GENERALIDADES Y MANEJO
TERAPEÚTICO DE LA PSORIASIS




         Cristian Blanco Torrecilla
                   María Diamanti
                     CS Almozara
EPIDEMIOLOGÍA
Enfermedad cutánea inflamatoria crónica
Muy frecuente (1-3% población)
Incidencia bimodal
Causa desconocida (?)
Antecendentes familiares (1/3)
Curso crónico     enfermedad incurable aunque
controlable
Gran variabilidad clínica y evolutiva
Gran impacto en la calidad de vida
ETIOLOGÍA

Factores genéticos + situaciones desencadentantes
Factores genéticos: poligénica con importante
agregación familiar (HLA-CW6, y HLA-DR7)
Factores desencadenantes:
  Traumatismos
  Infecciones
  Fármacos
  Psicológicos
  Climáticos
  Endocrino y metabólicos
PATOGENIA
   H   I
       N
   I
       F
   P   I
   E   L
   R   T
   P   R
       A
   L   D
   A   O
   S
   I   I
       N
   A   F
       L
   D   A
   E   M
       A
   R
       T
   M   O
   I   R
   C   I
   A   O
ANATOMÍA PATOLÓGICA

                        Descamación
                        (formación de
                        escamas)




 Proliferación rápida Alteraciones
 de la diferenciación de los
 queratinocitos

 Vasodilatación, permeabilidad

Inflamación (neutrófilos, CD,
monocitos, linfocitos T, células NK)
DIAGNÓSTICO


Historia clínica
Exploración física
Anatomía patológica solo en casos dudosos
Escalas de extensión de enfemedad:
  PASI = Psoriasis area severity index (subjetivo por
  parte del examinador)
  DLQI = Dermatology Life Quality Index (subjetivo
  por parte del paciente)
MANIFESTACIONES
CLÍNICAS
  No es contagiosa
  Afecta a piel y mucosas
    Lesiones cutáneas
          Pápula o placa eritematodescamativa
          Signo de la bujía, membrana Duncan-Dulckley, signo
          Auspitz
          Lesiones mucosas infrecuentes
    Lesiones ungueales
          20-40 % casos
          Más frecuentes en manos que en pies
    Artritis psoriásica
          Abordaje interdisciplinar (AP + Derma + Reuma)
          En 7% de pacientes
          Diferentes formas
PATRONES DE
PRESENTACIÓN

      Psoriasis en placas
      Psoriasis en gotas
      Psoriasis eritrodérmica
      Psoriasis pustulosa
      Psoriasis palmo-plantar
      Psoriasis acral
      Psoriasis invertida
      Psoriasis de cuero cabelludo
PSORIASIS EN PLACAS
Forma más frecuente


Placas 1-30 cm: cualquier zona de la piel (rodillas,
codos, región lumbosacra y cuero cabelludo)


Duración hasta meses o años


Brotes sucesivos: extensión a tórax y extremidades


Confluencia de lesiones Grandes placas con bordes
geográficos: Psoriasis gyrata


Zona central más clara: Psoriasis anular
PSORIASIS EN PLACAS
PSORIASIS EN GOTAS
Pequeños puntos <1 cm localizadas preferentemente en
tronco

Prurito ocasional

Niños y jóvenes

Aparición brusca tras padecer infección estreptocócica de
vías respiratorias superiores

Duración 2-3 meses - Desaparición espontánea (salvo en
casos de brotes recurrentes)
PSORIASIS EN GOTAS
PSORIASIS EN GOTAS
PSORIASIS
ERITRODÉRMICA

   Lesiones generalizadas (>90% superficie)

   Afectación sistémica (fiebre, leucocitosis,
   desequilibrio electrolítico, déficit proteico)

   Aparición tras:
     psoriasis vulgar (zonas de piel sana)
     brote de psoriasis pustulosa
     período de intolerancia al tratamiento
PSORIASIS PUSTULOSA
Aguda e infrecuente


Junto con otros tipos de psoriasis tras factores desencadenantes


Placas eritematosas   Pequeñas pústulas estériles


Curso ondulante (forma de psoriasis previa / eritrodérmica)


Afectación estado general - Alteración pruebas complementarias


Sin tratamiento correcto    Puede ser mortal (hipoalbuminemia,
hipocalcemia y las consiguientes deshidratación e infecciones)
PSORIASIS PALMO-
PLANTAR
 Brotes de pústulas estériles sobre base eritematosa,
 simétricamente en palmas, plantas y talones

 Pústulas Grandes lagos de pus      Escamas y costras
 marrones

 Callosidades amarillentas   Fisuras muy dolorosas e
 invalidantes

 Ocasionalmente dolor torácico medio por osificación
 del cartílago entre clavícula-1ª costilla-esternón
PSORIASIS ACRAL
Extraña e infrecuente

Erupción pustulosa en torno a las uñas (sobre todo
manos)

Extensión proximal

Destrucción y pérdida de uñas

En casos muy evolucionados      Osteolisis falange
distal
PSORIASIS INVERTIDA
Afectación grandes pliegues cutáneos (axilares,
genitocrurales, interglúteos, submamarios) y
ombligo

Placas eritematosas intensas, uniformes, lisas,
brillantes, de bordes definidos sin escamas

Ocasionalmente fisura dolorosa en el fondo del
pliegue con riesgo de sobreinfección

Frecuente coexistencia con psoriasis vulgar
PSORIASIS EN CUERO
CABELLUDO
PSORIASIS UNGUEAL
ARTROPATÍA PSORIÁSICA
Diferentes patrones:
   Oligoartritis asimétrica
   Poliartritis simétrica parecida a AR (FR neg)
   Afectación IFD (onicopatia)
   Artritis mutilante
   Afectación axial tipo EA

   Características generales
   Rigidez matutina
   Afectación ungueal
   Dolor articular
   Entesitis
   Dactilitis (dedos en salchicha)
   Síntomas constitucionales
DIAGNÓSTICO
DIFERENCIAL I
   Psoriasis vulgar:
      Eczema numular, parapsoriasis, micosis fungoide,
      enfermedad de Bowen, pitiriasis rubra pilaris,
      neurodermitis, tiña corporis

   Psoriasis cuero cabelludo:
      Tiña capitis, ,dermatitis seborreica

   Psoriasis cuero cabelludo:
      Intértrigo candidiásico, tiña cruris, eritrasma

   Psoriasis palmoplantar:
      Eczema de contacto, tiña pie/mano, clavos sifilíticos,
      queratodermia palmoplantar,
DIAGNOSTICO DIFERENCIAL
II

     Psoriasis ungueal:
        Liquen plano, onicodistrofia, paroniquia crónica

     Psoriasis pustulosa de la mano
        Panadizo herpético, tiña de la mano, paroniquia candidiásica

     Psoriasis eritrodérmica:
        Síndrome de Sezary, eczema atópico

     Psoriasis pustulosa:
        Pustulosis exantemática, eritema anular centrífugo
TRATAMIENTO
Medidas generales
Tratamiento tópico
   Corticoides
   Derivados Vitamina-D
   Retinoides (Tazaroteno)
   Tacrolimus
   Ac. Salicílico
   Antralina
   Breas
Fototerapia
Tratamiento sistémico
     Retinoides
     Citostáticos
     Corticoides
     Ciclosporina
     Terapia biológica
TRATAMIENTO TÓPICO -
CORTICOIDES
TRATAMIENTO TÓPICO –
DERIVADOS VIT D
TRATAMIENTO TÓPICO -
RETINOIDES
TRATAMIENTO TÓPICO
    TACROLIMUS Y
PIMECROLIMUS
TRATAMIENTO TÓPICO – ÁCIDO
SALICÍLICO
TRATAMIENTO TÓPICO -
ANTRALINA
TRATAMIENTO TÓPICO -
BREAS
FOTOTERAPIA

Radiaciones electromagnéticas no ionizantes, especialmente del espectro
ultravioleta B (UVB) y A (UVA)
Bastante efectivo, salvo en forma pustulosa y eritrodérmica
No tratamientos prolongados    incidencia de Ca escamoso y melanoma
Fototerapia:
   Uso de dosis crecientes de UVB
   Los + usados banda estrecha
   Indicado en placas crónicas que no responden a tratamiento tópico
   Psoriasis en gotas
Fotoquimioterapia.
   Radiaciones asociadas a fármacos
   La más clásica: PUVA. Asocia psoralenos tópicos o por vía oral
   Otra opción: Combinación de luz UVB con alquitrán o antralina
RETINOIDES - ACITRETINA
Derivado de vitamina A sin efecto inmunosupresor
Psoriasis palmoplantar, en placas y pustulosa
Inicio lento (4-12 s) y efecto máximo en 3-6 meses
Vía oral
Efectos secundarios:
   Mucositis , fotosensibilidad, dislipemia, alopecia,
   pseudotumor cerebri
Contraindicaciones
   Teratógeno    no embarazo 2-3 años
Seguimiento
   Anamnesis y exploración física
   Test embarazo
   Bioquímica, hemograma, perfil lipídico, hepático, renal
CITOSTÁTICOS -
METOTREXATE
   Inmunosupresor
   Psoriasis pustulosa, en placas, artritis psoriásica y
   eritrodermia psoriásica
   Inicio en 4-8 semanas con eficacia moderada
   Vía oral o subcutánea
   Efectos secundarios
      Hematológicos, hepáticos e insuficiencia renal
   Contraindicaciones
      Riesgo fetal y materno así como ancianos
      Vacunas agentes vivos
   Seguimiento
      Anamnesis y exploración física
      Bioquímica, hemograma, perfil hepático, función renal
      Serologías virales y Mantoux
CICLOSPORINA
Inmunosupresor
Psoriasis pustulosa, en placas así como rescate o en combinación
Acción rápida (4 semanas) con reaparición precoz
Vía oral-Dosis según función renal y TA
Efectos secundarios
   Nefrotoxicidad, HTA, mialgias, hipertricosis
Contraindicaciones
   Embarazo
   Riesgo en ancianos, inmunodeprimidos, obesos, tto con PUVA…
   Vacunas agentes vivos
Seguimiento
   Anamnesis, exploración física y TA
   Bioquímica, hemograma, perfil hepático, función renal
   Serologías virales y Mantoux
TERAPIA BIOLÓGICA

Fármacos antifactor de necrosis
tumoral alfa (TNF-α):
  Infliximab (Remicade)
  Etanercept (Enbrel)
  Adalimumab (Humira)


Ac monoclonal humano inhibidor de
las interleucinas IL-12 / IL-23:
  Ustekinumab (Stelara)
INFLIXIMAB
Efecto antiTNF
Psoriasis en placas rebelde, eritrodermia psoriásica y artritis psoriásica
Iv en hospital de día con acción rápida
Efectos secundarios
   Reactivación TBC latente, sobreinfección, reacción infusional
Contraindicaciones
   TBC e inmunosupresión
   Insuficiencia cardíaca congestiva
   Enfermedad desmielinizante
   Embarazo
   Vacunas agentes vivos
Seguimiento
   Anamnesis, exploración física
   Bioquímica, hemograma, perfil hepático, función renal
   Serologías virales , Mantoux y ANA
ETANERCEPT
AntiTNF
Psoriasis en placas rebelde, eritrodermia psoriásica y artritis psoriásica
Administración subcutánea
Efectos secundarios
   Reactivación TBC latente, sobreinfección, reacción local
Contraindicaciones
   TBC e inmunosupresión
   Insuficiencia cardíaca congestiva
   Enfermedad desmielinizante
   Embarazo (categoría B)
   Vacunas agentes vivos
Seguimiento
   Anamnesis, exploración física
   Bioquímica, hemograma, perfil hepático, función renal
   Serologías virales , Mantoux y ANA
ADALIMUMAB
Efecto antiTNF
Psoriasis en placas rebelde y artritis psoriásica
Acción rápida y administración subcutánea
Efectos secundarios
   Reactivación TBC latente, sobreinfección, reacción local
Contraindicaciones
   TBC e inmunosupresión
   Insuficiencia cardíaca congestiva
   Embarazo
   Vacunas agentes vivos
Seguimiento
   Anamnesis, exploración física
   Bioquímica, hemograma, perfil hepático, función renal
   Serologías virales , Mantoux y ANA
USTEKINUMAB
AntiTNF Psoriasis en placas rebelde a tto clásico y a otros antiTNF
Acción rápida con administración iv en hospital de día
Efectos secundarios
   Reactivación TBC latente, sobreinfección, reacción infusional
Contraindicaciones
   TBC e inmunosupresión
   Insuficiencia cardíaca congestiva
   Enfermedad desmielinizante
   Embarazo
   Vacunas agentes vivos
Seguimiento
   Anamnesis, exploración física
   Bioquímica, hemograma, perfil hepático, función renal
   Serologías virales , Mantoux y ANA
PRONÓSTICO
Evolución imprevisible

80% durante toda la vida de manera continua o
intermitente

Eritrodérmica y pustulosa peor pronóstico

Afecta a calidad de vida

Riesgo aislamiento social y rechazo   vigilar posible
necesidad terapia psicológica
CASOS CLÍNICOS
Agradecimiento especial a Dra Estrella Simal por
aporte de los casos
ETANERCEPT. CASO CLÍNICO




    INICIO
    TRATAMIENTO
INICIO TRATAMIENTO
PASI: 24,8
1 MES TRATAMIENTO
SEMANA 12
PASI: 1,3
SEMANA 24
PASI: 1,9
2 MESES SIN
TRATAMIENTO
3 MESES SIN
TRATAMIENTO
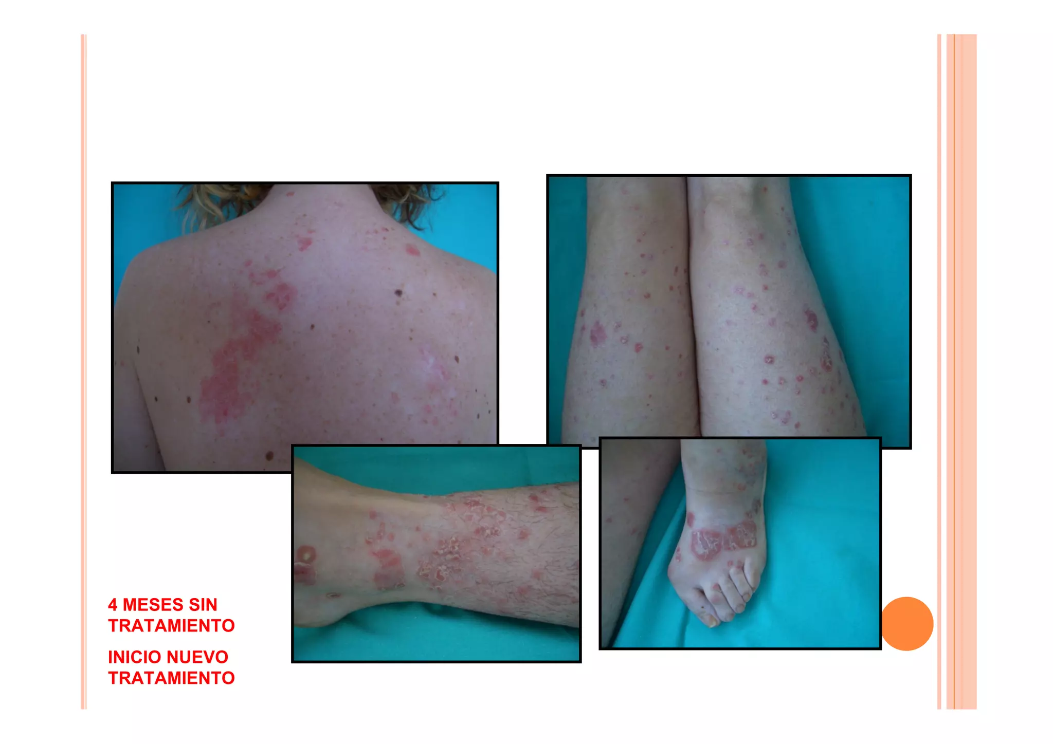
4 MESES SIN
TRATAMIENTO
INICIO NUEVO
TRATAMIENTO
6 SEMANAS DE
TRATAMIENTO
12 SEMANAS TRATAMIENTO
24 SEMANAS DE TRATAMIENTO
ADALIMUMAB. CASO CLÍNICO




Inicio tratamiento
PASI 9
ADALIMUMAB. CASO CLÍNICO




  2 meses de tratamiento
  PASI 1,6
ADALIMUMAB. CASO CLÍNICO




 3 ½ meses tratamiento
 PASI 0,4
INFLIXIMAB.CASO CLÍNICO




  Inicio tratamiento.PASI: 24
INFLIXIMAB.CASO CLÍNICO
INFLIXIMAB.CASO CLÍNICO




Semana 6. (3 dosis tratamiento)
INFLIXIMAB.CASO CLÍNICO




 PASI: 1,2
BIBLIOGRAFÍA
  Calvin O. McCall, Thomas J.Lawley. Eccema, psoriasis, infecciones
  cutáneas, acné y otros trastornos cutáneos frecuentes. Harrison: Principios
  de Medicina Interna. 16 ed. Mexico: Interamericana; 2006. p.324-332
  L Puig, X Bordas, JM Carrascosa, E Daudén, C Ferrándiz, J M Hernanz,
  JL López-Estebaranz , JC. Documento de consenso sobre la evolución y
  tratamiento de la psoriasis moderada/grave del grupo español de Psoriasis.
  Actas Dermo-Sifiliográficas, 2009; 100(04) :277-86
  Guías clínicas Fisterra sobre Psoriasis (consultada el 7/12/2011)
  Psoriasis.org [homepage on the Internet]. Psoriasis, formas de psoriasis y
  tratamientos [consultado el 14/12/2011]. Available from:
  http://www.psoriasis.org/Page.aspx?pid=1499
  Google.es [homepage on the Internet]. Diversas imágenes de psoriasis
  (especificando subtipos) [consultado el 14/12/2011 y 15/12/2011 y ].
  Available from: http://www.google.es/imghp?hl=es&tab=wi
  J. H. Saurat, et al: «Champion Study Investigators. Efficacy and safety
  results from the randomized controlled comparative study of adalimumab
  vs. methotrexate vs. placebo in patients with psoriasis», en Br J Dermatol.
  158: 435-436, y 558-566, 200.
(2011 01-12) psoriasis (ppt)

(2011 01-12) psoriasis (ppt)

  • 1.
    GENERALIDADES Y MANEJO TERAPEÚTICODE LA PSORIASIS Cristian Blanco Torrecilla María Diamanti CS Almozara
  • 2.
    EPIDEMIOLOGÍA Enfermedad cutánea inflamatoriacrónica Muy frecuente (1-3% población) Incidencia bimodal Causa desconocida (?) Antecendentes familiares (1/3) Curso crónico enfermedad incurable aunque controlable Gran variabilidad clínica y evolutiva Gran impacto en la calidad de vida
  • 3.
    ETIOLOGÍA Factores genéticos +situaciones desencadentantes Factores genéticos: poligénica con importante agregación familiar (HLA-CW6, y HLA-DR7) Factores desencadenantes: Traumatismos Infecciones Fármacos Psicológicos Climáticos Endocrino y metabólicos
  • 4.
    PATOGENIA H I N I F P I E L R T P R A L D A O S I I N A F L D A E M A R T M O I R C I A O
  • 5.
    ANATOMÍA PATOLÓGICA Descamación (formación de escamas) Proliferación rápida Alteraciones de la diferenciación de los queratinocitos Vasodilatación, permeabilidad Inflamación (neutrófilos, CD, monocitos, linfocitos T, células NK)
  • 6.
    DIAGNÓSTICO Historia clínica Exploración física Anatomíapatológica solo en casos dudosos Escalas de extensión de enfemedad: PASI = Psoriasis area severity index (subjetivo por parte del examinador) DLQI = Dermatology Life Quality Index (subjetivo por parte del paciente)
  • 7.
    MANIFESTACIONES CLÍNICAS Noes contagiosa Afecta a piel y mucosas Lesiones cutáneas Pápula o placa eritematodescamativa Signo de la bujía, membrana Duncan-Dulckley, signo Auspitz Lesiones mucosas infrecuentes Lesiones ungueales 20-40 % casos Más frecuentes en manos que en pies Artritis psoriásica Abordaje interdisciplinar (AP + Derma + Reuma) En 7% de pacientes Diferentes formas
  • 8.
    PATRONES DE PRESENTACIÓN Psoriasis en placas Psoriasis en gotas Psoriasis eritrodérmica Psoriasis pustulosa Psoriasis palmo-plantar Psoriasis acral Psoriasis invertida Psoriasis de cuero cabelludo
  • 9.
    PSORIASIS EN PLACAS Formamás frecuente Placas 1-30 cm: cualquier zona de la piel (rodillas, codos, región lumbosacra y cuero cabelludo) Duración hasta meses o años Brotes sucesivos: extensión a tórax y extremidades Confluencia de lesiones Grandes placas con bordes geográficos: Psoriasis gyrata Zona central más clara: Psoriasis anular
  • 10.
  • 12.
    PSORIASIS EN GOTAS Pequeñospuntos <1 cm localizadas preferentemente en tronco Prurito ocasional Niños y jóvenes Aparición brusca tras padecer infección estreptocócica de vías respiratorias superiores Duración 2-3 meses - Desaparición espontánea (salvo en casos de brotes recurrentes)
  • 13.
  • 14.
  • 15.
    PSORIASIS ERITRODÉRMICA Lesiones generalizadas (>90% superficie) Afectación sistémica (fiebre, leucocitosis, desequilibrio electrolítico, déficit proteico) Aparición tras: psoriasis vulgar (zonas de piel sana) brote de psoriasis pustulosa período de intolerancia al tratamiento
  • 18.
    PSORIASIS PUSTULOSA Aguda einfrecuente Junto con otros tipos de psoriasis tras factores desencadenantes Placas eritematosas Pequeñas pústulas estériles Curso ondulante (forma de psoriasis previa / eritrodérmica) Afectación estado general - Alteración pruebas complementarias Sin tratamiento correcto Puede ser mortal (hipoalbuminemia, hipocalcemia y las consiguientes deshidratación e infecciones)
  • 21.
    PSORIASIS PALMO- PLANTAR Brotesde pústulas estériles sobre base eritematosa, simétricamente en palmas, plantas y talones Pústulas Grandes lagos de pus Escamas y costras marrones Callosidades amarillentas Fisuras muy dolorosas e invalidantes Ocasionalmente dolor torácico medio por osificación del cartílago entre clavícula-1ª costilla-esternón
  • 24.
    PSORIASIS ACRAL Extraña einfrecuente Erupción pustulosa en torno a las uñas (sobre todo manos) Extensión proximal Destrucción y pérdida de uñas En casos muy evolucionados Osteolisis falange distal
  • 27.
    PSORIASIS INVERTIDA Afectación grandespliegues cutáneos (axilares, genitocrurales, interglúteos, submamarios) y ombligo Placas eritematosas intensas, uniformes, lisas, brillantes, de bordes definidos sin escamas Ocasionalmente fisura dolorosa en el fondo del pliegue con riesgo de sobreinfección Frecuente coexistencia con psoriasis vulgar
  • 30.
  • 31.
  • 32.
    ARTROPATÍA PSORIÁSICA Diferentes patrones: Oligoartritis asimétrica Poliartritis simétrica parecida a AR (FR neg) Afectación IFD (onicopatia) Artritis mutilante Afectación axial tipo EA Características generales Rigidez matutina Afectación ungueal Dolor articular Entesitis Dactilitis (dedos en salchicha) Síntomas constitucionales
  • 35.
    DIAGNÓSTICO DIFERENCIAL I Psoriasis vulgar: Eczema numular, parapsoriasis, micosis fungoide, enfermedad de Bowen, pitiriasis rubra pilaris, neurodermitis, tiña corporis Psoriasis cuero cabelludo: Tiña capitis, ,dermatitis seborreica Psoriasis cuero cabelludo: Intértrigo candidiásico, tiña cruris, eritrasma Psoriasis palmoplantar: Eczema de contacto, tiña pie/mano, clavos sifilíticos, queratodermia palmoplantar,
  • 36.
    DIAGNOSTICO DIFERENCIAL II Psoriasis ungueal: Liquen plano, onicodistrofia, paroniquia crónica Psoriasis pustulosa de la mano Panadizo herpético, tiña de la mano, paroniquia candidiásica Psoriasis eritrodérmica: Síndrome de Sezary, eczema atópico Psoriasis pustulosa: Pustulosis exantemática, eritema anular centrífugo
  • 37.
    TRATAMIENTO Medidas generales Tratamiento tópico Corticoides Derivados Vitamina-D Retinoides (Tazaroteno) Tacrolimus Ac. Salicílico Antralina Breas Fototerapia Tratamiento sistémico Retinoides Citostáticos Corticoides Ciclosporina Terapia biológica
  • 38.
  • 40.
  • 42.
  • 44.
    TRATAMIENTO TÓPICO TACROLIMUS Y PIMECROLIMUS
  • 46.
    TRATAMIENTO TÓPICO –ÁCIDO SALICÍLICO
  • 48.
  • 50.
  • 52.
    FOTOTERAPIA Radiaciones electromagnéticas noionizantes, especialmente del espectro ultravioleta B (UVB) y A (UVA) Bastante efectivo, salvo en forma pustulosa y eritrodérmica No tratamientos prolongados incidencia de Ca escamoso y melanoma Fototerapia: Uso de dosis crecientes de UVB Los + usados banda estrecha Indicado en placas crónicas que no responden a tratamiento tópico Psoriasis en gotas Fotoquimioterapia. Radiaciones asociadas a fármacos La más clásica: PUVA. Asocia psoralenos tópicos o por vía oral Otra opción: Combinación de luz UVB con alquitrán o antralina
  • 54.
    RETINOIDES - ACITRETINA Derivadode vitamina A sin efecto inmunosupresor Psoriasis palmoplantar, en placas y pustulosa Inicio lento (4-12 s) y efecto máximo en 3-6 meses Vía oral Efectos secundarios: Mucositis , fotosensibilidad, dislipemia, alopecia, pseudotumor cerebri Contraindicaciones Teratógeno no embarazo 2-3 años Seguimiento Anamnesis y exploración física Test embarazo Bioquímica, hemograma, perfil lipídico, hepático, renal
  • 56.
    CITOSTÁTICOS - METOTREXATE Inmunosupresor Psoriasis pustulosa, en placas, artritis psoriásica y eritrodermia psoriásica Inicio en 4-8 semanas con eficacia moderada Vía oral o subcutánea Efectos secundarios Hematológicos, hepáticos e insuficiencia renal Contraindicaciones Riesgo fetal y materno así como ancianos Vacunas agentes vivos Seguimiento Anamnesis y exploración física Bioquímica, hemograma, perfil hepático, función renal Serologías virales y Mantoux
  • 59.
    CICLOSPORINA Inmunosupresor Psoriasis pustulosa, enplacas así como rescate o en combinación Acción rápida (4 semanas) con reaparición precoz Vía oral-Dosis según función renal y TA Efectos secundarios Nefrotoxicidad, HTA, mialgias, hipertricosis Contraindicaciones Embarazo Riesgo en ancianos, inmunodeprimidos, obesos, tto con PUVA… Vacunas agentes vivos Seguimiento Anamnesis, exploración física y TA Bioquímica, hemograma, perfil hepático, función renal Serologías virales y Mantoux
  • 62.
    TERAPIA BIOLÓGICA Fármacos antifactorde necrosis tumoral alfa (TNF-α): Infliximab (Remicade) Etanercept (Enbrel) Adalimumab (Humira) Ac monoclonal humano inhibidor de las interleucinas IL-12 / IL-23: Ustekinumab (Stelara)
  • 63.
    INFLIXIMAB Efecto antiTNF Psoriasis enplacas rebelde, eritrodermia psoriásica y artritis psoriásica Iv en hospital de día con acción rápida Efectos secundarios Reactivación TBC latente, sobreinfección, reacción infusional Contraindicaciones TBC e inmunosupresión Insuficiencia cardíaca congestiva Enfermedad desmielinizante Embarazo Vacunas agentes vivos Seguimiento Anamnesis, exploración física Bioquímica, hemograma, perfil hepático, función renal Serologías virales , Mantoux y ANA
  • 66.
    ETANERCEPT AntiTNF Psoriasis en placasrebelde, eritrodermia psoriásica y artritis psoriásica Administración subcutánea Efectos secundarios Reactivación TBC latente, sobreinfección, reacción local Contraindicaciones TBC e inmunosupresión Insuficiencia cardíaca congestiva Enfermedad desmielinizante Embarazo (categoría B) Vacunas agentes vivos Seguimiento Anamnesis, exploración física Bioquímica, hemograma, perfil hepático, función renal Serologías virales , Mantoux y ANA
  • 69.
    ADALIMUMAB Efecto antiTNF Psoriasis enplacas rebelde y artritis psoriásica Acción rápida y administración subcutánea Efectos secundarios Reactivación TBC latente, sobreinfección, reacción local Contraindicaciones TBC e inmunosupresión Insuficiencia cardíaca congestiva Embarazo Vacunas agentes vivos Seguimiento Anamnesis, exploración física Bioquímica, hemograma, perfil hepático, función renal Serologías virales , Mantoux y ANA
  • 72.
    USTEKINUMAB AntiTNF Psoriasis enplacas rebelde a tto clásico y a otros antiTNF Acción rápida con administración iv en hospital de día Efectos secundarios Reactivación TBC latente, sobreinfección, reacción infusional Contraindicaciones TBC e inmunosupresión Insuficiencia cardíaca congestiva Enfermedad desmielinizante Embarazo Vacunas agentes vivos Seguimiento Anamnesis, exploración física Bioquímica, hemograma, perfil hepático, función renal Serologías virales , Mantoux y ANA
  • 75.
    PRONÓSTICO Evolución imprevisible 80% durantetoda la vida de manera continua o intermitente Eritrodérmica y pustulosa peor pronóstico Afecta a calidad de vida Riesgo aislamiento social y rechazo vigilar posible necesidad terapia psicológica
  • 76.
    CASOS CLÍNICOS Agradecimiento especiala Dra Estrella Simal por aporte de los casos
  • 77.
    ETANERCEPT. CASO CLÍNICO INICIO TRATAMIENTO
  • 78.
  • 79.
  • 80.
  • 81.
  • 82.
  • 83.
  • 84.
  • 85.
  • 86.
  • 87.
    24 SEMANAS DETRATAMIENTO
  • 88.
  • 89.
    ADALIMUMAB. CASO CLÍNICO 2 meses de tratamiento PASI 1,6
  • 90.
    ADALIMUMAB. CASO CLÍNICO 3 ½ meses tratamiento PASI 0,4
  • 91.
    INFLIXIMAB.CASO CLÍNICO Inicio tratamiento.PASI: 24
  • 92.
  • 93.
  • 94.
  • 95.
    BIBLIOGRAFÍA CalvinO. McCall, Thomas J.Lawley. Eccema, psoriasis, infecciones cutáneas, acné y otros trastornos cutáneos frecuentes. Harrison: Principios de Medicina Interna. 16 ed. Mexico: Interamericana; 2006. p.324-332 L Puig, X Bordas, JM Carrascosa, E Daudén, C Ferrándiz, J M Hernanz, JL López-Estebaranz , JC. Documento de consenso sobre la evolución y tratamiento de la psoriasis moderada/grave del grupo español de Psoriasis. Actas Dermo-Sifiliográficas, 2009; 100(04) :277-86 Guías clínicas Fisterra sobre Psoriasis (consultada el 7/12/2011) Psoriasis.org [homepage on the Internet]. Psoriasis, formas de psoriasis y tratamientos [consultado el 14/12/2011]. Available from: http://www.psoriasis.org/Page.aspx?pid=1499 Google.es [homepage on the Internet]. Diversas imágenes de psoriasis (especificando subtipos) [consultado el 14/12/2011 y 15/12/2011 y ]. Available from: http://www.google.es/imghp?hl=es&tab=wi J. H. Saurat, et al: «Champion Study Investigators. Efficacy and safety results from the randomized controlled comparative study of adalimumab vs. methotrexate vs. placebo in patients with psoriasis», en Br J Dermatol. 158: 435-436, y 558-566, 200.