UMAE IMSS
Servicio de Gastrocirugia
Dr. Navarro Tovar Fernando R3CG
19 de septiembre de 2012
 Descrita por primera vez por Johannes Müller
en 1838 (cistosarcoma phyllodes).
Orribo M., Rodríguez R., Melgar V., Fernández R., De La Torre F. Tumores Phyllodes de mama: clínica, tratamiento y pronóstico. Hospital
Universitario de Canarias, España. Rev Chil Obstet Ginecol 2011; 76(6): 389 – 394.
 Representa <0.5-1% de todos los tumores de
mama.
 Principalmente mujeres, 4ª década de la vida
(10-82 años).
 En mujeres latinas ocurre a edades más
tempranas.
Orribo M., Rodríguez R., Melgar V., Fernández R., De La Torre F. Tumores Phyllodes de mama: clínica, tratamiento y pronóstico. Hospital
Universitario de Canarias, España. Rev Chil Obstet Ginecol 2011; 76(6): 389 – 394.
Aranda F., Olaya G., Colin V. Tumor phyllodes: experiencia institucional. Ginecol Obstet Mex 2009;77(12):567-572.
 El término Phyllodes (forma de hoja) se debe
a las proyecciones papilares (al microscopio).
 Tumor bifásico (elementos estromales y
epiteliales).
Orribo M., Rodríguez R., Melgar V., Fernández R., De La Torre F. Tumores Phyllodes de mama: clínica, tratamiento y pronóstico. Hospital
Universitario de Canarias, España. Rev Chil Obstet Ginecol 2011; 76(6): 389 – 394.
 Neoplasia fibroepitelial.
 Posee espacios quísticos recubiertos por
epitelio.
 Sobreproyecta el estroma (posee el potencial
tumoral).
Ibanez R., Marambio G., Jans B., Gamboa G. Tumor filoides de la mama. Rev. Chilena de Cirugía. Vol 62 - Nº 2, Abril 2010; pág. 119-124.
Ben Hassouna J, Damak T, Gamoudi A, Chargui R, et al. Phyllodes tumors of the breast: a case series of 106 patients. Am J Surg
2006;192:141.
 A mayor edad en momento del diagnóstico,
mayor grado histológico.
Orribo M., Rodríguez R., Melgar V., Fernández R., De La Torre F. Tumores Phyllodes de mama: clínica, tratamiento y pronóstico. Hospital
Universitario de Canarias, España. Rev Chil Obstet Ginecol 2011; 76(6): 389 – 394.
 Síndrome de Li- Fraumeni.
 AD, sobreexpresión P53.
 También antecedente de FAM.
Orribo M., Rodríguez R., Melgar V., Fernández R., De La Torre F. Tumores Phyllodes de mama: clínica, tratamiento y pronóstico. Hospital
Universitario de Canarias, España. Rev Chil Obstet Ginecol 2011; 76(6): 389 – 394.
Ben Hassouna J, Damak T, Gamoudi A, Chargui R, et al. Phyllodes tumors of the breast: a case series of 106 patients. Am J Surg
2006;192:141.
 Antecedentes de traumatismo.
 Lactancia.
 Embarazo.
Aranda F., Olaya G., Colin V. Tumor phyllodes: experiencia institucional. Ginecol Obstet Mex 2009;77(12):567-572.
 Nódulo firme, liso, multinodular, bien
delimitado, móvil.
 No doloroso.
 Tamaño 4-7 cm (raro <3 cm).
Orribo M., Rodríguez R., Melgar V., Fernández R., De La Torre F. Tumores Phyllodes de mama: clínica, tratamiento y pronóstico. Hospital
Universitario de Canarias, España. Rev Chil Obstet Ginecol 2011; 76(6): 389 – 394.
Ben Hassouna J, Damak T, Gamoudi A, Chargui R, et al. Phyllodes tumors of the breast: a case series of 106 patients. Am J Surg
2006;192:141.
 Unilateral y circunscrita.
 Consistencia es firme y no adherida a otras
estructuras.
 Coloración es blanca-grisácea.
Aranda F., Olaya G., Colin V. Tumor phyllodes: experiencia institucional. Ginecol Obstet Mex 2009;77(12):567-572.
 Caracteriza por rápido crecimiento (20-30%).
 Adelgazamiento en la piel dando lugar al
característico retículo venoso.
 Incluso rotura cutánea secundaria a presión
local y necrosis.
Orribo M., Rodríguez R., Melgar V., Fernández R., De La Torre F. Tumores Phyllodes de mama: clínica, tratamiento y pronóstico. Hospital
Universitario de Canarias, España. Rev Chil Obstet Ginecol 2011; 76(6): 389 – 394.
Aranda F., Olaya G., Colin V. Tumor phyllodes: experiencia institucional. Ginecol Obstet Mex 2009;77(12):567-572.
 20% de los casos hay adenopatías.
 Generalmente secundario a un proceso
inflamatorio inespecifico.
Orribo M., Rodríguez R., Melgar V., Fernández R., De La Torre F. Tumores Phyllodes de mama: clínica, tratamiento y pronóstico. Hospital
Universitario de Canarias, España. Rev Chil Obstet Ginecol 2011; 76(6): 389 – 394.
 2 de cada 10 casos, tumores no palpables.
 Complementar con imagen (no hallazgos
patognomónicos).
 Mastografia y US.
Orribo M., Rodríguez R., Melgar V., Fernández R., De La Torre F. Tumores Phyllodes de mama: clínica, tratamiento y pronóstico. Hospital
Universitario de Canarias, España. Rev Chil Obstet Ginecol 2011; 76(6): 389 – 394.
 Diagnóstico de confirmación es
histopatológico
 BAAF o Eco-PAAF en todo nódulo de mama.
Orribo M., Rodríguez R., Melgar V., Fernández R., De La Torre F. Tumores Phyllodes de mama: clínica, tratamiento y pronóstico. Hospital
Universitario de Canarias, España. Rev Chil Obstet Ginecol 2011; 76(6): 389 – 394.
Ben Hassouna J, Damak T, Gamoudi A, Chargui R, et al. Phyllodes tumors of the breast: a case series of 106 patients. Am J Surg
2006;192:141.
 Existe un 30% de falsos negativos en bx de
mama (37% tenía histología previa de FA).
 Repetir la biopsia.
Orribo M., Rodríguez R., Melgar V., Fernández R., De La Torre F. Tumores Phyllodes de mama: clínica, tratamiento y pronóstico. Hospital
Universitario de Canarias, España. Rev Chil Obstet Ginecol 2011; 76(6): 389 – 394.
Ibanez R., Marambio G., Jans B., Gamboa G. Tumor filoides de la mama. Rev. Chilena de Cirugía. Vol 62 - Nº 2, Abril 2010; pág. 119-124.
 Macroscópicamente se parece a FAM.
 Mayor tamaño, multilobulado con zonas de
necrosis y hemorragia.
Orribo M., Rodríguez R., Melgar V., Fernández R., De La Torre F. Tumores Phyllodes de mama: clínica, tratamiento y pronóstico. Hospital
Universitario de Canarias, España. Rev Chil Obstet Ginecol 2011; 76(6): 389 – 394.
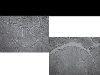
 Microscópicamente se caracteriza por:
- Proyecciones papilares del estromal.
- Intercalando zonas de hiperplasia y atipia.
 El componente estromal, diferencia de FAM,
y formas benignas de malignas.
Orribo M., Rodríguez R., Melgar V., Fernández R., De La Torre F. Tumores Phyllodes de mama: clínica, tratamiento y pronóstico. Hospital
Universitario de Canarias, España. Rev Chil Obstet Ginecol 2011; 76(6): 389 – 394.
 Clasificacion histologica de Norris y Taylor:
- Benignas (50%).
- Borderline (10-30%).
- Malignas (11%).
Orribo M., Rodríguez R., Melgar V., Fernández R., De La Torre F. Tumores Phyllodes de mama: clínica, tratamiento y pronóstico. Hospital
Universitario de Canarias, España. Rev Chil Obstet Ginecol 2011; 76(6): 389 – 394.
Ibanez R., Marambio G., Jans B., Gamboa G. Tumor filoides de la mama. Rev. Chilena de Cirugía. Vol 62 - Nº 2, Abril 2010; pág. 119-124.
 Componente epitelial distorsionado por el
predominio y la prominencia del estroma.
 Comprime los conductos y da lugar a
hendiduras y a espacios quísticos tapizados
por epitelio.
Orribo M., Rodríguez R., Melgar V., Fernández R., De La Torre F. Tumores Phyllodes de mama: clínica, tratamiento y pronóstico. Hospital
Universitario de Canarias, España. Rev Chil Obstet Ginecol 2011; 76(6): 389 – 394.
 Diferencia con FAM:
- Hipercelularidad.
- Pleomorfismo dentro del estroma.
- Proliferación vascular
Orribo M., Rodríguez R., Melgar V., Fernández R., De La Torre F. Tumores Phyllodes de mama: clínica, tratamiento y pronóstico. Hospital
Universitario de Canarias, España. Rev Chil Obstet Ginecol 2011; 76(6): 389 – 394.
 Incremento del epitelio estromal.
 Grado moderado de atipia celular.
 Márgenes circunscritos .
 Baja tasa de mitosis (<4 mitosis/campo).
Orribo M., Rodríguez R., Melgar V., Fernández R., De La Torre F. Tumores Phyllodes de mama: clínica, tratamiento y pronóstico. Hospital
Universitario de Canarias, España. Rev Chil Obstet Ginecol 2011; 76(6): 389 – 394.
 Marcado tejido estromal con atipia.
 Infiltración de márgenes.
 Alta tasa de mitosis (>10 mitosis/campo).
Orribo M., Rodríguez R., Melgar V., Fernández R., De La Torre F. Tumores Phyllodes de mama: clínica, tratamiento y pronóstico. Hospital
Universitario de Canarias, España. Rev Chil Obstet Ginecol 2011; 76(6): 389 – 394.
 Sobrecrecimiento estromal se relaciona con:
- agresividad de la enfermedad.
- desarrollo de enfermedad metastásica.
Orribo M., Rodríguez R., Melgar V., Fernández R., De La Torre F. Tumores Phyllodes de mama: clínica, tratamiento y pronóstico. Hospital
Universitario de Canarias, España. Rev Chil Obstet Ginecol 2011; 76(6): 389 – 394.
 P53, KI-67, factor de crecimiento epitelial.
 Pueden predecir comportamiento y
pronóstico.
 Factor de crecimiento vascular endotelial
indica presencia alto grado.
 CD 10.
Orribo M., Rodríguez R., Melgar V., Fernández R., De La Torre F. Tumores Phyllodes de mama: clínica, tratamiento y pronóstico. Hospital
Universitario de Canarias, España. Rev Chil Obstet Ginecol 2011; 76(6): 389 – 394.
 Metástasis por vía hematógena.
 Pulmón y hueso, siendo raro la afectación
ganglionar (<1%).
 Incidencia de 1.7-33% a los 14 meses.
 Mal pronóstico, sobrevida de 4-5 meses.
Orribo M., Rodríguez R., Melgar V., Fernández R., De La Torre F. Tumores Phyllodes de mama: clínica, tratamiento y pronóstico. Hospital
Universitario de Canarias, España. Rev Chil Obstet Ginecol 2011; 76(6): 389 – 394.
Ibanez R., Marambio G., Jans B., Gamboa G. Tumor filoides de la mama. Rev. Chilena de Cirugía. Vol 62 - Nº 2, Abril 2010; pág. 119-124.
 Eleccion, escisión local (benignas y malignas).
 Márgenes de al menos 1 cm.
 No existen diferencias estadísticamente
significativas con mastectomía.
Ibanez R., Marambio G., Jans B., Gamboa G. Tumor filoides de la mama. Rev. Chilena de Cirugía. Vol 62 - Nº 2, Abril 2010; pág. 119-124.
Ben Hassouna J, Damak T, Gamoudi A, Chargui R, et al. Phyllodes tumors of the breast: a case series of 106 patients. Am J Surg
2006;192:141.
 Márgenes de seguridad <1 cm se recomienda
ampliación quirúrgica.
 Principal factor de recurrencia es la existencia
de márgenes incorrectos.
Orribo M., Rodríguez R., Melgar V., Fernández R., De La Torre F. Tumores Phyllodes de mama: clínica, tratamiento y pronóstico. Hospital
Universitario de Canarias, España. Rev Chil Obstet Ginecol 2011; 76(6): 389 – 394.
Ben Hassouna J, Damak T, Gamoudi A, Chargui R, et al. Phyllodes tumors of the breast: a case series of 106 patients. Am J Surg
2006;192:141.
 Raro, embolización preoperatoria con
partículas de Gelfoam y “coils” metálicos para
citorreducción.
Leung JWT, Gotway MB, Sickles EA. Preoperative Embolization of Vascular Phyllodes Tumor of the Breast. AJR 2005; 184: 115-117.
 Uso de Rt es controvertido.
 Eficaz para disminuir tasas de recurrencia en
formas borderline y malignas.
 Siempre que es imposible obtener márgenes
quirúrgicos adecuados.
Orribo M., Rodríguez R., Melgar V., Fernández R., De La Torre F. Tumores Phyllodes de mama: clínica, tratamiento y pronóstico. Hospital
Universitario de Canarias, España. Rev Chil Obstet Ginecol 2011; 76(6): 389 – 394.
Ben Hassouna J, Damak T, Gamoudi A, Chargui R, et al. Phyllodes tumors of the breast: a case series of 106 patients. Am J Surg
2006;192:141.
 No existe terapia sistémica (protocolos que
se usan son de sarcoma).
 Tampoco es útil hormonoterapia (receptores
de estrógenos en 20%).
Ben Hassouna J, Damak T, Gamoudi A, Chargui R, et al. Phyllodes tumors of the breast: a case series of 106 patients. Am J Surg
2006;192:141.
Ibanez R., Marambio G., Jans B., Gamboa G. Tumor filoides de la mama. Rev. Chilena de Cirugía. Vol 62 - Nº 2, Abril 2010; pág. 119-124.
 Pronóstico es favorable (benignas, borderline
o malignas).
 Supervivencia libre de enfermedad a 5 años
de 80% para las formas malignas.
 Recurrencia local de 15% y a distancia 5-10%.
Orribo M., Rodríguez R., Melgar V., Fernández R., De La Torre F. Tumores Phyllodes de mama: clínica, tratamiento y pronóstico. Hospital
Universitario de Canarias, España. Rev Chil Obstet Ginecol 2011; 76(6): 389 – 394.

Tumor phyllodes

  • 1.
    UMAE IMSS Servicio deGastrocirugia Dr. Navarro Tovar Fernando R3CG 19 de septiembre de 2012
  • 2.
     Descrita porprimera vez por Johannes Müller en 1838 (cistosarcoma phyllodes). Orribo M., Rodríguez R., Melgar V., Fernández R., De La Torre F. Tumores Phyllodes de mama: clínica, tratamiento y pronóstico. Hospital Universitario de Canarias, España. Rev Chil Obstet Ginecol 2011; 76(6): 389 – 394.
  • 3.
     Representa <0.5-1%de todos los tumores de mama.  Principalmente mujeres, 4ª década de la vida (10-82 años).  En mujeres latinas ocurre a edades más tempranas. Orribo M., Rodríguez R., Melgar V., Fernández R., De La Torre F. Tumores Phyllodes de mama: clínica, tratamiento y pronóstico. Hospital Universitario de Canarias, España. Rev Chil Obstet Ginecol 2011; 76(6): 389 – 394. Aranda F., Olaya G., Colin V. Tumor phyllodes: experiencia institucional. Ginecol Obstet Mex 2009;77(12):567-572.
  • 4.
     El términoPhyllodes (forma de hoja) se debe a las proyecciones papilares (al microscopio).  Tumor bifásico (elementos estromales y epiteliales). Orribo M., Rodríguez R., Melgar V., Fernández R., De La Torre F. Tumores Phyllodes de mama: clínica, tratamiento y pronóstico. Hospital Universitario de Canarias, España. Rev Chil Obstet Ginecol 2011; 76(6): 389 – 394.
  • 5.
     Neoplasia fibroepitelial. Posee espacios quísticos recubiertos por epitelio.  Sobreproyecta el estroma (posee el potencial tumoral). Ibanez R., Marambio G., Jans B., Gamboa G. Tumor filoides de la mama. Rev. Chilena de Cirugía. Vol 62 - Nº 2, Abril 2010; pág. 119-124. Ben Hassouna J, Damak T, Gamoudi A, Chargui R, et al. Phyllodes tumors of the breast: a case series of 106 patients. Am J Surg 2006;192:141.
  • 6.
     A mayoredad en momento del diagnóstico, mayor grado histológico. Orribo M., Rodríguez R., Melgar V., Fernández R., De La Torre F. Tumores Phyllodes de mama: clínica, tratamiento y pronóstico. Hospital Universitario de Canarias, España. Rev Chil Obstet Ginecol 2011; 76(6): 389 – 394.
  • 7.
     Síndrome deLi- Fraumeni.  AD, sobreexpresión P53.  También antecedente de FAM. Orribo M., Rodríguez R., Melgar V., Fernández R., De La Torre F. Tumores Phyllodes de mama: clínica, tratamiento y pronóstico. Hospital Universitario de Canarias, España. Rev Chil Obstet Ginecol 2011; 76(6): 389 – 394. Ben Hassouna J, Damak T, Gamoudi A, Chargui R, et al. Phyllodes tumors of the breast: a case series of 106 patients. Am J Surg 2006;192:141.
  • 8.
     Antecedentes detraumatismo.  Lactancia.  Embarazo. Aranda F., Olaya G., Colin V. Tumor phyllodes: experiencia institucional. Ginecol Obstet Mex 2009;77(12):567-572.
  • 9.
     Nódulo firme,liso, multinodular, bien delimitado, móvil.  No doloroso.  Tamaño 4-7 cm (raro <3 cm). Orribo M., Rodríguez R., Melgar V., Fernández R., De La Torre F. Tumores Phyllodes de mama: clínica, tratamiento y pronóstico. Hospital Universitario de Canarias, España. Rev Chil Obstet Ginecol 2011; 76(6): 389 – 394. Ben Hassouna J, Damak T, Gamoudi A, Chargui R, et al. Phyllodes tumors of the breast: a case series of 106 patients. Am J Surg 2006;192:141.
  • 10.
     Unilateral ycircunscrita.  Consistencia es firme y no adherida a otras estructuras.  Coloración es blanca-grisácea. Aranda F., Olaya G., Colin V. Tumor phyllodes: experiencia institucional. Ginecol Obstet Mex 2009;77(12):567-572.
  • 11.
     Caracteriza porrápido crecimiento (20-30%).  Adelgazamiento en la piel dando lugar al característico retículo venoso.  Incluso rotura cutánea secundaria a presión local y necrosis. Orribo M., Rodríguez R., Melgar V., Fernández R., De La Torre F. Tumores Phyllodes de mama: clínica, tratamiento y pronóstico. Hospital Universitario de Canarias, España. Rev Chil Obstet Ginecol 2011; 76(6): 389 – 394. Aranda F., Olaya G., Colin V. Tumor phyllodes: experiencia institucional. Ginecol Obstet Mex 2009;77(12):567-572.
  • 15.
     20% delos casos hay adenopatías.  Generalmente secundario a un proceso inflamatorio inespecifico. Orribo M., Rodríguez R., Melgar V., Fernández R., De La Torre F. Tumores Phyllodes de mama: clínica, tratamiento y pronóstico. Hospital Universitario de Canarias, España. Rev Chil Obstet Ginecol 2011; 76(6): 389 – 394.
  • 16.
     2 decada 10 casos, tumores no palpables.  Complementar con imagen (no hallazgos patognomónicos).  Mastografia y US. Orribo M., Rodríguez R., Melgar V., Fernández R., De La Torre F. Tumores Phyllodes de mama: clínica, tratamiento y pronóstico. Hospital Universitario de Canarias, España. Rev Chil Obstet Ginecol 2011; 76(6): 389 – 394.
  • 21.
     Diagnóstico deconfirmación es histopatológico  BAAF o Eco-PAAF en todo nódulo de mama. Orribo M., Rodríguez R., Melgar V., Fernández R., De La Torre F. Tumores Phyllodes de mama: clínica, tratamiento y pronóstico. Hospital Universitario de Canarias, España. Rev Chil Obstet Ginecol 2011; 76(6): 389 – 394. Ben Hassouna J, Damak T, Gamoudi A, Chargui R, et al. Phyllodes tumors of the breast: a case series of 106 patients. Am J Surg 2006;192:141.
  • 22.
     Existe un30% de falsos negativos en bx de mama (37% tenía histología previa de FA).  Repetir la biopsia. Orribo M., Rodríguez R., Melgar V., Fernández R., De La Torre F. Tumores Phyllodes de mama: clínica, tratamiento y pronóstico. Hospital Universitario de Canarias, España. Rev Chil Obstet Ginecol 2011; 76(6): 389 – 394. Ibanez R., Marambio G., Jans B., Gamboa G. Tumor filoides de la mama. Rev. Chilena de Cirugía. Vol 62 - Nº 2, Abril 2010; pág. 119-124.
  • 23.
     Macroscópicamente separece a FAM.  Mayor tamaño, multilobulado con zonas de necrosis y hemorragia. Orribo M., Rodríguez R., Melgar V., Fernández R., De La Torre F. Tumores Phyllodes de mama: clínica, tratamiento y pronóstico. Hospital Universitario de Canarias, España. Rev Chil Obstet Ginecol 2011; 76(6): 389 – 394.
  • 25.
     Microscópicamente secaracteriza por: - Proyecciones papilares del estromal. - Intercalando zonas de hiperplasia y atipia.  El componente estromal, diferencia de FAM, y formas benignas de malignas. Orribo M., Rodríguez R., Melgar V., Fernández R., De La Torre F. Tumores Phyllodes de mama: clínica, tratamiento y pronóstico. Hospital Universitario de Canarias, España. Rev Chil Obstet Ginecol 2011; 76(6): 389 – 394.
  • 28.
     Clasificacion histologicade Norris y Taylor: - Benignas (50%). - Borderline (10-30%). - Malignas (11%). Orribo M., Rodríguez R., Melgar V., Fernández R., De La Torre F. Tumores Phyllodes de mama: clínica, tratamiento y pronóstico. Hospital Universitario de Canarias, España. Rev Chil Obstet Ginecol 2011; 76(6): 389 – 394. Ibanez R., Marambio G., Jans B., Gamboa G. Tumor filoides de la mama. Rev. Chilena de Cirugía. Vol 62 - Nº 2, Abril 2010; pág. 119-124.
  • 29.
     Componente epitelialdistorsionado por el predominio y la prominencia del estroma.  Comprime los conductos y da lugar a hendiduras y a espacios quísticos tapizados por epitelio. Orribo M., Rodríguez R., Melgar V., Fernández R., De La Torre F. Tumores Phyllodes de mama: clínica, tratamiento y pronóstico. Hospital Universitario de Canarias, España. Rev Chil Obstet Ginecol 2011; 76(6): 389 – 394.
  • 30.
     Diferencia conFAM: - Hipercelularidad. - Pleomorfismo dentro del estroma. - Proliferación vascular Orribo M., Rodríguez R., Melgar V., Fernández R., De La Torre F. Tumores Phyllodes de mama: clínica, tratamiento y pronóstico. Hospital Universitario de Canarias, España. Rev Chil Obstet Ginecol 2011; 76(6): 389 – 394.
  • 31.
     Incremento delepitelio estromal.  Grado moderado de atipia celular.  Márgenes circunscritos .  Baja tasa de mitosis (<4 mitosis/campo). Orribo M., Rodríguez R., Melgar V., Fernández R., De La Torre F. Tumores Phyllodes de mama: clínica, tratamiento y pronóstico. Hospital Universitario de Canarias, España. Rev Chil Obstet Ginecol 2011; 76(6): 389 – 394.
  • 32.
     Marcado tejidoestromal con atipia.  Infiltración de márgenes.  Alta tasa de mitosis (>10 mitosis/campo). Orribo M., Rodríguez R., Melgar V., Fernández R., De La Torre F. Tumores Phyllodes de mama: clínica, tratamiento y pronóstico. Hospital Universitario de Canarias, España. Rev Chil Obstet Ginecol 2011; 76(6): 389 – 394.
  • 33.
     Sobrecrecimiento estromalse relaciona con: - agresividad de la enfermedad. - desarrollo de enfermedad metastásica. Orribo M., Rodríguez R., Melgar V., Fernández R., De La Torre F. Tumores Phyllodes de mama: clínica, tratamiento y pronóstico. Hospital Universitario de Canarias, España. Rev Chil Obstet Ginecol 2011; 76(6): 389 – 394.
  • 34.
     P53, KI-67,factor de crecimiento epitelial.  Pueden predecir comportamiento y pronóstico.  Factor de crecimiento vascular endotelial indica presencia alto grado.  CD 10. Orribo M., Rodríguez R., Melgar V., Fernández R., De La Torre F. Tumores Phyllodes de mama: clínica, tratamiento y pronóstico. Hospital Universitario de Canarias, España. Rev Chil Obstet Ginecol 2011; 76(6): 389 – 394.
  • 35.
     Metástasis porvía hematógena.  Pulmón y hueso, siendo raro la afectación ganglionar (<1%).  Incidencia de 1.7-33% a los 14 meses.  Mal pronóstico, sobrevida de 4-5 meses. Orribo M., Rodríguez R., Melgar V., Fernández R., De La Torre F. Tumores Phyllodes de mama: clínica, tratamiento y pronóstico. Hospital Universitario de Canarias, España. Rev Chil Obstet Ginecol 2011; 76(6): 389 – 394. Ibanez R., Marambio G., Jans B., Gamboa G. Tumor filoides de la mama. Rev. Chilena de Cirugía. Vol 62 - Nº 2, Abril 2010; pág. 119-124.
  • 36.
     Eleccion, escisiónlocal (benignas y malignas).  Márgenes de al menos 1 cm.  No existen diferencias estadísticamente significativas con mastectomía. Ibanez R., Marambio G., Jans B., Gamboa G. Tumor filoides de la mama. Rev. Chilena de Cirugía. Vol 62 - Nº 2, Abril 2010; pág. 119-124. Ben Hassouna J, Damak T, Gamoudi A, Chargui R, et al. Phyllodes tumors of the breast: a case series of 106 patients. Am J Surg 2006;192:141.
  • 37.
     Márgenes deseguridad <1 cm se recomienda ampliación quirúrgica.  Principal factor de recurrencia es la existencia de márgenes incorrectos. Orribo M., Rodríguez R., Melgar V., Fernández R., De La Torre F. Tumores Phyllodes de mama: clínica, tratamiento y pronóstico. Hospital Universitario de Canarias, España. Rev Chil Obstet Ginecol 2011; 76(6): 389 – 394. Ben Hassouna J, Damak T, Gamoudi A, Chargui R, et al. Phyllodes tumors of the breast: a case series of 106 patients. Am J Surg 2006;192:141.
  • 38.
     Raro, embolizaciónpreoperatoria con partículas de Gelfoam y “coils” metálicos para citorreducción. Leung JWT, Gotway MB, Sickles EA. Preoperative Embolization of Vascular Phyllodes Tumor of the Breast. AJR 2005; 184: 115-117.
  • 39.
     Uso deRt es controvertido.  Eficaz para disminuir tasas de recurrencia en formas borderline y malignas.  Siempre que es imposible obtener márgenes quirúrgicos adecuados. Orribo M., Rodríguez R., Melgar V., Fernández R., De La Torre F. Tumores Phyllodes de mama: clínica, tratamiento y pronóstico. Hospital Universitario de Canarias, España. Rev Chil Obstet Ginecol 2011; 76(6): 389 – 394. Ben Hassouna J, Damak T, Gamoudi A, Chargui R, et al. Phyllodes tumors of the breast: a case series of 106 patients. Am J Surg 2006;192:141.
  • 40.
     No existeterapia sistémica (protocolos que se usan son de sarcoma).  Tampoco es útil hormonoterapia (receptores de estrógenos en 20%). Ben Hassouna J, Damak T, Gamoudi A, Chargui R, et al. Phyllodes tumors of the breast: a case series of 106 patients. Am J Surg 2006;192:141. Ibanez R., Marambio G., Jans B., Gamboa G. Tumor filoides de la mama. Rev. Chilena de Cirugía. Vol 62 - Nº 2, Abril 2010; pág. 119-124.
  • 41.
     Pronóstico esfavorable (benignas, borderline o malignas).  Supervivencia libre de enfermedad a 5 años de 80% para las formas malignas.  Recurrencia local de 15% y a distancia 5-10%. Orribo M., Rodríguez R., Melgar V., Fernández R., De La Torre F. Tumores Phyllodes de mama: clínica, tratamiento y pronóstico. Hospital Universitario de Canarias, España. Rev Chil Obstet Ginecol 2011; 76(6): 389 – 394.