ENDOMETRIO ANATOMÍA Y
PATOLOGÍA.
Dr. Mario Alberto Campos Rodríguez
MEDICO SONOGRAFISTA
ÚTERO: órgano
muscular grueso,
constituido por una
capa muscular o
miometrio y una capa
mucosa el endometrio
que esta firmemente
adherida al miometrio.
Se anastomosan a
través de la línea
media mediante las
arterias arcuatas
anteriores y
posteriores, las
cuales van en el
interior del
ligamento ancho y
penetran en el
miometrio. el plexo
venoso acompaña a
las arterias.
El aporte sanguíneo
arterial proviene
principalmente de la
arteria uterina rama
principal del tronco
anterior de la arteria
iliaca interna. la arteria
uterina asciende a lo
largo del margen lateral
del útero en el
ligamento ancho y, a la
altura del cuerno,
discurre lateralmente
hasta anastomosarse
con la arteria ovárica.
En el útero la flexión se refiere al eje del
cuerpo uterino al eje del cérvix
Mientras que la versión se refiere al eje del
cérvix en relación con la vagina.
Útero infantil o prepuberal
es de 2 - 3.3 cm, de longitud y entre 0.5 – 1 cm,
de diámetro anteroposterior.
Nulípara
8 cm, de longitud, 5 cm de anchura y 4cm de
diámetro anteroposterior.
Multípara
aumenta 1 cm en cada dimensión.
Menopausia
el útero comienza su atrofia.
Las arterias arcuatas están situadas entre las
capas externas e intermedia del miometrio y se
ramifican en las arterias radiales, las cuales
discurren en la capa intermedia a la altura de la
capa interna.
Las arterias radiales se
ramifican después en las
arterias espirales las
cuales penetran al
endometrio.
La cavidad endometrial se visualiza como
una fina línea ecogénica como
consecuencia de la reflexión especular de la
interfase entre las superficies opuestas del
endometrio.
El endometrio esta compuesto por una
capa funcional y una capa basal profunda.
La capa funcional aumenta de espesor a
lo largo del ciclo menstrual y se
desprende con cada menstruación..
La capa basal permanece intacta durante
el ciclo y contiene las arterias espirales
las cuales se elongan para nutrir a la capa
funcional mientras se va engrosando.
Fase proliferativa del ciclo antes de la
ovulación esta bajo la influencia de los
estrógenos, mientras que la progesterona
es principalmente responsable del
mantenimiento del endometrio en la fase
secretora que sigue a la ovulación.
El endometrio en la fase menstrual esta formado por una
fina línea ecogénica rota.
Durante la fase proliferativa se engruesa alcanzando de
4 a 8 mm.
Tras la ovulación la capa funcional del endometrio
cambia de hipoecogénica a hiperecogénica al progresar
el endometrio hacia la fase secretora. el endometrio en
esta fase mide 7 a 14 mm de grosor.
La textura hiperecoica del endometrio secretor esta
relacionada con el aumento del moco y glucógeno en el
interior de las glándulas, así como el aumento del
numero de interfases causadas por la tortuosidad de las
arterias espirales
Tras la menopausia el endometrio se hace
atrófico, pues ya no esta bajo control
hormonal. se visualiza como una fina línea
ecogénica que no mide mas de 8 mm.
ANOMALÍAS CONGÉNITAS
Aparecen en el 0.5% de las mujeres.
Existe asociación con malformación es
renales.
Se deben a:
1) Detención del desarrollo de los conductos de
Muller.
2) Fallo en la fusión de los conductos de Muller.
3) Fallo en la resorción del septo intermedio.
ANOMALÍAS CONGÉNITAS
Detención del desarrollo de los conductos
de Müller puede ser Unilateral o Bilateral.
Bilateral: Ausencia congénita del útero o
aplasia uterina.
Unilateral: Útero unicorne unicolis (un cuerno
uterino y un cérvix).
La Hipoplasia de un conducto de Müller
puede originar un cuerno uterino
rudimentario.
ANOMALÍAS CONGÉNITAS
Fallo en la fusión de los conductos de Müller:
Completo.- Útero Didelfo (2 vagina – cérvix –
úteros).
Parcial.-
Útero bicorne bicollis (1 vagina – 2 cérvix – 2
cuernos uterinos).
Útero bicorne unicollis (1 vagina – 1 cérvix – 2
cuernos uterinos.
Útero arceado es una anomalía leve con impronta
parcial del fundus uterino con cavidad endometrial
relativamente normal, considerado como variante
normal.
ANOMALÍAS CONGÉNITAS
Fallo en la resolución del septo
intermedio:
Utero septado o subseptado dependiendo si
el fallo es completo o parcial. Esto origina
una duplicación completa o parcial de las
cavidades uterinas sin duplicación de los
cuernos. Se diferencia del bicorne mirando
el contorno externo del útero.
ANOMALÍAS CONGÉNITAS
La anomalía congénita mas
frecuentemente asociada con agenesia
renal es el útero bicorne bicollis con un
septo vaginal parcial en el cual un lado no
tiene salida para la sangre menstrual,
originando un hematometrocolpos
unilateral.
ANOMALÍAS DEL ENDOMETRIO
La ecografía es capaz
de definir anomalías
sutiles dentro del
endometrio.
Se alcanza una mayor
resolución mediante la
Ecografía Endovaginal.
ENDOMETRIO POSMENOPAUSICO
Diámetro endometrial
<5mm = normal.
Grosor endometrial 5 mm a 8
mm con paciente asintomática
pero sangrante = muestreo
endometrial.
Una pequeña cantidad de
líquido endometrial puede ser
hallazgo normal en pacientes
asintomáticas.
El endometrio debe excluirse
cuando se mide el endometrio.
HIDROMETROCOLPOS Y
HEMATOMETROCOLPOS
La obstrucción del tracto genital origina la
acumulación de secreciones, sangre o ambas en
el útero y/o vagina.
La obstrucción puede ser congénita y con mayor
frecuencia se debe a un himen imperforado.
Otras causas incluyen septo vaginal, atresia
vaginal o cuerno uterino rudimentario.
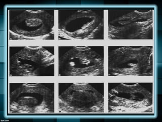
HIDROMETROCOLPOS Y
HEMATOMETROCOLPOS
HIDROMETROCOLPOS Y
HEMATOMETROCOLPOS
HIPERPLASIA ENDOMETRIAL
Proliferación de glándulas de tamaño y
forma irregulares, con aumento en la
proporción glándula/estroma en
comparación con el endometrio
proliferativo normal.
HIPERPLASIA ENDOMETRIAL
Es una causa frecuente de sangrado uterino
anormal.
Se desarrolla debido a estimulación estrogénica
sin oposición.
Hiperplasia sin atipia celular (<2% = Ca).
Hiperplasia con atipia celular (25% = Ca).
Simple (Quística).
Compleja (Adenomatosa).
HIPERPLASIA ENDOMETRIAL
CAUSAS:
Tratamiento hormonal sustitutivo estrogénico.
Ciclos anovulatorios persistentes.
Enfermedad ovárica poliquística.
Mujeres obesas.- Producción de estrógenos
endógenos aumentada.
Tumores productores de estrógenos (tumores
de células de la granulosa y los tecomas
ováricos.
ATROFIA ENDOMETRIAL
Se presenta en la mayoría de las mujeres
con sangrado uterino posmenopausico.
Un endometrio atrófico normalmente es fino,
midiendo menos de 5 mm.
PÓLIPOS ENDOMETRIALES
Se observan en mujeres peri menopáusicas y
postmenopáusicas.
Pueden causar sangrado uterino aunque la
mayoría sin asintomáticos, además de llegar
hasta la infertilidad.
Los pólipos son sobre crecimientos localizados
de tejido endometrial recubiertos por epitelio, y
que contienen un número variable de glándulas,
estroma y vasos sanguíneos.
PÓLIPOS ENDOMETRIALES
Pueden ser
pedunculados, o con
una amplia base, o
tener un fino tallo.
Pueden parecer
como un
engrosamiento
endometrial
inespecífico que
puede ser difuso o
localizado.
POLIPOS ENDOMETRIALES
POLIPOS ENDOMETRIALES
Ocasionalmente se puede ver una arteria
nutriente en el pedículo con el Doppler color.
CARCINOMA ENDOMETRIAL
Es la malignidad ginecológica mas
frecuente.
Se presenta en el 3% de las mujeres.
< 1.5% de las muertes por cáncer.
75 – 80% de los carcinomas
endometriales aparecen en mujeres
postmenopáusicas.
CARCINOMA ENDOMETRIAL
La presentación clínica mas frecuente es el sangrado uterino
ENDOMETRITIS
Puede aparecer en el puerperio, tras dilatación
y curetaje, o en asociación con enfermedad
inflamatorio pélvica.
El endometrio aparece engrosado, irregular
con o sin líquido en su interior, gas.
ENDOMETRITIS
ADHERENCIAS ENDOMETRIALES
(SINEQUIAS)
Causa de infertilidad o fracaso recurrente
del embarazo.
Su pueden observar irregularidades o
bandas hipoecogénicas con forma de
puente dentro del endometrio.
Se ve en forma óptima durante la fase
secretora.
Endometrio, Ecografía y Patología
Endometrio, Ecografía y Patología

Endometrio, Ecografía y Patología

  • 1.
    ENDOMETRIO ANATOMÍA Y PATOLOGÍA. Dr.Mario Alberto Campos Rodríguez MEDICO SONOGRAFISTA
  • 2.
    ÚTERO: órgano muscular grueso, constituidopor una capa muscular o miometrio y una capa mucosa el endometrio que esta firmemente adherida al miometrio.
  • 3.
    Se anastomosan a travésde la línea media mediante las arterias arcuatas anteriores y posteriores, las cuales van en el interior del ligamento ancho y penetran en el miometrio. el plexo venoso acompaña a las arterias.
  • 4.
    El aporte sanguíneo arterialproviene principalmente de la arteria uterina rama principal del tronco anterior de la arteria iliaca interna. la arteria uterina asciende a lo largo del margen lateral del útero en el ligamento ancho y, a la altura del cuerno, discurre lateralmente hasta anastomosarse con la arteria ovárica.
  • 7.
    En el úterola flexión se refiere al eje del cuerpo uterino al eje del cérvix Mientras que la versión se refiere al eje del cérvix en relación con la vagina.
  • 8.
    Útero infantil oprepuberal es de 2 - 3.3 cm, de longitud y entre 0.5 – 1 cm, de diámetro anteroposterior. Nulípara 8 cm, de longitud, 5 cm de anchura y 4cm de diámetro anteroposterior. Multípara aumenta 1 cm en cada dimensión. Menopausia el útero comienza su atrofia.
  • 10.
    Las arterias arcuatasestán situadas entre las capas externas e intermedia del miometrio y se ramifican en las arterias radiales, las cuales discurren en la capa intermedia a la altura de la capa interna. Las arterias radiales se ramifican después en las arterias espirales las cuales penetran al endometrio.
  • 11.
    La cavidad endometrialse visualiza como una fina línea ecogénica como consecuencia de la reflexión especular de la interfase entre las superficies opuestas del endometrio.
  • 12.
    El endometrio estacompuesto por una capa funcional y una capa basal profunda. La capa funcional aumenta de espesor a lo largo del ciclo menstrual y se desprende con cada menstruación.. La capa basal permanece intacta durante el ciclo y contiene las arterias espirales las cuales se elongan para nutrir a la capa funcional mientras se va engrosando.
  • 13.
    Fase proliferativa delciclo antes de la ovulación esta bajo la influencia de los estrógenos, mientras que la progesterona es principalmente responsable del mantenimiento del endometrio en la fase secretora que sigue a la ovulación.
  • 14.
    El endometrio enla fase menstrual esta formado por una fina línea ecogénica rota. Durante la fase proliferativa se engruesa alcanzando de 4 a 8 mm. Tras la ovulación la capa funcional del endometrio cambia de hipoecogénica a hiperecogénica al progresar el endometrio hacia la fase secretora. el endometrio en esta fase mide 7 a 14 mm de grosor. La textura hiperecoica del endometrio secretor esta relacionada con el aumento del moco y glucógeno en el interior de las glándulas, así como el aumento del numero de interfases causadas por la tortuosidad de las arterias espirales
  • 15.
    Tras la menopausiael endometrio se hace atrófico, pues ya no esta bajo control hormonal. se visualiza como una fina línea ecogénica que no mide mas de 8 mm.
  • 16.
    ANOMALÍAS CONGÉNITAS Aparecen enel 0.5% de las mujeres. Existe asociación con malformación es renales. Se deben a: 1) Detención del desarrollo de los conductos de Muller. 2) Fallo en la fusión de los conductos de Muller. 3) Fallo en la resorción del septo intermedio.
  • 18.
    ANOMALÍAS CONGÉNITAS Detención deldesarrollo de los conductos de Müller puede ser Unilateral o Bilateral. Bilateral: Ausencia congénita del útero o aplasia uterina. Unilateral: Útero unicorne unicolis (un cuerno uterino y un cérvix). La Hipoplasia de un conducto de Müller puede originar un cuerno uterino rudimentario.
  • 19.
    ANOMALÍAS CONGÉNITAS Fallo enla fusión de los conductos de Müller: Completo.- Útero Didelfo (2 vagina – cérvix – úteros). Parcial.- Útero bicorne bicollis (1 vagina – 2 cérvix – 2 cuernos uterinos). Útero bicorne unicollis (1 vagina – 1 cérvix – 2 cuernos uterinos. Útero arceado es una anomalía leve con impronta parcial del fundus uterino con cavidad endometrial relativamente normal, considerado como variante normal.
  • 20.
    ANOMALÍAS CONGÉNITAS Fallo enla resolución del septo intermedio: Utero septado o subseptado dependiendo si el fallo es completo o parcial. Esto origina una duplicación completa o parcial de las cavidades uterinas sin duplicación de los cuernos. Se diferencia del bicorne mirando el contorno externo del útero.
  • 21.
    ANOMALÍAS CONGÉNITAS La anomalíacongénita mas frecuentemente asociada con agenesia renal es el útero bicorne bicollis con un septo vaginal parcial en el cual un lado no tiene salida para la sangre menstrual, originando un hematometrocolpos unilateral.
  • 22.
    ANOMALÍAS DEL ENDOMETRIO Laecografía es capaz de definir anomalías sutiles dentro del endometrio. Se alcanza una mayor resolución mediante la Ecografía Endovaginal.
  • 23.
    ENDOMETRIO POSMENOPAUSICO Diámetro endometrial <5mm= normal. Grosor endometrial 5 mm a 8 mm con paciente asintomática pero sangrante = muestreo endometrial. Una pequeña cantidad de líquido endometrial puede ser hallazgo normal en pacientes asintomáticas. El endometrio debe excluirse cuando se mide el endometrio.
  • 24.
    HIDROMETROCOLPOS Y HEMATOMETROCOLPOS La obstruccióndel tracto genital origina la acumulación de secreciones, sangre o ambas en el útero y/o vagina. La obstrucción puede ser congénita y con mayor frecuencia se debe a un himen imperforado. Otras causas incluyen septo vaginal, atresia vaginal o cuerno uterino rudimentario.
  • 25.
  • 26.
  • 27.
    HIPERPLASIA ENDOMETRIAL Proliferación deglándulas de tamaño y forma irregulares, con aumento en la proporción glándula/estroma en comparación con el endometrio proliferativo normal.
  • 28.
    HIPERPLASIA ENDOMETRIAL Es unacausa frecuente de sangrado uterino anormal. Se desarrolla debido a estimulación estrogénica sin oposición. Hiperplasia sin atipia celular (<2% = Ca). Hiperplasia con atipia celular (25% = Ca). Simple (Quística). Compleja (Adenomatosa).
  • 29.
    HIPERPLASIA ENDOMETRIAL CAUSAS: Tratamiento hormonalsustitutivo estrogénico. Ciclos anovulatorios persistentes. Enfermedad ovárica poliquística. Mujeres obesas.- Producción de estrógenos endógenos aumentada. Tumores productores de estrógenos (tumores de células de la granulosa y los tecomas ováricos.
  • 30.
    ATROFIA ENDOMETRIAL Se presentaen la mayoría de las mujeres con sangrado uterino posmenopausico. Un endometrio atrófico normalmente es fino, midiendo menos de 5 mm.
  • 31.
    PÓLIPOS ENDOMETRIALES Se observanen mujeres peri menopáusicas y postmenopáusicas. Pueden causar sangrado uterino aunque la mayoría sin asintomáticos, además de llegar hasta la infertilidad. Los pólipos son sobre crecimientos localizados de tejido endometrial recubiertos por epitelio, y que contienen un número variable de glándulas, estroma y vasos sanguíneos.
  • 32.
    PÓLIPOS ENDOMETRIALES Pueden ser pedunculados,o con una amplia base, o tener un fino tallo. Pueden parecer como un engrosamiento endometrial inespecífico que puede ser difuso o localizado.
  • 33.
  • 34.
    POLIPOS ENDOMETRIALES Ocasionalmente sepuede ver una arteria nutriente en el pedículo con el Doppler color.
  • 36.
    CARCINOMA ENDOMETRIAL Es lamalignidad ginecológica mas frecuente. Se presenta en el 3% de las mujeres. < 1.5% de las muertes por cáncer. 75 – 80% de los carcinomas endometriales aparecen en mujeres postmenopáusicas.
  • 37.
    CARCINOMA ENDOMETRIAL La presentaciónclínica mas frecuente es el sangrado uterino
  • 38.
    ENDOMETRITIS Puede aparecer enel puerperio, tras dilatación y curetaje, o en asociación con enfermedad inflamatorio pélvica. El endometrio aparece engrosado, irregular con o sin líquido en su interior, gas.
  • 39.
  • 40.
    ADHERENCIAS ENDOMETRIALES (SINEQUIAS) Causa deinfertilidad o fracaso recurrente del embarazo. Su pueden observar irregularidades o bandas hipoecogénicas con forma de puente dentro del endometrio. Se ve en forma óptima durante la fase secretora.