Tetralogía de Fallot

    Dra. Lucelli Yáñez Gutiérrez
Servicio de Cardiopatías Congénitas
           HC CMN SXXI
Tetralogía de Fallot


Aspectos históricos

• 1673: Descripcion inicial Dr. Nicholas
  Steno

• 1771: Dr. Eduard Sandifort refiere otro
  caso

• 1888: Etienne-Louis Arthur Fallot
  publicó:
   – Contribution à l’anatomie
     pathologique de la maladie bleu
     (cyanose cardiaque)
Tetralogía de Fallot


Aspectos históricos


                       Blalock y Taussig en 1945:
                       Primera intervención quirúrgica
                       la cual consistió en una cirugía
                       paliativa
Tetralogía de Fallot


Aspectos históricos

• 1948: Sellors y Brock publican la apertura
  quirúrgica o valvulotomía de la válvula
  pulmonar y del tracto de salida del ventrículo
  derecho o infundibulotomía
Tetralogía de Fallot

Comprende 4 defectos clásicos



   DEFECTO SEPTAL VENTRICULAR

   OBSTRUCCIÓN MUSCULAR DEL
   TRACTO DE SALIDA DERECHO

   CONEXIÓN BIVENTRICULAR DE LA
   AORTA CABALGANDO AL SEPTUM

   HIPERTROFIA DEL VENTRÍCULO
   DERECHO
Tetralogía de Fallot


   Alteraciones embriológicas

• El septo conal se desarrolla
  en una posición anormal
• Situándose más anterior de lo
  normal
• El cono cardiaco primitivo
  queda dividido anormal en
  dos canales desiguales (en
  anterior más estrecho)
Tetralogía de Fallot


Anatomía patológica


         Infundíbulo
                         Estenosis
        subpulmonar
                          valvular
          muscular
                        pulmonar en
        hipoplásico y
                            75%
           estrecho


        Agenesia de
                        Hipertrofia
           válvula
                        ventricular
        pulmonar en
                         derecha
             2%
Tetralogía de Fallot


 Anatomía patológica

• Aurícula derecha aumentada con paredes
  hipertróficas
• Dextroposición de Aorta
• Anomalías de las arterias coronarias en 2-8%
• Aorta de tamaño superior al de la arteria
  Pulmonar
• En 25% arco aórtico derecho
• Comunicación interventricular
Tetralogía de Fallot


Incidencia

• 3.5% Cardiopatías Congénitas

• 10% en México

• 1 por cada 3,600 nacidos vivos

• Sin predominio de sexo

• Cardiopatía cianógena más frecuente después
  del 1er. Año de vida
Tetralogía de Fallot


Etiología

 Etiología desconocida,
  probable deleción de
cromosoma 22q11 (15%)

 Asociado a Sx de Down,
   DiGeorge, Laurence


Moon, Bield y Goldenhar


                          • Consumo excesivo de alcohol
   Factores asociados     • Ingesta de anticomiciales
                          • Madres con fenilcetonuria
Tetralogía de Fallot


 Fisiopatología

• Las consecuencias
  hemodinámicas dependen de:
   – Severidad de la obstrucción del
     tracto de salida
   – Tamaño del defecto septal
     ventricular (generalmente
     grande)



• Los flujos relativos pulmonar y
  sistémico dependen:
   – Resistencias
   – Cortocircuito
   – Presiones ventriculares
Tetralogía de Fallot


Anomalías asociadas

                 Arteria subclavia izquierda aberrada 10%


                           Canal AV común 2%


                   Drenaje venoso anómalo parcial 1%


                            Dextrocardia 1%


                            VCS izquierda 8%
Tetralogía de Fallot


Cuadro clínico

• Cianosis y/o crisis hipoxia
• Tolerancia disminuida al esfuerzo
• Posición en cuclillas (incrementa
  retorno venoso)
• Dedos en palillo de tambor
• Soplo sistólico pulmonar o III EIC
  izquierdo
• Soplo continuo cuando hay PCA
Tetralogía de Fallot


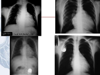
    Radiografía de tórax




Cardiomegalia leve
Arco de la pulmonar excavado
Levantamiento de la punta del corazón
Oligohemia pulmonar
Arco aortico derecho (25%)
Tetralogía de Fallot


Radiografía de tórax
Tetralogía de Fallot


Radiografía de tórax
Tetralogía de Fallot


Electrocardiograma




                       Normal los primeros días de vida
                       Ondas P picudas en DII y V1
                       AQRS a la derecha
                       CVD
Tetralogía de Fallot


     EKG




•   Existe transición brusca entre el QRS en V1 (básicamente R monofásica)
•   Positividad onda T en precordiales derechas y sin negatividad de las izquierdas y en V2
    (QRS isodifásico)
Tetralogía de Fallot


Electrocardiograma
Tetralogía de Fallot


Ecocardiograma




La localización y las características anatómicas de la comunicación interventricular.
El grado de dextroposición y cabalgamiento de la aorta.
La obstrucción del tracto de salida del ventriculo derecho
El tamaño de la unión ventrículo derecho-arteria pulmonar (anillo pulmonar) y las características de la válvula pulmonar
El tamaño de la arteria pulmonar y de sus ramas y la procedencia del flujo sanguíneo pulmonar.
Origen y distribución de las arterias coronarias.
Anomalías asociadas.
Tetralogía de Fallot


Datos ecocardiográficos

• La obstrucción del
  tracto de salida del VD
  (TSVD)

• El tamaño de la unión
  ventrículo derecho-
  arteria pulmonar (anillo
  pulmonar) y las
  características de la
  válvula pulmonar.
Tetralogía de Fallot


Hemodinamia

 • Presiones ventriculares
   similares
 • Gradiente de presión entre   84/4
                                84%
   VD y TAP
 • Contractilidad ventricular
   aumentada
 • CCID o CCDI
 • Salto oximétrico AD a VD
 • Desaturación de VI a Aorta
Tetralogía de Fallot


Angiocardiografía

   Anatomía del ventrículo
         derecho

    Anatomía de la válvula
         pulmonar

  Morfología y tamaño de la
  arteria pulmonar y ramas


      Anatomía de la CIV


  Origen y distribución de las
          coronarias

    Anatomía de la aorta y
     troncos supraaórtico
Tetralogía de Fallot


Aspectos angiográficos

El ventriculograma derecho y el aortograma
son los que dan más información

ODA y AP con angulación craneal, mejor
visualización del infundíbulo, tronco de arteria
pulmonar y bifurcación


LAT permite ver el tracto de salida del VD


Selectivas en tronco y ramas en ODA con
angulación craneal, se observa mejor la
bifurcación
Tetralogía de Fallot


Indice de McGoon

Para una corrección completa,
  en proyección A-P, la
  medición de los diametros
  de las ramas debe ser >= al
  diametro de Aorta a nivel
  del diafragma
Tetralogía de Fallot


Coronariografía

- Aortograma y
  coronariografía selectiva
  para demostrar anomalías
  coronarias (5%) lo cual
  puede impedir o dificultar
  la ventriculotomía
Tetralogía de Fallot


Anomalías coronarias más frecuentes

• 1) La DA se origina
  de la Coronaria
  derecha, pasando
  por enfrente o
  detrás de la
  pulmonar.
  - enfrente: evita la
  ventriculotomía
  - detrás : no la evita
Tetralogía de Fallot


Anomalías coronarias frecuentes

• 2) La coronaria
  derecha se origina de
  la coronaria izquierda
  y ésta puede pasar
  enfrente o detrás de
  la pulmonar
Tetralogía de Fallot


Anomalías coronarias frecuentes




• 3) arteria coronaria
  única.
Tetralogía de Fallot


Angiocardiograma
Tetralogía de Fallot


Otro caso
Tetralogía de Fallot

Otros estudios :
Resonancia Magnética Nuclear
Tetralogía de Fallot


Lesiones asociadas



                       • FOP o CIA
                       • PCA
                       • Ventana Aorto Pulmonar sin
   Leves                 hipertensión pulmonar
                       • Estenosis periférica de ramas
                         pulmonares
Tetralogía de Fallot


Lesiones asociadas Graves

                        Estenosis periférica de
                          ramas pulmonares
                         Anomalía de arteria
                           coronaria (5%)
                         Agenesia de valvas
                            pulmonares
                         Drenaje pulmonar o
                         sistémico anómalo

                            Hemitruncus

                       Resistencias pulmonares
                               elevadas

                             CIV múltiple
Tetralogía de Fallot


Tratamiento

• El 70% de los pacientes con tetralogía de Fallot
  sintomáticos necesitan una intervención en el
  primer año de vida.

• Si se dejan a la evolución natural, sólo llega a
  la edad adulta un 5%
Tetralogía de Fallot


Historia natural

• 25% fallecen antes del año
• 40% antes de los 4 años
• 70% antes de los 10 años
• Accidente trombótico con edad y policitemia
• Daño miocárdico (x hipoxia, sobrecarga de Pº
  y vol. de VD)     ICC, isq. subendocárdica
• Crisis de hipoxia     MUERTE
Tetralogía de Fallot


Dos grandes grupos


             Tratamiento Médico

   Tratamiento
                       Paliativo   Correctivo
    Quirúrgico

     Cardiología Intervencionista??
Tetralogía de Fallot


Tratamiento


  El tratamiento es
  quirúrgico, pero las
  estenosis valvulares
  pulmonares y de ramas
  pueden ser tratadas
  por angioplastía con
  balón.
Tetralogía de Fallot
Tetralogía de Fallot


Tratamiento Médico




                       Dieta rica en hierro   Betabloqueadores




                          Manejo de la        Manejo de crisis de
                          policitemia             hipoxia
Tetralogía de Fallot


Tratamiento quirúrgico

• La decisión entre cirugía paliativa o correctora
  dependerá de la experiencia y de los
  resultados de cada grupo.
• En la cirugía paliativa deben evitarse las
  conexiones que pueden provocar
  hipertensión pulmonar o distorsiones de las
  arterias pulmonares.
• La recomendación fundamental es intentar
  la corrección completa lo antes posible.
Tetralogía de Fallot


Clasificación quirúrgica

     Anatomía
                       • Ramas de arteria pulmonar de diámetro
 favorable: no hay       normal
 contraindicación      • Ventrículo izquierdo de tamaño adecuado
  para corrección      • Ausencia de lesiones asociadas severas
     completa


                       • Ramas pulmonares o Ventrículos
     Anatomía            hipoplásicos
    desfavorable       • Lesiones asociadas severas que aumentan
                         el riesgo de corrección total
Tetralogía de Fallot


Elección de la técnica quirúrgica

• < de 6 meses Qx paliativa

• 6 – 12 meses Qx paliativa excepto en casos
  con anatomía favorable

• > de 1 año asintomáticos y anatomía
  favorable: corrección total
Tetralogía de Fallot




• Se estudiaron 227 niños con TF entre 1993-
  1998 a quienes se les realizo Corrección total,
  en donde se concluye de acuerdo a los
  resultados básicos fisiológicos una menor
  mortalidad si se realiza la reparación entre los
  3 a 11 meses de edad          Circulation. 2000;102[suppl III]:III-123-III-129.
Tetralogía de Fallot


Complicaciones de cirugía

                       Inmediatas
                       • Arritmias
                       • Falla ventricular derecha




                       Tardías
                       •   Insuficiencia pulmonar
                       •   Insuficiencia aórtica
                       •   CIV residual
                       •   Arritmias cardiacas
Tetralogía de Fallot


Factores que aumentan la morbi-mortalidad

• Anomalías de la      • Tx Qx paliativo
  arteria pulmonar       previo
• Defectos asociados   • Ventriculotomía
• Hematócrito preQx    • Parche de
• Bajo peso y corta      ampliación
  edad                 • Insuficiencia
                         pulmonar
• Edad > de 3 años
                       • Relación VD/VI > 0.8
                       • Arritmias
Tetralogía de Fallot


Pronóstico y sobrevida

•   Bueno
•   Mortalidad hospitalaria < de 2%
•   PO inmediato: GC, disf. diast. der, arritmias
•   90% de sobrevida a los 20 a, 85% 30 a
•   Buena calidad de vida
•   Mortalidad (FCD, arritmias, endocarditis)
•   Reintervención 5 – 10%
Pacientes de por vida

  Necesitan un cardiólogo con
         conocimiento
Tetralogía de Fallot


¿Cuándo prótesis pulmonar?

• Actualmente : estamos viviendo todas las
  complicaciones secundarias a la cirugía
• La insuficiencia pulmonar es frecuente en
  postoperados de tetralogía de Fallot
   – Dilatación progresiva VD
   – Arritmias
   – M. súbita
• Lesión benigna, bien tolerada
Tetralogía de Fallot


Predictores de riesgo para desarrollar IP

                    Edad de cirugía de reparación de Fallot

                 Tiempo desde la evaluación a la reparación.

                                   Síncope

              Síntomas de falla cardiaca equivalentes a NYHA >II.

                                Disfunción VD

                               QRS ≥ 180 mseg

                 Volumen final de la diástole del VD (VFDVD)

                          Tamaño VD (medido RM)
Tetralogía de Fallot


Cómo evaluar a los pacientes


Clase funcional de pacientes:
Prueba de Naughton

Radiografía de tórax: Grado
de cardiomegalia

Electrocardiograma:
Duración del QRS
Tetralogía de Fallot
Tetralogía de Fallot


Parámetros Ecocardiográficos

• Diámetro VD
• Pendiente de desaceleración pulmonar
• Insuficiencia valvular pulmonar y tricuspídea
• Onda “s” del anillo tricuspídeo lateral con
  Doppler tisular
• Indice de desempeño miocárdico
• TAPSE
• Relación E / A
Tetralogía de Fallot


Doppler color y Doopler continuo
Tetralogía de Fallot


Doppler pulsado y TAPSE
Tetralogía de Fallot


Doppler tisular
Tetralogía de Fallot


Experiencia en el hospital

• N= 11 casos operados de corrección total

• 8 hombres, 3 mujeres

• Edad 5 a 36 años (media 13.2 años)

• Tiempo entre la cirugía y las complicaciones
  de 5 a 30 años (promedio 7.8 años)
Tetralogía de Fallot


Parámetros clínicos, radiológicos y EKG

• Clase funcional:
   – I y II (82%)
   – III (9%)
   – IV (9%)
• Radiografía de tórax:
   – Cardiomegalia I (36%)
   – Cardiomegalia II (27%)
   – Cardiomegalia III (9%) IV (27%)
• Se midió la amplitud del QRS que varió de 120-
  220 ms con media de 177.1.
Tetralogía de Fallot


Parámetros ecocardiográficos

   Parámetro                              Valores
   Relación EA Tricúspide                 1.18 + 0.36
   Indice de TEI                          0.30 + 0.17
   TAPSE                                  14.3 + 3.5
   Pendiente de desaceleración pulmonar   962 + 315
   Pared libre VD                         6.7 + 2.5
   Anillo tricuspídeo lateral             8.5 + 2.09
   Anillo mitral septal                   7.7 + 2.07
   Anillo mitral lateral                  6.4 + 2.45
Tetralogía de Fallot


Resonancia Magnética


      Volumen final
      de la diástole     Fracción
       y sístole del   expulsión VD
       VD ajustado
             SC



      Seguimiento:
       cada 2 años
Tetralogía de Fallot
Tetralogía de Fallot


Cateterismo cardiaco
Tetralogía de Fallot


Criterios para reemplazo valvular pulmonar


Insuficiencia pulmonar moderada a severa
(Fracción regurgitación >25% por RM cardiaca) y uno
de los siguientes:
 •   Volumen final diástole VD ≥ 160 ml/m2 (valor z >5).
 •   Volumen final de la sístole VD ≥ 70 ml/m2
 •   Volumen final diástole ≤65 ml/m2
 •   Fracción expulsión VD ≤ 45%.
 •   Aneurisma tracto salida VD
 •   Criterios clínicos: intolerancia ejercicio, síntomas o signos de falla
     cardiaca, uso de medicamentos cardiacos, síncope, TV sostenida
Tetralogía de Fallot

Criterios para el
reemplazo valvular pulmonar
               Otras lesiones hemodinámicas significativas:
               • Insuficiencia tricuspídea
               • Defectos septales
               • Insuficiencia Aórtica.




               Pueden ser considerado tempranamente para RVP
               • Pacientes con alto riesgo
               • Predictores clínicos de mal pronóstico
               • Sometidos a cirugía de reparación de Fallot < 3 años
               • Presencia de dilatación o disfunción VD.
Tetralogía de Fallot


Pronóstico

                        Mortalidad perioperatoria
                                  baja

                            Riesgo de muerte se
                          incrementa posterior al
                       reemplazo valvular pulmonar

                       Sobrevida a 5 años del 92% y
                            a 10 años del 86%.

                         Libre de reeoperación en
                       81% a 5 años, 58% a 10 años,
                              y 41% a 15 años.

                        Predictor de reeoperación
                        temprana es reemplazo a
                               edad joven.


                                            Pediatr Card Surg Ann 2006; 9:11-22
El futuro está aquí
Tetralogía de Fallot
Tetralogía de Fallot


Dos tipos de prótesis percutáneas


Melody (Medtronic)
 • FDA: HDE Approval in US (Jan 2010)
 • World Wide: >1300 patients implanted in 95 Countries
Edwards Sapiens
 • Edwards SAPIEN Transcatheter Heart Valve
 • The COMPASSION Study
   • COngenital Multicenter trial of Pulmonic vAlve
     regurgitation Studying the SAPIEN™ nterventIONal THV
Tetralogía de Fallot


Melody

                       18mm Modified
                       Contegra Bovine
                       Jugular Vein Valve
                       • Platinum Iridium
                         Frame
                       • 28mm length
                       • Crimped down to
                         6mm, re-expanded
                         18mm up to 22mm
Tetralogía de Fallot


Edwards Sapien

                       Bovine
                       pericardial tissue
                       • Carpentier-Edwards
                         ThermaFix process*
                       • Stainless steel frame
                       • 23 mm and 26 mm
                         diameters
                       • Delivered through a
                         22-24 F sheath
Tetralogía de Fallot


Cuál es la importancia
                                        Patients per year
                                           potentially
                       3,237                 eligible


                 Adult Patients
                  with RV–PA
                   Conduit
                                       • 4,662
              Patients with CHD of
                Right Ventricle to
               Pulmonary Artery
                                            • 7, 811
              Children Born with
            Congenital Heart Disease               • 35,000
             Children Born Per Year                         • 4.1 Million
Tetralogía de Fallot


Conclusiones

• El diagnóstico se debe hacer en forma
  temprana
• Se debe enviar a corrección total a temprana
  edad
• Se requiere vigilancia multidisciplinaria DE
  POR VIDA
• EL paciente operado NO ESTÁ CURADO
Tetralogía de Fallot


Conclusiones

• La ecocardiografía convencional y con Doppler
  tisular representa una excelente alternativa.

• La medición de éstos parámetros nos brindan
  la base de apoyo para indicar implante de
  prótesis en posición pulmonar en pacientes
  PO de corrección total de TF
Tetralogía de Fallot


Conclusiones

• La Resonancia magnética ( estándar de oro):
  Vol. Diast. Final del VD: 150 – 200 ml/m2
  es indicación precisa

• La cardiología intervencionista representa una
  alternativa excelente y evita la cirugía de un
  miocardio de por sí dañado
Tetralogía de Fallot


Dudas o comentarios ….

Tetralogía de Fallot

  • 1.
    Tetralogía de Fallot Dra. Lucelli Yáñez Gutiérrez Servicio de Cardiopatías Congénitas HC CMN SXXI
  • 2.
    Tetralogía de Fallot Aspectoshistóricos • 1673: Descripcion inicial Dr. Nicholas Steno • 1771: Dr. Eduard Sandifort refiere otro caso • 1888: Etienne-Louis Arthur Fallot publicó: – Contribution à l’anatomie pathologique de la maladie bleu (cyanose cardiaque)
  • 3.
    Tetralogía de Fallot Aspectoshistóricos Blalock y Taussig en 1945: Primera intervención quirúrgica la cual consistió en una cirugía paliativa
  • 4.
    Tetralogía de Fallot Aspectoshistóricos • 1948: Sellors y Brock publican la apertura quirúrgica o valvulotomía de la válvula pulmonar y del tracto de salida del ventrículo derecho o infundibulotomía
  • 5.
    Tetralogía de Fallot Comprende4 defectos clásicos DEFECTO SEPTAL VENTRICULAR OBSTRUCCIÓN MUSCULAR DEL TRACTO DE SALIDA DERECHO CONEXIÓN BIVENTRICULAR DE LA AORTA CABALGANDO AL SEPTUM HIPERTROFIA DEL VENTRÍCULO DERECHO
  • 6.
    Tetralogía de Fallot Alteraciones embriológicas • El septo conal se desarrolla en una posición anormal • Situándose más anterior de lo normal • El cono cardiaco primitivo queda dividido anormal en dos canales desiguales (en anterior más estrecho)
  • 7.
    Tetralogía de Fallot Anatomíapatológica Infundíbulo Estenosis subpulmonar valvular muscular pulmonar en hipoplásico y 75% estrecho Agenesia de Hipertrofia válvula ventricular pulmonar en derecha 2%
  • 8.
    Tetralogía de Fallot Anatomía patológica • Aurícula derecha aumentada con paredes hipertróficas • Dextroposición de Aorta • Anomalías de las arterias coronarias en 2-8% • Aorta de tamaño superior al de la arteria Pulmonar • En 25% arco aórtico derecho • Comunicación interventricular
  • 9.
    Tetralogía de Fallot Incidencia •3.5% Cardiopatías Congénitas • 10% en México • 1 por cada 3,600 nacidos vivos • Sin predominio de sexo • Cardiopatía cianógena más frecuente después del 1er. Año de vida
  • 10.
    Tetralogía de Fallot Etiología Etiología desconocida, probable deleción de cromosoma 22q11 (15%) Asociado a Sx de Down, DiGeorge, Laurence Moon, Bield y Goldenhar • Consumo excesivo de alcohol Factores asociados • Ingesta de anticomiciales • Madres con fenilcetonuria
  • 11.
    Tetralogía de Fallot Fisiopatología • Las consecuencias hemodinámicas dependen de: – Severidad de la obstrucción del tracto de salida – Tamaño del defecto septal ventricular (generalmente grande) • Los flujos relativos pulmonar y sistémico dependen: – Resistencias – Cortocircuito – Presiones ventriculares
  • 12.
    Tetralogía de Fallot Anomalíasasociadas Arteria subclavia izquierda aberrada 10% Canal AV común 2% Drenaje venoso anómalo parcial 1% Dextrocardia 1% VCS izquierda 8%
  • 13.
    Tetralogía de Fallot Cuadroclínico • Cianosis y/o crisis hipoxia • Tolerancia disminuida al esfuerzo • Posición en cuclillas (incrementa retorno venoso) • Dedos en palillo de tambor • Soplo sistólico pulmonar o III EIC izquierdo • Soplo continuo cuando hay PCA
  • 14.
    Tetralogía de Fallot Radiografía de tórax Cardiomegalia leve Arco de la pulmonar excavado Levantamiento de la punta del corazón Oligohemia pulmonar Arco aortico derecho (25%)
  • 15.
  • 16.
  • 17.
    Tetralogía de Fallot Electrocardiograma Normal los primeros días de vida Ondas P picudas en DII y V1 AQRS a la derecha CVD
  • 18.
    Tetralogía de Fallot EKG • Existe transición brusca entre el QRS en V1 (básicamente R monofásica) • Positividad onda T en precordiales derechas y sin negatividad de las izquierdas y en V2 (QRS isodifásico)
  • 19.
  • 20.
    Tetralogía de Fallot Ecocardiograma Lalocalización y las características anatómicas de la comunicación interventricular. El grado de dextroposición y cabalgamiento de la aorta. La obstrucción del tracto de salida del ventriculo derecho El tamaño de la unión ventrículo derecho-arteria pulmonar (anillo pulmonar) y las características de la válvula pulmonar El tamaño de la arteria pulmonar y de sus ramas y la procedencia del flujo sanguíneo pulmonar. Origen y distribución de las arterias coronarias. Anomalías asociadas.
  • 21.
    Tetralogía de Fallot Datosecocardiográficos • La obstrucción del tracto de salida del VD (TSVD) • El tamaño de la unión ventrículo derecho- arteria pulmonar (anillo pulmonar) y las características de la válvula pulmonar.
  • 22.
    Tetralogía de Fallot Hemodinamia • Presiones ventriculares similares • Gradiente de presión entre 84/4 84% VD y TAP • Contractilidad ventricular aumentada • CCID o CCDI • Salto oximétrico AD a VD • Desaturación de VI a Aorta
  • 23.
    Tetralogía de Fallot Angiocardiografía Anatomía del ventrículo derecho Anatomía de la válvula pulmonar Morfología y tamaño de la arteria pulmonar y ramas Anatomía de la CIV Origen y distribución de las coronarias Anatomía de la aorta y troncos supraaórtico
  • 24.
    Tetralogía de Fallot Aspectosangiográficos El ventriculograma derecho y el aortograma son los que dan más información ODA y AP con angulación craneal, mejor visualización del infundíbulo, tronco de arteria pulmonar y bifurcación LAT permite ver el tracto de salida del VD Selectivas en tronco y ramas en ODA con angulación craneal, se observa mejor la bifurcación
  • 25.
    Tetralogía de Fallot Indicede McGoon Para una corrección completa, en proyección A-P, la medición de los diametros de las ramas debe ser >= al diametro de Aorta a nivel del diafragma
  • 26.
    Tetralogía de Fallot Coronariografía -Aortograma y coronariografía selectiva para demostrar anomalías coronarias (5%) lo cual puede impedir o dificultar la ventriculotomía
  • 27.
    Tetralogía de Fallot Anomalíascoronarias más frecuentes • 1) La DA se origina de la Coronaria derecha, pasando por enfrente o detrás de la pulmonar. - enfrente: evita la ventriculotomía - detrás : no la evita
  • 28.
    Tetralogía de Fallot Anomalíascoronarias frecuentes • 2) La coronaria derecha se origina de la coronaria izquierda y ésta puede pasar enfrente o detrás de la pulmonar
  • 29.
    Tetralogía de Fallot Anomalíascoronarias frecuentes • 3) arteria coronaria única.
  • 30.
  • 31.
  • 32.
    Tetralogía de Fallot Otrosestudios : Resonancia Magnética Nuclear
  • 33.
    Tetralogía de Fallot Lesionesasociadas • FOP o CIA • PCA • Ventana Aorto Pulmonar sin Leves hipertensión pulmonar • Estenosis periférica de ramas pulmonares
  • 34.
    Tetralogía de Fallot Lesionesasociadas Graves Estenosis periférica de ramas pulmonares Anomalía de arteria coronaria (5%) Agenesia de valvas pulmonares Drenaje pulmonar o sistémico anómalo Hemitruncus Resistencias pulmonares elevadas CIV múltiple
  • 35.
    Tetralogía de Fallot Tratamiento •El 70% de los pacientes con tetralogía de Fallot sintomáticos necesitan una intervención en el primer año de vida. • Si se dejan a la evolución natural, sólo llega a la edad adulta un 5%
  • 36.
    Tetralogía de Fallot Historianatural • 25% fallecen antes del año • 40% antes de los 4 años • 70% antes de los 10 años • Accidente trombótico con edad y policitemia • Daño miocárdico (x hipoxia, sobrecarga de Pº y vol. de VD) ICC, isq. subendocárdica • Crisis de hipoxia MUERTE
  • 37.
    Tetralogía de Fallot Dosgrandes grupos Tratamiento Médico Tratamiento Paliativo Correctivo Quirúrgico Cardiología Intervencionista??
  • 38.
    Tetralogía de Fallot Tratamiento El tratamiento es quirúrgico, pero las estenosis valvulares pulmonares y de ramas pueden ser tratadas por angioplastía con balón.
  • 39.
  • 40.
    Tetralogía de Fallot TratamientoMédico Dieta rica en hierro Betabloqueadores Manejo de la Manejo de crisis de policitemia hipoxia
  • 41.
    Tetralogía de Fallot Tratamientoquirúrgico • La decisión entre cirugía paliativa o correctora dependerá de la experiencia y de los resultados de cada grupo. • En la cirugía paliativa deben evitarse las conexiones que pueden provocar hipertensión pulmonar o distorsiones de las arterias pulmonares. • La recomendación fundamental es intentar la corrección completa lo antes posible.
  • 42.
    Tetralogía de Fallot Clasificaciónquirúrgica Anatomía • Ramas de arteria pulmonar de diámetro favorable: no hay normal contraindicación • Ventrículo izquierdo de tamaño adecuado para corrección • Ausencia de lesiones asociadas severas completa • Ramas pulmonares o Ventrículos Anatomía hipoplásicos desfavorable • Lesiones asociadas severas que aumentan el riesgo de corrección total
  • 43.
    Tetralogía de Fallot Elecciónde la técnica quirúrgica • < de 6 meses Qx paliativa • 6 – 12 meses Qx paliativa excepto en casos con anatomía favorable • > de 1 año asintomáticos y anatomía favorable: corrección total
  • 44.
    Tetralogía de Fallot •Se estudiaron 227 niños con TF entre 1993- 1998 a quienes se les realizo Corrección total, en donde se concluye de acuerdo a los resultados básicos fisiológicos una menor mortalidad si se realiza la reparación entre los 3 a 11 meses de edad Circulation. 2000;102[suppl III]:III-123-III-129.
  • 45.
    Tetralogía de Fallot Complicacionesde cirugía Inmediatas • Arritmias • Falla ventricular derecha Tardías • Insuficiencia pulmonar • Insuficiencia aórtica • CIV residual • Arritmias cardiacas
  • 46.
    Tetralogía de Fallot Factoresque aumentan la morbi-mortalidad • Anomalías de la • Tx Qx paliativo arteria pulmonar previo • Defectos asociados • Ventriculotomía • Hematócrito preQx • Parche de • Bajo peso y corta ampliación edad • Insuficiencia pulmonar • Edad > de 3 años • Relación VD/VI > 0.8 • Arritmias
  • 47.
    Tetralogía de Fallot Pronósticoy sobrevida • Bueno • Mortalidad hospitalaria < de 2% • PO inmediato: GC, disf. diast. der, arritmias • 90% de sobrevida a los 20 a, 85% 30 a • Buena calidad de vida • Mortalidad (FCD, arritmias, endocarditis) • Reintervención 5 – 10%
  • 48.
    Pacientes de porvida Necesitan un cardiólogo con conocimiento
  • 49.
    Tetralogía de Fallot ¿Cuándoprótesis pulmonar? • Actualmente : estamos viviendo todas las complicaciones secundarias a la cirugía • La insuficiencia pulmonar es frecuente en postoperados de tetralogía de Fallot – Dilatación progresiva VD – Arritmias – M. súbita • Lesión benigna, bien tolerada
  • 50.
    Tetralogía de Fallot Predictoresde riesgo para desarrollar IP Edad de cirugía de reparación de Fallot Tiempo desde la evaluación a la reparación. Síncope Síntomas de falla cardiaca equivalentes a NYHA >II. Disfunción VD QRS ≥ 180 mseg Volumen final de la diástole del VD (VFDVD) Tamaño VD (medido RM)
  • 51.
    Tetralogía de Fallot Cómoevaluar a los pacientes Clase funcional de pacientes: Prueba de Naughton Radiografía de tórax: Grado de cardiomegalia Electrocardiograma: Duración del QRS
  • 52.
  • 53.
    Tetralogía de Fallot ParámetrosEcocardiográficos • Diámetro VD • Pendiente de desaceleración pulmonar • Insuficiencia valvular pulmonar y tricuspídea • Onda “s” del anillo tricuspídeo lateral con Doppler tisular • Indice de desempeño miocárdico • TAPSE • Relación E / A
  • 54.
    Tetralogía de Fallot Dopplercolor y Doopler continuo
  • 55.
  • 56.
  • 57.
    Tetralogía de Fallot Experienciaen el hospital • N= 11 casos operados de corrección total • 8 hombres, 3 mujeres • Edad 5 a 36 años (media 13.2 años) • Tiempo entre la cirugía y las complicaciones de 5 a 30 años (promedio 7.8 años)
  • 58.
    Tetralogía de Fallot Parámetrosclínicos, radiológicos y EKG • Clase funcional: – I y II (82%) – III (9%) – IV (9%) • Radiografía de tórax: – Cardiomegalia I (36%) – Cardiomegalia II (27%) – Cardiomegalia III (9%) IV (27%) • Se midió la amplitud del QRS que varió de 120- 220 ms con media de 177.1.
  • 59.
    Tetralogía de Fallot Parámetrosecocardiográficos Parámetro Valores Relación EA Tricúspide 1.18 + 0.36 Indice de TEI 0.30 + 0.17 TAPSE 14.3 + 3.5 Pendiente de desaceleración pulmonar 962 + 315 Pared libre VD 6.7 + 2.5 Anillo tricuspídeo lateral 8.5 + 2.09 Anillo mitral septal 7.7 + 2.07 Anillo mitral lateral 6.4 + 2.45
  • 60.
    Tetralogía de Fallot ResonanciaMagnética Volumen final de la diástole Fracción y sístole del expulsión VD VD ajustado SC Seguimiento: cada 2 años
  • 61.
  • 62.
  • 63.
    Tetralogía de Fallot Criteriospara reemplazo valvular pulmonar Insuficiencia pulmonar moderada a severa (Fracción regurgitación >25% por RM cardiaca) y uno de los siguientes: • Volumen final diástole VD ≥ 160 ml/m2 (valor z >5). • Volumen final de la sístole VD ≥ 70 ml/m2 • Volumen final diástole ≤65 ml/m2 • Fracción expulsión VD ≤ 45%. • Aneurisma tracto salida VD • Criterios clínicos: intolerancia ejercicio, síntomas o signos de falla cardiaca, uso de medicamentos cardiacos, síncope, TV sostenida
  • 64.
    Tetralogía de Fallot Criteriospara el reemplazo valvular pulmonar Otras lesiones hemodinámicas significativas: • Insuficiencia tricuspídea • Defectos septales • Insuficiencia Aórtica. Pueden ser considerado tempranamente para RVP • Pacientes con alto riesgo • Predictores clínicos de mal pronóstico • Sometidos a cirugía de reparación de Fallot < 3 años • Presencia de dilatación o disfunción VD.
  • 65.
    Tetralogía de Fallot Pronóstico Mortalidad perioperatoria baja Riesgo de muerte se incrementa posterior al reemplazo valvular pulmonar Sobrevida a 5 años del 92% y a 10 años del 86%. Libre de reeoperación en 81% a 5 años, 58% a 10 años, y 41% a 15 años. Predictor de reeoperación temprana es reemplazo a edad joven. Pediatr Card Surg Ann 2006; 9:11-22
  • 66.
  • 67.
  • 68.
    Tetralogía de Fallot Dostipos de prótesis percutáneas Melody (Medtronic) • FDA: HDE Approval in US (Jan 2010) • World Wide: >1300 patients implanted in 95 Countries Edwards Sapiens • Edwards SAPIEN Transcatheter Heart Valve • The COMPASSION Study • COngenital Multicenter trial of Pulmonic vAlve regurgitation Studying the SAPIEN™ nterventIONal THV
  • 69.
    Tetralogía de Fallot Melody 18mm Modified Contegra Bovine Jugular Vein Valve • Platinum Iridium Frame • 28mm length • Crimped down to 6mm, re-expanded 18mm up to 22mm
  • 70.
    Tetralogía de Fallot EdwardsSapien Bovine pericardial tissue • Carpentier-Edwards ThermaFix process* • Stainless steel frame • 23 mm and 26 mm diameters • Delivered through a 22-24 F sheath
  • 71.
    Tetralogía de Fallot Cuáles la importancia Patients per year potentially 3,237 eligible Adult Patients with RV–PA Conduit • 4,662 Patients with CHD of Right Ventricle to Pulmonary Artery • 7, 811 Children Born with Congenital Heart Disease • 35,000 Children Born Per Year • 4.1 Million
  • 72.
    Tetralogía de Fallot Conclusiones •El diagnóstico se debe hacer en forma temprana • Se debe enviar a corrección total a temprana edad • Se requiere vigilancia multidisciplinaria DE POR VIDA • EL paciente operado NO ESTÁ CURADO
  • 73.
    Tetralogía de Fallot Conclusiones •La ecocardiografía convencional y con Doppler tisular representa una excelente alternativa. • La medición de éstos parámetros nos brindan la base de apoyo para indicar implante de prótesis en posición pulmonar en pacientes PO de corrección total de TF
  • 74.
    Tetralogía de Fallot Conclusiones •La Resonancia magnética ( estándar de oro): Vol. Diast. Final del VD: 150 – 200 ml/m2 es indicación precisa • La cardiología intervencionista representa una alternativa excelente y evita la cirugía de un miocardio de por sí dañado
  • 75.
    Tetralogía de Fallot Dudaso comentarios ….