Un poco de BASICO… Dr. Hector Simosa R3 Medicina Interna
 
EFECTO DEL FN-KB
 
 
 
 
 
 
 
 
 
Promotor-inhibidor TOB DESOCUPADO
 
 
 
Artritis Reumatoidea Dr. Hector Simosa R3 de Medicina Interna
Contenido
Historia 1800: Dr. Augustin Jacob Landré-Beauvais: Gota asténica primitiva 1859: Sir Alfred Garrod Artritis reumatoide Sir Alfred Garrod
Definición
EPIDEMIOLOGÍA, FACTORES DE RIESGO Y POSIBLES CAUSAS
Epidemiología Incidencia: 30/100.000 Prevalencia: 1%-5% Razón mujer-hombre: 2-3:1 Puede presentarse a cualquier edad Pico: 30-55 años Tanto la severidad como la incidencia parecen ir en disminución 1 1-  Arthritis Rheum 2002 Mar;46(3):625-31.
Factores del género La susceptibilidad  a padecer AR se ve afectada con mecanismos dependientes del género no del todo comprendidos El estrógeno tiene efectos estimulantes del sistema inmune: Inhibe función supresora cél. T supresoras Estimula acción cel. T helper 2 Cél. sinoviales y cel. T de memoria tienen receptores de estrógeno 3 2- J Immunol 1985 Jan;134(1):204-10 3 -  J Rheumatol 2000 Jul;27(7):1638-42.
Factores del género 4.-  Arthritis Rheum 2004 Nov;50(11):3458-67. 5 -  N Engl J Med 1993 Aug 12;329(7):466-71. 6 -  Arthritis Rheum. 2006 Oct;54(10):3087-94 7 - Rheumatology (Oxford) 2002 Mar;41(3):285-9.
Susceptibilidad genética Gemelos monocigotos tienen concordancia de 12-15% de desarrollar AR en comparación con el 3.5% de los gemelos dicigóticos 8,9 Familiar de 1° grado de pte con AR tiene odds ratio de 1.5 comparado con controles 10 Se estima que los factores genéticos contribuyen entre un 53-65% en el riesgo de contraer AR 11 8-  J Rheumatol 1986 Oct;13(5):899-902.  9 -  Br J Rheumatol 1993 Oct;32(10):903-7. 10 -  Ann Rheum Dis 1996 Feb;55(2):89-93. 11 - Arthritis Rheum 2000 Jan;43(1):30-7
Susceptibilidad genética Existe un “overlap” significativo entre los factores de riesgo (FR) genéticos para AR y los genes identificados como factores de riesgo para otras enfermedades autoinmunes 12 : 12 - Am J Hum Genet 2001 Apr;68(4):927-36. Epub 2001 Mar 9.
Susceptibilidad genética Asociación de AR con epítopo en la 3ª región hipervariable de las cadenas- β  HLA-DR: Epítopo compartido (EC)  13 Incidencia y prevalencia mucho mayor de AR en individuos portadores Varios otros polimorfismos: Promotor del FNT- α PTPN22  ( codifica la proteína linfoide tirosina fosfatasa ) “SNP C  T” = impide regulación de celulas T STAT4 13 -  Arthritis Rheum 2002 Apr;46(4):921-8
Tabaquismo Fuerte FR, sobre todo en portadores del EC 14 Podría ser también FR para mayor severidad 15,16 Dejar de fumar podría prevenir el desarrollo de AR 17 14 - Arthritis Rheum 1999 May;42(5):910-7 15-  Ann Rheum Dis 1997 Aug;56(8):463-9,  16 - J Rheumatol 2000 Mar;27(3):630-7. 17- Am J Med 2002 Apr 15;112(6):465-71.
Enfermedades infecciosas Probable factor gatillante No existe prueba de infección bacteriana alguna como contribuyente a AR Se siguen estudiando las infecciones virales, que parecen más probables contribuyentes Se sospecha principalmente de: Proteus mirabilis 18 Mycoplasma spp. 19,20,21 Virus Epstein-Barr 22,23 Retrovirus 24,25 18 -  Ann Rheum Dis 1992 Nov;51(11):1206-7. 19 -  Br J Rheumatol 1997 Mar;36(3):310-4.,  20 -  J Rheumatol 2000 Dec;27(12):2747-53.,  21 - Arthritis Rheum 1997 Jul;40(7):1219-28. 22 -  J Clin Invest 1975 May;55(5):1067-73. 23 - J Clin Invest. 1981 Mar;67(3):681-7. 24 –  Arthritis Rheum 1991 Jun;34(6):714-21. 25 -  Arthritis Rheum. 2006 Feb 15;55(1):123-5.
Figure 1  Schematic illustration of the etiological hypothesis for  P. gingivalis  and citrullinated α-enolase involvement in RA Lundberg, K.  et al.   (2010)  Periodontitis in RA—the citrullinated enolase connection Nat. Rev. Rheumatol.  doi:10.1038/nrrheum.2010.139
Superantígenos y proteínas de shock caliente (HSPs)  Los superantígenos pueden activar múltiples clones de cél. T a través de un gran proceso independiente del complemento. Ejemplos de superantígenos: Endotoxinas estafilocócicas HSPs: Prot. Intracelulares inducidas por noxas ambientales (calor, agentes infecciosos y stress oxidativo) Hipótesis: Las HSPs comparten determinantes antigénicos con otras prots. del huésped, resultando en el desarrollo de anticuerpos de reacción cruzada.  26, 27 26 - Nat Med 1995 May;1(5):448-52 27 - Clin Exp Immunol 1988 Nov;74(2):211-5.
Autoanticuerpos Si bien la presencia de FR por sí sola no causa AR, los ptes con títulos elevados de FR tienen mayor probabilidad de enf. extrarticular que los seronegativos El FR y los péptidos citrulinados anticíclicos (anti-CCP) pueden estar presentes en la sangre antes de la aparición de la artritis. 28-31 Aunque pueden representar enfermedad silente, también pueden ser vistos como un FR para el desarrollo de la AR. 1.5 años previos al diag: 28 -  J Rheumatol 1991 Sep;18(9):1282-4. 29 -  Arthritis Rheum 2003 Oct;48(10):2741-9. 30 -  Arthritis Rheum 2004 Feb;50(2):380-6. 31 -  Arthritis Res Ther 2004;6(4):R303-8. Epub 2004 May 11.
ETIOPATOGENIA
 
 
 
 
 
 
 
 
 
 
 
 
 
 
 
 
 
 
http://bmb-it-services.bmb.psu.edu/wang/wang_labweb/Research.html
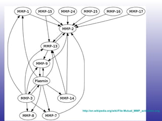
Metaloproteinasas
http:// en.wikipedia.org/wiki/File:Mutual_MMP_activation.svg
http:// ki.se/ki/jsp/polopoly.jsp?d =35129&a=53517&l=en
 
Linfocitos T 50% de cels del pannus La mayoria CD4+ o de memoria Estudios actuales tratan de identificar los L-T iniciales para identificar el antígeno inicial, sin éxito hasta el momento. Coestimulación entre L-T y otras cels con actividad inmune es fundamental 32,33 Abatacept interrumpe este proceso; resultados prometedores en ensayos clínicos 34 Al parecer existe coestimulación en exceso, ergo, la activación de L-T puede autoperpetuarse 35,35,37 32-  Curr Opin Immunol 1992 Jun;4(3):265-70. 33 - Cell 1992 Dec 24;71(7):1065-8. 34 - N Engl J Med 2005 Sep 15;353(11):1114-23. 35 –  J Immunol 1988 May 15;140(10):3324-30. 36 –  N Engl J Med 1993 Aug 12;329(7):466-71. 37 -  J Immunol 1994 Aug 1;153(3):1378-85.
Linfocitos T Apoptosis de L-T parece estar inhibida 38 Mutación de p53 ¿Rol estatinas? 39 Autoantígenos: mantienen una continuación de la respuesta inmune una vez iniciada. Se sospecha de: Colágeno tipo II 40 Antígeno de glicoproteina cartilaginosa 39 41 IgG 42 Péptidos citrulinados 43 38- Arthritis Rheum 1994 Jan;37(1):113-24. 39 -  Arthritis Rheum. 2006 Feb;54(2):579-86. 40 - Arthritis Rheum. 2005 Dec;52(12):3829-38. 41 -  Arthritis Rheum 2004 Feb;50(2):444-51. 42 –  Arthritis Rheum. 2005 Jan;52(1):80-3. 43 –  Ann Rheum Dis. 2004 Dec;63(12):1587-93.
Desarrollo del pannus Neovasculogénesis 44 Migración celular Cascada de citokinas con maduración del sinovio reumatoide FNT 45 Acumulación de L-T Helper 1 46 Mastocitos 47 44 -  J Clin Invest 1999 Jan;103(1):3-4. 45 - Blood. 2006 Jul 1;108(1):253-61. Epub 2006 Mar 14. 46 -  Nat Clin Pract Rheumatol. 2005 Nov;1(1):31-9.. 47 - N Engl J Med 2003 Apr 24;348(17):1709-11.
Células sinoviales del pannus Fenotipo transformado 48 No pueden dar metástasis Poderosa capacidad de invadir tej. conectivo del cartílago y tendón Capacidad de diferenciación y activación de osteoclastos 49 Apoptosis inhibida 50 Síntesis metaloproteinasas 51   48-  Arthritis Rheum 1997 Feb;40(2):249-60 49 - Arthritis Rheum 2000 Nov;43(11):2523-30 50 -  Proc Natl Acad Sci U S A 1997 Sep 30;94(20):10895-900. 51 -  Arthritis Rheum 2004 Oct;50(10):3112-7
Consecuencias de la acción del pannus Destrucción del cartílago 52 Destrucción ósea sin neoformación compensatoria 53 52-  Clin Exp Rheumatol 1998; 16:245. 53 - Nat Med. 2007 Mar;13(2):156-163. Epub 2007 Jan 21
Linfocitos B Factor reumatoideo: Ig reactivas contra epítopos de la parte Fc de la IgG Si es positivo de forma persistente, enfermedad más severa 54 Puede autoorganizarse en moléculas más complejas (complejos inmunes) que mantienen proceso inflamatorio 55 54-  Ann Rheum Dis 1992 Sep;51(9):1029-35. 55 - Arthritis Rheum 1985 Mar;28(3):241-8
Activación del complemento Actividad inflamatoria intrínseca Indica la presencia de complejos inmunes en tejidos de suficiente tamaño como para activar de forma independiente todo el sistema de respuesta inmune
Factores no inmunológicos NO 55 Neuropéptidos 56,57,58 Metabolitos Ác. Araquidónico 59 Factores fibrinolíticos 60 Aumento de presión intrarticular 61 55- Rheumatology (Oxford) 2004 Sep;43(9):1116-20. Epub 2004 Jun 22 56 -  J Cell Physiol 2004 Nov;201(2):167-80. 57 -  Arthritis Rheum 2001 Aug;44(8):1761-7. 58 -  Rheumatology (Oxford). 2008 Jan;47(1):36-40. 59 - J Clin Invest 2002 Sep;110(5):651-8. 60 - J Clin Invest 1992 May;89(5):1469-77. 61 -  Ann Rheum Dis 1995 Aug;54(8):670-3.
van Venrooij and Pruijn  Arthritis Research & Therapy  2008  10 :117   doi:10.1186/ar2504
 
 
 
 
 
DIAGNÓSTICO, CLÍNICA Y DIAGNÓSTICO DIFERENCIAL
Diagnóstico temprano: ¿Porqué? Se considera diagnóstico temprano de AR cuando éste es realizado dentro de 3-6 meses desde el establecimiento de síntomas articulares Las erosiones, osteopenia y pérdida de cartílago ocurren en los primeros 2 años de enfermedad en ausencia de terapia La irreversibilidad del daño depende  primariamente  del tiempo que pase antes que se efectúe un tratamiento satisfactorio 62- Rheumatology (Oxford) 2004 Jul;43(7):906-14. Epub 2004 Apr 27 63 -  Arthritis Rheum. 2007 Oct;56(10):3226-35.
Diagnóstico: Criterios revisados ACR (American College of Rheumatology) 4 o +: AR (S y E: 90%) Los primeros 4 criterios deben haber estado presentes por al menos 6 meses
 
 
Historia forma clásica Comienzo insidioso Síntomas constitucionales y musculoesqueléticos vagos, que pueden durar por semanas o meses antes que la sinovitis sea aparente Dolor, rigidez y aumento de volumen en articulaciones comprometidas
Datos claves historia La rigidez matinal es muy inespecífica, pero toma valor diagnóstico cuando es mayor a 1 hora La cronicidad de los síntomas es fundamental
Características claves examen físico El hallazgo clínico más característico de la AR es la artritis que involucre las art. MCF e IFP de ambas manos Los nódulos reumatoideos son altamente específicos, pero sólo están presentes en el 30% de los casos y son de aparición tardía
 
 
 
 
 
 
 
 
 
Compromiso cervical Prevalencia: 4-60% FR: Inicio en edades avanzadas Sinovitis muy activa Compromiso erosivo periférico rápidamente progresivo Puede comprometer art. Atlantoaxial y subaxiales (entre C1-C2) Subluxación anterior, posterior o vertical
Compromiso cervical Síntomas subluxación: Cefalea occipital Cuadraparesia espástica Analgesia en manos o pies Episodios autolimitados de disfunción medular Al mover las manos, parestesias en brazos u hombros
Compromiso cervical Signos subluxación: Pérdida lordosis occipitocervical Resistencia a movilidad pasiva Protrusión anormal del arco axial Episodios autolimitados de disfunción medular Signos neurológicos: Reflejos osteotendíneos aumentados Babinsky (+) Debilidad, espasticidad o atrofia muscular
Exámenes de laboratorio FR 70% ptes Poco específico Anticuerpos Anti-CCP E: 93-97% Reactantes fase aguda VHS y  PCR Anemia de enf. crónica
Exámenes de laboratorio Leucocitosis Trombocitosis ANA 30-40% + Líquido sinovial inflamatorio Leucocitosis con predominio PMN, glucosa baja, C3 y C4 bajos. Hipoalbuminemia
Imagenología Erosiones en cartílago y hueso Inespecíficas Rx basta Evolución daño articular: 1 año: 15-30% 2 año: 90% Otros: RNM, eco Doppler color
 
 
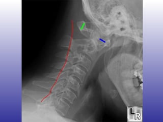
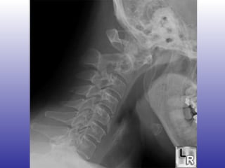
Imagenología Rx cervical lateral  ¿Cuello en flexión? > 3 mm de separación entre el diente del odontoides y el arco anterior del axis Línea espinolaminar hacia posterior en C2
Arco anterior del atlas Arco posterior del atlas Lámina densa Proceso laminar C2 Proceso espinoso C6 Foramen intervertebral C7-T1 Espacio retrofaríngeo  (Normal < 7mm) Espacio retrotraqueal (normal  <2cm).
Línea vertebral anterior Línea vertebral posterior Línea espinolaminal Línea interespinosa
 
 
Compromiso extrarticular
Compromiso extrarticular
Compromiso extraarticular
Diagnóstico Diferencial
MANEJO Y TRATAMIENTO
Pronóstico 70% de erosiones detectables por Rx en manos y pies ocurren en los 2 primeros años En 20 años, sobre el 60% de los pacientes están en CF III o IV  Incidencia aumentada de: Infecciones Enfermedad cardiovascular Linfomas Expectativa de vida es menor que controles sanos, especialmente en pacientes con: Enfermedad poliarticular Enfermedad extrarticular Actividad de enfermedad persistente (PCR, VHS elevados)  FR (+) y complejos inmunes circulantes Cadena HLA-DR “epitopo compartido”
Etapificación
Objetivos del tratamiento
Opciones de tratamiento
Tto no farmacológico y preventivo Reposo alternado con ejercicio Fisioterapia Terapia ocupacional Nutrición y dietas Protección ósea Factores modificadores del riesgo para ateroesclerosis Vacunas
Tto. farmacológico
FARMEs no biológicos
FARMEs biológicos
Terapia Combinada Poca evidencia concluyente de beneficio en terapias combinadas de FARMEs no biológicos, SALVO que MTX este incluido en el régimen Uso temprano de corticoides y descontinuación + FARMEs no biológicos (que incluya MTX) es superior a monoterapia MTX + inhibidor FNT- α : ↓ actividad enf y progresión Rx
Estudios de laboratorio Básicos A todos los pacientes: Hemograma Fx renal Fx hepática Antes de MTX, leflunomida o DMARDs biológicos:  Screening para hepatitis B y C en ptes con FR (+)
Estudios de Laboratorio Básicos Hidroxicloroquina:  Ex. Oftalmológico completo el 1er año Debe repetirse anualmente en quienes tengan FR (+). Debe repetirse cada 5 años en los demás Antes de FARMEs biológicos: PPD, Rx tórax
FÁRMACOS DIRIGIDOS AL CONTROL DE LA ARTRITIS REUMATOIDEA Glucocorticoides Prednisona: 1-2 mg/kg diarios (Meticorten, vitazon) (5, 20, 50 mg TAB) Metilprednisolona: (medrol, 16 mg TAB), (4-80 mg/día)  Deflazacort: 6-90 mg/día (calcort), (6-30 mg)
FÁRMACOS DIRIGIDOS AL CONTROL DE LA ARTRITIS REUMATOIDEA FARME:  Fármacos Antirreumáticos Modificadores de la enfermedad Methotrexato  Sales de oro  Antipalúdicos  Penicilamina  Sulfasalazine Minociclina Inicio de acción a las 3-4 semanas Máxima respuesta entre 2 a 6 meses 7,5 a 25 mg semanales VO o parenteral Efectos secundarios: neutropenia, lesión hepática, toxicidad pulmonar (distrés respiratorio) linfomas Ácido fólico y ácido folínico (leucovorina cálcica) 24 horas antes disminuye efectos secundarios Zexate (amp) (50mg/2cc) Inhiben la capacidad fagocítica de neutrófilos Inactivan parcialmente la cascada del complemento Bloquean funciones de linfocitos T y monocitos, incluyendo la producción de citocinas 10 mg IM como dosis de prueba 25 a 50 mg/semana hasta 1 gr Continuar con 50 mg cada 15 días en 6 dosis Después cada 4 semanas por tiempo indefinido  Inhibición de la liberación de prostaglandinas y enzimas lisosomales Inhibición de la proliferación linfocítica y producción de inmunoglobulinas, probablemente vía bloqueo de IL-1, y mediante la modificación del procesamiento del antígeno por las moléculas HLA-II, alterando el pH lisosomal 250 mg/día de cloroquina (4 mg/kg/día) 200-400 mg/día de hidroxicloroquina (6,5 – 7 mg/kg/día) (plaquinol, 200 mg TAB) Toxicidad retineana  25-30% responden solamente 125-250 mg/día hasta 750 – 1000 mg/día Vía oral Efectos tóxicos dependientes de la dosis 0,5 gr BID    incrementar cada semana 0,5 gr hasta que el paciente responda clínicamente o se alcancen dosis de 3 gr/día Neutropenia, trombocitopenia    10-25% HC cada 2-4 semanas por 3 meses y luego cada 3 meses Azulfidine 500 mg TAB  Más efectiva en el primer año Mecanismo de acción no es claro    propiedades anti-inflamatorias    inhibición de enzimas destructivas como colagenasa 200 mg/día Efectos secundarios infrecuentes, excepto vértigo en 10%
Inmunodepresores y citotóxicos Azatioprina Leflunomide Ciclofosfamida  Inhibición de la síntesis de ácidos nucleicos Bloquea producción de células inmunocompetentes Linfopenia T y B Acción antiinflamatoria: inhibición de la división de células precursoras de monocitos, limitando la infiltración por éstos en zonas de inflamación Efecto secundario adverso más importante es la aplasia medular, fundamentalmente de linfocitos y monocitos. Azaprin 50 mg TAB Inhibidor de la síntesis de pirimidinas 100 mg por 3 días, luego 20 mg/día Diarrea, rash, alopecia reversible, hepatoxicidad, pérdida de peso Carcinogénica, teratogénica Vida media de 2 semanas Contraindicada en mujeres premenopáusicas Arava, 20 y 100 mg TAB Inhibe replicación de ADN Depleción de linfocitos B e interfiere en sus funciones produciendo una disminución en la producción de inmunoglobulinas  Biodoxan, endoxan, 50 mg TAB 50-100 mg/día
 
FÁRMACOS DIRIGIDOS AL CONTROL DE LA ARTRITIS REUMATOIDEA Inhibidores de TNF Etanercept: 25 mg VSC, 2 veces por semana o 50 mg/semana Infliximab: 3-10 mg/kg IV al inicio, luego, a la 2º, 6º, 10º y 14º semana Adalimumab: 40 mg VSC/semana 60% de resultados beneficiosos
FÁRMACOS DIRIGIDOS AL CONTROL DE LA ARTRITIS REUMATOIDEA AINE Ácido Acetil Salicílico y derivados Paraaminofenoles: Paracetamol Pirazolonas: dipirona Fenilpropiónicos: ibuprofeno, naproxeno, ketoprofeno Indometacinas Fenilatocéticos: Diclofenaco, Aceclofenaco Pirrolacéticos: Ketorolaco Fenamatos: Ácido mefenámico Oxicams: Meloxicam, piroxicam  Clonixinato de Lisina Inhibidores COX2: Celecoxib
El lado oscuro de los FARMEs  Efectos colaterales importantes Ejemplo: MTX Pulmón Hígado Med. ósea
 
“ The list of medications considered safe during pregnancy, according to the most recent evidence, includes steroids, hydroxychloroquine, sulphasalazine, and azathioprine. Unsafe drugs are methotrexate, leflunomide, and biologics (anti–tumor necrosis factor [TNF] agents and rituximab).”
REMISION CLINICA
Indexes Tested DAS28 = 0.56*√(TJC28) +  0.28*√(SJC28)  + 0.36*Ln(CRP*10 + 1) + 0.014*PtGA (0-100 scale) + 0.96 Levels tested: DAS28 < 2.6; DAS28 < 2.0 SDAI  (Simplified Disease Activity Index) = TJC28 + SJC28 + PtGA (0-10 scale) + PhGA (0-10) + CRP (mg/dL) Level tested: SDAI  <  3.3
ACR/EULAR 2011 Provisional Definitions  of Remission for Clinical Trials Boolean Based Definition At any time point, a patient must satisfy  all of the following: Tender Joint Count ≤1 Swollen Joint Count ≤1 CRP ≤1 mg/dL  Patient Global Assessment ≤1 (on a 0-10  scale) Index Based Definition At any time point, a patient must have SDAI ≤3.3
ACR-EULAR 2011 Definition of Remission For clinical practice Boolean SJC, TJC, PtGA all ≤1 Index-based CDAI ≤2.8 CDAI=SJC+TJC+PhGA+PtGA For clinical trials Boolean SJC, TJS, PtGA, CRP all ≤1 Index-based SDAI ≤3.3 SDAI=SJC+TJC+PhGA+PtGA+ CRP (mg/dl)
Santiago 1: 2-7 “ Hermanos mios, tened por sumo gozo cuando halleis en diversas pruebas, sabiendo que la prueba de vuestra fé produce paciencia. Mas tenga la paciencia su obra completa, para que seais perfectos y cabales, sin que os falte cosa alguna. Y si alguno de vosotros tiene falta de sabiduria, pídala a Dios, el cual dá a todos abundantemente y sin reproche, le será dada. Pero pida con fé, no dudando nada; porque el que duda es semejante a la onda de mar, que es arrastrada por el viento y echada de una parte a otra. No piense, pues, quien tal haga, que recibirá cosa alguna del Señor.”
http:// www.enotes.com/topic/Posttranslational_modification
 

Artritis reumatoidea 2011 hesv

  • 1.
    Un poco deBASICO… Dr. Hector Simosa R3 Medicina Interna
  • 2.
  • 3.
  • 4.
  • 5.
  • 6.
  • 7.
  • 8.
  • 9.
  • 10.
  • 11.
  • 12.
  • 13.
  • 14.
  • 15.
  • 16.
  • 17.
    Artritis Reumatoidea Dr.Hector Simosa R3 de Medicina Interna
  • 18.
  • 19.
    Historia 1800: Dr.Augustin Jacob Landré-Beauvais: Gota asténica primitiva 1859: Sir Alfred Garrod Artritis reumatoide Sir Alfred Garrod
  • 20.
  • 21.
    EPIDEMIOLOGÍA, FACTORES DERIESGO Y POSIBLES CAUSAS
  • 22.
    Epidemiología Incidencia: 30/100.000Prevalencia: 1%-5% Razón mujer-hombre: 2-3:1 Puede presentarse a cualquier edad Pico: 30-55 años Tanto la severidad como la incidencia parecen ir en disminución 1 1- Arthritis Rheum 2002 Mar;46(3):625-31.
  • 23.
    Factores del géneroLa susceptibilidad a padecer AR se ve afectada con mecanismos dependientes del género no del todo comprendidos El estrógeno tiene efectos estimulantes del sistema inmune: Inhibe función supresora cél. T supresoras Estimula acción cel. T helper 2 Cél. sinoviales y cel. T de memoria tienen receptores de estrógeno 3 2- J Immunol 1985 Jan;134(1):204-10 3 - J Rheumatol 2000 Jul;27(7):1638-42.
  • 24.
    Factores del género4.- Arthritis Rheum 2004 Nov;50(11):3458-67. 5 - N Engl J Med 1993 Aug 12;329(7):466-71. 6 - Arthritis Rheum. 2006 Oct;54(10):3087-94 7 - Rheumatology (Oxford) 2002 Mar;41(3):285-9.
  • 25.
    Susceptibilidad genética Gemelosmonocigotos tienen concordancia de 12-15% de desarrollar AR en comparación con el 3.5% de los gemelos dicigóticos 8,9 Familiar de 1° grado de pte con AR tiene odds ratio de 1.5 comparado con controles 10 Se estima que los factores genéticos contribuyen entre un 53-65% en el riesgo de contraer AR 11 8- J Rheumatol 1986 Oct;13(5):899-902. 9 - Br J Rheumatol 1993 Oct;32(10):903-7. 10 - Ann Rheum Dis 1996 Feb;55(2):89-93. 11 - Arthritis Rheum 2000 Jan;43(1):30-7
  • 26.
    Susceptibilidad genética Existeun “overlap” significativo entre los factores de riesgo (FR) genéticos para AR y los genes identificados como factores de riesgo para otras enfermedades autoinmunes 12 : 12 - Am J Hum Genet 2001 Apr;68(4):927-36. Epub 2001 Mar 9.
  • 27.
    Susceptibilidad genética Asociaciónde AR con epítopo en la 3ª región hipervariable de las cadenas- β HLA-DR: Epítopo compartido (EC) 13 Incidencia y prevalencia mucho mayor de AR en individuos portadores Varios otros polimorfismos: Promotor del FNT- α PTPN22 ( codifica la proteína linfoide tirosina fosfatasa ) “SNP C  T” = impide regulación de celulas T STAT4 13 - Arthritis Rheum 2002 Apr;46(4):921-8
  • 28.
    Tabaquismo Fuerte FR,sobre todo en portadores del EC 14 Podría ser también FR para mayor severidad 15,16 Dejar de fumar podría prevenir el desarrollo de AR 17 14 - Arthritis Rheum 1999 May;42(5):910-7 15- Ann Rheum Dis 1997 Aug;56(8):463-9, 16 - J Rheumatol 2000 Mar;27(3):630-7. 17- Am J Med 2002 Apr 15;112(6):465-71.
  • 29.
    Enfermedades infecciosas Probablefactor gatillante No existe prueba de infección bacteriana alguna como contribuyente a AR Se siguen estudiando las infecciones virales, que parecen más probables contribuyentes Se sospecha principalmente de: Proteus mirabilis 18 Mycoplasma spp. 19,20,21 Virus Epstein-Barr 22,23 Retrovirus 24,25 18 - Ann Rheum Dis 1992 Nov;51(11):1206-7. 19 - Br J Rheumatol 1997 Mar;36(3):310-4., 20 - J Rheumatol 2000 Dec;27(12):2747-53., 21 - Arthritis Rheum 1997 Jul;40(7):1219-28. 22 - J Clin Invest 1975 May;55(5):1067-73. 23 - J Clin Invest. 1981 Mar;67(3):681-7. 24 – Arthritis Rheum 1991 Jun;34(6):714-21. 25 - Arthritis Rheum. 2006 Feb 15;55(1):123-5.
  • 30.
    Figure 1 Schematic illustration of the etiological hypothesis for P. gingivalis and citrullinated α-enolase involvement in RA Lundberg, K. et al. (2010) Periodontitis in RA—the citrullinated enolase connection Nat. Rev. Rheumatol. doi:10.1038/nrrheum.2010.139
  • 31.
    Superantígenos y proteínasde shock caliente (HSPs) Los superantígenos pueden activar múltiples clones de cél. T a través de un gran proceso independiente del complemento. Ejemplos de superantígenos: Endotoxinas estafilocócicas HSPs: Prot. Intracelulares inducidas por noxas ambientales (calor, agentes infecciosos y stress oxidativo) Hipótesis: Las HSPs comparten determinantes antigénicos con otras prots. del huésped, resultando en el desarrollo de anticuerpos de reacción cruzada. 26, 27 26 - Nat Med 1995 May;1(5):448-52 27 - Clin Exp Immunol 1988 Nov;74(2):211-5.
  • 32.
    Autoanticuerpos Si bienla presencia de FR por sí sola no causa AR, los ptes con títulos elevados de FR tienen mayor probabilidad de enf. extrarticular que los seronegativos El FR y los péptidos citrulinados anticíclicos (anti-CCP) pueden estar presentes en la sangre antes de la aparición de la artritis. 28-31 Aunque pueden representar enfermedad silente, también pueden ser vistos como un FR para el desarrollo de la AR. 1.5 años previos al diag: 28 - J Rheumatol 1991 Sep;18(9):1282-4. 29 - Arthritis Rheum 2003 Oct;48(10):2741-9. 30 - Arthritis Rheum 2004 Feb;50(2):380-6. 31 - Arthritis Res Ther 2004;6(4):R303-8. Epub 2004 May 11.
  • 33.
  • 34.
  • 35.
  • 36.
  • 37.
  • 38.
  • 39.
  • 40.
  • 41.
  • 42.
  • 43.
  • 44.
  • 45.
  • 46.
  • 47.
  • 48.
  • 49.
  • 50.
  • 51.
  • 52.
  • 53.
  • 54.
  • 55.
  • 56.
  • 57.
    Linfocitos T 50%de cels del pannus La mayoria CD4+ o de memoria Estudios actuales tratan de identificar los L-T iniciales para identificar el antígeno inicial, sin éxito hasta el momento. Coestimulación entre L-T y otras cels con actividad inmune es fundamental 32,33 Abatacept interrumpe este proceso; resultados prometedores en ensayos clínicos 34 Al parecer existe coestimulación en exceso, ergo, la activación de L-T puede autoperpetuarse 35,35,37 32- Curr Opin Immunol 1992 Jun;4(3):265-70. 33 - Cell 1992 Dec 24;71(7):1065-8. 34 - N Engl J Med 2005 Sep 15;353(11):1114-23. 35 – J Immunol 1988 May 15;140(10):3324-30. 36 – N Engl J Med 1993 Aug 12;329(7):466-71. 37 - J Immunol 1994 Aug 1;153(3):1378-85.
  • 58.
    Linfocitos T Apoptosisde L-T parece estar inhibida 38 Mutación de p53 ¿Rol estatinas? 39 Autoantígenos: mantienen una continuación de la respuesta inmune una vez iniciada. Se sospecha de: Colágeno tipo II 40 Antígeno de glicoproteina cartilaginosa 39 41 IgG 42 Péptidos citrulinados 43 38- Arthritis Rheum 1994 Jan;37(1):113-24. 39 - Arthritis Rheum. 2006 Feb;54(2):579-86. 40 - Arthritis Rheum. 2005 Dec;52(12):3829-38. 41 - Arthritis Rheum 2004 Feb;50(2):444-51. 42 – Arthritis Rheum. 2005 Jan;52(1):80-3. 43 – Ann Rheum Dis. 2004 Dec;63(12):1587-93.
  • 59.
    Desarrollo del pannusNeovasculogénesis 44 Migración celular Cascada de citokinas con maduración del sinovio reumatoide FNT 45 Acumulación de L-T Helper 1 46 Mastocitos 47 44 - J Clin Invest 1999 Jan;103(1):3-4. 45 - Blood. 2006 Jul 1;108(1):253-61. Epub 2006 Mar 14. 46 - Nat Clin Pract Rheumatol. 2005 Nov;1(1):31-9.. 47 - N Engl J Med 2003 Apr 24;348(17):1709-11.
  • 60.
    Células sinoviales delpannus Fenotipo transformado 48 No pueden dar metástasis Poderosa capacidad de invadir tej. conectivo del cartílago y tendón Capacidad de diferenciación y activación de osteoclastos 49 Apoptosis inhibida 50 Síntesis metaloproteinasas 51 48- Arthritis Rheum 1997 Feb;40(2):249-60 49 - Arthritis Rheum 2000 Nov;43(11):2523-30 50 - Proc Natl Acad Sci U S A 1997 Sep 30;94(20):10895-900. 51 - Arthritis Rheum 2004 Oct;50(10):3112-7
  • 61.
    Consecuencias de laacción del pannus Destrucción del cartílago 52 Destrucción ósea sin neoformación compensatoria 53 52- Clin Exp Rheumatol 1998; 16:245. 53 - Nat Med. 2007 Mar;13(2):156-163. Epub 2007 Jan 21
  • 62.
    Linfocitos B Factorreumatoideo: Ig reactivas contra epítopos de la parte Fc de la IgG Si es positivo de forma persistente, enfermedad más severa 54 Puede autoorganizarse en moléculas más complejas (complejos inmunes) que mantienen proceso inflamatorio 55 54- Ann Rheum Dis 1992 Sep;51(9):1029-35. 55 - Arthritis Rheum 1985 Mar;28(3):241-8
  • 63.
    Activación del complementoActividad inflamatoria intrínseca Indica la presencia de complejos inmunes en tejidos de suficiente tamaño como para activar de forma independiente todo el sistema de respuesta inmune
  • 64.
    Factores no inmunológicosNO 55 Neuropéptidos 56,57,58 Metabolitos Ác. Araquidónico 59 Factores fibrinolíticos 60 Aumento de presión intrarticular 61 55- Rheumatology (Oxford) 2004 Sep;43(9):1116-20. Epub 2004 Jun 22 56 - J Cell Physiol 2004 Nov;201(2):167-80. 57 - Arthritis Rheum 2001 Aug;44(8):1761-7. 58 - Rheumatology (Oxford). 2008 Jan;47(1):36-40. 59 - J Clin Invest 2002 Sep;110(5):651-8. 60 - J Clin Invest 1992 May;89(5):1469-77. 61 - Ann Rheum Dis 1995 Aug;54(8):670-3.
  • 65.
    van Venrooij andPruijn  Arthritis Research & Therapy  2008  10 :117   doi:10.1186/ar2504
  • 66.
  • 67.
  • 68.
  • 69.
  • 70.
  • 71.
    DIAGNÓSTICO, CLÍNICA YDIAGNÓSTICO DIFERENCIAL
  • 72.
    Diagnóstico temprano: ¿Porqué?Se considera diagnóstico temprano de AR cuando éste es realizado dentro de 3-6 meses desde el establecimiento de síntomas articulares Las erosiones, osteopenia y pérdida de cartílago ocurren en los primeros 2 años de enfermedad en ausencia de terapia La irreversibilidad del daño depende primariamente del tiempo que pase antes que se efectúe un tratamiento satisfactorio 62- Rheumatology (Oxford) 2004 Jul;43(7):906-14. Epub 2004 Apr 27 63 - Arthritis Rheum. 2007 Oct;56(10):3226-35.
  • 73.
    Diagnóstico: Criterios revisadosACR (American College of Rheumatology) 4 o +: AR (S y E: 90%) Los primeros 4 criterios deben haber estado presentes por al menos 6 meses
  • 74.
  • 75.
  • 76.
    Historia forma clásicaComienzo insidioso Síntomas constitucionales y musculoesqueléticos vagos, que pueden durar por semanas o meses antes que la sinovitis sea aparente Dolor, rigidez y aumento de volumen en articulaciones comprometidas
  • 77.
    Datos claves historiaLa rigidez matinal es muy inespecífica, pero toma valor diagnóstico cuando es mayor a 1 hora La cronicidad de los síntomas es fundamental
  • 78.
    Características claves examenfísico El hallazgo clínico más característico de la AR es la artritis que involucre las art. MCF e IFP de ambas manos Los nódulos reumatoideos son altamente específicos, pero sólo están presentes en el 30% de los casos y son de aparición tardía
  • 79.
  • 80.
  • 81.
  • 82.
  • 83.
  • 84.
  • 85.
  • 86.
  • 87.
  • 88.
    Compromiso cervical Prevalencia:4-60% FR: Inicio en edades avanzadas Sinovitis muy activa Compromiso erosivo periférico rápidamente progresivo Puede comprometer art. Atlantoaxial y subaxiales (entre C1-C2) Subluxación anterior, posterior o vertical
  • 89.
    Compromiso cervical Síntomassubluxación: Cefalea occipital Cuadraparesia espástica Analgesia en manos o pies Episodios autolimitados de disfunción medular Al mover las manos, parestesias en brazos u hombros
  • 90.
    Compromiso cervical Signossubluxación: Pérdida lordosis occipitocervical Resistencia a movilidad pasiva Protrusión anormal del arco axial Episodios autolimitados de disfunción medular Signos neurológicos: Reflejos osteotendíneos aumentados Babinsky (+) Debilidad, espasticidad o atrofia muscular
  • 91.
    Exámenes de laboratorioFR 70% ptes Poco específico Anticuerpos Anti-CCP E: 93-97% Reactantes fase aguda VHS y PCR Anemia de enf. crónica
  • 92.
    Exámenes de laboratorioLeucocitosis Trombocitosis ANA 30-40% + Líquido sinovial inflamatorio Leucocitosis con predominio PMN, glucosa baja, C3 y C4 bajos. Hipoalbuminemia
  • 93.
    Imagenología Erosiones encartílago y hueso Inespecíficas Rx basta Evolución daño articular: 1 año: 15-30% 2 año: 90% Otros: RNM, eco Doppler color
  • 94.
  • 95.
  • 96.
    Imagenología Rx cervicallateral ¿Cuello en flexión? > 3 mm de separación entre el diente del odontoides y el arco anterior del axis Línea espinolaminar hacia posterior en C2
  • 97.
    Arco anterior delatlas Arco posterior del atlas Lámina densa Proceso laminar C2 Proceso espinoso C6 Foramen intervertebral C7-T1 Espacio retrofaríngeo (Normal < 7mm) Espacio retrotraqueal (normal <2cm).
  • 98.
    Línea vertebral anteriorLínea vertebral posterior Línea espinolaminal Línea interespinosa
  • 99.
  • 100.
  • 101.
  • 102.
  • 103.
  • 104.
  • 105.
  • 106.
    Pronóstico 70% deerosiones detectables por Rx en manos y pies ocurren en los 2 primeros años En 20 años, sobre el 60% de los pacientes están en CF III o IV Incidencia aumentada de: Infecciones Enfermedad cardiovascular Linfomas Expectativa de vida es menor que controles sanos, especialmente en pacientes con: Enfermedad poliarticular Enfermedad extrarticular Actividad de enfermedad persistente (PCR, VHS elevados) FR (+) y complejos inmunes circulantes Cadena HLA-DR “epitopo compartido”
  • 107.
  • 108.
  • 109.
  • 110.
    Tto no farmacológicoy preventivo Reposo alternado con ejercicio Fisioterapia Terapia ocupacional Nutrición y dietas Protección ósea Factores modificadores del riesgo para ateroesclerosis Vacunas
  • 111.
  • 112.
  • 113.
  • 114.
    Terapia Combinada Pocaevidencia concluyente de beneficio en terapias combinadas de FARMEs no biológicos, SALVO que MTX este incluido en el régimen Uso temprano de corticoides y descontinuación + FARMEs no biológicos (que incluya MTX) es superior a monoterapia MTX + inhibidor FNT- α : ↓ actividad enf y progresión Rx
  • 115.
    Estudios de laboratorioBásicos A todos los pacientes: Hemograma Fx renal Fx hepática Antes de MTX, leflunomida o DMARDs biológicos: Screening para hepatitis B y C en ptes con FR (+)
  • 116.
    Estudios de LaboratorioBásicos Hidroxicloroquina: Ex. Oftalmológico completo el 1er año Debe repetirse anualmente en quienes tengan FR (+). Debe repetirse cada 5 años en los demás Antes de FARMEs biológicos: PPD, Rx tórax
  • 117.
    FÁRMACOS DIRIGIDOS ALCONTROL DE LA ARTRITIS REUMATOIDEA Glucocorticoides Prednisona: 1-2 mg/kg diarios (Meticorten, vitazon) (5, 20, 50 mg TAB) Metilprednisolona: (medrol, 16 mg TAB), (4-80 mg/día) Deflazacort: 6-90 mg/día (calcort), (6-30 mg)
  • 118.
    FÁRMACOS DIRIGIDOS ALCONTROL DE LA ARTRITIS REUMATOIDEA FARME: Fármacos Antirreumáticos Modificadores de la enfermedad Methotrexato Sales de oro Antipalúdicos Penicilamina Sulfasalazine Minociclina Inicio de acción a las 3-4 semanas Máxima respuesta entre 2 a 6 meses 7,5 a 25 mg semanales VO o parenteral Efectos secundarios: neutropenia, lesión hepática, toxicidad pulmonar (distrés respiratorio) linfomas Ácido fólico y ácido folínico (leucovorina cálcica) 24 horas antes disminuye efectos secundarios Zexate (amp) (50mg/2cc) Inhiben la capacidad fagocítica de neutrófilos Inactivan parcialmente la cascada del complemento Bloquean funciones de linfocitos T y monocitos, incluyendo la producción de citocinas 10 mg IM como dosis de prueba 25 a 50 mg/semana hasta 1 gr Continuar con 50 mg cada 15 días en 6 dosis Después cada 4 semanas por tiempo indefinido Inhibición de la liberación de prostaglandinas y enzimas lisosomales Inhibición de la proliferación linfocítica y producción de inmunoglobulinas, probablemente vía bloqueo de IL-1, y mediante la modificación del procesamiento del antígeno por las moléculas HLA-II, alterando el pH lisosomal 250 mg/día de cloroquina (4 mg/kg/día) 200-400 mg/día de hidroxicloroquina (6,5 – 7 mg/kg/día) (plaquinol, 200 mg TAB) Toxicidad retineana 25-30% responden solamente 125-250 mg/día hasta 750 – 1000 mg/día Vía oral Efectos tóxicos dependientes de la dosis 0,5 gr BID  incrementar cada semana 0,5 gr hasta que el paciente responda clínicamente o se alcancen dosis de 3 gr/día Neutropenia, trombocitopenia  10-25% HC cada 2-4 semanas por 3 meses y luego cada 3 meses Azulfidine 500 mg TAB Más efectiva en el primer año Mecanismo de acción no es claro  propiedades anti-inflamatorias  inhibición de enzimas destructivas como colagenasa 200 mg/día Efectos secundarios infrecuentes, excepto vértigo en 10%
  • 119.
    Inmunodepresores y citotóxicosAzatioprina Leflunomide Ciclofosfamida Inhibición de la síntesis de ácidos nucleicos Bloquea producción de células inmunocompetentes Linfopenia T y B Acción antiinflamatoria: inhibición de la división de células precursoras de monocitos, limitando la infiltración por éstos en zonas de inflamación Efecto secundario adverso más importante es la aplasia medular, fundamentalmente de linfocitos y monocitos. Azaprin 50 mg TAB Inhibidor de la síntesis de pirimidinas 100 mg por 3 días, luego 20 mg/día Diarrea, rash, alopecia reversible, hepatoxicidad, pérdida de peso Carcinogénica, teratogénica Vida media de 2 semanas Contraindicada en mujeres premenopáusicas Arava, 20 y 100 mg TAB Inhibe replicación de ADN Depleción de linfocitos B e interfiere en sus funciones produciendo una disminución en la producción de inmunoglobulinas Biodoxan, endoxan, 50 mg TAB 50-100 mg/día
  • 120.
  • 121.
    FÁRMACOS DIRIGIDOS ALCONTROL DE LA ARTRITIS REUMATOIDEA Inhibidores de TNF Etanercept: 25 mg VSC, 2 veces por semana o 50 mg/semana Infliximab: 3-10 mg/kg IV al inicio, luego, a la 2º, 6º, 10º y 14º semana Adalimumab: 40 mg VSC/semana 60% de resultados beneficiosos
  • 122.
    FÁRMACOS DIRIGIDOS ALCONTROL DE LA ARTRITIS REUMATOIDEA AINE Ácido Acetil Salicílico y derivados Paraaminofenoles: Paracetamol Pirazolonas: dipirona Fenilpropiónicos: ibuprofeno, naproxeno, ketoprofeno Indometacinas Fenilatocéticos: Diclofenaco, Aceclofenaco Pirrolacéticos: Ketorolaco Fenamatos: Ácido mefenámico Oxicams: Meloxicam, piroxicam Clonixinato de Lisina Inhibidores COX2: Celecoxib
  • 123.
    El lado oscurode los FARMEs Efectos colaterales importantes Ejemplo: MTX Pulmón Hígado Med. ósea
  • 124.
  • 125.
    “ The listof medications considered safe during pregnancy, according to the most recent evidence, includes steroids, hydroxychloroquine, sulphasalazine, and azathioprine. Unsafe drugs are methotrexate, leflunomide, and biologics (anti–tumor necrosis factor [TNF] agents and rituximab).”
  • 126.
  • 127.
    Indexes Tested DAS28= 0.56*√(TJC28) + 0.28*√(SJC28) + 0.36*Ln(CRP*10 + 1) + 0.014*PtGA (0-100 scale) + 0.96 Levels tested: DAS28 < 2.6; DAS28 < 2.0 SDAI (Simplified Disease Activity Index) = TJC28 + SJC28 + PtGA (0-10 scale) + PhGA (0-10) + CRP (mg/dL) Level tested: SDAI < 3.3
  • 128.
    ACR/EULAR 2011 ProvisionalDefinitions of Remission for Clinical Trials Boolean Based Definition At any time point, a patient must satisfy all of the following: Tender Joint Count ≤1 Swollen Joint Count ≤1 CRP ≤1 mg/dL Patient Global Assessment ≤1 (on a 0-10 scale) Index Based Definition At any time point, a patient must have SDAI ≤3.3
  • 129.
    ACR-EULAR 2011 Definitionof Remission For clinical practice Boolean SJC, TJC, PtGA all ≤1 Index-based CDAI ≤2.8 CDAI=SJC+TJC+PhGA+PtGA For clinical trials Boolean SJC, TJS, PtGA, CRP all ≤1 Index-based SDAI ≤3.3 SDAI=SJC+TJC+PhGA+PtGA+ CRP (mg/dl)
  • 130.
    Santiago 1: 2-7“ Hermanos mios, tened por sumo gozo cuando halleis en diversas pruebas, sabiendo que la prueba de vuestra fé produce paciencia. Mas tenga la paciencia su obra completa, para que seais perfectos y cabales, sin que os falte cosa alguna. Y si alguno de vosotros tiene falta de sabiduria, pídala a Dios, el cual dá a todos abundantemente y sin reproche, le será dada. Pero pida con fé, no dudando nada; porque el que duda es semejante a la onda de mar, que es arrastrada por el viento y echada de una parte a otra. No piense, pues, quien tal haga, que recibirá cosa alguna del Señor.”
  • 131.
  • 132.

Notas del editor

  • #21 Destruccion y deformidad articular muchas veces invalidante
  • #23 - prevalence is about 1 percent in Caucasians, but varies between 0.1 percent (in rural Africans) and 5 percent (in Pima and Chippewa Indians) - because of the consistently higher rates in females, the prevalence of RA in females over age 65 is up to 5 percent.
  • #25 In one study, women with RA were more likely to experience a remission during pregnancy if there were maternal-fetal disparities in HLA class II antigens [7] . Such mismatches may produce blocking antibodies to class II MHC antigens that inhibit activation of T cell clones essential for ongoing synovitis. It is uncertain whether such changes in hormone levels are simply the result of chronic inflammation or if men with abnormal testosterone and estrogenic hormone levels are at an increased risk of developing RA.
  • #26 Monozygotic twins have a higher concordance than dizygotic twins for developing RA. In two studies of twins, the concordance for monozygotic twins was 12 to 15 percent versus 3.5 percent for dizygotic twins [11,12] . In addition, the risk ratio of developing RA for a first-degree relative of a rheumatoid patient is more than 1.5 compared with controls [13] . Other data have shown that sibship concordance rates are consistently higher when probands have severe disease, thereby suggesting that RA may develop when several genetic and environmental factors are present in the same individual. From these and similar data, it has been estimated that genetic factors contribute from 53 to 65 percent of the risk of developing RA [14] .
  • #27 Among the growing list of genetic risk factors for RA, significant overlap exists with genes identified as risk factors for other autoimmune diseases, including systemic lupus erythematosus, inflammatory bowel disease, multiple sclerosis, and ankylosing spondylitis [15] . Why a given genetic factor can be associated with a variable pattern of organ-system involvement in different disease states is not known. (See &amp;quot;Overview of autoimmunity&amp;quot;).
  • #28 The firmest link between a genetic susceptibility factor and RA is the association of the disease with an epitope in the third hypervariable region of the HLA-DR ß-chains, known as the &amp;quot;shared epitope&amp;quot;. Although this finding has been demonstrated in many cohorts, such as those of northern European heritage, Israeli Jews, Yakima Indians, and Koreans, it does not appear to apply to all populations. Among African-Americans, for example, other genetic risk factors, many still undefined, appear to contribute significantly to disease susceptibility and severity.
  • #29 - The magnitude of the overall effect of smoking was evaluated in a retrospective report utilizing data on over 370,000 women from the Women&apos;s Health Cohort Study [21] . Women who smoked at least 25 cigarettes a day for more than 20 years had a relative risk of 1.4 for developing RA compared to those who had never smoked [21] . Multivariate analysis revealed that the duration of use, but not the number of cigarettes smoked per day, was significantly associated with increased risk. A similar association with smoking and RA was noted in monozygotic and dizygotic twins discordant for RA [22] , and in a prospective population-based study of incident RA in women [23] . - Compared with those who had never smoked, patients with a 25 or more pack-year smoking history are more likely to be seropositive, have nodules, or have radiographically apparent erosions [24,25] . - This was suggested in a population-based study in the United States in which women who had stopped smoking more than ten years before entering the study did not share an increased risk of developing RA with their peers who were actively smoking [27] .
  • #32 - Superantigens can activate multiple clones of T cells (1 in 10 cells) through a largely MHC-independent process. By comparison, a specific antigen presented in context of the HLA class II cell surface antigens can activate only one in 10,000 T cells. Examples of superantigens are the staphylococcal endotoxins and heat shock proteins (HSPs). HSPs are intracellular proteins induced by environmental insults, including heat, infectious agents, and oxidative injury, and are remarkably conserved across species. The most logical hypothesis implicating HSPs as causative in RA is that these proteins share antigenic determinants with other host proteins, thereby resulting in the development of crossreacting antibodies that could induce an autoimmune response
  • #33 Although it is clear that the presence of RF alone does not cause RA, there is no doubt that patients with significant RF titers have a greater likelihood of extraarticular disease than do seronegative patients RF and anti-cyclic citrullinated peptide (anti-CCP) antibodies may be present in the blood prior to the appearance of arthritis [59-62] . Although these autoantibodies may represent clinically silent disease, the development of such autoantibodies can also be viewed as a risk factor for the later development of disease. The sensitivity of a positive anti-CCP assay and a positive RF in the 1.5 years prior to diagnosis has ranged from 18 to 30 percent and the specificity from 99 to 100 percent.
  • #57 El primer evento en el desarrollo de AR es probablemente la activación dependiente del complemento de células T. Ésto trae subsecuentemente varios efectos, que incluyen activación y proliferación del sinovio y de células endoteliales, reclutamiento y activación de celulas adicionales proinflamatorias de la médula osea y de la circulacion, secrecion de citokinas y proteasas por macrófagos y células sinoviales “fibroblasto-like”, y produccion de autoanticuerpos. El sinovio en la AR se organiza y se transforma en un tejido invasivo que, si no se controla, puede degradar cartílago y hueso. El sinovio reumatoide (pannus) comparte muchas características con tejidos malignos con capacidad de invasion local, pero a diferencia de ellos, nunca pierde algun grado de respuesta a los factores antiinflamatorios y antiproliferativos.
  • #63 B LYMPHOCYTES AND AUTOANTIBODIES — Rheumatoid factors are immunoglobulins (Ig) reactive against epitopes on the Fc portion of IgG. Compared to those with &amp;quot;seronegative&amp;quot; RA, patients with polyarticular symmetrical arthritis who have a persistently positive test for rheumatoid factor (RF) are likely to have more erosions of bones and joints, more extraarticular manifestations, and worse function [172] . (See &amp;quot;Clinical features of rheumatoid arthritis&amp;quot;).
  • #65 Whether toxic or antiinflammatory, NO is produced by patients with rheumatoid arthritis in greater amounts than in controls Substance P (SP) up Corticotropin-releasing hormone (CRH) up Calcitonin gene related peptide (CGRP) down Phospholipase A2 - COX-2
  • #77 1. RA often begins insidiously with vague constitutional and musculoskeletal symptoms that may last for weeks or months before synovitis becomes apparent.
  • #78 1. RA often begins insidiously with vague constitutional and musculoskeletal symptoms that may last for weeks or months before synovitis becomes apparent.
  • #80 Symmetrical effusions and soft tissue swelling around the metacarpophalangeal joints and proximal interphalangeal joints typically occur, although distal interphalangeal involvement can be seen later in the disease Occasionally, thickening of the flexor tendons can be detected by palpation of the palm; this finding is due to synovitis of the tendon sheaths (&amp;quot;tenosynovitis&amp;quot;) (show figure 4). Nodules may form along the palmar tendon sheaths, resulting in the tendon sheath catching (or triggering) and in an inability to fully extend the finger. The nodules may cause tendon rupture, especially of the extensor pollicis longus (extensor of the DIP joint of the thumb). Reduced grip strength can be a surprisingly sensitive indicator of early disease, as well as a useful parameter in the evaluation of disease activity and progression The whole hand may be swollen in very acute RA, with pitting edema over the dorsum giving rise to the &amp;quot;boxing glove&amp;quot; appearance Between 1 and 5 percent of patients present with carpal tunnel syndrome.
  • #81 The characteristic joint deformities appear in more established chronic RA (show picture 1). These findings include ulnar deviation or &amp;quot;ulnar drift&amp;quot; (show picture 2) swan neck or Boutonniere deformities of the fingers (show picture 3), or the &amp;quot;bow string&amp;quot; sign (prominence of the tendons in the extensor compartment of the hand) Late changes due to erosive damage lead to volar subluxation and radial drift of the carpus, resulting in increasing prominence of the ulnar styloid and lateral deviation
  • #84 Foot involvement is common in early disease, with a pattern which mirrors that occurring in the hand.
  • #88 NODULOS DE HEGAR
  • #89 Cervical joint destruction in patients with RA may lead to vertebral malalignment (eg, subluxation). Risk factors for development of cervical subluxation include older age at onset of RA, more active synovitis, and rapidly progressive erosive peripheral joint disease [3] . Both atlantoaxial and subaxial (below C1-C2) joints may be involved.
  • #90 Spastic quadriparesis which is slowly progressive Sensory findings are also common, including painless sensory loss in the hands or feet. In patients with C1-C2 subluxation, transient episodes of medullary dysfunction (such as respiratory irregularity) associated with vertical penetration of the odontoid process of C2 and probable vertebral artery compression [19] . Movement of the hands in this setting may result in paresthesias in the shoulder or arms
  • #91 Loss of occipitocervical lordosis Resistance to passive spine motion Abnormal protrusion of the axial arch felt by the examining finger on the posterior pharyngeal wall In addition, neurologic findings appropriate to the symptoms described above may be seen, including: Increased deep tendon reflexes Extensor plantar responses Muscle weakness, spasticity, or muscle atrophy Gait disorders
  • #98 1) Anterior arch of atlas 2) Posterior arch of atlas 3) Dens 4) Laminae C2 5) Spinous Process C6 6) C7-T1 Intervertebral Foramina 7) Retropharyngeal Space (Normal &lt; 7mm) 8) Retrotracheal Space (Normal &lt;2cm).
  • #99 ) Anterior vertebral line 2) Posterior vertebral line 3) Spinolaminal line 4) Interspinous line.
  • #101 Lat eral radiograph of the neck with the head in flexion shows an increased distance between the anterior border of the dens and the posterior border of the anterior tubercle of C1 (blue line) from ligamentous laxity caused by rheumatoid arthritis. The &amp;quot;pre-dentate space,&amp;quot; as this is called, should be less than 3 mm in the adult. The red line above should smoothly connect all of the spinolaminar white lines of each vertebral body but clearly is directed posterior to the spinolaminar white line of C1 (green arrow) since C1 is subluxed forward on C2.
  • #108 Clase funcional I : Capacidad completa para efectuar las actividades de la vida diaria: autocuidado, avocacionales y vocacionales. Clase funcional II : Puede realizar las actividades de autocuidado y vocacionales pero tiene limitaciones para las actividades avocacionales. Clase funcional III : Tiene dificultades para realizar actividades vocacionales y avocacionales pero puede realizar las actividades de autocuidado. Clase funcional IV : Tiene dificultades para realizar todo tipo de actividades.
  • #112 disease-modifying antirheumatic drugs (DMARDs)
  • #114 Abatacept: Rituximab: anti-CD20 B-cell depleting monoclonal antibody
  • #123 Ácido Acetil Salicílico y derivados: Ácido Acetil Salicílico, Acetil Salicilato de Lisina (INYESPRIN)! vía parenteral, Trifusal como antiagregante plaquetario más que antiinflamatorio o analgésico, Fosfosal, etc.