ARTRITIS
REUMATOIDE
jueves, 8 de mayo de 14
INTRODUCCION
•La Artritis reumatoide es una enfermedad
inflamatoria sistemica cronica, que afecta
de modo principal las membranas
sinoviales de multiples articulaciones.
•La prevalencia de AR es
aproximadamente del 1% de la poblacion
y ocurre con mas frecuencia en mujeres
jueves, 8 de mayo de 14
DEFINICION
La Artritis Reumatoide es una enfermedad sistémica
autoinmune, caracterizada por provocar inflamación
crónica principalmente de las articulaciones, que
produce destrucción progresiva con distintos
grados de deformidad e incapacidad funcional.
jueves, 8 de mayo de 14
EPIDEMIOLOGIA
La prevalencia de la AR es aproximadamente del 1%
Las Mujeres
son afectadas frecuentemente que los varones (3:1)
EDAD
Incrementa con la edad en personas
entre 35-50 años,sin embargo se
pueden observar casos en personas
mayores y niños
jueves, 8 de mayo de 14
CUADRO CLINICO
•Usualmente insidiosa
•Artritis simetrica
•Dolor y tumefaccion en articulaciones
(hombros,cadera, rodillas)
•Fatiga
•Perdida de peso
•Duracion e intensidad de la rigidez
jueves, 8 de mayo de 14
EXPLORACION
FISICA
jueves, 8 de mayo de 14
•Anamnesis completa
Mono/Oligo/Poliarticular
Mecànico/Inflamatorio
•Dolor
•Tumefaccion
•Calor y Enrojecimiento
•Rigidez
>1 hora: E. articulares
inflamatorias
Pocos minutos: artrosis
jueves, 8 de mayo de 14
Caracteristicas diferenciales de dolor inflamatorio y
mecanico
Dolor inflamatorio Dolor mecanico
Etiología más común
Enfermedad
inflamatoria, infecciosa,
neiplasica
Artrosis
Actividad Fisica
Suele mejorar los
sintomas
Suele empeorar los
sintomas
Reposo
Suele empeorar los
sintomas
Suele mejorar los
sintomas
Rigidez matutina Superior a 1 hora Inferior a 30´
Cansancio Frecuente Minimo
Sintomas sistemicos Frecuentes Ausentes
Mejora con corticoides Si No
jueves, 8 de mayo de 14
Region afectada Preguntas
Region cervical Puede girar la cabeza?
Temporomandibular Puede abrir completamente la boca?
Puede masticar sin dolor?
Hombro
Puede peinarse?
Puede levantarse la mano a la espalda?
Puede abrocharse el sosten?
Codo Puede comer sin dificultad?
Cadera
Estando sentado. Puede cruzar la pierna del lado enfermo
sobre la otra?
Se calza con la misma facilidad en la pierna afectada?
Rodilla Puede arrodillarse?
Que es peor, subir o bajar escaleras?
Region lumbar
Aumenta en bipedestacion?
Puede doblarse hacia delante?
Le dificulta levantarse de una silla?
Cuestionario sobre impotencia funcional
jueves, 8 de mayo de 14
EXAMEN FISICO
INSPECCION GENERAL
•POSTURA
•MOVIMIENTOS
•LESIONES CUTANEAS
•DEFORMIDADES
•ACTITUD
•ESTADO DE NUTRICION
•FORMA DE CAMINAR
•POSICION DEL CUERPO
jueves, 8 de mayo de 14
EXAMEN ARTICULAR
INSPECCION
‣Deformaciones
‣Aumento de
volumen
‣Cambios de
coloracion
‣Atrofia muscular
jueves, 8 de mayo de 14
EXAMEN ARTICULAR
PALPACION
‣Puntos doloroso
‣Derrame articular
‣Aumento de
temperatura
‣Crepitaciones
‣Engrosamiento
sinovial
‣Nodulos
jueves, 8 de mayo de 14
EXAMEN ARTICULAR
MOVILIDAD
ARTICULAR
‣Activa
‣Pasiva
jueves, 8 de mayo de 14
Signos fisicos mas importantes en la evaluacion del
paciente con enfermedad reumatica
Anormalidades en el color, consistencia y
temperatura de las articulaciones
Hinchazon
Nodulos subcutaneos
Crepitacion
Deformidad
Limitacion del movimiento
Dolor difuso o localizado
jueves, 8 de mayo de 14
PIE Y TOBILLO
INSPECCION
ESTÁTICA
jueves, 8 de mayo de 14
HALLUXVALGUS
DEDO EN
MARTILLO
jueves, 8 de mayo de 14
ENTENSITIS AQUILEA SINOVITIS
jueves, 8 de mayo de 14
PODAGRA
DEDOS EN
SALCHICHA
jueves, 8 de mayo de 14
PIE Y TOBILLO
PALPACION
jueves, 8 de mayo de 14
ARCOS DE MOVIMIENTO
jueves, 8 de mayo de 14
RODILLA
jueves, 8 de mayo de 14
INSPECCION
Comparación de ambas rodillas
Valgo Varo
Atrofia
cuádriceps
Quiste de
Baker
jueves, 8 de mayo de 14
PALPACION
jueves, 8 de mayo de 14
ARCOS DE MOVIMIENTO
jueves, 8 de mayo de 14
RODILLA
MANIOBRAS ESPECIFICAS:
MANIOBRA ROTULIANA
Signo de aprensión rotuliana
Contracción contrarresistencia
de la rótula
Signo del choque rotuliano
DERRRAME ARTICULAR
Signo del cepillo
CONDROPATÍA ROTULIANA
jueves, 8 de mayo de 14
MANIOBRAS MENISCALES
Maniobra de Appley
Maniobra de McMurray
jueves, 8 de mayo de 14
MANIOBRAS LIGAMENTOSAS
Maniobra de Lachman
Desplazamiento tibial:
- Anterior: LCA.
- Posterior: LCP.
Maniobra de cajón anterior
LCA
Maniobra de cajón posterior
LCP
Maniobra del bostezo
LLE / LLEI
jueves, 8 de mayo de 14
CADERA
jueves, 8 de mayo de 14
INSPECCIONY PALPACION
jueves, 8 de mayo de 14
ARCOS DE MOVIMIENTO
jueves, 8 de mayo de 14
MANIOBRAS ESPECIFICAS
BURSITISTROCANTEREA
jueves, 8 de mayo de 14
DISMETRÍA MMII
Prueba de Tredelemburg
MERALGIA
PARESTÉSICA
jueves, 8 de mayo de 14
PINZAMIENTO FEMOROACETABULAR
Dolor + impotencia funcional en la cadera de un adulto joven
jueves, 8 de mayo de 14
SACROILIACA
INSPECCIONY PALPACION
jueves, 8 de mayo de 14
MANIOBRA DE FABERE MANIOBRA DE APERTURA
MANIOBRAS ESPECIFICAS
jueves, 8 de mayo de 14
HOMBRO
ANATOMIA
jueves, 8 de mayo de 14
GANGLION BURSITIS
INSPECCIONY PALPACION
jueves, 8 de mayo de 14
ARCOS DE MOVIMIENTOS
jueves, 8 de mayo de 14
MANIOBRAS ESPECIFICAS
Maniobra de Apley: 1ª maniobra a realizar en el hombro
jueves, 8 de mayo de 14
ARTRITIS
ACROMIOCLAVICULAR
BURSITIS
SUBACROMIAL
Maniobra de Impingement
jueves, 8 de mayo de 14
TENDÓN
SUPRAESPINOSO
Maniobra de Jobe
TENDÓN
INFRAESPINOSO
Maniobra de Patte
jueves, 8 de mayo de 14
TENDÓN
SUBESCAPULAR
PORCIÓN LARGA
BÍCEPS
Maniobra de Gerber
Maniobra de Speed o palm up test
Maniobra de Yergason
jueves, 8 de mayo de 14
CODO
ARTRITIS REUMATOIDE PSORIASIS
En placas
jueves, 8 de mayo de 14
BURSITIS / ARTRITIS GOTOSA
jueves, 8 de mayo de 14
CODO
— PALPACIÓN y ARCOS DE MOVIMIENTOS:
jueves, 8 de mayo de 14
CODO
EPICONDILITIS EPITROCLEITIS
Se desencadena con movimientos contrarresistencia
jueves, 8 de mayo de 14
MUÑECA y MANO
— INSPECCIÓN:
ARTROSIS
Rizartrosis
Nódulos de Bouchard: IFP
Nódulos Heberden: IFD
jueves, 8 de mayo de 14
ARTRITIS REUMATOIDE
Desviación cubital dedos
Sinovitis crónica en
muñecas
Pulgar en Z Sinovitis crónica
de MCF e IFP
Dedo en cuello
de cisne
Dedo en ojal
jueves, 8 de mayo de 14
MUÑECA y MANO
— PALPACIÓN:
jueves, 8 de mayo de 14
MUÑECA y MANO
— ARCOS DE MOVIMIENTOS:
jueves, 8 de mayo de 14
MUÑECAY MANO (IV)
— MANIOBRAS ESPECÍFICAS:
TENOSINOVITIS
DE QUERVAIN
Maniobra de Finkelstein
SD DEL TÚNEL CARPIANO
Signo de Tinel
Signo de Phalen
jueves, 8 de mayo de 14
ARTICULACIÓN TEMPOROMANDIBULAR
— INSPECCIÓN, PALPACIÓN y ARCOS DE MOVIMIENTO:
jueves, 8 de mayo de 14
MANIFESTACIONES
EXTRAARTICULARES
jueves, 8 de mayo de 14
Nodulos Reumatoides
Proceso Inflamatorio cutaneo y/o subcutaneo que se
desarrolla casi siempre en pacientes con AR
jueves, 8 de mayo de 14
•De consistencia firme
•No dolorosos
•No se ulceran
•Sitios mas frecuentes: Codos,dedos de las manos, rodillas y los
pabellones auriculares.
jueves, 8 de mayo de 14
SINDROME DE SJORGREN
•Enfermedad autoinmune
•Ocaciona daño e inflamacion
de los tejidos
•Xeroftalmía
•Xerostomía
•Xerodermìa
jueves, 8 de mayo de 14
Infiltracion de las
glandulas exocrinas
por linfocitos y
células plasmáticas
jueves, 8 de mayo de 14
jueves, 8 de mayo de 14
FIBROSIS PULMONAR
•Tos seca
•Dolor pecho (ocacional)
•Dificultad respiratoria
•Pleuritis (asintomatica)
•Nodulos reumatoides (bilateral)
jueves, 8 de mayo de 14
VASCULITIS REUMATOIDE
•Afeccion neurovascular
•Polineuropatia/mononeuritis
•Ulceracion cutanea con necrosis
•Infarto visceral
jueves, 8 de mayo de 14
VASCULITIS REUMATOIDE
jueves, 8 de mayo de 14
VASCULITIS REUMATOIDE
jueves, 8 de mayo de 14
VASCULITIS REUMATOIDE
jueves, 8 de mayo de 14
M E T O D O S
D I A G N O S T I C O
jueves, 8 de mayo de 14
L A B O R A T O R I O
jueves, 8 de mayo de 14
FACTOR REUMATOIDE DE CLASE IgM
POSITIVA ENTRE 60-70% DE LOS CASOS
ANEMIA
VSG
PCR
SUELEN ESTAR ELEVADOS Y SE
CORRELACIONA CON LA
ACTIVIDAD
ANTICUERPOS ANTIPEPTIDOS CITRULINADOS
LIQUIDO SINOVIAL
jueves, 8 de mayo de 14
R A D I O L O G I A
jueves, 8 de mayo de 14
•RX SIMPLE
•APROXIMACION DIAGNOSTICA
•EVALUACION DEL DAÑO ESTRUCTURAL
•MEDICION DE LA SEVERIDADY PROGRESION
•ESTABLECIMIENTO DE EFECTOS DEL
TRATAMIENTOY MEDIDA OBJETIVA DEL
COMPROMISO ARTICULAS
jueves, 8 de mayo de 14
SIGNOS ASOCIADOS:
• ENGROSAMIENTO DE PARTES
BLANDAS
• DESMINERALIZACION EN BANDAS
• PINZAMIENTO DE LA INTERLINEA
ARTICULAR
• MANOS: CARPITIS REUMATOIDE
•CADERA: PINZAMIENTO GLOBAL DE
LA INTERLINEA SEGUIDA DE
PROTRUSION ACETABULAR
jueves, 8 de mayo de 14
jueves, 8 de mayo de 14
jueves, 8 de mayo de 14
jueves, 8 de mayo de 14
jueves, 8 de mayo de 14
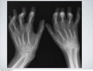
Rx AP de ambas manos de un paciente con AR. Se
observa una osteoporosis yuxtaarticular importante
especialmente en las articulaciones
metacarpofalángicas de ambas manos
jueves, 8 de mayo de 14
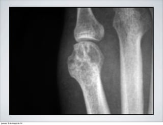
Rx AP de una mano de un paciente con AR en donde se
observa una imagen radiolúcida, redondeada, de
pequeño tamaño en el margen articular de la segunda
articulacion metacarpofalángica. (Geoda)
jueves, 8 de mayo de 14
Rx AP de una mano de un paciente con AR en donde se
observa una Geoda adyacente a ella una micro erosion con
solucion de continuidad del cartilago articular en la cabeza del
primer metacarpiano, junto a la primera articulacion
metacarpofalángica
jueves, 8 de mayo de 14
Fusion entre la primera y segunda linea de huesos del
carpo.
signos de carpitis en un paciente con AR.
jueves, 8 de mayo de 14
Subluxacion de metacarpofalángicas con desviacion en ráfaga
hacia el borde cubital de las mismas, pulgar en Z por
subluxaciones y deformida de Boutonniere (hiperflexion de la
interfalangica proximal con extension de la interfalangica
distal) en el segundo dedo
jueves, 8 de mayo de 14
CRITERIOS DE AMERICAN
COLLEGE OF
RHEUMATOLOGY
jueves, 8 de mayo de 14
A) Rigidez matutina articular de al menos una hora de duracion
antes de su mejora maxima.
B) Artritis de tres o mas areas articulares. Al menos tres de
ellas tienen que presentar hinchazon de tejidos blandos o
liquido sinovial (no solo crecimiento oseo). las 14 posibles areas
articulares son las interfalangicas proximales,
metacarpofalangicas, las muñecas, codos, rodillas, tobillos y
metatarsofalangicas.
C) Artritis de las articulaciones de las manos, manifestada por
hinchazon en al menos una de las siguientes areas articulares:
muñeca, metacarpofalangicas o interfalangicas proximales
jueves, 8 de mayo de 14
D) Artritis simetrica, con afectacion simultanea de las mismas
areas articulares en ambos lados del cuerpo.
E) Nodulos reumatoides, subcutaneos, sobre prominencias
oseas o en superficies extensoras o en regiones yuxtarticulares
F) Factor reumatoide serico
G) Alteraciones radiologicas tipicas de AR
jueves, 8 de mayo de 14
Espondiloartropatias
Policondritis
Polimiositis
Vasculitis
Gota poliarticular
Lupus eritematoso
Reumatismo psoriasico
DIAGNOSTICO
DIFERENCIAL
jueves, 8 de mayo de 14
T R A T A M I E N T O
jueves, 8 de mayo de 14
NO
FARMACOLOGICO
•EDUCACION
•FISIOTERAPIA Y TERAPIA FISICA
•TERAPIA OCUPACIONAL
jueves, 8 de mayo de 14
FARMACOLOGICO
Antiinflamatorios No esteroideos (AINES)
•Los Aines son considerados como parte del
tratamiento inicial para AR y se utilizan a lo largo de
la enfermedad como alivio sintomatico
•Bloquea la actividad de la enzima ciclooxigenasa
•Posee propiedades analgesicas,antiinflamatorias y
antipireticas
jueves, 8 de mayo de 14
ASPIRINA
•Requieren dosis altas para fines analgesicos
•3-6 gr. por día
•Inhibidores de Cox-1:
•Diclofenaco: 50,75,100 mg.
•Naproxeno: 250 y 500 mg
•Ibuprofeno 400,600,800 mg
•Indometacina 25,50 mg
•Inhibidores de Cox2:
•Meloxicam 7.5 y 15 mg
•Rofecoxib 12.5,25 y 50 mg
•Celecoxib 100 y 200 mg
•Lumiracoxib 100,200, y 400 mg
jueves, 8 de mayo de 14
Corticoesteroides
Glucocorticoides
•Dosis bajas de corticoides orales ayudan al control de los
sintomas.
•Prednisona 10-15 mg/día
jueves, 8 de mayo de 14
Antimalaricos
Cloroquina: 4.5 mg/kg/día
150mg
Hidroxicloroquina: 6mg/Kg/día
200 mg
jueves, 8 de mayo de 14
Fármacos de segunda línea, modificadores de la enfermedad
ó FARAL
Denominados también antirreumáticos de acción lenta
Permiten una mejoría clínica y serológica (reducción de FR, VSG,
PCR) y frenan la progresión de la enfermedad.
Se dispone de las sales de oro, la D-penicilamina, la cloroquina,
la sulfasalazina y el metotrexato.
Sus efectos beneficiosos no suelen apreciarse hasta pasados, por lo
menos,
unos 3 meses, excepto con el metotrexato, que tiene una
acción más rápida.
Deben administrarse junto a los AINEs
dado que su efecto antiinflamatorio o analgésico es mínimo.
jueves, 8 de mayo de 14
Presentan en general alta toxicidad, siendo los antipalúdicos, la
sulfasalazina y la auranofina, los menos tóxicos, recomendándose
en pacientes con menor actividad.
En los casos más activos se utilizan las sales de oro, D-penicilamina, y
metotrexate que es en la actualidad el fármaco de elección (se pauta
una vez a la semana).
jueves, 8 de mayo de 14
Farmaco de elección en el tratamiento de la AR.
Acción rápidala
La sinovitis desaparece en 1 a 2 meses y hay
sensación de bienestar.
Es un agente efectivo y bastante seguro para el
tratamiento de la AR.
METOTREXATE
DOSIS INICIAL ES DE 7.5mg por VO. una vez a la semana
Si no hay respuesta en un mes, la dosis puede aumentar a 15 mg por semana.
jueves, 8 de mayo de 14
Sulfasalazina
Dosis: 2-4g/día
jueves, 8 de mayo de 14
jueves, 8 de mayo de 14
G R A C I A S
jueves, 8 de mayo de 14

Artritis reumatoide