FISTULAS
R2CG Ana Lilia Pacheco Carrillo
Fistula
• Comunicación anormal y bien establecida entre dos
superficies epitelizadas.
• 4-6 dias
Surg Clin N Am 91 (2011) 481–491
Antecedentes
• Mediados del S. XX  30-35% cierre
espontaneo
• Mortalidad 65-70%
• 30% Reintervención Qx
• 10-l5% Exito
• Mortalidad Actual  20-25%
Tratado de Cirugia General. AMCG. Fistulas Enterocutaneas. Cap 91. 729-36
Epidemiología
• Centros Medicos de Tercer  70 por año.
• 2 y el 5% de todas las cirugías realizadas en el aparato
digestivo.
• La mortalidad por fístulas del aparato digestivo en nuestro
medio oscila entre el 20 y el 30%.
• Entre 85% y 90% de las fístulas son postoperatorias.
• Un 10% son espontáneas.
Consenso Mexicano en el manejo integral de las fístulas del aparato digestivo. Cirujano General Vol. 22 Núm. 3 - 2000
Obstrucción intestinal
Cáncer
Necrosis pancreática infectada
Manejo de abdomen abierto
Anastomosis del tubo digestivo
Radiación
Postoperatoriodecirugía
secundariaafactores
como:
Consenso Mexicano en el manejo integral de las fístulas del aparato digestivo. Cirujano General Vol. 22 Núm. 3 - 2000
Factoresde
Riesgo
Factores
Generales
•Hospedero
•Desnutrición
•Hipoperfusión
tisular
Factores
locales.
•Tejidos sujetos a
intervención
quirúrgica
•Inflamación
•Infección
•Respuesta a los
materiales de
sutura
Factores
externos
•Iatrogénicos
•Técnicas
•Criterios qx
inadecuados
Consenso Mexicano en el manejo integral de las fístulas del aparato digestivo. Cirujano General Vol. 22 Núm. 3 - 2000
Fisiopatología
Fuga del contenido del
aparato digestivo
Contenerse
No Contenerse
Limitarse
Formar un
trayecto
Inflamación
Isquemia
Solución de
continuidad
Mecanismo de lesión
Tamaño
Reacción inflamatoria
peritoneal
Lesión
Consenso Mexicano en el manejo integral de las fístulas del aparato digestivo. Cirujano General Vol. 22 Núm. 3 - 2000
Clasificación
• Externas
• Internas
• Esta clasificación depende del sitio hacia donde el gasto
drene.
Anatómica
Consenso Mexicano en el manejo integral de las fístulas del aparato digestivo. Cirujano General Vol. 22 Núm. 3 - 2000
• Esófago
• Estómago
• Duodeno
• Intestino delgado
• Colon
• Páncreas
• Biliares
Organica
Consenso Mexicano en el manejo integral de las fístulas del aparato digestivo. Cirujano General Vol. 22 Núm. 3 - 2000
• • Gasto alto:
• + 500 ml en 24 hrs
• • Gasto moderado:
• entre 200 y 500 ml en 24 hrs
• • Gasto bajo:
• - 200 ml en 24hrs
Fisiológica
Consenso Mexicano en el manejo integral de las fístulas del aparato digestivo. Cirujano General Vol. 22 Núm. 3 - 2000
Fístulas pancreáticas
• gasto alto: +200 ml en 24 horas
• gasto bajo: - 200 ml en 24 horas
Sitges-Serra
Tipo I: Esofagicas, gastricas y duodenales
Tipo II: Intestino Delgado
Tipo III: Intestino Grueso
Tipo IV: Drenan a través de un defecto mayor de 20cm
AnatómicayFisiologica
Consenso Mexicano en el manejo integral de las fístulas del aparato digestivo. Cirujano General Vol. 22 Núm. 3 - 2000
Surg Clin N Am 91 (2011) 481–491
Clasificación de Fistulas
Surg Clin N Am 91 (2011) 481–491
Fistulas
Gastricas y
Duodenales
………………...
• Resultan de perforaciones que
comunican con organos adyacentes o
pared abdominal.
Surg Clin N Am 91 (2011) 481–491
Complicaciones de las gastrectomías [40-350] D Mutter, J Marescaux
Fistulas
Gastricas
• Iatrogénicas en 80% de los casos.
• Secundarias a cáncer, radiación, isquemia
(Kozell y Martins, 2001).
• Cuando ocurren por cáncer residual su
mortalidad asciende hasta 75%.
Surg Clin N Am 91 (2011) 481–491
Endoscopia
Laparotomía
Laparoscopia
• Polipectomía  cauterio lesión termica
• Gastrostomia percutanea
• Pickleman et al
• Serie de 318 gastrectomias parciales
• 1.3% Fuga anastomitica Gastroyeyunostomia
• 1.4% Gastrectomía Total + Esofagoyeyunostomia en Y
de Roux
• 1.5% Banda Gastrica
• 6% By Pass
• Funduplicatura
• Perdikis et al 2,453 procedimientos
• 0.3 a 1.9%
• Incidencia global del 1 %
•
Zuidema: Shackelford's Surgery of the Alimentary Tract, 5th ed
• Dehiscencia de Anastomosis
• Anastomosis a tensión
• Vascularización insuficiente
• Mala preparación de bordes
• Anastomosis sobre tubo digestivo
patológico.
Complicaciones de las gastrectomías [40-350] D Mutter, J Marescaux
Fistulas
Duodenales
• Postquirúrgica en 85% de los casos.
• Mortalidad puede llegar al 30% (Chapman
y Dunphy, 1964).
Surg Clin N Am 91 (2011) 481–491
Endoscopia
Laparotomía
Laparoscopia
• CPRE
• Uso de engrapadoras 13.2%
• Sutura 2.3%
• Colecistectomía
Zuidema: Shackelford's Surgery of the Alimentary Tract, 5th ed
Mortalidad
Surg Clin N Am 91 (2011) 481–491
Clínica
• Ileo persistente
• Dolor Abdominal
• Intolerancia Oral
• Fiebre
• Taquicardia
• Inflamación en hxqx o sitio de drenajes
• Gasto intestinal o gas
Surg Clin N Am 91 (2011) 481–491
Clínica
• Esofago Saliva
• Estomago  Mucoso, quemadura
de la piel
• DuodenoDorado / Amarilllo-
Verdoso
• Yeyuno Verdodo con grumos
• Ileon terminal  Semiliquido, color
mostaza o café.
• Colon Fecaliode
Surg Clin N Am 91 (2011) 481–491
Clinica
• Flujo Valor pronostico
• Fuga Líquidos, ES, Proteinas, Lípidos, Vitaminas.
• Mala digestión, falta de enzimas
pancreaticas, malabsorción, anorexia.
• Aumento gasto energetico
• Trayecto fistuloso
• Toxicidad de líquido
• Septicidad
Complicaciones de las gastrectomías [40-350] D Mutter, J Marescaux
Exploración
• Fuga mínima  asintomática
• Anastomosis  estenosis
• Sutura esofagica:
• intratoracica  4%
• Gastricas  2.7%
• Fuga abundante y precoz  Peritonitis  Mortalidad
50%
Gravedad–EvoluciónClínica
Complicaciones de las gastrectomías [40-350] D Mutter, J Marescaux
AbordajeDx
• Labs
• Fistulografía Gold standar
• Esofagograma
• SEGD
• Transito intestinal
• Colon por enema
• TAC
• USG
Surg Clin N Am 91 (2011) 481–491
Dx
Ecografia
Absceso
SEG
Fistula
Azul
Metileno
Complicaciones de las gastrectomías [40-350] D Mutter, J Marescaux
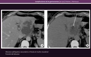
Absceso subhepatico secundario a Fistula en muñon duodenal
Punción del absceso
Complicaciones de las gastrectomías [40-350] D Mutter, J Marescaux
• Origen de la fístula
• Definición del trayecto como único o múltiple y si éste es largo o corto
• El tamaño de la solución de continuidad
• Si está comunicada o no con un absceso o con otro órgano
• Si la fístula es lateral o terminal
• El estado del intestino adyacente a la fístula
• La presencia de obstrucción, con base en el seguimiento de material
de contraste hacia la parte distal de la fístula
Surg Clin N Am 91 (2011) 481–491
Tratamiento
Surg Clin N Am 91 (2011) 481–491
Chapman: “la clave del manejo exitoso es:
1) controlar la fístula
2) combatir la sepsis
3) desde el comienzo, mantener un
adecuado aporte nutricional”.
Manejo de las Fistulas
intestinales
Chapman et al
1964
Surg Clin N Am 91 (2011) 481–491
Principios
Generales
• 1. Diagnóstico y reconocimiento
• 2. Estabilización
• 3. Tratamiento y cuidado definitivo
Surg Clin N Am 91 (2011) 481–491
Estabilización Líquidos y los electrólitos
Equilibrio hemodinámico
Corregir alteraciones
hidroelectrolíticas como ácido-base.
Ayuno, SNG, Foley, un catéter
venoso central
Corregir la anemia y mantener una
oxigenación óptima
a) Restitución:
- Condicionado a la
evaluación inicial
del paciente
- Manejo
interdisciplinario
Surg Clin N Am 91 (2011) 481–491
Drenaje apropiado.
AMB
10 dias
Cultivo
Absceso y/o
colecciones
intraabdominales
Punción
percutánea, canali
zación al exterior.
Drenaje abierto
Peritonitis generalizada  reintervención
control de la fuente de la infección.
Fugas anastomóticas no
deberán ser reparadas.
Exteriorización o la desfuncionalización de los
segmentos del aparato digestivo afectados.
Toma de cultivos de
exudados abdominales y
el lavado exhaustivo de
la cavidad.
Se manejará
cerrado o abierto.
b) Sepsis:
Surg Clin N Am 91 (2011) 481–491
Tx.Medico
• Prolongación de la duración del drenaje
• Somatostatina 6mg/día
• Reposo de tubo digestivo
• Cuidados de la piel
Complicaciones de las gastrectomías [40-350] D Mutter, J Marescaux
• Gasto alto  nutrición parenteral total
• Fístulas de esófago, íleo (de bajo gasto) y colon  enteral desde su
inicio
• Fístulas biliares dieta normal
• Fístulas + infección e inmunosupresión dietas por vía
enteral, Inmunomoduladoras
• Pacientes estables  dietas poliméricas estándar.
•
• Requerimientos calóricos 25 a 30 kcal por kg/ dia
• Los pacientes con fístulas del aparato digestivo que requieren nutrición
artificial deberán ser manejados por un equipo multidisciplinario con
experiencia, que realice un manejo seguro y efectivo de la nutrición
artificial
c) Nutrición:
Consenso Mexicano en el manejo integral de las fístulas del aparato digestivo. Cirujano General Vol. 22 Núm. 3 - 2000
d) Octreotide
Gastrointestinal:
Disminuye las secreciones
Flujo sanguíneo mesentérico
Resistencia vascular
Flujo hepático
Cir Gen 2000;22:221-225
Cir Gen 2000;22:221-225
Cir Gen 2000;22:221-225
Cir Gen 2000;22:221-225
Tx.Qx
• Reinterveción Quirurgica
• Drenaje externo de fugas
• Exclusión temporal o definitiva de los
segmentos patologicos.
Complicaciones de las gastrectomías [40-350] D Mutter, J Marescaux
Fistulademuñon
duodenal
• 3 semanas
• Reintervención
• LAPE
• Revisión abdominal
completa.
• Sutura
• Fistulización
dirigida
Complicaciones de las gastrectomías [40-350] D Mutter, J Marescaux
Fistula de
anastomosis
gastroduodenal
Reintervención
Revisión abdominal
Desmontaje de anastomosis
dehiscente
Cierre de muñon duodenal
Gastrectomía
Anastomosis gastroyeyunal
 Cierre primario
Complicaciones de las gastrectomías [40-350] D Mutter, J Marescaux

Fistulas

  • 1.
    FISTULAS R2CG Ana LiliaPacheco Carrillo
  • 2.
    Fistula • Comunicación anormaly bien establecida entre dos superficies epitelizadas. • 4-6 dias Surg Clin N Am 91 (2011) 481–491
  • 3.
    Antecedentes • Mediados delS. XX  30-35% cierre espontaneo • Mortalidad 65-70% • 30% Reintervención Qx • 10-l5% Exito • Mortalidad Actual  20-25% Tratado de Cirugia General. AMCG. Fistulas Enterocutaneas. Cap 91. 729-36
  • 4.
    Epidemiología • Centros Medicosde Tercer  70 por año. • 2 y el 5% de todas las cirugías realizadas en el aparato digestivo. • La mortalidad por fístulas del aparato digestivo en nuestro medio oscila entre el 20 y el 30%. • Entre 85% y 90% de las fístulas son postoperatorias. • Un 10% son espontáneas. Consenso Mexicano en el manejo integral de las fístulas del aparato digestivo. Cirujano General Vol. 22 Núm. 3 - 2000
  • 5.
    Obstrucción intestinal Cáncer Necrosis pancreáticainfectada Manejo de abdomen abierto Anastomosis del tubo digestivo Radiación Postoperatoriodecirugía secundariaafactores como: Consenso Mexicano en el manejo integral de las fístulas del aparato digestivo. Cirujano General Vol. 22 Núm. 3 - 2000
  • 6.
    Factoresde Riesgo Factores Generales •Hospedero •Desnutrición •Hipoperfusión tisular Factores locales. •Tejidos sujetos a intervención quirúrgica •Inflamación •Infección •Respuestaa los materiales de sutura Factores externos •Iatrogénicos •Técnicas •Criterios qx inadecuados Consenso Mexicano en el manejo integral de las fístulas del aparato digestivo. Cirujano General Vol. 22 Núm. 3 - 2000
  • 7.
    Fisiopatología Fuga del contenidodel aparato digestivo Contenerse No Contenerse Limitarse Formar un trayecto Inflamación Isquemia Solución de continuidad Mecanismo de lesión Tamaño Reacción inflamatoria peritoneal Lesión Consenso Mexicano en el manejo integral de las fístulas del aparato digestivo. Cirujano General Vol. 22 Núm. 3 - 2000
  • 8.
    Clasificación • Externas • Internas •Esta clasificación depende del sitio hacia donde el gasto drene. Anatómica Consenso Mexicano en el manejo integral de las fístulas del aparato digestivo. Cirujano General Vol. 22 Núm. 3 - 2000
  • 9.
    • Esófago • Estómago •Duodeno • Intestino delgado • Colon • Páncreas • Biliares Organica Consenso Mexicano en el manejo integral de las fístulas del aparato digestivo. Cirujano General Vol. 22 Núm. 3 - 2000
  • 10.
    • • Gastoalto: • + 500 ml en 24 hrs • • Gasto moderado: • entre 200 y 500 ml en 24 hrs • • Gasto bajo: • - 200 ml en 24hrs Fisiológica Consenso Mexicano en el manejo integral de las fístulas del aparato digestivo. Cirujano General Vol. 22 Núm. 3 - 2000 Fístulas pancreáticas • gasto alto: +200 ml en 24 horas • gasto bajo: - 200 ml en 24 horas
  • 11.
    Sitges-Serra Tipo I: Esofagicas,gastricas y duodenales Tipo II: Intestino Delgado Tipo III: Intestino Grueso Tipo IV: Drenan a través de un defecto mayor de 20cm AnatómicayFisiologica Consenso Mexicano en el manejo integral de las fístulas del aparato digestivo. Cirujano General Vol. 22 Núm. 3 - 2000
  • 12.
    Surg Clin NAm 91 (2011) 481–491
  • 13.
    Clasificación de Fistulas SurgClin N Am 91 (2011) 481–491
  • 14.
    Fistulas Gastricas y Duodenales ………………... • Resultande perforaciones que comunican con organos adyacentes o pared abdominal. Surg Clin N Am 91 (2011) 481–491
  • 15.
    Complicaciones de lasgastrectomías [40-350] D Mutter, J Marescaux
  • 16.
    Fistulas Gastricas • Iatrogénicas en80% de los casos. • Secundarias a cáncer, radiación, isquemia (Kozell y Martins, 2001). • Cuando ocurren por cáncer residual su mortalidad asciende hasta 75%. Surg Clin N Am 91 (2011) 481–491
  • 17.
    Endoscopia Laparotomía Laparoscopia • Polipectomía cauterio lesión termica • Gastrostomia percutanea • Pickleman et al • Serie de 318 gastrectomias parciales • 1.3% Fuga anastomitica Gastroyeyunostomia • 1.4% Gastrectomía Total + Esofagoyeyunostomia en Y de Roux • 1.5% Banda Gastrica • 6% By Pass • Funduplicatura • Perdikis et al 2,453 procedimientos • 0.3 a 1.9% • Incidencia global del 1 % • Zuidema: Shackelford's Surgery of the Alimentary Tract, 5th ed
  • 18.
    • Dehiscencia deAnastomosis • Anastomosis a tensión • Vascularización insuficiente • Mala preparación de bordes • Anastomosis sobre tubo digestivo patológico. Complicaciones de las gastrectomías [40-350] D Mutter, J Marescaux
  • 19.
    Fistulas Duodenales • Postquirúrgica en85% de los casos. • Mortalidad puede llegar al 30% (Chapman y Dunphy, 1964). Surg Clin N Am 91 (2011) 481–491
  • 20.
    Endoscopia Laparotomía Laparoscopia • CPRE • Usode engrapadoras 13.2% • Sutura 2.3% • Colecistectomía Zuidema: Shackelford's Surgery of the Alimentary Tract, 5th ed
  • 21.
    Mortalidad Surg Clin NAm 91 (2011) 481–491
  • 22.
    Clínica • Ileo persistente •Dolor Abdominal • Intolerancia Oral • Fiebre • Taquicardia • Inflamación en hxqx o sitio de drenajes • Gasto intestinal o gas Surg Clin N Am 91 (2011) 481–491
  • 23.
    Clínica • Esofago Saliva •Estomago  Mucoso, quemadura de la piel • DuodenoDorado / Amarilllo- Verdoso • Yeyuno Verdodo con grumos • Ileon terminal  Semiliquido, color mostaza o café. • Colon Fecaliode Surg Clin N Am 91 (2011) 481–491
  • 24.
    Clinica • Flujo Valorpronostico • Fuga Líquidos, ES, Proteinas, Lípidos, Vitaminas. • Mala digestión, falta de enzimas pancreaticas, malabsorción, anorexia. • Aumento gasto energetico • Trayecto fistuloso • Toxicidad de líquido • Septicidad Complicaciones de las gastrectomías [40-350] D Mutter, J Marescaux
  • 25.
    Exploración • Fuga mínima asintomática • Anastomosis  estenosis • Sutura esofagica: • intratoracica  4% • Gastricas  2.7% • Fuga abundante y precoz  Peritonitis  Mortalidad 50% Gravedad–EvoluciónClínica Complicaciones de las gastrectomías [40-350] D Mutter, J Marescaux
  • 26.
    AbordajeDx • Labs • FistulografíaGold standar • Esofagograma • SEGD • Transito intestinal • Colon por enema • TAC • USG Surg Clin N Am 91 (2011) 481–491
  • 27.
    Dx Ecografia Absceso SEG Fistula Azul Metileno Complicaciones de lasgastrectomías [40-350] D Mutter, J Marescaux
  • 28.
    Absceso subhepatico secundarioa Fistula en muñon duodenal Punción del absceso Complicaciones de las gastrectomías [40-350] D Mutter, J Marescaux
  • 29.
    • Origen dela fístula • Definición del trayecto como único o múltiple y si éste es largo o corto • El tamaño de la solución de continuidad • Si está comunicada o no con un absceso o con otro órgano • Si la fístula es lateral o terminal • El estado del intestino adyacente a la fístula • La presencia de obstrucción, con base en el seguimiento de material de contraste hacia la parte distal de la fístula Surg Clin N Am 91 (2011) 481–491
  • 30.
    Tratamiento Surg Clin NAm 91 (2011) 481–491 Chapman: “la clave del manejo exitoso es: 1) controlar la fístula 2) combatir la sepsis 3) desde el comienzo, mantener un adecuado aporte nutricional”.
  • 31.
    Manejo de lasFistulas intestinales Chapman et al 1964 Surg Clin N Am 91 (2011) 481–491
  • 32.
    Principios Generales • 1. Diagnósticoy reconocimiento • 2. Estabilización • 3. Tratamiento y cuidado definitivo Surg Clin N Am 91 (2011) 481–491
  • 33.
    Estabilización Líquidos ylos electrólitos Equilibrio hemodinámico Corregir alteraciones hidroelectrolíticas como ácido-base. Ayuno, SNG, Foley, un catéter venoso central Corregir la anemia y mantener una oxigenación óptima a) Restitución: - Condicionado a la evaluación inicial del paciente - Manejo interdisciplinario Surg Clin N Am 91 (2011) 481–491
  • 34.
    Drenaje apropiado. AMB 10 dias Cultivo Abscesoy/o colecciones intraabdominales Punción percutánea, canali zación al exterior. Drenaje abierto Peritonitis generalizada  reintervención control de la fuente de la infección. Fugas anastomóticas no deberán ser reparadas. Exteriorización o la desfuncionalización de los segmentos del aparato digestivo afectados. Toma de cultivos de exudados abdominales y el lavado exhaustivo de la cavidad. Se manejará cerrado o abierto. b) Sepsis: Surg Clin N Am 91 (2011) 481–491
  • 35.
    Tx.Medico • Prolongación dela duración del drenaje • Somatostatina 6mg/día • Reposo de tubo digestivo • Cuidados de la piel Complicaciones de las gastrectomías [40-350] D Mutter, J Marescaux
  • 36.
    • Gasto alto nutrición parenteral total • Fístulas de esófago, íleo (de bajo gasto) y colon  enteral desde su inicio • Fístulas biliares dieta normal • Fístulas + infección e inmunosupresión dietas por vía enteral, Inmunomoduladoras • Pacientes estables  dietas poliméricas estándar. • • Requerimientos calóricos 25 a 30 kcal por kg/ dia • Los pacientes con fístulas del aparato digestivo que requieren nutrición artificial deberán ser manejados por un equipo multidisciplinario con experiencia, que realice un manejo seguro y efectivo de la nutrición artificial c) Nutrición: Consenso Mexicano en el manejo integral de las fístulas del aparato digestivo. Cirujano General Vol. 22 Núm. 3 - 2000
  • 37.
    d) Octreotide Gastrointestinal: Disminuye lassecreciones Flujo sanguíneo mesentérico Resistencia vascular Flujo hepático Cir Gen 2000;22:221-225
  • 38.
  • 39.
  • 40.
  • 41.
    Tx.Qx • Reinterveción Quirurgica •Drenaje externo de fugas • Exclusión temporal o definitiva de los segmentos patologicos. Complicaciones de las gastrectomías [40-350] D Mutter, J Marescaux
  • 42.
    Fistulademuñon duodenal • 3 semanas •Reintervención • LAPE • Revisión abdominal completa. • Sutura • Fistulización dirigida Complicaciones de las gastrectomías [40-350] D Mutter, J Marescaux
  • 43.
    Fistula de anastomosis gastroduodenal Reintervención Revisión abdominal Desmontajede anastomosis dehiscente Cierre de muñon duodenal Gastrectomía Anastomosis gastroyeyunal  Cierre primario Complicaciones de las gastrectomías [40-350] D Mutter, J Marescaux