UTILIDAD PRÁCTICA DE LA
ECOGRAFIA EN LA
INFLAMACIÓN
DERMATOLOGICA
Dr. Fernando Alfageme Roldán
Dermatólogo
Hospital Universitario Puerta de Hierro
Miembro de SEECO
OBJETIVOS
1) Entender las imágenes básicas en ecografía
en dermatología y cómo se obtienen
2) Diferenciar la piel, el pelo y la uña normal del
pelo piel y uña ecográficamente inflamados.
3) Interpretar qué información útil nos ofrece la
ecografía en la inflamación de piel, pelo y
uñas.
PRACTICA
¿ECOGRAFIA EN
DERMATOLOGÍA?
• TUMORES CUTANEOS/ SUBCUTANEOS.
• INFLAMACIÓN.
• DERMOESTETICA.
Wortsman X, Wortsman J.
Clinical usefulness of variable-frequency ultrasound in localized lesions of the skin.
J Am Acad Dermatol. 2010 Feb;62(2):247-56..
¿ECOGRAFIA EN
DERMATOLOGÍA?
• TUMORES CUTANEOS/ SUBCUTANEOS.
• INFLAMACIÓN.
• DERMOESTETICA.
Wortsman X, Wortsman J.
Clinical usefulness of variable-frequency ultrasound in localized lesions of the skin.
J Am Acad Dermatol. 2010 Feb;62(2):247-56..
LA ECOGRAFÍA RESPONDE
PREGUNTAS
UTILIDAD DE LA ECOGARFÍA
EN INFLAMACION CUTANEA
• Dentro de la inflamación responde muy bien
a dos preguntas:
LOCALIZACION ¿Qué está inflamado?
EXTENSIÓN ¿ Cuánto está inflamado?
¿Y EL DIAGNÓSTICO?...
¿CÓMO HACEMOS
ECOGRAFÍA?
Sonda lineal
EFECTO PIEZOELECTRICO
MODO B (BRIGHT)
Cerezo et al Principios Físicos de Ecografía
www.seeco.es
HIPERECOICO
HIPOECOICO
ANECOICO
CLAVE PARA ENTENDER
LA ECOGRAFIA
Las ecografías son cortes ANATOMICOS en
macro
PLANOS
Corte longitudinal Corte transversal
PIEL NORMAL
ECOGRAFIA
PIEL ECOGRAFICA E HISTOLOGICA
Piel normal
EPIDERMIS
DERMIS
TCS
FASCIA
CORTE
APARATO UNGUEAL
Uña normal long.
falange
tabla ungueal
IFD
lecho
Área matricial
falange
lecho
FOLICULO PILOSEBACEO
FOLÍCULO PILOSEBACEO
Alfageme F, Cerezo E. Ecografía de las enfermedades foliculares , Actualidad medica 2014,
(in press)
Alfageme F, Cerezo E. Ecografía de las enfermedades foliculares , Actualidad medica 2014,
(in press)
F
INFLAMACION
REGLAS “FÁCILES”
PARA DETECTAR INFLAMACION
1)La estructura inflamada se suele hacer
Hipoecoica = edema+células
2)El flujo Doppler Suele estar aumentado=
Aumento de flujo sanguíneo
3) COMPARAR, COMPARAR, COMPARAR
INFLAMACION
Extraído de
Alfageme F, Cerezo E, Aguilo R. Manual de ecografía cutánea.
Gutierrez M, Wortsman X, Filippucci E, De Angelis R, Filosa G, Grassi W.
High-frequency sonography in the evaluation of psoriasis: nail and skin involvement.J
Ultrasound Med. 2009 Nov;28(11):1569-74.
Características ecográficas
de la psoriasis ungueal
• Engrosamiento de la tabla
ungueal de manera focal o
generalizada
• Ondulación ventral de la
tabla ungueal
• Aumento grosor del lecho
ungueal
• Aumento de flujo en lecho
ungueal y posiblemente en
el área perimatricial.
QUIZZ
15
CASOS PARA RESOLVER
NORMAL
INFLAMADO
LOCALIZACION
DE LA INFLAMACION
BONUS: DIAGNOSTICO
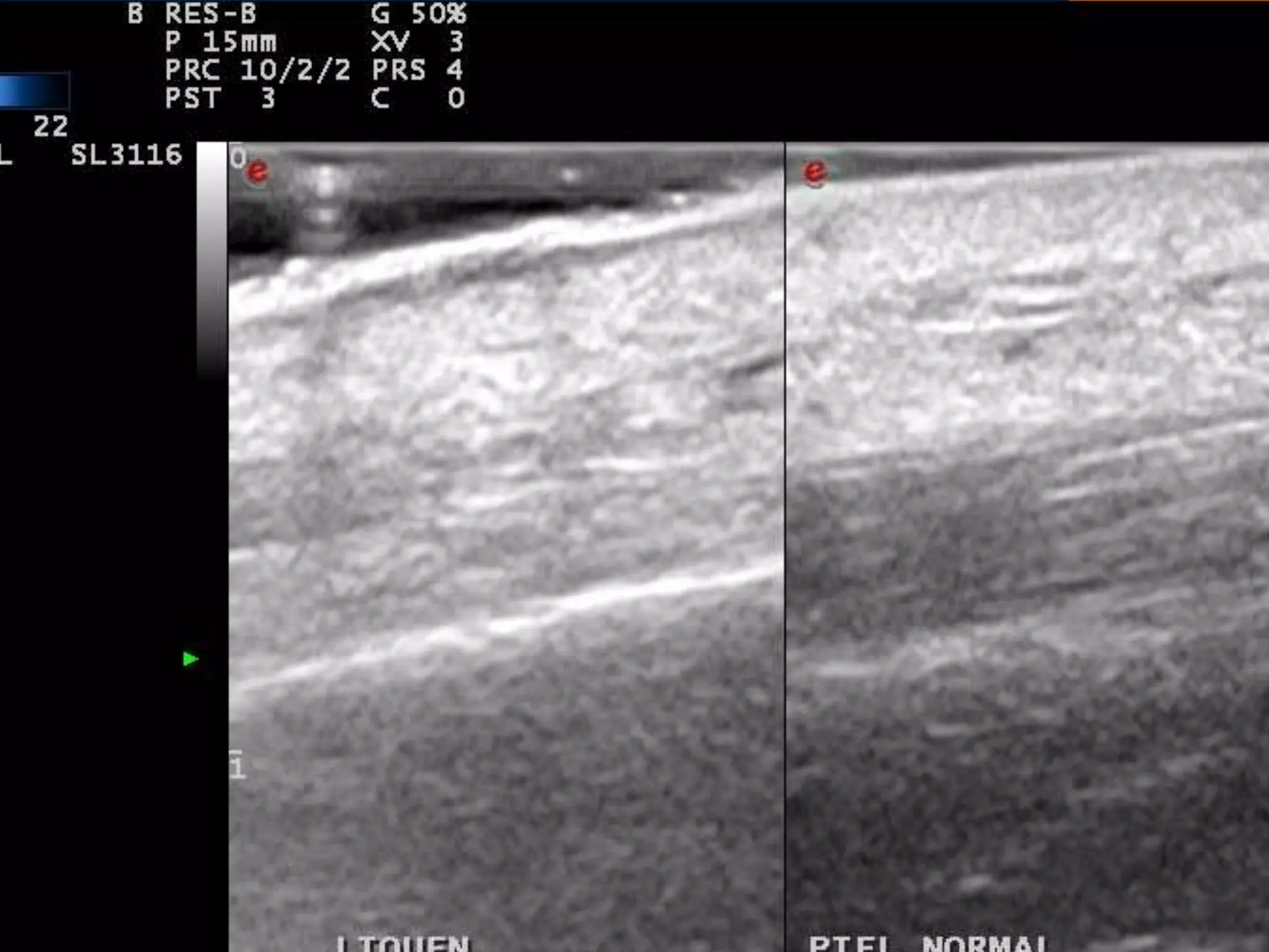
PIEL NORMAL
REGION FRONTAL
PIEL NORMAL
DORSO NASAL
Sfinter m
Epidermis
Submucosa
gum
Mucosa
Dermis
SCT
PABELLON AURICULAR
INFLAMADO
TABLA Y LECHO
ONICOPATIA PSORIASICA
INFLAMADO
GRADO DE INFLAMACION
DERMIS/EPIDERMIS
PENFIGOIDE AMPOLLOSO
NORMAL
CUERO CABELLUDO
INFLAMADO
LOCALIZACION DE INFLAMACION
FOLICULAR
TINEA CAPITIS
INFLAMADO
LOCALIZACION DE INFLAMACION
EPODERMIS/DERMIS/ TCS
LESISMANIASIS/BOTON DE ORIENTE
INFLAMADO
LOCALIZACION DE INFLAMACION
EPIDERMIS/DERMIS
PLACA DE PSORIASIS
INFLAMADO
LOCALIZACION DE INFLAMACION
DERMIS/SUBDERMIS
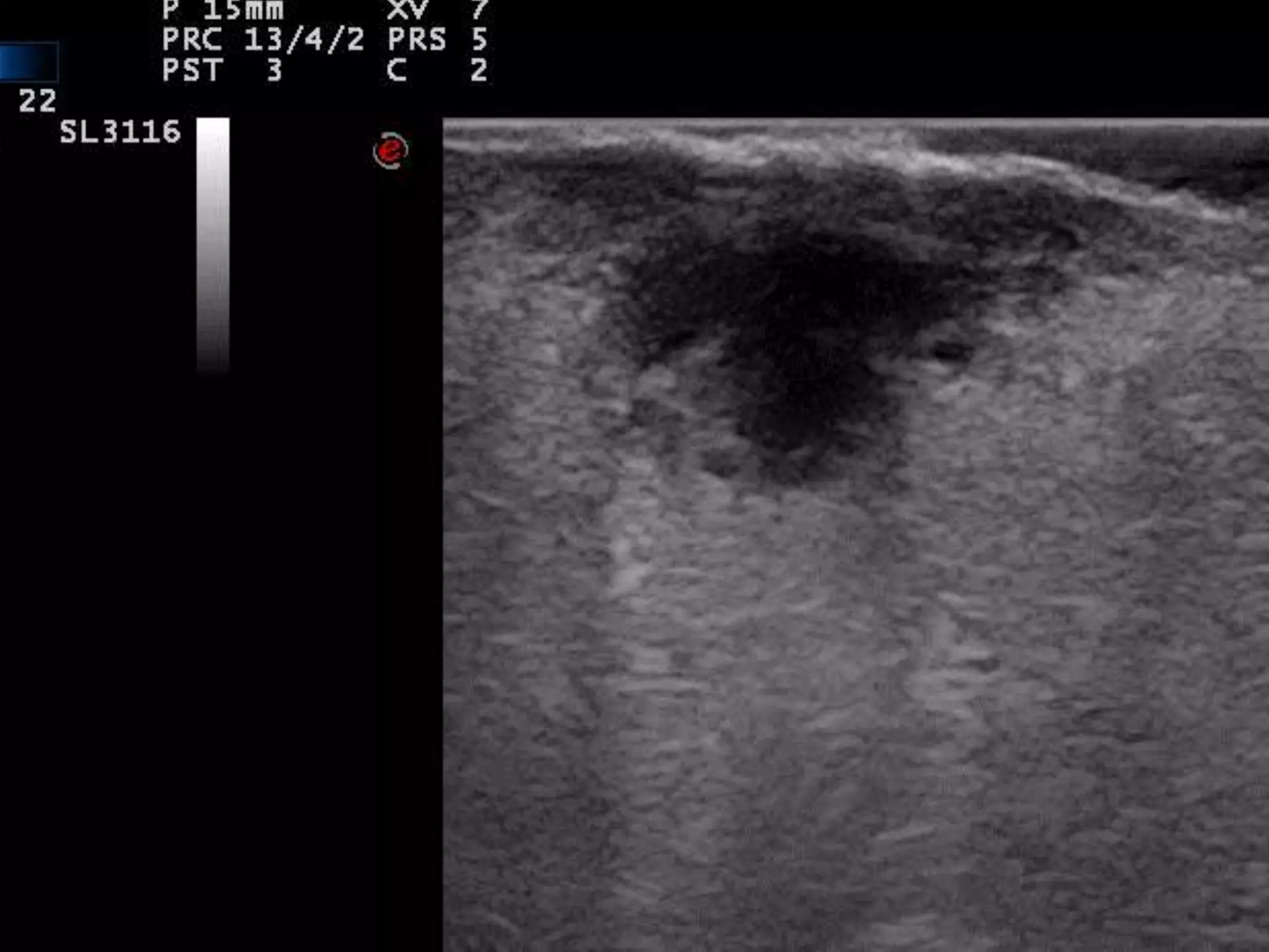
HIDRADENITIS SUPURATIVA
INFLAMADO
LOCALIZACION DE INFLAMACION
DERMIS
ROSACEA
INFLAMADO
LOCALIZACION DE INFLAMACION
DERMIS
ACNE PAPULOPUSTULOSO
INFLAMADO
LOCALIZACION DE INFLAMACION
UNION DERMOEPIDERMICA
LIQUEN PLANO
INFLAMADO
LOCALIZACION DE INFLAMACION
UNION DERMOEPIDERMICA
PLACA DE PSORIASIS
www.ecocutanea.com
UTILIDAD DE LA ECOGRAFIA EN INFLAMACIÓN DERMATOLÓGICA

UTILIDAD DE LA ECOGRAFIA EN INFLAMACIÓN DERMATOLÓGICA