 Alcaraz, Ivana 
 Concolino, Matías 
 González, Mariela 
 González, Jorge 
 Machuca, Ingrid 
 Martínez, Tatiana 
 Rodriguez, Noelia
•Se refieren a todos los carcinomas que se desarrollan en los 
tejidos blandos como, por ejemplo, el tejido fibroso, el tejido 
nervioso o el tejido muscular. 
•Hay tumores de partes blandas benignos y malignos, los 
denominados sarcomas de partes blandas. 
•Los malignos pueden surgir en diferentes partes del cuerpo, por 
ejemplo, en la espalda o en los brazos, pero casi siempre se forma 
en las piernas. 
•A través de los vasos sanguíneos pueden extenderse las células 
cancerígenas a otros órganos y formar allí metástasis.
• Mas frecuente en hombres que en mujeres (1, 4:1) 
•Edad 
•50% aparecen en la infancia (Cuarto tipo de cáncer mas frecuente 
en esta edad) 
•Algunos sarcomas tienen preferencia por ciertos grupos de edad 
•La etiología certera se desconoce pero esta posiblemente asociado 
a algunos factores 
•Varias de las características influyen en el pronóstico: 
Clasificación histológica precisa 
Grado histológico 
Estadificación 
•La tasa de supervivencia global a los 10 años del sarcoma es 
aproximadamente del 40%
• Benigno 
• Intermedio, localmente agresivo 
• Intermedio, raramente metastatizante 
• Maligno
MÚSCULO 
SEGÚN EL 
TEJIDO QUE 
REPRODUCEN 
GRASA 
TEJIDO 
FIBROSO 
NERVIOS 
VASOS
 Tumores de tejido adiposo 
- Lipoma 
- Liposarcoma 
 Tumores y lesiones 
seudotumorales del tejido fibroso 
- Fascitis nodudar 
- Fibromatosis 
Fibromatosis superficiales 
Fibromatosis profundas 
- Fibrosarcoma 
 Tumores fibrohistiocíticos 
- Fibrohistiocitoma 
- Dermatofibrosarcoma 
protuberans 
- Fibrohistiocitoma maligno 
 Tumores del músculo estriado 
- Rabdomioma 
- Rabdomiosarcoma 
 Tumores de músculo liso 
- Leiomioma 
- Leiomiosarcoma 
 Tumores vasculares 
- Hemangioma 
- Linfangioma 
- Hemangioendotelioma 
- Angiosarcoma 
 Tumores de nervios periféricos 
- Neurofibroma 
- Schwannoma 
- Tumor de células granulares 
 Tumores de histogenia incierta 
- Sarcoma sinovial 
- Sarcoma alveolar de partes 
blandas 
- Sarcoma epiteliode
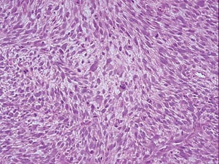
Tipo celular Características Tipo de tumor 
Célula fusiforme 
En forma de bastón, eje 
mayor doble que el eje menor 
Fibroso, fibrohistiocítico, de 
músculo liso, de célula de 
Schwann 
Célula redonda pequeña Tamaño de un linfocito con 
escaso citoplasma 
Rabdomiosarcoma, tumor 
neuroectodérmico primitivo 
Epiteliode 
Poliédrica con abundante 
citoplasma, núcleo central 
Músculo liso, endotelial 
célula de Schwann, sarcoma 
epiteliode
Patrón Tipo de tumor 
Fascículos de células fusiformes eosinofílas entrecruzados 
en angulo 
Músculo Liso 
Fascículos cortos de células fusiformes radiados desde un 
punto central como palas de molinete 
Fibrohistiocítico 
Núcleos dispuestos en columnas (empalizada) Células de Schwann 
En espiga Fibrosarcoma 
Mezcla de fascículos de células fusiformes y grupos de 
células epitelioides 
Sarcoma sinovial
LIPOMA 
•Tumores benignos de la grasa 
•Los TBP mas frecuentes en el adulto 
•Se subdividen según las características morfológicas: lipoma 
convencional, fibrolipoma, angiolipoma, mielolipoma, lipoma 
pleomórfico 
•Son blandos, desplazables e indoloros (excepto el angiolipoma) y 
suelen curarse mediante extirpación simple
LIPOSARCOMA 
• Uno de los sarcomas mas frecuentes en adultos 
•Generalmente se originan en la región proximal de las extremidades y 
retroperitoneo, forman tumores grandes 
•Se dividen histológicamente en: bien diferenciada, mixoide/célula 
redonda y pleomórfica 
•Todos los tipos recidivan a menudo localmente, a menos que la 
extirpación sea apropiada.
Proliferaciones Seudosarcomatosas Reactivas 
Fascitis Nodular 
Miositis Osificante
¿Proliferaciones Seudosarcomatosas Reactivas? 
Fascitis Nodular 
Fascitis infiltrativa o seudosarcomatosa. 
 La forma mas frecuente de 
seudosarcoma reactivo. 
 Cara palmar del antebrazo, seguido en 
frecuencia del tórax y la espalda. 
 Masa solitaria de crecimiento rápido y 
doloroso. 
 En el 10- 15 % de los casos existe un 
antecedente traumático.
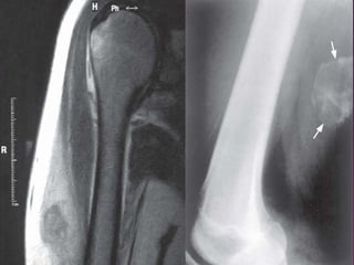
Miositis Osificante. 
Presencia de hueso metaplásico. 
Músculos proximales de las extremidades. 
Adolescentes deportistas y adultos jóvenes tras un traumatismo en 
más del 50% de los casos. 
Fase temprana: Zona afectada tumefacta y dolorosa. 
 En las siguientes semanas se hace circunscrita y dolorosa. 
Por último se convierte en una masa bien delimitada e indolora.
 La miositis osificante es un proceso poco frecuente que no afecta al 
hueso sino al músculo adyacente. 
 Las lesiones pueden llegar a medir varios centímetros. 
 Se produce una zona central de tejido de granulación exuberante y 
muy celular, que puede imitar a un sarcoma. 
 Los hallazgos radiológicos sugieren el diagnóstico correcto. 
 A diferencia de una auténtica neoplasia, esta lesión disminuye de 
tamaño con el tiempo. 
 Puede causar dolor e irritación local
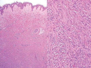
Fibromatosis 
 Es un proceso 
proliferativo, por el 
cual los fibroblastos 
forman fibromas o 
nódulos sub cutáneos. 
 Estos fibromas suelen 
ser benignos.
Clasificación 
1- Superficial (facial) 
Plantar o Ledderhorse Palmar o Dupuytren Peneana o Peyronie
 Tumor de crecimiento lento 
 Fascie o aponeurosis 
 Poco agresivos 
 Forman fasciculos anchos nodulares 
 Colágeno denso abundante 
 Afecta mayormente al sexo masculino 
 20 – 25 % palmar y plantar se estabilizan
Dupuytren o palmar 
 Mas común de las fibromatosis superficiales 
 75 % hombres. Uni o bilateral (50%) 
 Engrosamiento irregular o nodular fascie palmar 
 Con el tiempo: fruncido e invaginación 
 Contractura de Dupuytren “no involucra estructuras profundas 
como los tendones o los músculos esqueléticos “
Contractura de Dupuytren 
• Contractura en flexión 
• Progresiva 
• 4 y 5 dedo ( anular, meñique)
Plantar o Ledderhose 
 Similitudes con la F. Palmar 
 Reemplazo de elementos de la aponeurosis plantar 
por tejido fibroso anormal 
 fibroblastos y fibrocitos 
 Doloroso 
 Contractura en flexión infrecuente 
 Niños <10 años 
 Hombres 
 Se asemeja a un sarcoma de Kaposi
 Engrosamiento o placa fibrosa de la dermis entre los cuerpos 
cavernosos y la túnica albugínea. 
 Causando una curvatura hacia el lado de la lesión (mayormente 
dorso del pene) 
 Restricción de movimiento de estas estructuras durante la 
erección (dolor) 
 > 40 años 
Peyronie o Peniana
Fibromatosis Profunda 
 Musculo aponeurótica 
 Entre tumores fibrosos benignos y fibrosarcoma 
 Masas infiltrantes grandes 
 Crecimiento rápido 
 Bien diferenciado 
 Reaparecen post resección incompleta 
 No predilección de edad ( adolescencia y 4° 
década)
 Profunda (músculo aponeurótica ; tumor 
desmoide) 
- Extra abdominal (desmoide extra 
abdominal) 
- Abdominal (desmoide abdominal) 
- Intraabdominal (desmoide intraabdominal) 
- Fibromatosis pélvica 
- Fibromatosis mesentérica 
- Fibromatosis mesentérica 
(Gardner´s síndrome)
Fibrosarcoma 
 Pueden aparecer en cualquier parte del cuerpo 
 Preferencia MI 
 Masas en carne de pescado 
 Masas encapsuladas, infiltrantes, consistencia 
blanda y elástica 
 Hemorragia y necrosis 
 Crecimiento lento, Agresivos, 
 50% recidivan, 25% metastiza
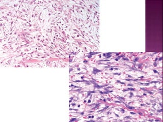
Tumores Fibrohistiociticos 
 El término "fibrohistiocítico" es esencialmente 
descriptivo y se refiere a una semejanza en 
microscopía óptica entre las células tumorales y 
los fibroblastos e histiocitos. 
 Bien delimitado 
 Habitualmente dérmico 
 Lesiones similares a cicatrices
Histiocitoma Fibroso Benigno 
(Dermatofibroma) 
 Hace referencia a una familia heterogénea 
de neoplasias dérmicas benignas. 
 Se observan en adultos y con mayor 
frecuencia se da en mujeres jóvenes o de 
mediana edad. 
 En la inspección macroscópica estas 
neoplasias son pápulas firmes, de color 
tostado a pardo.
Dermatofibrosarcoma Protuberante 
 Es un fibrosarcoma primario bien 
diferenciado de la piel. 
 Crecimiento lento, localmente agresivo, rara 
vez metastatizan. 
 Clínicamente son unos nódulos sólidos firmes 
que se originan mas frecuentemente en el 
tronco.
Histiocitoma Fibroso Maligno 
 Es el Sarcoma mas común de partes blandas en los adultos 
 Generalmente se presenta entre (50-70 años) 
 Aproximadamente 2/3 ocurre en varones. 
 Localización mas frecuente: muslo y retro peritoneo. 
 En la actualidad se clasifican en mixofibrosarcoma, fibrosarcoma 
pleomorfico.
Rabdomiosarcoma. 
 Sarcoma de partes blandas más frecuentes en la infancia y 
adolescencia. 
 Son más frecuentes en la cabeza y el cuello o el aparato 
genitourinario. 
 Los rabdomiosarcomas son neoplasias agresivas. 
 El rabdomioblasto es la célula diagnóstica en todos los tipos.
Existen 3 subtipos histológicos:
 El rabdomioblasto es la célula diagnóstica en todos los tipos.
 Se observan estrías transversales a la microcopia óptica (strap 
cell)
 Rabdomiosarcoma Embrionario
 Leiomiomas
Hemangioma 
 Generalmente son localizados. 
 La mayoría son lesiones superficiales. 
 7% de todos los tumores benignos durante la 
lactancia y la niñez. 
 Existen diversas variantes histológicas y 
clínicas: 
 Hemangioma Capilar 
 Hemangioma Cavernoso 
 Granuloma piogeno
Linfagioma 
 Analogo linfatico benigno de los 
hemangiomas. 
 Linfangioma circunscrito 
 Linfangioma cavernoso
Hemangioendotelioma 
 Hemangioma epitelioide, tumor vascular unico que 
aparece alrededor de las venas de mediano y gran 
calibre.
Angiosarcoma 
 Neoplasias endoteliales malignas. 
 Se encuentran en ambos sexos, mas frecuentes en 
adultos mayores. 
 Más frecuentes en piel, tejidos blandos, mamas e 
hígado. 
 Frecuencia aumenta en trabajadores de la industria 
del PVC. 
 Pueden aparecer en el contexto de linfedema. 
 Pueden ser inducidos por radiación y asociarse con la 
introducción de material extraño en el cuerpo.
 Menos del 10% son 
interaarticulares. 
 Cuarto tipo de sarcoma más 
frecuente. 
 Aparecen entre la 3era, 4ta y 
5ta década de vida.
 Otros tumores relacionados con los tumores 
de partes blandas son los que afectan al 
sistema nervioso periférico. 
 Shwannoma 
 Neurofibroma 
 Tumor maligno de la vaina del nervio periférico 
(TMVNP, shwannoma maligno)
Ppt. Tumores de partes blandas

Ppt. Tumores de partes blandas

  • 2.
     Alcaraz, Ivana  Concolino, Matías  González, Mariela  González, Jorge  Machuca, Ingrid  Martínez, Tatiana  Rodriguez, Noelia
  • 3.
    •Se refieren atodos los carcinomas que se desarrollan en los tejidos blandos como, por ejemplo, el tejido fibroso, el tejido nervioso o el tejido muscular. •Hay tumores de partes blandas benignos y malignos, los denominados sarcomas de partes blandas. •Los malignos pueden surgir en diferentes partes del cuerpo, por ejemplo, en la espalda o en los brazos, pero casi siempre se forma en las piernas. •A través de los vasos sanguíneos pueden extenderse las células cancerígenas a otros órganos y formar allí metástasis.
  • 4.
    • Mas frecuenteen hombres que en mujeres (1, 4:1) •Edad •50% aparecen en la infancia (Cuarto tipo de cáncer mas frecuente en esta edad) •Algunos sarcomas tienen preferencia por ciertos grupos de edad •La etiología certera se desconoce pero esta posiblemente asociado a algunos factores •Varias de las características influyen en el pronóstico: Clasificación histológica precisa Grado histológico Estadificación •La tasa de supervivencia global a los 10 años del sarcoma es aproximadamente del 40%
  • 6.
    • Benigno •Intermedio, localmente agresivo • Intermedio, raramente metastatizante • Maligno
  • 7.
    MÚSCULO SEGÚN EL TEJIDO QUE REPRODUCEN GRASA TEJIDO FIBROSO NERVIOS VASOS
  • 8.
     Tumores detejido adiposo - Lipoma - Liposarcoma  Tumores y lesiones seudotumorales del tejido fibroso - Fascitis nodudar - Fibromatosis Fibromatosis superficiales Fibromatosis profundas - Fibrosarcoma  Tumores fibrohistiocíticos - Fibrohistiocitoma - Dermatofibrosarcoma protuberans - Fibrohistiocitoma maligno  Tumores del músculo estriado - Rabdomioma - Rabdomiosarcoma  Tumores de músculo liso - Leiomioma - Leiomiosarcoma  Tumores vasculares - Hemangioma - Linfangioma - Hemangioendotelioma - Angiosarcoma  Tumores de nervios periféricos - Neurofibroma - Schwannoma - Tumor de células granulares  Tumores de histogenia incierta - Sarcoma sinovial - Sarcoma alveolar de partes blandas - Sarcoma epiteliode
  • 9.
    Tipo celular CaracterísticasTipo de tumor Célula fusiforme En forma de bastón, eje mayor doble que el eje menor Fibroso, fibrohistiocítico, de músculo liso, de célula de Schwann Célula redonda pequeña Tamaño de un linfocito con escaso citoplasma Rabdomiosarcoma, tumor neuroectodérmico primitivo Epiteliode Poliédrica con abundante citoplasma, núcleo central Músculo liso, endotelial célula de Schwann, sarcoma epiteliode
  • 10.
    Patrón Tipo detumor Fascículos de células fusiformes eosinofílas entrecruzados en angulo Músculo Liso Fascículos cortos de células fusiformes radiados desde un punto central como palas de molinete Fibrohistiocítico Núcleos dispuestos en columnas (empalizada) Células de Schwann En espiga Fibrosarcoma Mezcla de fascículos de células fusiformes y grupos de células epitelioides Sarcoma sinovial
  • 11.
    LIPOMA •Tumores benignosde la grasa •Los TBP mas frecuentes en el adulto •Se subdividen según las características morfológicas: lipoma convencional, fibrolipoma, angiolipoma, mielolipoma, lipoma pleomórfico •Son blandos, desplazables e indoloros (excepto el angiolipoma) y suelen curarse mediante extirpación simple
  • 13.
    LIPOSARCOMA • Unode los sarcomas mas frecuentes en adultos •Generalmente se originan en la región proximal de las extremidades y retroperitoneo, forman tumores grandes •Se dividen histológicamente en: bien diferenciada, mixoide/célula redonda y pleomórfica •Todos los tipos recidivan a menudo localmente, a menos que la extirpación sea apropiada.
  • 15.
    Proliferaciones Seudosarcomatosas Reactivas Fascitis Nodular Miositis Osificante
  • 16.
    ¿Proliferaciones Seudosarcomatosas Reactivas? Fascitis Nodular Fascitis infiltrativa o seudosarcomatosa.  La forma mas frecuente de seudosarcoma reactivo.  Cara palmar del antebrazo, seguido en frecuencia del tórax y la espalda.  Masa solitaria de crecimiento rápido y doloroso.  En el 10- 15 % de los casos existe un antecedente traumático.
  • 18.
    Miositis Osificante. Presenciade hueso metaplásico. Músculos proximales de las extremidades. Adolescentes deportistas y adultos jóvenes tras un traumatismo en más del 50% de los casos. Fase temprana: Zona afectada tumefacta y dolorosa.  En las siguientes semanas se hace circunscrita y dolorosa. Por último se convierte en una masa bien delimitada e indolora.
  • 19.
     La miositisosificante es un proceso poco frecuente que no afecta al hueso sino al músculo adyacente.  Las lesiones pueden llegar a medir varios centímetros.  Se produce una zona central de tejido de granulación exuberante y muy celular, que puede imitar a un sarcoma.  Los hallazgos radiológicos sugieren el diagnóstico correcto.  A diferencia de una auténtica neoplasia, esta lesión disminuye de tamaño con el tiempo.  Puede causar dolor e irritación local
  • 22.
    Fibromatosis  Esun proceso proliferativo, por el cual los fibroblastos forman fibromas o nódulos sub cutáneos.  Estos fibromas suelen ser benignos.
  • 23.
    Clasificación 1- Superficial(facial) Plantar o Ledderhorse Palmar o Dupuytren Peneana o Peyronie
  • 24.
     Tumor decrecimiento lento  Fascie o aponeurosis  Poco agresivos  Forman fasciculos anchos nodulares  Colágeno denso abundante  Afecta mayormente al sexo masculino  20 – 25 % palmar y plantar se estabilizan
  • 25.
    Dupuytren o palmar  Mas común de las fibromatosis superficiales  75 % hombres. Uni o bilateral (50%)  Engrosamiento irregular o nodular fascie palmar  Con el tiempo: fruncido e invaginación  Contractura de Dupuytren “no involucra estructuras profundas como los tendones o los músculos esqueléticos “
  • 27.
    Contractura de Dupuytren • Contractura en flexión • Progresiva • 4 y 5 dedo ( anular, meñique)
  • 28.
    Plantar o Ledderhose  Similitudes con la F. Palmar  Reemplazo de elementos de la aponeurosis plantar por tejido fibroso anormal  fibroblastos y fibrocitos  Doloroso  Contractura en flexión infrecuente  Niños <10 años  Hombres  Se asemeja a un sarcoma de Kaposi
  • 30.
     Engrosamiento oplaca fibrosa de la dermis entre los cuerpos cavernosos y la túnica albugínea.  Causando una curvatura hacia el lado de la lesión (mayormente dorso del pene)  Restricción de movimiento de estas estructuras durante la erección (dolor)  > 40 años Peyronie o Peniana
  • 32.
    Fibromatosis Profunda Musculo aponeurótica  Entre tumores fibrosos benignos y fibrosarcoma  Masas infiltrantes grandes  Crecimiento rápido  Bien diferenciado  Reaparecen post resección incompleta  No predilección de edad ( adolescencia y 4° década)
  • 33.
     Profunda (músculoaponeurótica ; tumor desmoide) - Extra abdominal (desmoide extra abdominal) - Abdominal (desmoide abdominal) - Intraabdominal (desmoide intraabdominal) - Fibromatosis pélvica - Fibromatosis mesentérica - Fibromatosis mesentérica (Gardner´s síndrome)
  • 35.
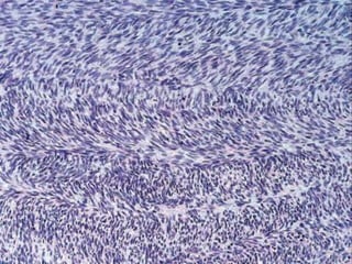
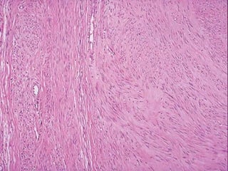
    Fibrosarcoma  Puedenaparecer en cualquier parte del cuerpo  Preferencia MI  Masas en carne de pescado  Masas encapsuladas, infiltrantes, consistencia blanda y elástica  Hemorragia y necrosis  Crecimiento lento, Agresivos,  50% recidivan, 25% metastiza
  • 37.
    Tumores Fibrohistiociticos El término "fibrohistiocítico" es esencialmente descriptivo y se refiere a una semejanza en microscopía óptica entre las células tumorales y los fibroblastos e histiocitos.  Bien delimitado  Habitualmente dérmico  Lesiones similares a cicatrices
  • 39.
    Histiocitoma Fibroso Benigno (Dermatofibroma)  Hace referencia a una familia heterogénea de neoplasias dérmicas benignas.  Se observan en adultos y con mayor frecuencia se da en mujeres jóvenes o de mediana edad.  En la inspección macroscópica estas neoplasias son pápulas firmes, de color tostado a pardo.
  • 42.
    Dermatofibrosarcoma Protuberante Es un fibrosarcoma primario bien diferenciado de la piel.  Crecimiento lento, localmente agresivo, rara vez metastatizan.  Clínicamente son unos nódulos sólidos firmes que se originan mas frecuentemente en el tronco.
  • 44.
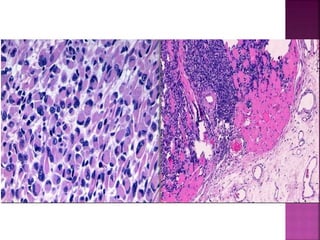
    Histiocitoma Fibroso Maligno  Es el Sarcoma mas común de partes blandas en los adultos  Generalmente se presenta entre (50-70 años)  Aproximadamente 2/3 ocurre en varones.  Localización mas frecuente: muslo y retro peritoneo.  En la actualidad se clasifican en mixofibrosarcoma, fibrosarcoma pleomorfico.
  • 46.
    Rabdomiosarcoma.  Sarcomade partes blandas más frecuentes en la infancia y adolescencia.  Son más frecuentes en la cabeza y el cuello o el aparato genitourinario.  Los rabdomiosarcomas son neoplasias agresivas.  El rabdomioblasto es la célula diagnóstica en todos los tipos.
  • 47.
    Existen 3 subtiposhistológicos:
  • 48.
     El rabdomioblastoes la célula diagnóstica en todos los tipos.
  • 49.
     Se observanestrías transversales a la microcopia óptica (strap cell)
  • 50.
  • 56.
  • 60.
    Hemangioma  Generalmenteson localizados.  La mayoría son lesiones superficiales.  7% de todos los tumores benignos durante la lactancia y la niñez.  Existen diversas variantes histológicas y clínicas:  Hemangioma Capilar  Hemangioma Cavernoso  Granuloma piogeno
  • 62.
    Linfagioma  Analogolinfatico benigno de los hemangiomas.  Linfangioma circunscrito  Linfangioma cavernoso
  • 63.
    Hemangioendotelioma  Hemangiomaepitelioide, tumor vascular unico que aparece alrededor de las venas de mediano y gran calibre.
  • 64.
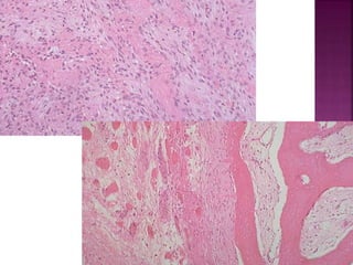
    Angiosarcoma  Neoplasiasendoteliales malignas.  Se encuentran en ambos sexos, mas frecuentes en adultos mayores.  Más frecuentes en piel, tejidos blandos, mamas e hígado.  Frecuencia aumenta en trabajadores de la industria del PVC.  Pueden aparecer en el contexto de linfedema.  Pueden ser inducidos por radiación y asociarse con la introducción de material extraño en el cuerpo.
  • 66.
     Menos del10% son interaarticulares.  Cuarto tipo de sarcoma más frecuente.  Aparecen entre la 3era, 4ta y 5ta década de vida.
  • 67.
     Otros tumoresrelacionados con los tumores de partes blandas son los que afectan al sistema nervioso periférico.  Shwannoma  Neurofibroma  Tumor maligno de la vaina del nervio periférico (TMVNP, shwannoma maligno)