SÍNDROME NEFRÍTICO
• MORALES TATIANA
• WASHINGTON PALACIOS
• HERNÁN PANAMÁ
• JACQUELINE PILCO
• MARÍA DOLORES RODRÍGUEZ
• ROMERO PAOLA
• NATHALY VINUEZA
Síndrome Nefrítico
Conjunto de signos y síntomas que se caracterizan por inflamación de
los glomérulos renales con el consecuente deterioro de su función
• Presenta la triada hipertensión,
hematuria y edemas.
• Además de oliguria proteinuria
acompañado de deterioro de la
función renal
ETIOLOGIA
Lesión glomerular debido
a una enfermedad renal
primaria
Secundaria a
procesos infecciosos
afectación renal
asociada a una
enfermedad sistémica
La incidencia de GNAPE en los países económicamente desarrollados se limita
con infecciones faringo amigdalares, con predominio estacional en los meses
fríos.
Su frecuencia ha ido disminuyendo en las 2 últimas décadas.
Las infecciones cutáneas predominan en los países menos desarrollados, y son
más frecuentes en verano.
La probabilidad de afectación renal tras una infección por estreptococo
betahemolítico nefrógeno se calcula en el 15%
El mas común estreptococo es el grupo 12
En el caso de GNAPE tras una infección cutánea, predomina el grupo
49
Es una enfermedad propia de la edad infantojuvenil
se presenta con más frecuencia entre los 2 y los 12 años.
Sólo el 5% de los casos tiene menos de 2 años y el 10% tiene más de 40
años.
Es 2 veces más frecuente en los varones
Patogenia
Formación de
inmunocomplejos
Antígenos
estreptocócicos
se plantan en el
glomérulo
Proteína M
Endostreptomicina
Eritrotóxina y su
precursor cimógeno
Los
inmunocomplejo
s in situ alteran
la membrana
basal
El grado de oclusión
capilar se correlaciona
con el descenso de la
tasa de filtración
glomerular
La
inmunofluorescencia
permite realizar
diagnostico diferencial
con la nefropatía IgA
En la microscopia
electrónica se
observa la presencia
de humps
Afectación
tubulointersticial
FISIOPATOLOGÍA
El intervalo entre la infección y la nefritis es de dos a tres semanas en
los casos que siguen a una faringoamigdalitis y de un mes en los casos
de una piodermitis.
 Hematuria
 Hipertensión arterial
 Edema
 Deterioro de la función renal.
Hematuria macro o
microscópica.
30% macroscópica
70% microscópica
Pueden aparecer cilindros
hemáticos en el sedimento
de orina.
Orina: Oscura, indolora, sin
coágulos
Hipertensión arterial.
Retención hidrosalina,
volumen dependiente
Se acompaña de EFNa <1%
(parece prerrenal, pero no
lo es).
Puede causar encefalopatía
hipertensiva e insuficiencia
cardíaca.
Edema
(80%)
Debido a la
retención
hidrosalina.
Habitual en cara,
párpados y
extremidades
Predominio
matutino.
Es infrecuente el
anasarca.
Genera ingurgitación
yugular y congestión
pulmonar
En ocasiones llega a
edema agudo de
pulmón
Oliguria
(15%)
< 500 ml/día
Gasto urinario < 2
ml/Kg/h
Disminución del flujo
plasmático renal
DIAGNÓSTICO
Laboratorio
Ausencia de
signos de
enfermedad
sistémica
Precedido
de:
• Infección
faringoamigdalar
• Impétigo
estreptocócico
El diagnóstico de la
GNAPE es de
sospecha
clínica ante el
desarrollo de un
síndrome nefrítico
agudo
Erupciones
Púrpura
artralgias
síntomas
gastrointestinales,
neurológicos o
pulmonares
COMPLEMENTO
HEMOGRAMA
MICROBIOLÓGICO
Laboratorio
COMPLEMENTO
AUMENTO DE
IgM - IgG
DISMINUIDO
C3, C1, C5,
properdina
y complemento
hemolítico al 50%
C4: NORMAL
Crioglobulinas séricas
e inmunocomplejos
circulantes
HEMOGRAMA
MICROBIOLÓGICO
Anemia dilucional, aumento
de VSG y de la proteína C
reactiva.
La serología frente a antígenos estreptocócicos:
-Más sensible DNAsa B (infecciones faríngeas y de piel)
que el ASLO, que puede ser FN en infección de piel o
previo tto antibiótico.
ASLO aumentado.
Frotis faríngeo o cultivo de piel será
positivo a SBHGA sólo en el 25%
Laboratorio
• Hematuria
• Hematíes dismórficos
• Cilindros hialinos,
granulosos y
hemáticos.
Orina
• Proteinuria: rango
nefrítico (<40
mg/m2/h)
• Concentraciones de
Na bajas (< 20
mEq/l)
Orina de 24
h
Nefropatía IgA
• Hematuria macroscópica
coincidiendo con un
proceso infeccioso
respiratorio agudo
• Hipertensión arterial y el
edema son poco
frecuentes.
• Las concentraciones de
C3 son normales.
GN membranoproliferativa
• Indistinguible
inicialmente, la nefritis y
el completo bajo persisten
después de 4 a 6 semanas
con probable aumento de
la creatinina
• Uso de corticoides
normalizan el
complemento
GN secundarias a
enfermedades sistémicas:
LES, Púrpura de Shönlein-
Henoch
• Manifestaciones
extrarrenales
• PHS: Complemento
normal
• LES: C3 y C4
disminuidos. ANA:
positivos
TRATAMIENTO
Se debe valorar el
ingreso
hospitalario
HTA
Edema
oliguria
Alteraciones
hidroelectrolíticas
Insuficiencia renal
Tto de síndrome
nefrítico agudo requiere
de un estrecho control
medico
Tratamiento
 Medidas generales
 Reposo
 Control diario de peso
 Control de presión arterial
 Evaluación cardiovascular
 Dieta:
 Hiposódica
 Restricción de líquidos: balance negativo
 Dieta hipoprotéica e hipercalórica
 Si se acompaña de insuficiencia renal y oliguria, se restringirán
los fosfatos y el potasio, junto con una dieta hipoproteica (0,6-1
g/kg/24 h) y normo o hipercalórica
Es importante hacer un
balance hídrico y
dietético diario. Los
controles analíticos se
realizarán según la
evolución clínica.
Medidas farmacológicas
 Antibióticos sólo si existe infección activa
 Penicilina G oral 125 mg c/6 horas por 10 d
 Penicilina benzatínica 600.000-1.200.000 U
 Eritromicina VO 125-250 mg c/6 horas por 10 d
 Diuréticos de ASA:
 Sobrecarga hídrica (edema e HTA)
 Radiológicamente = Signos de insuficiencia cardiaca congestiva
Furosemida 1-2 mg/kg/día VO en sobrecargas leves a moderadas
Casos graves dosis puedes incrementarse hasta 10 mg/kg/día
 Antihipertensivos
 Hidralazina: 0,5 – 2 mg/Kg/días
 Nifedipino: 0,25-2 mg/Kg/día en 2 o 3 dosis
 Manejo en UCI
 Vasodilatadores
Nitruprusiato de sodio en perfusión intravenosa (0,5-8
µg/kg/min o 1-2 mg/kg/dosis/h)
Bloqueadores alfa y beta: labetalol (1,3 mg/kg/h por vía
intravenosa o 4 mg/kg/día en 1 o 2 dosis por vía oral).
 Diálisis peritoneal o hemodiálisis
crisis
hipertensivas,
encefalopatía
hipertensiva o
edema agudo de
pulmón
ICC e hiperpotasemia grave que no
responden al tto conservador
ECA
Medidas farmacológicas
Evolución y pronóstico
• Evolución es favorable
En la mayoría de los
casos.
• La diuresis y los edemas en poco tiempo.
• La HTA y la hematuria microscópica en 1
a 3 semanas (hasta 2 años + ivu)
• Proteinuria de 6 a 8 semanas
• El complemento se normaliza en 8
semas
Se reestablece:
COMPLICACIONES
• FRECUENTE:
• ICC
• OTRAS:
• Encefalopatía
congestiva.
• IRA
RECIDIVAS
• Son raras
• Frente a episodios
repetitivos:
• Enfermedad
crónica subyacente
INDICACIONES PARA UNA BIOPSIA RENAL:
• APP de afección renal.
• Ausencia de antecedente infeccioso.
• Insuficiencia renal progresiva.
• Síndrome nefrótico persistente.
• Niveles de complemento de fase aguda en sangre, bajos.
• Sisgnos de enfermedad sistémica.
• Edad <2años ó > de 12años.
• Hematuria coinsidente con el proceso infeccioso agudo sin
periodo de latencia.
a) Presentación atípica
INDICACIONES PARA UNA BIOPSIA RENAL:
• Hipertensión.
• Oligoanuria y macrohematuria superior a 3 semanas.
• Microhematuria superior a 2 años.
• Complemento disminuido por mas de 110 semanas.
• Proteinuria por mas de 10 semanas ó disminución de la función
renal por mas de 3 meses.
b) Persistencia de síntomas mas allá
de los descritos:
INDICACIONES PARA UNA BIOPSIA RENAL:
• Aumento progresivo de la creatinina.
• Sospecha de glomerulonefritis con semilunas.
• Proteinuria masiva.
c) Duda
diagnostica:
Referencias:
 Maur O. y de la Mata g. Síndrome Nefrítico. Revista de Nefrología,
síndrome nefrótico pag. 223.

Síndrome nefrítico

  • 1.
    SÍNDROME NEFRÍTICO • MORALESTATIANA • WASHINGTON PALACIOS • HERNÁN PANAMÁ • JACQUELINE PILCO • MARÍA DOLORES RODRÍGUEZ • ROMERO PAOLA • NATHALY VINUEZA
  • 2.
    Síndrome Nefrítico Conjunto designos y síntomas que se caracterizan por inflamación de los glomérulos renales con el consecuente deterioro de su función
  • 3.
    • Presenta latriada hipertensión, hematuria y edemas. • Además de oliguria proteinuria acompañado de deterioro de la función renal
  • 4.
    ETIOLOGIA Lesión glomerular debido auna enfermedad renal primaria Secundaria a procesos infecciosos afectación renal asociada a una enfermedad sistémica
  • 8.
    La incidencia deGNAPE en los países económicamente desarrollados se limita con infecciones faringo amigdalares, con predominio estacional en los meses fríos. Su frecuencia ha ido disminuyendo en las 2 últimas décadas. Las infecciones cutáneas predominan en los países menos desarrollados, y son más frecuentes en verano. La probabilidad de afectación renal tras una infección por estreptococo betahemolítico nefrógeno se calcula en el 15%
  • 9.
    El mas comúnestreptococo es el grupo 12 En el caso de GNAPE tras una infección cutánea, predomina el grupo 49 Es una enfermedad propia de la edad infantojuvenil se presenta con más frecuencia entre los 2 y los 12 años. Sólo el 5% de los casos tiene menos de 2 años y el 10% tiene más de 40 años. Es 2 veces más frecuente en los varones
  • 10.
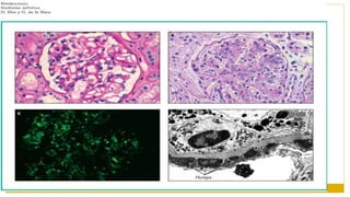
    Patogenia Formación de inmunocomplejos Antígenos estreptocócicos se plantanen el glomérulo Proteína M Endostreptomicina Eritrotóxina y su precursor cimógeno Los inmunocomplejo s in situ alteran la membrana basal El grado de oclusión capilar se correlaciona con el descenso de la tasa de filtración glomerular La inmunofluorescencia permite realizar diagnostico diferencial con la nefropatía IgA En la microscopia electrónica se observa la presencia de humps Afectación tubulointersticial
  • 12.
  • 13.
    El intervalo entrela infección y la nefritis es de dos a tres semanas en los casos que siguen a una faringoamigdalitis y de un mes en los casos de una piodermitis.  Hematuria  Hipertensión arterial  Edema  Deterioro de la función renal.
  • 14.
    Hematuria macro o microscópica. 30%macroscópica 70% microscópica Pueden aparecer cilindros hemáticos en el sedimento de orina. Orina: Oscura, indolora, sin coágulos
  • 15.
    Hipertensión arterial. Retención hidrosalina, volumendependiente Se acompaña de EFNa <1% (parece prerrenal, pero no lo es). Puede causar encefalopatía hipertensiva e insuficiencia cardíaca.
  • 16.
    Edema (80%) Debido a la retención hidrosalina. Habitualen cara, párpados y extremidades Predominio matutino. Es infrecuente el anasarca. Genera ingurgitación yugular y congestión pulmonar En ocasiones llega a edema agudo de pulmón
  • 17.
    Oliguria (15%) < 500 ml/día Gastourinario < 2 ml/Kg/h Disminución del flujo plasmático renal
  • 18.
  • 19.
    Laboratorio Ausencia de signos de enfermedad sistémica Precedido de: •Infección faringoamigdalar • Impétigo estreptocócico El diagnóstico de la GNAPE es de sospecha clínica ante el desarrollo de un síndrome nefrítico agudo Erupciones Púrpura artralgias síntomas gastrointestinales, neurológicos o pulmonares COMPLEMENTO HEMOGRAMA MICROBIOLÓGICO
  • 20.
    Laboratorio COMPLEMENTO AUMENTO DE IgM -IgG DISMINUIDO C3, C1, C5, properdina y complemento hemolítico al 50% C4: NORMAL Crioglobulinas séricas e inmunocomplejos circulantes HEMOGRAMA MICROBIOLÓGICO Anemia dilucional, aumento de VSG y de la proteína C reactiva. La serología frente a antígenos estreptocócicos: -Más sensible DNAsa B (infecciones faríngeas y de piel) que el ASLO, que puede ser FN en infección de piel o previo tto antibiótico. ASLO aumentado. Frotis faríngeo o cultivo de piel será positivo a SBHGA sólo en el 25%
  • 21.
    Laboratorio • Hematuria • Hematíesdismórficos • Cilindros hialinos, granulosos y hemáticos. Orina • Proteinuria: rango nefrítico (<40 mg/m2/h) • Concentraciones de Na bajas (< 20 mEq/l) Orina de 24 h
  • 22.
    Nefropatía IgA • Hematuriamacroscópica coincidiendo con un proceso infeccioso respiratorio agudo • Hipertensión arterial y el edema son poco frecuentes. • Las concentraciones de C3 son normales. GN membranoproliferativa • Indistinguible inicialmente, la nefritis y el completo bajo persisten después de 4 a 6 semanas con probable aumento de la creatinina • Uso de corticoides normalizan el complemento GN secundarias a enfermedades sistémicas: LES, Púrpura de Shönlein- Henoch • Manifestaciones extrarrenales • PHS: Complemento normal • LES: C3 y C4 disminuidos. ANA: positivos
  • 23.
  • 24.
    Se debe valorarel ingreso hospitalario HTA Edema oliguria Alteraciones hidroelectrolíticas Insuficiencia renal Tto de síndrome nefrítico agudo requiere de un estrecho control medico
  • 25.
    Tratamiento  Medidas generales Reposo  Control diario de peso  Control de presión arterial  Evaluación cardiovascular  Dieta:  Hiposódica  Restricción de líquidos: balance negativo  Dieta hipoprotéica e hipercalórica  Si se acompaña de insuficiencia renal y oliguria, se restringirán los fosfatos y el potasio, junto con una dieta hipoproteica (0,6-1 g/kg/24 h) y normo o hipercalórica Es importante hacer un balance hídrico y dietético diario. Los controles analíticos se realizarán según la evolución clínica.
  • 26.
    Medidas farmacológicas  Antibióticossólo si existe infección activa  Penicilina G oral 125 mg c/6 horas por 10 d  Penicilina benzatínica 600.000-1.200.000 U  Eritromicina VO 125-250 mg c/6 horas por 10 d  Diuréticos de ASA:  Sobrecarga hídrica (edema e HTA)  Radiológicamente = Signos de insuficiencia cardiaca congestiva Furosemida 1-2 mg/kg/día VO en sobrecargas leves a moderadas Casos graves dosis puedes incrementarse hasta 10 mg/kg/día
  • 27.
     Antihipertensivos  Hidralazina:0,5 – 2 mg/Kg/días  Nifedipino: 0,25-2 mg/Kg/día en 2 o 3 dosis  Manejo en UCI  Vasodilatadores Nitruprusiato de sodio en perfusión intravenosa (0,5-8 µg/kg/min o 1-2 mg/kg/dosis/h) Bloqueadores alfa y beta: labetalol (1,3 mg/kg/h por vía intravenosa o 4 mg/kg/día en 1 o 2 dosis por vía oral).  Diálisis peritoneal o hemodiálisis crisis hipertensivas, encefalopatía hipertensiva o edema agudo de pulmón ICC e hiperpotasemia grave que no responden al tto conservador ECA Medidas farmacológicas
  • 28.
  • 29.
    • Evolución esfavorable En la mayoría de los casos. • La diuresis y los edemas en poco tiempo. • La HTA y la hematuria microscópica en 1 a 3 semanas (hasta 2 años + ivu) • Proteinuria de 6 a 8 semanas • El complemento se normaliza en 8 semas Se reestablece:
  • 30.
    COMPLICACIONES • FRECUENTE: • ICC •OTRAS: • Encefalopatía congestiva. • IRA RECIDIVAS • Son raras • Frente a episodios repetitivos: • Enfermedad crónica subyacente
  • 31.
    INDICACIONES PARA UNABIOPSIA RENAL: • APP de afección renal. • Ausencia de antecedente infeccioso. • Insuficiencia renal progresiva. • Síndrome nefrótico persistente. • Niveles de complemento de fase aguda en sangre, bajos. • Sisgnos de enfermedad sistémica. • Edad <2años ó > de 12años. • Hematuria coinsidente con el proceso infeccioso agudo sin periodo de latencia. a) Presentación atípica
  • 32.
    INDICACIONES PARA UNABIOPSIA RENAL: • Hipertensión. • Oligoanuria y macrohematuria superior a 3 semanas. • Microhematuria superior a 2 años. • Complemento disminuido por mas de 110 semanas. • Proteinuria por mas de 10 semanas ó disminución de la función renal por mas de 3 meses. b) Persistencia de síntomas mas allá de los descritos:
  • 33.
    INDICACIONES PARA UNABIOPSIA RENAL: • Aumento progresivo de la creatinina. • Sospecha de glomerulonefritis con semilunas. • Proteinuria masiva. c) Duda diagnostica:
  • 34.
    Referencias:  Maur O.y de la Mata g. Síndrome Nefrítico. Revista de Nefrología, síndrome nefrótico pag. 223.