste es la prueba diagnostica mas fiable.
Parálisis facial.
El colesteatoma es la causa mas común de parálisis facial ontógena, como
complicación sin otorrea. (80%).
Causa una neuropraxia con inflamación del perineuro,
potencialmente recuperable.
En otros casos puede ser secundaria a una supuración y provocar destrucción del
nervio. (6%).
Ante la aparición de una parálisis facial en un lactante
o niño pequeño, se debe valorar la causa mas
frecuente, como es la existencia de una otitis media,
sin que sea necesaria la presencia de un
colesteatoma.
Meningitis.
Se trata de una complicación que aparece sobre todo
en niños como consecuencia de un cuadro agudo o
subaguda, aunque también puede encontrarse en
adultos con OMC. y colesteatoma
Los gérmenes mas habituales en los niños son:
Haemophilus influenzae B. Streptococcus pneumoniae.
En los niños puede haber: En los adultos puede haber:
•Otorrea.
•Hipoacusia neurosensorial
uní o bilateral.
•Descartar malformación
de Mondini.
•Fiebre.
•Signos meníngeos
•Normoacusia.
•Comúnmente hipoacusia
conductiva o mixta.
•Otorrea.
•Fiebre.
•Signos meníngeos.
•Deterioro neurológico.
y
Absceso extradural.
En ocasiones se trata solo de granulaciones crónicas, puede pasar inadvertido.
Se trata de una acumulación purulenta entre el hueso y la
meninge que provocaría síntomas neurológicos:
(hipertensión craneal, vómitos, obnubilación, papiledema)
si llegara a adquirir gran tamaño.
El diagnostico se realiza mediante pruebas de imagen, siendo mas eficaz la RM
que la TC.
Absceso subdural.
Es el absceso mas común de entre los secundarios a
OMC.
Produce irritación directa del córtex cerebral, por lo que su
sintomatología consiste en:
•Déficits neurológicos de rápido desarrollo.
•Perdida de la conciencia.
La RM es el medio de diagnóstico de elección,
permite diferenciar del edema de un hematoma
subdural.
Los gérmenes mas frecuentes son: Streptococcus, Staphylococcus aureus,
Enterobacter, y en ocasiones, anaerobios.
Absceso cerebral
Y cerebeloso.
Los cerebrales habitualmente asientan en el lóbulo
temporal y pueden ser de difícil diagnostico.
El paso de materia purulenta a la masa encefalica provoca, tanto en
el cerebro como en al cerebelo:
Primer
estadio.
•Descenso de la temperatura
•Fiebre con escalofríos.
•Somnolencia.
•Cefalea.
•Malestar.
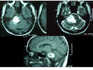
•Dificultad para concentrarse.
Absceso cerebral IRM
Segundo
estadio
•Formación del absceso.
•Sin otros datos clínicos
durante semanas
Tercer
estadio
•Crecimiento del absceso.
•Signos de irritación focal.
•Puede haber perdida de
conciencia.
Cuarto
estadio
•Ruptura del absceso que
puede verter su contenido a los
ventrículos o a espacios
subaracnoideos, generalmente
con desenlace fatal.
El absceso cerebeloso da síntomas antes que el
cerebral, por lo que puede ser diagnosticado en un
estadio mas precoz.
Hay perdida de del tono muscular, ataxia y
adiadicocinesia.
El diagnostico se establece mediante RM. Es
fundamental llevarlo acabo en los primeros estadios.
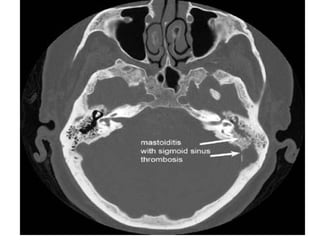
Tromboflebitis
del seno
Lateral.
Los procesos de tromboflebitis a este nivel
pueden ser asintomáticos o por el contrario,
originar importantes signos:
•Signos de toxemia.
•Fiebre en picos.
•Escalofríos.
•Dolor en región temporal.
•Inflamación retroauricular
(signo de Griesinger).
•Afectación de pares
craneales bajos.
El diagnostico se establece mediante RM.
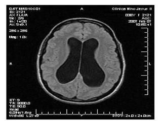
Hidrocefalia otógena.
Se trata de un aumento de la presión intracraneal como consecuencia de
una infección de oído, tras haber descartado meningitis y abscesos.
La clínica consiste en
paciente con otorrea
y:
Adormecimiento
Cefaleas
El diagnostico se realiza mediante RM que además informa
sobre la posible tromboflebitis del seno lateral.
Procesos Signos Síntomas
Petromastoideos Persistencia de dos semanas. Sintomatología florida.
Mastoiditis Tumefacción retroauricular. otorrea, inflamación retroauricular,
fiebre, dolor mastoideo.
Laberintitis Otorrea. Cofosis, vértigo.
Petrositis Otorrea, parálisis de abducens (no
siempre).
Dolor retroorbitario, diplopía (no
siempre).
Parálisis facial Parálisis facial, otorrea (no siempre). Parálisis facial.
Meningocerebrales Pueden ser poco llamativos en
estadios iniciales.
Inicialmente s. Discretos, después
grave deterioro y muerte.
Meningitis Otorrea, fiebre, vómitos. Meningismo.
Abscesos
(extra/subdural/cerebral/cerebelos
o.
Otorrea, deterioro neurológico. Cefalea.
Tromboflebitis Otorrea, fiebre, deterioro
neurológico.
Dolor cervicomastoideo.
Hidrocefalia Papiledema Cefalea, letergia.
SIGNOS Y SINTOMAS DE LAS COMPLICACIONES DE LAS OTITIS MEDIAS CRONICAS.
Cuadro clínico Signos o síntomas mas característicos.
Mastoiditis y absceso mastoideo. Tumefacción y lateralización del pabellón,
obstrucción del CAE.
Laberintitis Otorrea, vértigo con nistagmo, cofosis.
Petrositis Otorrea; dolor retroorbitario homolateral.
Parálisis facial Asociada a otorrea o a antecedentes
otíticos.
Tromboflebitis del seno lateral Infamación en mastoides (vena emisaria),
fiebre en agujas; dolor cervical; afectación
de pares bajos.
Meningitis Antecedentes de otorrea, meningismo.
Absceso cerebral Signos de focalidad neurológica; perdida
de conciencia.
Afectación endocraneal Letargia, cefaleas, papiledema, fiebre o
descenso térmico con otorrea.
Cuadros clínicos con los signos y síntomas mas característicos.
Tratamiento.
Su objetivo es erradicar la infección y eliminar los tejidos destruidos o en mal estado.
Antibioticoterapia
adecuada,
cubriendo en
primera instancia
los gérmenes mas
probables.
Penicilina resistente a la
penicilinasa,
Cefalosporina de tercera
generación.
Metronidazol, u otra que
cubra de igual forma el
espectro microbiano.
En un gran numero de casos hay que realizar cirugía
de urgencia o programada, dependiendo del cuadro y
de su evolución.
Cuadro clínico Prueba diagnostica
complementaria.
Mastoiditis TC (erosión y ocupación
mastoideas).
Laberintitis TC(la presencia de aire en el
laberinto es patognomónica).
Petrositis TC( afectación de la pirámide
petrosa).
Parálisis facial Electroneurografía (estadios
iniciales). Electromiografía.
Meningitis LCR.
Abscesos extradurales y
subdurales
RM(diagnostico diferencial con
hematomas o tumores).
Abscesos cerebrales y cerebelosos RM(diagnostico diferencial con
hematomas o tumores).
LCR (diferente según el estadio).
Tromboflebitis del seno lateral RM(tamien diagnostico
diferencial).
Pruebas diagnosticas complementarias.
Otitis media cronica
Otitis media cronica

Otitis media cronica

  • 7.
    Ocasiona otorrea continuao intermitente, que evoluciona durante toda la vida del paciente. Frecuentemente deja secuelas tisulares irreversibles. Se caracteriza por: • Infiltrado en el que predominan monocitos, linfocitos. • Extensa fibrosis • Proliferación de la membrana mucosa • Aumento en la formación de glándulas.
  • 8.
    Otitis media sinsecreción o perforación de la membrana timpánica. Con secreción, sin perforación de la membrana. Con perforación de la membrana, con o sin secreción.
  • 9.
    1. Disfunción crónicade la trompa de Eustaquio. 2. Perforación persistente de la membrana timpánica. 3. Afección del oído medio con metaplasia escamosa.
  • 10.
    4. Obstrucción persistentede la aereación del oído medio o la mastoides (Mucosa engrosada). 5. Áreas de secuestro óseo en la mastoides. 6. Factores constitucionales que alteran los mecanismos de defensa del huésped.
  • 11.
    a) Predisposición dela mucosa para afecciones crónicas. b) Afecciones rinofaríngeas: rinitis, sinusitis, adenoamigdalitis, etc., que infectan directamente el oído medio. c) Antecedente de otitis en la infancia, que detiene la neumatización de la mastoides, alteran la mucosa y la hace más susceptible a la infección recurrente.
  • 12.
    8 casos porcada 100 personas, de predominio en niños.
  • 13.
     84% Aerobios. 1.7% Anaerobios.  14.29% Flora mixta  Hongos: Aspergillus y Candida albicans.
  • 14.
    Microorganismos más frecuentes: BacilosGram (-): Pseudomona aeruginosa 55% Enterobacterias 15% (Proteus, Klebsiella, E. coli) Staphylococo dorado 30% Flora mixta 15% (Anaerobios: Peptococcus, bacteroides melaninogenicus, etc)
  • 15.
    1. Membrana timpánicacon perforación central o subtotal. 2. Crecimiento del epitelio escamoso hacia dentro del OM a través de la perforación. 3. Durante la infección activa: mucosa engrosada e hiperémica y producción de secreción mucopurulenta.
  • 16.
    4. Ático ymastoides sellados, ocasionando retención de exudado y depósito de cristales de colesterol. 5. Proceso irritativo = tejido de granulación. 6. Formación de pólipos que protruyen a través de la perforación, favoreciendo la obstrucción del drenaje de las secreciones.
  • 17.
    OSTEÓLISIS DEL OÍDOMEDIO Y MASTOIDES. COLESTEATOMA.
  • 18.
    1. Valorar estadode la función tubaria. 2. Controlar proceso infeccioso crónico ó alergicas de nariz y faringe. 3. Extraer adenoides residuales que produzcan obstrucción mecánica. 4. Tratar quirúrgicamente desviaciones septales de áreas posteriores.
  • 19.
    a) Cultivos desecreción. b) Aseo frecuente con aspiración de secreciones. c) Aplicación de gotas óticas locales. d) Antibióticos sistémicos de amplio espectro. e) Cauterización de la mucosa con Ác. Tricloroacético o Nitrato de plata.
  • 20.
    f) En oídoscon infección recurrente, con afección de la mastoides, tratar de secar el OM con tratamiento médico, seguido de mastoidectomía con timpanoplastía. g) En caso de colesteatoma: Eliminar totalmente el epitelio escamoso del OM y mastoides h) 15% persiste colesteatoma después de cirugía y requerirá otras. i) Control de casos mediante aplicación tópica de: 5 – Fluorouracilo (Inhibe la síntesis de DNA).
  • 21.
    • DEFINICIÓN: Presencia deun saco de tejido escamoso epitelial en OM. Contiene: Queratina Lípidos Bacterias pH: 4.35 – 6.85
  • 22.
  • 23.
  • 24.
    CONGÉNITO (CC): a) Quisteepitelial b) Presentación en cualquiera de los huesos del cráneo c) CC del hueso TemporalTemporal en su porción escamosa 2% (más frecuente) d) Más comunes durante la infancia
  • 25.
    CONGÉNITO (CC): T1: Migracióndel ectodermo del conducto auditivo externo durante el desarrollo del OM. Se originan durante la 5ª. Semana de gestación. T2: Metaplasia escamosa de la mucosa del OM. T3: Migración del epitelio de la MT por inflamación persistente, sin perforación.
  • 26.
    CONGÉNITO (CC): T4 (Reciente): 1.La presencia de retracción de la MT, hace que ésta se adhiera al cuello del martillo, al proceso largo del yunque o al promontorio 2. Cuando la M se libera, se produce un desgarro que deja un pequeño fragmento de epitelio con queratina adherido al huesecillo o al hueso, con una pequeña perforación de la M 3. Al cerrar, hace que la porción del epitelio dejado se transforme en un colesteatoma de inclusión.
  • 27.
    CONGÉNITO (CC): MANIFESTACIONES: Hipoacusia conductiva,sin traumatismo o infección ótica. Otoscopia: Masa blanca detrás de la MT. Tx : Remoción quirúrgica Segundo tiempo: Reconstrucción osicular.
  • 28.
    ADQUIRIDO (CA): a) Surgede la parte fláccida de la MT. b) Crecimiento de epitelio queratinizante a través del margen de una perforación timpánica c) Metaplasia escamosa de la mucosa del OM.
  • 29.
    FISIOPATOGENIA: 1. Factor dedestrucción ósea: Enzimas lisosómicas del tejido de granulación subepitelial, causan la ruptura de colágeno (componente estructural fundamental del hueso). 2. La presión ejercida por el C sobre las paredes óseas estimula síntesis de prostaglandinas E2 y enzimas lisosómicas: Estimuladores osteoclásticos de erosión ósea.
  • 30.
    FISIOPATOGENIA: 3. Crecimiento: debidoa descamación de queratina dentro del saco del C, secundaria a destrucción osteoclástica del hueso y por niveles altos de factor de crec. Epidérmico en tejido de granulación. 4. Relación aumentada de aerobios y anaerobios: favorece rápida esclerosis de la mastoides y aumento del proceso osteolítico. 5. 70 – 80% Destrucción de la cadena osicular (rama larga del yunque).
  • 31.
    FISIOPATOGENIA: 6. Evolución: Destrucciónde mastoides, OM, pared posterior del CA Externo, dando una cavidad de automastoidectomía. 7. Colesteatomas adquiridos iatrogénicos: Después de cirugía ótica (Timpanoplastías y mastoidectomía).
  • 32.
    DIAGNÓSTICO: Otoscopía Endoscopía transtimpánica: Perforaciones oretracción en la parte fláccida de la MT. Valorar: Estado de la mucosa del OM Destrucción o erosión en la pared posterior del CAE
  • 33.
    DIAGNÓSTICO: • Estudio audiológico: Perforacióntimpánica produce hipoacusia conductiva no mayor de 15 – 20 dB Afección de la cadena osicular produce hipoacusia conductiva de 30 – 50 dB • Estudio radiológico: Schüller, Stevens, Owens TAC: Valorar destrucción ósea.
  • 35.
    Complicaciones de lasotitis medias crónicas. Las causas que pueden originar una complicación a partir de una otitis media crónica son múltiples, y es la confluencia de varios factores ambientales, unidos a la infección, la que las desencadena. Complicaciones Petromastoides Intracraneales En el adulto, el colesteatoma es la principal causa de complicaciones. En los niños, lo son las otitis medias agudas y subagudas.
  • 36.
  • 37.
    Mastoiditis. Existe un abscesosubperióstico, lateral, que puede afectar los espacios cervicales (mastoiditis de Bezold). Se encuentra como consecuencia de infección latente, puede aparecer pasadas dos semanas del comienzo del cuadro de sobre infección de OMC. •Otorrea •Fiebre •Dolor •En 48% hay absceso retroauricular •Son mas frecuentes en los niños que en adultos. •Necrosis parcial del conducto auditivo externo. •Dolor latente y una importante exacerbación del mismo al presionar la punta de la mastoides (signo de Caliceti) •O el trago (signo de Vacher). •Leucocitosis Los exámenes radiológicos, será radiología simple (Shuller l) o TC, que permiten apreciar la destrucción ósea.
  • 41.
    Laberintitis. Aparecen como consecuenciade una infección purulenta del oído medio, provocan supuración del laberinto y una posible meningitis debido a las características anatómicas del oído interno Existen dos tipos: Laberintitis serosas Laberintitis supuradas
  • 43.
    LABERINTITIS LABERINTITIS SEROSAS LABERINTITISSUPURADAS •Se le atribuye un origen viral. •No suelen producir complicaciones meningocraneales. •Podrían surgir como consecuencia de cuadros supurados del oído medio. •Prueba de Politzer (+). •Son una complicación grave de las OMC. en las que las vías de comunicación son las fistulas perilinfáticas. Consiste en: •Supuración. •Vértigo agudo. •Cofosis.
  • 45.
    Petrositis. La triada deGradenigo consiste en: •Otorrea. •Dolor retroorbitario homolateral. •Parálisis del VI par. Puede haber dolor sordo mastoideo. La RM con contraste es la prueba diagnostica mas fiable.
  • 46.
    Parálisis facial. El colesteatomaes la causa mas común de parálisis facial ontógena, como complicación sin otorrea. (80%). Causa una neuropraxia con inflamación del perineuro, potencialmente recuperable. En otros casos puede ser secundaria a una supuración y provocar destrucción del nervio. (6%).
  • 48.
    Ante la apariciónde una parálisis facial en un lactante o niño pequeño, se debe valorar la causa mas frecuente, como es la existencia de una otitis media, sin que sea necesaria la presencia de un colesteatoma.
  • 49.
    Meningitis. Se trata deuna complicación que aparece sobre todo en niños como consecuencia de un cuadro agudo o subaguda, aunque también puede encontrarse en adultos con OMC. y colesteatoma Los gérmenes mas habituales en los niños son: Haemophilus influenzae B. Streptococcus pneumoniae. En los niños puede haber: En los adultos puede haber: •Otorrea. •Hipoacusia neurosensorial uní o bilateral. •Descartar malformación de Mondini. •Fiebre. •Signos meníngeos •Normoacusia. •Comúnmente hipoacusia conductiva o mixta. •Otorrea. •Fiebre. •Signos meníngeos. •Deterioro neurológico. y
  • 51.
    Absceso extradural. En ocasionesse trata solo de granulaciones crónicas, puede pasar inadvertido. Se trata de una acumulación purulenta entre el hueso y la meninge que provocaría síntomas neurológicos: (hipertensión craneal, vómitos, obnubilación, papiledema) si llegara a adquirir gran tamaño. El diagnostico se realiza mediante pruebas de imagen, siendo mas eficaz la RM que la TC.
  • 52.
    Absceso subdural. Es elabsceso mas común de entre los secundarios a OMC. Produce irritación directa del córtex cerebral, por lo que su sintomatología consiste en: •Déficits neurológicos de rápido desarrollo. •Perdida de la conciencia. La RM es el medio de diagnóstico de elección, permite diferenciar del edema de un hematoma subdural. Los gérmenes mas frecuentes son: Streptococcus, Staphylococcus aureus, Enterobacter, y en ocasiones, anaerobios.
  • 54.
    Absceso cerebral Y cerebeloso. Loscerebrales habitualmente asientan en el lóbulo temporal y pueden ser de difícil diagnostico. El paso de materia purulenta a la masa encefalica provoca, tanto en el cerebro como en al cerebelo: Primer estadio. •Descenso de la temperatura •Fiebre con escalofríos. •Somnolencia. •Cefalea. •Malestar. •Dificultad para concentrarse.
  • 55.
  • 56.
    Segundo estadio •Formación del absceso. •Sinotros datos clínicos durante semanas Tercer estadio •Crecimiento del absceso. •Signos de irritación focal. •Puede haber perdida de conciencia. Cuarto estadio •Ruptura del absceso que puede verter su contenido a los ventrículos o a espacios subaracnoideos, generalmente con desenlace fatal.
  • 58.
    El absceso cerebelosoda síntomas antes que el cerebral, por lo que puede ser diagnosticado en un estadio mas precoz. Hay perdida de del tono muscular, ataxia y adiadicocinesia. El diagnostico se establece mediante RM. Es fundamental llevarlo acabo en los primeros estadios.
  • 59.
    Tromboflebitis del seno Lateral. Los procesosde tromboflebitis a este nivel pueden ser asintomáticos o por el contrario, originar importantes signos: •Signos de toxemia. •Fiebre en picos. •Escalofríos. •Dolor en región temporal. •Inflamación retroauricular (signo de Griesinger). •Afectación de pares craneales bajos. El diagnostico se establece mediante RM.
  • 60.
    Hidrocefalia otógena. Se tratade un aumento de la presión intracraneal como consecuencia de una infección de oído, tras haber descartado meningitis y abscesos. La clínica consiste en paciente con otorrea y: Adormecimiento Cefaleas El diagnostico se realiza mediante RM que además informa sobre la posible tromboflebitis del seno lateral.
  • 63.
    Procesos Signos Síntomas PetromastoideosPersistencia de dos semanas. Sintomatología florida. Mastoiditis Tumefacción retroauricular. otorrea, inflamación retroauricular, fiebre, dolor mastoideo. Laberintitis Otorrea. Cofosis, vértigo. Petrositis Otorrea, parálisis de abducens (no siempre). Dolor retroorbitario, diplopía (no siempre). Parálisis facial Parálisis facial, otorrea (no siempre). Parálisis facial. Meningocerebrales Pueden ser poco llamativos en estadios iniciales. Inicialmente s. Discretos, después grave deterioro y muerte. Meningitis Otorrea, fiebre, vómitos. Meningismo. Abscesos (extra/subdural/cerebral/cerebelos o. Otorrea, deterioro neurológico. Cefalea. Tromboflebitis Otorrea, fiebre, deterioro neurológico. Dolor cervicomastoideo. Hidrocefalia Papiledema Cefalea, letergia. SIGNOS Y SINTOMAS DE LAS COMPLICACIONES DE LAS OTITIS MEDIAS CRONICAS.
  • 64.
    Cuadro clínico Signoso síntomas mas característicos. Mastoiditis y absceso mastoideo. Tumefacción y lateralización del pabellón, obstrucción del CAE. Laberintitis Otorrea, vértigo con nistagmo, cofosis. Petrositis Otorrea; dolor retroorbitario homolateral. Parálisis facial Asociada a otorrea o a antecedentes otíticos. Tromboflebitis del seno lateral Infamación en mastoides (vena emisaria), fiebre en agujas; dolor cervical; afectación de pares bajos. Meningitis Antecedentes de otorrea, meningismo. Absceso cerebral Signos de focalidad neurológica; perdida de conciencia. Afectación endocraneal Letargia, cefaleas, papiledema, fiebre o descenso térmico con otorrea. Cuadros clínicos con los signos y síntomas mas característicos.
  • 65.
    Tratamiento. Su objetivo eserradicar la infección y eliminar los tejidos destruidos o en mal estado. Antibioticoterapia adecuada, cubriendo en primera instancia los gérmenes mas probables. Penicilina resistente a la penicilinasa, Cefalosporina de tercera generación. Metronidazol, u otra que cubra de igual forma el espectro microbiano. En un gran numero de casos hay que realizar cirugía de urgencia o programada, dependiendo del cuadro y de su evolución.
  • 66.
    Cuadro clínico Pruebadiagnostica complementaria. Mastoiditis TC (erosión y ocupación mastoideas). Laberintitis TC(la presencia de aire en el laberinto es patognomónica). Petrositis TC( afectación de la pirámide petrosa). Parálisis facial Electroneurografía (estadios iniciales). Electromiografía. Meningitis LCR. Abscesos extradurales y subdurales RM(diagnostico diferencial con hematomas o tumores). Abscesos cerebrales y cerebelosos RM(diagnostico diferencial con hematomas o tumores). LCR (diferente según el estadio). Tromboflebitis del seno lateral RM(tamien diagnostico diferencial). Pruebas diagnosticas complementarias.