MÉTODOS DIAGNÓSTICOS
DE NEFROLOGÍA
Deyanira Trinidad.
INTRODUCCION
• La historia clínica y la explicación del paciente son
llevan a la sospecha fundada en la existencia de
patología, pero esta debe ser confirmada.
• Para ello disponemos de diversos métodos o
herramientas de diagnostico.
• Historia social.
• Antecedentes personales.
• Ocupación.
• Dieta.
• Toma de medicamentos.
• Antecedentes familiares.
FORMAS DE PRESENTACIÓN DE
LAS ENFERMEDADES RENALES.
Sintomáticos.
• Dolor renal o de vías.
• Trastornos en la micción.
• Cambios en aspecto o
volumen de orina.
• Otros: edema, hipertensión,
anemia…
Sintomáticos.
Asintomáticos.
Examen de orina
Composición de la orina normal
Características físicas de la orina
Análisis fisicoquímico de la orina
Pruebas de funcionamiento
renal
EXAMEN GENERAL DE ORINA
(EGO)
Deyanira Trinidad
PROCEDIMIENTOS DIAGNÓSTICOS DE LOS
ENFERMOS RENALES
EXAMEN GENERAL DE ORINA
• Método de recogida de la orina
• Análisis físico-químico elemental.
• Estudio microscópico del sedimento urinario.
• Análisis cuantitativos de eliminación de cualquier
componente urinario.
EXAMEN GENERAL DE
ORINA (EGO)
• Composición de la orina
normal
• El riñón contribuye al
mantenimiento homeostático
del medio interno, con la
producción ininterrumpida
de una orina cuantitativa
y cualitativamente muy
variable.
Vol. Urinario
normal 500-
2.000ml
Diuresis
de 3-6
micciones
150-
300ml.
COMPOSICIÓN
• Entre la enorme
variedad de substancias
disueltas en la orina, de
las que se conocen
unas 600 con sus valores
normales de eliminación
diaria y en su mayoría
procedentes del
metabolismo de los
diferentes órganos y
tejidos
Creatinina: 800-1.500 mg
Urea: 15-40 g
Sodio: 3-6 g
Potasio: 2-3 g
Cloro: 5-10 g
Calcio: 150-250 mg (fracción del total
ingerido y resto por las heces).
Fósforo: 400-1.000 mg (fracción del total
ingerido y resto por las heces).
Albúmina: < 20 mg
• La presencia en la orina de estructuras organizadas,
conocidas como elementos formes y clasificados
como células (bacterias, hematíes, leucocitos y células
descamativas), cilindros (hialinos) y algunos cristales de
origen endógeno (ácido úrico, oxalato cálcico,
fosfatos), si se encuentran en muy pequeña
proporción, se pueden considerar como un hallazgo
normal
MUESTRA
CARACTERÍSTICAS
FÍSICAS DE LA ORINAColor
aspecto
Densidad
Características químicas de la orina.
• Medición del pH: 5.5-6.0
• Glucosuria
• Cetonuria
• Proteinuria
• Coluria
• Hemoglobina o sangre
• Nitritos
ANÁLISIS FÍSICO-
QUÍMICO DE LA ORINA
• La densidad de la orina es un reflejo de la concentración de
solutos que contiene. En condiciones normales, la densidad
urinaria oscila de 1.010 a 1.030.
Densidad
pH
5-8
Albúmina
Glucosa
<180
mg/dl
Acetona
Urobilina Bilirrubina
Hemoglobina
1-3
hematides x
campo
Leucocito
-esterasa.
Nitritos
EXAMEN MICROSCÓPICO (sedimento):
Celularidad de origen:
Uretral (uretra).-
Urotelio (vejiga, úreters y pelvis renal).-
Renal (túbulos renales)
Eritrocitos.- 0-2 p/campo
Leucocitos: 0-5 p/campo
Piocitos.- (-)
Bacterias.- (-)
Parasitos.- (-)
Funguria.- (-)
Filamentos de mucina.- (-)
Cilindros.- (-)
Células epiteliales.- Cantidad variada no
específica
Bacterias/hongos.- (-)
Mucus.- sin importancia clínica
EXAMEN QUÍMICO:
Ph.- 4.5-7.5
Densidad.- 1.021
Glucosa.- <20mgl/dl
Hb.- (-)
Nitritos.- (-)
Cetonas.- (-)
Proteínas.- (-)
Bilirrubina.- (-)
Urobilinógeno.- 0.2-1.0 mg/dl
Leucocitos.- (-) ó de 0-5 p/campo
Sangre.- (-)
EXAMEN FÍSICO:
Color.- Amarillo 1 ó 2
Olor.- Sui generis o aromático
CRISTALURIA:
Uratos amorfos.- (-)
Ac. Úrico.- (-)
Oxalatos cálcicos.- (-)
Fosfatos amorfos.- (-)
Fosfatos cálcicos.- (-)
Fosfatos triples.- (-)
Riesgo litogénico.- (-)
Otros.-
SEDIMENTO URINARIO
• <60 min
CÉLULAS CILINDROS CRISTALES
MICROORGANI
S-MOS
CÉLULAS
HEMÁTICAS
HEMÁTIES
LEUCOCITOS
ENÓGENAS
E. TUBULAR
E. TRANSICIÓN
E. ESCAMOSO
NEOPLÁSICAS
OTRAS
ESPERMATOZOIDES
VAGINALES
ESCAMOSAS
PROSTÁTICAS
HEMATURIA
• En condiciones normales se produce la eliminación de
hematíes por la orina en muy pequeña proporción.
Hematuria
microscópica
No visible
signo precoz
de neoplasia
del tracto
urinario
Obligado
diagnóstico
definitivo
sombras
hemáticas o
ghosts/
glomerulares
Hematuria
macroscópica
visible
Observación
microscópica
obligada
Piuria 
infección
Masiva 
post-renal y
procesos
neoplásicos
PROTEINURIA
• En condiciones fisiológicas, aunque la membrana
basal del glomérulo representa una barrera casi
infranqueable para las proteínas, una pequeña
fracción pasa al filtrado glomerular para ser
posteriormente y prácticamente en su totalidad,
reabsorbida en el túbulo
En caso contrario
excreción de creatinina.
Albumina 150 mg/24
horas
Proteinuria
valoración
cuantitativa
de proteínas
es la orina
de 24 horas
Albumina
15
μg/minuto
Albúmina >
300 mg/24
horas
Micro-
albuminuria
Proteinuria
no
selectiva
Proteínas en
concentracio
nes bajas
Proteinuria
Proteinuria
selectiva
PROTEINURIA SEGÚN SU
CANTIDAD
Proteinuria
intensa
<4g/24hrs
Sx nefrótico,
glomerulonefritis, LED,
amiloidosis, nefropatia
diabetica
Proteinuria
moderada
<3g/24hrs
Problemas vasculares o
intersticiales, como las
pielonefritis o
nefroangiosclerosis
Proteinuria
funcional
o
transitoria
Procesos febriles,
ejercicio físico intenso e
insuficiencia cardiaca.
LEUCOCITURIA O PIURIA
• La piuria de mayor o
menor intensidad
sugiere siempre la
existencia de un
proceso infeccioso en el
territorio urinario.
• * 1- 3 leucocitos por
campo de 400x
Piuria
PMN … EØs,
MØn
Fines
defensivos
Migración
de leucos a
una zona
del tracto
urinario
RELACIÓN
Procesos
tóxicoalérgicos, como la
nefritis intersticial por
fármacos, enf.
parasitarias, en una
amplia variedad de
nefropatías e
infecciones urinarias.
Y muy recientemente en
casi el 50% de pacientes
con enfermedad renal
ateroembólica
Es un indicador precoz
del rechazo en el
trasplante renal
CILINDROS
• Son los únicos elementos
formes presentes en la orina
que proceden exclusiva y
específicamente del
parénquima renal.
mucoproteína de Tamm-
Horsfall  células epiteliales
de la rama ascendente del
asa de Henle
Soluble gelifica o fragua
<pH, >densidad o
concentración de solutos y un
cierto grado de estancamiento
de la orina o < del filtrado
glomerular.
TIPOS DE CILINDROS
Hialinos
•Son los más simples. NUNCA SOLOS
•Pueden verse en orinas normales
•Pacientes deshidratados, y en nefropatías agudas y crónicas.
Granulosos
•Estructura granular, que se interpreta como un paso degenerativo de
células.
•Reflejan alteraciones parenquimatosas renales.  Proteinuria
Céreos
•No contienen gránulos.
•Procesos degenerativos de cilindros  material amorfo.
•NO SOLOS
celulares
•Contienen células tanto si son eritrocitarios como leucocitarios.
•Alteraciones difusas de tipo inflamatorio o infeccioso
(glomerulonefritis, pielonefritis).
CELULAS EPITELIALES
• El origen de todas las células
epiteliales que aparecen en la
orina está en la superficie de
revestimiento del tracto urinario,
desde la cápsula de Bowman
hasta la uretra.
Descamativas
Epitelio
transicional
Renales
LIPIDURIA
Gotas amarillo- traslucido redondeadas de diferentes
tamaños.
Libres o en citoplasma de células tubulares y mc
Px con proteinuria importante o esfingolipidosis como en
la enfermedad de Fabry (luz polarizada: XXX´s malta)
CRISTALES
• La importancia de la presencia de cristales en la orina
depende fundamentalmente de que esténformados
de constituyentes normales de ésta o no
• Cristales formados por constituyentes fisiológicos La
orina normal contiene sales de calcio y uratos que
pueden cristalizar.
• Cristales procedentes de sustancias anormales
CRISTALES FORMADOS POR
CONSTITUYENTES FISIOLÓGICOS
• La naturaleza de la sal, su concentración y el pH son
los factores que más influyen en la cristalización.
Cristales de
fosfato
cálcico
Orina alcalina y se
disuelven con ácido
acético o ácido
clorhídrico diluido
1. Cristales
de oxalato
de calcio 2.
Cristales de
ácido úrico
1.- Medio acido.
Forma de sobre
2.- Orina acida/ calor
Cristales de
fosfato
Infección urinaria
CRISTALES
Nefrolitiasis, trastornos del metabolismo o nefrotoxicidad
por fármacos.
De cistina anormales
De Oxalato de calcio normales o por
intoxicación con etilenglicol, fracaso
renal agudo, hipocalcemia y descenso
del nivel conciencia
De Fostato triple gérmenes ureasa +
(Ureaplasma urealyticum,
Corinebacterium urealyticum
De a. úrico, urato sódico o fosfato cálcico
 frecuentes
Sulfamidas, amoxicilina, ciprofloxacino,
aciclovir, indinavir, V.C.; etc. sobredosis,
deshidratación, hipoalbuminemia o
cambios del Ph
EVALUACIÓN DE LA FUNCIÓN
RENAL.
1. FG, concentración plasmática de Cr y
Urea.
2. Concentración de iones en plasma y orina.
3. Análisis de la osmolaridad plasmática y
urinaria. Prueba de concentración y dilución
de orina.
4. Valoración del eq. Ácido-básico
plasmático.
5. Proteínas totales, proteinograma urinario
y proteinuria.
6. Hemograma, calcemia, fosforemia y
fosfatasa alcalina.
7. Uroanálisis, sedimento y cultivo de orina.
• Se mide por diferentes métodos:
• Aclaramiento de inulina
• Isótopos radioactivos
• Cr-EDTA
• Tc-DTPA
• Tc-MAG-3
• Urea: 15-40 mg/dL
• Creatinina: 0.6-1.4 mg/dL
• Aclaramiento de creatinina:
*90-130 ml/min
Filtración glomerular.
ECUACIONES PARA LA
ESTIMACIÓN DE FG
• Fórmula de Cockcroft-Gault
CONCENTRACIÓN DE IONES EN
PLASMA Y ORINA
Na+ mEq/l 135-145 mEq/l
K+ 3.5-4.5 mEq/l
Cl- 93-103 mEq/l
CO2 23-29 mEq/
ANÁLISIS DE LA OSMOLARIDAD
PLASMÁTICA Y URINARIA.
•Osmolaridad plasmática:
•210-295 mOsm/l
EVALUACIÓN RADIOLÓGICA Y
ESTUDIOS DE MEDICINA NUCLEAR
.
Radiología convencional
Ultrasonido renal
Tomografia computada
Resonancia magnética nuclear
Angiografia de vasculatura renal
Gamagrafia renal
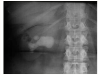
RADIOGRAFÍA SIMPLE DE
ABDOMEN
• Decúbito supino.
• Tamaño, forma, situación y
coexistencia de anomalías en
su contorno.
• Superposición de gas y
heces.
• Otras patologías
extrarrenales.
ULTRASONIDO RENAL
 Tamaño, morfología y situación de
los riñones
 No utiliza radiaciones ionizantes
 Dilatación o no de la vía urinaria
 Existencia de masas renales
 + sensible calcificaciones
 Independiente de la función renal
 Suele diferenciarse la corteza de
la medula; y del seno renal
 Todo tipo de pacientes
ULTRASONIDO RENAL
• Aumento de la ecogenicidad del
parénquima renal esclerosis renal.
Existe una mala diferenciación cortico-
medular y disminución del tamaño.
• Uropatía obstructiva causa y
gravedad. *Obstrucción de larga
evolución: adelgazamiento del
parénquima cortical renal.
• Técnica accesoria de procesos
invasivos (biopsias renales
percutaneas, nefrostomias, drenaje de
abscesos)
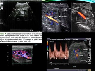
ECOGRAFÍA DOPPLER Y
DOPPLER COLOR
 Estudiar de modo no invasivo patología vascular como el
patrón de flujo de pequeños vasos de distintos
parénquimas trombosis, estenosis
 Valoración y seguimiento del trasplante renal
 Detección fístulas arteriovenosas intrarrenales
 HTA reno-vascular velocidad muy elevada del flujo
vascular
 Obstrucción de la vía urinaria aguda (aumento de la
resistencia intra-renal)
 **COLOR DIRECCIÓN DEL FLUJO (posición y orientación
de los vasos zonas de infarto o hipervacularización
Microgránulos de galactosa y a. palmítico
aumento de las señales eco en los vasos
sanguíneos (burbujas micrométricas de
agua) presencia, dirección y características
del flujo sanguíneo + estudios Doppler
concluidos.
POTENCIALES DE SEÑAL
ECOGRÁFICA
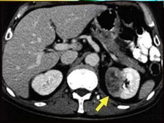
TOMOGRAFÍA COMPUTADA
• Principal indicación:
• Estudio de masas renales o suprarrenales no claramente
definidas por la ecografía.
• Valoración de traumatismos renales.
• Valoración de procesos parenquemitasos
RESONANCIA MAGNÉTICA NUCLEAR
Transversal, coronal y sagital
Átomos de hidrogeno en los tejidos
No contraste endovenoso
Tejidos blandos+
Estenosis arterias renales-
hipertensión
Angio-Rm (gd) Fibrosis sistémica
nefrogénica (30ml/min)
Estenosis del riñón, tamaño, grosor,
realce del parénquima y función
excretora
ANGIOGRAFÍA DE VASCULATURA
RENAL.
• Inyección de contraste en
las arterias renales por vía
femoral, se introduce
catéter a la aorta a la
altura de L1.
• Obstrucción
• Estenosis
• Aneurismas
GAMMAGRAMA RENAL
Detección precoz de cambios
inflamatorios del parénquima
renal. El radiofármaco es
captado por los TCP y se
acumula en la corteza renal
funcionarte, detectándose
zonas de hipocaptación
cortical en relación con
procesos inflamatorios agudos.
INDICACIONES:
Determinación de la función y
morfología renal.
Evaluación del aporte sanguíneo
renal en pacientes con
traumatismos renales o aneurisma
disecante
Uropatía obstructiva
HTA renovascular.
Malformaciones congénitas
Pielonefritis aguda
RVU
RADIOFARMACOS:
MAG3-Tc99m
 DMSATc99m
DTPA-Tc99m
Hipurán-I-131
GAMMAGRAMA RENAL CON DIURÉTICO
INDICACIONES:
 Hidronefrosis antenatal
 Hidroureteronefrosis
 Obstrucción ureteropélvica
o ureterovesical,
megauréter, doble sistema
pielocaliceal complicado
 Evaluación postquirúrgica
de um sistema previamente
obstruído
 RVU
GAMMAGRAMA RENAL CON
CAPTOPRIL
INDICACIONES:
 HTA abrupta o severa
 Elevación de azoados en
pacientes ancianos
hipertensos
 Empeoramiento de la
función renal durante el
tratamiento con IECA
 Retinopatía hipertensiva
grados 3 o 4
 Enfermedad arterial oclusiva
en otros sitios
 Aparición de hipertensión
por debajo de los 30 o por
arriba de los 55 años
GAMMAGRAMA RENAL CON DMSA
INDICACIONES:
 Pielonefritis aguda
 Cicatrices renales
 Masa relativa funcional
 Tejido renal solitario o
ectópico
 Riñones en herradura
 Alergia a medios de
contraste yodados
CISTOGAMMAGRAFÍA
INDICACIONES:
 Estudio inicial en niñas con
IVU de repetición.
 Evaluación de la eficacia
del tratamiento conservador
vs quirúrgico.
 Screening de RVU familiar
 Estudios seriados de RVU
causado por disfunción
vesical (vejiga neurógena)

Métodos diagnósticos de nefrología

  • 1.
  • 2.
    INTRODUCCION • La historiaclínica y la explicación del paciente son llevan a la sospecha fundada en la existencia de patología, pero esta debe ser confirmada. • Para ello disponemos de diversos métodos o herramientas de diagnostico. • Historia social. • Antecedentes personales. • Ocupación. • Dieta. • Toma de medicamentos. • Antecedentes familiares.
  • 3.
    FORMAS DE PRESENTACIÓNDE LAS ENFERMEDADES RENALES. Sintomáticos. • Dolor renal o de vías. • Trastornos en la micción. • Cambios en aspecto o volumen de orina. • Otros: edema, hipertensión, anemia… Sintomáticos. Asintomáticos.
  • 4.
    Examen de orina Composiciónde la orina normal Características físicas de la orina Análisis fisicoquímico de la orina Pruebas de funcionamiento renal
  • 5.
    EXAMEN GENERAL DEORINA (EGO) Deyanira Trinidad
  • 6.
    PROCEDIMIENTOS DIAGNÓSTICOS DELOS ENFERMOS RENALES EXAMEN GENERAL DE ORINA • Método de recogida de la orina • Análisis físico-químico elemental. • Estudio microscópico del sedimento urinario. • Análisis cuantitativos de eliminación de cualquier componente urinario.
  • 7.
    EXAMEN GENERAL DE ORINA(EGO) • Composición de la orina normal • El riñón contribuye al mantenimiento homeostático del medio interno, con la producción ininterrumpida de una orina cuantitativa y cualitativamente muy variable. Vol. Urinario normal 500- 2.000ml Diuresis de 3-6 micciones 150- 300ml.
  • 8.
    COMPOSICIÓN • Entre laenorme variedad de substancias disueltas en la orina, de las que se conocen unas 600 con sus valores normales de eliminación diaria y en su mayoría procedentes del metabolismo de los diferentes órganos y tejidos Creatinina: 800-1.500 mg Urea: 15-40 g Sodio: 3-6 g Potasio: 2-3 g Cloro: 5-10 g Calcio: 150-250 mg (fracción del total ingerido y resto por las heces). Fósforo: 400-1.000 mg (fracción del total ingerido y resto por las heces). Albúmina: < 20 mg
  • 9.
    • La presenciaen la orina de estructuras organizadas, conocidas como elementos formes y clasificados como células (bacterias, hematíes, leucocitos y células descamativas), cilindros (hialinos) y algunos cristales de origen endógeno (ácido úrico, oxalato cálcico, fosfatos), si se encuentran en muy pequeña proporción, se pueden considerar como un hallazgo normal
  • 10.
  • 11.
    CARACTERÍSTICAS FÍSICAS DE LAORINAColor aspecto Densidad
  • 12.
    Características químicas dela orina. • Medición del pH: 5.5-6.0 • Glucosuria • Cetonuria • Proteinuria • Coluria • Hemoglobina o sangre • Nitritos
  • 13.
    ANÁLISIS FÍSICO- QUÍMICO DELA ORINA • La densidad de la orina es un reflejo de la concentración de solutos que contiene. En condiciones normales, la densidad urinaria oscila de 1.010 a 1.030. Densidad pH 5-8 Albúmina Glucosa <180 mg/dl Acetona Urobilina Bilirrubina Hemoglobina 1-3 hematides x campo Leucocito -esterasa. Nitritos
  • 15.
    EXAMEN MICROSCÓPICO (sedimento): Celularidadde origen: Uretral (uretra).- Urotelio (vejiga, úreters y pelvis renal).- Renal (túbulos renales) Eritrocitos.- 0-2 p/campo Leucocitos: 0-5 p/campo Piocitos.- (-) Bacterias.- (-) Parasitos.- (-) Funguria.- (-) Filamentos de mucina.- (-) Cilindros.- (-) Células epiteliales.- Cantidad variada no específica Bacterias/hongos.- (-) Mucus.- sin importancia clínica EXAMEN QUÍMICO: Ph.- 4.5-7.5 Densidad.- 1.021 Glucosa.- <20mgl/dl Hb.- (-) Nitritos.- (-) Cetonas.- (-) Proteínas.- (-) Bilirrubina.- (-) Urobilinógeno.- 0.2-1.0 mg/dl Leucocitos.- (-) ó de 0-5 p/campo Sangre.- (-) EXAMEN FÍSICO: Color.- Amarillo 1 ó 2 Olor.- Sui generis o aromático
  • 16.
    CRISTALURIA: Uratos amorfos.- (-) Ac.Úrico.- (-) Oxalatos cálcicos.- (-) Fosfatos amorfos.- (-) Fosfatos cálcicos.- (-) Fosfatos triples.- (-) Riesgo litogénico.- (-) Otros.-
  • 17.
    SEDIMENTO URINARIO • <60min CÉLULAS CILINDROS CRISTALES MICROORGANI S-MOS
  • 18.
    CÉLULAS HEMÁTICAS HEMÁTIES LEUCOCITOS ENÓGENAS E. TUBULAR E. TRANSICIÓN E.ESCAMOSO NEOPLÁSICAS OTRAS ESPERMATOZOIDES VAGINALES ESCAMOSAS PROSTÁTICAS
  • 19.
    HEMATURIA • En condicionesnormales se produce la eliminación de hematíes por la orina en muy pequeña proporción. Hematuria microscópica No visible signo precoz de neoplasia del tracto urinario Obligado diagnóstico definitivo sombras hemáticas o ghosts/ glomerulares Hematuria macroscópica visible Observación microscópica obligada Piuria  infección Masiva  post-renal y procesos neoplásicos
  • 20.
    PROTEINURIA • En condicionesfisiológicas, aunque la membrana basal del glomérulo representa una barrera casi infranqueable para las proteínas, una pequeña fracción pasa al filtrado glomerular para ser posteriormente y prácticamente en su totalidad, reabsorbida en el túbulo En caso contrario excreción de creatinina. Albumina 150 mg/24 horas Proteinuria valoración cuantitativa de proteínas es la orina de 24 horas Albumina 15 μg/minuto Albúmina > 300 mg/24 horas Micro- albuminuria Proteinuria no selectiva Proteínas en concentracio nes bajas Proteinuria Proteinuria selectiva
  • 21.
    PROTEINURIA SEGÚN SU CANTIDAD Proteinuria intensa <4g/24hrs Sxnefrótico, glomerulonefritis, LED, amiloidosis, nefropatia diabetica Proteinuria moderada <3g/24hrs Problemas vasculares o intersticiales, como las pielonefritis o nefroangiosclerosis Proteinuria funcional o transitoria Procesos febriles, ejercicio físico intenso e insuficiencia cardiaca.
  • 22.
    LEUCOCITURIA O PIURIA •La piuria de mayor o menor intensidad sugiere siempre la existencia de un proceso infeccioso en el territorio urinario. • * 1- 3 leucocitos por campo de 400x Piuria PMN … EØs, MØn Fines defensivos Migración de leucos a una zona del tracto urinario
  • 23.
    RELACIÓN Procesos tóxicoalérgicos, como la nefritisintersticial por fármacos, enf. parasitarias, en una amplia variedad de nefropatías e infecciones urinarias. Y muy recientemente en casi el 50% de pacientes con enfermedad renal ateroembólica Es un indicador precoz del rechazo en el trasplante renal
  • 24.
    CILINDROS • Son losúnicos elementos formes presentes en la orina que proceden exclusiva y específicamente del parénquima renal. mucoproteína de Tamm- Horsfall  células epiteliales de la rama ascendente del asa de Henle Soluble gelifica o fragua <pH, >densidad o concentración de solutos y un cierto grado de estancamiento de la orina o < del filtrado glomerular.
  • 25.
    TIPOS DE CILINDROS Hialinos •Sonlos más simples. NUNCA SOLOS •Pueden verse en orinas normales •Pacientes deshidratados, y en nefropatías agudas y crónicas. Granulosos •Estructura granular, que se interpreta como un paso degenerativo de células. •Reflejan alteraciones parenquimatosas renales.  Proteinuria Céreos •No contienen gránulos. •Procesos degenerativos de cilindros  material amorfo. •NO SOLOS celulares •Contienen células tanto si son eritrocitarios como leucocitarios. •Alteraciones difusas de tipo inflamatorio o infeccioso (glomerulonefritis, pielonefritis).
  • 28.
    CELULAS EPITELIALES • Elorigen de todas las células epiteliales que aparecen en la orina está en la superficie de revestimiento del tracto urinario, desde la cápsula de Bowman hasta la uretra. Descamativas Epitelio transicional Renales
  • 29.
    LIPIDURIA Gotas amarillo- traslucidoredondeadas de diferentes tamaños. Libres o en citoplasma de células tubulares y mc Px con proteinuria importante o esfingolipidosis como en la enfermedad de Fabry (luz polarizada: XXX´s malta)
  • 30.
    CRISTALES • La importanciade la presencia de cristales en la orina depende fundamentalmente de que esténformados de constituyentes normales de ésta o no • Cristales formados por constituyentes fisiológicos La orina normal contiene sales de calcio y uratos que pueden cristalizar. • Cristales procedentes de sustancias anormales
  • 31.
    CRISTALES FORMADOS POR CONSTITUYENTESFISIOLÓGICOS • La naturaleza de la sal, su concentración y el pH son los factores que más influyen en la cristalización. Cristales de fosfato cálcico Orina alcalina y se disuelven con ácido acético o ácido clorhídrico diluido 1. Cristales de oxalato de calcio 2. Cristales de ácido úrico 1.- Medio acido. Forma de sobre 2.- Orina acida/ calor Cristales de fosfato Infección urinaria
  • 32.
    CRISTALES Nefrolitiasis, trastornos delmetabolismo o nefrotoxicidad por fármacos. De cistina anormales De Oxalato de calcio normales o por intoxicación con etilenglicol, fracaso renal agudo, hipocalcemia y descenso del nivel conciencia De Fostato triple gérmenes ureasa + (Ureaplasma urealyticum, Corinebacterium urealyticum De a. úrico, urato sódico o fosfato cálcico  frecuentes Sulfamidas, amoxicilina, ciprofloxacino, aciclovir, indinavir, V.C.; etc. sobredosis, deshidratación, hipoalbuminemia o cambios del Ph
  • 35.
    EVALUACIÓN DE LAFUNCIÓN RENAL. 1. FG, concentración plasmática de Cr y Urea. 2. Concentración de iones en plasma y orina. 3. Análisis de la osmolaridad plasmática y urinaria. Prueba de concentración y dilución de orina. 4. Valoración del eq. Ácido-básico plasmático. 5. Proteínas totales, proteinograma urinario y proteinuria. 6. Hemograma, calcemia, fosforemia y fosfatasa alcalina. 7. Uroanálisis, sedimento y cultivo de orina.
  • 36.
    • Se midepor diferentes métodos: • Aclaramiento de inulina • Isótopos radioactivos • Cr-EDTA • Tc-DTPA • Tc-MAG-3 • Urea: 15-40 mg/dL • Creatinina: 0.6-1.4 mg/dL • Aclaramiento de creatinina: *90-130 ml/min Filtración glomerular.
  • 37.
    ECUACIONES PARA LA ESTIMACIÓNDE FG • Fórmula de Cockcroft-Gault
  • 38.
    CONCENTRACIÓN DE IONESEN PLASMA Y ORINA Na+ mEq/l 135-145 mEq/l K+ 3.5-4.5 mEq/l Cl- 93-103 mEq/l CO2 23-29 mEq/
  • 39.
    ANÁLISIS DE LAOSMOLARIDAD PLASMÁTICA Y URINARIA. •Osmolaridad plasmática: •210-295 mOsm/l
  • 40.
    EVALUACIÓN RADIOLÓGICA Y ESTUDIOSDE MEDICINA NUCLEAR . Radiología convencional Ultrasonido renal Tomografia computada Resonancia magnética nuclear Angiografia de vasculatura renal Gamagrafia renal
  • 41.
    RADIOGRAFÍA SIMPLE DE ABDOMEN •Decúbito supino. • Tamaño, forma, situación y coexistencia de anomalías en su contorno. • Superposición de gas y heces. • Otras patologías extrarrenales.
  • 43.
    ULTRASONIDO RENAL  Tamaño,morfología y situación de los riñones  No utiliza radiaciones ionizantes  Dilatación o no de la vía urinaria  Existencia de masas renales  + sensible calcificaciones  Independiente de la función renal  Suele diferenciarse la corteza de la medula; y del seno renal  Todo tipo de pacientes
  • 44.
    ULTRASONIDO RENAL • Aumentode la ecogenicidad del parénquima renal esclerosis renal. Existe una mala diferenciación cortico- medular y disminución del tamaño. • Uropatía obstructiva causa y gravedad. *Obstrucción de larga evolución: adelgazamiento del parénquima cortical renal. • Técnica accesoria de procesos invasivos (biopsias renales percutaneas, nefrostomias, drenaje de abscesos)
  • 45.
    ECOGRAFÍA DOPPLER Y DOPPLERCOLOR  Estudiar de modo no invasivo patología vascular como el patrón de flujo de pequeños vasos de distintos parénquimas trombosis, estenosis  Valoración y seguimiento del trasplante renal  Detección fístulas arteriovenosas intrarrenales  HTA reno-vascular velocidad muy elevada del flujo vascular  Obstrucción de la vía urinaria aguda (aumento de la resistencia intra-renal)  **COLOR DIRECCIÓN DEL FLUJO (posición y orientación de los vasos zonas de infarto o hipervacularización
  • 48.
    Microgránulos de galactosay a. palmítico aumento de las señales eco en los vasos sanguíneos (burbujas micrométricas de agua) presencia, dirección y características del flujo sanguíneo + estudios Doppler concluidos. POTENCIALES DE SEÑAL ECOGRÁFICA
  • 49.
    TOMOGRAFÍA COMPUTADA • Principalindicación: • Estudio de masas renales o suprarrenales no claramente definidas por la ecografía. • Valoración de traumatismos renales. • Valoración de procesos parenquemitasos
  • 51.
    RESONANCIA MAGNÉTICA NUCLEAR Transversal,coronal y sagital Átomos de hidrogeno en los tejidos No contraste endovenoso Tejidos blandos+ Estenosis arterias renales- hipertensión Angio-Rm (gd) Fibrosis sistémica nefrogénica (30ml/min) Estenosis del riñón, tamaño, grosor, realce del parénquima y función excretora
  • 52.
    ANGIOGRAFÍA DE VASCULATURA RENAL. •Inyección de contraste en las arterias renales por vía femoral, se introduce catéter a la aorta a la altura de L1. • Obstrucción • Estenosis • Aneurismas
  • 53.
    GAMMAGRAMA RENAL Detección precozde cambios inflamatorios del parénquima renal. El radiofármaco es captado por los TCP y se acumula en la corteza renal funcionarte, detectándose zonas de hipocaptación cortical en relación con procesos inflamatorios agudos. INDICACIONES: Determinación de la función y morfología renal. Evaluación del aporte sanguíneo renal en pacientes con traumatismos renales o aneurisma disecante Uropatía obstructiva HTA renovascular. Malformaciones congénitas Pielonefritis aguda RVU RADIOFARMACOS: MAG3-Tc99m  DMSATc99m DTPA-Tc99m Hipurán-I-131
  • 55.
    GAMMAGRAMA RENAL CONDIURÉTICO INDICACIONES:  Hidronefrosis antenatal  Hidroureteronefrosis  Obstrucción ureteropélvica o ureterovesical, megauréter, doble sistema pielocaliceal complicado  Evaluación postquirúrgica de um sistema previamente obstruído  RVU
  • 56.
    GAMMAGRAMA RENAL CON CAPTOPRIL INDICACIONES: HTA abrupta o severa  Elevación de azoados en pacientes ancianos hipertensos  Empeoramiento de la función renal durante el tratamiento con IECA  Retinopatía hipertensiva grados 3 o 4  Enfermedad arterial oclusiva en otros sitios  Aparición de hipertensión por debajo de los 30 o por arriba de los 55 años
  • 57.
    GAMMAGRAMA RENAL CONDMSA INDICACIONES:  Pielonefritis aguda  Cicatrices renales  Masa relativa funcional  Tejido renal solitario o ectópico  Riñones en herradura  Alergia a medios de contraste yodados
  • 58.
    CISTOGAMMAGRAFÍA INDICACIONES:  Estudio inicialen niñas con IVU de repetición.  Evaluación de la eficacia del tratamiento conservador vs quirúrgico.  Screening de RVU familiar  Estudios seriados de RVU causado por disfunción vesical (vejiga neurógena)