MR1 MARCIA MOREANO SAENZ
       UNCH – PSJO
           2012
Momia Peruana de 700
                                       años d.c.
                                       Niño con TB Vertebral y
                                       visceral, en la que se
                                       observó BAAR.
                                       Cultura Paracas.
                                       Momia Peruana de 1000
                                       años d.c.
                                       Mujer que murió entre 40-
                                       45 años de edad; con
                                       lesiones pulmonares y
                                       linfáticas, con evidencia de
                                       DNA de M. tuberculosis en
Cultura Paracas. Museo de Ica - Perú   nódulo linfático.
                                       1990. Cultura Chiribaya.
Infección           Familia: Mycobacteriaceae.
bacteriana crónica causada por   Bacilos ácido Alcohol
 Mycobacterium tuberculosis           resistentes,
       histológicamente           aerobios estrictos,
        formación de           inmóviles, no esporulados,
         granulomas.                    Gram (+).
EPIDEMIOLOGÍA
El Perú ocupa en Latinoamérica , el 2do lugar en TBC.

TBC en < 15 años:    10 a 11% del total de TBC.

La tasa de morbilidad es más alta en zonas urbanas que
rurales.

Forma clínica más frecuente en < 4 años es
primoinfección

La TBC de reinfección es más frecuente entre 15 y 19

Tasa de letalidad más alta: en < de 4 años.
Enfermo al toser, hablar o expectorar elimina pequeñas
     gotas de saliva: gotas de fludgge (1-5µ) contienen bacilos
     (1-3), que podrán ser aspirados por individuos
     susceptibles.

                                      FACTORES

                                      • Hacinamiento
                                      • Malnutrición,
                                      • El sida
                                      • El abuso de alcohol
                                      • Malas condiciones de vida
                                      • Inmunidad
Evaporarse y Permanecer
suspendidas
Febrícula o fiebre de 38°C a 38.5°C
 Anorexia, pérdida de peso, debilidad y cansancio constante
 Sudores nocturnos.

Tos seca al principio            Productiva
                                (expectoración mucopurulenta ,
                                 hemoptoica).
Si no se trata, la sintomatología se hace más evidente y puede
durar semanas o meses.

El cuadro, que es más notable:
-Fiebre elevada
Disnea y cianosis, a veces coincide con formas extrapulmonares.
FORMAS ESPECIALES


 TBC INFANTIL       TBC EXTRAPULMONAR




DIABETES MELLITUS
                        TBC Y GESTACIÓN
      Y TBC
DETECCION Y DIAGNOSTICO DE
                  CASOS DE TUBERCULOSIS

                  DETECCIÓN DE CASOS


                                                     Procedimientos
•Sintomático
 Respiratorio
                                                     •Llenar correctamente
                           Es la actividad
                                                     la LRSP TBC
•S.R.                  orientada a identificar
                    precozmente a las personas       •Obtener la primera
Identificado
                         con tuberculosis.           muestra de esputo
                                                     •La segunda
•S.R.
                                                     muestra deberá
Examinado                                            traerla al día
                                                     siguiente

                     Detección en grupos de alto riesgo
           •Poblaciones cerradas
           •Contactos,
           •Personal de salud y estudiantes
           •Inmunocomprometidos
   BACTERIOLOGÍA.
   RADIOLOGÍA.
   REACCIÓN DE TUBERCULINA.
   BIOPSIA.
   Examen de esputo de tres muestras de preferencia
    matutinas, estas permiten su rápida visualización,
    mediante el uso de diferentes técnicas de tinción.

   La presencia de abundantes ácidos grasos en la
    pared del M. Tuberculosis la hace ser ácido–alcohol–
    resistente y es la base de la técnica de Ziehl–
    Neelsen, utilizada en la actualidad.
NEGATIVO (-)     No se encuentran bacilos ácido alcohol
                  resistentes en 100 campos observados


 POSITIVO (+)     Menos de un bacilo por campo en
                  promedio, en 100 campos observados


POSITIVO (++)     De uno a diez bacilos por campo en
                  promedio en 50 campos observados


POSITIVO (+++) Más de diez bacilos ácido alcohol
                  resistentes por campo, en 20 campos
                  observados
   Los hallazgos más frecuentes en la
    tuberculosis primaria son las adenopatías y
    las condensaciones
   La postprimaria las consolidaciones, los
    nódulos y las cavidades, predominantes en
    los segmentos apicales y posteriores de los
    lóbulos superiores
Tb activa   Tb miliar
   En algunos casos, sin embargo, es muy difícil
    valorar si las lesiones radiológicas son activas
    o no, especialmente si no se dispone de
    estudios previos para comparar evolución
   En estos casos la TC y la TC de alta resolución
    de tórax
TRATAMIENTO DE LA

  TUBERCULOSIS
Evitar la resistencia
Combinado

Continuado    Conseguir la conversión

Prolongado     Evitar las recidivas

Supervisado   Garantizar el cumplimiento
              factor más importante para la
              curación.
Inducción, bactericida.
1° FASE   Diario.
          Reduce rápidamente población
          de crecimiento rápido
          Previene resistencia y fracaso.




           Mantenimiento o esterilizante
           Intermitente.
2° FASE    Con menor número de
           medicamentos.
           Elimina bacilos persistentes.
           Previene recaídas
FÁRMACOS ANTI TB DE 1ª LÍNEA
  CARACTERÍSTICAS FARMACOLÓGICAS

ISONIACIDA:                                     PIRAZINAMIDA:
Bactericida. Actividad intra y extra-celular.   Bactericida.
Muy barata y poco tóxica.                       Metabolismo hepático
De metabolismo hepático y excreción renal.      Alimentos no alteran su absorción.
Su absorción es óptima en ayunas.               Actividad intracelular predominante.



             RIFAMPICINA:
             Bactericida, de amplio espectro. Muy potente.
             Su efecto bactericida es inmediato: predominantemente
                esterilizante.
             De metabolismo hepático y excreción por heces.
             Su absorción es retardada por alimentos.
FÁRMACOS ANTI TB DE 2ª LÍNEA
CARACTERÍSTICAS FARMACOLÓGICAS
ESQUEMA UNO: 2 HRZE 4 H2R2

                 INDICACIONES



Todo paciente NUEVO,        Todo paciente NUEVO,
con Dx. de TBC              con Dx. de TBC
pulmonar y/o                pulmonar y/o
extrapulmonar, con BK       extrapulmonar, con BK +
+ ó - (incluyendo           ó - (incluyendo aquellos
aquellos                    con cultivo de BK + ó -)
con cultivo de BK + ó -).   asociado a infección
                            VIH/SIDA.
TRATAMIENTO ESQUEMA UNO
                                    2HREZ/4H2R2
                             DURACION : 6 meses (82 dosis)
  FASES        DURACION          FRECUENCIA         MEDICAMENTOS Y             TOTAL POR
                                                         DOSIS                  ENFERMO
                                                  Rifampicina x 300: 2
                                                  capsulas
                                                  Isoniacida x 100 mg.: 3
                                 Diario excepto   tabletas
               02 MESES
 1ª FASE                          domingos y      Pirazinamida x 500 mg:
               (50 DOSIS)                                                   R x 300 = 154 cap
                                    feriados      3 tabletas                H x 100 = 406 tab.
                                                  Etambutol x 400 mg: 3     Z x 500 = 150 tab.
                                                  tabletas                  E x 400 = 150 tab.
                                                  Rifampicina x 300: 2
                04 meses         Dos veces por    capsulas
 2ª FASE
                (32 dosis)         semana         Isoniacida x 100 mg: 8
                                                  tabletas

NOTA:
-Los enfermos con menos de 50Kg. de peso, niños y adultos, las dosis se
administran de acuerdo con el peso del paciente según la posología adjunta.
-En menores de 7 años debe valorarse el riesgo beneficio del uso del Etambutol por
el riesgo de producir Neuritis óptica. Utilizar Estreptomicina como medicamento
alternativo al Etambutol.
Retratamiento                                                         Retto. Empírico
  Individualizado                  TRATAMIENTO DE
                                                                       • Transitorio hasta que
                                      LA TB MDR                        cuente con Prueba de
  • Indicado en Px. Con                                                Sensibilidad.
  TB y cuentan con
  Prueba de Sensibilidad.                                              • Duración de 18 y 24 meses.

  • Duración de 24 meses                                               • En Pac. NT o AT contacto
                                                                       de TB MDR documentado.


                          Retratamiento Estandarizado
                           •Transitorio hasta que se cuente con una
 Elección de               Prueba de Sensibilidad, para aquellos Pac. de
los fármacos               fracaso al esquema uno ó dos y dura 18 meses.
  a utilizar



      Grupo 1: Fármacos orales de primera línea (H, R, E, Z).
      Grupo 2: Inyectables (Aminoglicósidos, capreomicina).
      Grupo 3: : Quinolonas (ciprofloxacino, moxifloxacino).
      Grupo 4: Etionamida, Cicloserina, PAS.
      Grupo 5: Otros: Amoxicilina/Acido Clavulánico, Claritromicina.
TRATAMIENTO COMPLEMENTARIO


NUTRICIÓN                          REPOSO FÍSICO




 CIRUGÍA




CORTICOIDES
                                  TERAPIA PSICOLÓGICA
                                        Y SOCIAL
Tratamiento




               PREVENCIÓN
                                 Vacunación
Diagnóstico       DE LA
                                    BCG
              TUBERCULOSIS




              Quimioprofilaxis
Resistencia natural   Aquella que presentan las cepas salvajes, como fruto de
                      su multiplicación continua. Expresión fenotípica.




Resistencia
adquirida o           Produce por una mala terapéutica
secundaria


Resistencia           Paciente portador de una resistencia adquirida contagia a una
                      persona que previamente no ha tomado ningún tratamiento
Primaria              tuberculoso, le podrá ocasionar una tuberculosis con
                      resistencia.
   Se define como TB multirresistente (TB-MDR)
    cuando hay bacilos con resistencias a la
    isoniacida y a la rifampicina al mismo tiempo

   Se denomina TB-XDR aquella que es resistente
    al menos a INH y RMP entre las drogas de
    primera línea y al menos a tres entre las seis
    principales drogas de segunda línea
LOS RIESGOS ACTUALES DE LA TB EN EL PERÚ Y EL MUNDO

                                             ESTIGMA Y
CO-INFECCION            POBREZA           DISCRIMINACION
 TB-VIH/SIDA




SISTEMA DE SALUD
   INEFICIENTE
                                  MULTIDROGORRESISTENCIA
El 58.7% de los casos se concentran en Lima y Callao y en el interior del país las
regiones con mayor tasa de incidencia son: Lima Este, Madre de Dios, Lima Norte,
Ucayali, Lima Sur, Tacna, Callao, Loreto, Ica y lima Ciudad. La costa y la selva son las
regiones con mayor carga de incidencia de Tuberculosis. La Disa Lima Este tuvo la
mayor tasa de morbilidad e incidencia de TB registrada en el año 2005.
Decisión gubernamental                    Elaboración del
                           Organización
       de apoyo al                          documento de
        programa.                         doctrinas normas y
                                          procedimientos del
                                               PNCTBC


   Capacitación,
 supervisión e
 investigación
                         MINSA            Mejorar la red de
                                            laboratorios


    Estructuración
                         Abastecimiento
DOTS                         DOTS - PLUS




       ESTRATEGIAS CREADAS
          POR LA OMS EN
        RESPUESTA A LA TBC
Implementación de las Estrategias DOTS y
         DOTS PLUS en el Perú



1980
                     DOTS
1990    Detección-Diagnostico-Tratamiento


1996                DOTS PLUS
             Estrategia en desarrollo
1997
           Uso de fármacos de segunda
                       línea

2001
                   Cambio de
                    indicación
Componentes claves
       del
DOTS, DOTS - PLUS




    Diagnóstico
     oportuno
   RM 771-2004 MINSA:
     Estrategia Sanitaria Nacional de
      Prevención y control de la Tuberculosis.
 Suministro de medicamentos y
  material de laboratorio.
 Personal motivado y capacitado.
 Coordinación intra e intersectorial.
   Red funcional de laboratorios.

   Unidades recolectoras de muestras.

   Control calidad de baciloscopías.
Formulación del
             Programación
                             requerimiento




Evaluación                                Adquisición




        Almacenamiento y
          conservación         Distribución
Tratamiento         Identificación y
 supervisado en        Manejo de las
      boca                RAFA’s




                        Seguimiento
Educación sanitaria   Bacteriológico y
  al paciente y la         clínico
      familia
Libro de registro de
                         Sintomáticos respiratorios
                              Libro de registro de
                          Investigación bacteriológica
 Sistema de registro         Libro de registro y
                            Seguimiento de casos

                              Libro de registro y
                         Seguimiento de casos crónicos


                           Información operacional


                          Información epidemiológica
Sistema de información

                              Estudios de cohorte
Control de la Tuberculosis por Etapas
                       de Vida

   Se adquiere en todas la etapas de vida
   La Tuberculosis se incrementa a partir de los 15 años
 La Tuberculosis la adquieren un grupo importante del adulto
  mayor.




                       CICLOS DE VIDA                                Entorno
                 ETAPAS DE Niñ @VIDA
                               LA                      Comunidad
                                                         Comu   -   Ambiente
                      Niñez                  Familia
       Persona
       Persona           Adolescente
                  Adolescencia               Familia
                      AdultezAdult@                      nidad
                    Senectud
                        Adult@ Mayor
Alianzas
                                                                                                      estrategicas

                                                             Dirección
                                                                                                        Actores
                                     Dirección
                                      General                Ejecutiva                                  sociales
                      Dirección de                          Salud de las
                         Salud                               Personas
                       Ambiental                                                                       Gobierno
                                                                            Dirección de
     Dirección de                                                          Administración
                                                                                                       Regional
     Epidemiologia                                                                                      Local

                                                                                         Dirección    Comunidad
Dirección de                                                                            Laboratorio
                                                                                                      Organizada
Promoción de
                                                                                                         CL
  La Salud
                                         MAIS                                                         Usuario/as

                                     MODELO DE ATENCIÓN
                                      INTEGRAL DE SALUD
                                                                                            DAIS
Dirección de
 estadistica
                                                                                    Dirección de
                                                                                       Redes
          Dirección de
            Logística                                                  Dirección de
                                                                       Planificació y
                      Dirección                                        Presupuesto
                     de Recursos
                      Humanos        Dirección de          Dirección de
                                     Servicio de          Medicamentos e
                                        Salud                Insumos
    El MAIS es una oportunidad para la
    Estrategia Sanitaria del Control de la TB
   El MAIS fortalece las acciones dentro de los
    servicios de salud.
   El MAIS fortalece la aplicación del DOTS Y
    DOTS PLUS.
TBC                      S
    P
I                                               I
    A                                               I
N       PERSONA       FAMILIA       COMUNIDAD   S   N
T   A
                                                    T
E   G                                               E
G                                                   G
R
A   R
                      MAIS                      S   R
                                                    A
L                                               I
                                                    L
I   D
                                                S   I
D   R                                               D
A                                               M
                                                    A
D                                               E   D
    R                                           D
    O             SALUD AMBIENTAL
DERECHOS HUMANOS Y ÉTICA EN EL
       CONTROL DE LA TUBERCULOSIS:


Derechos del Paciente
con tuberculosis:
Cuidado.               Deberes del paciente

Dignidad.                con tuberculosis:

Información.           Intercambiar información.

Elección.              Seguir el tratamiento.

Justicia.              Contribuir a la salud

Organización.           comunitaria.

Seguridad.
Abogacía Y        Educación Y      Desarrollo De
   Políticas       Comunicación        Alianzas
   Públicas        Para La Salud     Estratégicas




PROMOCION DE
                   PROMOCIÓN
  LA SALUD
                     DE LA
                     SALUD


   Participación                      Intervención
   Ciudadana Y       Intervención    En Municipios
  Empoderamient            En               Y
         o           Instituciones   Comunidades
                      Educativas
Tbc

Tbc

  • 1.
    MR1 MARCIA MOREANOSAENZ UNCH – PSJO 2012
  • 2.
    Momia Peruana de700 años d.c. Niño con TB Vertebral y visceral, en la que se observó BAAR. Cultura Paracas. Momia Peruana de 1000 años d.c. Mujer que murió entre 40- 45 años de edad; con lesiones pulmonares y linfáticas, con evidencia de DNA de M. tuberculosis en Cultura Paracas. Museo de Ica - Perú nódulo linfático. 1990. Cultura Chiribaya.
  • 3.
    Infección Familia: Mycobacteriaceae. bacteriana crónica causada por Bacilos ácido Alcohol Mycobacterium tuberculosis resistentes, histológicamente aerobios estrictos, formación de inmóviles, no esporulados, granulomas. Gram (+).
  • 4.
    EPIDEMIOLOGÍA El Perú ocupaen Latinoamérica , el 2do lugar en TBC. TBC en < 15 años: 10 a 11% del total de TBC. La tasa de morbilidad es más alta en zonas urbanas que rurales. Forma clínica más frecuente en < 4 años es primoinfección La TBC de reinfección es más frecuente entre 15 y 19 Tasa de letalidad más alta: en < de 4 años.
  • 5.
    Enfermo al toser,hablar o expectorar elimina pequeñas gotas de saliva: gotas de fludgge (1-5µ) contienen bacilos (1-3), que podrán ser aspirados por individuos susceptibles. FACTORES • Hacinamiento • Malnutrición, • El sida • El abuso de alcohol • Malas condiciones de vida • Inmunidad Evaporarse y Permanecer suspendidas
  • 6.
    Febrícula o fiebrede 38°C a 38.5°C  Anorexia, pérdida de peso, debilidad y cansancio constante  Sudores nocturnos. Tos seca al principio Productiva (expectoración mucopurulenta , hemoptoica). Si no se trata, la sintomatología se hace más evidente y puede durar semanas o meses. El cuadro, que es más notable: -Fiebre elevada Disnea y cianosis, a veces coincide con formas extrapulmonares.
  • 8.
    FORMAS ESPECIALES TBCINFANTIL TBC EXTRAPULMONAR DIABETES MELLITUS TBC Y GESTACIÓN Y TBC
  • 9.
    DETECCION Y DIAGNOSTICODE CASOS DE TUBERCULOSIS DETECCIÓN DE CASOS Procedimientos •Sintomático Respiratorio •Llenar correctamente Es la actividad la LRSP TBC •S.R. orientada a identificar precozmente a las personas •Obtener la primera Identificado con tuberculosis. muestra de esputo •La segunda •S.R. muestra deberá Examinado traerla al día siguiente Detección en grupos de alto riesgo •Poblaciones cerradas •Contactos, •Personal de salud y estudiantes •Inmunocomprometidos
  • 10.
    BACTERIOLOGÍA.  RADIOLOGÍA.  REACCIÓN DE TUBERCULINA.  BIOPSIA.
  • 11.
    Examen de esputo de tres muestras de preferencia matutinas, estas permiten su rápida visualización, mediante el uso de diferentes técnicas de tinción.  La presencia de abundantes ácidos grasos en la pared del M. Tuberculosis la hace ser ácido–alcohol– resistente y es la base de la técnica de Ziehl– Neelsen, utilizada en la actualidad.
  • 12.
    NEGATIVO (-) No se encuentran bacilos ácido alcohol resistentes en 100 campos observados POSITIVO (+) Menos de un bacilo por campo en promedio, en 100 campos observados POSITIVO (++) De uno a diez bacilos por campo en promedio en 50 campos observados POSITIVO (+++) Más de diez bacilos ácido alcohol resistentes por campo, en 20 campos observados
  • 13.
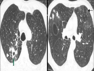
    Los hallazgos más frecuentes en la tuberculosis primaria son las adenopatías y las condensaciones  La postprimaria las consolidaciones, los nódulos y las cavidades, predominantes en los segmentos apicales y posteriores de los lóbulos superiores
  • 14.
    Tb activa Tb miliar
  • 16.
    En algunos casos, sin embargo, es muy difícil valorar si las lesiones radiológicas son activas o no, especialmente si no se dispone de estudios previos para comparar evolución  En estos casos la TC y la TC de alta resolución de tórax
  • 20.
    TRATAMIENTO DE LA TUBERCULOSIS
  • 21.
    Evitar la resistencia Combinado Continuado Conseguir la conversión Prolongado Evitar las recidivas Supervisado Garantizar el cumplimiento factor más importante para la curación.
  • 22.
    Inducción, bactericida. 1° FASE Diario. Reduce rápidamente población de crecimiento rápido Previene resistencia y fracaso. Mantenimiento o esterilizante Intermitente. 2° FASE Con menor número de medicamentos. Elimina bacilos persistentes. Previene recaídas
  • 23.
    FÁRMACOS ANTI TBDE 1ª LÍNEA CARACTERÍSTICAS FARMACOLÓGICAS ISONIACIDA: PIRAZINAMIDA: Bactericida. Actividad intra y extra-celular. Bactericida. Muy barata y poco tóxica. Metabolismo hepático De metabolismo hepático y excreción renal. Alimentos no alteran su absorción. Su absorción es óptima en ayunas. Actividad intracelular predominante. RIFAMPICINA: Bactericida, de amplio espectro. Muy potente. Su efecto bactericida es inmediato: predominantemente esterilizante. De metabolismo hepático y excreción por heces. Su absorción es retardada por alimentos.
  • 24.
    FÁRMACOS ANTI TBDE 2ª LÍNEA CARACTERÍSTICAS FARMACOLÓGICAS
  • 25.
    ESQUEMA UNO: 2HRZE 4 H2R2 INDICACIONES Todo paciente NUEVO, Todo paciente NUEVO, con Dx. de TBC con Dx. de TBC pulmonar y/o pulmonar y/o extrapulmonar, con BK extrapulmonar, con BK + + ó - (incluyendo ó - (incluyendo aquellos aquellos con cultivo de BK + ó -) con cultivo de BK + ó -). asociado a infección VIH/SIDA.
  • 26.
    TRATAMIENTO ESQUEMA UNO 2HREZ/4H2R2 DURACION : 6 meses (82 dosis) FASES DURACION FRECUENCIA MEDICAMENTOS Y TOTAL POR DOSIS ENFERMO Rifampicina x 300: 2 capsulas Isoniacida x 100 mg.: 3 Diario excepto tabletas 02 MESES 1ª FASE domingos y Pirazinamida x 500 mg: (50 DOSIS) R x 300 = 154 cap feriados 3 tabletas H x 100 = 406 tab. Etambutol x 400 mg: 3 Z x 500 = 150 tab. tabletas E x 400 = 150 tab. Rifampicina x 300: 2 04 meses Dos veces por capsulas 2ª FASE (32 dosis) semana Isoniacida x 100 mg: 8 tabletas NOTA: -Los enfermos con menos de 50Kg. de peso, niños y adultos, las dosis se administran de acuerdo con el peso del paciente según la posología adjunta. -En menores de 7 años debe valorarse el riesgo beneficio del uso del Etambutol por el riesgo de producir Neuritis óptica. Utilizar Estreptomicina como medicamento alternativo al Etambutol.
  • 27.
    Retratamiento Retto. Empírico Individualizado TRATAMIENTO DE • Transitorio hasta que LA TB MDR cuente con Prueba de • Indicado en Px. Con Sensibilidad. TB y cuentan con Prueba de Sensibilidad. • Duración de 18 y 24 meses. • Duración de 24 meses • En Pac. NT o AT contacto de TB MDR documentado. Retratamiento Estandarizado •Transitorio hasta que se cuente con una Elección de Prueba de Sensibilidad, para aquellos Pac. de los fármacos fracaso al esquema uno ó dos y dura 18 meses. a utilizar Grupo 1: Fármacos orales de primera línea (H, R, E, Z). Grupo 2: Inyectables (Aminoglicósidos, capreomicina). Grupo 3: : Quinolonas (ciprofloxacino, moxifloxacino). Grupo 4: Etionamida, Cicloserina, PAS. Grupo 5: Otros: Amoxicilina/Acido Clavulánico, Claritromicina.
  • 28.
    TRATAMIENTO COMPLEMENTARIO NUTRICIÓN REPOSO FÍSICO CIRUGÍA CORTICOIDES TERAPIA PSICOLÓGICA Y SOCIAL
  • 29.
    Tratamiento PREVENCIÓN Vacunación Diagnóstico DE LA BCG TUBERCULOSIS Quimioprofilaxis
  • 30.
    Resistencia natural Aquella que presentan las cepas salvajes, como fruto de su multiplicación continua. Expresión fenotípica. Resistencia adquirida o Produce por una mala terapéutica secundaria Resistencia Paciente portador de una resistencia adquirida contagia a una persona que previamente no ha tomado ningún tratamiento Primaria tuberculoso, le podrá ocasionar una tuberculosis con resistencia.
  • 31.
    Se define como TB multirresistente (TB-MDR) cuando hay bacilos con resistencias a la isoniacida y a la rifampicina al mismo tiempo  Se denomina TB-XDR aquella que es resistente al menos a INH y RMP entre las drogas de primera línea y al menos a tres entre las seis principales drogas de segunda línea
  • 37.
    LOS RIESGOS ACTUALESDE LA TB EN EL PERÚ Y EL MUNDO ESTIGMA Y CO-INFECCION POBREZA DISCRIMINACION TB-VIH/SIDA SISTEMA DE SALUD INEFICIENTE MULTIDROGORRESISTENCIA
  • 38.
    El 58.7% delos casos se concentran en Lima y Callao y en el interior del país las regiones con mayor tasa de incidencia son: Lima Este, Madre de Dios, Lima Norte, Ucayali, Lima Sur, Tacna, Callao, Loreto, Ica y lima Ciudad. La costa y la selva son las regiones con mayor carga de incidencia de Tuberculosis. La Disa Lima Este tuvo la mayor tasa de morbilidad e incidencia de TB registrada en el año 2005.
  • 40.
    Decisión gubernamental Elaboración del Organización de apoyo al documento de programa. doctrinas normas y procedimientos del PNCTBC Capacitación, supervisión e investigación MINSA Mejorar la red de laboratorios Estructuración Abastecimiento
  • 41.
    DOTS DOTS - PLUS ESTRATEGIAS CREADAS POR LA OMS EN RESPUESTA A LA TBC
  • 42.
    Implementación de lasEstrategias DOTS y DOTS PLUS en el Perú 1980 DOTS 1990 Detección-Diagnostico-Tratamiento 1996 DOTS PLUS Estrategia en desarrollo 1997 Uso de fármacos de segunda línea 2001 Cambio de indicación
  • 43.
    Componentes claves del DOTS, DOTS - PLUS Diagnóstico oportuno
  • 44.
    RM 771-2004 MINSA:  Estrategia Sanitaria Nacional de Prevención y control de la Tuberculosis.  Suministro de medicamentos y material de laboratorio.  Personal motivado y capacitado.  Coordinación intra e intersectorial.
  • 45.
    Red funcional de laboratorios.  Unidades recolectoras de muestras.  Control calidad de baciloscopías.
  • 46.
    Formulación del Programación requerimiento Evaluación Adquisición Almacenamiento y conservación Distribución
  • 47.
    Tratamiento Identificación y supervisado en Manejo de las boca RAFA’s Seguimiento Educación sanitaria Bacteriológico y al paciente y la clínico familia
  • 48.
    Libro de registrode Sintomáticos respiratorios Libro de registro de Investigación bacteriológica Sistema de registro Libro de registro y Seguimiento de casos Libro de registro y Seguimiento de casos crónicos Información operacional Información epidemiológica Sistema de información Estudios de cohorte
  • 49.
    Control de laTuberculosis por Etapas de Vida  Se adquiere en todas la etapas de vida  La Tuberculosis se incrementa a partir de los 15 años  La Tuberculosis la adquieren un grupo importante del adulto mayor. CICLOS DE VIDA Entorno ETAPAS DE Niñ @VIDA LA Comunidad Comu - Ambiente Niñez Familia Persona Persona Adolescente Adolescencia Familia AdultezAdult@ nidad Senectud Adult@ Mayor
  • 50.
    Alianzas estrategicas Dirección Actores Dirección General Ejecutiva sociales Dirección de Salud de las Salud Personas Ambiental Gobierno Dirección de Dirección de Administración Regional Epidemiologia Local Dirección Comunidad Dirección de Laboratorio Organizada Promoción de CL La Salud MAIS Usuario/as MODELO DE ATENCIÓN INTEGRAL DE SALUD DAIS Dirección de estadistica Dirección de Redes Dirección de Logística Dirección de Planificació y Dirección Presupuesto de Recursos Humanos Dirección de Dirección de Servicio de Medicamentos e Salud Insumos
  • 51.
    El MAIS es una oportunidad para la Estrategia Sanitaria del Control de la TB  El MAIS fortalece las acciones dentro de los servicios de salud.  El MAIS fortalece la aplicación del DOTS Y DOTS PLUS.
  • 52.
    TBC S P I I A I N PERSONA FAMILIA COMUNIDAD S N T A T E G E G G R A R MAIS S R A L I L I D S I D R D A M A D E D R D O SALUD AMBIENTAL
  • 53.
    DERECHOS HUMANOS YÉTICA EN EL CONTROL DE LA TUBERCULOSIS: Derechos del Paciente con tuberculosis: Cuidado. Deberes del paciente Dignidad. con tuberculosis: Información. Intercambiar información. Elección. Seguir el tratamiento. Justicia. Contribuir a la salud Organización. comunitaria. Seguridad.
  • 54.
    Abogacía Y Educación Y Desarrollo De Políticas Comunicación Alianzas Públicas Para La Salud Estratégicas PROMOCION DE PROMOCIÓN LA SALUD DE LA SALUD Participación Intervención Ciudadana Y Intervención En Municipios Empoderamient En Y o Instituciones Comunidades Educativas