TERALOGIA DE FALLOT
Situs solitus con conexión venoatriales normales.
Atrio derecho e izquierdo de dimensiones normales.
Tabique inter – atrial integro, conexión atrio ventricular normal, concordante.
Válvula tricúspide normal, válvula mitral normal.
Ventrículo derecho con hipertrofia moderada y con gradiente de VD – TP : 110 mmHg.
Ventrículo izquierdo normal.
Tabique interventricular con C.I.V. amplia subaórtica de 19 mm.
Conexión ventrículo arterial concordante normal.
Válva pulmonar anterior con estenosis.
Válva
aórtica trivalva con cabalgamiento menos de 50% de la Ao. Arteria
pulmonar a la derecha con dilatación importante después de la
estenosis.
Aorta descendente. Arco aórtico a la izquierda.
Impresiona presencia de ductus arterial permeable.
OBSERVACIÓN: No fue posible visualizar la API. APD mide 20 mm.
CONCLUSIONES
Tetralogía de fallot con estenosis valvular pulmonar importante.
Dilatación importante de arterias pulmonares.
Ductus arterial permeable.
TETRALOGIA DE FALLOT
HISTORIA:
Teorías: Anomalías congénitas
Hipótesis:
* Siglo XVII: 1) Impresiones visuales durante embarazo.
2) Hibridismo.
- 1.651. Harvey: Detenciones desarrollo (embrionario).
- 1.671. Nieldes Stensen: Describe Complejo.
* Siglo XVIII
-1.881. Etienne Louis Arthur Fallot : Tetralogía de Fallot.
Honor: Observaciones cianóticas adultos.
Resultado anomalías definidas.
* Década 30. Siglo XX: Helen B. Taussig: Cadiología infantil.
- 1.945: Alfred Blalock: Intervención quirúrgica.
- Andre F. cournand: Catetisismo cardiaco.
- Dickenson y Werner Fuiismer. (premio Nóbel de Medicina)
- 1.956. circulación extracorpórea.
- Evolución, diagnóstico métodos invasivos y no invasivos - tratamiento – cirugía.
INTRODUCCION
Cardiopatía congenita cianotica mas frecuente en niños y adultos.
Es responsable del 4-10 % de todas las enfermedades (CC ).
Afecta por igual a ambos sexos.
El riesgo en hermanos es del 3%.
Asociados .S.Dawn con prevalencia del 50%.
El 15 % de los pacientes presentan deleccion del cromosoma (22q11).
ASCARDIO : (1977-1996) Epidemiologia.
Comunicación interventricular(CIV) 785 24,7
Persistencia del conducto arterioso (PCA) 405 12,7
Estenosis valvular pulmonar (EP) 278 8,7
Tetralogía de Fallot (TF) 168 5,2
ANATOMIA
DEFINICION
1888 FALLOT DEFINE COMO ANOMALIA CONGENITA CARACTERIZADA POR:
Estenosis pulmonar
Defecto del tabique ventricular (DTV)
Acabalgamiento de la Aorta
Hipertrofia del ventriculo derecho.
* Van Praagh y Cols: “Hipoplasia Infundibular”
Inserción anterior y cefálica del tabique de salida infundibular en el resto del tabique ventricular
origina (DTV). Ao derecha.
EMBRIOLOGIA
Cardiopatia,
resultante de la partición desigual del tronco-cono a expensas de la
Arteria Pulmonar, lo que determina una imperfecta alineación de la
contribución del septùm tronconal (porcion bulbar) y de los coginetes
auriculo-ventriculares porción membranosa, con el tabique
interventricular primitivo; añadiendose una malformación prevalente y
única del tracto de salida.
FISIOPATOLOGIA
LA CIANOSIS. Y la Hipoxia, son típicas TF.
Existe gran DTV, presiones VD-VI
El flujo de sangre pulmonar esta determinado por el grado de EP. Y PVD.
Paso-VI- retorno venoso total, y la RVS.
CRISIS CIANOTICA. Disminuye RVS
Aumenta del retorno venoso sistémico
Aumenta en la estenosis pulmonar.
FACTORES PRICIPITANTES.
El llanto ,defecación, alimentación.
Se acompañan de un incremento de los requerimientos de oxigeno, y se asocia con aumento
del retorno venoso
CLINICA
SEMIOLOGIA CLINICA
INSPECCION.- Cianosis.mucosa,labios,boca, uñas, Superficie cutánea azulado oscuro
Escleras,crisis,
conjuntivitis leve,mucosa faringe, púrpura,lengua,azul
oscuro.macroglosia, encías inflamadas- Manos y dedos Palillos de
tambor.
Disnea de esfuerzo, y paroxística.
Crisis HIPOXICAS. Inquietud. Disnea, actitud tónica convulsiones tónicas, hipotonía.
Tetralogia de fallot con estenosis valvular pulmonar importante. Caso clinico 4.
COMPONENTES CLASICOS
Episodios Hipoxicos
Aumento agresivo de la Fc.profundidad Respiratoria.
Disnea Paroxística
Cianosis
Flacidez y Sincope
Convulsiones, ACV.y Muerte.
EXAMEN FÍSICO
Aspecto subdesarrollado.
Pulso arterial. Normal
Pulso Venoso yugular. Normal
Región precordial.- inspección. Aumento de latido paraesternal izquierda.Asimetría Torácica
leve. Surcos de Harrinson.
Auscultación.-IRN,único y audible
Acompañado CLICK de eyección tipo Pulmonar
SOPLO ROMBOIDAL.IIIEIIZQ II-IV
IIR,único e intenso. A expensas del componente Aórtico, El Componente del IIR Pulmonar es
típicamente inaudible.
Existe SOPLO CONTINUO HOLOSISTOLICO.INFRACLAVICULAR ASOCIADO A PCA.
IVR es excepcional.
La posición de agachado y.o cuclillas.
Se
comprimen la Aorta Abdominal y los órganos abdominales, y aumenta la
Resistencia vascular sistémica, se eleva por la compresión de la venas
de los miembros inferiores, estos incrementa hemodinamicamente la
saturación de oxigeno en la aorta.
La Hipoxemia se compensa por.-
1.- Desarrollo circular colateral.
2.- Policitemia.
RADIOLOGIA
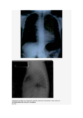
Tetralogia de fallot con estenosis valvular pulmonar importante. Caso clinico 5.
TETRALOGÍA DE FALLOT CLASICA
Rx P/A
Elevación
de la punta de la silueta cardiaca Corazón de Zueco. Desplazamiento
hacia arriba y afuera del borde ventricular izquierdo.rectilineo o
levemente abombado.imagen de hombre caido. Hipoflujo pulmonar.
PROYECCION LATERAL IZQUIERDA.
Arco inferior del borde anterior en contacto con el esternon.
TRATAMIENTO MEDICO
FARMACOLOGIA
CIRUGIA
INDICACION QUIRURGICA.
TF.-Bien tolerada, aumento de peso.
TF.- Mal tolerada, crisis hipoxia.
Severidad crisis hipoxia
Disponibilidad Servicio Quirúrgico.
DIAGNOSTICO DIFERENCIAL
TRANSPOSICION DE GRANDES VASOS.
ATRESIA TRICUSPIDICA.
ANOMALIA DE EBSTEIN.
ATRESIA PULMONAR.
Autores:
Dr. José Luís Villegas P
Resid: Curso Intermedio
Resd II año Dr. Aquilino González
Resd. III año Dra. Gladys Perez

Teralogia de fallot

  • 1.
    TERALOGIA DE FALLOT Situssolitus con conexión venoatriales normales. Atrio derecho e izquierdo de dimensiones normales. Tabique inter – atrial integro, conexión atrio ventricular normal, concordante. Válvula tricúspide normal, válvula mitral normal. Ventrículo derecho con hipertrofia moderada y con gradiente de VD – TP : 110 mmHg. Ventrículo izquierdo normal. Tabique interventricular con C.I.V. amplia subaórtica de 19 mm. Conexión ventrículo arterial concordante normal. Válva pulmonar anterior con estenosis. Válva aórtica trivalva con cabalgamiento menos de 50% de la Ao. Arteria pulmonar a la derecha con dilatación importante después de la estenosis. Aorta descendente. Arco aórtico a la izquierda. Impresiona presencia de ductus arterial permeable. OBSERVACIÓN: No fue posible visualizar la API. APD mide 20 mm. CONCLUSIONES Tetralogía de fallot con estenosis valvular pulmonar importante. Dilatación importante de arterias pulmonares. Ductus arterial permeable. TETRALOGIA DE FALLOT HISTORIA: Teorías: Anomalías congénitas Hipótesis: * Siglo XVII: 1) Impresiones visuales durante embarazo. 2) Hibridismo. - 1.651. Harvey: Detenciones desarrollo (embrionario). - 1.671. Nieldes Stensen: Describe Complejo. * Siglo XVIII -1.881. Etienne Louis Arthur Fallot : Tetralogía de Fallot. Honor: Observaciones cianóticas adultos. Resultado anomalías definidas. * Década 30. Siglo XX: Helen B. Taussig: Cadiología infantil. - 1.945: Alfred Blalock: Intervención quirúrgica. - Andre F. cournand: Catetisismo cardiaco. - Dickenson y Werner Fuiismer. (premio Nóbel de Medicina) - 1.956. circulación extracorpórea. - Evolución, diagnóstico métodos invasivos y no invasivos - tratamiento – cirugía. INTRODUCCION Cardiopatía congenita cianotica mas frecuente en niños y adultos. Es responsable del 4-10 % de todas las enfermedades (CC ). Afecta por igual a ambos sexos. El riesgo en hermanos es del 3%. Asociados .S.Dawn con prevalencia del 50%. El 15 % de los pacientes presentan deleccion del cromosoma (22q11). ASCARDIO : (1977-1996) Epidemiologia. Comunicación interventricular(CIV) 785 24,7 Persistencia del conducto arterioso (PCA) 405 12,7 Estenosis valvular pulmonar (EP) 278 8,7 Tetralogía de Fallot (TF) 168 5,2 ANATOMIA DEFINICION 1888 FALLOT DEFINE COMO ANOMALIA CONGENITA CARACTERIZADA POR: Estenosis pulmonar Defecto del tabique ventricular (DTV)
  • 2.
    Acabalgamiento de laAorta Hipertrofia del ventriculo derecho. * Van Praagh y Cols: “Hipoplasia Infundibular” Inserción anterior y cefálica del tabique de salida infundibular en el resto del tabique ventricular origina (DTV). Ao derecha. EMBRIOLOGIA Cardiopatia, resultante de la partición desigual del tronco-cono a expensas de la Arteria Pulmonar, lo que determina una imperfecta alineación de la contribución del septùm tronconal (porcion bulbar) y de los coginetes auriculo-ventriculares porción membranosa, con el tabique interventricular primitivo; añadiendose una malformación prevalente y única del tracto de salida. FISIOPATOLOGIA
  • 3.
    LA CIANOSIS. Yla Hipoxia, son típicas TF. Existe gran DTV, presiones VD-VI El flujo de sangre pulmonar esta determinado por el grado de EP. Y PVD. Paso-VI- retorno venoso total, y la RVS. CRISIS CIANOTICA. Disminuye RVS Aumenta del retorno venoso sistémico Aumenta en la estenosis pulmonar. FACTORES PRICIPITANTES. El llanto ,defecación, alimentación. Se acompañan de un incremento de los requerimientos de oxigeno, y se asocia con aumento del retorno venoso CLINICA SEMIOLOGIA CLINICA INSPECCION.- Cianosis.mucosa,labios,boca, uñas, Superficie cutánea azulado oscuro Escleras,crisis, conjuntivitis leve,mucosa faringe, púrpura,lengua,azul oscuro.macroglosia, encías inflamadas- Manos y dedos Palillos de tambor. Disnea de esfuerzo, y paroxística. Crisis HIPOXICAS. Inquietud. Disnea, actitud tónica convulsiones tónicas, hipotonía. Tetralogia de fallot con estenosis valvular pulmonar importante. Caso clinico 4.
  • 4.
    COMPONENTES CLASICOS Episodios Hipoxicos Aumentoagresivo de la Fc.profundidad Respiratoria. Disnea Paroxística Cianosis Flacidez y Sincope Convulsiones, ACV.y Muerte. EXAMEN FÍSICO Aspecto subdesarrollado. Pulso arterial. Normal Pulso Venoso yugular. Normal Región precordial.- inspección. Aumento de latido paraesternal izquierda.Asimetría Torácica leve. Surcos de Harrinson. Auscultación.-IRN,único y audible Acompañado CLICK de eyección tipo Pulmonar SOPLO ROMBOIDAL.IIIEIIZQ II-IV IIR,único e intenso. A expensas del componente Aórtico, El Componente del IIR Pulmonar es típicamente inaudible. Existe SOPLO CONTINUO HOLOSISTOLICO.INFRACLAVICULAR ASOCIADO A PCA. IVR es excepcional. La posición de agachado y.o cuclillas. Se comprimen la Aorta Abdominal y los órganos abdominales, y aumenta la Resistencia vascular sistémica, se eleva por la compresión de la venas de los miembros inferiores, estos incrementa hemodinamicamente la saturación de oxigeno en la aorta. La Hipoxemia se compensa por.- 1.- Desarrollo circular colateral. 2.- Policitemia. RADIOLOGIA
  • 5.
    Tetralogia de fallotcon estenosis valvular pulmonar importante. Caso clinico 5. TETRALOGÍA DE FALLOT CLASICA Rx P/A
  • 6.
    Elevación de la puntade la silueta cardiaca Corazón de Zueco. Desplazamiento hacia arriba y afuera del borde ventricular izquierdo.rectilineo o levemente abombado.imagen de hombre caido. Hipoflujo pulmonar. PROYECCION LATERAL IZQUIERDA. Arco inferior del borde anterior en contacto con el esternon. TRATAMIENTO MEDICO FARMACOLOGIA CIRUGIA INDICACION QUIRURGICA. TF.-Bien tolerada, aumento de peso. TF.- Mal tolerada, crisis hipoxia. Severidad crisis hipoxia Disponibilidad Servicio Quirúrgico.
  • 8.
    DIAGNOSTICO DIFERENCIAL TRANSPOSICION DEGRANDES VASOS. ATRESIA TRICUSPIDICA. ANOMALIA DE EBSTEIN. ATRESIA PULMONAR. Autores: Dr. José Luís Villegas P Resid: Curso Intermedio Resd II año Dr. Aquilino González Resd. III año Dra. Gladys Perez