Amelogénesis y dentinogénesis 
imperfecta 
Martínez Hernández Ana Laura
Los defectos estructurales de los dientes ocurren por 
alteración durante la diferenciación histológica , 
aposición y mineralización en el desarrollo dental. 
Los defectos del esmalte se manifiestan por hipoplasias 
o hipocalcificación . Según Jorgenson y Yost (1982), estos 
pueden clasificarse de manera amplia como posibles 
defectos hereditarios o anomalías inducidas por el 
ambiente.
AMELOGENESIS IMPERFECTA 
La amelogénesis imperfecta representa ejemplo clasico 
de los defectos hereditarios del esmalte. 
La incidencia informada de este trastorno es de uno en 
14 000 (Wiktop, 1957), hasta uno en 4 000 (Sundel et al., 
1986), pasando por una cifra intermedia de uno en 8 000 
(Chosack el al., 1979). 
La clasificación de la amelogénesis imperfecta es en 
catorce subgrupos, las cuales representan múltiples 
patrones de herencia.
Amelogénesis imperfecta 
-Trastorno del desarrollo del esmalte 
-Defecto en la mineralización
CATEGORIAS: 
Hipoplasia Hipomaduración Hipocalcificación 
-Espesor pobre 
-En 2 ó 3 dientes o 
en todos 
-Espesor normal 
pero con manchas 
opacas en bordes 
-Espesor normal 
pero blando y se 
elimina facilmente 
-En las tres hay baja densidad del esmalte 
-La fluorosis es un tipo de hipoplasia del esmalte
Tipo hipoplásico 
Ocurre en la etapa de histodiferenciación en el desarrollo 
dental, en la que se forma una cantidad insuficiente de 
esmalte. Esto se debe a que las áreas del órgano del esmalte 
carecen de epitelio interno del esmalte, por lo cual las células 
no se diferencian en ameloblastos. 
La alteración se hereda sobre todo como rasgo autosómico 
dominante, según el patrón del subgrupo. 
Los dientes afectados son pequeños, con contactos abiertos, 
y las zonas de las coronas contienen un esmalte muy delgado 
o inexistente, lo que produce mayor sensibilidad a los 
estímulos térmicos. 
Se ha observado mordida abierta anterior en el 60% de los 
casos informados.
Tipo Hipomaduración 
Representa un ejemplo de un defecto hereditario en 
la aposición de la matriz del esmalte, y se caracteriza 
por que los dientes tienen un esmalte de grosor 
normal, pero un valor bajo de radiodensidad y 
contenido mineral. 
El problema se relaciona con persistencia de 
contenido orgánico en la vaina prismática, que causa 
calcificación deficiente, bajo contenido mineral y una 
superficie porosa que se pigmenta.
Hipoplasia o hipomaduración con 
taurodontismo 
Este tipo de amelogénesis imperfecta también es un 
ejemplo de defecto hereditario en las etapas de 
aposición e histodiferenciación de la formación del 
esmalte. Este ultimo aparece moteado, con un color 
amarillo-pardo, y muestra un pequeño puntilleo en su 
superficie vestibular, los molares presentan 
taurodontismo, mientras que hay otros componentes 
de la dentición que tienen cámaras pulpares 
agrandadas.
Tipo Hipocalcificado 
Este subgrupo de amelogenesis imperfecta es una aberración 
heredable en la formación del esmalte en la fase de calcificación. 
El esmalte hipocalcificado es blando y frágil, en particular en las 
regiones incisales, y se fragmenta con facilidad, con exposición 
de la dentina subyacente, situación que produce un aspecto 
desagradable. 
El aumento de la formación de calculo y el retraso notable de la 
erupción dental, son hallazgos constantes. 
La mordida abierta anterior se observa en 60% de los casos que 
muestran este defecto.
Hipoplasia ambiental del esmalte 
Esta hipoplasia puede ser resultado de trastornos sistémicos o 
locales, puede ser por deficiencia en la nutrición, en especial de 
vitaminas A, C, y D, así como el calcio y fosforo, son algunos de 
los factores sistémicos productores de hipoplasia generalizada 
del esmalte. 
Las infecciones graves, como los padecimientos exantematicos y 
febriles, sobre todo durante el primer año de vida, afectan de 
manera directa la actividad ameloblastica y causan hipoplasia 
del esmalte.
La embriopatía por rubeola muestra una correlación elevada con 
la hipoplasia prenatal del esmalte en la dentición primaria. 
La sífilis, causada por la espiroqueta Treponema Pallidum, crea 
patrones clásicos de dientes secundarios hipoplasicos 
dismorficos. 
Los defectos neurológicos, como paralisis cerebral en niños, y el 
síndrome de Sturge-Weber, tienen mayores probabilidades de 
causar hipoplasia generalizada del esmalte. 
Tambien esta asociada la ingesta excesiva de fluoruro sitemico 
con los defectos generalizados del esmalte. 
La fluorosis dental se manifiesta en sus formas mas leves como 
un defecto en la calcificación de los dientes, y en sus formas mas 
graves presenta una pigmentación importante y daño 
ameloblastico.
La fluorosis se suscita cuando la concentración de fluoruro que se 
ingirió es mayor a 1.8 partes por millón al dia. Hay una 
probabilidad de 90% de algún grado de fluorosis dental cuando la 
cantidad de fluoruro ingerida excede las seis partes por millón, 
aunque la gravedad de los defectos morfológicos no se puede 
predecir por las cantidades especificas de floruro ingerido.
Hipoplasia del esmalte 
Entre las causas de hipoplasia del esmalte que afectan a un 
diente en particular destacan: 
Infecciones y traumatismos locales, yatrogenia quirúrgica, como 
la que se observa en paladar hendido y retención excesiva de un 
diente primario. 
La hipoplasia de Turner es un ejemplo clasico de los defectos 
hipoplasicos ocasionados en dientes secundarios por una 
infección o traumatismo local en los precursores primarios.
TRATAMIENTO 
El tratamiento para los pacientes con amelogénesis 
imperfecta depende de varios factores que se deben 
considerar como la edad, el tipo y el grado de severidad de la 
afección, la situación intraoral y el estado socioeconómico. 
Se sugiere en individuos de corta edad evaluación clínica 
dental con cierta periodicidad, manejo de hábitos adecuados 
de higiene oral, consumo de una dieta balanceada y pobre en 
agentes cariogénicos y fluorización frecuente siempre con la 
intención de fortalecer el esmalte que permanece. 
A todos los pacientes se les ha sugerido una técnica de 
cepillado y el uso de hilo dental. En los niños se pretende hacer 
aplicaciones de flúor tópico para fortalecer sus estructuras 
dentales que serán programadas con una frecuencia 
semestral.
Clínica: 
-Los cuerpos de los primas no polarizan el esmalte 
-Predilección a caries 
Epidemiología: 
-No hay predilección por raza ni sexo 
Etiología: 
-Hereditario 
-Es una alteración ectodérmica 
-Fármacos 
-Nutrición
Localización: 
-Primaria (Fármacos) 
-Secundaria (Nutrición) 
-No porque haya en primaria no hay en permanente 
Radiográficamente: 
-Esmalte aparece disminuido 
-Se ve menos radiopaco 
Diagnóstico: 
-Clínico 
-Radiográfico 
Diagnóstico diferencial: 
-Hipoplasia Turnes 
-Dentinogénesis imperfecta 
-Osteogénesis imperfecta 
Tratamiento: 
-Preventivo 
-Rehabilitación funcional y estética
DENTINOGENESIS IMPERFECTA
Es un ejemplo de un defecto dentinal hereditario, que se origina 
durante la etapa de histodiferenciación en el desarrollo dental. 
Esta anomalía consiste en un defecto de la matriz predentinal, 
que causa dentina circumpulpar atubular, amorfa y sin 
organización. 
Su incidencia es alrededor de uno en 8 000. 
La dentinogénesis imperfecta se puede dividir en tres subtipos 
básicos.
Tipo I Tipo II Tipo III 
-Pacientes con 
osteogenesis imperfecta 
-Autosómico dominante 
-Tono azul en los ojos 
-No se asocia a la 
osteogenesis 
-“Dentina opalescente 
hereditaria” 
-Autosómico dominante 
-Más frecuente 
-Color amarillo a gris 
azulado 
-Atrición y aplanamiento 
superficie oclusal 
-“Brandywine” 
-Más rara 
-Hereditaria 
-Autosómico dominante 
-Similar al tipo I y II salvo 
que los pacientes 
presentan exposiciones 
pulpares en la dentición 
temporal 
Categorías:
El tipo I de Shields se suscita en la osteogénesis imperfecta. 
Un defecto hereditario en la formación de colágena produce 
huesos osteoporoticos débiles, arqueamiento de los miembros, 
encorvamiento bitemporal y esclerotica azul. 
Los dientes primarios tienden a presentar mayor alteración que 
los secundarios, en tanto que hay zonas radiolúcidas periapicales, 
coronas bulbosas, obliteración de las cámaras pulpares y fracturas 
radiculares evidentes. El color ambar translucido del diente es 
común.
El tipo II de Shields, que tambien se conoce como dentina 
opalescente hereditaria. 
Suele presentarse como entidad independiente de la 
osteogenesis imperfecta. En este caso la afección de la dentición 
primaria y secundaria es similar y tiene las mismas 
características descritas para el tipo I. esta alteración se hereda 
como carácter autosómico dominante.
El tipo III de Shields. 
Es muy raro y tiene características ya descritas, con predominio de 
las coronas en forma de campana, sobre todo en la dentición 
secundaria. 
A diferencia de los otros, en el tipo III destaca un diente con 
aspecto de concha y múltiples exposiciones pulpares. Solo se ha 
detectado en un grupo trirracial de Maryland, en Estados Unidos, 
conocido como población Brandywine. Se ha propuesto que el tipo 
III es una expresión diferente del mismo gen del tipo II (Levin, 
1983).
TRATAMIENTO 
El tratamiento de los pacientes con D.I. se dirige principalmente 
hacia la prevención de la perdida del esmalte y la subsecuente 
perdida de dentina por atrición. Se ha usado con éxito coronas 
completas, aunque se debe tener especial cuidado en la 
preparación de los dientes para estas restauraciones. También 
debe tenerse cuidado con el uso de prótesis parciales removibles, 
las cuales ejercen presión sobre los dientes, ya que las raíces se 
fracturan. (Shafer y col, 1986; Sapp y col, 1998).
PRONOSTICO 
Las principales ventajas del uso de sobredentaduras son 
simplicidad y reversibilidad, ya que poca o ninguna modificación 
de los dientes es necesaria, el costo generalmente es menor que un 
tratamiento alterno y si fracasa, la remoción de la prótesis 
devolverá al paciente a su etapa original sin ningún efecto 
negativo. También es posible restaurar la dimensión vertical y 
mejorar las relaciones intermaxilares, la expresión facial, la 
estética y el autoestima del paciente.
En los tres tipos de dentinogenesis imperfecta, los dientes tiene una decoloración variable, 
de azul a gris y de amarillo a café que aparece opalescente debido a la coloración anormal y 
defectuosa de la dentina brillante a través del esmalte traslucido. 
Por la falta de soporte de la subcapa de dentina poco mineralizada, el esmalte 
frecuentemente se fractura de los dientes, causando desgaste y abrasión, la severidad de la 
decoloración y la fractura de esmalte en los tipos de dentinogénesis imperfecta es 
altamente variable aun en la misma familia. 
Si no es tratado es común ver que la dentinogénesis imperfecta afecte completamente la 
dentición y el desgaste de la encía.
Amelogénesis y dentinogénesis imperfecta 2

Amelogénesis y dentinogénesis imperfecta 2

  • 1.
    Amelogénesis y dentinogénesis imperfecta Martínez Hernández Ana Laura
  • 2.
    Los defectos estructuralesde los dientes ocurren por alteración durante la diferenciación histológica , aposición y mineralización en el desarrollo dental. Los defectos del esmalte se manifiestan por hipoplasias o hipocalcificación . Según Jorgenson y Yost (1982), estos pueden clasificarse de manera amplia como posibles defectos hereditarios o anomalías inducidas por el ambiente.
  • 3.
    AMELOGENESIS IMPERFECTA Laamelogénesis imperfecta representa ejemplo clasico de los defectos hereditarios del esmalte. La incidencia informada de este trastorno es de uno en 14 000 (Wiktop, 1957), hasta uno en 4 000 (Sundel et al., 1986), pasando por una cifra intermedia de uno en 8 000 (Chosack el al., 1979). La clasificación de la amelogénesis imperfecta es en catorce subgrupos, las cuales representan múltiples patrones de herencia.
  • 5.
    Amelogénesis imperfecta -Trastornodel desarrollo del esmalte -Defecto en la mineralización
  • 6.
    CATEGORIAS: Hipoplasia HipomaduraciónHipocalcificación -Espesor pobre -En 2 ó 3 dientes o en todos -Espesor normal pero con manchas opacas en bordes -Espesor normal pero blando y se elimina facilmente -En las tres hay baja densidad del esmalte -La fluorosis es un tipo de hipoplasia del esmalte
  • 7.
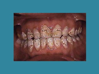
    Tipo hipoplásico Ocurreen la etapa de histodiferenciación en el desarrollo dental, en la que se forma una cantidad insuficiente de esmalte. Esto se debe a que las áreas del órgano del esmalte carecen de epitelio interno del esmalte, por lo cual las células no se diferencian en ameloblastos. La alteración se hereda sobre todo como rasgo autosómico dominante, según el patrón del subgrupo. Los dientes afectados son pequeños, con contactos abiertos, y las zonas de las coronas contienen un esmalte muy delgado o inexistente, lo que produce mayor sensibilidad a los estímulos térmicos. Se ha observado mordida abierta anterior en el 60% de los casos informados.
  • 9.
    Tipo Hipomaduración Representaun ejemplo de un defecto hereditario en la aposición de la matriz del esmalte, y se caracteriza por que los dientes tienen un esmalte de grosor normal, pero un valor bajo de radiodensidad y contenido mineral. El problema se relaciona con persistencia de contenido orgánico en la vaina prismática, que causa calcificación deficiente, bajo contenido mineral y una superficie porosa que se pigmenta.
  • 11.
    Hipoplasia o hipomaduracióncon taurodontismo Este tipo de amelogénesis imperfecta también es un ejemplo de defecto hereditario en las etapas de aposición e histodiferenciación de la formación del esmalte. Este ultimo aparece moteado, con un color amarillo-pardo, y muestra un pequeño puntilleo en su superficie vestibular, los molares presentan taurodontismo, mientras que hay otros componentes de la dentición que tienen cámaras pulpares agrandadas.
  • 13.
    Tipo Hipocalcificado Estesubgrupo de amelogenesis imperfecta es una aberración heredable en la formación del esmalte en la fase de calcificación. El esmalte hipocalcificado es blando y frágil, en particular en las regiones incisales, y se fragmenta con facilidad, con exposición de la dentina subyacente, situación que produce un aspecto desagradable. El aumento de la formación de calculo y el retraso notable de la erupción dental, son hallazgos constantes. La mordida abierta anterior se observa en 60% de los casos que muestran este defecto.
  • 15.
    Hipoplasia ambiental delesmalte Esta hipoplasia puede ser resultado de trastornos sistémicos o locales, puede ser por deficiencia en la nutrición, en especial de vitaminas A, C, y D, así como el calcio y fosforo, son algunos de los factores sistémicos productores de hipoplasia generalizada del esmalte. Las infecciones graves, como los padecimientos exantematicos y febriles, sobre todo durante el primer año de vida, afectan de manera directa la actividad ameloblastica y causan hipoplasia del esmalte.
  • 16.
    La embriopatía porrubeola muestra una correlación elevada con la hipoplasia prenatal del esmalte en la dentición primaria. La sífilis, causada por la espiroqueta Treponema Pallidum, crea patrones clásicos de dientes secundarios hipoplasicos dismorficos. Los defectos neurológicos, como paralisis cerebral en niños, y el síndrome de Sturge-Weber, tienen mayores probabilidades de causar hipoplasia generalizada del esmalte. Tambien esta asociada la ingesta excesiva de fluoruro sitemico con los defectos generalizados del esmalte. La fluorosis dental se manifiesta en sus formas mas leves como un defecto en la calcificación de los dientes, y en sus formas mas graves presenta una pigmentación importante y daño ameloblastico.
  • 17.
    La fluorosis sesuscita cuando la concentración de fluoruro que se ingirió es mayor a 1.8 partes por millón al dia. Hay una probabilidad de 90% de algún grado de fluorosis dental cuando la cantidad de fluoruro ingerida excede las seis partes por millón, aunque la gravedad de los defectos morfológicos no se puede predecir por las cantidades especificas de floruro ingerido.
  • 18.
    Hipoplasia del esmalte Entre las causas de hipoplasia del esmalte que afectan a un diente en particular destacan: Infecciones y traumatismos locales, yatrogenia quirúrgica, como la que se observa en paladar hendido y retención excesiva de un diente primario. La hipoplasia de Turner es un ejemplo clasico de los defectos hipoplasicos ocasionados en dientes secundarios por una infección o traumatismo local en los precursores primarios.
  • 19.
    TRATAMIENTO El tratamientopara los pacientes con amelogénesis imperfecta depende de varios factores que se deben considerar como la edad, el tipo y el grado de severidad de la afección, la situación intraoral y el estado socioeconómico. Se sugiere en individuos de corta edad evaluación clínica dental con cierta periodicidad, manejo de hábitos adecuados de higiene oral, consumo de una dieta balanceada y pobre en agentes cariogénicos y fluorización frecuente siempre con la intención de fortalecer el esmalte que permanece. A todos los pacientes se les ha sugerido una técnica de cepillado y el uso de hilo dental. En los niños se pretende hacer aplicaciones de flúor tópico para fortalecer sus estructuras dentales que serán programadas con una frecuencia semestral.
  • 20.
    Clínica: -Los cuerposde los primas no polarizan el esmalte -Predilección a caries Epidemiología: -No hay predilección por raza ni sexo Etiología: -Hereditario -Es una alteración ectodérmica -Fármacos -Nutrición
  • 21.
    Localización: -Primaria (Fármacos) -Secundaria (Nutrición) -No porque haya en primaria no hay en permanente Radiográficamente: -Esmalte aparece disminuido -Se ve menos radiopaco Diagnóstico: -Clínico -Radiográfico Diagnóstico diferencial: -Hipoplasia Turnes -Dentinogénesis imperfecta -Osteogénesis imperfecta Tratamiento: -Preventivo -Rehabilitación funcional y estética
  • 23.
  • 24.
    Es un ejemplode un defecto dentinal hereditario, que se origina durante la etapa de histodiferenciación en el desarrollo dental. Esta anomalía consiste en un defecto de la matriz predentinal, que causa dentina circumpulpar atubular, amorfa y sin organización. Su incidencia es alrededor de uno en 8 000. La dentinogénesis imperfecta se puede dividir en tres subtipos básicos.
  • 25.
    Tipo I TipoII Tipo III -Pacientes con osteogenesis imperfecta -Autosómico dominante -Tono azul en los ojos -No se asocia a la osteogenesis -“Dentina opalescente hereditaria” -Autosómico dominante -Más frecuente -Color amarillo a gris azulado -Atrición y aplanamiento superficie oclusal -“Brandywine” -Más rara -Hereditaria -Autosómico dominante -Similar al tipo I y II salvo que los pacientes presentan exposiciones pulpares en la dentición temporal Categorías:
  • 26.
    El tipo Ide Shields se suscita en la osteogénesis imperfecta. Un defecto hereditario en la formación de colágena produce huesos osteoporoticos débiles, arqueamiento de los miembros, encorvamiento bitemporal y esclerotica azul. Los dientes primarios tienden a presentar mayor alteración que los secundarios, en tanto que hay zonas radiolúcidas periapicales, coronas bulbosas, obliteración de las cámaras pulpares y fracturas radiculares evidentes. El color ambar translucido del diente es común.
  • 27.
    El tipo IIde Shields, que tambien se conoce como dentina opalescente hereditaria. Suele presentarse como entidad independiente de la osteogenesis imperfecta. En este caso la afección de la dentición primaria y secundaria es similar y tiene las mismas características descritas para el tipo I. esta alteración se hereda como carácter autosómico dominante.
  • 28.
    El tipo IIIde Shields. Es muy raro y tiene características ya descritas, con predominio de las coronas en forma de campana, sobre todo en la dentición secundaria. A diferencia de los otros, en el tipo III destaca un diente con aspecto de concha y múltiples exposiciones pulpares. Solo se ha detectado en un grupo trirracial de Maryland, en Estados Unidos, conocido como población Brandywine. Se ha propuesto que el tipo III es una expresión diferente del mismo gen del tipo II (Levin, 1983).
  • 29.
    TRATAMIENTO El tratamientode los pacientes con D.I. se dirige principalmente hacia la prevención de la perdida del esmalte y la subsecuente perdida de dentina por atrición. Se ha usado con éxito coronas completas, aunque se debe tener especial cuidado en la preparación de los dientes para estas restauraciones. También debe tenerse cuidado con el uso de prótesis parciales removibles, las cuales ejercen presión sobre los dientes, ya que las raíces se fracturan. (Shafer y col, 1986; Sapp y col, 1998).
  • 30.
    PRONOSTICO Las principalesventajas del uso de sobredentaduras son simplicidad y reversibilidad, ya que poca o ninguna modificación de los dientes es necesaria, el costo generalmente es menor que un tratamiento alterno y si fracasa, la remoción de la prótesis devolverá al paciente a su etapa original sin ningún efecto negativo. También es posible restaurar la dimensión vertical y mejorar las relaciones intermaxilares, la expresión facial, la estética y el autoestima del paciente.
  • 31.
    En los trestipos de dentinogenesis imperfecta, los dientes tiene una decoloración variable, de azul a gris y de amarillo a café que aparece opalescente debido a la coloración anormal y defectuosa de la dentina brillante a través del esmalte traslucido. Por la falta de soporte de la subcapa de dentina poco mineralizada, el esmalte frecuentemente se fractura de los dientes, causando desgaste y abrasión, la severidad de la decoloración y la fractura de esmalte en los tipos de dentinogénesis imperfecta es altamente variable aun en la misma familia. Si no es tratado es común ver que la dentinogénesis imperfecta afecte completamente la dentición y el desgaste de la encía.