CASO: H1902
Asignatura: Patología veterinaria
David Julián Clavijo León
Diana Yorely Suarez Castañeda
Facultad De Medicina Veterinaria Y De Zootecnia
Universidad Cooperativa De Colombia
HISTORIA
Fecha de recepción: 26/07/2019
Especie: Bovino
Raza: Brangus
Sexo: Macho
Edad: 8 Meses
Procedencia: Finca La Gabriela
Propietario: Agropecuaria La Ceiba
N° registro: H1902
SIGNOS E HISTORIA
Lote de 16 animales presentando la misma sintomatología de
múltiples lesiones de tipo fibroepitelial a nivel del cuello, cabeza,
orejas, miembros anteriores y posteriores de coloración grisácea
y tamaños variables desde hace 4 meses a la fecha presente.
Tratamiento:
12-06-2019 Hemoterapia
09-08-2019 20 ml de oxitetraciclina vía intramuscular profunda
1.5 ml de diazominodibenzamida vía intramuscular
MATERIAL RECIBIDO
Biopsia de piel del área de la mandíbula y región
del hombro.
Cuadro Hemático 03/08/2019
HALLAZGOS
MACROSCÓPICOS
Fuente: Suarez&Clavijo.2019
Fuente: Suarez&Clavijo.2019
Fuente: Suarez&Clavijo.2019
Fuente: Suarez&Clavijo.2019
Fuente: Suarez&Clavijo.2019
DIAGNÓSTICO DIFERENCIAL
1. Papilomatosis Bovina
2. Carcinoma Escamocelular
3. Intoxicación por helecho Pteridium aquilium
4. Tuberculosis cutánea bovina
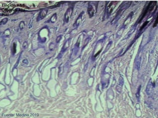
HALLAZGOS
MICROSCÓPICOS
Fuente: Medina.2019
Tinción H&E
Objetivo 40x
Piel
Fuente: Medina.2019
Tinción H&E
Objetivo 40x
Piel
Fuente: Medina.2019
Tinción H&E
Objetivo 40x
Piel
Fuente: Medina.2019
Tinción H&E
Objetivo 40x
Piel
DIAGNÓSTICO DEFINITIVO
Lesiones en forma de masas firmes con
crecimiento espontaneo de formas variables e
irregulares como un coliflor, de color grisáceo a
negro, consistencia dura y rugosa característico
a un Papiloma bovino cutáneo
FISIOPATOLOGÍA
• Animales recién incorporados a la
región
• Inadecuada higiene
• Intoxicación contacto directo
• Materiales contaminados (Agujas,
jeringas )
• Insectos hematófagos (Tábanos)
• Garrapatas
Infeccion viral
6 tipos BPV
Comportamiento
biológico
Factores Predisponentes Formas contagio
PAPILOMAVIRUS
(FIBROPAPILOMA) Virus ADN
Familia
Papovaviridae
BPV1 BPV2 BPV3 BPV4 BPV5 BPV6
Tumores
BenignoMaligno
Epitelial
• Desequilibrio nutricionales
• Defectos en el epitelio
• Deficiencia de minerales
• Animales recién
incorporados a la región
• Inadecuada higiene
• Edad – Raza
• Especie
• Intoxicación por helecho
Pteridium aquilium
Carcinoma de
células escamosas
Fibropapilomas
(Papilomas)
Proliferación viral
E7E1 E5 E6
proteínas
Funciones
de helicasa.
Segregación
genómica y
encapsidación
↑Actividad
de cinasas
Promueve la
fusión celular
Replicación
transcripción
E2
Aneuploidía
e
inestabilidad
cromosómica
Invasión de la
respuesta
inmunitaria
p53
Persistencia
del virus
Induce la
degradación
Inhibiendo
la apoptosis
Evasión de la
respuesta
inmunitaria
Activa la
telomerasa
Degradación
Transformación
maligna
Proteína pRB
Integración
al huésped
Células epiteliales de
la capa basal
Proliferación viral
Regulación celular.
Ingresa por
endocitosis
Daño celular
Replicación y infección
Estrato corneo
Estrato lucido
Estrato granuloso
Estrato espinoso
células de capa
basal
Replicación y
transcripción
Neoplasia exofitica
benigna del epitelio
escamoso.
Crecimiento de
Queratinocitos
Hiperplasia
epitelial
Hiperqueratosis
Paraqueratosis
Neoplasias
fibroepiteliales
Estroma fibrovascular
Crecimiento excesivo
de fibroblastos del
tejido conjuntivo
Transformación
Maligna
Linfocitos T
Linfocitos B
Células de
Langerhans
Respuesta
Linfocitaria
Efectora
Virus
Especifico
TIPOS DE PAPILOMAS EN ESPECIE BOVINA
TIPO IMAGEN PRESENTACION
BVP-1
Se presentan
fibropapilomas en piel de la
ubre, pezón y área genital.
BVP-2
Se presentan
fibropapilomas en forma de
coliflor en la región
anogenital y abdominal.
BVP-1 BVP-2
Se presentan
fibropapilomas en la
cabeza, cuello y región del
dorso.
BVP-3
Se presenta papiloma
cutáneo.
BVP-4
Se presentan papiloma en
la mucosa bucal, esófago,
surco esofágico, rumen,
retículo y en el intestino
delgado.
BV-5
Se presentan
fibropapilomas del tamaño
de un grano de arroz en
ubre y pezones.
BVP-6
Se presentan
fibropapilomas en forma
de hoja en la ubre y los
pezones.
PAPILOMAS EN DIVERSAS ESPECIES
BOVINO
EQUINO
PORCINO HUMANO
CANINO
RECOMENDACIONES
GENERALES
• Autovacuna
• Auto Hemoterapia
• Alambre de arete de Cobre
Epidemiologia
• La papilomatosis bovina ocurre afectando
principalmente el ganado bovino.
• no todos los genotipos presentan la misma
prevalencia, los genotipos bpv-1 y bpv-2
son los mas prevalentes y de mas amplia
distribución (Vázquez et al. 2012).
La frecuencia de presentación de
papilomatosis cutánea en bovinos fue del
9,9%, pudiendo deberse a las condiciones
agroecológicas de bosque tropical lluvioso
(CARDONA etal., 2013)
DISCUSIÓN
Bibliografía
• Carlton, W., McGavin, M. D., & Thomson, R. G. (1995).
Thomson's special veterinary pathology/Special veterinary
pathology.
• Pathologic Basis of Veterinary Disease – James F. Zachary.
M. Donald McGavin – El servier
• Epidemiologia Veterinaria – Michael Thrusfield Editorial
ACRIBIA,S.A.
• Histología Veterinaria - H. Dieter Dellmann Editorial
ACRIBIA,S.A.
• Atlas de color Histología Veterinaria - William J. Bacha. Linda
M. Bacha
• Ross Histología Texto y Atlas 7°Edicion
• Bacha, W. J., & Bacha, L. M. (2006). Color atlas of veterinary
histology/Veterinary histologyColor atlas of veterinary
histology.

Papilomatosis Bovina

  • 1.
    CASO: H1902 Asignatura: Patologíaveterinaria David Julián Clavijo León Diana Yorely Suarez Castañeda Facultad De Medicina Veterinaria Y De Zootecnia Universidad Cooperativa De Colombia
  • 2.
    HISTORIA Fecha de recepción:26/07/2019 Especie: Bovino Raza: Brangus Sexo: Macho Edad: 8 Meses Procedencia: Finca La Gabriela Propietario: Agropecuaria La Ceiba N° registro: H1902
  • 3.
    SIGNOS E HISTORIA Lotede 16 animales presentando la misma sintomatología de múltiples lesiones de tipo fibroepitelial a nivel del cuello, cabeza, orejas, miembros anteriores y posteriores de coloración grisácea y tamaños variables desde hace 4 meses a la fecha presente. Tratamiento: 12-06-2019 Hemoterapia 09-08-2019 20 ml de oxitetraciclina vía intramuscular profunda 1.5 ml de diazominodibenzamida vía intramuscular
  • 4.
    MATERIAL RECIBIDO Biopsia depiel del área de la mandíbula y región del hombro.
  • 5.
  • 6.
  • 7.
  • 8.
  • 9.
  • 10.
  • 11.
  • 12.
    DIAGNÓSTICO DIFERENCIAL 1. PapilomatosisBovina 2. Carcinoma Escamocelular 3. Intoxicación por helecho Pteridium aquilium 4. Tuberculosis cutánea bovina
  • 13.
  • 14.
  • 15.
  • 16.
  • 17.
  • 18.
    DIAGNÓSTICO DEFINITIVO Lesiones enforma de masas firmes con crecimiento espontaneo de formas variables e irregulares como un coliflor, de color grisáceo a negro, consistencia dura y rugosa característico a un Papiloma bovino cutáneo
  • 19.
  • 20.
    • Animales reciénincorporados a la región • Inadecuada higiene • Intoxicación contacto directo • Materiales contaminados (Agujas, jeringas ) • Insectos hematófagos (Tábanos) • Garrapatas Infeccion viral 6 tipos BPV Comportamiento biológico Factores Predisponentes Formas contagio PAPILOMAVIRUS (FIBROPAPILOMA) Virus ADN Familia Papovaviridae BPV1 BPV2 BPV3 BPV4 BPV5 BPV6 Tumores BenignoMaligno Epitelial • Desequilibrio nutricionales • Defectos en el epitelio • Deficiencia de minerales • Animales recién incorporados a la región • Inadecuada higiene • Edad – Raza • Especie • Intoxicación por helecho Pteridium aquilium Carcinoma de células escamosas Fibropapilomas (Papilomas)
  • 21.
    Proliferación viral E7E1 E5E6 proteínas Funciones de helicasa. Segregación genómica y encapsidación ↑Actividad de cinasas Promueve la fusión celular Replicación transcripción E2 Aneuploidía e inestabilidad cromosómica Invasión de la respuesta inmunitaria p53 Persistencia del virus Induce la degradación Inhibiendo la apoptosis Evasión de la respuesta inmunitaria Activa la telomerasa Degradación Transformación maligna Proteína pRB Integración al huésped
  • 22.
    Células epiteliales de lacapa basal Proliferación viral Regulación celular. Ingresa por endocitosis Daño celular Replicación y infección Estrato corneo Estrato lucido Estrato granuloso Estrato espinoso células de capa basal Replicación y transcripción Neoplasia exofitica benigna del epitelio escamoso. Crecimiento de Queratinocitos Hiperplasia epitelial Hiperqueratosis Paraqueratosis Neoplasias fibroepiteliales Estroma fibrovascular Crecimiento excesivo de fibroblastos del tejido conjuntivo Transformación Maligna Linfocitos T Linfocitos B Células de Langerhans Respuesta Linfocitaria Efectora Virus Especifico
  • 23.
    TIPOS DE PAPILOMASEN ESPECIE BOVINA TIPO IMAGEN PRESENTACION BVP-1 Se presentan fibropapilomas en piel de la ubre, pezón y área genital. BVP-2 Se presentan fibropapilomas en forma de coliflor en la región anogenital y abdominal. BVP-1 BVP-2 Se presentan fibropapilomas en la cabeza, cuello y región del dorso.
  • 24.
    BVP-3 Se presenta papiloma cutáneo. BVP-4 Sepresentan papiloma en la mucosa bucal, esófago, surco esofágico, rumen, retículo y en el intestino delgado. BV-5 Se presentan fibropapilomas del tamaño de un grano de arroz en ubre y pezones. BVP-6 Se presentan fibropapilomas en forma de hoja en la ubre y los pezones.
  • 25.
    PAPILOMAS EN DIVERSASESPECIES BOVINO EQUINO PORCINO HUMANO CANINO
  • 26.
    RECOMENDACIONES GENERALES • Autovacuna • AutoHemoterapia • Alambre de arete de Cobre
  • 27.
    Epidemiologia • La papilomatosisbovina ocurre afectando principalmente el ganado bovino. • no todos los genotipos presentan la misma prevalencia, los genotipos bpv-1 y bpv-2 son los mas prevalentes y de mas amplia distribución (Vázquez et al. 2012).
  • 28.
    La frecuencia depresentación de papilomatosis cutánea en bovinos fue del 9,9%, pudiendo deberse a las condiciones agroecológicas de bosque tropical lluvioso (CARDONA etal., 2013)
  • 29.
  • 30.
    Bibliografía • Carlton, W.,McGavin, M. D., & Thomson, R. G. (1995). Thomson's special veterinary pathology/Special veterinary pathology. • Pathologic Basis of Veterinary Disease – James F. Zachary. M. Donald McGavin – El servier • Epidemiologia Veterinaria – Michael Thrusfield Editorial ACRIBIA,S.A. • Histología Veterinaria - H. Dieter Dellmann Editorial ACRIBIA,S.A. • Atlas de color Histología Veterinaria - William J. Bacha. Linda M. Bacha • Ross Histología Texto y Atlas 7°Edicion • Bacha, W. J., & Bacha, L. M. (2006). Color atlas of veterinary histology/Veterinary histologyColor atlas of veterinary histology.