ARTURO GODOY CÁCERES
MERY VALDERRAMA MOLINA
La articulación del codo:

1.- Es sinovial de tipo bisagra

2.- Se sitúa 2 a 3 cm debajo de los
epicóndilos del húmero.



           COMPONENTES

• Tróclea
• Cóndilo esférico del húmero
• Escotadura troclear del cúbito
• Cara superior de la cabeza del
radio.
CÁSULA FIBROSA

•Rodea la articulación

•Se inserta en el húmero, en los
bordes lateral y medial de los
cóndilos y en la tróclea.

• La membrana sinovial reviste la
cápsula y las porciones inter-
capsulares del húmero.

• Se continúa con la membrana de la
articulación radio- cubital superior.
LIGAMENTOS DEL CODO

                                        Los ligamentos Colaterales son bandas
                                        triangulares que resultan del engrosamiento
                                        medial y lateral de la cápsula fibrosa.




Ligamento Colateral Cubital:
Ligamento colateral radial:
• Medial, triangular radio:
            Anular del
• Rodea y sujeta la forma del radio en
•Está por lateral encabeza de abanico. la del
  Se extiende desde el epicóndilo medial
• Se extiende desde el epicóndilo lateral del
escotadura radialapófisis coronoides y el
húmero hasta la del Cúbito.
• Articulación radio-cubital proximal
húmero y se mezcla distalmente con el
olécranon.
Pronación y supinación del antebrazo.
ligamento anular delAnterior, Posterior y
• Tiene 3 fascículos: radio.
oblicuo.
MOVIMIENTOS DEL CODO
MÚSCULOS DE
                                  EXTENSIÓN

                            •Tríceps braquial
                            •Ancóneo




                                                Se inserta proximalmente en el
Las 3 cabezas del tríceps braquial se           epicóndilo lateral del húmero y
insertan en el Olécranon.                       caudalmente en la cara posterior
                                                del cúbito y en el olécranon.
MÚSCULOS DE
                                    FLEXIÓN

                              • Braquial
                              • Bíceps braquial
                              • Braquiorradial


                                                                Está adherido a la base
                                                                de la apófisis estiloides
                                                                del radio.

Se inserta en la base de la
apófisis coronoides del
cúbito.                                           Se inserta en la
                                                  tuberosidad
                                                  bicipital del radio.
Proviene de las anastomosis que rodean la
                    articulación.


                                   Arteria Braquial




Arteria Radial
                               Arteria Cubital
Nervio Cutáneo Medial
                             del Antebrazo
        Vena
       Cefálica
                                 Vena
                                Basílica
Nervio Cutáneo Lateral
    del Antebrazo
                                Vena
                            Mediana cubital
        Vena
 Mediana antebraquial
                                Vena
                              Perforante
         Vena
        Cefálica
CORTES AXIALES
Vena Cefálica




                             M. Braquiorradial




M. Ancóneo




                                   M. Braquial




                                M. Pronador
                                 Redondo
Músculo
                   Bíceps Braquial




   Tendón del
Tríceps Braquial
M. Braquiorradial




                        Músculo
                     Bíceps Braquial

  M. Tríceps



    Fosa
Olecraneana
CORTES CORONALES
Tendón del
             Tríceps
            braquial




            Olécranon




            Músculo
Músculo      Flexor
Ancóneo   profundo de
           los dedos
M. Tríceps
 Braquial



M. Extensor cubital
     del carpo


                      Epicóndilo
                       Medial
 Epicóndilo
  Lateral



                        M. Flexor
                      superficial de
                        los dedos
 Cúbito


M. Supinador
                       M. Flexor
                      profundo de
                       los dedos
M. Extensor de los
      dedos
Músculo
   Músculo
                 Pronador
  extensor
                 Redondo
radial largo y
 radial corto
  del carpo


                 Húmero



Cabeza del
  Radio
                  Cúbito

 Músculo
                   Músculo
Supinador
                    flexor
                  superficial
                    de los
                    dedos
CORTES SAGITALES
Músculo
  Tríceps
  (Cabeza
  Lateral)




   Músculo
  extensor
radial largo y
 radial corto          VENA
  del carpo           CEFÁLICA




 Cabeza del            Músculo
   Radio            Braquiorradial



Músculo extensor
cubital del radio



    Músculo
   Supinador
Músculo Tríceps              Músculo Bíceps
   Braquial                    Braquial




  Músculo extensor
largo radial del carpo




                             VENA
    Capitellum              CEFÁLICA


                              Músculo
 Cabeza del Radio          Braquiorradial




Músculo Ancóneo          Músculo Supinador




Músculo Supinador
Músculo Tríceps
  Braquial
                    Músculo Bíceps
                      Braquial
   Tendón del
Tríceps Braquial


                      Húmero


 Olécranon

                   Músculo Braquial



                    VENA CUBITAL
                      MEDIANA


                   ARTERIA Y VENA
                      CUBITAL




                   Músculo Pronador
                      Redondo
Tendón distal del Bíceps   Arteria Braquial




Cartílago
Articular




              Músculo Braquial               Nervio Mediano
Receso Articular anterior
                                          Cartílago Articular




                                                                Músculo
                                                                Braquial

Tróclea
Humeral




                       Fosa Olecraneana
Tendón distal del Bíceps




Inserción del
Tendón distal                Músculo
  del Bíceps                Supinador




                            Cabeza del
                              Radio
Tendón extensor común




                                                   Receso
                                                   Sinovial
                                                   Lateral


Epicóndilo
 Lateral




                                     Cabeza del Radio
Músculo
                               Tríceps
Olécranon




            Fosa Olecraneana
Nervio Cubital




                                  Nervio
                                  Cubital




Tendón flexor común
                      Olécranon
Tendón Flexor Común

                                          Origen del tendón
                                            flexor Común




    MÚSCULOS
    FLEXORES

•Pronador redondo
•Palmar mayor
•Flexor común
superficial de los
dedos
•Cubital anterior

                        Ligamento lateral interno
La articulación del la muñeca:

1.- Es de tipo sinovial condílea

2.- Se sitúa en el extremo distal del
radio y cubito, formando la
articulación radio-carpiana o también
radio – cubito – carpiana.


           COMPONENTES

1.- Extremo distal del radio y el
disco articular de la articulación
radio-cubital.

2.- Hilera proximal de los huesos del
carpo (excepto el pisiforme).
CÁPSULA FIBROSA

i.    Rodea a la articulación desde los
      extremos distales del radio y el
      cubito hasta la hilera proximal .

ii.   La membrana sinovial reviste a
      la capsula y se inserta en los
      márgenes articulares con la
      presencia de muchos pliegues
      sinoviales
Visión palmar

 LIGAMENTOS DE LA MUÑECA
La capsula fibrosa se encuentra
reforzada por:

I.   Ligamentos radio-carpianos
     palmares.
II. Ligamentos radio-carpianos
     dorsales.
III. Ligamento colateral del
     cúbito.
IV. Ligamento colateral del
     radio.
Visión dorsal




I.   Ligamento cubito carpiano
     dorsal.
II. Ligamento radio carpiano
     dorsal.
III. Ligamento colateral cubital.
IV. Ligamento colateral radial.
MOVIMIENTOS DE LA MUÑECA




I.   A – A´: Eje transversal.
     Movimientos: Extensión y
     flexión en un plano sagital.

I.   B – B´: Eje antero posterior.
     Movimientos: Abducción,
     aducción , desviación radial
     y desviación cubital en un
     plano coronal
EXTENSOR RADIAL
                                                EXTENSOR COMUN DE
CUBITAL POSTERIOR       CORTO DEL CARPO         LOS DEDOS
Origen: Epicóndilo,     Origen: Epicóndilo.     Origen: Epicóndilo
borde posterior del     Inserción: Cara         humeral.
cúbito.                                         Inserción: 3° falange de los
                        posterior del 3° MTC.   4 últimos dedos.
Inserción: Cara
posterior del 5° MTC.
PALMAR MAYOR          PALMAR MENOR                                      CUBITAL ANTERIOR
                                            FLEXOR LARGO
Origen: Epitróclea.   Origen: Epitróclea.                               Origen: Epitróclea.
                                            PROFUNDO COMÚN
Inserción: Base del   Inserción:                                        Inserción: Hueso
                                            DE LOS DEDOS                piramidal, pisiforme
2° MTC.               Aponeurosis
                                            Origen: Tercio superior     ganchoso y 5° MTC.
                      superficial de la
                                            anterior del cúbito.
                      muñeca
                                            Inserción: Cara palmar
                                            de las falanges distales.
Dada principalmente por las arterias cubital, radial y
                     palmar

   Arteria Radial
                                        Arteria Cubital




                                Arco palmar superficial
Vena       Vena
Cefálica   Basílica
CORTES AXIALES
Flexor Cubital del Carpo




                                    RADIO




CÚBITO
H. TRAPEZOIDE        H. GRANDE




                                                         H.GANCHOSO

A.
INTERCARPIANAS

                                                         CANAL DEL
                                                         CARPO




  H. TRAPECIO


                      NERVIO                RETINÁCULO
                      MEDIANO
CORTES SAGITALES
GRANDE




SEMILUNAR




 RADIO
5to MTC




            GANCHOSO




             PIRAMIDAL
PISIFORME




            cúbito
CORTES CORONALES
GRANDE
                                  TRAPECIO
 GANCHOSO
                                  TRAPEZOIDE
 PIRAMIDAL                        ESCAFOIDES

A.                                SEMILUNAR
RADIOCARPIANA


   CÚBITO                            RADIO




                A. RADIOCUBITAL
Art. Radio-Carpiana


Art. Radio-Cubital distal




    Articulaciones
    intercarpianas




    Articulaciones
 Carpo-metacarpianas
M. Flexor superficial de
                           M. Flexor largo del pulgar
       los dedos
M. Pronador Cuadrado   Tendones flexores
NERVIO
 MEDIANO




TENDONES
FLEXORES
MUSCULO CUBITAL   COMPLEJO
        POSTERIOR         FIBROTRIANGULAR




PIRAMIDAL                              CÚBITO
CÁPSULA
                         M. ADUCTOR CORTO
                         DEL PULGAR




BASE DEL 1°
METACARPIANO
                                  TRAPECIO
3° TENDÓN
                        EXTENSOR




2° TENDÓN
EXTENSOR    TUBÉRCULO
            DE LISTER
TENDONES RADIALES EXTENSORES
CORTO Y LARGO 2° COMP.
                               CORTE AXIAL
Rnm codo y muñeca

Rnm codo y muñeca

  • 1.
    ARTURO GODOY CÁCERES MERYVALDERRAMA MOLINA
  • 3.
    La articulación delcodo: 1.- Es sinovial de tipo bisagra 2.- Se sitúa 2 a 3 cm debajo de los epicóndilos del húmero. COMPONENTES • Tróclea • Cóndilo esférico del húmero • Escotadura troclear del cúbito • Cara superior de la cabeza del radio.
  • 5.
    CÁSULA FIBROSA •Rodea laarticulación •Se inserta en el húmero, en los bordes lateral y medial de los cóndilos y en la tróclea. • La membrana sinovial reviste la cápsula y las porciones inter- capsulares del húmero. • Se continúa con la membrana de la articulación radio- cubital superior.
  • 6.
    LIGAMENTOS DEL CODO Los ligamentos Colaterales son bandas triangulares que resultan del engrosamiento medial y lateral de la cápsula fibrosa. Ligamento Colateral Cubital: Ligamento colateral radial: • Medial, triangular radio: Anular del • Rodea y sujeta la forma del radio en •Está por lateral encabeza de abanico. la del Se extiende desde el epicóndilo medial • Se extiende desde el epicóndilo lateral del escotadura radialapófisis coronoides y el húmero hasta la del Cúbito. • Articulación radio-cubital proximal húmero y se mezcla distalmente con el olécranon. Pronación y supinación del antebrazo. ligamento anular delAnterior, Posterior y • Tiene 3 fascículos: radio. oblicuo.
  • 7.
  • 8.
    MÚSCULOS DE EXTENSIÓN •Tríceps braquial •Ancóneo Se inserta proximalmente en el Las 3 cabezas del tríceps braquial se epicóndilo lateral del húmero y insertan en el Olécranon. caudalmente en la cara posterior del cúbito y en el olécranon.
  • 9.
    MÚSCULOS DE FLEXIÓN • Braquial • Bíceps braquial • Braquiorradial Está adherido a la base de la apófisis estiloides del radio. Se inserta en la base de la apófisis coronoides del cúbito. Se inserta en la tuberosidad bicipital del radio.
  • 10.
    Proviene de lasanastomosis que rodean la articulación. Arteria Braquial Arteria Radial Arteria Cubital
  • 11.
    Nervio Cutáneo Medial del Antebrazo Vena Cefálica Vena Basílica Nervio Cutáneo Lateral del Antebrazo Vena Mediana cubital Vena Mediana antebraquial Vena Perforante Vena Cefálica
  • 12.
  • 13.
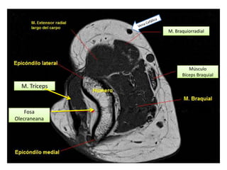
    Vena Cefálica M. Braquiorradial M. Ancóneo M. Braquial M. Pronador Redondo
  • 14.
    Músculo Bíceps Braquial Tendón del Tríceps Braquial
  • 15.
    M. Braquiorradial Músculo Bíceps Braquial M. Tríceps Fosa Olecraneana
  • 16.
  • 17.
    Tendón del Tríceps braquial Olécranon Músculo Músculo Flexor Ancóneo profundo de los dedos
  • 18.
    M. Tríceps Braquial M.Extensor cubital del carpo Epicóndilo Medial Epicóndilo Lateral M. Flexor superficial de los dedos Cúbito M. Supinador M. Flexor profundo de los dedos M. Extensor de los dedos
  • 19.
    Músculo Músculo Pronador extensor Redondo radial largo y radial corto del carpo Húmero Cabeza del Radio Cúbito Músculo Músculo Supinador flexor superficial de los dedos
  • 20.
  • 21.
    Músculo Tríceps (Cabeza Lateral) Músculo extensor radial largo y radial corto VENA del carpo CEFÁLICA Cabeza del Músculo Radio Braquiorradial Músculo extensor cubital del radio Músculo Supinador
  • 22.
    Músculo Tríceps Músculo Bíceps Braquial Braquial Músculo extensor largo radial del carpo VENA Capitellum CEFÁLICA Músculo Cabeza del Radio Braquiorradial Músculo Ancóneo Músculo Supinador Músculo Supinador
  • 23.
    Músculo Tríceps Braquial Músculo Bíceps Braquial Tendón del Tríceps Braquial Húmero Olécranon Músculo Braquial VENA CUBITAL MEDIANA ARTERIA Y VENA CUBITAL Músculo Pronador Redondo
  • 25.
    Tendón distal delBíceps Arteria Braquial Cartílago Articular Músculo Braquial Nervio Mediano
  • 26.
    Receso Articular anterior Cartílago Articular Músculo Braquial Tróclea Humeral Fosa Olecraneana
  • 27.
    Tendón distal delBíceps Inserción del Tendón distal Músculo del Bíceps Supinador Cabeza del Radio
  • 28.
    Tendón extensor común Receso Sinovial Lateral Epicóndilo Lateral Cabeza del Radio
  • 29.
    Músculo Tríceps Olécranon Fosa Olecraneana
  • 30.
    Nervio Cubital Nervio Cubital Tendón flexor común Olécranon
  • 31.
    Tendón Flexor Común Origen del tendón flexor Común MÚSCULOS FLEXORES •Pronador redondo •Palmar mayor •Flexor común superficial de los dedos •Cubital anterior Ligamento lateral interno
  • 33.
    La articulación della muñeca: 1.- Es de tipo sinovial condílea 2.- Se sitúa en el extremo distal del radio y cubito, formando la articulación radio-carpiana o también radio – cubito – carpiana. COMPONENTES 1.- Extremo distal del radio y el disco articular de la articulación radio-cubital. 2.- Hilera proximal de los huesos del carpo (excepto el pisiforme).
  • 35.
    CÁPSULA FIBROSA i. Rodea a la articulación desde los extremos distales del radio y el cubito hasta la hilera proximal . ii. La membrana sinovial reviste a la capsula y se inserta en los márgenes articulares con la presencia de muchos pliegues sinoviales
  • 36.
    Visión palmar LIGAMENTOSDE LA MUÑECA La capsula fibrosa se encuentra reforzada por: I. Ligamentos radio-carpianos palmares. II. Ligamentos radio-carpianos dorsales. III. Ligamento colateral del cúbito. IV. Ligamento colateral del radio.
  • 37.
    Visión dorsal I. Ligamento cubito carpiano dorsal. II. Ligamento radio carpiano dorsal. III. Ligamento colateral cubital. IV. Ligamento colateral radial.
  • 38.
    MOVIMIENTOS DE LAMUÑECA I. A – A´: Eje transversal. Movimientos: Extensión y flexión en un plano sagital. I. B – B´: Eje antero posterior. Movimientos: Abducción, aducción , desviación radial y desviación cubital en un plano coronal
  • 39.
    EXTENSOR RADIAL EXTENSOR COMUN DE CUBITAL POSTERIOR CORTO DEL CARPO LOS DEDOS Origen: Epicóndilo, Origen: Epicóndilo. Origen: Epicóndilo borde posterior del Inserción: Cara humeral. cúbito. Inserción: 3° falange de los posterior del 3° MTC. 4 últimos dedos. Inserción: Cara posterior del 5° MTC.
  • 40.
    PALMAR MAYOR PALMAR MENOR CUBITAL ANTERIOR FLEXOR LARGO Origen: Epitróclea. Origen: Epitróclea. Origen: Epitróclea. PROFUNDO COMÚN Inserción: Base del Inserción: Inserción: Hueso DE LOS DEDOS piramidal, pisiforme 2° MTC. Aponeurosis Origen: Tercio superior ganchoso y 5° MTC. superficial de la anterior del cúbito. muñeca Inserción: Cara palmar de las falanges distales.
  • 41.
    Dada principalmente porlas arterias cubital, radial y palmar Arteria Radial Arteria Cubital Arco palmar superficial
  • 42.
    Vena Vena Cefálica Basílica
  • 43.
  • 44.
    Flexor Cubital delCarpo RADIO CÚBITO
  • 45.
    H. TRAPEZOIDE H. GRANDE H.GANCHOSO A. INTERCARPIANAS CANAL DEL CARPO H. TRAPECIO NERVIO RETINÁCULO MEDIANO
  • 46.
  • 47.
  • 48.
    5to MTC GANCHOSO PIRAMIDAL PISIFORME cúbito
  • 49.
  • 50.
    GRANDE TRAPECIO GANCHOSO TRAPEZOIDE PIRAMIDAL ESCAFOIDES A. SEMILUNAR RADIOCARPIANA CÚBITO RADIO A. RADIOCUBITAL
  • 51.
    Art. Radio-Carpiana Art. Radio-Cubitaldistal Articulaciones intercarpianas Articulaciones Carpo-metacarpianas
  • 53.
    M. Flexor superficialde M. Flexor largo del pulgar los dedos
  • 54.
    M. Pronador Cuadrado Tendones flexores
  • 55.
  • 56.
    MUSCULO CUBITAL COMPLEJO POSTERIOR FIBROTRIANGULAR PIRAMIDAL CÚBITO
  • 57.
    CÁPSULA M. ADUCTOR CORTO DEL PULGAR BASE DEL 1° METACARPIANO TRAPECIO
  • 58.
    3° TENDÓN EXTENSOR 2° TENDÓN EXTENSOR TUBÉRCULO DE LISTER
  • 59.
    TENDONES RADIALES EXTENSORES CORTOY LARGO 2° COMP. CORTE AXIAL