V I C T O R I A M O R G A D O H E R N Á N D E Z .
CONDROSARCOMA.
Tumor maligno,
células productoras
cartílago, mas no
tejido oseo
Crecimiento
relativamente lento
Aparición súbita o
resultado de
transformación
maligna de una
lesión preexistente
≠ Condroma: Tejido
tumoral más celular
y pleomorfo
# considerable de
células voluminosas
c/ núcleos gdes o
dobles
Neoplasia con
diferenciación del
cartílago hialino
puro
CONDROSARCOMA.
Grupo de tumores
que abarcan una
amplia gama de
hallazgos clínicos y
patológicos.
Producción de
cartílago
neoplasico.
Clasificación según
su localización
central y
histología.
El condrosarcoma es un cáncer maligno
de hueso que afecta principalmente a
las células de cartílago del:
fémur (hueso del
muslo)
el brazo.
la pelvis.
la rodilla.
la columna
vertebral.
Aunque con menor frecuencia,
también puede afectar a otras áreas,
como las costillas.
CONDROSARCOMA.
Localización Central.
Intramedular. Periférico.
Yuxtacortical. Superficial.
90% de los
condrosarcomas.
Histológico.
Hialina y/o
mixoide.
Célula clara.
Desdiferenciada.
Mesenquimatosa.
Condrosarcoma
Primario Secundario
Lesión cartilaginosa benigna preexistente
Enfermedad de Ollier
Síndrome de MaffucciCondromatosis sinovial
Fibroma condromixoide Condroma periostial
Condroblastoma
Radiaciones
Displasia fibrosa
Encondroma
Osteocondroma
EPIDEMIOLOGÍA
Grupos edad:
Adultos mayores
> 30a
2°  Tumores
óseos primarios
malignos
4° Todos los
sarcomas
primarios
Genero: ♂ 2:1 ♀
Localización:
Cintura escapular
y pélvica, huesos
largos proximales
EPIDEMIOLOGÍA.
Condrosarcoma de esqueleto
mitad de frecuente comparado
con osteosarcoma.
Célula clara y mesenquimatosa
px jovenes (>20-<30).
15% se originan sobre un
encondroma u osteocondroma
previo.
CLASIFICACIÓN DEL
CONDROSARCOMA
Clasificación
Localización
Central
medular
Periférico
Origen
Primario
Secundario
Histología
1° Grado
2° Grado
3 ° Grado
Primarios
central o convencional
Yuxtacortical
Mesenquimal
Desdiferenciado
Células claras
Acral
Craneofacial
Juevenil- Infantil
Laringeo
Mixoide
Secundarios
Central
secundario
Central
periférico
Sinovial
ESTADIAJE.
El tumor puede invadir los vasos sanguíneos y producir tapones de tumor
intravascular largos que pueden extenderse al corazón y las arterias pulmonares.
El tumor tiende a destruir el hueso y extenderse en los tejidos blandos.
Son lentos para metastatizar y pueden crecer hasta inmensas proporciones.
Lo más frecuente es que se presente como una lesión de bajo grado
intracompartimental.
HISTOLOGÍA.
El condrosarcoma es un tumor maligno de células
productoras de cartílago.
El grado histológico del tumor. Es un factor predictivo
importante en el comportamiento del tumor.
Es difícil diferenciar, en ocasiones , tumores de alto y
bajo grado, incluso con muestras abundantes.
HISTOLOGÍA.
FACTORES DE RIESGO.
 Encondromas - tipo de tumor óseo benigno que se origina en el
cartílago y que suele afectar a las manos (aunque también puede
afectar a otras áreas).
 Osteocondromas - crecimiento anormal de cartílago y hueso
cerca del extremo del hueso en las proximidades de la placa de
crecimiento.
 Exostosis múltiples - la presencia de varios osteocondromas
(crecimiento anormal de cartílago y hueso cerca del extremo de la
placa de crecimiento).
 La enfermedad de Ollier - grupo de encondromas (tumor
benigno del cartílago que suele afectar a las manos).
 Síndrome de Maffucci - combinación de varios encondromas
(tumores benignos de cartílago que suelen afectar a las manos),
tumores y angiomas (tumores benignos compuestos por vasos
sanguíneos).
CONTENIDO.
Condrosarcoma
Desdiferenciado.
Condrosarcoma de
Células Claras.
Condrosarcoma
Mesenquimatoso.
Condrosarcoma
Yuxtacortical.
Condrosarcoma Desdiferenciado.
Variante de
Condrosarcoma que
contiene dos
componentes
claramente definidos:
Condrosarcoma de bajo
grado ó Condroma.
Sarcoma de alto grado
no cartilaginoso.
HISTOLOGÍA.
cartílago hialino
atípico en el 90%.
nidos de células
de hábito
fusiforme.
Estrías
citoplasmáticas ó
de aspecto
rabdoide con alto
índice mitótico .
Ocasionales
fenómenos de
necrosis.
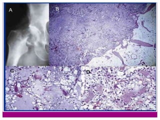
Condrosarcoma desdiferenciado.
 A) Rx simple localizada del fémur: Se observa
fractura patológica sobre una lesión lítica
con permeación de la cortical y con
calcificaciones grumosas de tipo
condral.
 B) Pieza quirúrgica de condrosarcoma
desdiferenciado de costilla. Junto a áreas en
que el tumor presenta el característico
aspecto hialino, de un condrosarcoma
bien diferenciado, se observan zonas
de color pardo o amarillento
correspondientes a las áreas del componente
desdiferenciado.
 C) Visión microscópica panorámica que
muestra ambos componentes de
condrosarcoma: Bien diferenciado, en la
parte superior de la imagen, y del
componente desdiferenciado en la inferior.
Obsérvese la transición brusca entre ambos
componentes (x10, HE).
 D) Detalle del componente desdiferenciado
que presenta gran atipia celular y mitosis
atípicas (x100, HE).
SEXO, EDAD Y LOCALIZACIÓN.
HISTORIA NATURAL.
Rápido y
destructivo
Crecimiento
con alto
Riesgo de
metástasis
pulmonares
tempranas.
Pobres tasas
de
supervivencia.
CUADRO CLÍNICO.
Dolor e
inflamación
rápida.
Parestesias.
Fractura
patológica.
IMAGENOLOGÍA.
 Composición bifásica de
 la lesión.
 Grado variable de Mineralización.
 Destrucción ósea en sacabocados.
 Patrón permeativo.
 Masa de tejidos blandos.
MACROSCOPÍA.
 Encondroma Calcificado.
 Condrosarcoma bien diferenciado.
 Tumor indiferenciado.
TX:
 Resección radical:
 Resección amplia.
 Amputación.
 La recurrencia es frecuente después de
procedimientos amplios
 Inevitable con procedimientos marginales
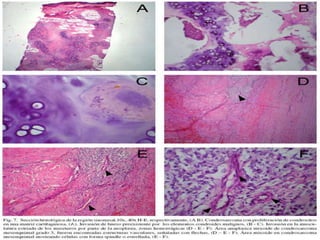
Condrosarcoma de bajo grado, que se
caracteriza por células blandas, de
citoplasma claro, junto a cartilago hialino.
SEXO, EDAD Y LOCALIZACIÓN.
HISTORIA NATURAL.
Condrosarcoma de Células Claras
 Lesiones líticas
expansivas
 Márgenes de la lesión
finamente limitados
 Borde esclerótico
 Ocasionalmente
calcificaciones
Condrosarcoma Mesenquimatoso.
Condrosarcoma Mesenquimatoso
 Lesiones líticas
 Límites mal definidos
 Calcificaciones
excéntricas en forma
de salpicaduras
Condrosarcoma Yuxtacortical.
Condrosarcoma Yuxtacortical.
 Ligero aumento de densidad de tejidos blandos
 Calcificaciones
• Tomografía
computarizada
• Imagen de
resonancia
magnética
CONDROSARCOMA DX DIFERENCIAL.
ENCONDROMA. OSTEONECROSIS. CONDROBLASTOMA.
TUMOR DE CELULAS
GIGANTES.
FIBROSARCOMA.
TUMORES OSEOS IV
QUIRURGICO
 EXÉRESIS COMPLETA (AMPUTACIÓN)
 TECNICAS CONSERVADORAS DE LAS EXTREMIDADES
RADIOTERAPIA
 RAYOS X DE ALTA ENERGÍA USADOS PARA UBICAR Y
ELIMINAR CÉLULAS CANCEROSAS.
FISIOTERAPIA
 SE PUEDE USAR TERAPIA FÍSICA PARA AYUDAR A QUE
EL ÁREA AFECTADA SANE DESPUÉS DE LA CIRUGÍA.
 35% POSIBILIDADES DE CURARSE DE UN
CONDROSARCOMA DE ALTO GRADO DE
MALIGNIDAD
 80% SI ES DE BAJO GRADO DE MALIGNIDAD
PRÓNOSTICO.
El pronóstico es
variable y depende
de la agresividad
biológica del tumor.
El tratamiento debe
basarse en un
diagnóstico precoz y
exacto, con una
biopsia generosa,
correctamente
planeada y
ejecutada.
Determinación
precisa de la
localización del
tumor y su resección
completa con
márgenes amplios
con un manguito de
tejido normal.
La quimioterapia y la
radioterapia no son
muy eficaces en
estos tumores.
CONCLUSIONES.
El condrosarcoma es un tumor mesenquimal maligno que produce la matriz
cartilaginosa.
Hay varios subtipos de condrosarcoma, que varían en cuanto a su ubicación,
la apariencia, el tratamiento y pronóstico.
Este tumor es más común en personas mayores de 60.
Este tumor se presenta con dolor e inflamación en un hueso.
En las radiografías simples, el condrosarcoma es un fusiforme, defecto
radiotransparente con festoneado de la corteza interna y reacción perióstica.
Extensión en el tejido blando puede estar presente.
La remoción quirúrgica completa con un amplio margen es la piedra angular
del tratamiento
Bibliografía
JORGE E. VALLS. ORTOPEDIA Y
TRAUMATOLOGIA. Tercera Edicion. 1980 . Buenos
Aires. EDITORIAL EL ATENEO
J. N. ASTON. ORTOPEDIA Y TRAUMATOLOGIA.
1979. SALVAT MEXICANA DE EDICIONES.
BARCELONA
American Academy of Orthopaedic Surgeons:
Actualizaciones en Cirugia Ortopédica y Traumatología.
Volumen 4. Garsi. Madrid 1993.
 American Academy of Orthopaedic Surgeons:
Actualizaciones en Cirugia Ortopédica y Traumatología.
Volumen 5. Masson. Barcelona 1997.
 American Academy of Orthopaedic Surgeons:
Actualizaciones en Cirugia Ortopédica y Traumatología.
Volumen 5. Masson. Barcelona 1997.
Baron, M. G.; de la Gandara, I.; Espinosa, E.; de
Paredes, M.L. G.;Zamora, P.; and Mondejar, J. L.: Bone
metastases as the first manifestationof a tumour.
Internat. Orthop., 15: 373-376, 1991.

Condrosarcoma

  • 1.
    V I CT O R I A M O R G A D O H E R N Á N D E Z . CONDROSARCOMA.
  • 3.
    Tumor maligno, células productoras cartílago,mas no tejido oseo Crecimiento relativamente lento Aparición súbita o resultado de transformación maligna de una lesión preexistente ≠ Condroma: Tejido tumoral más celular y pleomorfo # considerable de células voluminosas c/ núcleos gdes o dobles Neoplasia con diferenciación del cartílago hialino puro
  • 4.
    CONDROSARCOMA. Grupo de tumores queabarcan una amplia gama de hallazgos clínicos y patológicos. Producción de cartílago neoplasico. Clasificación según su localización central y histología.
  • 5.
    El condrosarcoma esun cáncer maligno de hueso que afecta principalmente a las células de cartílago del: fémur (hueso del muslo) el brazo. la pelvis. la rodilla. la columna vertebral. Aunque con menor frecuencia, también puede afectar a otras áreas, como las costillas. CONDROSARCOMA.
  • 6.
  • 7.
  • 8.
    Condrosarcoma Primario Secundario Lesión cartilaginosabenigna preexistente Enfermedad de Ollier Síndrome de MaffucciCondromatosis sinovial Fibroma condromixoide Condroma periostial Condroblastoma Radiaciones Displasia fibrosa Encondroma Osteocondroma
  • 9.
    EPIDEMIOLOGÍA Grupos edad: Adultos mayores >30a 2°  Tumores óseos primarios malignos 4° Todos los sarcomas primarios Genero: ♂ 2:1 ♀ Localización: Cintura escapular y pélvica, huesos largos proximales
  • 10.
    EPIDEMIOLOGÍA. Condrosarcoma de esqueleto mitadde frecuente comparado con osteosarcoma. Célula clara y mesenquimatosa px jovenes (>20-<30). 15% se originan sobre un encondroma u osteocondroma previo.
  • 11.
  • 12.
    Primarios central o convencional Yuxtacortical Mesenquimal Desdiferenciado Célulasclaras Acral Craneofacial Juevenil- Infantil Laringeo Mixoide Secundarios Central secundario Central periférico Sinovial
  • 13.
    ESTADIAJE. El tumor puedeinvadir los vasos sanguíneos y producir tapones de tumor intravascular largos que pueden extenderse al corazón y las arterias pulmonares. El tumor tiende a destruir el hueso y extenderse en los tejidos blandos. Son lentos para metastatizar y pueden crecer hasta inmensas proporciones. Lo más frecuente es que se presente como una lesión de bajo grado intracompartimental.
  • 14.
  • 15.
    El condrosarcoma esun tumor maligno de células productoras de cartílago. El grado histológico del tumor. Es un factor predictivo importante en el comportamiento del tumor. Es difícil diferenciar, en ocasiones , tumores de alto y bajo grado, incluso con muestras abundantes.
  • 16.
  • 17.
    FACTORES DE RIESGO. Encondromas - tipo de tumor óseo benigno que se origina en el cartílago y que suele afectar a las manos (aunque también puede afectar a otras áreas).  Osteocondromas - crecimiento anormal de cartílago y hueso cerca del extremo del hueso en las proximidades de la placa de crecimiento.  Exostosis múltiples - la presencia de varios osteocondromas (crecimiento anormal de cartílago y hueso cerca del extremo de la placa de crecimiento).  La enfermedad de Ollier - grupo de encondromas (tumor benigno del cartílago que suele afectar a las manos).  Síndrome de Maffucci - combinación de varios encondromas (tumores benignos de cartílago que suelen afectar a las manos), tumores y angiomas (tumores benignos compuestos por vasos sanguíneos).
  • 18.
  • 19.
    Condrosarcoma Desdiferenciado. Variante de Condrosarcomaque contiene dos componentes claramente definidos: Condrosarcoma de bajo grado ó Condroma. Sarcoma de alto grado no cartilaginoso.
  • 20.
    HISTOLOGÍA. cartílago hialino atípico enel 90%. nidos de células de hábito fusiforme. Estrías citoplasmáticas ó de aspecto rabdoide con alto índice mitótico . Ocasionales fenómenos de necrosis.
  • 21.
    Condrosarcoma desdiferenciado.  A)Rx simple localizada del fémur: Se observa fractura patológica sobre una lesión lítica con permeación de la cortical y con calcificaciones grumosas de tipo condral.  B) Pieza quirúrgica de condrosarcoma desdiferenciado de costilla. Junto a áreas en que el tumor presenta el característico aspecto hialino, de un condrosarcoma bien diferenciado, se observan zonas de color pardo o amarillento correspondientes a las áreas del componente desdiferenciado.  C) Visión microscópica panorámica que muestra ambos componentes de condrosarcoma: Bien diferenciado, en la parte superior de la imagen, y del componente desdiferenciado en la inferior. Obsérvese la transición brusca entre ambos componentes (x10, HE).  D) Detalle del componente desdiferenciado que presenta gran atipia celular y mitosis atípicas (x100, HE).
  • 22.
    SEXO, EDAD YLOCALIZACIÓN.
  • 23.
    HISTORIA NATURAL. Rápido y destructivo Crecimiento conalto Riesgo de metástasis pulmonares tempranas. Pobres tasas de supervivencia.
  • 24.
  • 25.
    IMAGENOLOGÍA.  Composición bifásicade  la lesión.  Grado variable de Mineralización.  Destrucción ósea en sacabocados.  Patrón permeativo.  Masa de tejidos blandos.
  • 26.
    MACROSCOPÍA.  Encondroma Calcificado. Condrosarcoma bien diferenciado.  Tumor indiferenciado.
  • 27.
    TX:  Resección radical: Resección amplia.  Amputación.  La recurrencia es frecuente después de procedimientos amplios  Inevitable con procedimientos marginales
  • 28.
    Condrosarcoma de bajogrado, que se caracteriza por células blandas, de citoplasma claro, junto a cartilago hialino.
  • 30.
    SEXO, EDAD YLOCALIZACIÓN.
  • 31.
  • 34.
    Condrosarcoma de CélulasClaras  Lesiones líticas expansivas  Márgenes de la lesión finamente limitados  Borde esclerótico  Ocasionalmente calcificaciones
  • 38.
  • 43.
    Condrosarcoma Mesenquimatoso  Lesioneslíticas  Límites mal definidos  Calcificaciones excéntricas en forma de salpicaduras
  • 47.
  • 48.
    Condrosarcoma Yuxtacortical.  Ligeroaumento de densidad de tejidos blandos  Calcificaciones
  • 49.
  • 50.
    CONDROSARCOMA DX DIFERENCIAL. ENCONDROMA.OSTEONECROSIS. CONDROBLASTOMA. TUMOR DE CELULAS GIGANTES. FIBROSARCOMA. TUMORES OSEOS IV
  • 51.
    QUIRURGICO  EXÉRESIS COMPLETA(AMPUTACIÓN)  TECNICAS CONSERVADORAS DE LAS EXTREMIDADES RADIOTERAPIA  RAYOS X DE ALTA ENERGÍA USADOS PARA UBICAR Y ELIMINAR CÉLULAS CANCEROSAS. FISIOTERAPIA  SE PUEDE USAR TERAPIA FÍSICA PARA AYUDAR A QUE EL ÁREA AFECTADA SANE DESPUÉS DE LA CIRUGÍA.
  • 52.
     35% POSIBILIDADESDE CURARSE DE UN CONDROSARCOMA DE ALTO GRADO DE MALIGNIDAD  80% SI ES DE BAJO GRADO DE MALIGNIDAD
  • 53.
    PRÓNOSTICO. El pronóstico es variabley depende de la agresividad biológica del tumor. El tratamiento debe basarse en un diagnóstico precoz y exacto, con una biopsia generosa, correctamente planeada y ejecutada. Determinación precisa de la localización del tumor y su resección completa con márgenes amplios con un manguito de tejido normal. La quimioterapia y la radioterapia no son muy eficaces en estos tumores.
  • 54.
    CONCLUSIONES. El condrosarcoma esun tumor mesenquimal maligno que produce la matriz cartilaginosa. Hay varios subtipos de condrosarcoma, que varían en cuanto a su ubicación, la apariencia, el tratamiento y pronóstico. Este tumor es más común en personas mayores de 60. Este tumor se presenta con dolor e inflamación en un hueso. En las radiografías simples, el condrosarcoma es un fusiforme, defecto radiotransparente con festoneado de la corteza interna y reacción perióstica. Extensión en el tejido blando puede estar presente. La remoción quirúrgica completa con un amplio margen es la piedra angular del tratamiento
  • 55.
    Bibliografía JORGE E. VALLS.ORTOPEDIA Y TRAUMATOLOGIA. Tercera Edicion. 1980 . Buenos Aires. EDITORIAL EL ATENEO J. N. ASTON. ORTOPEDIA Y TRAUMATOLOGIA. 1979. SALVAT MEXICANA DE EDICIONES. BARCELONA American Academy of Orthopaedic Surgeons: Actualizaciones en Cirugia Ortopédica y Traumatología. Volumen 4. Garsi. Madrid 1993.  American Academy of Orthopaedic Surgeons: Actualizaciones en Cirugia Ortopédica y Traumatología. Volumen 5. Masson. Barcelona 1997.  American Academy of Orthopaedic Surgeons: Actualizaciones en Cirugia Ortopédica y Traumatología. Volumen 5. Masson. Barcelona 1997. Baron, M. G.; de la Gandara, I.; Espinosa, E.; de Paredes, M.L. G.;Zamora, P.; and Mondejar, J. L.: Bone metastases as the first manifestationof a tumour. Internat. Orthop., 15: 373-376, 1991.