Adaptaciones, lesion celular y
muerte celular
Arturo Rafael Heredia
Introduccion a la Patologia
• Estudia los cambios
estructurales y funcionales
de las celulas, organos y
tejidos debidos a una
enfermedad.
• the study of the structural and functional changes in
cells, tissues, and organs that underlie disease
Introduccion a la patolgia
Los 4 aspectos de la enfermedad que forman
el corazon de la patolgia son:
1.- etiologia
2.- patogenesis.
3.- cambios morfologicos.
4.- significado clinico.
• The four aspects of a disease process that form the core of pathology
are its cause (etiology), the mechanisms of its development
(pathogenesis), the structural alterations induced in the cells and
organs of the body (morphologic changes), and the functional
consequences of the morphologic changes (clinical significance).
Aspectos generales de la respuesta
celular al stress
Overview: Cellular Responses to Stress and Noxious Stimuli
Adaptaciones celulares de
crecimiento y diferenciacion
1.- Hiperplasia:
• Fisiologica.
• Patologica.
Hiperplasia fisiologica:
• a.- hormonal, ej. ,mama, utero.
• b.- compensatoria, higado y prometeo.
Adaptaciones celulares de
crecimiento y diferenciacion
• Hiperplasia Patologica:
• a.- hormonal, hiperplasia endometrial
• b.- factores de crecimiento, reparacion
tejido conectivo, virus
Adaptaciones celulares de
crecimiento y diferenciacion
• 2.- Hipertrofia:
• incremento en el tamano de las celulas y
por lo tanto del organo.
• Fisiologica y patologica.
• Musculo cardiaco, utero, mama.
Adaptaciones celulares de
crecimiento y diferenciacion
• 3.- Atrofia:
• disminucion del tamano de la celula por
perdida de sustancia celular.
• Fisiologica, en el embrion.
• Patologica, hay una causa; puede ser local o
generalizada.
Adaptaciones celulares de
crecimiento y diferenciacion
3.- atrofia : causas.
• Atrofia por desuso.
• Perdida de inervacion.
• Disminucion de irrigacion sanguinea.
• Nutricion inadecuada.
• Perdida del estimulo endocrino.
• Envejecimiento.
• Presion.
Adaptaciones celulares de
crecimiento y diferenciacion
• 3.- atrofia: mecanismos.
• Lisosomas.
• Ubiquitina-proteasoma.
• Citoquinas como el TNF.
Adaptaciones celulares de
crecimiento y diferenciacion
4.- metaplasia:
• cuando una celula de tipo adulto, epitelial o
mesenquimal es remplazada por otra celula
de tipo adulto.
• Metaplasia escamosa en el tracto
respiratorio.
• Metaplasia intesinal en esofago.
Adaptaciones celulares de
crecimiento y diferenciacion
• Mecanismos de metaplasia:
• resultado de la reprogramacion de las Stem
cells.
Vision general de lesion y muerte
celular
• Cuando el dano es severo y no es posible la
adaptacion.
• Lesion celular reversible: !de fosforilacion
oxidativa, !del ATP, edema celular.
• Lesion irreversible y muerte celular: dano
mitocondrial?
Causas de lesion celular
• 1.- deprivacion del oxigeno, hipoxia.
• 2.- agentes fisicos.
• 3.- reacciones inmunologicas, reaccion
anafilactica (penicilina), enfermedades
autoinmunes.
• 4.- desordenes geneticos, Sd de Down.
• 5.- Disbalance nutricional.
Mecanismos de lesion celular
Consideraciones previas:
• la respuesta celular depende del tipo de agente,
duracion e intensidad.
• Las consecuencias depende de tipo, estado y
adaptabilidad de cada celula.
• Los mas importantes blancos son: producion de
ATP, membrana, sintesis proteica, citoesqueleto y
aparato genetico.
Mecanismos de lesion celular
• 1.- depleccion del ATP.
• 2.- dano mitocondrial.
• 3.- calcio intracelular y perdida de la
homeostasis del calcio.
• 4.- radicales libres derivados del oxigeno.
• 5.- defectos en la permeabilidad de la
membrana.
Mecanismos de lesion celular
1.- depleccion del ATP, asociados a hipoxia y
lesion quimica.
• El ATP es requerido para: transporte,
sintesis de proteinas, lipogenesis,
deacilacion y reacilacion.
Mecanismos de lesion celular
2.- dano mitocondrial.
• Incremento del calcio citosolico.
• Estres oxidativo.
• Fosfolipasa A2.
• Se forma un canal de alta conductancia.
• Liberacion de citocromo c en el citosol.
3.- perdida de la homeostasis del calcio.
• Calcio intracelular menos de 0,1 mmol:
calcio extracelular 1.3 mmol.
• Activacion de diversas enzimas:
fosfolipasas, ATPasas, proteasas,etc.
Mecanismos de lesion celular
Mecanismos de lesion celular
4.- Acumulacion de radicales libres derivados
del oxigeno.
• Contribuye en una variedad de procesos:
lesion quimica y por radiacion, isquemia-
reperfusion, envegecimiento celular, muerte
microbiana.
• 3 reacciones relevantes: peroxidacion de
lipidos de membranas, modificacion
oxidativa de proteinas y lesiones del DNA.
Mecanismos de lesion celular
5.- defectos en la permeabilidad de la
membrana: por varios mecanismos.
• Disfuncion mitocondrial.
• Perdida de fosfolipidos de membrana.
• Anormalidades en el citoesqueleto.
• Especies reactivas de oxigeno.
• Productos de degracion de los lipidos.
Lesion celular reversible e
irreversible
• Problemas en la generacion de ATP.
• Perdida de la integridad de membrana.
• Defectos en la sintesis de proteinas.
• Dano en el citoesqueleto.
• Dano del DNA.
• Dano mitocondrial, alteracion de membrana
lisosomal.
Morfologia de lesion celular y
necrosis
• Hay un periodo de tiempo entre el stress y
los cambios morfologicos, dependiendo de
los metodos de estudio.
Morfologia de lesion celular y
necrosis
1.- lesion reversible.
• Edema celular.
• Cambio graso.
• Ultraestructural change: alteraciones
de la membrana plasmatica, cambios
mitocondriales, dilatacion del RE,
alteraciones nucleares.
Morfologia de lesion celular y
necrosis
2.- necrosis.
• En el citoplasma: incremento de la eosinofilia,
figuras de mielina.
• En el nucleo: cariolisis, picnosis y cariorexis.
• Necrosis coagulativa: desnaturalizacion.
• Necrosis liquefactiva: digestion enzimatica.
• Necrosisi caseosa y grasa, situaciones
especiales.
Ejemplos de lesion celular y
necrosis
1.- Isquemia y lesion hipoxica.
• Hipoxia reduccion del oxigeno.
• Isquemia reduccion del flujo sanguineo.
Ejemplos de lesion celular y
necrosis
2.- lesion por Isquemia - Reperfusion.
• Se produce nuevo dano por la generacion de
radicales libres.
• Se produce dano mitocondrial.
• Se asocia a inflamacion y activacion del
complemento.
Ejemplos de lesion celular y
necrosis
• 3.- lesion quimica.
• El cloruro de mercurio se une a grupos
sulfidrilos.
• El cianuro a la citocrooxidasa.
• El tetracloruro de carbono y el Tylenol es
convertido por el citocromo P- 450.
Apoptosis
• Es una muerte celular programada, no se
altera la membrana, no genera respuesta
inflamatoria, promueve fagocitosis.
• La apoptosis y la necrosis algunas veces
coexisten.
Causas de apoptosis
• Apoptosis en situaciones fisiologicas:
embriogenesis, involucion
hormonodependiente, deleccion celular,
celulas T, respuesta inflamatoria.
• Apoptosis en condiciones patologicas:
radiacion, quimioterapia, virus, obstruccion
de ductos, tumores.
Biochemical features of
apoptosis
• Division de proteinas: familia de caspasas.
• Dano en el DNA, division
internucleosomal. Por Ca y Mg
endonucleasas.
• Reconocimiento y fagocitosis: expresan
fosfadil serina, trombospondina.
Mecanismos de apoptosis
• Via extrinseca inciada por receptores:
familia de receptores del FNT.
• via intrinseca mitocondrial: incrementa la
permeabilidad mitocondrial.
The Nobel Prize in Physiology or Medicine for 2002
jointly to
Sydney Brenner, H. Robert Horvitz and John E.
Sulston
for their discoveries concerning "genetic regulation of
organ development and programmed cell death"
Nobel medicin 2002
• Sydney Brenner (b 1927), Berkeley, CA, USA, established C. elegans as a novel
experimental model organism. This provided a unique opportunity to link genetic
analysis to cell division, differentiation and organ development – and to follow these
processes under the microscope. Brenner's discoveries, carried out in Cambridge,
UK, laid the foundation for this year's Prize.
• John Sulston (b 1942), Cambridge, England, mapped a cell lineage where every cell
division and differentiation could be followed in the development of a tissue in C.
elegans. He showed that specific cells undergo programmed cell death as an integral
part of the normal differentiation process, and he identified the first mutation of a
gene participating in the cell death process.
• Robert Horvitz (b 1947), Cambridge, MA, USA, has discovered and characterized
key genes controlling cell death in C. elegans. He has shown how these genes
interact with each other in the cell death process and that corresponding genes exist
in humans.
Respuesta subcelular a la lesion
• Existen alteraciones de las organelas
celulares y del citoesqueleto que coexisten
con la lesión letal aguda.
• Otras representan formas crónicas de lesión
celular.
Catabolismo lisosomal
1.- Heterofagia, digestion de material ingerido del
ambiente extracelular.
• Fagacitosis, material particulado. (uptake particulate
matter).
• Pinocitosis, material soluble.
• Ejemplos: neutrofilos-bacterias, macrofagos-celulas
apoptoticas.
2.- Autofagia, digestion de componentes de la propia
celula.
Catabolismo lisosomal
• Las enzimas lisosomales degradan mas
facilmente proteinas y carbohidratos.
• Lisosomas con material no digerido
permanecen como cuerpos residuales.
• LIPOFUCINA, material no digerido, derivado
de la peroxidacion lipidica intracelular.
• Tatuajes, carbon de la atmosfera pueden
persistir en fagolisosomas de macrofagos por
decadas.
Catabolismo lisosomal
• Enfermedades hereditaria por almacenamiento
lisosomal, deficiencias enzimaticas: Enfermedad de
Pompe, Gaucher.
• Enfermedades lisosomales inducidas por drogas.
• La cloroquina altera el pH, del lisosoma, reduce el
daño tisular de las reacciones inflamatorias, BASE
DEL TRATAMIENTO DE LA ARTRITIS
REUMATOIDEA.
Induccion de hipertrofia del
reticulo endoplasmatico liso
• La adaptación a los barbitúricos implica una
hipertrofia de músculo liso de los hepatocitos.
• Contiene el sistema oxidasa de funcion mixta
P- 450 : aumenta la secreción de alcohol,
esteroides, eicosanoides, carcinogenos e
insectisidas. “detoxification.”
Alteraciones mitocondriales
• Existen alteraciones del numero, de la
forma y del tamaño de las mitocondrias.
• Enfermedad hepática alcohólica y
alteraciones nutricionales:
MEGAMITOCONDRIAS.
• Apariencia eosinofílica de los oncocitomas,
por las mitocondrias.
Anormalidades del citoesqueleto
• 1.- defectos en la función celular:
locomoción.
• 2.- acumulación intracelular.
Filamentos delgados de Actina:
• Ejemplos la Citocalcina B, previene la
polimerizacion de los filamentos de actina
Anormalidades del citoesqueleto
• Microtubulos: inhibe la motilidad de los
espermatozoides causando esterilidad masculina.
Kartagener. Cilios inmóviles.
• Filamentos intermedios, están divididos en 5
clases:
1. Keratina, células epiteliales.
2. Neurofilamentos, neuronas.
3. Filamentos de desmina, musculo liso.
4. Vimentina, tejido conectivo.
5. Filamentos gliales, astrocitos.
Anormalidades del citoesqueleto
• Cuerpos de Mallory o hialina alcohólica,
alcoholic liver disease.
• Neurofibrillary tangle, Alzheimer’s disease.
• Proteinas del citoesqueleto unidos a
receptores celulares: Wiskott Aldrich
syndrome (eczema, anormalidades en
plaquetas y deficiencia inmune).
Acumulaciones intracelulares
• Son de tres tipos:
1. Constituyente normal acumulado en exceso.
2. Una sustancia anormal.
3. Un pigmento.
• Procesos involucrados:
1. Metabolismo inadecuado para remoción.
2. Defectos en el empaque, secreción.
3. Deposito de sustancia anormal, falta enzimas para
degradarlo o transportarlo.
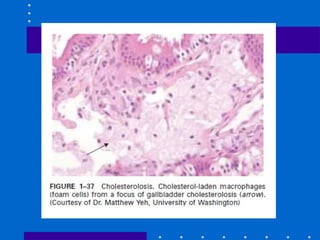
Acumulaciones de Lípidos
• Esteatosis y cambio graso.
• Colesterol y esteres de colesterol:
ateroesclerosis, xanthomas, inflamacion y
necrosis, colesterolosis, Niemann-Pick
disease tipo C.
Acumulo de proteínas
• Reabsorcion de gotas en el tubulo proximal,
en proteinuria.
• Cuerpos de Rusell.
• Defectos en el plegamiento de proteinas.
Otras acumulaciones
• Cambio hialino: arterias en hipertensión,
diabetes.
• Enfermedades por acumulo de glicógeno.
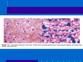
• Pigmentos: exógenos (carbón), encógenos
(lipofuccina, melanina, hemosiderina).
Calcificacion patologica
• Calcificación distrófica, tejidos
moribundos, calcio normal en sangre.
• Calcificación metastásica, en hipercalcemia
secundaria.
Envejecimiento celular
• Declinación progresiva de la capacidad
proliferativa de las células, acumulación
progresiva de daño celular y molecular.
• Werner syndrome.
Preguntas:
• 1.- el cncepto de la etiologia y la causalidad
segun los Arcadianos y en terminos
modernos.
• 2.- explique la patogenesis tomando como
ejemplo la Fibrosis Quistica.
• 3.- en tumores morfologicamente identicos
de que hace uso la patologia para el
diagnostico correcto.
preguntas
• 4.- la naturaleza de los cambios
morfologicos determina 3 aspectos de la
enfermedad, cuales son:
• 5.- quien es el padre de la patologia
moderna, algunos datos biograficos.
• 6.- la homeostasis, como se da en las
celulas, comente.
• 7.- hay 2 patrones de muerte celular,
explique.
Preguntas
• 8.- tipos calcificacion.
• 9.- relacione la mitosis con la hipertrofia e
hiperplasia.
• 10.- describa la historia de prometeo.
• 11.- explique el mecanismo de hiperplasia.
• 12.- stem cells? Ej in Liver.
• 13.- explique el ciclo menstrual: fenomenos
endometriales.
• 14.- explique la hiperplasia endometrial.
Preguntas
• 15.- explique la hiperplasia nodular benigna
de la prostata.
• 16.- diferencia entre hiperplasia patologica
y el cancer.
• 17.- cual es la patogenia de las verrugas en
la piel o del condiloma acuminado en
cervix.
• 18.- mecanismos de hipertrofia en el
musculo cardiaco
preguntas
• 19.- mecanismos de atrofia.
• 20.- ejemplos de metaplasia explique por
que?.
• 21.- explique la relacion vitamina A y
metaplasia.
• 22.- relacione la hipoxia y la isquemia.
• 23.- explique el mecanismo de los agentes
fisicos en la lesion celular.
preguntas
• 24.- con ejemplos explique la relacion entre
malnutricion y lesion celular.
• 25.- el ATP es producido en 2 vias explique
cuales y como?
• 26.- los radicales libres se forman dentro de
la celula por varias vias: explique.
• 27.- mecanismos de remocion de los
radicales libres.
1.1  adaptaciones, lesion celular y muerte celular

1.1 adaptaciones, lesion celular y muerte celular

  • 1.
    Adaptaciones, lesion celulary muerte celular Arturo Rafael Heredia
  • 3.
    Introduccion a laPatologia • Estudia los cambios estructurales y funcionales de las celulas, organos y tejidos debidos a una enfermedad. • the study of the structural and functional changes in cells, tissues, and organs that underlie disease
  • 4.
    Introduccion a lapatolgia Los 4 aspectos de la enfermedad que forman el corazon de la patolgia son: 1.- etiologia 2.- patogenesis. 3.- cambios morfologicos. 4.- significado clinico. • The four aspects of a disease process that form the core of pathology are its cause (etiology), the mechanisms of its development (pathogenesis), the structural alterations induced in the cells and organs of the body (morphologic changes), and the functional consequences of the morphologic changes (clinical significance).
  • 5.
    Aspectos generales dela respuesta celular al stress Overview: Cellular Responses to Stress and Noxious Stimuli
  • 8.
    Adaptaciones celulares de crecimientoy diferenciacion 1.- Hiperplasia: • Fisiologica. • Patologica. Hiperplasia fisiologica: • a.- hormonal, ej. ,mama, utero. • b.- compensatoria, higado y prometeo.
  • 9.
    Adaptaciones celulares de crecimientoy diferenciacion • Hiperplasia Patologica: • a.- hormonal, hiperplasia endometrial • b.- factores de crecimiento, reparacion tejido conectivo, virus
  • 10.
    Adaptaciones celulares de crecimientoy diferenciacion • 2.- Hipertrofia: • incremento en el tamano de las celulas y por lo tanto del organo. • Fisiologica y patologica. • Musculo cardiaco, utero, mama.
  • 13.
    Adaptaciones celulares de crecimientoy diferenciacion • 3.- Atrofia: • disminucion del tamano de la celula por perdida de sustancia celular. • Fisiologica, en el embrion. • Patologica, hay una causa; puede ser local o generalizada.
  • 14.
    Adaptaciones celulares de crecimientoy diferenciacion 3.- atrofia : causas. • Atrofia por desuso. • Perdida de inervacion. • Disminucion de irrigacion sanguinea. • Nutricion inadecuada. • Perdida del estimulo endocrino. • Envejecimiento. • Presion.
  • 16.
    Adaptaciones celulares de crecimientoy diferenciacion • 3.- atrofia: mecanismos. • Lisosomas. • Ubiquitina-proteasoma. • Citoquinas como el TNF.
  • 17.
    Adaptaciones celulares de crecimientoy diferenciacion 4.- metaplasia: • cuando una celula de tipo adulto, epitelial o mesenquimal es remplazada por otra celula de tipo adulto. • Metaplasia escamosa en el tracto respiratorio. • Metaplasia intesinal en esofago.
  • 18.
    Adaptaciones celulares de crecimientoy diferenciacion • Mecanismos de metaplasia: • resultado de la reprogramacion de las Stem cells.
  • 20.
    Vision general delesion y muerte celular • Cuando el dano es severo y no es posible la adaptacion. • Lesion celular reversible: !de fosforilacion oxidativa, !del ATP, edema celular. • Lesion irreversible y muerte celular: dano mitocondrial?
  • 25.
    Causas de lesioncelular • 1.- deprivacion del oxigeno, hipoxia. • 2.- agentes fisicos. • 3.- reacciones inmunologicas, reaccion anafilactica (penicilina), enfermedades autoinmunes. • 4.- desordenes geneticos, Sd de Down. • 5.- Disbalance nutricional.
  • 26.
    Mecanismos de lesioncelular Consideraciones previas: • la respuesta celular depende del tipo de agente, duracion e intensidad. • Las consecuencias depende de tipo, estado y adaptabilidad de cada celula. • Los mas importantes blancos son: producion de ATP, membrana, sintesis proteica, citoesqueleto y aparato genetico.
  • 28.
    Mecanismos de lesioncelular • 1.- depleccion del ATP. • 2.- dano mitocondrial. • 3.- calcio intracelular y perdida de la homeostasis del calcio. • 4.- radicales libres derivados del oxigeno. • 5.- defectos en la permeabilidad de la membrana.
  • 29.
    Mecanismos de lesioncelular 1.- depleccion del ATP, asociados a hipoxia y lesion quimica. • El ATP es requerido para: transporte, sintesis de proteinas, lipogenesis, deacilacion y reacilacion.
  • 31.
    Mecanismos de lesioncelular 2.- dano mitocondrial. • Incremento del calcio citosolico. • Estres oxidativo. • Fosfolipasa A2. • Se forma un canal de alta conductancia. • Liberacion de citocromo c en el citosol.
  • 33.
    3.- perdida dela homeostasis del calcio. • Calcio intracelular menos de 0,1 mmol: calcio extracelular 1.3 mmol. • Activacion de diversas enzimas: fosfolipasas, ATPasas, proteasas,etc. Mecanismos de lesion celular
  • 35.
    Mecanismos de lesioncelular 4.- Acumulacion de radicales libres derivados del oxigeno. • Contribuye en una variedad de procesos: lesion quimica y por radiacion, isquemia- reperfusion, envegecimiento celular, muerte microbiana. • 3 reacciones relevantes: peroxidacion de lipidos de membranas, modificacion oxidativa de proteinas y lesiones del DNA.
  • 37.
    Mecanismos de lesioncelular 5.- defectos en la permeabilidad de la membrana: por varios mecanismos. • Disfuncion mitocondrial. • Perdida de fosfolipidos de membrana. • Anormalidades en el citoesqueleto. • Especies reactivas de oxigeno. • Productos de degracion de los lipidos.
  • 39.
    Lesion celular reversiblee irreversible • Problemas en la generacion de ATP. • Perdida de la integridad de membrana. • Defectos en la sintesis de proteinas. • Dano en el citoesqueleto. • Dano del DNA. • Dano mitocondrial, alteracion de membrana lisosomal.
  • 40.
    Morfologia de lesioncelular y necrosis • Hay un periodo de tiempo entre el stress y los cambios morfologicos, dependiendo de los metodos de estudio.
  • 42.
    Morfologia de lesioncelular y necrosis 1.- lesion reversible. • Edema celular. • Cambio graso. • Ultraestructural change: alteraciones de la membrana plasmatica, cambios mitocondriales, dilatacion del RE, alteraciones nucleares.
  • 44.
    Morfologia de lesioncelular y necrosis 2.- necrosis. • En el citoplasma: incremento de la eosinofilia, figuras de mielina. • En el nucleo: cariolisis, picnosis y cariorexis. • Necrosis coagulativa: desnaturalizacion. • Necrosis liquefactiva: digestion enzimatica. • Necrosisi caseosa y grasa, situaciones especiales.
  • 49.
    Ejemplos de lesioncelular y necrosis 1.- Isquemia y lesion hipoxica. • Hipoxia reduccion del oxigeno. • Isquemia reduccion del flujo sanguineo.
  • 51.
    Ejemplos de lesioncelular y necrosis 2.- lesion por Isquemia - Reperfusion. • Se produce nuevo dano por la generacion de radicales libres. • Se produce dano mitocondrial. • Se asocia a inflamacion y activacion del complemento.
  • 52.
    Ejemplos de lesioncelular y necrosis • 3.- lesion quimica. • El cloruro de mercurio se une a grupos sulfidrilos. • El cianuro a la citocrooxidasa. • El tetracloruro de carbono y el Tylenol es convertido por el citocromo P- 450.
  • 55.
    Apoptosis • Es unamuerte celular programada, no se altera la membrana, no genera respuesta inflamatoria, promueve fagocitosis. • La apoptosis y la necrosis algunas veces coexisten.
  • 56.
    Causas de apoptosis •Apoptosis en situaciones fisiologicas: embriogenesis, involucion hormonodependiente, deleccion celular, celulas T, respuesta inflamatoria. • Apoptosis en condiciones patologicas: radiacion, quimioterapia, virus, obstruccion de ductos, tumores.
  • 59.
    Biochemical features of apoptosis •Division de proteinas: familia de caspasas. • Dano en el DNA, division internucleosomal. Por Ca y Mg endonucleasas. • Reconocimiento y fagocitosis: expresan fosfadil serina, trombospondina.
  • 61.
    Mecanismos de apoptosis •Via extrinseca inciada por receptores: familia de receptores del FNT. • via intrinseca mitocondrial: incrementa la permeabilidad mitocondrial.
  • 62.
    The Nobel Prizein Physiology or Medicine for 2002 jointly to Sydney Brenner, H. Robert Horvitz and John E. Sulston for their discoveries concerning "genetic regulation of organ development and programmed cell death"
  • 64.
    Nobel medicin 2002 •Sydney Brenner (b 1927), Berkeley, CA, USA, established C. elegans as a novel experimental model organism. This provided a unique opportunity to link genetic analysis to cell division, differentiation and organ development – and to follow these processes under the microscope. Brenner's discoveries, carried out in Cambridge, UK, laid the foundation for this year's Prize. • John Sulston (b 1942), Cambridge, England, mapped a cell lineage where every cell division and differentiation could be followed in the development of a tissue in C. elegans. He showed that specific cells undergo programmed cell death as an integral part of the normal differentiation process, and he identified the first mutation of a gene participating in the cell death process. • Robert Horvitz (b 1947), Cambridge, MA, USA, has discovered and characterized key genes controlling cell death in C. elegans. He has shown how these genes interact with each other in the cell death process and that corresponding genes exist in humans.
  • 69.
    Respuesta subcelular ala lesion • Existen alteraciones de las organelas celulares y del citoesqueleto que coexisten con la lesión letal aguda. • Otras representan formas crónicas de lesión celular.
  • 70.
    Catabolismo lisosomal 1.- Heterofagia,digestion de material ingerido del ambiente extracelular. • Fagacitosis, material particulado. (uptake particulate matter). • Pinocitosis, material soluble. • Ejemplos: neutrofilos-bacterias, macrofagos-celulas apoptoticas. 2.- Autofagia, digestion de componentes de la propia celula.
  • 73.
    Catabolismo lisosomal • Lasenzimas lisosomales degradan mas facilmente proteinas y carbohidratos. • Lisosomas con material no digerido permanecen como cuerpos residuales. • LIPOFUCINA, material no digerido, derivado de la peroxidacion lipidica intracelular. • Tatuajes, carbon de la atmosfera pueden persistir en fagolisosomas de macrofagos por decadas.
  • 74.
    Catabolismo lisosomal • Enfermedadeshereditaria por almacenamiento lisosomal, deficiencias enzimaticas: Enfermedad de Pompe, Gaucher. • Enfermedades lisosomales inducidas por drogas. • La cloroquina altera el pH, del lisosoma, reduce el daño tisular de las reacciones inflamatorias, BASE DEL TRATAMIENTO DE LA ARTRITIS REUMATOIDEA.
  • 75.
    Induccion de hipertrofiadel reticulo endoplasmatico liso • La adaptación a los barbitúricos implica una hipertrofia de músculo liso de los hepatocitos. • Contiene el sistema oxidasa de funcion mixta P- 450 : aumenta la secreción de alcohol, esteroides, eicosanoides, carcinogenos e insectisidas. “detoxification.”
  • 77.
    Alteraciones mitocondriales • Existenalteraciones del numero, de la forma y del tamaño de las mitocondrias. • Enfermedad hepática alcohólica y alteraciones nutricionales: MEGAMITOCONDRIAS. • Apariencia eosinofílica de los oncocitomas, por las mitocondrias.
  • 79.
    Anormalidades del citoesqueleto •1.- defectos en la función celular: locomoción. • 2.- acumulación intracelular. Filamentos delgados de Actina: • Ejemplos la Citocalcina B, previene la polimerizacion de los filamentos de actina
  • 80.
    Anormalidades del citoesqueleto •Microtubulos: inhibe la motilidad de los espermatozoides causando esterilidad masculina. Kartagener. Cilios inmóviles. • Filamentos intermedios, están divididos en 5 clases: 1. Keratina, células epiteliales. 2. Neurofilamentos, neuronas. 3. Filamentos de desmina, musculo liso. 4. Vimentina, tejido conectivo. 5. Filamentos gliales, astrocitos.
  • 81.
    Anormalidades del citoesqueleto •Cuerpos de Mallory o hialina alcohólica, alcoholic liver disease. • Neurofibrillary tangle, Alzheimer’s disease. • Proteinas del citoesqueleto unidos a receptores celulares: Wiskott Aldrich syndrome (eczema, anormalidades en plaquetas y deficiencia inmune).
  • 83.
    Acumulaciones intracelulares • Sonde tres tipos: 1. Constituyente normal acumulado en exceso. 2. Una sustancia anormal. 3. Un pigmento. • Procesos involucrados: 1. Metabolismo inadecuado para remoción. 2. Defectos en el empaque, secreción. 3. Deposito de sustancia anormal, falta enzimas para degradarlo o transportarlo.
  • 87.
    Acumulaciones de Lípidos •Esteatosis y cambio graso. • Colesterol y esteres de colesterol: ateroesclerosis, xanthomas, inflamacion y necrosis, colesterolosis, Niemann-Pick disease tipo C.
  • 91.
    Acumulo de proteínas •Reabsorcion de gotas en el tubulo proximal, en proteinuria. • Cuerpos de Rusell. • Defectos en el plegamiento de proteinas.
  • 94.
    Otras acumulaciones • Cambiohialino: arterias en hipertensión, diabetes. • Enfermedades por acumulo de glicógeno. • Pigmentos: exógenos (carbón), encógenos (lipofuccina, melanina, hemosiderina).
  • 97.
    Calcificacion patologica • Calcificacióndistrófica, tejidos moribundos, calcio normal en sangre. • Calcificación metastásica, en hipercalcemia secundaria.
  • 99.
    Envejecimiento celular • Declinaciónprogresiva de la capacidad proliferativa de las células, acumulación progresiva de daño celular y molecular. • Werner syndrome.
  • 104.
    Preguntas: • 1.- elcncepto de la etiologia y la causalidad segun los Arcadianos y en terminos modernos. • 2.- explique la patogenesis tomando como ejemplo la Fibrosis Quistica. • 3.- en tumores morfologicamente identicos de que hace uso la patologia para el diagnostico correcto.
  • 105.
    preguntas • 4.- lanaturaleza de los cambios morfologicos determina 3 aspectos de la enfermedad, cuales son: • 5.- quien es el padre de la patologia moderna, algunos datos biograficos. • 6.- la homeostasis, como se da en las celulas, comente. • 7.- hay 2 patrones de muerte celular, explique.
  • 106.
    Preguntas • 8.- tiposcalcificacion. • 9.- relacione la mitosis con la hipertrofia e hiperplasia. • 10.- describa la historia de prometeo. • 11.- explique el mecanismo de hiperplasia. • 12.- stem cells? Ej in Liver. • 13.- explique el ciclo menstrual: fenomenos endometriales. • 14.- explique la hiperplasia endometrial.
  • 107.
    Preguntas • 15.- expliquela hiperplasia nodular benigna de la prostata. • 16.- diferencia entre hiperplasia patologica y el cancer. • 17.- cual es la patogenia de las verrugas en la piel o del condiloma acuminado en cervix. • 18.- mecanismos de hipertrofia en el musculo cardiaco
  • 108.
    preguntas • 19.- mecanismosde atrofia. • 20.- ejemplos de metaplasia explique por que?. • 21.- explique la relacion vitamina A y metaplasia. • 22.- relacione la hipoxia y la isquemia. • 23.- explique el mecanismo de los agentes fisicos en la lesion celular.
  • 109.
    preguntas • 24.- conejemplos explique la relacion entre malnutricion y lesion celular. • 25.- el ATP es producido en 2 vias explique cuales y como? • 26.- los radicales libres se forman dentro de la celula por varias vias: explique. • 27.- mecanismos de remocion de los radicales libres.