CRISTIAN JOSE GOMEZ VEGA
RESIDENTE 1 AÑO - MEDICINA INTERNA
UNISINU - CARTAGENA
RADIOLOGIA DE TORAX Y
ABDOMEN
DIAGNÓSTICO POR IMAGEN
obtener imágenes de las partes del
organismo que no son accesibles a la
inspección visual.
Estas técnicas Comprenden:
1. Radiografía convencional (Rx)
2. Ultrasonido o ecografía (US)
3. Tomografía Computarizada (TC)
4. Resonancia Magnética (RM)
IMAGENOLOGÍA - GENERALIDADES
DESCUBRIMIENTO DE LOS RAYOS X
Wilhelm Conrad Röntgen
PRIMERAS RADIOGRAFIAS
Anna Berta
22 de Diciembre de 189523 de Enero de 1896
AlbertVon Köllinker
RADIACIONES X
• La diferencia de los rayos X con los rayos
luminosos están en la frecuencia, es decir, en
el número de vibraciones por segundo.
• Además, cuanto menor es la longitud de onda
de los rayos X, mayores son su energía y
poder de penetración”.
• 1 nm o nanómetro equivale a 10-9 m.
RADIOGRAFIA DE TORAX ADECUADA:
TUBO DE RAYOS X:
Producción de rayos X
La corriente va hacia el transformador
reductor y el circuito del filamento
El filamento de tungsteno calienta y se liberan los
electrones, formándose una nube de electrones
alrededor del filamento.
Producción de rayos X
Se activa el circuito de alto voltaje al presionar el
botón de exposición, los electrones se aceleran y se
dirigen al ánodo.
Producción de rayos X
Los electrones chocan con el blanco de tungsteno y
la energía se convierte en rayos X.
Producción de rayos X
Los rayos X se emiten en todas las direcciones y un
pequeño número sale del tubo por la ventana de vidrio.
Producción de rayos X
Los rayos X viajan salen al exterior y pasan por
la porción sin plomo de la ventana de vidrio.
Producción de rayos X
El tamaño del haz se restringe en el colimador y
viaja hacia el cono para salir fuera del tubo.
Producción de rayos X
POR LA CAPACIDAD DE
PENETRACION, LOS
RAYOS X ATRAVIESAN
EL CUERPO. INCIDEN EN
LA PELÍCULA, LA CUAL
ES ENNEGRECIDA DE
ACUERDO A LA
CANTIDAD DE
RADIACION QUE LE
LLEGA.
Tubo de RX
Paciente
Parrilla
Haz de RX
Película
PROPIEDADES DE LOS RAYOS X
1.- PODER DE PENETRACION
2.- EFECTO LUMINISCENTE
3.- EFECTO FOTOGRAFICO
4.- EFECTO IONIZANTE
5.- EFECTO BIOLOGICO
PROPIEDADES DE LOS RAYOS X
Capacidad de penetrar la materia:
(radiación incidente), parte de esta radiación es absorbida
(radiación dispersa)
Parte no modificada y atraviesa la materia (radiación emergente o
remanente).
“tejidos radiotransparentes” aquellos que los rayos X atraviesan
fácilmente;
“tejidos radiopacos” aquellas que absorben de tal manera los rayos
X que poca o ninguna radiación consigue traspasarlos.
PODER DE PENETRACION
PROPIEDADES DE LOS RAYOS X
“Fluorescencia”
Capacidad de que al incidir sobre ciertas
sustancias, éstas emitan luz al ser bombardeadas
por rayos X,
“Fosforescencia”
Capacidad de emitir luz durante un corto período
de tiempo después de haber cesado la radiación.
EFECTO LUMINISCENTE
PROPIEDADES DE LOS RAYOS X
Capacidad de producir cambios en las emulsiones
que cubren las placas radiográficas:
(halogenuros de plata)
EFECTO FOTOGRAFICO
PROPIEDADES DE LOS RAYOS X
Capacidad de Ionizar los gases:
Si el gas es irradiado con rayos X, se hace
conductor y deja pasar la corriente eléctrica,
es decir, el gas se ha ionizado.
Esta propiedad se usa ampliamente en
radiología para medir la cantidad y calidad de
la radiación.
EFECTO IONIZANTE
PROPIEDADES DE LOS RAYOS X
Capacidad de producir cambio en los tejidos
vivos:
 cumplen un importante papel en terapia del
cáncer.
 protección radiológica durante dichos
procedimientos.
 Los efectos nocivos empiezan a ser
observables encima de los 100 rads (dosis
absorbida Roentgen).
EFECTO BIOLOGICO
PROPIEDADES DE LOS RAYOS X
Como se mide la radiacion?
Rad (gray) o milirad
Exposicion.
Roemtgems (coulombios/kg)
Radiologos o tecnicos.
Rem (sievert) dosis max 5000mrem/año
Proteccion De Diagnostico Radiologico
GENERALIDADES
Los rayos x son invisibles.
Dada su alta energía y corta
longitud de onda, pueden penetrar
casi todos los materiales, pero son
absorbidos con distinta intensidad
por los diferentes tejidos.
GENERALIDADES
En el cuerpo humano la absorción es
alta en los huesos y baja en los
músculos y otros tejidos blandos.
Así pues, el examen radiográfico
consiste en irradiar una parte del
paciente con un haz uniforme de
rayos x y registrar los rayos de
salida sobre una película de doble
emulsión.
RADIOGRAFIA CONVENCIONAL
– ES LA TÉCNICA INICIAL DE IMAGEN
POR EXCELENCIA, MÁS EMPLEADA POR EL
MÉDICO (DISPONIBILIDAD /COSTOS).
– EXAMEN DE DIAGNÓSTICO NO
INVASIVO, NO AMERITA PREPARACIÓN
PREVIA.
– INDICACIONES MÚLTIPLES
(OSTEOARTICULAR, TÓRAX Y ABDOMEN).
RADIOGRAFIA CONVENCINAL
- GENERA IMÁGENES RADIOGRÁFICAS
QUE SON LA REPRESENTACIÓN DE UN
OBJETO, GENERALMENTE
TRIDIMENSIONAL VISUALIZÁNDOSE
COMO UN OBJETO BIDIMENSIONAL.
– DIFÍCIL DE INTERPRETAR POR
LIMITADO NÚMERO DE PLANOS DE
VISUALIZACIÓN.
– LIMITAR EL USO SEGÚN LAS DOSIS
DE RADIACIÓN (EFECTOS
ACUMULATIVOS).
– IMPORTANTES AVANCES EN
RADIOLOGÍA DIGITAL.
DISTRIBUCIÓN EN EL CUERPO DE LAS
DENSIDADES RADIOLÓGICAS
1.- AIRE
2.- GRASA
3.- AGUA
4.- CALCICA U ÓSEA
5.- METALICA
6.- PARTES BLANDAS
7.- CONTRASTE
8.- ESMALTE
9.- PLOMO
DETERMINAN LO QUE
SE VISUALIZA EN LA
PLACA RADIOLÓGICA
Distribución en el cuerpo de las
densidades radiológicas que se
consideran básicas: aire (gas),
agua, grasa, calcio (ósea) y
densidad metálica, determinan
lo que se distingue en la
radiografías normales.
DENSIDADES BÁSICAS:
1. METALICA: BLANCO BRILLANTE
2. CALCICA: BLANCO CLARO
3. AGUA: GRIS CLARO
4. GRASA: GRIS OSCURO
5. AIRE: NEGRO
1
2
3
4
5
RADIOGRAFIA CONVENCIONAL - EQUIPO:
1.TUBO DE RAYOS X.
2.POSTE
3.MESA
4.PARRILLA
“CHASIS” RADIOGRÁFICO
PLACA RADIOGRÁFICA
Acetato de celulosa
Halogenuros de plata
NEGATOSCOPIOVENTANOSCOPIO
• La radiografía convencional busca representar
un objeto en 3D sobre un plano 2D
• Siempre se deben tomar mínimo 2 proyecciones
AP o PA y Lat.
• Con esto se minimiza el gran problema que tiene
la radiografía convencional:
SUPERPOSICIÓN DE ESTRUCTURAS.
Tiene relación con la ubicación del cuerpo respecto a la
fuente de rayos x.
 Proyección: según la dirección o el sentido de entrada
del haz de rayos x.
 AP: desde anterior a posterior
 PA: desde posterior a anterior.
 Lateral.
 Oblicua.
 Posición: tiene relación con la ubicación del paciente
con respecto al receptor de imagen.
 Anterior.
 Posterior.
PROYECCIÓN Y POSICIÓN
Pectum excavatum
RADIOGRAFIA CONTRASTADA
“Económico y no invasivo”
Uso actual limitado por el avance de otras técnicas.
Indicación:
Patología funcional del tracto gastrointestinal:
esófago, estómago, duodeno, colon.
Alternativa de la endoscopia.
Estudios urológicos, ginecológicos y angiográficos.
Equipo utiliza monitores.
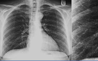
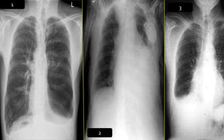
TÓRAX
1. PAR RADIOLOGICO
2. CENTRADO
3. PENETRADO
4. INSPIRADO
Rx de tórax simple o convencional
¿Qué tener en cuenta cuando miramos una Rx tórax frente?
¿Qué buscar en una Rx tórax frente?
¿Qué buscar en una Rx tórax frente?
¿Qué buscar en una Rx tórax perfil?
¿Qué buscar en una Rx tórax perfil?
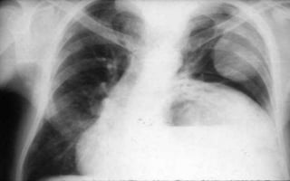
INDICE CARDIOTORACICO NORMAL
valor normal es igual o inferior a 0.5 varia según el biotipo y edad del
paciente. (línea roja / suma de líneas azules )
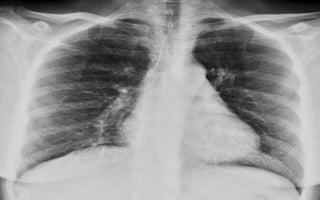
HILIOS PULMONARES NORMALES
CASOS PATOLOGICOS
1. Marcado aumento del
índice cardiotorácico.
2. La punta del corazón
se dirige al diafragma
por dilatación
biventricular.
3. Aumento del tamaño
de la aurícula derecha.
CASOS PATOLOGICOS
1. Aumento del índice
cardiotorácico.
2. APEX se dirige hacia abajo del
diafragma por dilatación delVI.
3. Aumento de la densidad
pulmonar bilateral con
distribución perihiliar y basal,
aspecto algodonoso,
confluente, límites mal
definidos borrosidad vascular
(InfiltradoAlveolar).
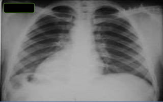
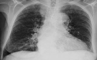
CASOS PATOLOGICOS
Cardiomegalia. Hipertensión arterial pulmonar
CASOS PATOLOGICOS
1. Cardiomegalia.
2. Marcada dilatación de la
aurícula izquierda.
3. InsuficienciaV. mitral.
CASOS PATOLOGICOS
1. Cardiomegalia.
2. Patología valvular
aortica-mitral
• Dilatación
aneurismática fusiforme
de la aorta torácica
CASOS PATOLOGICOS
LINEAS B DE KERLEY
CASOS PATOLOGICOS
NEUMOTORAXSOBRECARGA HIDRICA
ICC
CARDIOPATIA
DILATADA
DERRAME
PERICARDICO
Radiografía de tórax-IA
 Hay cinco patrones clásicos descritos:
Southwick F. Pulmonary infections. In: Infectious diseases a clinical short course. LANGE. 2014
Neumonía
lobar
Bronco-
neumonía
Neumonía
intersticial
Absceso
pulmonar
Lesiones
nodulares
Radiografía de tórax
Patrón lobarBronconeumoníaNeumonía intersticialAbsceso pulmonarPatrón nodular
Southwick F. Pulmonary infections. In: Infectious diseases a clinical short course. LANGE. 2014
Radiografía de tórax
Patrón lobarBronconeumoníaNeumonía intersticialAbsceso pulmonarPatrón nodular
Southwick F. Pulmonary infections. In: Infectious diseases a clinical short course. LANGE. 2014
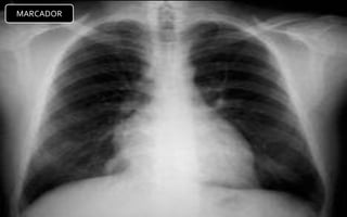
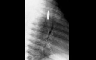
MARCADOR
1
2
3
MEDIASTINO
MEDIASTINO NORMAL
L a t e r a l
t
r
a
q
u
e
a
CATEDRA DE RADIOLOGIA U.N.L.P. Mediastino normal Edición 2004
Compartimientos mediastínicos
Anterior
Medio
Superior
Posterior
t
r
a
q
u
e
a
CATEDRA DE RADIOLOGIA U.N.L.P. Mediastino normal Edición 2004
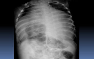
PROYECCION SIMPLE DE ABDOMEN
CRITERIOS DE EVALUACION P.S.A.
 Apreciar desde el abdomen
superior hasta la sínfisis del
pubis.
 Lumbares, pelvis y ultimas
costillas sin rotación.
 Apófisis espinosas en el
centro de cuerpos
vertebrales.
 Ver el bazo, riñones, psoas
y “borde inferior hepático
INTERPRETACION
 Estructuras óseas
(densidades).
 Tejidos blandos.
 Psoas.
 Bazo.
 Niveles Hidroareos.
 Intestino delgado.
 Colon.
 Silueta Renal.
PATRON AEREO DEL INTESTINO
COLELITIASISNEFROMEGALIA
ILEO FUNCIONALVOLVULO DEL SIGMOIDES
OBSTRUCCION DE ILEON
NEUMOPERITONEO
SIGNO DE LA DOBLE
PARED
ASCITIS
HEMOPERITONEO
VIAS URINARIAS
http://www.radiodent.cl/radiologia/critica_del%20negativo%20radiografico.pdf
http://tecnologia1.fullblog.com.ar/rayos-x-generalidades.html
http://www.tecnoimagen.com.ve/images/descargas/IMAGENOLOGiA%20(G
ENERALIDADES)/IMAGENOLOGiA%20PARA%20NEUROCIRUGiA.pdf
http://lasdeazul5.blogspot.com/
http://www.buenastareas.com/ensayos/Imagenologia-Basica/2502411.html
BIBLIOGRAFÍA CONSULTADA
http://es.wikipedia.org/wiki/Radiograf%C3%ADa
http://www.fisterra.com/salud/3procedt/radiografia.asp
RADIOLOGIA BASICA. RX – TC – RM – ECOGRAFIA. C. CAMARGO. CELSUS. 2001.
Rayos x de torax y abdomen

Rayos x de torax y abdomen